Диагностика и особенности эндовидеохирургического лечения гигантских непаразитарных кист печени
- Авторы: Сигуа Б.В.1, Земляной В.П.1, Латария Э.Л.1, Никифоренко А.В.1, Качиури А.С.1, Гуржий Д.В.1, Мельников В.А.1, Винничук С.А.1, Волкова Е.С.1, Овчинников Д.В.2
-
Учреждения:
- Северо-Западный государственный медицинский университет им. И.И. Мечникова
- Военно-медицинская академия им. С.М. Кирова
- Выпуск: Том 21, № 1 (2019)
- Страницы: 75-78
- Раздел: Клинические исследования
- Статья получена: 06.06.2019
- Статья опубликована: 15.12.2019
- URL: https://journals.eco-vector.com/1682-7392/article/view/13042
- DOI: https://doi.org/10.17816/brmma13042
- ID: 13042
Цитировать
Полный текст
Аннотация
Приводится клинический случай успешного лечения пациентки с гигантской непаразитарной кистой печени. Пациентка обследовалась амбулаторно: при выполнении ультразвукового исследования, а затем спиральной компьютерной томографии органов брюшной полости в проекции IV, V и VIII сегментов печени выявлено кистозное образование размерами 130×160×170 мм. Анализ на наличие противопаразитарных антител IgG показал отрицательный результат, что свидетельствует о непаразитарной природе кисты. Пациентка поступила в клинику факультетской хирургии им. И.И. Грекова Северо-Западного государственного медицинского университета им. И.И. Мечникова для планового оперативного лечения. После предоперационной подготовки пациентке было выполнено оперативное вмешательство в объеме лапароскопической фенестрации непаразитарной кисты печени с холецистэктомией (в связи с наличием сопутствующей желчнокаменной болезни). Для обработки ложа кисты использовалась методика аргоноплазменной коагуляции. Пациентка была активизирована в первые сутки послеоперационного периода. Послеоперационный период протекал гладко. По данным патогистологического исследования операционного материала выявлена фиброзная стенка кисты с преимущественным уплощением. Согласно результатам контрольного ультразвукового исследования брюшной полости, после удаления дренажей жидкости в брюшной полости не лоцировалось. В клиническом и биохимическом анализах крови клинически значимых отклонений не отмечалось. Пациентка выписана в удовлетворительном состоянии на 12-е сутки послеоперационного периода. Таким образом, приведенный клинический случай показывает, что даже гигантские размеры кисты не являются противопоказанием для применения эндовидеохирургических методик лечения.
Ключевые слова
Полный текст
Введение. В последние десятилетия число пациентов с непаразитарными кистами печени существенно возросло. Так, в 80-х годах прошлого столетия частота встречаемости непаразитарных кист печени составляла 0,14−0,17%. В настоящее время, по данным М.Ф. Заривчацкого [5], частота выявления непаразитарных кист печени в популяции составляет порядка 5%. С одной стороны, это связано с развитием медицины, в частности с широкими современными диагностическими возможностями, такими как ультразвуковая диагностика и компьютерная томография, а другой стороны – с повышением доступности данных методик диагностики для населения [4, 8, 11, 14]. Заметим, что данное заболевание зачастую протекает бессимптомно, а клинические проявления в виде умеренных болей, дискомфорта и чувства распирания в правом подреберье (у 88% пациентов) начинаются при увеличении размеров кист до 5−10 см и более. В вопросах лечения непаразитарных кист печени решающим является прогрессирующее увеличение размеров образования. Что касается кист малого диаметра (менее 5 см), то наиболее подходящей тактикой в данном случае является динамическое наблюдение [9, 10, 12, 15].
Важным аспектом, помимо инструментального исследования, является дифференциальная диагностика с кистами паразитарной природы. Зачастую паразитарные кисты характеризуются длительным течением, как и кисты непаразитарного происхождения. Однако при диагностике паразитарных кист наблюдаются характерные рентгенологические и ультразвуковые признаки обызвествления капсулы кисты и наличия дочерних пузырей, а также положительный титр противопаразитарных антител IgG в сыворотке крови [6, 13, 16].
Малигнизацию непаразитарных кист печени наблюдают крайне редко. По данным некоторых авторов, в мировой практике насчитывают порядка 40 случаев озлокачествления непаразитарных кист [2]. Кроме того, у пациентов с непаразитарными кистами печени нередко выявляют сочетанные заболевания. При этом в 73,7% случаев речь идет о желчнокаменной болезни [3]. Истинное число больных с непаразитарными кистами печени, а также отсутствие общепризнанной лечебной стратегии ставят эту нозологическую единицу в ряд актуальных проблем.
