Осложненное течение субарахноидального кровоизлияния с формированием цереброкардиального синдрома и стрессорной гипергликемии
- Авторы: Литвиненко Р.И.1, Халимов Ю.Ш.1, Гайдук С.В.1, Лянгинен Т.В.1, Парцерняк А.С.1, Сапожников Р.Ю.1, Душкина М.А.1, Романов Г.Г.1
-
Учреждения:
- Военно-медицинская академия им. С.М. Кирова
- Выпуск: Том 21, № 3 (2019)
- Страницы: 69-77
- Раздел: Клинические исследования
- Статья получена: 17.02.2020
- Статья опубликована: 15.09.2019
- URL: https://journals.eco-vector.com/1682-7392/article/view/20682
- DOI: https://doi.org/10.17816/brmma20682
- ID: 20682
Цитировать
Полный текст
Аннотация
Рассматривается клинический случай, демонструющий взаимоотягощение патологических процессов, инициированных аневризматической болезнью с последующим развитием цереброкардиального синдрома в виде субарахноидального кровоизлияния и инфаркта миокарда с цепочкой осложнений – судорожным синдромом, стрессорной гипергликемией, гиперосмолярным синдромом, острым почечным повреждением, отеком легких, пневмонией, сепсисом, возникших в течение короткого промежутка времени. У больной ранее был выявлен поликистоз почек, который является предиктором развития аневризматической болезни и повышенных рисков субарахноидального кровоизлияния. Данный клинический случай представляет интерес для практикующих врачей различных специальностей по нескольким позициям. Прежде всего, это необходимость тщательного сбора анамнеза с целью госпитализации пациентов в профильные стационары (отделения), где они могут получить специализированную помощь в кратчайшие сроки. Развитие у пациентки цереброкардиального синдрома произошло на фоне относительно небольшого субарахноидального кровоизлияния, при этом тяжесть течения цереброкардиального синдрома не имеет прямой корреляции с объемом кровотечения, а зависит от вовлечения в процесс определённых участков головного мозга. Возникновение стрессорной гипергликемии патогенетически взаимосвязано с цереброкардиальным синдромом и является взаимоотягощающим состоянием. Таким образом, тяжесть цереброкардиального синдрома зависит от выраженности гипергликемии. В случаях первичного выявления поликистоза почек целесообразно рассмотреть вопрос о проведении компьютерной или магнитно-резонансной ангиографии головного мозга, если ранее данные исследования не выполнялись.
Полный текст
Введение. Под термином цереброкардиальный синдром (ЦКС) понимают комплекс кардиальных нарушений, вызванных поражением центральной нервной системы и развивающихся чаще всего на фоне острого нарушения мозгового кровообращения (ОНМК). По данным B.H. Natelson [15], ЦКС встречается в 78% случаев при геморрагическом инсульте, в 15–51% – при ишемическом инсульте. ЦКС также возникает на фоне черепно-мозговой травмы, при опухолях головного мозга, менингитах, энцефалитах, после нейрохирургических вмешательств по поводу церебральной патологии, но особенно часто – при острых аневризматических субарахноидальных кровоизлияниях [2]. В основе развития ЦКС лежат метаболические нарушения, возникающие в миокарде вслед за церебральной патологией. Функция сердца регулируется центрами ствола головного мозга посредством симпатической и парасимпатической иннервации. Поражение мозговых структур сопровождается нарушением сердечно-сосудистой автономной регуляции [14] с чрезмерной симпатической активацией [12].
Центрогенное возбуждение симпатико-адреналовой системы и дисфункция автономной нервной системы приводят к усиленному выбросу в плазму крови катехоламинов, вызывающих сдвиги в работе гуморальных систем и глубокие нарушения тканевого метаболизма в миокарде [5]. Исследования, проведенные с целью выявления особенностей межполушарной асимметрии мозга у больных с диагностированным ишемическим инсультом и учетом показателей спектрального анализа вариабельности ритма сердца, свидетельствуют о более тесной связи между структурами правого полушария и вегетативной регуляцией, а также о неблагоприятном прогнозе у пациентов с правополушарным повреждением по сравнению с левополушарным [6, 13]. Кардиальные повреждения могут развиваться сразу или в течение нескольких часов после перенесенной острой церебральной катастрофы. При геморрагическом ОНМК в острейшем периоде или субарахноидальном кровоизлиянии отмечается значительно большее число больных с нарушением сердечного ритма [11]. У части пациентов может быть асимптомное течение ЦКС с небольшим увеличением кардиальных ферментов повреждения миокарда, в то время как у других развивается клиника кардиогенного шока, острой сердечной недостаточности и отека легких. Отёк легких регистрируется приблизительно у 10% пациентов с субарахноидальным кровоизлиянием [18].
Иногда после ОНМК развивается стойкая гипергликемия на фоне отсутствия сахарного диабета в анамнезе. Данное состояние называется стрессорной гипергликемией (СГ), или гипергликемией критических состояний. СГ впервые описана Клодом Бернаром в 1877 г. при геморрагическом шоке. СГ является неизбежным спутником критических состояний и представляет одну из наиболее актуальных проблем современной интенсивной медицины [3]. Частота развития СГ у пациентов, находящихся в критическом состоянии, превышает 90%. При этом СГ негативно влияет на результаты лечения пациентов в различных областях медицины [7].
