Результаты морфологического исследования ткани головного мозга при идиопатической нормотензивной гидроцефалии
- Авторы: Гаврилов Г.В.1, Станишевский А.В.1, Гайдар Б.В.1, Парамонова Н.М.2, Гайкова О.Н.3, Свистов Д.В.1
-
Учреждения:
- Военно-медицинская академия им. С.М. Кирова
- Институт эволюционной физиологии и биохимии им. И.М. Сеченова
- Институт токсикологии Федерального медико-биологического агентства России
- Выпуск: Том 21, № 1 (2019)
- Страницы: 57-61
- Раздел: Клинические исследования
- Статья получена: 06.06.2019
- Статья опубликована: 15.12.2019
- URL: https://journals.eco-vector.com/1682-7392/article/view/13039
- DOI: https://doi.org/10.17816/brmma13039
- ID: 13039
Цитировать
Полный текст
Аннотация
Идиопатическая нормотензивная гидроцефалия – хроническое заболевание головного мозга, развивающееся у пожилых людей и приводящее при отсутствии своевременного лечения к тяжёлой инвалидизации. Патогенез и морфогенез идиопатической нормотензивной гидроцефалии выяснен не до конца, несмотря на множество экспериментальных, морфологических и клинических исследований, проведённых с момента первого упоминания заболевания. Особенный интерес представляет выявление патоморфологических особенностей, позволяющих дифференцировать нормотензивную гидроцефалию с другими нейродегенеративными заболеваниями, протекающими со схожей симптоматикой. Приведены результаты собственных наблюдений и исследований микроструктурных изменений, возникающих в веществе головного мозга у пациентов, страдающих идиопатической нормотензивной гидроцефалией. Установлено, что наиболее характерными патоморфологическими изменениями у данной категории больных являются общее разрежение и губчатость паренхимы мозга, расширение периваскулярных пространств, формирование очагов асептического некроза, амилоидная ангиопатия, отложение телец Леви и формирование скоплений глиофиламентов. На ультрамикроструктурном уровне выявляется сближение отёчных отростков нейронов с образованием щелевых контактов. В цитоплазме нейронов определяется повышенная конденсация хроматина, не свойственная данным клеткам в нормальном состоянии. Выявленные патоморфологические изменения позволяют судить об идиопатической нормотензивной гидроцефалии как о специфическом проявлении общего нейродегенеративного процесса, имеющего вместе с тем характерные черты, сказывающиеся, вероятно, на особенностях клинических проявлений заболевания.
Полный текст
Введение. Идиопатическая нормотензивная гидроцефалия (ИНТГ) – патологическое состояние, характеризующееся избыточным накоплением ликвора в желудочках головного мозга и субарахноидальных пространствах, развивающееся на фоне нормального ликворного давления и приводящее к формированию патоморфологических изменений в перивентрикулярном мозговом веществе, в результате которых формируется специфическая клиническая картина – триада Хаким – Адамса: нарушения походки, когнитивных функций и мочеиспускания.
Идиопатическая нормотензивная гидроцефалия развивается, как правило, у людей старше 65 лет. Встречаемость ИНТГ составляет по разным данным от 0,3 до 3% и увеличивается с возрастом [8]. Клинические проявления ИНТГ значительно снижают качество жизни пациентов и в ряде случаев имеют инвалидизирующий характер. В отличие от большинства других нейродегенеративных и сосудистых заболеваний, таких как болезнь Альцгеймера, сосудистая деменция, лобно-височная деменция, болезнь Бинсвангера, дисциркуляторная энцефалопатия и др., является потенциально обратимой. Так, по данным E. Mori et al. [14], своевременное выполнение вентрикулоперитонеального шунтирования позволяет добиться регресса когнитивных нарушений у 60–80% пациентов. U. Kehler [12] указывает на то, что выполнение шунтирующей операции позволяет значительно улучшить качество жизни даже у пациентов с исходно присутствующим тяжёлым неврологическим дефицитом, а также целесообразно у лежачих больных.
