Оценка эффективности раневых покрытий на основе бактериальной целлюлозы с фукоиданом при ожогах кожи
- Авторы: Зиновьев Е.В.1,2, Лукьянов С.А.2, Цыган В.Н.1, Кульминская А.А.3, Лапина И.М.3, Журишкина Е.В.3, Лопатин И.М.2, Асадулаев М.С.2, Арцимович И.В.2, Костяков Д.В.1, Панеях М.Б.2, Шабунин А.С.2, Зубов В.В.2, Жилин А.А.1, Давлетова Л.А.1, Стекольщикова Е.А.1
-
Учреждения:
- Военно-медицинская академия им. С.М. Кирова
- Санкт-Петербургский государственный педиатрический медицинский университет
- Петербургский институт ядерной физики им. Б.П. Константинова Национального исследовательского центра «Курчатовский институт»
- Выпуск: Том 21, № 1 (2019)
- Страницы: 148-152
- Раздел: Экспериментальные исследования
- Статья получена: 06.06.2019
- Статья опубликована: 15.12.2019
- URL: https://journals.eco-vector.com/1682-7392/article/view/13055
- DOI: https://doi.org/10.17816/brmma13055
- ID: 13055
Цитировать
Полный текст
Аннотация
Приведены результаты экспериментальной оценки эффективности применения раневых покрытий на основе бактериальной целлюлозы, пропитанной раствором фукоидана, при глубоких ожогах кожи. В эксперименте участвовало 40 крыс. Установлено, что при применении раневых покрытий на основе бактериальной целлюлозы толщиной от 0,5 до 1 мм и от 1 до 2 мм с 2% раствором фукоидана на 14-е сутки отмечается отчетливая тенденция к ускорению заживления раневых дефектов на 54 и 47% соответственно (p<0,2) по сравнению с контрольной группой. Использование аналогичных покрытий без пропитки фукоиданом оказалось менее эффективным и позволило сократить раневой дефект к концу второй недели лишь на 39% (p<0,2) по сравнению с контролем. При гистологическом исследовании биоптатов из ран установлено достоверное ускорение процессов формирования и созревания соединительной ткани за счет интенсивного ангиогенеза и усиления пролиферативной активности клеток фибробластического ряда. Показано, что после 14 суток разработанные раневые покрытия на основе бактериальной целлюлозы с 2% раствором фукоидана утрачивают свою сорбционную способность и антибактериальный эффект. При этом в ране констатируется развитие микробного воспаления и избыток раневого экссудата, что является показанием для смены и повторной аппликации покрытий в ходе лечения. Данное обстоятельство послужило основанием для выбора в качестве точки наблюдения (контрольная дата) 14-х суток для сравнения полученных результатов эксперимента.
Полный текст
Введение. Ежегодно в Российской Федерации ожогам кожи различной локализации подвергаются около 400 тысяч человек, четверть из которых подлежит госпитализации. Ожоги составляют 3–4% от всех видов травм [1, 2]. Кожные покровы защищают организм от избыточных потерь жидкости и выступают в роли анатомического барьера. Кожа способна к самовосстановлению в случаях, когда раневой дефект ограничен по площади. При повреждениях кожи диаметром более 4 см самостоятельное заживление ран затруднено, что является показанием к пластическому замещению дефекта кожных покровов [13]. Заживление ран – это сложный патофизиологический процесс, включающий в себя серию стадий взаимодействия между различными клетками покровных тканей, в том числе эпителиальными, соединительнотканными и иммунокомпетентными клетками, межклеточным тканевым матриксом, цитокинами. Оптимальные условия для заживления раневого дефекта в зоне глубокого ожога кожи обеспечиваются путем ускоренного очищения от некротических масс и поддержания влажной среды, предотвращающей формирование зон вторичного некроза [12].