Контроль метаболизма глюкозы является одним из основных факторов, определяющих исходы критических состояний у всех категорий больных, а не только у больных сахарным диабетом (СД). Более того, больные с выраженной СГ без предшествующего СД имеют более неблагоприятный прогноз [9]. В основе патогенеза СГ, как и в случае с ЦКС, лежит активизация выработки гормонов контринсулярной системы – глюкокортикостероидов и катехоламинов. Данные гормоны, а также провоспалительные цитокины (фактор некроза опухоли-α, интерлейкины 1 и 6) патологически воздействуют на различные звенья метаболизма: активируют липолиз, повышая содержание свободных жирных кислот, способствуют развитию инсулинорезистентности, подавляют секрецию инсулина, стимулируют глюконеогенез и гликогенолиз в печени, вызывая гипергликемию (ГГ). Повышение содержания свободных жирных кислот в крови приводит к угнетению ферментов пируватдегидрогеназного комплекса, участвующего в процессе аэробного окисления глюкозы, что в свою очередь приводит к стимуляции глюконеогенеза, еще больше увеличивающего ГГ. СГ и инсулинорезистентность неизбежно приводят к развитию эндогенной гиперинсулинемии. Помимо прямого негативного действия ГГ, сама по себе гиперинсулинемия может вызывать задержку натрия почками, дисфункцию эндотелия и изменения в свертывающей системе крови [3], что значимо осложняет течение основного заболевания, повышая риск осложнений.
Цель исследования. На клиническом примере показать (обосновать) механизмы формирования цереброкардиального синдрома после субарахноидального кровоизлияния c оценкой различных факторов, влияющих на его течение и прогноз пациента.
Материалы и методы. Обследована пациентка У. 47 лет, доставленная в отделение реанимации клиники военно-полевой терапии Военно-медицинской академии им. С.М. Кирова в 18:15 25.01.2019 г. по неотложным показаниям бригадой скорой помощи.
Результаты и обсуждение. Со слов супруга известно, что около 16:55 25.01.2019 г. на фоне полного благополучия больная внезапно почувствовала резкую слабость с последующим резким угнетением сознания, сопровождавшимся тоническими судорогами. Родственниками была вызвана бригада скорой помощи. При осмотре больной на догоспитальном этапе выявлено угнетение сознания до сопора с эпизодами двигательного возбуждения, артериальное давление (АД) – 120/80 мм рт. ст., пульс – 80 уд. в 1 мин, уровень глюкозы – 8,2 ммоль/л. Была оказана медицинская помощь в объеме мониторинга витальных функций, медицинской эвакуации. Бригадой скорой помощи развившееся состояние было расценено как осложнение острого отравления веществом нейродепримирующего действия, сформулирован диагноз направления – острое отравление неустановленным веществом депримирующего действия (бутиратом?).
При поступлении в отделение реанимации общее состояние средней степени тяжести. Больная предъявляла жалобы на резкую головную боль, тошноту, общую слабость, отсутствие памяти на события с момента потери сознания до поступления в стационар. В дополнение к анамнезу настоящего заболевания больная уточнила, что в течение последних 5 лет наблюдается в Городском нефрологическом центре Санкт-Петербурга по поводу поликистоза почек, артериальной гипертензии, по поводу чего принимает кандесартан по 8 мг 1 раз в сут с положительным нормотензивным эффектом.
Заметим, что в настоящее время выделяют две основные формы поликистозной болезни почек, различающиеся по типу наследования: аутосомно-рецессивная поликистозная болезнь почек, характерная для детского возраста (АРПП), которая связана с мутацией гена PKHD1, кодирующего белок фиброцистин, и аутосомно-доминантная поликистозная болезнь почек (АДПП), которая в 85% случаев вызвана мутацией гена PKD1, кодирующего белок полицистин-1 (в этом случае средний возраст развития терминальной почечной недостаточности составляет 54 года), а в 15% случаев связана с мутацией гена PKD2, кодирующего белок полицистин-2 (средний возраст развития терминальной почечной недостаточности составляет 74 года) [1]. АДПП встречается в человеческой популяции с частотой 1/400–1/1000, являясь одной из наиболее распространённых генетических болезней. Общее же количество больных в мире оценивается в 10–12 млн. человек.
В западной литературе представлено множество работ, подтверждающих связь развития аневризматической болезни головного мозга с аутосомно-доминантной формой поликистоза почек. По данным разных авторов, от 10 до 18% больных, страдающих АДПП, имеют интракраниальную аневризму. Причина возникновения данного заболевания, по-видимому, вызвана мутацией гена PKD1 либо PKD2. Обнаружено, что частота выявленных аневризм в популяции пациентов, страдающих АДПП, составляет 8–15%, что в 5–7 раз больше, чем частота аневризмоносительства в среднеевропейской и российской популяциях [8, 10, 16]. Также у пациентов, страдающих АДПП, субарахноидальные кровоизлияния (САК) происходят в 5 раз чаще, чем в общей популяции, и эта цифра составляет приблизительно 50 случаев на 100 тыс. населения в год [12, 17]. С учётом представленных данных нетрудно сделать вывод о целесообразности проведения магнитно-резонансной либо компьютерной ангиографии головного мозга всем пациентам с выявленным поликистозом почек [4].
Обращено особое внимание больной на судорожный синдром в анамнезе, наличие иных хронических заболеваний, травм, употребление наркотических, психоактивных, нейродепримирующих веществ, однако на все вопросы получен отрицательный ответ. Эпидемиологический анамнез также без особенностей, в течение 2 лет больная не выезжала за пределы Санкт-Петербурга и Ленинградской области.