Несмотря на значительное количество исследований, посвящённых изучению патогенеза идиопатической нормотензивной гидроцефалии, единые взгляды на механизм формирования патологических проявлений заболевания до настоящего момента не выработаны [2, 13].
Цель исследования. Выявить специфические патоморфологические изменения, возникающие на тканевом, клеточном и субклеточном уровнях у пациентов, страдающих ИНТГ.
Материалы и методы. Исследованы биоптаты коры, субкортикального и перивентрикулярного белого вещества у 32 пациентов, страдающих ИНТГ, полученные при выполнении вентрикулоперитонеального шунтирования. Из них 20 биоптатов исследовано с помощью световой и 12 – электронной микроскопии.
Первым этапом при выполнении ликворошунтирующей операции при помощи системы интраоперационной навигации выполняли биопсию ткани головного мозга в трех областях (кортикальной, субкортикальной и перивентрикулярной) строго в проекции трека вентрикулярного катетера.
Далее взятый для гистологического исследования материал в виде столбцов ткани (кусочков толщиной 0,7 мм) обезжиривали в спиртах возрастающей концентрации, обрабатывали хлороформом в аппарате «Tissue-Tek VIP 6 (Sakura)» и заливали в парафин по стандартной методике. Затем изготовляли гистологические срезы толщиной 5–7 микрон. Все микропрепараты окрашивали в аппарате «Tissue-Tek Prisma (Sakura)» гематоксилином и эозином, дополнительно также использовали окраски по методам Ван-Гизона, Шпильмейера и Ниссля. Для микроскопической оценки использовали световой микроскоп «Leica DM 1000» (Германия).
Кроме того, часть материала была подготовлена к ультраструктурному исследованию с использованием трансмиссионной электронной микроскопии. Биоптаты фиксировали 2,5% раствором глутаральдегида в течение 2,5 ч при температуре 4°C. Постфиксацию проводили в 1% растворе тетраоксида осмия. Затем кусочки ткани были дегидратированы в растворах этилового спирта возрастающей концентрации и ацетоне, после чего заключены в смесь аралдитов. После полимеризации блоков из них изготавливали ультратонкие срезы на ультрамикротоме «Leica EM UC6», которые были окрашены по Рейнольдсу в растворах уранилацетата и цитрата свинца для усиления контраста. Исследование материала и фотосъемку проводили с помощью просвечивающего электронного микроскопа «JEM-100 CX» (Япония).
Результаты и их обсуждение. При световой микроскопии большинство нейронов были изменены, единичные нейроны имели правильную форму, но тёмное ядро, ядрышко не определялось. Часто встречались «клетки-тени», иногда с явлениями нейронофагии. Имели место очаги нейронального опустошения. Наиболее характерными являлись темные сморщенные нейроны с темным ядром неправильной формы.
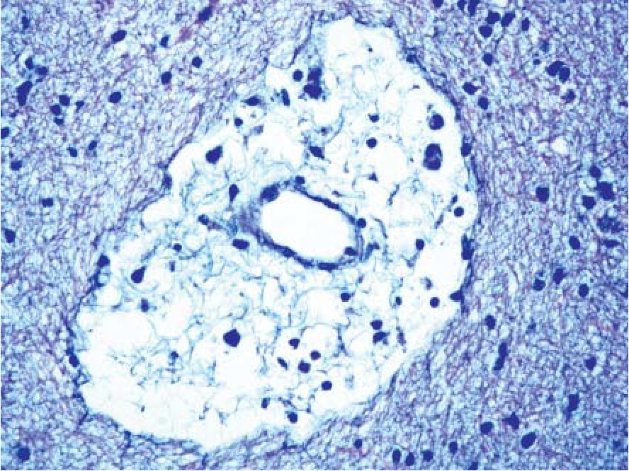
Наиболее выраженные изменения в веществе головного мозга у пациентов, страдающих ИНТГ, были связаны с общим разрежением нейропиля, утолщением и склерозированием стенок артериол, набуханием эндотелия, образованием конвалютов. Периваскулярные пространства часто были расширены, иногда значительно, с образованием криблюр (рис. 1).