Перспективным способом лечения повреждения кожных покровов, в том числе при обширных глубоких ожогах кожи, представляется применение раневых покрытий на основе биосовместимых материалов (коллагена, гиалуроновой кислоты, хитина, эластина, альгинатов и др.) с включением синтетических и природных веществ, обладающих высокой биологической активностью: антисептиков, ферментов, полипотентных биостимуляторов, в том числе генноинженерных факторов роста [8]. К списку биосовместимых материалов можно отнести гель-пленки бактериальной целлюлозы (БЦ), уже весьма интенсивно изучаемые в качестве гидрофильного антисептического покрытия при лечении ран и ожогов [11]. Пленки на основе целлюлозы находят все более широкое применение. Так, их используют для замещения раневых дефектов покровных тканей, в реконструктивной хирургии, микрохирургии из продуктов переработки БЦ изготавливают сосудистые синтетические протезы. В целом отмечается высокий научно-практический интерес исследователей к использованию наногель-пленки БЦ при создании медицинских наноматериалов. В этой области работают до 50 международных научных и фармацевтических организаций (Xylos, Johnson and Johnson Product и др.). Апробация БЦ в медицине ведется по более чем двум десяткам направлений: раневые покрытия, лечение ожогов, имплантация, дефекты хрящей, кожные, онкологические заболевания и др. [7, 19, 22, 24, 25].
В отличие от широко распространенной растительной целлюлозы, БЦ не содержит лигнина и других примесей, т. е. является химически чистым продуктом. Будучи схожей по структуре с растительной, БЦ обладает повышенной эластичностью, способностью образовывать достаточно прочную гелевую пленку определенной архитектуры, построенной из кристаллических микрофибрилл, позволяющей сорбировать недоступное для растительной целлюлозы количество жидкости [7]. Такая пленка обладает механическими свойствами и эластичностью, сходными со свойствами кожи, что создает благоприятную среду для лечения ее повреждений.
Несмотря на все очевидные преимущества БЦ, данный материал не обладает выраженной антибактериальной активностью и не препятствует развитию раневой инфекции. Решение данной проблемы воз можно путем создания комбинированных раневых покрытий с включением в их состав различных молекул, обладающих антисептическим, противовоспалительным, иммуномодулирующим действием [23]. Перспективным представляется включение в состав раневых покрытий на основе БЦ сульфатированных фукополисахаридов (фукоиданов), содержащихся в бурых морских водорослях. Фукоиданы представляют собой полимеры с разветвленной структурой, в состав которых, помимо фукозы и сульфогрупп, включены другие моносахариды (манноза, галактоза, глюкоза и т. д.) в различных соотношениях, уроновые кислоты и ацетильные группы [20]. Они обладают широким спектром биологических активностей, в том числе противовоспалительной и антибактериальной [4, 10, 17, 18, 21, 27]. Применение фукоиданов для лечения атопического дерматита у мышей показывает результат на уровне стандартной терапии дексаметазоном [26]. Все это позволяет отнести данную группу веществ к поливалентным биомодуляторам.
Цель исследования. Разработать методику сочетанного применения БЦ и фукоиданов.
Материалы и методы. Для приготовления образцов раневых покрытий на основе БЦ использовали штамм Gluconoacetobacter hansenii (Acetobacter xylinus) American Type Culture Collection 10821, который культивировали в статических условиях в колбах Эрленмейера (250 мл) в среде, приготовленной согласно методике Hestrin et al. [14] при температуре 28°С в течение 6 или 10 дней до достижения требуемой толщины диска БЦ. Полученные диски БЦ промывали несколько раз водой, затем обрабатывали 0,5 М раствором щелочи (NaOH) при t=60°С в течение 30 мин, после чего снова промывали деминерализованной водой и стерилизовали автоклавированием. Грубую фракцию фукоидана выделили из сухих измельченных водорослей F. Vesiculosus. Для этого 100 г сухих измельченных водорослей F. vesiculosus фирмы «Альганика» (Санкт-Петербург) обрабатывали смесью 4:2:1 метанол – хлороформ – вода для удаления липидов и пигментов. Высушенные обезжиренные водоросли (90 г) заливали 1 л 2% раствора СaCl2 и выдерживали при перемешивании и t=85ºС в течение 5 ч. Отделяли экстракт центрифугированием при 5500 об/мин и к надосадочной жидкости (около 700 мл) добавляли этанол (1,2 л). Выпавший осадок отделяли центрифугированием при 5500 об/мин, растворяли его в 200 мл 2% раствора СaCl2 и диализовали в мешке с размером пор 12–14 кДа против дистиллированной воды в течение 12 ч. Нерастворимую часть отделяли центрифугированием, раствор лиофилизовали и в результате получали 2,9 г фукоидана. Перед использованием полученные стерильные диски БЦ выдерживали в 2% водном растворе фукоидана в течение 4 ч и далее апплицировали на раневые поверхности экспериментальных животных (рис. 1). Экспериментальная работа выполнена на 40 самцах крыс линии Wistar – Kyoto массой 230–250 гр. Общая продолжительность эксперимента составила 28 суток. Все манипуляции с животными осуществляли под ингаляционным (эфирным) наркозом в асептических условиях, соблюдая положения Хельсинкской декларации Всемирной медицинской ассоциации 2013 г. [6].