На сегодняшний день существуют как минимально инвазивные, так и традиционные методы хирургического лечения непаразитарных кист печени. Среди них фенестрация кист печени, пункция и склерозирование, марсупиализация кист, а также резекция печени. Помимо этого, различают ряд методик деэпитализации стенок кист – от обработки этанолом до коагуляции аргоновой плазмой [7, 14].
Цель исследования. Продемонстрировать возможность успешного эндовидеохирургического лечения гигантской непаразитарной кисты печени.
Материалы и методы. Пациентка К. 76 лет госпитализирована 11.09.2018 г. в клинику факультетской хирургии им. И.И. Грекова Северо-Западного государственного медицинского университета им. И.И. Мечникова с диагнозом направления «Киста правой доли печени. Желчнокаменная болезнь. Хронический калькулезный холецистит вне обострения». При поступлении пациентка отмечала умеренную болезненность, дискомфорт и чувство распирания в правом подреберье.
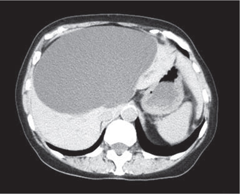
Результаты и их обсуждение. Из анамнеза известно, что 5 лет назад, во время прохождения профилактического медицинского осмотра при помощи ультразвукового исследования (УЗИ) органов брюшной полости была выявлена киста правой доли печени. В ноябре 2017 г. пациентка отметила появление болевого синдрома и дискомфорта в верхних отделах живота, которые купировались приемом спазмолитиков (но-шпа). С конца июля 2018 г. боли нарастали, в связи с чем 08.09.2018 г. пациентке была выполнена спиральная компьютерная томография (СКТ) органов брюшной полости, по результатам которой в правой доле печени обнаружено образование размерами 126×177×184 мм с однородной жидкостной структурой и четкой капсулой, а также множественные конкременты желчного пузыря с максимальным размером до 16 мм в диаметре (рис. 1). Амбулаторно был выполнен иммуноферментный анализ (ИФА) антител класса IgG к эхинококку – результат отрицательный. Пациентка обратилась в клинику факультетской хирургии им. И.И. Грекова. Была проконсультирована сотрудниками клиники, ей рекомендовали госпитализацию и оперативное лечение.
Рис. 1. КТ-картина гигантской кисты печени
С учетом лабораторно-инструментальных данных было принято решение о выполнении симультанного эндовидеохирургического оперативного вмешательства в объёме фенестрации непаразитарной кисты печени с холецистэктомией. С целью уточнения локализации непосредственно перед операцией пациентке выполнено УЗИ органов брюшной полости, по результатам которого в проекции IV, V и VIII сегментов печени лоцировалась киста размерами 130×160×170 мм объёмом 1900 см³. Стенка толщиной 3 мм, содержимое однородное. Желчный пузырь не увеличен, обычной формы, смещён кистой вправо. Стенка уплотнена, утолщена. В содержимом осадок в виде сладжа, подвижные конкременты диаметром до 14 мм в количестве 5−7.
В параумбиликальной области установлен лапаропорт с оптической системой. При ревизии – в брюшной полости выпота нет. В проекции IV, V и VIII сегментов печени визуализирована киста размерами 18×18×12 см (рис. 2).
Рис. 2. Интраоперационная картина кисты печени
Выполнена пункция кисты печени – получено около 2000 мл прозрачного экссудата. Стенки кисты иссечены с помощью аппарата «LigaSure». Ложе кисты тщательно обработано аргоноплазменной коагуляцией (рис. 3). Аргон под действием электрического поля достаточно легко ионизируется и превращается в плазму, которая направляется в ткани с наименьшим электрическим сопротивлением, вызывая таким образом коагуляцию. Данная методика обработки ложа кисты имеет ряд преимуществ перед обработкой электрокоагуляцией: отсутствие прилипания и минимальная травматизация окружающих тканей, стойкая, но при этом неглубокая (до 3 мм) коагуляция, а также минимальное дымообразование, что очень важно в лапароскопической хирургии. Кроме того, отмечается антимикробное воздействие аргоновой плазмы на обрабатываемую поверхность при бесконтактном использовании [1, 17].
Рис. 3. Вид операционного поля во время и после обработки аргоноплазменным потоком
Затем выделены раздельно, клипированы и пересечены пузырный проток и пузырная артерия. Выполнена холецистэктомия «от шейки». Ложе желчного пузыря также обработано аргоноплазменной коагуляцией. Произведены дренаж к ложу желчного пузыря и два дренажа к ложу кисты печени, осуществлён контроль гемостаза, холестаза и инородных тел.
