Experimental substantiation of the possibility of using in ophthalmosurgery two-component fibrin glue, prepared according to our own methods
- 作者: Kuznetsova A.Y.1, Gavrilyuk I.O.1, Churashov S.V.1, Kulikov A.N.1, Chernysh V.F.1, Gavrilyuk V.N.1, Muraveva O.A.1, Danilichev V.F.1
-
隶属关系:
- S.M. Kirov Military Medical Academy
- 期: 卷 21, 编号 3 (2019)
- 页面: 116-119
- 栏目: Experimental trials
- ##submission.dateSubmitted##: 17.02.2020
- ##submission.datePublished##: 15.09.2019
- URL: https://journals.eco-vector.com/1682-7392/article/view/20697
- DOI: https://doi.org/10.17816/brmma20697
- ID: 20697
如何引用文章
全文:
详细
As an alternative to fixing tissues with sutures in world surgery, the method of their adhesion using fibrin-based adhesive compositions is finding increasing use. However, they are so far inaccessible to surgeons, due to the lack of certification in our country. The cyanoacrylate glue used previously by domestic ophthalmologists had insufficiently pronounced adhesive properties and some histotoxicity and is practically not used at present. Experimentally substantiates the possibility of applying in ophthalmology a modified method of manufacturing a two-component fibrin glue. Two series of experiments were carried out to test the original method of preparing the components of fibrin glue. A preliminary study of its adhesive properties was carried out on the eyes of three rabbits (6 eyes) of the Chinchilla breed by gluing the amniotic membrane on the corneal stroma after partial surface keratectomy. Another six rabbits of the Chinchilla breed (12 eyes) carried out transplantation of the amniotic membrane on the corneal stroma: for the right eyes, interrupted sutures (group A), and for the left eyes – fibrin glue (group B). Postoperatively, the healing process was monitored dynamically using biomicroscopy and photo fixation on the 1st, 3rd, 5th, 7th, 10th, 15th, 30th, 45th and 90th day. Additionally, on the 30th day optical coherent tomography of the corneas of experimental animals was performed. The qualitative and quantitative composition of the components has been determined, which ensures the manufacture of fibrin glue, as well as its application in vivo by fixing the biomembrane (amnion) to the de-epithelialized cornea. The proposed method of preparation of fibrin glue provides reliable adhesion of the amniotic membrane to the stroma of the cornea and reduces the time of the operation. The method creates conditions for an earlier onset of epithelialization and contributes to the preservation of the transparency of the cornea compared with suture fixation.
全文:
Введение. Сегодня в хирургии для герметизации разрезов и ран наряду с их ушиванием применяются полимерные клеи [1, 4–7]. Основными требованиями, предъявляемыми к этим клеям, являются высокие адгезивные свойства, стерильность или возможность стерилизации, отсутствие токсичности и канцерогенности, гипоаллергенный состав, способность биодеградировать по мере заживления тканей и отсутствие отрицательного воздействия на их регенерацию [7, 10].
Клеевые композиции применяются в различных специальностях (хирургии, травматологии, спортивной медицине, стоматологии, косметологии, комбустиологии), но их многокомпонентная структура, сложная методика выделения фибриногена и обработки осадка, необходимость большого объема крови пациента, обязательное использование дорогостоящего технического оснащения затрудняют их применение в практике хирургов [2–5, 7, 8].
В нашей стране некоторыми офтальмологами ранее применялся цианакрилатный клей «Сульфакрилат», но он обладал недостаточно выраженными адгезивными свойствами, а также некоторой гистотоксичностью, поэтому в настоящее время практически не используется [3].
Наиболее распространенными медицинскими клеями, применяемыми в зарубежной офтальмологии, являются клеевые композиции, содержащие фибриноген [12, 14, 16]. Обычно они состоят из двух компонентов, помещенных в разные флаконы. В первом содержатся тромбин и ионы кальция, во втором – фибриноген и фактор XIII. В мономерах фибрина кальций активирует XIII фактор, что приводит к образованию стабильного фибринового сгустка [2].
Указанные компоненты фибринового клея (ФК) могут быть получены из донорской плазмы в центрах переливания крови [15] или собственной крови пациента. Последние имеют более плотную фибриновую пленку, максимально биосовместимы при применении, а также исключают риск передачи инфекций [12].