Рис. 1. Вид пленки на основе БЦ с 2% раствором фукоидана
Ожоги кожи III степени воспроизводили по авторской методике (рационализаторское предложение № 14287/1 от 19.01.2016 г. Военно-медицинская академия им. C.М. Кирова) с последующим (спустя 60 мин) выполнением некрэктомии до собственной фасции.
Все животные были разделены на 5 групп (по 8 особей) с учетом выбора методики их местного лечения: первая группа (контроль) – без лечения; вторая группа – раневые покрытия на основе БЦ толщиной 0,5–1 мм, пропитанной 2% раствором фукоидана; третья группа – раневые покрытия на основе БЦ толщиной 1–2 мм, пропитанной 2% раствором фукоидана; четвертая группа – раневые покрытия на основе БЦ толщиной 0,5–1 мм без пропитки; пятая группа – коммерческие раневые покрытия на основе гиалуроновой кислоты фирмы «Джи-дерм» (Россия).
Оценку эффективности анализируемых методик лечения проводили на 7-е, 14-е, 21-е, 28-е сутки. Выполняли осмотр ран, отмечали характер отделяемого, наличие и вид грануляций, фиксировали сроки заживления раневых поверхностей. Планиметрическим способом Л.Н. Поповой [3] определяли площадь раны и проводили статистический анализ полученных данных [5]. Отбор биоптатов для гистологического исследования осуществляли на 7-е, 14-е, 21-е, 28-е сутки лечения. Парафиновые срезы окрашивали гематоксилином и эозином с последующим их исследованием, используя светооптическую микроскопию.
Обработка полученных результатов проводилась в соответствии с общепринятыми методами вариационной статистики. Критерием достоверности считали величину p<0,2.
Результаты и их обсуждение. Выявлено, что исследуемые средства местного лечения, в т.ч. разрабатываемые раневые покрытия, обладают различным ранозаживляющим эффектом. Так, наиболее эффективно оптимизировать процесс регенерации на избранной нами экспериментальной модели позволило использование раневых покрытий на основе БЦ толщиной 0,5–1 мм и 1–2 мм с 2% раствором фукоидана (таблица).
Таблица. Площадь заживления ран (см2) с учетом раневых покрытий и сроков наблюдения (сут.), М±m
Показатель | Сутки | |||
7-е | 14-е | 21-е | 28-е | |
Площадь заживления ран, см2 | ||||
БЦ+фукоидан 2% (0,5-1 мм) | 12,04±0,33 | 5,81±0,38* | 2,81±0,12* | 2,37±0,15* |
БЦ+фукоидан 2% (1-2 мм) | 14,14±2,27 | 6,57±1,35* | 2,20±0,17* | 1,03±0,16* |
БЦ без фукоидана (0,5-1 мм) | 15,52±2,00 | 7,61±5,29 | 2,86±0,41* | 0,13±0,21* |
Гиалуроновая кислота | 13,5±0,3 | 8,0±0,2* | 5,5±0,13* | 2,1±0,15* |
Контрольная группа | 14,12±2,16 | 12,34±2,29 | 3,003±0,14 | 1,54±0,18 |
Примечание: * – различие в сравнении с контрольной группой, p<0,2.
К 14-м суткам исследования в данных группах животных площадь ран составила 5,81 и 6,57 см соответственно, что на 54 и 47% меньше (p<0,2) по сравнению с контрольной группой. Менее эффективными оказались покрытия из БЦ без фукоидана и коммерческие покрытия с гиалуроновой кислотой. Их использование позволило сократить площадь раны к концу второй недели на 39 и 36% соответственно (p<0,05) по сравнению с контрольной группой.
