Infrared scan of the head in the diagnosis of intracranial pathology
- Authors: Svistov D.V.1, Badalov V.I.1, Shevelev P.Y.1, Antonov E.G.1, Bannikov S.A.1, Landik S.A.1, Alekseev D.E.1, Voitsekhovsky D.V.1, Kruglov D.V.1, Spicyn M.I.1, Marcynishina K.Y.1
-
Affiliations:
- S.M. Kirov Military Medical Academy
- Issue: Vol 21, No 1 (2019)
- Pages: 79-83
- Section: Clinical Trials
- Submitted: 06.06.2019
- Published: 15.12.2019
- URL: https://journals.eco-vector.com/1682-7392/article/view/13043
- DOI: https://doi.org/10.17816/brmma13043
- ID: 13043
Cite item
Full Text
Abstract
The most important task of primary diagnosis in craniocerebral injuries and diseases of the head is to exclude compression of the brain by intracranial hematoma. Modern methods of diagnostics allow to solve this problem with high accuracy, however, the high cost of devices, their stationarity, the need to use high-precision methods of instrumental diagnostics as soon as possible and close to the scene are the main problem at the moment. Here are examined the possibilities, convenience and efficiency of using a portable device for infrared head scanning «Infrared Model 2000 Sensor» in the provision of medical care at advanced stages, in the absence of the necessary technical resources for the verification of intracranial hematoma. The diagnostic value of the method was tested in the clinical departments of the Military medical academy S.M. Kirov. There were 62 patients with various injuries and diseases of the head examined, who was treated at the clinic of neurosurgery and field military surgery from July to August 2017. Echoencephaloscopy was made for all patients in addition to the infrared scanning head. The results were controlled by computed tomography of the head. The age of patients is ranged from 19 to 70 years. In 94% of cases, the infrared head scan was performed during the first day after the manifestation of the disease or injury, with 47% of cases the study was conducted for the first 3 hours, and 7% of cases in the first 3 days after the head injury. The sensitivity of diagnosis of intracranial pathology according to infrared scanning was 72,7%, specificity – 72,5%. False positive results were obtained in 27,3% of cases. The main causes of false positive results were: the presence of subcutaneous hematomas in the study areas, the presence of blood clotting in the scanning area, bleeding from the wounds of the scalp.
Full Text
Введение. Смертность при черепно-мозговой травме (ЧМТ) у лиц трудоспособного возраста (до 45 лет) занимает лидирующее место в общей структуре смертности, уступая только сердечно-сосудистым заболеваниям (ССЗ), и возрастает каждый год на 2% [14, 15]. Ежегодно в мире от ЧМТ погибает 1,5 млн человек, а 2,4 млн становятся инвалидами. Частота встречаемости ЧМТ в среднем составляет 3–4 человека на 1000 населения. В Российской Федерации (РФ) ежегодно ЧМТ получают около 600 тысяч человек, из которых 50 тысяч погибают, а ещё 50 тысяч становятся инвалидами [2, 3, 8, 10]. Внутричерепные гематомы потенциально могут образовываться у любого пострадавшего с диагностированной ЧМТ независимо от ее тяжести.
Острые нарушения мозгового кровообращения (ОНМК) также занимают одну из лидирующих позиций по заболеваемости и смертности в РФ и в мире. Частота инсультов в мире колеблется от 1 до 4 случаев на 1000 населения в год, а в крупных городах России составляет 3,3–3,5 случаев на 1000 населения в год. В последние годы в России регистрировалось более 400000 инсультов в год. ОНМК приблизительно в 70–85% случаев представляют собой ишемические поражения, а в 15–25% – внутричерепные кровоизлияния. При этом на внутримозговые (нетравматические) кровоизлияния приходится 15–25% случаев, а на спонтанное субарахноидальное кровоизлияние (САК) – 5–8% от всех инсультов. Летальность в остром периоде заболевания достигает 35%. В экономически развитых странах смертность от инсульта занимает 2–3 место в структуре общей смертности населения. Согласно данным Американской ассоциации сердца, около 40% людей в мире умирают в активном трудоспособном возрасте (25 лет–64 года), при этом среди мужчин трудоспособного возраста смертность от ССЗ в России в несколько раз выше, чем в развитых странах Европы, от ОНМК – в 6 раз [14, 15].