По данным зарубежных авторов, в офтальмохирургии ФК «Tissucol Kit» фирмы «Baxter» (Австрия), «Evicel» фирмы «Johnson & Johnson» (Америка) с успехом применяется при хирургическом лечении птеригиума [9, 10, 13], в случаях десцеметоцеле, длительно незаживающих язв, перфорации роговицы для закрытия дефекта, при устранении фиброваскулярного паннуса [12, 14, 16], для закрытия ран конъюнктивы [12], с целью герметизации послеоперационной раны в хирургии катаракты, витреоретинальной хирургии [6], для закрытия дефектов кожи век [5].
Потенциал применения клеевых композиций на основе фибриногена в нашей стране, к сожалению, не раскрыт из-за отсутствия собственного производства и наличия только дорогостоящих импортных готовых продуктов или приборов для их производства в лечебных учреждениях, а также отсутствия сертифицированного для офтальмологии клеевого продукта.
В основу настоящего исследования положена идея создания простого и быстрого способа приготовления двухкомпонентного ФК, способного эффективно фиксировать биоткани в офтальмохирургии [3, 8].
Цель исследования. Модифицировать методику изготовления двухкомпонентного ФК, исследовать его адгезивные свойства. Экспериментально обосновать возможность его применения в офтальмохирургии.
Материалы и методы. Для модификации и отработки методики приготовления двухкомпонентного ФК, оценки его адгезивных свойств в эксперименте использовались центрифуга лабораторная «АРМЕД CH80-2», пробирки для получения обогащенной тромбоцитами плазмы, 5% раствор хлорида кальция, тромбин лиофилизированный, вакуумные пробирки для забора крови с 3,8% раствором цитрата натрия.
Первый базовый компонент получали следующим образом: в стерильные пробирки с 3,8% раствором цитрата натрия производился забор 20 мл крови. После этого кровь перемещалась в стерильную пробирку, позволяющую получить обогащенную тромбоцитами плазму, её центрифугировали в течение 4 мин при 3500 об/мин. Далее производился забор фракций плазмы. Второй активирующий компонент получали путем смешивания 5% раствора хлорида кальция и тромбина лиофилизированного.
Подготовленные компоненты в равных объемах набирались в 2 стерильных шприца. Активирование клея производилось путем смешивания двух его компонентов.
Проведены серии экспериментов с целью определения скорости образования клеевого сгустка при стандартном втором компоненте, далее – минимально необходимой концентрации тромбина при стандартном первом компоненте ФК.
Апробация клея проведена на глазах трех кроликов (6 глазах) породы шиншилла посредством вклейки амниотической мембраны (АМ) после поверхностной кератэктомии (рис. 1). Заранее проводилась заготовка компонентов ФК. Трепаном на дозированную глубину в 100–150 мкм выполнялась поверхностная кератэктомия. На строму роговицы наносилась половина объемов компонентов, смешанных в одном шприце. Сразу после этого выкраивалась АМ необходимого диаметра и накладывалась на строму роговицы. Проводилась экспозиция в течение 1 мин. Далее на роговичную поверхность наносились смешанные в одном шприце остаточные объемы компонентов полученного двухкомпонентного ФК.
Рис. 1. Процесс приклеивания АМ на строму роговицы после частичной поверхностной кератэктомии
Еще у шести кроликов породы шиншилла (12 глаз) с целью сравнительной оценки проведена трансплантация АМ на строму роговицы: на правых глазах – узловыми швами, на левых глазах – полученным ФК. В послеоперационном периоде осуществлялось динамическое наблюдение за процессом заживления с использованием биомикроскопии и фотофиксации на 1-е, 3-и, 5-е, 7-е, 10-е, 15-е, 30-е, 45-е и 90-е сутки. Дополнительно на 30-е сутки проведена сравнительная оптическая когерентная томография роговиц лабораторных животных.
Результаты и их обсуждение. Наибольшая скорость (минимальное время) образования клеевого сгустка (30 с) была получена при использовании обогащенной тромбоцитами плазмы. Минимальная рабочая концентрация тромбина из исследуемых для второго компонента ФК составляет 2 ЕД.