Желчный пузырь и стенки кисты извлечены из брюшной полости в контейнере (препараты отправлены на патогистологическое исследование) (рис. 4).
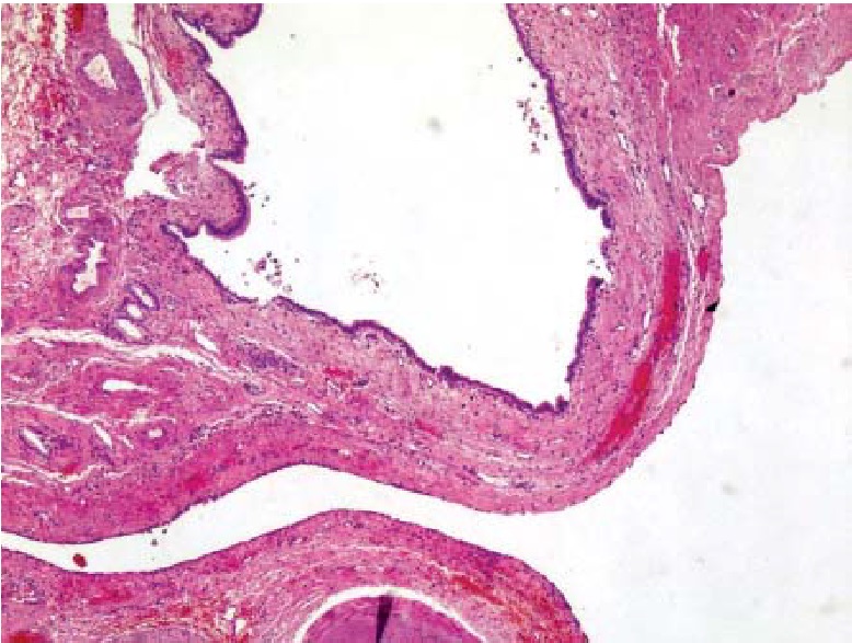
Рис. 4. Гистологическое строение стенки кисты. Окраска гематоксилином и эозином, ув. ×40
По результатам патогистологического исследования фрагментов стенки кисты выявлена фиброзная стенка кисты с преимущественно уплощенной выстилкой, местами выстилка аналогична выстилке желчных протоков, а также солитарная киста желчного протока. По периферии обнаружены единичные кистозно-расширенные желчные протоки, небольшие фрагменты ткани печени с очагами гемосидероза.
Пациентка была активизирована через сутки после операции. Послеоперационный период протекал гладко, соответственно объему перенесенного оперативного вмешательства, без осложнений. Дренажи из области ложа желчного пузыря и ложа кисты удалены на 3-й и 6-й день послеоперационного периода соответственно.
На 7-е сутки послеоперационного периода выполнено контрольное УЗИ органов брюшной полости, по результатам которого свободной жидкости в брюшной полости не обнаружено. Пациентка выписана в удовлетворительном состоянии на 12-е сутки послеоперационного периода.
Заключение. Существующие тенденции к использованию миниинвазивных технологий часто опережают реальные технические возможности, что нередко приводит к дискредитации самой методики и отказу от нее на долгие годы. Сдержанный и разумный подход в комплексе с технической оснащенностью и опытом позволяют расширить показания к использованию современных технологий при самых различных патологических состояниях. Продемонстрированный клинический случай является яркой иллюстрацией таких возможностей использования эндовидеохирургических технологий в гепатохирургии.
Об авторах
Б. В. Сигуа
Северо-Западный государственный медицинский университет им. И.И. Мечникова
Email: dr.sigua@gmail.com
Россия, Санкт-Петербург
В. П. Земляной
Северо-Западный государственный медицинский университет им. И.И. Мечникова
Email: dr.sigua@gmail.com
Россия, Санкт-Петербург
Э. Л. Латария
Северо-Западный государственный медицинский университет им. И.И. Мечникова
Email: dr.sigua@gmail.com
Россия, Санкт-Петербург
А. В. Никифоренко
Северо-Западный государственный медицинский университет им. И.И. Мечникова
Email: dr.sigua@gmail.com
Россия, Санкт-Петербург
А. С. Качиури
Северо-Западный государственный медицинский университет им. И.И. Мечникова
Автор, ответственный за переписку.