При общем осмотре тяжесть состояния определялась угнетением сознания до умеренного оглушения, неврологическим дефицитом, имеющимися нарушениями когнитивных функций. Пациентка заторможена, снижено внимание, дезориентирована в месте и времени, отмечалась выраженная ретроградная амнезия событий после потери сознания, отсутствие памяти на текущие события. В выдыхаемом воздухе посторонних запахов, в том числе алкоголя, не определялось. Кожный покров и видимые слизистые физиологической окраски, чистые, нормальной температуры. Костно- травматических изменений при внешнем осмотре не определялось. Периферических отеков нет. Пульс 120 ударов в 1 мин, АД 135/80 мм рт. ст. Тоны сердца ясные, ритмичные. Шумов нет. Грудная клетка правильной формы, симметричная, равномерно участвует в акте дыхания с частотой 18 дыхательных движений в 1 мин. Сатурация кислорода 96–98%. Дыхание жесткое, хрипов нет. Язык влажный, чистый. Живот мягкий, безболезненный во всех отделах. Признаков раздражения брюшины нет. По мочевому катетеру получено 250 мл прозрачной светло-желтой мочи.
При поступлении в стационар было проведено лабораторно-инструментальное обследование: общий анализ крови без особенностей (эритроциты – 4,55×1012/л, гемоглобин – 135 г/л, цветовой показатель – 29,7 пг, гематокрит – 38%, тромбоциты – 258×109/л, лейкоциты – 10,6×109/л, нейтрофилы – 57,4%, лимфоциты – 36,6%, смесь моноцитов, базофилов, эозинофилов – 6%, скорость оседания эритроцитов – 6 мм/ч), в биохимическом анализе отмечалась гипергликемия (13,24 ммоль/л), умеренная азотемия с повышением креатинина (117 мкмоль/л) и мочевины (8,5 ммоль/л).
При расширенном токсико-химическом исследовании крови и мочи этанола, суррогатов алкоголя (изопропиловый, бутиловый спирты, этиленгликоль, метиловый спирт, дихлорэтан), наркотических, психоактивных веществ (амфетамины, метамфетамины, оксибутират натрия, героин, морфин, метадон, трициклические антидепрессанты, барбитураты, бензодиазепины, фенотиазины) не обнаружены. По данным электрокардиографии выявлены синусовая тахикардия (120 ударов в 1 мин); отклонение электрической оси сердца влево; одиночная желудочковая экстрасистола. С целью исключения возможного аспирационного синдрома на фоне тонических судорог была выполнена рентгенография органов грудной клетки, патологии не выявлено. Пациентка осмотрена офтальмологом – застоя диска зрительного нерва, очаговой специфической симптоматики на глазном дне не выявлено. Ввиду наличия патологической неврологической симптоматики, не укладывающейся в клинику отравления, была проведена консультация невролога. В неврологическом статусе – сознание ясное, контактна, адекватна, память на текущие события отсутствует. Зрачки D=S, прямая и содружественная реакции сохранены, живые. Черепная иннервация в норме. Глубокие рефлексы оживлены D=S, чувствительных нарушений нет. Симптом Россолимо D>S. Координационные пробы выполняет хорошо. Заключение: данных за острую неврологическую патологию нет.
На основании анамнеза заболевания, характера жалоб пациентки, результатов общего осмотра, лабораторно-инструментального обследования, данных токсико-химического исследования, консультаций специалистов был сформулирован предварительный диагноз – острое отравление неустановленным веществом депримирующего действия от 25.01.2019 г.; состояние после судорожного припадка (со слов); энцефалопатия неустановленного генеза; сопор; ретроградная амнезия. Диагноз в полной мере не отражал вероятные причины развития угнетения сознания и судорог на догоспитальном этапе, в связи с чем диагностические поиски были продолжены.
С момента поступления в течение первых часов наблюдения состояние пациентки оставалось стабильным. Проводилась симптоматическая терапия, направленная на стабилизацию общего состояния: ин- фузионная терапия в объеме 400 мл глюкозо-электролитной смеси (5% раствор глюкозы 400 мл, инсулин 6 ЕД, 4% раствор KCL 20 мл, 25% раствор MgSO4 5 мл, 2% раствор рибоксина 10 мл, раствор пиридоксина 3 мл, 5% раствор аскорбиновой кислоты 3 мл), метаклопромид для профилактики тошноты и рвоты (2 мл), пульсурежающая терапия (метопролол 25 мг), мониторинг витальных функций, мероприятия ухода.
Однако к 23.30 ч 25.01.2019 г. состояние пациентки резко ухудшилось в виде развития тахипноэ до 28 в 1 мин, сопровождавшегося снижением уровня сатурации по кардиомонитору до 76%, несмотря на продолжающуюся инсуффляцию кислорода через лицевую маску со скоростью потока 8 л/мин, тахикардии до 120 в 1 мин, АД 120/70 мм рт. ст. В легких выслушивались множественные разнокалиберные хрипы, преимущественно в нижних отделах. Данное состояние было расценено как отек легких. Выполнено внутривенное введение растворов преднизолона 60 мг, лазикса 20 мг. После седации 100 мг пропофола выполнена интубация трахеи. Из трубки санировано обильное количество пенистого содержимого розоватой окраски. Начата исскуственная вентиляция легких (ИВЛ) аппаратом «Hamilton» в режиме Intellevent. На этом фоне сатурация составила 80% с тенденцией к нарастанию. Выполнена контрольная электрокардиограмма (ЭКГ) (25.01.2019 г., 23:40): синусовый ритм с частотой сердечных сокращений (ЧСС) 80 в 1 мин, отрицательная динамика процессов реполяризации в виде подъема сегмента S–T до 2 мм в отведениях V2–V4. Лабораторно отмечено повышение уровня глюкозы (16,5 ммоль/л), креатинфосфокиназы (КФК) (171 ЕД/л, исходно 87 ЕД/л), изофермента КФК-МВ (42,6 ЕД/л), резкого увеличения тропонина I (1,62 нг/ мл при норме до 0,11 нг/мл). Состояние расценено как острый коронарный синдром (ОКС) с подъемом сегмента S–T, осложненный кардиогенным отёком легких. Начата терапия по стандарту лечения ОКС, вызван кардиохирург для определения показаний к реваскуляризации миокарда. К 02:00 26.01.2019 г. состояние больной тяжелое, обусловленное нестабильностью гемодинамики, потребовавшее проведение инотропной и вазопрессорной поддержки дофамином со скоростью 15 мкг/кг/мин и норадреналином 0,5 мкг/кг/мин. На этом фоне была достигнута стабилизация АД – 110/70 мм рт. ст., ЧСС – 88 в 1 мин. Продолжалась ИВЛ в прежнем режиме, на этом фоне сатурация составляла 96–98%. Аускультативно (дыхание аппаратное) хрипов нет. При санации без отделяемого. Лабораторно в динамике оценивался уровень кардиоселективных ферментов: КФК-МВ (44,6 ЕД/л), тропонин (1,66 нг/л). 26.01.2019 г. в 01:50 выполнено ЭКГ в динамике: отмечается уменьшение выраженности элевации сегмента S–T в V1, появление отрицательных зубцов Т в отведениях V2–V5. Пациентка проконсультирована кардиохирургом. Данное состояние расценено как ОКС без подъема сегмента S–T. Рекомендовано динамическое наблюдение в условиях реанимации, контрольное ЭКГ-исследование, определение уровня кардиоселективных маркеров через 4 ч с последующей повторной консультацией по результатам дообследования.
