Diagnostics and features of endovideosurgical treatment of posttraumatic lymphocele
- Authors: Sigua B.V.1, Zemlyanoy V.P.1, Gurzhiy D.V.1, Kachiuri A.S.1, Melnikov V.A.1, Vinnichuk S.A.1
-
Affiliations:
- I.I. Mechnikov North-Western State Medical University
- Issue: Vol 21, No 3 (2019)
- Pages: 26-29
- Section: Clinical Trials
- Submitted: 17.02.2020
- Published: 15.09.2019
- URL: https://journals.eco-vector.com/1682-7392/article/view/20664
- DOI: https://doi.org/10.17816/brmma20664
- ID: 20664
Cite item
Full Text
Abstract
Such a disease as lymphocele can’t be called widespread in the population, and therefore the incidence of this topic, both in the domestic and in foreign literature is rather scarce. In addition, from several sources studied by us, not a single one speaks of the traumatic origin of the lymphocele. Thus, we can talk about the originality of the described clinical case. In addition to a brief overview of this problem, an example of successful endovideosurgical treatment of a patient with post-traumatic lymphocele of the small intestine mesentery root is given. The patient was admitted to the clinic of faculty surgery named after I.I. Grekov North-Western State Medical University named after I.I. Mechnikov with complaints of abdominal pain, arising mainly in the sitting position, not related to eating and defecation. According to the ultrasound of the abdominal cavity on the left in the mesogastrium, at the level of the navel, between the intestinal loops, an avascular hypoechoic rounded formation with a clear even contour, with a hyperechoic capsule, is measured, measuring 65×67×70 mm. According to the multislice computed tomography of the abdominal cavity in the left flank at the level of L2–L3 in the interhelium space, a rounded cyst-like formation of fat density with clear even contours, intimately adjacent to the wall of the small intestine, with a thick capsule from 4 mm to 7 mm thick, with overall dimensions is determined 66×64×68 mm, along the inner contour of the capsule, single flat calcined inclusions are detected. The diagnosis at admission – cyst of the mesentery of the small intestine. The patient underwent surgery in the volume of laparoscopic removal of a cyst of the mesentery root of the small intestine. The postoperative period was complicated by lymphorrhea. Thus, taking into account the data of anamnesis, clinical picture, laboratory and instrumental studies, intraoperative picture and histopathological conclusion, the final diagnosis is post-traumatic lymphocele of the mesentery root of the small intestine. The patient was discharged on the 21st day of the postoperative period in a satisfactory condition under the outpatient supervision of a surgeon of a polyclinic at the place of residence.
Keywords
Full Text
Введение. Лимфоцеле называют образовавшуюся в результате повреждения лимфатических сосудов полость, содержимым которой является лимфа. При нарушении целостности стенок лимфатического сосуда лимфа скапливается в окружающих тканях. По сути лимфоцеле являются ложными кистами, так как внутренний слой их оболочки лишен эпителиальной выстилки. Стенками лимфоцеле являются органы и ткани, вокруг которых оно формируется [4]. Чаще всего причиной формирования лимфоцеле является повреждение лимфатических сосудов во время операции. Особенно часто они возникают, если область оперативного вмешательства обширна и локализуется в отделах, которые густо снабжены лимфатической сетью. Таким образом, малейшая травматизация лимфатических сосудов приводит к выходу лимфы и образованию лимфоцеле [1, 5, 7].
Значительно реже наблюдаются лимфоцеле, этиологическим фактором развития которых являются травмы, в результате которых происходит разрыв лимфатических сосудов. К сожалению, нам не удалось найти публикации на тему посттравматического лимфоцеле.
Среди исходов лимфоцеле выделяют: 1) самопроизвольное рассасывание при незначительных размерах кисты; 2) прогрессирование и увеличение в размерах с последующим сдавлением окружающих тканей и развитием таких осложнений, как кишечная непроходимость, гидронефроз, тромбоз вен, нагноение полости и др. [2, 5].
Клиническая картина лимфоцеле довольно разнообразна, но в большинстве случаев начало заболевания протекает бессимптомно. В дальнейшем начинают преобладать признаки сдавления тех или иных структур: задержка мочи и боль в пояснице при сдавлении мочеточника и гидронефрозе, отеки при сдавлении вен, признаки кишечной непроходимости при сдавлении кишки. При присоединении вторичной инфекции образуется абсцесс, требующий оперативного вмешательства [3, 6, 9].
Для диагностики лимфоцеле скрининговой методикой является ультразвуковое исследование (УЗИ), так как оно является достаточно информативным и хорошо переносимым пациентом. Также несомненным достоинством является возможность многократного повторения исследования. В большинстве случаев УЗИ бывает достаточно для визуализации кисты. При недостаточной информативности УЗИ может быть применена компьютерная томография (КТ).
В различных публикациях описываются разнообразные варианты лечения лимфоцеле. Тем не менее, единственным эффективным способом лечения является оперативное вмешательство. Операции выполняются как из традиционного доступа, так и с помощью лапароскопических методик. Среди вариантов хирургического лечения выделяют удаление кисты, дренирование, аспирацию и марсупиализацию [3, 6, 8].