Важнейшую роль в диагностике внутричерепных кровоизлияний играют методы нейровизуализации. Ведущим фактором, во многом определяющим исход лечения пациентов с внутричерепными гематомами, является правильное, своевременное и обоснованное определение показаний к нейрохирургическому вмешательству [9, 12]. Очевидно, что для определения тактики ведения пациентов с различными видами повреждений и заболеваний головы необходимо использование сложной современной дорогостоящей аппаратуры, доступной только на этапе оказания специализированной медицинской помощи [1, 4, 6, 7, 11, 13]. В то же время особенностью современной жизни является высокий риск одномоментного массового появления большого числа раненых и пострадавших (террористический акт, стихийное бедствие, техногенная катастрофа, военные действия), что может потребовать проведения их сортировки с целью определения очередности дальнейшей эвакуации и места лечения.
При проведении медицинской сортировки пострадавших с диагностированной ЧМТ основной задачей является выявление пациентов, нуждающихся в оказании неотложной медицинской помощи, а также первоочередной эвакуации для проведения обследования и принятия решения о выполнении срочных операций, направленных на устранение сдавления головного мозга. С этих позиций инфракрасное сканирование головы (ИСГ) может рассматриваться в качестве перспективной методики первичной ранней диагностики острой внутричерепной патологии, связанной с кровоизлиянием. По данным производителя, чувствительность ИСГ с использованием аппарата «Infrascanner Model 2000 Sensor» (IM2000S) достигает 88%, специфичность – 90,7% [3, 5, 6].
Аппарат «IM2000S» предназначен для использования на догоспитальном этапе оказания медицинской помощи – от места происшествия до приёмного отделения медицинской организации – с целью раннего предварительного выявления внутричерепного кровоизлияния (гематомы), а также определения порядка и очередности медицинской эвакуации, проведения исчерпывающей диагностики, в качестве которой рассматривается спиральная компьютерная томография (СКТ) головы. Аппарат может быть востребован в работе бригад скорой медицинской помощи, травмпунктов, при проведении диагностики в лечебных учреждениях, не оснащённых современными аппаратами нейровизуализации, а также в условиях чрезвычайных ситуаций и вооруженных конфликтов.
Цель исследования. Изучить диагностические возможности ИСГ с использованием аппарата «IM2000S» для раннего выявления внутричерепных гематом у пациентов с ЧМТ и геморрагическими инсультами.
Материалы и методы. Аппарат медицинский инфракрасный диагностический «IM2000S» – переносной детектор для обнаружения внутричерепных повреждений (рис. 1), осуществляющий свою работу в ближнем инфракрасном диапазоне (БИК) с длинной волны 808 нм. Принцип работы аппарата основывается на сканировании головы пациента волнами в инфракрасном спектре БИК, которые поглощаются свёртками крови, содержащими молекулы оксигенированного гемоглобина, и последующей обработке полученных данных по коэффициенту ослабления сигнала в симметричных областях головы. По сути, работа прибора заключается в сравнении оптических свойств симметричных участков поверхности головы в целевых точках (рис. 2).
Рис. 1. Общий вид переносного контейнера с компонентами системы «IM2000S» (а) и общий вид аппарата с одноразовым светодиодом (б)
Рис. 2. Схема расположения диагностических точек для ИСГ
Методика ИСГ основана на том, что спектры поглощения молекул являются патогномоничными для данного вещества, а интенсивность поглощения связана с содержанием поглощенного компонента в облучаемом объекте [1]. Оксигенированный гемоглобин интенсивно поглощает световое излучение начиная с ультрафиолетовой области и до длины волны 600 нм с максимумом в 585 нм. В диапазоне от 600 до 1200 нм излучение глубже проникает в ткань с минимальными потерями на поглощение и рассеивание. Специфических хромофоров с высоким коэффициентом поглощения в этом диапазоне не существует [7]. Красный и ближний инфракрасные диапазоны спектра наиболее применимы для диагностирования внутричерепных гематом путем спектроскопии. К тому же данная область спектра абсолютно безвредна как для пациента, так и для оператора. На основании используемых физических принципов аппарат позволяет диагностировать внутричерепные гематомы объёмом более 3,5 см3 и определять показания для CКТ.