Рис. 1. Кора. Крупная криблюра, в просвете небольшое количество рыхло расположенных коллагеновых волокон и свободно лежащие макрофаги и лимфоциты. Окраска гематоксилином и эозином, ув. ×400
В подкорковом белом веществе имели место мелкие очаги элективного некроза ткани мозга и образование мелких полостей неправильной формы с неровными контурами. Количество миелинизированных аксонов было уменьшено во всех случаях, иногда значительно, волокна были неравномерными по толщине и не образовывали характерной для белого вещества плотной сети (рис. 2).
Рис. 2. Белое вещество. Нейропиль разрежен, количество миелиновых волокон значительно уменьшено. Окраска по методу Шпильмеера, ув. ×400
Плотность белого вещества в перивентрикулярной зоне была неравномерной и значимо уменьшалась в участках, прилежащих к желудочку. Состояние глии и сосудов аналогично изменениям в субкортикальном белом веществе. Белое вещество, прилежащее к желудочку, представлено множественными полостями с неровными контурами разных размеров и формы. Миелиновые волокна в этой зоне были единичными, неровными, истонченными (рис. 3).
Рис. 3. Перивентрикулярная зона, белое вещество, прилежащее к желудочку представлено множественными полостями разных размеров и формы с неровными контурами. Окраска гематоксилином и эозином, ув. ×400
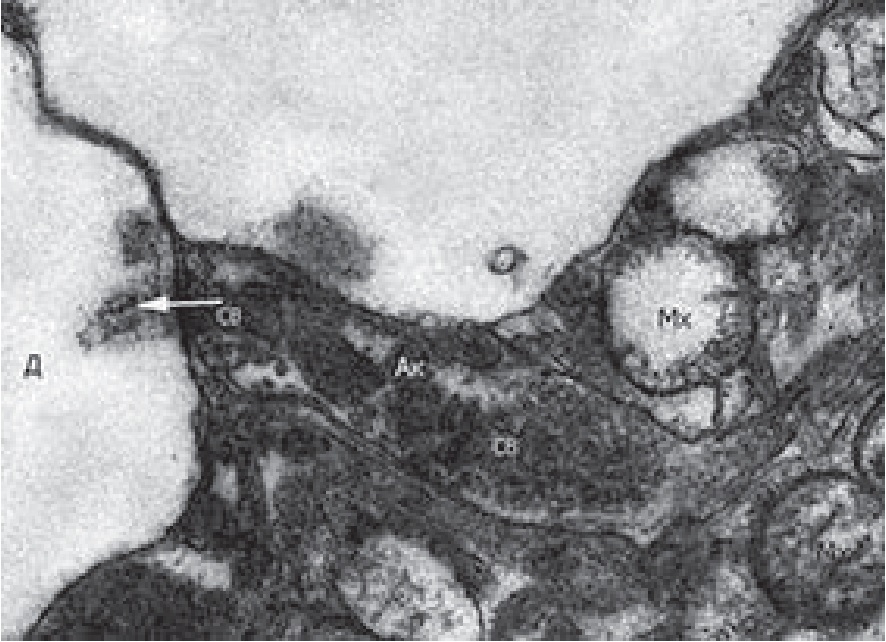
Изменения морфологии клеток головного мозга и межклеточного вещества при идиопатической нормотензивной гидроцефалии выявлялись и на ультрамикроструктурном уровне. При электронной микроскопии ткани перивентрикулярной области пациентов, страдающих ИНТГ, определялась общая пастозность ткани. Губчатость паренхимы была обусловлена множеством расширенных оптически пустых дендритов и аксонов, диффузно расположенных среди нейропиля по всей перивентрикулярной зоне. Максимальное их скопление локализовано вокруг сосудов. Отечные отростки, сливаясь по 2–4 в единые конгломераты, имели между собой щелевые контакты (gap junctions). Образованные спонтанно в результате критического сближения мембран, увеличенных в объеме соседних отростков, щелевые контакты могут выполнять роль электрических синапсов. Синапсы, образованные с участием большинства пар нервных окончаний, имели морфологические признаки нарушения проводимости нервных импульсов. Синаптические везикулы в большом количестве скапливались в аксонных терминалях, агглютинировали (рис. 4).
