Нейровегетативные расстройства в симптомокомплексе синдрома компрессии чревного ствола
- Авторы: Паценко М.Б.1, Митрошин Г.Е.2, Петько А.П.2, Мироненко Д.А.2, Шарапова Н.А.2, Худзиев Б.Г.2
-
Учреждения:
- Главное военно-медицинское управление
- 3-й Центральный военный клинический госпиталь им. А.А. Вишневского
- Выпуск: Том 21, № 3 (2019)
- Страницы: 107-110
- Раздел: Клинические исследования
- Статья получена: 17.02.2020
- Статья опубликована: 15.09.2019
- URL: https://journals.eco-vector.com/1682-7392/article/view/20695
- DOI: https://doi.org/10.17816/brmma20695
- ID: 20695
Цитировать
Полный текст
Аннотация
Приведено клиническое наблюдение успешного лечения синдрома компрессии чревного ствола с преобладанием в клинической картине нейровегетативных симптомов. Показано, что синдром компрессии чревного ствола – заболевание, характеризующееся полиморфностью. В отсутствие своевременного и адекватного лечения нейровегетативные расстройства могут стать ведущими в клинической картине заболевания. В этой связи таких больных нередко подозревают в ипохондрии, что в свою очередь значительно затрудняет своевременную диагностику данной патологии. Наиболее достоверным объективным признаком синдрома компрессии чревного ствола, позволяющим заподозрить заболевание, является систолический шум, выслушивающийся в проекции чревного ствола. Применение современных неинвазивных методик медицинской визуализации (компьтерно- томографической ангиографии, цветного дуплексного сканирования) и ангиографии позволило установить этиологию сосудистой патологии чревного ствола и верифицировать соматический генез нейровегетативных симптомов, исключив ипохондрическое расстройство. Хирургическое лечение, в нашем случае хирургическая декомпрессия чревного ствола, показало высокую эффективность и надежность. Полный регресс симптомов отмечен через 4 месяца после оперативного лечения. Положительные ближайшие и отдаленные результаты оперативного лечения подтверждены неинвазивными инструментальными методиками.
Полный текст
Введение. Синдром компрессии чревного ствола (СКЧС) – заболевание, обусловленное экстравазальным сдавлением чревного ствола (ЧС) срединной дугообразной связкой диафрагмы, ножками диафрагмы, нервными волокнами и/или нейрофиброзной тканью солнечного сплетения. СКЧС является одной из главных причин хронической абдоминальной ишемии (ХАИ), вызываемой нарушением кровоснабжения органов пищеварения. В ряде исследований экстравазальные причины ХАИ определяются у 43–86,7% наблюдаемых больных [4, 5]. Основными клиническими симптомами считаются боли в животе (95,6–100%), диспептические расстройства (57,4–96,6%), прогрессирующее снижение массы тела (23,5–95,4%). Характерный симптомокомплекс СКЧС зачастую сопровождается нейровегетативными расстройствами (49,2–93,8%). В этой связи больных с СКЧС нередко подозревают в ипохондрии, что позволило С.А. Белякину, Е.П. Кохану, Д.А. Мироненко [1], А.В. Гавриленко, А.Н. Косенкову [2], Л.В. Поташову, М.Д. Князеву, A.M. Игнашову [4] выделить четвертый клинический признак заболевания – депрессивный астеноипохондрический синдром.
Ипохондрия1 (или ипохондрическое расстройство) – это необоснованное беспокойство о собственном здоровье, постоянные мысли о мнимом соматическом расстройстве, возможно тяжелом неизлечимом заболевании. В зависимости от тяжести заболевания может принимать форму навязчивых мыслей, сверхценных идей или бреда. Ипохондрические опасения относятся чаще всего к сердцу, желудочно-кишечному тракту, половым органам и головному мозгу. В случае же СКЧС симптомы расстройства вегетативной нервной системы являются следствием постоянного раздражения периферических вегетативных структур (ганглиев чревного сплетения) ветвями ЧС и/или элементами диафрагмы.
Наиболее достоверным объективным признаком СКЧС является систолический шум, зависящий от дыхательных движений, выслушивающийся в проекции ЧС при сужении сосуда на 70–90% [1, 2, 4].