Согласно инструкции пользователя, прибор позволяет осуществлять первичную диагностику внутричерепных повреждений. При этом он не заменяет собой рентгенографию, СКТ, магнитно-резонансную томографию (МРТ) и эхоэнцефалоскопию (Эхо-ЭС) [1, 6] и позволяет осуществить лишь предварительную оценку характера повреждения.
В 2017 г. в клиниках нейрохирургии и военно-полевой хирургии Военно-медицинской академии имени С.М. Кирова было проведено обследование 62 пациентов в возрасте от 21 до 78 лет с различными повреждениями и заболеваниями головы (табл. 1) с применением ИСГ, ЭхоЭГ, СКТ головы. Затем детально проанализированы результаты ИСГ и выявлены основные факторы, влияющие на получение ложноположительных и ложноотрицательных результатов диагностики внутричерепных гематом.
У 3 пациентов ЧМТ носила изолированный характер, у 32 – сочетанный. У 29 пострадавших с диагностированной ЧМТ преобладало сотрясение головного мозга. В 3 наблюдениях диагностирован ушиб головного мозга с формированием контузионных очагов III типа, в 2 наблюдениях – острые внутричерепные оболочечные гематомы малого объёма, в 1 случае была выявлена эпидуральная гематома, потребовавшая хирургической эвакуации. 29 пациентов были обследованы в первые 3 ч от момента получения травмы, 3 пациента – в период от 3 до 24 ч и еще 3 пациента – позднее 24 ч.
Таблица 1. Общая характеристика обследованных пациентов
Показатель | Мужчины n=33 | Женщины n=29 |
Средний возраст, лет | 41 | 42 |
Нейрохирургические операции | 7 | 15 |
Острые нетравматические внутричерепные гематомы | 3 | 2 |
ЧМТ | 23 | 12 |
В ближайшем послеоперационном периоде обследованы 14 пациентов, прооперированных по поводу опухолей и кист больших полушарий головного мозга, и 8 пациентов – по поводу аневризм каротидных бассейнов. Осложнения послеоперационного периода с формированием внутричерепных гематом в данной группе отсутствовали, повторные операции по поводу внутричерепных гематом не проводились.
В группе пациентов с диагностированным ОНМК по геморрагическому типу у 3 больных отмечалось формирование паренхиматозных кровоизлияний путаменальной локализации и по одному – подкорковой и таламической локализаций. Хирургические вмешательства (эндоскопическая эвакуация гематомы, декомпрессивная трепанация черепа) выполнены 3 пациентам.
Пациентам с диагностированным ОНМК ИСГ выполняли в первые часы после госпитализации в стационар, что соответствовало 6–52 ч с момента дебюта заболевания. Прооперированным пациентам ИСГ выполняли через 17–21 ч после операции, как правило, в утренние часы следующего после вмешательства дня.
С целью подтверждения данных о наличии или отсутствии внутричерепных гематом, вызывающих смещение срединных структур головного мозга, всем пациентам выполнялось ЭхоЭС. Для проведения сравнительного анализа всем пациентам была проведена СКТ головы на аппаратах «Sоmatom» фирмы Simens (Германия), Aquilion фирмы Toshiba (Япония), которая позволяет объективизировать предположение о наличии внутричерепной гематомы.