Несмотря на утрату антибактериального эффекта и сорбционной способности раневых покрытий на основе БЦ к 14-м суткам наблюдения, планиметрическая оценка ран осуществлялась вплоть до 28-х суток наблюдения. Полученные данные свидетельствуют, что к 28-м суткам минимальная площадь раны была в группе, где лечение осуществляли с применением раневых покрытий на основе БЦ толщиной 0,5–1 мм без фукоидана; она составила 0,13 см2. В случае применения покрытий БЦ толщиной 1–2 мм с 2% фукоиданом к 28-м суткам размер дефекта сократился до 1,03 см2. Наибольшая площадь раны к концу третей недели была в группах с использованием раневых покрытий на основе БЦ толщиной 0,5–1 мм с фукоиданом и коммерческих покрытий с гиалуроновой кислотой. Площадь ран в данных группах оказалась больше на 0,7 см2, чем в контрольной, и составила 2,31 и 2,1 см2 соответственно. Следовательно, наибольшая эффективность была выявлена при использовании покрытий с фукоиданом толщиной 1–2 мм.
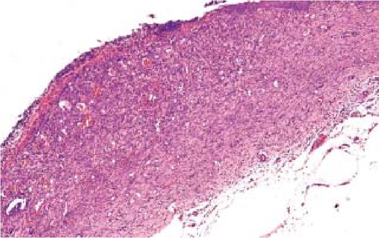
При гистологическом исследовании биоптатов ран установлено, что у животных контрольной группы к 14-м суткам в области раны определяется крупный раневой дефект со значительным количеством гнойного экссудата на поверхности. Субэпителиально визуализируется волокнистая ткань дермы без деления на сосочковый и сетчатый слои, с массивными кровоизлияниями и очаговыми лимфогистиоцитарными инфильтратами, примесью нейтрофильных лейкоцитов, что отражает продолжающиеся процессы воспаления и полное отсутствие переключения репаративных процессов на фазу реэпителизации (рис. 2) [10].
Рис. 2. Гистологический срез биоптата раны в зоне ожога кожи III степени после ранней некрэктомии, без лечения, 14-е сутки наблюдения. Субэпителиально определяется волокнистая ткань дермы без деления на сосочковый и сетчатый слои с массивными кровоизлияниями, очаговыми инфильтратами и гнойным отделяемым. Окраска гематоксилин-эозином, ув. ×200
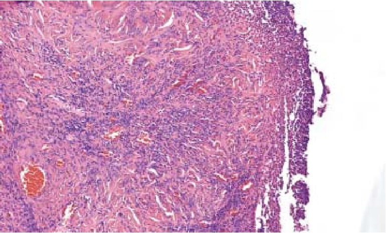
В группе животных, перенесших аппликацию коммерческими раневыми покрытиями на основе гиалуроновой кислоты, на 14-е сутки раневой дефект был покрыт фибринозной пленкой, инфильтрированной нейтрофилами. В подлежащих слоях определялась грануляционная ткань с большим количеством вновь образованных сосудов. Инфильтрация грануляционной ткани нейтрофилами и моноцитами при этом была выражена умеренно (рис. 3).