В отсутствие своевременного и адекватного лечения нейровегетативные расстройства, характеризующиеся полиморфностью, нередко становятся ведущими в клинической картине СКЧС, что в значительной степени затрудняет своевременную диагностику заболевания. Зачастую требуется немало времени и труда, чтобы доказать соматическую природу заболевания и установить причинно-следственную связь СКЧС с симптомами вегетативной дисфункции,исключив тем самым «истинное» ипохондрическое расстройство. Неслучайно упоминание о дилатации чревной артерии (ЧА) с подобными клиническими проявлениями впервые встречается в середине XVII в. в трудах французского врача профессора L. Rivière в разделе «De Melancholia hypochondriaca» [7]. В 1728 г. известный римский врач и анатом G.M. Lancisi в монографии «De motu cordis et aneurysmatibus» [6] приводит первое подробное описание данной патологии. В его монографии, посвященной изучению аневризм, говорится о диагностике и лечении заболевания, по его мнению, являющегося следствием ложных аневризм2 ЧА, симптомокомплекс которого в настоящее время известен как СКЧС. Автором было замечено, что иногда аневризматическое (постстенотическое) расширение ЧА происходит от спазма (сдавления) круговых спиральных волокон артерии, обусловленного нервными сплетениями. Эта болезнь по большей части поражала лиц, предрасположенных к нервным заболеваниям особенно ипохондрической и истерической природы. Основными ее проявлениями были боли в животе, его напряжение, урчание, отрыжка, запоры и другие желудочно-кишечные симптомы часто на фоне повышенной пульсации в области ЧА. G.M. Lancisi был совершенно уверен, что под присмотром благоразумного и искусного врача такого рода заболевание на ранних стадиях можно успешно лечить медикаментозно. Он предлагал таким больным щадящий режим, строгую диету, лечение травами, припарки и клизмы [6]. Однако лишь в начале 60-х годов прошлого века с внедрением высокотехнологичных методов медицинской визуализации были четко доказаны возможность возникновения ХАИ вследствие экстравазальной компрессии ЧС и ее связь с нейровегетативными расстройствами.
Цель исследования. Показать клинические особенности СКЧС.
Материалы и методы. Больная Г., 36 лет, госпитализирована в терапевтическое отделение 3-го Центрального военного клинического госпиталя 31.08.2016 г. Из анамнеза известно, что больной себя считает с октября 2014 г., когда после перенесенной токсикоинфекции появились жалобы на периодические схваткообразные боли в животе, не связанные с приемом пищи, чувство жжения в эпигастрии, тошноту, позывы к рвоте, отрыжку. Кроме того, больную стали беспокоить эпизоды внезапной слабости, головокружения, повышения температуры тела до субфебрильных цифр, ознобы, холодный пот, чувство нехватки воздуха при бытовых нагрузках, сердцебиение, суставные боли, кожные высыпания. Пациентка отмечала волнообразное течение заболевания в виде чередования циклов плохого самочувствия с интервалом 10–14 дней, купирующихся самостоятельно. За это время она неоднократно проходила обследование и лечение в различных лечебных учреждениях по месту жительства, а также федеральных научных медицинских центрах. Наблюдалась инфекционистом, паразитологом, ревматологом, пульмонологом, гастроэнтерологом, неврологом и другими специалистами. Ей выполнялись специальные серологические, бактериологические, иммунологические, паразитологические и другие исследования. Были установлены диагнозы: хронические цитомегаловирусная и герпетическая инфекции, а также генерализованный иерсиниоз (без лабораторного подтверждения). Больной проводилась длительная и массивная антибактериальная и антипаразитарная терапия, которая, со слов больной, не приводила к существенному улучшению. По данным медицинской документации, больная отмечала облегчение от внутривенного введения солевых растворов. Ранее перенесла такие заболевания, как токсокароз (2002 г.), пневмония (август 2014 г.), вирусный (гриппозный) миокардит, были выполнены аппендэктомия и тонзиллэктомия. Ухудшение самочувствия появилось в последние 3–4 месяца до госпитализации в виде усиления интенсивности и продолжительности эпизодов вышеперечисленных жалоб, временами сопровождающихся обмороками. Целью госпитализации было уточнение роли кардиальной патологии в генезе синкопальных состояний, определение причин субфебрилитета и абдоминально-болевого синдрома.