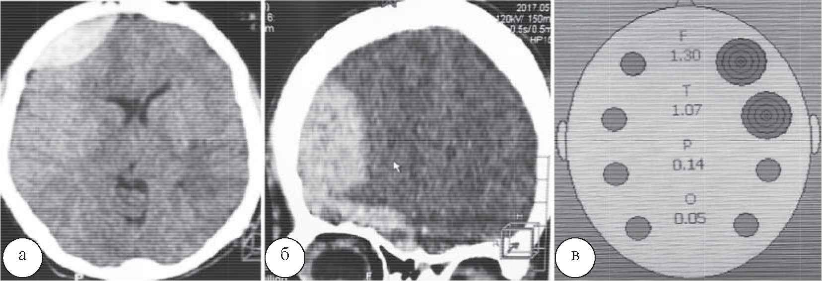
Результаты и их обсуждение. При обследовании трех пострадавших с изолированными ЧМТ у одного из них, по данным ИСГ, были выявлены признаки внутричерепной гематомы. При выполнении КТ у данного пострадавшего была диагностирована эпидуральная гематома в правой лобной области, совпадавшая с результатами ИСГ, свидетельствовавшими о наличии патологии в правой лобной области (рис. 3). В двух наблюдениях изменения по результатам ИСГ и КТ отсутствовали.
Рис. 3. Эпидуральная гематома правой лобной области, СКТ: а – сагиттальный срез; б – фронтальный срез; в – результаты ИСГ
При обследовании пациентов с сочетанными ЧМТ в 21 случае внутричерепных гематом по данным ИСГ и по данным КТ головы не выявлено. В 6 наблюдениях отмечен ложноположительный результат, при этом данными КТ наличия внутричерепной гематомы не подтверждено. Выявленные ложноположительные результаты ИСГ у 2 пациентов были связаны с наличием подкожных гематом в зоне сканирования, у 4 пациентов с наличием сгустков крови и кровотечения из ран волосистой части головы в исследуемых областях.
В 3 наблюдениях определялись признаки внутричерепных гематом (по одному случаю в правой лобной, правой височной и в левой теменно- височной областях соответственно). Во всех случаях определялись гематомы малого объема (до 10 мл), что было подтверждено данными СКТ головы и не потребовало хирургического вмешательства.
В 2 на блюдениях с помощью ИСГ были диагностированы плащевидные субдуральные гематомы спустя 24 ч и 48 ч после получения травмы соответственно. У этих пациентов ИСГ позволило точно определить факт наличия внутричерепных гематом, а также определить границы гематом и их ориентировочную проекцию на поверхность головы. Точность сканирования подтверждалась данными СКТ головы.
Во всех случаях выявления внутричерепных гематом прибор «IM2000S» позволил правильно определить их сторону и локализацию, что является крайне важным для определения дальнейшей тактики лечения пациента.
Диагностика острых нетравматических внутричерепных гематом с помощью ИСГ осуществлялась у 5 больных с диагностированным ОНМК по геморрагическому типу. При этом наличие гематом было заподозрено в 2 случаях. В остальных случаях, в том числе при повторном исследовании, результаты диагностики соответствовали картине нормы. Положительными были результаты диагностики у пациентов с обширными (более 50 см3) паренхиматозными гематомами лобарной локализации (в лобной и теменной долях), находящимися на глубине не более 1 см от поверхности коры головного мозга. В 3 случаях у пациентов при отсутствии патологии согласно данным ИСГ по данным СКТ в 2 случаях диагностированы таламические гематомы объёмом менее 15 см3 и субарахноидально-вентрикулярное кровоизлияние у 1 пациента.
В ближайшем послеоперационном периоде после плановых оперативных вмешательств на черепе и головном мозге по поводу опухолей больших полушарий головного мозга и аневризм сосудов головного мозга были обследованы 22 пациента. У 8 пациентов по результатам ИСГ выявлялись признаки внутричерепных гематом в области хирургического вмешательства. В 14 случаях, по данным ИСГ, внутричерепных гематом не заподозрено. СКТ головы, выполненная пациентам этой группы, ни в одном случае внутричерепных гематом не выявила.