В зависимости от способа фиксации АМ было сформировано две экспериментальные группы: А – контрольная (6 глаз) – фиксация узловыми швами, Б – основная (6 глаз) – фиксация ФК. Более раннее начало эпителизации роговицы отмечено в основной группе на 5-е сутки, в группе контроля – на 7-е сутки, но полная эпителизация роговицы наступила раньше в контрольной группе (на 21-е сутки) в связи с тем, что в ней наблюдался выраженный лизис АМ начиная с 7-х суток после операции. По данным биомикроскопического обследования на 90-е сутки (рис. 2), прозрачность роговицы в группе Б была значительно выше, чем в группе А, неоваскуляризация в обеих группах доходила до оптической зоны роговицы, но в основной группе плотность сосудов была значительно ниже.
Рис. 2. Фоторегистрация прозрачности роговицы на 90-е сутки: а – группа А; б – группа Б
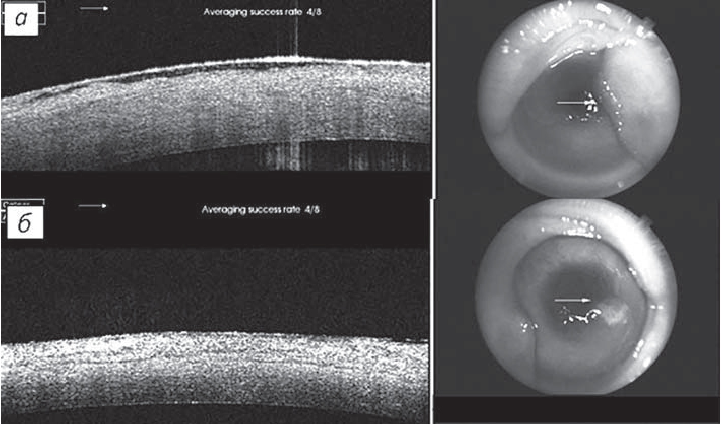
По данным сравнительной оптической когерентной томографии (рис. 3) выявлено, что в группе А эпителий в центральных отделах неадгезирован, визуализируются субэпителиальные кисты, АМ присутствует только в параоптической области и постепенно истончается до полного исчезновения в оптической зоне. В группе Б АМ интегрирована на всем протяжении, эпителий полностью адгезирован, субэпителиальные кисты отсутствуют.
Рис. 3. Сравнительная оптическая когерентная томография на 30-е сутки эксперимента: а – контрольная группа; б – основная группа
В целом отличительными чертами предлагаемого нами способа являются простота и скорость приготовления компонентов ФК, использование минимального объема крови пациента (не требуется разведение и дополнительное очищение плазмы крови), отсутствие необходимости в очищении фибрина и обработке осадка. Применяемые условия центрифугирования являются оптимальными для выделения и сохранения жизнеспособности тромбоцитов, которые продуцируют факторы роста и адгезивные молекулы. Этим обеспечивается ускорение репаративных процессов, а также адгезия пролиферирующих клеток, в том числе и эпителиальных.
Приготовленный согласно предлагаемому способу двухкомпонентный ФК позволяет не только эффективно склеивать биологические ткани и создавать условия для купирования воспаления в месте его нанесения, но и снизить стоимость приготовления, а также риск аллергической реакции.
Выводы
- Двухкомпонентный ФК, приготовленный по разработанной нами методике, может быть использован в офтальмохирургии для фиксации АМ.
- Использование обогащенной тромбоцитами плазмы в качестве первого базового компонента ФК более эффективно по сравнению с остальными фракциями.
- Минимальная рабочая концентрация тромбина из исследуемых вариантов для второго компонента составляет 2 ЕД. Минимальное время образования клеевого сгустка – 30 с.
作者简介
A. Kuznetsova
S.M. Kirov Military Medical Academy
编辑信件的主要联系方式.