В динамике состояние пациентки оставалось тяжелым. На фоне проводимой терапии отмечалось купирование отека легких, а также некоторая стабилизация гемодинамики на фоне инотропной поддержки дофамином 4,5 мг и норадреналином 8 мг с медленным снижением уровня поддержки, однако по данным контрольной ЭКГ определялись отрицательные зубцы Т в III, aVF, V3 –V5 отведениях, что было расценено как расширение зоны ишемии. Данное состояние подтверждалось повышением кардиоселективных ферментов в динамике: КФК (229 ЕД/л), КФК-МВ (48,6 ЕД/л), тропонин I (1,84 нг/мл). По данным эхо- кардиографии от 26.01.2019 г., выполненной на фоне инотропной поддержки: митральная регургитация 1 степени, приклапанная трикуспидальная регургитация, камеры сердца не увеличены, размеры миокарда не изменены, зоны акинезии срединных, апикальных переднеперегородочных сегментов, передней стенки левого желудочка, верхушки, глобальная систолическая функция левого желудочка снижена до 40%, диастолическая функция сохранена. Также обращала на себя внимание гипергликемия (13,3 ммоль/л) и нарастание креатинина (165 мкмоль/л).
С учетом проведенных исследований больная повторно 26.01.2019 г. осмотрена кардиохирургом. С целью исключения патологии коронарных артерий было рекомендовано выполнение коронарографии. Больная в тяжелом состоянии в сопровождении врача- реаниматолога в условиях реанимобиля была переведена в клинику хирургии усовершенствования врачей № 1 Военно-медицинской академии им. С.М. Кирова. По результатам коронарографии определен правый тип кровоснабжения миокарда, ангиографических признаков атеросклеротического поражения коронарных артерий не выявлено. Показаний к хирургической реваскуляризации не получено, для дальнейшего обследования и лечения больная переведена обратно в отделение реанимации клиники военно-полевой терапии, где был сформулирован этапный диагноз - ишемическая болезнь сердца; острый не Q-инфаркт миокарда переднеперегородочной области с захватом верхушки левого желудочка от 25.01.2019 г.; острая сердечно-сосудистая недостаточность от 25.01.2019г.; отёк лёгких от 25.01.2019 г. (купирован 26.01.2019 г.); дисциркуляторная энцефалопатия смешанного генеза; состояние после судорожного припадка; сопор; медикаментозная седация от 25.01.2019 г.
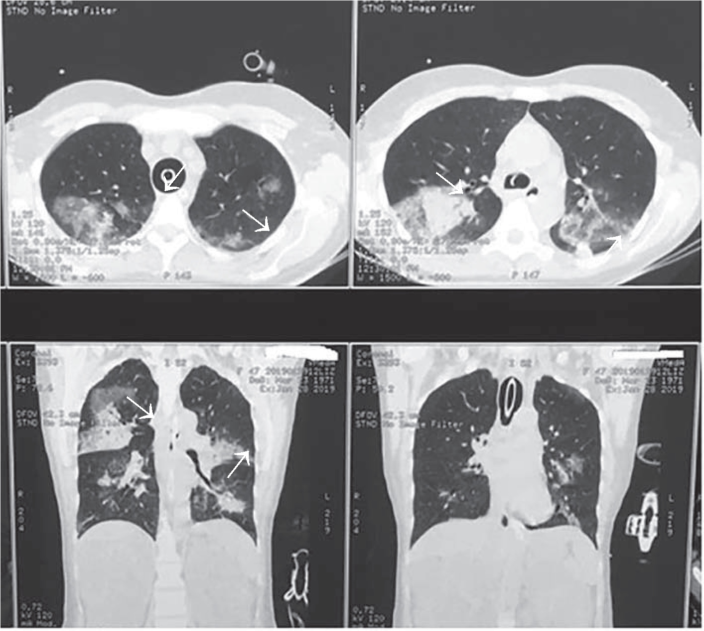
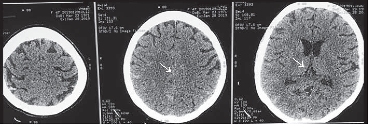
26.01.2019 г. для исключения патологии со стороны центральной нервной системы, уточнения причин угнетения сознания с развитием судорожного синдрома, исключения отека легких, аспирационного синдрома, а также исходя из наличия в анамнезе поликистоза почек пациентке была выполнена КТ головы (рис. 1), груди (рис. 2), живота (рис. 3), по результатам которой отмечалось минимальное субарахноидальное кровоизлияние в височной доле справа; имелись признаки аксиальной дислокации 1 – 2 степени. Объёмных образований, гематом в веществе головного мозга не выявлено. Пристеночное утолщение слизистой оболочки в лобной пазухе, клетках решетчатого лабиринта, обеих верхнечелюстных пазухах и основной пазухе слева с наличием в последней минимального уровня содержимого. Диффузная интерстициально- альвеолярная инфильтрация лёгочной ткани с обеих сторон с наличием небольшого количества жидкости в плевральных полостях, вероятно, как проявления отёка лёгких. В зоне сканирования поликистоз печени, почек.