Цель исследования. Представить случай успешного эндовидеохирургического лечения пациента с посттравматическим лимфоцеле.
Материалы и методы. Пациент Б. 43 лет поступил 06.11.2018 г. в клинику факультетской хирургии им. И.И. Грекова Северо-Западного государственного медицинского университета им. И.И. Мечникова с жалобами на ноющие боли в животе, возникающие преимущественно в положении сидя, не связанные с приемом пищи и актом дефекации. Со слов пациента, данные жалобы появились в 2011 г. после падения на угол стола. За медицинской помощью пациент не обращался. За последний год интенсивность болей увеличилась.
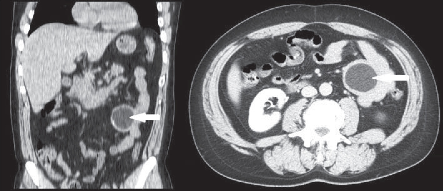
Результаты и их обсуждение. Пациент обследован амбулаторно. По данным УЗИ органов брюшной полости, слева в мезогастрии на уровне пупка между петлями кишечника лоцируется аваскулярное гипоэхогенное округлое образование с четким ровным контуром, с гиперэхогенной капсулой, размерами 65×67×70 мм. По данным мультиспиральной компьютерной томографии (МСКТ) органов брюшной полости, в проекции левого фланка на уровне L2−L3 в межпетельном пространстве определяется округлое кистоподобное образование жировой плотности с четкими ровными контурами, интимно прилежащее к стенке тонкой кишки, с толстой капсулой толщиной от 4 до 7 мм, общими размерами 66×64×68 мм, по внутреннему контуру капсулы выявляются единичные плоские кальцинированные включения (рис. 1). При введении контрастного препарата накопления не выявляется. Пациент проконсультирован онкологом, убедительных данных за онкологический характер изменений не получено.
Рис. 1. МСКТ-снимки кисты брыжейки тонкой кишки
С учетом лабораторно-инструментальных данных, а также данных объективного обследования принято решение о выполнении оперативного вмешательства в объеме лапароскопического удаления кисты брыжейки тонкой кишки.
Параумбиликально установлен оптический лапаропорт и сформирован карбоксиперитонеум. Установлены троакары с рабочими инструментами: два троакара по 5 мм и один троакар 12 мм. При ревизии брюшной полости выпота не обнаружено. В проекции корня брыжейки тонкой кишки визуализировано интимно прилежащее к брыжейке кистозное образование размерами около 7×7,5×6,8 см округлой формы с четким ровным контуром, при инструментальной пальпации плотной консистенции, подвижное (рис. 2).
Рис. 2. Интраоперационные снимки кисты брыжейки тонкой кишки
При помощи ультразвукового диссектора «Harmonic» кистозное образование выделено из корня брыжейки тонкой кишки. Препарат удален в контейнер и отправлен на патогистологическое исследование. Установлен дренаж к ложу удаленной кисты. Раны ушиты.
Препарат вскрыт. Стенка кисты толщиной до 0,6 см, содержимым являлась бледно-желтая замазкообразная масса (рис. 3).
Рис. 3. Удаленная киста брыжейки тонкой кишки (а), содержимое кисты – бледно-желтая замазкообразная масса (б)
Диагноз после операции – посттравматическая киста корня брыжейки тонкой кишки.
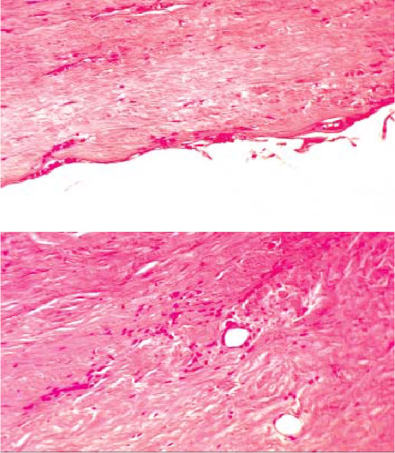
По результатам патогистологического исследования, стенка кисты представлена зрелой фиброзной тканью с очагами лимфоцитарной инфильтрации и кальцинозом. В просвете определяется аморфное эозинофильное содержимое с холестерозом, кальцинозом и псаммомными тельцами (рис. 4).
Рис. 4. Гистологическое строение стенки кисты. Окраска гематоксилином и эозином, ув. ×40
Пациент активизирован со вторых суток послеоперационного периода. На следующий день появилась болезненность в нижней трети живота, а также повысилась температура тела до 38˚С. В клиническом анализе крови отмечался выраженный лейкоцитоз (WBC – 22,3×109/л с нейтрофильным сдвигом). К терапии добавлены антибактериальные препараты (амоксиклав 1,2 г внутривенно 3 раза в сутки).
Послеоперационный период осложнился развитием лимфорреи, что объясняется богатой сетью лимфатических сосудов в брыжейке тонкой кишки. Отделяемое по дренажу из ложа удаленной кисты средним объемом 50−80 мл в сутки носило хилезный характер. При микроскопическом исследовании отделяемого по дренажу доля лимфоцитов составила 97%, при биохимическом исследовании отделяемого количество альбумина составило 8 г/л, а количество триглицеридов – 32,6 ммоль/л. Таким образом, данные микроскопического и биохимического исследования свидетельствуют о лимфатической природе отделяемого.