Результаты и их обсуждение. Данные объективного обследования: общее состояние удовлетворительное, пациентка правильного телосложения, повышенного питания (рост – 158 см, масса тела – 69 кг, индекс массы тела – 27,3 кг/м2). Кожные покровы чистые, обычной окраски. Опорно-двигательный аппарат без видимых изменений. Движения в крупных суставах безболезненные в полном объеме. Обращало на себя внимание наличие систолического шума при аускультации в эпигастральной области, усиливающегося на выдохе, в остальном со стороны внутренних органов патологических отклонений не выявлено. Психический статус: фон настроения снижен, фиксирована на своих ощущениях и заболеваниях, высказывает опасения об их неизлечимости. Неврологический статус без особенностей. Предварительный диагноз сформулирован как миокардитический кардиосклероз, пролапс митрального клапана, хроническая сердечная недостаточность первого функционального класса, ипохондрическое расстройство, вегетативная дисфункция с нарушением терморегуляции. Вместе с этим заподозрен синдром компрессии ЧС.
Общеклинические и биохимические анализы крови и мочи, исследование крови на специфические острофазовые белки были в пределах референтных значений. Антител к mycobacterium tuberculosis в сыворотке крови не обнаружено. Больной проведены следующие инструментальные исследования: эхокардиография, холтеровское мониторирование, суточное мониторирование артериального давления, ультразвуковое исследование органов брюшной полости, эндоскопические исследования (гастроскопия, колоноскопия), рентгенологические исследования (органов грудной клетки, околоносовых пазух, костей таза и тазобедренных суставов), которые также не раскрыли возможных причин данного состояния. В связи с преобладанием в клинической картине симптомов вегетативной дисфункции больной коротким курсом проведено лечение, включавшее прием тералиджена, внутривенное введение анафранила и реланиума. На фоне проводимой терапии больная не отмечала значимого улучшения состояния.
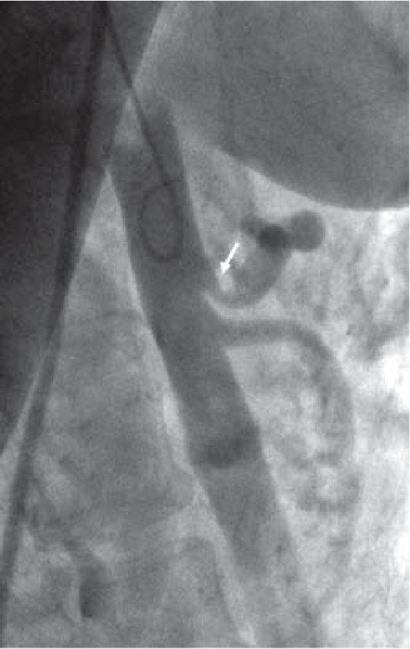
Проведенное цветное дуплексное сканирование непарных висцеральных ветвей брюшной аорты показало наличие экстравазальной компрессии ЧС (стеноз на выдохе 50–60%), что позднее подтвердила компьютерная томография (КТ) брюшной полости с контрастированием (рис. 1). На консилиуме врачей госпиталя с целью определения показаний к хирургическому лечению принято решение о проведении ангиографии висцеральных ветвей брюшной аорты. Выполненная аортография позволила определить сужение проксимальной трети ЧС около 75% (рис. 2). На повторном консилиуме было принято решение о проведении плановой хирургической декомпрессии ЧС.
Рис. 1. КТ-ангиография брюшной аорты от 08.09.2016 г. (а), КТ-картина экстравазальной компрессии чревного ствола до 60% (б)
Рис. 2. Аортография от 14.09.2016 г. Сужение просвета чревного ствола до 75%
Больная повторно госпитализирована в кардиохирургическое отделение госпиталя, где 29.09.2016 г. ей выполнена операция – хирургическая декомпрессия ЧС. Из протокола операции: верхнесрединная лапаротомия. Доступом через печеночно-желудочную связку вскрыта полость малого сальника. Выделена левая желудочная артерия. Ретроградно от нее с пересечением ветвей чревного ганглия, которые окутывали дистальную и проксимальную части трифуркации и ЧС, выделено устье ЧС. Сосуд сдавлен снаружи серповидной связкой и правой ножкой диафрагмы. Дистальнее перетяжки ЧС расширен, пальпаторно определяется систолическое дрожание. Поэтапно рассечены серповидная связка и частично правая ножка диафрагмы до аорты. После мобилизации ЧС расправился, принял обычную форму, диаметр около 6,0 мм, пульсация отчетливая, систолическое дрожание не определяется. Контроль гемостаза. Послойное ушивание лапаротомной раны. Послеоперационный диагноз: экстравазальная компрессия (серповидной связкой, правой ножкой диафрагмы и ветвями чревного ганглия) ЧС. Послеоперационный период протекал без осложнений. 13.10.2016 г. выписана домой в удовлетворительном состоянии.