Рис. 1. КТ головы. Определяются признаки минимального субарахноидального кровоизлияния в височной доле справа, аксиальной дислокации 1 – 2 степени
Рис. 2. КТ легких. Визуализируется небольшое количество жидкости в плевральных полостях как проявление отёка лёгких
Рис. 3. КТ живота. В зоне сканирования – поликистоз печени, почек
26.01.2019 г. пациентка осмотрена нейрохирургом, верифицированы спонтанное субарахноидальное кровоизлияние, отсутствие признаков вклинения головного мозга, рекомендовано выполнение МРТ и ангио-КТ головного мозга.
27.01.2019 г. состояние больной тяжёлое. Продолжена медикаментозная седация оксибутиратом натрия 20% через перфузор со скоростью 10–15 мл/ч. Гемодинамика нестабильная. Проводится инотропная поддержка дофамином в дозе 8 мкг/кг/мин и вазопрессорная поддержка норадреналином в дозе 0,2 мкг/кг/мин, на этом фоне АД 105–108/70–80 мм рт ст. ЧСС 80–88 в 1 мин. Продолжается ИВЛ аппаратом «Hamilton» в режиме Intellevent. На этом фоне сатурация кислорода составила 96–99%. Аускультативно (дыхание аппаратное) хрипов нет. При санации без отделяемого. У пациентки, по данным газового состава крови, оксигенация достаточная (pO2–97,6 мм рт. ст., SaO2–99%), нормовентиляция (pCO2–35,0 мм рт. ст.), имеются умеренные нарушения газообмена в лёгких (индекс оксигенации 325 при концентрации кислорода 30%). За сутки диурез составил 2900 мл.
Ввиду развития лихорадки до 38,7оС, а также нарастания лейкоцитоза с 10,6 до 12,2 ×109/л с целью исключения дополнительного очага инфекционного процесса больная была проконсультирована врачом- отоларингологом (ЛОР), который диагностировал искривление перегородки носа, вазомоторный ринит. Данных за острую ЛОР-патологию нет, имеются начальные признаки гиповентиляционного синусита.
Продолжала сохраняться гипергликемия (11,8 ммоль/л) с тенденцией к нарастанию в течение 4 ч (23,44 ммоль/л), а также гипернатриемия (159,6–177,7 ммоль/л), что было связано с развившимся гиперосмолярным синдромом – расчетная осмолярность 321 мсмоль/л. Все это потребовало внутривенного введения перфузором раствора короткого инсулина (актрапид) со скоростью 8–12 ЕД/ч, дистиллированной воды в назогастральный зонд в объеме 1000 мл/ дробно в течение суток, прекращено введение натрийсодержащих растворов. Ввиду высокого риска отека головного мозга больная была проконсультирована окулистом, в результате диагностирована гипертоническая ангиопатия сетчатки обоих глаз, данных за застой диска зрительного нерва нет.
28.01.2019 г. состояние больной тяжёлое, обусловленное неврологическим дефицитом, эндогенной интоксикацией, дыхательной, сердечно-сосудистой недостаточностью, острым инфарктом миокарда, раз- вившейся внебольничной двусторонней пневмонией, острым почечным повреждением, гипергликемией, гипернатриемией, гиперосмолярным синдромом, недостаточностью питания, гипоальбуминемией.
С учетом диагностированного поликистоза, прогрессирования острого почечного повреждения в виде гиперазотемии и необходимости проведения рентген- контрастного исследования (РКИ) – КТ-ангиографии – пациентка была консультирована нефрологом. Заключение: абсолютных противопоказаний для РКИ нет, рекомендована подготовка к исследованию – достижение нормоволемии, поддержание темпа диуреза 70–150 мл/ч, после исследования поддержание нормоволемии и темпа диуреза 70–150 мл/ч. Использовать рентген-контрастный препарат III ил IV поколения (ультравист).
Выполнена КТ головы в ангиорежиме. Заключение: КТ-картина мешотчатой аневризмы правой срединной мозговой артерии (рис. 4.). Субарахноидальное кровоизлияние в височно-теменной области справа и затылочной доле справа, в теменной доле слева, по намету мозжечка, в заднем роге левого бокового желудочка в полости четвертого желудочка и цистерн четверохолмия. Неравномерное пристеночное утолщение слизистой оболочки в обеих верхнечелюстных пазух, в клетках решетчатого лабиринта, в основной пазухе с наличием небольшого количества тяжистого содержимого в правой половине основной пазухи.
Рис. 4. КТ-картина мешотчатой аневризмы правой срединной мозговой артерии
Повторно выполнены КТ груди, живота. Заключение: диффузная интерстициально-альвеолярная инфильтрация легочной ткани с обеих сторон, вероятно, как проявление отека легких, на фоне которого нельзя исключить наличие пневмонической инфильтрации в базальных отделах обоих легких. Жидкость в обеих плевральных полостях. Гепатомегалия. Множественные кисты печени. КТ-картина поликистоза почек. Жидкость в ложе желчного пузыря. В сравнении с исследованием от 26.01.2019 г. отмечается появление геморрагического содержимого в заднем роге левого бокового желудочка, в полости четвертого желудочка и цистерне четверохолмия, появление содержимого в правой половине основной пазухи, незначительное разрешение инфильтрации в верхних долях обоих легких и уплотнение инфильтрации в базальных отделах.