Рис. 3. Гистологический срез биоптата раны в зоне ожога кожи III степени после ранней некрэктомии, аппликации покрытий на основе гиалуроновой кислоты, 14-е сутки наблюдения. Грануляционная ткань покрыта фибринозной пленкой с умеренной инфильтрацией нейтрофилами и значительным количеством новообразованных сосудов. Окраска гематоксилин-эозином, ув. ×200
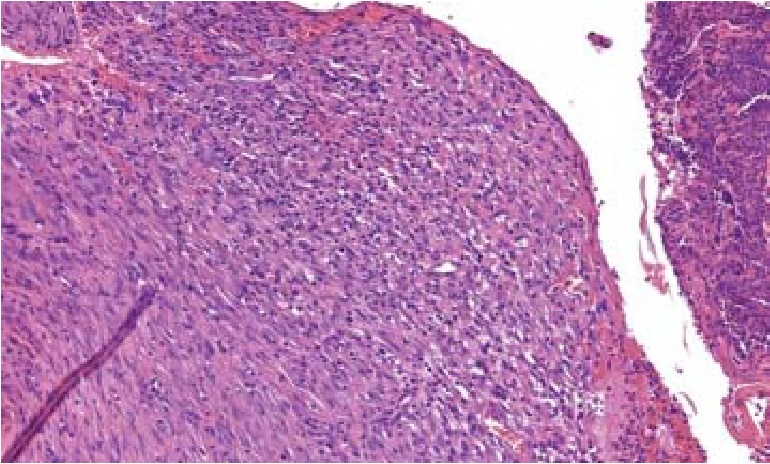
Наибольшая степень выраженности ранних процессов репаративной регенерации констатирована в группе животных, где после некрэктомии выполнялась аппликация раневых покрытий на основе БЦ с фукоиданом. Гистологически на 14-е сутки в этой группе животных определялся дефект, покрытый фибринозным экссудатом, густо инфильтрированным нейтрофильными лейкоцитами. Под фибринозными пленками наблюдается грануляционная ткань, в которой преобладают лимфоциты и макрофаги, очагово отмечаются крупные лейкоцитарные инфильтраты. В подлежащих слоях обнаруживается незрелая соединительная ткань со значительным количеством мелких фибробластов и новообразованных сосудов капиллярного типа, что позволяет заключить о положительном влиянии раневых покрытий на раннюю фазу раневого процесса, пролиферативную активность фибробластов, синтез ими внеклеточного тканевого матрикса (рис. 4).
Рис. 4. Гистологический срез биоптата раны в зоне ожога кожи III степени после ранней некрэктомии, аппликации покрытий на основе БЦ толщиной 1–2 мм с фукоиданом, 14-е сутки наблюдения. Незрелая соединительная ткань со значительным количеством мелких фибробластов и большим количеством новообразованных сосудов. Окраска гематоксилин-эозином, ув. ×200
Показано, что применение раневых покрытий на основе БЦ позволяет достоверно ускорить заживление раневого дефекта в зоне ожоговой раны после ранней некрэктомии преимущественно за счет прямой стимуляции фибробластов и ускорения синтеза внеклеточного матрикса соединительной ткани. Стимуляция пролиферации фибробластов и кератиноцитов имеет большое значение для регенерации полнослойного кожного раневого дефекта [16]. A. Khalid et al. [15] предположили, что совместное применение пленок на основе БЦ и наночастиц цинка для лечения ожоговых дефектов кожных покровов у мелких лабораторных животных обусловливает положительный эффект от применения БЦ на течение раневого процесса именно стимуляцией ими пролиферации фибробластов. Полученные нами данные подтверждают эти сведения. Одновременно установлено, что на поздних сроках (21–28-е) сутки исследованные нами раневые покрытия утрачивают сорбционную способность и антибактериальный эффект, в результате отмечается присоединение вторичной бактериальной инфекции, что является показанием для их повторной аппликации в ходе лечения.
Заключение. Применение раневых покрытий на основе БЦ толщиной 0,5–1 и 1–2 мм с 2% водным раствором фукоидана к 14-м суткам уменьшает площадь раны на 54% и 47% соответственно (p<0,2) по сравнению с контрольной группой. Использование предложенных покрытий положительно влияет на течение раневого процесса. Эффект реализуется в результате прямой стимуляции процессов образования и синтеза межуточного вещества соединительной ткани в зоне раневого дефекта, а также раннего купирования воспалительных реакций. На поздних сроках при использовании исследуемых раневых покрытий на основе БЦ (начиная с 14-х суток лечения) наблюдается утрата сорбционной способности антибактериального компонента и присоединение вторичной бактериальной раневой инфекции. В связи со значительным снижением антибактериального и абсорбирующего эффектов раневых покрытий на основе БЦ 14-е сутки избраны контрольной точкой для сравнительной оценки эффективности образцов ранозаживляющих средств. Перспективность раневых покрытий на основе БЦ с фукоиданом не вызывает сомнений. Вместе с тем остается ряд нерешенных вопросов, связанных с подбором оптимальной рецептуры включаемых лекарственных субстанций, позволяющих добиться эффективной комбинации как ранозаживляющего, так и антибактериального эффектов у разрабатываемых образцов покрытий.