Email: vmeda-nio@mil.ru
俄罗斯联邦, St. Petersburg
I. Gavrilyuk
S.M. Kirov Military Medical Academy
Email: vmeda-nio@mil.ru
俄罗斯联邦, St. Petersburg
S. Churashov
S.M. Kirov Military Medical Academy
Email: vmeda-nio@mil.ru
俄罗斯联邦, St. Petersburg
A. Kulikov
S.M. Kirov Military Medical Academy
Email: vmeda-nio@mil.ru
俄罗斯联邦, St. Petersburg
V. Chernysh
S.M. Kirov Military Medical Academy
Email: vmeda-nio@mil.ru
俄罗斯联邦, St. Petersburg
V. Gavrilyuk
S.M. Kirov Military Medical Academy
Email: vmeda-nio@mil.ru
俄罗斯联邦, St. Petersburg
O. Muraveva
S.M. Kirov Military Medical Academy
Email: vmeda-nio@mil.ru
俄罗斯联邦, St. Petersburg
V. Danilichev
S.M. Kirov Military Medical Academy
Email: vmeda-nio@mil.ru
俄罗斯联邦, St. Petersburg
参考
- Ачкасов, Е.Е. Применение аутоплазмы, обогащенной тромбоцитами, в клинической практике / Е.Е. Ачкасов [и др.] // Биомедицина. – 2013. – № 4. – C. 46–59.
- Белозерская, Г.Г. Гемостатические средства местного действия / Г.Г. Белозерская [и др.] // Хим.-фарм. журн. – 2006. – № 7. – С. 9–15.
- Малыгина, Н.А. Цианакрилатные клеевые композиции / Н.А. Малыгина // Вестн. Алтайского гос. аграрн. ун. – 2003. – № 1. – С. 143–145.
- Пат. № 2462255 Российская Федерация, МПК A61K 35/16, A61L 27/22, A61L 27/44, B82B 3/00. Органоспецифический регенерат GI / С.М. Ольхов [и др.]; опубл. 27.09.2012. Бюлл. № 27. – С. 110–124
- Пат. № 2520829 Российская Федерация, МПК A61F9/007. Способ пластики глазных век / С.В. Свиридов; опубл. 27.06.2014. Бюлл. № 18. – С. 173–186.
- Пат. № 2652076 Российская Федерация, МПК A61F 9/007, A61K 35/19, A61P 27/02. Способ хирургического лечения сквозных идиопатических макулярных разрывов сетчатки / В.И. Братко [и др.]; опубл. 24.04.2018. Бюлл. № 12. – С. 206–208.
- Подолужный, В.И. История клинико-экспериментального применения биологических и синтетических медицинских клеев / В.И. Подолужный [и др.] // Медицина в Кузбассе. – 2008. – № 3. – С. 12–14.
- Щудло, Н.А. Применение тканевых адгезивов и герметиков в микрососудистой хирургии (обзор литературы) / Н.А. Щудло [и др.] // Научн. обозр. Реф. журн. – 2016. – № 4. – С. 25–30.
- Bahar, I. Fibrin glue versus vicryl sutures for primary conjunctival closure in pterygium surgery: long-term results / I. Bahar [et al.] // Curr Eye Res. – 2007. – Vol. 32. – P. 399–405.
- Batman, C. Tissue glue in sutureless vitreoretinal surgery for the treatment of wound leakage / C. Batman [et al.] // Ophthalmic Surg Lasers Imaging. – 2008. – Vol. 39. – P. 100–106.
- Cheng, H. Characterization of a fibrin glue-GDNF slow-release preparation / H. Cheng [et al.] // Cell Transplant. – 1998. – Vol. 7. – P. 53–61.
- Dadeya, S. Strabismus surgery: Fibrin glue versus vicryl for conjunctival closure / S. Dadeya [et al.] // Acta Ophthalmol Scand. – 2001. – Vol. 79. – P. 515–517.
- Jiang, J. Comparison of fibrin sealant and sutures for conjunctival autograft fixation in pterygium surgery;one year followup / J. Ji- ang [et al.] // Ophthalmologica. – 2008. – Vol. 222. – P. 105–111.
- Kheirkhah, A. Amniotic membrane transplantation with fibrin glue for conjunctivochalasis / A. Kheirkhah [et al.] // Am. J. Ophthalmol. – 2007. – Vol. 144. – P. 311–313.
- Marone, P. Antibiotic impregnated fibrin glue in ocular surgery: In vitro antibacterial activity / P. Marone [et al.] // Ophthalmologica. – 1999. – Vol. 213. – P. 12–15.
- Panda, A. Fibrin glue in ophthalmology / A. Panda [et al.] // Indian Journal of Ophthalmology. – 2009. – Vol. 57, № 5. – P. 371–379.
补充文件