Рис. 4. Тонкий аксональный отросток полностью заполнен агглютинировавшими свободными везикулами (СВ), ув. ×20500. Д – дендрит; Мх – митохондрия; Ак – аксон
Нередко в перинуклеарных «карманах» и в более объемных, оптически «пустых» областях, прилегающих к ядру, наблюдались скопления вещества, напоминающего ядерный хроматин. Кариоплазма при этом имела повышенную конденсацию хроматина, не свойственную данным клеткам в нормальном состоянии.
Основная масса нейро- и глиоцитов перивентрикулярной зоны, в том числе элементы гематоэнцефалического барьера, были повреждены и/или гиперхромны с необратимыми дегенеративными изменениями (рис. 5). В цитоплазме многих клеток обнаружены тельца Леви.
Рис. 5. Часть гиперхромного нейрона: у ядерных пор скопления хроматина (Хр), в цитоплазме небольшое тельце Леви (ТЛ) и лизосома (Л), ув. ×26500. ЯН – ядро нейрона
В перивентрикулярной зоне лобных долей головного мозга при НТГ обнаружены амилоидные бляшки. Как правило, в исследуемых биоптатах крупные амилоидные бляшки были окружены разнонаправленными волокнами глиофиламентов и небольшими по размеру фрагментами остаточных мембран (рис. 6). В перивентрикулярной зоне выявлен фиброз клеточных элементов и межклеточного пространства нейропиля. В цитоплазме тел фиброзных астроцитов и олигодендроцитов обнаружены глиофиламенты в виде тонких нитей или плотных сконцентрированных пучков вокруг ядер.
Рис. 6. Амилоидная бляшка (АБ), окруженная большими пучками разнонаправленных глиофиламентов (ГлФл), ув. ×3000
Расширение периваскулярных пространств вокруг мелкокалиберных артериол укладывается в концепцию нарушений функционирования глиолимфатической системы, возникающих у пациентов, страдающих ИНТГ [1]. Само по себе расширение периартериальных пространств может приводить к снижению темпов обменных процессов между ликвором и тканевой жидкостью, затруднять клиренс продуктов обмена из межклеточного пространства. Теоретические представления о нарушениях механизмов очищения микроокружения нервных клеток от токсинов и «шлаков» нашло подтверждение в экспериментальных работах с интратекальным введением парамагнитного контрастного вещества. Так, в работе G. Ringstad et al. [17] отмечено значительное снижение клиренса гадобутрола из субарахноидальных пространств у пациентов с нормотензивной гидроцефалией.
Общее обеднение паренхимы мозга нейронами и формирование постапоптотических полостей, а также разрежение нервных волокон в подкорковом белом веществе свидетельствуют о выраженной дистрофии, развивающейся при ИНТГ. Литературные данные свидетельствуют о двух наиболее вероятных механизмах развития подобных патологических изменений в ткани головного мозга: ишемические изменения в клетках на фоне общего снижения мозгового кровотока [15] и вторичная атрофия нейронов, возникающая вследствие механического повреждения проводящих путей при расширении боковых желудочков [4]. Гипотеза о ключевой роли снижения общего мозгового кровотока в патогенезе ИНТГ не вполне согласуется с клиническими находками. Так, по данным G.A. Bateman et al. [3], у 14–16% пациентов, страдающих ИНТГ, показатели мозгового кровотока находятся в пределах нормальных значений. В значительном количестве исследований с построением диффузионно-тензорных изображений при ИНТГ выявлено увеличение коэффициента фракционной анизотропии, что косвенно свидетельствует о повреждении проводящих путей [7, 16]. Вместе с тем отмечено, что после проведения ликворошунтирующей операции или тап-теста регрессу неврологической симптоматики соответствует нормализация коэффициента фракционной анизотропии [9–11].