Пациентка повторно осмотрена ЛОР-врачом в динамике от 28.01.19 г., в результате подтвержден гиповентиляционный синусит. Также повторно осмотрена неврологом, диагноз – спонтанное субарахноидальное кровоизлияние от 25.01.2019 г.; аневризматическая болезнь: разорвавшаяся аневризма правой среднемозговой артерии. Повторно осмотрена офтальмологом, подтверждена гипертоническая ангиопатия сетчатки обоих глаз; на момент осмотра данных за застой диска зрительного нерва нет.
В связи с отсутствием противопоказаний выполнена люмбальная пункция, по результатам которой получен ликвор красного цвета, вытекающий под давлением 220 мм водного столба. Лабораторно: цвет ликвора – геморрагический, мутный, цитоз – 80×106/л, общий белок – 924 мг/л (220–330), калий – 3 ммоль/л, хлор – 146 ммоль/л (118–132). По результатам пункции осмотрена нейрохирургом, заключение: развившиеся у пациентки отек легких и двусторонняя пневмония, инфаркт миокарда скорее всего являются осложнением острого субарахноидального кровоизлияния. Пациентке показано неотложное оперативное лечение – трепанация черепа в правой лобно-височной области, клипирование аневризмы – при условии отсутствия абсолютных противопоказаний к проведению общей анестезии по состоянию систем кровообращения и дыхания, в связи с чем был запланирован перевод пациентки в клинику кафедры нейрохирургии Военно-медицинской академии им. С.М. Кирова при стабилизации гемодинамических показателей.
Больная была осмотрена эндокринологом. Заключение: реактивная гипергликемия, гиперосмолярный синдром. Рекомендовано непрерывное внутривенное введение инсулина короткого действия под контролем глюкозы с целевым показателем менее 10 ммоль/л.
К 16:00 28.01.2019 г. у пациентки сохранялись при- знаки системно-воспалительной реакции (лихорадка, тахикардия, тахипноэ), признаки органной дисфункции (гипоперфузия, гипоксемия, гиперлактатемия, азотемия, дыхательная недостаточность), а также имелся очаг инфекционного процесса (пневмония), что в совокупности с полученными результатами лабораторного подтверждения эндотоксемии (прокальцитонин – 5,25 нг/мл, лактат – 5,6 ммоль/л, С- реактивный белок – 44 г/л), позволили включить пациентку в протокол по лечению сепсиса – 10 баллов по шкале оценки полиорганной недостаточности sequential organ failure assessment (SOFA). Произведена смена антибактериальной терапии (кларитромицин по 500 мг внутривенно 2 раза в сут, цефтриаксон по 1 г внутримышечно 2 раза в сутки отменены, назначены моксифлоксацин 400 мг внутривенно 1 раз в сут, имипенем+циластатин по 500/500 мг внутривенно 3 раза в сут).
В течение суток отмечена положительная динамика в виде купирования острой сердечно-сосудистой недостаточности, уменьшения выраженности полиорганной дисфункции (8 баллов по шкале SOFA, прокальцитонин – 9,53 нг/мл), однако лабораторно у пациентки сохранялся гиперосмолярный синдром (осмолярность – 345 мсмоль/л) на фоне гипергликемии (20,62 ммоль/л) и гипернатриемии (170,9 ммоль/л), несмотря на продолжающееся внутривенное введение перфузором раствора короткого инсулина (за сутки с 28.01. по 29.01.2019 г. внутривенно введено 440 ЕД короткого инсулина, что свидетельствовало о развившейся инсулинорезистентности), фебрильная лихорадка (39,4 оС), нарушения азотистого обмена (креатинин – 160 мкмоль/л, мочевина – 13,1 ммоль/л) при сохраненном диурезе с тенденцией к полиурии – 5200 мл/сутки.
В связи с резко прогрессирующей анемией (гемоглобин – 84 г/л, эритроциты – 2,78×1012/л), тромбоцитопенией (67×109/л) для исключения острого желудочно-кишечного кровотечения пациентка проконсультирована хирургом. Заключение: данных за желудочно-кишечное кровотечение на момент осмотра нет, стоит назогастральный зонд на сброс, поступает дуоденальное содержимое, стул 3 раза коричневого цвета.
По данным ЭКГ, сохранялась картина острого проникающего переднеперегородочного с захватом верхушки инфаркта миокарда без отрицательной динамики.
В отделении реанимации клиники кафедры военно-полевой терапии проводилась терапия: режим – 1, диета: энтеральные смеси (нутризон диабет – 2000 ккал в сутки), инфузионная терапия – коррекция гипернатриемии (0,45% гипотонический раствор натрия хлорида, дистиллированная вода в зонд), коррекция гипокалиемии (4% KCl – 30–40 мл/ч), антибактериальная (моксифлоксацин 400 мг внутривенно 1 раз в сутки, имипенем+циластатин по 500 мг внутривенно 3 раза в сутки), медикаментозная седация (2% пропофол от 5 до 15 мл/ч, сибазон), гастропротективная (омепразол 40 мг внутривенно 2 раза в сутки), антиаритмическая (метопролол по 50 мг 2 раза в сутки под контролем ЧСС), муколитическая (ацетилцистеин 300 мг 2 раза в сутки внутривенно), ингаляции (беродуал, амброксол), инфузионная и симптоматическая терапия, коррекция гипоальбуминемии (5% раствор альбумина 200 мл в сут), ИВЛ, коррекция гипергликемии (актропид по 10–20 Ед в час под контролем уровня глюкозы каждый час с коррекцией дозы инсулина).