Ложноположительная диагностика послеоперационных гематом была обусловлена локальными изменениями в тканях, такими как наличие крови в мягких тканях черепа и головного мозга, присутствием в послеоперационной области гемостатических средств, использованием материалов для пластики твердой мозговой оболочки. Данный факт свидетельствует о неэффективности использования ИСГ с целью послеоперационного контроля.
По результатам анализа применения ИСГ у всех обследованных пациентов установлены следующие показатели диагностической ценности методики: чувствительность – 72,73%, специфичность – 72,55%, точность – 72,64%, положительная предсказующая ценность – 36,36%, отрицательная предсказующая ценность – 92,5%.
Таким образом, обследование пациентов с использованием ИСГ аппаратом «IM2000S» необходимо рассматривать как скрининговую методику диагностики внутричерепных гематом на всех этапах медицинской помощи для принятия решений о госпитализации в специализированный стационар. Его применение возможно при чрезвычайных ситуациях, техногенных катастрофах, локальных конфликтах с большим количеством пострадавших и позволяет ускорить сортировку раненых для определения срочности эвакуации или очередности выполнения КТ головы.
Аппарат «IM2000S» не является заменой СКТ, но позволяет выявить пациентов с подозрением на наличие внутричерепной гематомы, которых необходимо в срочном порядке доставить в нейрохирургическое отделение, где будет проведена СКТ и принята соответствующая тактика лечения.
Аппарат может быть использован для первичного обследования пациентов с диагностированной ЧМТ, а также при подозрении на развитие внутричерепного кровоизлияния. Он может являться вспомогательной методикой, дополняющей неврологический осмотр.
Основой для повышения точности ИСГ служит отсутствие подкожных гематом в исследуемых областях, отсутствие сгустков крови в зоне сканирования, а также кровотечения из ран волосистой части головы.
Клинические исследования показали, что устройство диагностирует внутричерепные повреждения менее эффективно, чем стандартная СКТ, и поэтому не призвано ее заменить. Данная методика показала также ограниченные возможности в оценке послеоперационных изменений с целью раннего выявления послеоперационных осложнений.
Выводы
- ИСГ обладает высокой диагностической ценностью при выявлении травматических внутричерепных кровоизлияний и может применяться в ходе сортировки пострадавших при различных видах чрезвычайных ситуаций.
- Аппарат «IM2000S» может быть использован медицинской службой Минобороны России для скрининговой диагностики внутричерепных гематом при ЧМТ. Он позволяет быстро на месте определить наличие внутричерепной гематомы и её локализацию, что позволяет сократить время до оказания специализированной нейрохирургической помощи.
- Аппарат «IM2000S» не является заменой методик «золотого стандарта» в диагностике повреждений головы. Также его нельзя рекомендовать в качестве средства контроля в послеоперационном периоде.
About the authors
D. V. Svistov
S.M. Kirov Military Medical Academy
Email: vmeda-nio@mil.ru
SPIN-code: 3850-1792
Russian Federation, St. Petersburg
V. I. Badalov
S.M. Kirov Military Medical Academy
Email: vmeda-nio@mil.ru
Russian Federation, St. Petersburg
P. Yu. Shevelev
S.M. Kirov Military Medical Academy
Email: vmeda-nio@mil.ru
SPIN-code: 2571-9603
Russian Federation, St. Petersburg
E. G. Antonov
S.M. Kirov Military Medical Academy
Email: vmeda-nio@mil.ru
SPIN-code: 8925-0955
Russian Federation, St. Petersburg
S. A. Bannikov
S.M. Kirov Military Medical Academy
Email: vmeda-nio@mil.ru
SPIN-code: 3554-0000
Russian Federation, St. Petersburg
S. A. Landik
S.M. Kirov Military Medical Academy
Email: vmeda-nio@mil.ru
Russian Federation, St. Petersburg
D. E. Alekseev
S.M. Kirov Military Medical Academy
Email: vmeda-nio@mil.ru
Russian Federation, St. Petersburg
D. V. Voitsekhovsky
S.M. Kirov Military Medical Academy
Email: vmeda-nio@mil.ru
Russian Federation, St. Petersburg
D. V. Kruglov
S.M. Kirov Military Medical Academy
Email: vmeda-nio@mil.ru
Russian Federation, St. Petersburg
M. I. Spicyn
S.M. Kirov Military Medical Academy
Email: vmeda-nio@mil.ru
Russian Federation, St. Petersburg
K. Yu. Marcynishina
S.M. Kirov Military Medical Academy
Author for correspondence.