Об авторах
Е. В. Зиновьев
Военно-медицинская академия им. С.М. Кирова; Санкт-Петербургский государственный педиатрический медицинский университет
Email: vmeda-nio@mil.ru
Россия, Санкт-Петербург; Санкт-Петербург
С. А. Лукьянов
Санкт-Петербургский государственный педиатрический медицинский университет
Email: vmeda-nio@mil.ru
Россия, Санкт-Петербург
В. Н. Цыган
Военно-медицинская академия им. С.М. Кирова
Email: vmeda-nio@mil.ru
Россия, Санкт-Петербург
А. А. Кульминская
Петербургский институт ядерной физики им. Б.П. Константинова Национального исследовательского центра «Курчатовский институт»
Email: vmeda-nio@mil.ru
Россия, Гатчина
И. М. Лапина
Петербургский институт ядерной физики им. Б.П. Константинова Национального исследовательского центра «Курчатовский институт»
Email: vmeda-nio@mil.ru
Россия, Гатчина
Е. В. Журишкина
Петербургский институт ядерной физики им. Б.П. Константинова Национального исследовательского центра «Курчатовский институт»
Email: vmeda-nio@mil.ru
Россия, Гатчина
И. М. Лопатин
Санкт-Петербургский государственный педиатрический медицинский университет
Email: vmeda-nio@mil.ru
Россия, Санкт-Петербург
М. С. Асадулаев
Санкт-Петербургский государственный педиатрический медицинский университет
Email: vmeda-nio@mil.ru
Россия, Санкт-Петербург
И. В. Арцимович
Санкт-Петербургский государственный педиатрический медицинский университет
Email: vmeda-nio@mil.ru
Россия, Санкт-Петербург
Д. В. Костяков
Военно-медицинская академия им. С.М. Кирова
Email: vmeda-nio@mil.ru
Россия, Санкт-Петербург
М. Б. Панеях
Санкт-Петербургский государственный педиатрический медицинский университет
Email: vmeda-nio@mil.ru
Россия, Санкт-Петербург
А. С. Шабунин
Санкт-Петербургский государственный педиатрический медицинский университет
Email: vmeda-nio@mil.ru
Россия, Санкт-Петербург
В. В. Зубов
Санкт-Петербургский государственный педиатрический медицинский университет
Email: vmeda-nio@mil.ru
Россия, Санкт-Петербург
А. А. Жилин
Военно-медицинская академия им. С.М. Кирова
Email: vmeda-nio@mil.ru
Россия, Санкт-Петербург
Л. А. Давлетова
Военно-медицинская академия им. С.М. Кирова
Email: vmeda-nio@mil.ru
Россия, Санкт-Петербург
Е. А. Стекольщикова
Военно-медицинская академия им. С.М. Кирова
Автор, ответственный за переписку.
Email: vmeda-nio@mil.ru
Россия, Санкт-Петербург
Список литературы
- Алексеев, А.А. Современные методы лечения ожогов и ожоговой болезни / А.А. Алексеев // Комбустиология. – 1999. – № 1. – С. 1–9.
- Анощенко, Ю.Д. Медико-социальная характеристика больных с ожоговой травмой / Ю.Д. Анощенко // Комбустиология. – 1993. – № 8. – С. 16–17.
- Попова, Л.Н. Как изменяются границы вновь образующегося эпидермиса при заживлении ран: автореф. дис. канд. мед. Наук / Л.Н. Попова. – Воронеж: Воронеж. мед. акад., 1942. – 16 с.
- Журишкина, Е.В. Сравнительный анализ влияния фукоидана из водорослей Fucus vesiculosus и фракций, полученных из него с помощью анионообменной хроматографии, на клетки HeLa G-63, Hep G2 и Changliver / Е.В. Журишкина [и др.] // Цитология. – 2017. – № 2. – C. 148–154.
- Фенчин, К.М. Заживление ран / К.М. Фенчин. – К.: Здоровье, 1979. – 167 с.
- Хельсинкская декларация всемирной медицинской ассоциации // Морфологія. – 2010. – Т. ІV, № 2. – С. 69–72.
- Backdahl, H. Mechanical properties of bacterial cellulose and interactions with smooth muscle cells / H. Backdahl [et al.] // Biomaterials. – 2006. – № 27. – P. 2141–2149.
- Boateng, J.S. Wound healing dressings and drug delivery systems: a review / J.S. Boateng, [et al.] // Journal of Pharmaceutical Sciences. – 2008. – № 97. – P. 2892–2923.