На фоне относительной стабилизации состояния для дальнейшего обследования и лечения больная в сопровождении врача-реаниматолога в условиях реанимобиля 29.01.2019 г. была переведена в отделение реанимации клиники нейрохирургии. На момент перевода диагностические представления о больной были следующие. Аневризматическая болезнь: разорвавшаяся аневризма правой среднемозговой артерии, острое субарахноидальное кровоизлияние Fisher I от 25.01.2019 г. Тяжесть состояния по Hunt-Hess – IV. ИБС. Острый не Q-инфаркт миокарда переднеперегородочной области с захватом верхушки левого желудочка от 25.01.2019 г. Внебольничная двухсторонняя полисегментарная пневмония с локализацией в нижних отделах обоих легких тяжелого течения. Гипертоническая болезнь III стадии, артериальная гипертензия 2 степени, риск сердечно-сосудистых осложнений очень высокий. Синдром системной воспалительной реакции от 25.01.2019 г. Тяжелый сепсис от 28.01.19 г. Острая сердечно-сосудистая недостаточность от 25.01.2019 г. (купирована 28.01.2019 г.). Острая дыхательная недостаточность III степени от 25.01.2019 г. Отек легких от 25.01.2019 г. (купирован 28.01.2019 г.). Двусторонний малый гидроторакс. Дисциркуляторная энцефалопатия смешанного генеза. Состояние после судорожного припадка. Сопор. Медикаментозная седация от 25.01.2019 г. Острое почечное повреждение преренального и ренального генезов от 25.01.19 г. в виде гиперазотемии, дисэлектролитемии. Гиповентиляционный полисинусит. Реактивная гипергликемия от 25.01.2019 г. Гиперосмолярный синдром от 28.01.2019 г. Недостаточность питания по смешанному типу средней степени тяжести. Гипоальбуминемия – 23 г/л. Искривление перегородки носа. Вазомоторный ринит. Поликистоз почек. Множественные кисты печени.
Несмотря на тяжелое состояние и наличие высокого риска интраоперационных осложнений, ввиду фатального риска повторного кровоизлияния было принято решение о проведении операции по жизненным показаниям. В предоперационном периоде у больной сохранилась гипергликемия (14 моль/л), сепсис – 10 баллов по шкале SOFA (прокальцитонин – 10,66 нг/ мл). 30.01.2019 г. было выполнено оперативное вмешательство с применением общей комбинированной многокомпонентной анестезии (фентанил – 0,8 мг, пропофол – 1400 мг в условиях миоплегии рокуронием – 150 мг и ИВЛ кислородно-воздушной смесью) в объёме костно-пластической трепанации черепа в правой лобно-височной области, где была выполнена диссекция камеры аневризмы среднемозговой артерии, клипирование (наложен изогнутый клипс «YASARGIL») её шейки с последующим интраоперационным удостоверением в проходимости левой среднемозговой артерии посредством ультразвуковой допплерографии, коагуляция камеры аневризмы, костная пластика трепанационого дефекта черепа с послойным ушиванием скальпа. Интраоперационные показатели газообмена и гемодинамики в течение всей операции стабильные. Объём внутривенной ифузии составил 2300 мл, коллоидных растворов (20% раствора альбумина) – 100 мл, осмотических диуретиков (15% раствор маннитола) – 200 мл. Диурез по уретральному катетеру – 1000 мл. Кровопотеря – 250 мл. Коррекция гипергликемии (9,8–11,2 ммоль/час) инфузией инсулина 2 – 3 ЕД/ч.
В послеоперационном периоде состояние пациентки имело положительную динамику в виде прояснения сознания (с 04.02. сознание достигло уровня умеренного оглушения, а с 08.02. уровень сознания – ясное), купирования сепсиса к 04.02. (прокальцитонин в динамике – 5,24–1,55 нг/мл с 31.01. по 04.02. включительно), наблюдалась относительная стабилизация уровня глюкозы до 6–9 ммоль/л к 01.02. (29.01. введено 106 ЕД инсулина, 30.01. – 40 ЕД, 31.01. – 12 ЕД, с 01.02. инсулин не вводился), 11.02. произошло разрешение пневмонии. В удовлетворительном состоянии 18.02.2019 г. переведена для дальнейшего лечения в отделение реабилитации Городской Мариинской больницы.
Выводы
- Тщательный сбор анамнеза на догоспитальном этапе бригадой скорой помощи с формулировкой предварительного диагноза влечет за собой госпитализацию пациентов в специализированный стационар (отделения), где они должны получить высококвалифицированную специализированную помощь в ранние сроки.
- Развитие цереброкардиального синдрома на фоне относительно небольшого субарахноидального кровоизлияния не имеет прямой корреляции с объемом кровотечения, а зависит от вовлечения в процесс определённых участков головного мозга.
- Появление стресс-индуцированной гипергликемии и гиперосмолярного синдрома патогенетически взаимосвязано с цереброкардиальным синдромом, является взаимоотягощающим и влияющим на прогноз состояния пациента фактором. Таким образом, тяжесть течения цереброкардиального синдрома зависит от выраженности гипергликемии.
- Наличие у пациента поликистоза почек является важным предиктором развития аневризматической болезни. В случаях первичного выявления данной патологии целесообразно решить вопрос о проведении КТ/МРТ-ангиографии, если ранее данные исследования не выполнялись.
Об авторах
Р. И. Литвиненко
Военно-медицинская академия им. С.М. Кирова
Автор, ответственный за переписку.