Email: vmeda-nio@mil.ru
Russian Federation, St. Petersburg
References
- Серебряков, В.А. Опорный конспект лекций по курсу «Лазерные технологии в медицине» / В.А. Серебряков. – СПб.: СПбГУ ИТМО, 2009. – 266 с.
- Крылов, В.В. Лекции по черепно-мозговой травме / В.В. Крылов, А.Э. Талыпов, С.А. Буров. – М.: Медицина, 2010. – 320 с.
- Лихтерман, Л.Б. Черепно-мозговая травма: прогноз течения и исходов / Л.Б. Лихтерман, В.Н. Корниенко, А.А. Потапов. – М.: Книга ЛТД, 1993. – 209 с.
- Михайлов, А. Перспективные образцы медицинских изделий для оказания догоспитальной помощи сотрудникам органов внутренних дел / А. Михайлов, Л. Афонькина // Поп.-проф. альманах МВД России «Профессионал». – 2016. – № 1 (129). – С. 46–48.
- Потапов, А.А. Биомеханика и основные звенья патогенеза черепно-мозговой травмы. Клиническое руководство по черепно-мозговой травме / А.А. Потапов, Э.И. Гайтур. – М.: Антидор, 1998. – С. 152–165.
- Крысов, К.Б. Особенности диагностики и нейрохирургического лечения острых травматических внутричерепных гематом / К.Б. Крысов, Э.А. Абдыкалыков // Нейрохирургия и неврология Казахстана. – 2010. – № 2 (19). – C. 17–19.
- Zimnyakov, D.A. Optical tomography of tissues / D.A. Zimnyakov, V.V. Tuchin // Quantum Electronics. – 2002. – Vol. 32 (10). – P. 849–867.
- Gobiet, W. Frührehabilitation nach Schädel-Hirn-Trauma / W. Gobiet // Neuro Trauma. – 2009. – Vol. 128. – P. 41–50.
- Lehmann, U. Funktionelles, neuropsychologisches und soziales Outcome polytraumatisierter Patienten mit schwerem Schädel-Hirn-Trauma / U. Lehmann // Der Unfallchirurg. – 1997. – Т. 100, № 7. – Vol. 589. –P. 552–560.
- Pöppel, E. Je älter desto besser: Überraschende Erkenntnisse aus der Hirnforschung / E. Pöppel, B. Wagner // Neuro Trauma. – 2008. – Т. 50, № 10. – P. 121–128.
- Rickels, E. Diagnostik und Therapie von Schädel-Hirn-Traumen / Е. Rickels // Der Chirurg. – 2009. – Т. 80, № 2. – P. 153.
- Rickels, E. Schädel-Hirn-Verletzung / E. Rickels // Acta Neurochirurgie. – 2014. – Vol. 357. – P. 323–386.
- Robertson, C.S. Clinical Evaluation of a Portable Near-Infrared Device for Detection of Traumatic Intracranial Hematomas / C.S. Robertson [et al.] // J. of Neurotrauma. – 2010. Vol. 27, № 9. – P. 1597–1604.
- Bertuccio, P. Coronary heart disease and cerebrovascular disease mortality in young adults: recent trends in Europe / P. Bertuccio [et al.] // Eur. J. Cardiovasc. Prev. Rehabil. – 2011. – Vol. 18, № 4. – P. 627–634.
- Go, A.S. Heart disease and stroke statistics-2013 update: a report from the American Heart Association / A.S. Go [et al.] // Circulation. – 2013. – Vol. 127, № 1. – P. 236–245.
Supplementary files