Email: dr.sigua@gmail.com
Россия, Санкт-Петербург
Д. В. Гуржий
Северо-Западный государственный медицинский университет им. И.И. Мечникова
Email: dr.sigua@gmail.com
Россия, Санкт-Петербург
В. А. Мельников
Северо-Западный государственный медицинский университет им. И.И. Мечникова
Email: dr.sigua@gmail.com
Россия, Санкт-Петербург
С. А. Винничук
Северо-Западный государственный медицинский университет им. И.И. Мечникова
Email: dr.sigua@gmail.com
Россия, Санкт-Петербург
Е. С. Волкова
Северо-Западный государственный медицинский университет им. И.И. Мечникова
Email: dr.sigua@gmail.com
Россия, Санкт-Петербург
Д. В. Овчинников
Военно-медицинская академия им. С.М. Кирова
Email: dr.sigua@gmail.com
Россия, Санкт-Петербург
Список литературы
- Богомолов, В.А. Аргоноплазменная коагуляция в системе бесконтактных способов лечения: преимущества и недостатки / В.А. Богомолов, С.М. Лещенко // Устойчивое развитие науки и образования. – 2018. – № 1. – С. 207–214.
- Борисов, А.Е. Руководство по хирургии печени и желчевыводящих путей: в 2-х томах / А.Е. Борисов. – СПб.: Скифия. – 2002. – Т. 1. – 488 с.
- Галимов, О.В. Симультанные операции у больных с кистами печени, сочетанными с заболеваниями органов брюшной полости / О.В. Галимов [и др.] // Научный Альманах. – 2015. – № 8 (10). – С. 945–948.
- Живаева, Е.В. Морфологическая характеристика непаразитарных кист печени / Е.В. Живаева, Г.Г. Фрейнд // Гастроэнтерология Санкт-Петербурга. – 2016. – № 3–4. – С. 25–27.
- Заривчацкий, М.Ф. Лечение больных с непаразитарными кистами печени / М.Ф. Заривчацкий [и др.] // Анн. хир. гепатол. – 2008. – Т. 13, № 1. – С. 71–75.
- Заривчацкий, М.Ф. Принципы лечения непаразитарных кист печени / М.Ф. Заривчацкий, О.Ю. Пирожников, И.Н. Мугатаров // Вестн. хир. им. И.И. Грекова. – 2006. – Т. 165, № 4. – С. 31–34.
- Котельникова, Л.П. Лечение непаразитарных кист печени / Л.П. Котельникова, Ю.Б. Бусырев, Я.В. Белякова // Анн. хир. гепатол. – 2014. – Т. 19, № 1. – С. 60–67.
- Куликов, В.Е. Гемодинамика в ветвях дуги аорты при хронических заболеваниях печени / В.Е. Куликов [и др.] // Вестн. Сев.-Зап. гос. мед. универ-та им. И.И. Мечникова. – 2015. – Т. 7, № 1. – С. 64–67.
- Манучаров, А.А. Хирургическая тактика у больных с непаразитарными кистами печени / А.А. Манучаров [и др.] // Фунд. исследования. – 2012. – № 7. – С. 195–198.
- Радченко, В.Г. Возрастные изменения печени / В.Г. Радченко, П.В. Селиверстов // Вестн. Сев.-Зап. гос. мед. ун-та им. И.И. Мечникова. – 2017. – T. 9, № 1. – С. 110–116.
- Смолькина, А.В. Лечебно-диагностический алгоритм для больных с непаразитарными кистами печени / А.В. Смолькина, А.А. Манучаров, Д.В. Баринов // МедиАль. – 2012. – № 1 (4). – С. 43–45.
- Третьяков, А.А. Хирургическая тактика при непаразитарных кистах печени / А.А. Третьяков [и др.] // Альманах хирургии. – 2011. – Т. 6, № 2. – С. 117–118.
- Холин, А.В. Современные методы нейровизуализации в диагностике альвеококкоза головного мозга (клинический случай) / А.В. Холин, Г.Т. Аманбаева // Вестн. Сев.-Зап. мед. ун-та им. И.И. Мечникова. – 2014. – Т. 6, № 4. – С. 97–102.
- Хрячков, В.В. Непаразитарные кисты печени / В.В. Хрячков, Д.П. Кислицин, А.А. Добровольский // Хирургия кист и абсцессов. – Ханты-Мансийск: ИИЦ ХМГМА, 2013. – 156 с.
- Шалимов, А.А. Хирургия печени и желчевыводящих путей / А.А. Шалимов [и др.]. – Киев, 1993. – 512 с.
- Heathcote, E.J. Management of primary biliary cirrhosis / E.J. Heathcote // The American Association for the Study of Liver Diseases practice guidelines. Hepatology. – 2000. – Vol. 31. – P. 1005–1013.
- Zenker, M. Argon plasma coagulation / M. Zenker // GMS Krankenhhyg Interdiszip. – 2008. – № 3 (1). – P. 1–5.
Дополнительные файлы