Email: vmeda-nio@mil.ru
Россия, Санкт-Петербург
Ю. Ш. Халимов
Военно-медицинская академия им. С.М. Кирова
Email: vmeda-nio@mil.ru
Россия, Санкт-Петербург
С. В. Гайдук
Военно-медицинская академия им. С.М. Кирова
Email: vmeda-nio@mil.ru
Россия, Санкт-Петербург
Т. В. Лянгинен
Военно-медицинская академия им. С.М. Кирова
Email: vmeda-nio@mil.ru
Россия, Санкт-Петербург
А. С. Парцерняк
Военно-медицинская академия им. С.М. Кирова
Email: vmeda-nio@mil.ru
Россия, Санкт-Петербург
Р. Ю. Сапожников
Военно-медицинская академия им. С.М. Кирова
Email: vmeda-nio@mil.ru
Россия, Санкт-Петербург
М. А. Душкина
Военно-медицинская академия им. С.М. Кирова
Email: vmeda-nio@mil.ru
Россия, Санкт-Петербург
Г. Г. Романов
Военно-медицинская академия им. С.М. Кирова
Email: vmeda-nio@mil.ru
Россия, Санкт-Петербург
Список литературы
- Арутюнян, С.С. Аутосомно-доминантный поликистоз почек у взрослых и детей / С.С. Арутюнян, В.И. Ларионова, Н.Д. Савенкова // Нефрология. – 2010. – № 3. – С. 58–68.
- Басанцова, Н.Ю. Цереброкардиальный синдром и его особенности у пациентов с острыми нарушениями мозгового кровообращения / Н.Ю. Басанцова, Л.М. Тибекина, А.Н. Шишкин // Вестн. СПбУ. – 2017. – Т. 12, № 1. – С. 31–47.
- Клыпа, Т.В. Гипергликемия критических состояний / Т.В. Клыпа, Л.И. Забросаева, М.С. Орехова // Сахарный диабет. – 2015. – № 1. – С. 33–41.
- Колотвинов В.С. Диагностика и тактика лечения интракраниальных аневризм у пациентов с аутосомно-доминантным поликистозом почек / В.С. Колотвинов [и др.] // Нейрохирургия. – 2016. – № 4. – С. 78–84.
- Лиманкина, И.Н. Цереброкардиальный синдром / И.Н. Лиманкина // Вестн. аритмологии. – 2009. – № 58. – С. 26–34.
- Порядная, О.В. Цереброкардиальный синдром в остром периоде инфаркта головного мозга / О.В. Порядная, Е.И. Шоломова // Бюлл. мед. интернет-конф. – 2013. – № 3. – С. 503–504.
- Bazargan, N. Hyperglycemia: an independent marker of in-hospital mortality in patients with undiagnosed diabetes / N. Bazargan, [et al.] // The Journal of clinical endocrinology and metabolism. – 2002. – № 87. – Р. 978–982.
- Belz, M.M. Familial clustering of ruptured intracranial aneurysms in autosomal dominant polycystic kidney disease / M.M. Belz [et al.] // American journal of kidney diseases. – 2001. – № 4. – С. 770–776.
- Braithwaite, S.S. Stress hyperglycaemia / S.S. Braithwaite, K.M. Dungan, J.C. Preiser // Lancet. – 2009. – № 373. – Р. 1798–1807.
- Ecder, T. Cardiovascular abnormalities in autosomal-dominant polycystic kidney disease / T. Ecder, R.W. Schrier // Nature Reviews Nephrology. – 2009. – № 4. – С. 221–228.
- Friedman, J.A. Pulmonary complications of aneurysmal subarachnoid hemorrhage / J.A. Friedman [et al.] // Neurosurgery. – 2003. – № 52. – Р. 1025–1031.
- Gieteling, E.W. Characteristics of intracranial aneurysms and subarachnoid haemorrhage in patients with polycystic kidney disease / E.W. Gieteling, G.J.E. Rinkel // Journal of neurology. – 2003. – № 4. – Р. 418–423.
- Koay, S. An unexpected Holter monitor result: multiple sinus arrests in a patient with lateral medullary syndrome / S. Koay, B. Dewan // BMJ Case Reports. – 2013. – № 5. – Р. 354–365.
- Korpelainen J.T. Dynamic behavior of heart rate in ischemic stroke / J.T. Korpelainen [et al.] // Stroke. – 1999. – № 30 – Р. 1008–1013.
- Natelson, B.H. Neurocardiology. An interdisciplinary area for the 80s / B.H. Natelson // Arch. Neurol. – 1985. – № 42. – P. 180–184.
- Niemczyk, M. Intracranial aneurysms in autosomal dominant polycystic kidney disease / M. Niemczyk [et al.] // American Journal of Neuroradiology. – 2013. – № 8. – Р. 1556–1559.
- Pirson, Y. Management of cerebral aneurysms in autosomal dominant polycystic kidney disease / Y. Pirson, D. Chauveau, V. Torres // Journal of the American Society of Nephrology. – 2002. – № 1. – Р. 269–276.
- Prasad, A. Apical ballooning syndrome (Tako-Tsubo or stress cardiomyopathy): a mimic of acute myocardial infarction / A. Prasad, A. Lerman, C.S. Rihal // Am. Heart J. – 2008. – № 155. – Р.408–417.
- Rinkel, G.J.E. Prevalence and risk of rupture of intracranial aneurysms a systematic review / G.J.E. Rinkel [et al.] // Stroke. – 1998. – № 1. – Р. 251–256.
- Tung, P. Predictors of neurocardiogenic injury after subarachnoid hemorrhage / P. Tung [et al.] // Stroke. – 2004. – № 35 – Р. 548–551.
Дополнительные файлы