Нарастание выраженности патологических изменений в перивентрикулярной области соответствует патофизиологическим концепциям, постулирующим прямое воздействие пульсовых волн внутричерепного давления на стенки боковых желудочков в качестве главного фактора развития гидроцефалии. Наши наблюдения согласуются с экспериментальными данными, свидетельствующими о повреждении эпендимы при нормотензивной гидроцефалии [6] и существовании прямого трансэпендимарного тока ликвора в условиях «пульсационного стресса» [17].
Изучение ультрамикроструктурных изменений в клетках головного мозга позволяет понять механизмы формирования неврологической симптоматики при ИНТГ. Так, формирование патологических щелевых контактов между нейронами, агглютинация синаптических везикул в терминалях аксонов, формирование контактов между нейронами и астроцитами и другими глиальными клетками, очевидно, приводит к нарушению механизмов возбуждения нейронов и проведения нервных импульсов.
Конденсация хроматина в ядрах нейронов, формирование телец Леви и амилоидных бляшек в цитоплазме клеток и межклеточном веществе не только перивентрикулярной, но и других областей говорит о существовании общего дегенеративного процесса, сопряжённого с ИНТГ. Это обстоятельство согласуется с исследованиями D. Cabral et al. [5], установившими на основании результатов аутопсий высокую частоту коморбидности ИНТГ с болезнью Альцгеймера.
Выводы
- Выявленные патоморфологические изменения в коре и белом веществе головного мозга у пациентов, страдающих ИНТГ, соответствуют существующим на сегодняшний день патофизиологическим концепциям.
- К наиболее характерным микроскопическим изменениям вещества головного мозга при ИНТГ относятся амилоидная ангиопатия, пористость и вакуолизация паренхимы, снижение количества миелиновых волокон.
- На ультрамикроскопическом уровне при ИНТГ выявляется нарушение синаптической передачи, формирование патологических щелевых контактов между отёчными отростками нейронов, образование амилоидных бляшек, телец Леви и разрастаний глиофиламентов.
- Изучение микро- и ультрамикроструктурных изменений даёт ключ к лучшему пониманию механизмов формирования ИНТГ.
Об авторах
Г. В. Гаврилов
Военно-медицинская академия им. С.М. Кирова
Email: vmeda-nio@mil.ru
Россия, Санкт-Петербург
А. В. Станишевский
Военно-медицинская академия им. С.М. Кирова
Email: vmeda-nio@mil.ru
Россия, Санкт-Петербург
Б. В. Гайдар
Военно-медицинская академия им. С.М. Кирова
Email: vmeda-nio@mil.ru
Россия, Санкт-Петербург
Н. М. Парамонова
Институт эволюционной физиологии и биохимии им. И.М. Сеченова
Email: vmeda-nio@mil.ru
Россия, Санкт-Петербург
О. Н. Гайкова
Институт токсикологии Федерального медико-биологического агентства России
Email: vmeda-nio@mil.ru
Россия, Санкт-Петербург
Д. В. Свистов
Военно-медицинская академия им. С.М. Кирова
Автор, ответственный за переписку.
Email: vmeda-nio@mil.ru
Россия, Санкт-Петербург
Список литературы
- Asgari, M. Does glymphatic solute transport need paravascular bulk flow? / M. Asgari [et al.] // Fluids and Barriers of the CNS. – 2017. – Vol. 14. – P. 17–23.