Пациенту было рекомендовано соблюдение диеты с исключением жирной пищи. Также проводилась инфузионно-спазмолитическая терапия. Через двое суток температура тела нормализовалась, болевой синдром был купирован. В контрольном клиническом анализе крови отмечалась положительная динамика в виде уменьшения лейкоцитоза до 10,3×109/л.
По данным УЗИ органов брюшной полости, на 10-е сутки послеоперационного периода свободной и отграниченной жидкости в брюшной полости не лоцировалось. Поступление отделяемого по дренажу прекратилось на 14-е сутки послеоперационного периода, в связи с чем было принято решение об удалении дренажа. На 17-е сутки послеоперационного периода выполнено УЗИ органов брюшной полости, по данным которого в малом тазу лоцировалось незначительное количество жидкости. Пациент выписан в удовлетворительном состоянии на 21-е сутки послеоперационного периода.
Таким образом, с учетом данных анамнеза, клинической картины, лабораторно-инструментальных исследований, интраоперационной картины и патогистологического заключения был поставлен окончательный диагноз – посттравматическое лимфоцеле корня брыжейки тонкой кишки.
Заключение. В век технического прогресса происходит активное внедрение высоких технологий во все сферы человеческой деятельности. Медицина не является исключением, однако эндовидеохирургию нельзя назвать новой отраслью в хирургии. Тем не менее частым препятствием для применения высокотехнологичных методик является редкость некоторых заболеваний. Продемонстрированный клинический случай показывает, что даже такие редкие заболевания, как посттравматическое лимфоцеле, не должны быть помехой для применения эндовидеохирургических способов лечения.
About the authors
B. V. Sigua
I.I. Mechnikov North-Western State Medical University
Author for correspondence.
Email: dr.sigua@gmail.com
Russian Federation, St. Petersburg
V. P. Zemlyanoy
I.I. Mechnikov North-Western State Medical University
Email: dr.sigua@gmail.com
Russian Federation, St. Petersburg
D. V. Gurzhiy
I.I. Mechnikov North-Western State Medical University
Email: dr.sigua@gmail.com
Russian Federation, St. Petersburg
A. S. Kachiuri
I.I. Mechnikov North-Western State Medical University
Email: dr.sigua@gmail.com
Russian Federation, St. Petersburg
V. A. Melnikov
I.I. Mechnikov North-Western State Medical University
Email: dr.sigua@gmail.com
Russian Federation, St. Petersburg
S. A. Vinnichuk
I.I. Mechnikov North-Western State Medical University
Email: dr.sigua@gmail.com
Russian Federation, St. Petersburg
References
- Абалмасов, К.Г. Патогенез и тактика лечения лимфореи и лимфоцеле после сосудистых операций на нижних конечностях / К.Г. Абалмасов, А.А. Малинин // Хирургия. Журн. им. Н.И. Пирогова. – 2004. – № 3. – С. 23–30.
- Сингаевский, А.Б. Ранения поясничной области: диагностика и лечение / А.Б. Сингаевский, К.Д. Ялда // Вест. Сев.-Зап. гос. мед. ун-та им. И.И. Мечникова. – 2016. – Т. 8, № 4. – С. 115–123.
- Скрепцова, Н.С. Инвазивная сонография в диагностике и лечении лимфоцеле у пациентов после тазовой лимфаденэктомии / Н.С. Скрепцова [и др.] // Лучевая диагностика и терапия. – 2013. – № 3 (4). – С. 102–107.
- Степанов, С.О. Ультразвуковая диагностика и тактика при лимфоцеле после онкогинекологических операций / С.О. Степанов, Е.Г. Новикова, Н.С. Скрепцова // Сиб. онколог. журн. – 2009. – № 2. – С. 25–30.
- Францев, Д.Ю. Послеоперационные лимфатические кисты таза: аналитический обзор / Д.Ю. Францев // Клин. и эксперим. хир. – 2015. – № 4 (10). – С. 113–120.
- Hazama, A. Abdominal lymphocele following anterior lumbar interbody fusion: a case report / A. Hazama [et al.] // Cureus. – 2018. – № 10. – P. 1–7.
- Lee, J.W. Lymphocele after lipoma removal in inner thigh / J.W. Lee [et al.] // Ann. Dermatol. – 2017. – № 29 (1). – P. 100–101.
- Pepper, R.J. The incidence and treatment of lymphoceles after radical retropubic prostatectomy / R.J. Pepper, J. Pati, A.V. Kaisary // BJU Int. – 2005. – Vol. 95, № 6. – Р. 772–775.
- Solberg, A. Frequency of lymphoceles after open and laparoscopic pelvic lymph node dissection in patients with prostate cancer / A. Solberg [et al.] // Scand. J. Urol. Nephrol. – 2003. – Vol. 37, № 3. – Р. 218–221.
Supplementary files