- Broughton, G. The basic science of wound healing / G. Broughton [et al.] // Plastic and Reconstructive surgery. – 2006. – № 117. – P. 12–34
- Cho, M.L. Molecular characterization and immunomodulatory activity of sulfated fucans from Agarumcribrosum / M.L. Cho [et al.] // Carbohydrate Polymers. – 2014. – № 113. – P. 507–514.
- Gelin, K. Characterization of water in bacterial cellulose using dielectric spectroscopy and electron microscopy / K. Gelin [et al.] // Polymer. – 2007. – № 48. – P. 7623–7631.
- Gil, E.S. Functionalized silk biomaterials for wound healing / E.S. Gil [et al.] // Advanced Healthcare Materials. – 2013. – № 2. – P. 206–217.
- Herndon, D.N. A comparison of conservative versus early excision. Therapies in severely burned patients / D.N. Herndon [et al.] // Ann. Surgery. – 1989. – № 209. – P. 547–552.
- Hestrin, S. Synthesis of cellulose by Acetobacter xylinum: Preparation of freeze dried cells capable of polymerizing glucose to cellulose / S. Hestrin [et al.] // Biochem. J. – 1954. – Vol. 58. – P. 345–352.
- Khalid, A. Bacterial Cellulose-Zinc Oxide Nanocomposites as a Novel Dressing System for Burn Wounds / A. Khalid [et al.] // Carbohydrate polymers. – 2017. – № 164. – P. 214–221.
- Lee, A.R.C. Effect of topically applied silver sulfadiazine on fibroblast cell proliferation and biomechanical properties of the wound / A.R.C. Lee [et al.] //Archives of Pharmacal Research. – 2003. – № 26. – P. 855–860.
- Li, X.J. Fucoidan reduces inflammatory response in a rat model of hepatic ischemia-reperfusion injury / X.J. Li [et al.] // Can. J. Physiol. Pharmacol. – 2015. – № 93. – P. 999–1005.
- Marudhupandi, T. Antibacterial effect of fucoidan from Sargassumwightii against the chosen human bacterial pathogens / T. Marudhupandi, [et al.] // Int. CurrentPharm. J. – 2013. – № 2. – P. 156–158.
- Moon, R.J. Cellulose nanomaterials review: structure, properties and nanocomposites / R.J. Moon [et al.] // Chem. Soc. Rev. – 2011. – № 40. – P. 3941–3994.
- Morua, V.K. Algal fucoidan: structural and size-dependent bioactivities and their perspectives / V.K. Morua [et al.] // Appl. Microbiol. Biotechnol. – 2012. – № 93. – P. 71–82.
- Pavliga, S.N. The experimental research (in vitro) of carrageenans and fucoidans to decrease activity of Hantavirus / S.N. Pavliga [et al.] // FoodEnviron. Virol. – 2016. – № 8. – P. 120–124.
- Puppi, D. Polymeric materials for bone and cartilage repair / D. Puppi [et al.] // Progress in Polymer Science. – 2010. – № 35. – P. 403–440.
- Shan, Y. Flexible Amoxicillin Grafted Bacterial Cellulose Sponges for Wound Dressing: in Vitro and in Vivo Evaluation / Y. Shan [et al.] // ACS Appl. Mater. Interfaces. – 2018. – № 10. – P.5862–5870.
- Ullah, H. Advances in biomedical and pharmaceutical applications of functional bacterial cellulose-based nanocomposites / H. Ullah [et al.] // Carbohydrate Polymers. – 2016. – № 150. – P. 330–352.
- Ullah, H. Applications of bacterial cellulose in food, cosmetics and drug delivery / H. Ullah [et al.] // Cellulose. – 2016. – № 23. – P. 2291–2314.
- Yang, Y.-H. Topical application of fucoidan improves atopic dermatitis symptoms in NC/NGA mice / Y.-H. Yang // Phytotherapy Research. – 2012. – № 26. – P. 1898–1903.
- Zhao, X. Antithrombotic activity of oral administered low molecular weight fucoidan from Laminaria Japonica / X. Zhao [et al.] // BMC Complement. Altern. Med. – 2016. – № 16. – P. 151–159.
Дополнительные файлы