- Asgari, S. Latency relationships between cerebral blood flow velocity and intracranial pressure / S. Asgari [et al.] // Acta Neurochir. – 2012. – Vol. 114. – P. 5–9.
- Bateman, G.A. The venous manifestations of pulse wave encephalopathy: windkessel dysfunction in normal aging and senile dementia / G.A. Bateman [et al.] // Neuroradiology. – 2008. – Vol. 50. – P. 491–497.
- Bradley, W.G. Cerebrospinal fluid dynamics and shunt responsiveness in patients with normal-pressure hydrocephalus / W.G. Bradley [et al.] // Mayo Clin. Proc. – 2002. – Vol. 77. – P. 507–508.
- Cabral, D. Frequency of Alzheimer’s disease pathology at autopsy in patients with clinical normal pressure hydrocephalus / D. Cabral [et al.] // Alzheimers Dement. – 2011. – Vol. 7. – P. 509–513.
- Di Rocco, C. Сommunicating hydrocephalus induced by mechanically increased amplitude of the intraventricular cerebrospinal fluid pressure: Experimental studies / C. Di Rocco [et al.] // Exp. Neurol. – 1978. – Vol. 59. – P. 40–52.
- Hattingen, E. Diffusion tensor imaging in patients with adult chronic idiopathic hydrocephalus / E. Hattingen [et al.] // Neurosurgery. – 2010. – Vol. 66. – P. 917–924.
- Jaraj, D. Prevalence of idiopathic normal-pressure hydrocephalus / D. Jaraj [et al.] // Neurology. – 2014. – Vol. 82. – P. 1449–1454.
- Kamiya, K. Diffusion imaging of reversible and irreversible microstructural changes within the corticospinal tract in idiopathic normal pressure hydrocephalus / K. Kamiya [et al.] // Neuroimage. Clin. – 2017. – Vol. 14. – P. 663–671.
- Kang, K. Diffusion tensor imaging of idiopathic normal-pressure hydrocephalus and the cerebrospinal fluid tap test / K. Kang [et al.] // J. Neurol. Sci. – 2016. – Vol. 364. – P. 90–96.
- Kanno, S. A change in brain white matter after shunt surgery in idiopathic normal pressure hydrocephalus: a tract-based spatial statistics study / S. Kanno [et al.] // Fluids Barriers CNS. – 2017. – Vol. 14. – P. 32–36.
- Kehler, U. Normal pressure hydrocephalus: is it worthwhile to treat bedridden patients? / U. Kehler [et al.] // Fluids and Barriers of the CNS. – 2017. – Vol. 14. – P. 17–22.
- Khani, M. Anthropomorphic Model of Intrathecal Cerebrospinal Fluid Dynamics Within the Spinal Subarachnoid Space: Spinal Cord Nerve Roots Increase Steady-Streaming / M. Khani [et al.] // J. Biomech. Eng. – 2018. – Vol. 140. – P. 39–44.
- Mori, E. Guidelines for management of idiopathic normal pressure hydrocephalus: second edition. Neurol / E. Mori [et al.] // Med. Chir. (Tokyo). – 2012. – Vol. 52. – P. 775–809.
- Owler, B.K. Changes in cerebral blood flow during cerebrospinal fluid pressure manipulation in patients with normal pressure hydrocephalus: a methodological study / B.K. Owler [et al.] // J. Cereb. Blood. Flow. Metab. – 2004. – Vol. 24. – P. 579–587.
- Radovnický, T. Fractional anisotropy in patients with disproportionately enlarged subarachnoid space hydrocephalus / T. Radovnický [et al.] // Acta Neurochir. (Wien). – 2016. – Vol. 158. – P. 1495–1500.
- Ringstad, G. Brain-wide glymphatic enhancement and clearance in humans assessed with MRI / G. Ringstad [et al.] // JCI Insight. – 2018. – Vol. 3. – Р. 1–16.
Дополнительные файлы