Дальнейшее длительное динамическое наблюдение больной показало отчетливую положительную динамику заболевания. После оперативного вмешательства абдоминально-болевой синдром и синкопальные состояния не рецидивировали, полный регресс нейровегетативных симптомов (эпизодов внезапной слабости, головокружений, повышений температуры тела, ознобов, потливости, чувства нехватки воздуха при бытовых нагрузках, сердцебиений, суставных болей) отмечен через 4 месяца после операции. В период последней госпитализации в сентябре 2018 г. жалоб не предъявляла. Объективно со стороны внутренних органов патологических отклонений не выявлено. При аускультации систолический шум в эпигастрии не выслушивается. Настроение ровное. Позитивно настроена на будущее. Неврологический статус без особенностей. На выполненной КТ-ангиографии патологии со стороны брюшной аорты и ее непарных висцеральных ветвей не выявлено (рис. 3).
Рис. 3. КТ-ангиография брюшной аорты от 28.09.2018 г. Брюшной отдел аорты и непарные висцеральные артерии без патологических изменений
Заключение. Установлено, что симптомокомплекс СКЧС зачастую сопровождается многообразными нейровегетативными расстройствами, которые нередко становятся ведущими в клинической картине заболевания и в значительной степени затрудняют его своевременную диагностику. Применение современных неинвазивных методов медицинской визуализации наряду с ангиографией позволяет установить этиологию окклюзионно-стенотического поражения непарных висцеральных артерий, что в ряде ситуаций помогает верифицировать соматический генез нейровегетативных симптомов и исключить ипохондрическое расстройство. Существующие методы хирургической коррекции показали высокую эффективность и надежность при лечении СКЧС, в том числе в представленном нами наблюдении.
1 Название ипохондрия происходит от древнегреческого ύποχόνδριον (подреберье). В древности считалось, что именно в этой области локализуется болезненный источник этого состояния.
2 К ложным аневризмам G.M. Lancisi относил аневризмы, возникающие вследствие внешних причин (ранений, ушибов и компрессии сосуда).
Об авторах
М. Б. Паценко
Главное военно-медицинское управление
Автор, ответственный за переписку.
Email: patsenko_mb@mail.ru
Россия, Москва
Г. Е. Митрошин
3-й Центральный военный клинический госпиталь им. А.А. Вишневского
Email: patsenko_mb@mail.ru
Россия, Красногорск
А. П. Петько
3-й Центральный военный клинический госпиталь им. А.А. Вишневского
Email: patsenko_mb@mail.ru
Россия, Красногорск
Д. А. Мироненко
3-й Центральный военный клинический госпиталь им. А.А. Вишневского
Email: patsenko_mb@mail.ru
Россия, Красногорск
Н. А. Шарапова
3-й Центральный военный клинический госпиталь им. А.А. Вишневского
Email: patsenko_mb@mail.ru
Россия, Красногорск
Б. Г. Худзиев
3-й Центральный военный клинический госпиталь им. А.А. Вишневского
Email: patsenko_mb@mail.ru
Россия, Красногорск
Список литературы
- Белякин, С.А. Хроническая абдоминальная ишемия / С.А. Белякин, Е.П. Кохан, Д.А. Мироненко. – М.: Бином, 2014. – 168 с.
- Гавриленко, А.В. Диагностика и хирургическое лечение хронической абдоминальной ишемии / А.В. Гавриленко, А.Н. Косенков. – М.: Грааль, 2000. – 170 с.
- Кохан, Е.П. Синдром компрессии чревного ствола: терминология, диагностика и лечение / Е.П. Кохан [и др.] // Воен.-мед. журн. – 2018. – Т. 339, № 6. – С. 24–29.
- Поташов, Л.В. Ишемическая болезнь органов пищеварения / Л.В. Поташов, М.Д. Князев, A.M. Игнашов. – М.: Медицина, 1985. – 216 с.
- Шалимов, С.А. Абдоминальный ишемический синдром / С.А. Шалимов, В.М. Копчак, А.П. Радзиховский. – Киев: Здоров’я, 1986. – 124 с.
- Lancisii, J.M. De Motu Cordis et Aneurysmatibus / J.M. Lancisii. – Romae: J.M. Salvioni, 1728. – 160 p.
- Riverii, L. De Melancholia hypochondriaca / L. Riverii // Praxis Medica. – Lugduni: Huguetan & Ravaud, 1653. – P. 210–215.
Дополнительные файлы





