Analysis of clinikal and morphological features of missed abortions, associated with chromosomal abnormalities of the chorion
- Authors: Romanova O.A.1, Pechenikova V.A.1, Kartashova T.S.2, Klyukovkina A.S.3, Ellinidi V.N.2
-
Affiliations:
- I.I. Mechnikov North-Western State Medical University named after I.I. Mechnikov
- A.M. Nikiforov All-Russian Center for Emergency and Radiation Medicine
- Ava-peter Central Clinic
- Issue: Vol 21, No 2 (2019)
- Pages: 13-17
- Section: Clinical Trials
- Submitted: 03.04.2020
- Published: 15.12.2019
- URL: https://journals.eco-vector.com/1682-7392/article/view/25911
- DOI: https://doi.org/10.17816/brmma25911
- ID: 25911
Cite item
Full Text
Abstract
Nowadays the problem of recurrent miscarriage is relevant. 17–20% of all registered pregnancies end with inevitable miscarriages. 80% of them are early pregnancies and in most cases represent missed abortions. Besides, one of the leading cause of missed abortion are chromosomal abnormalities. Analyzed the clinical and anamnestic data of patients, diagnosed with missed abortion during early pregnancy, examined in Saint-Petersburg in 2005–2006 and 2015–2017: patients with normal chorion karyotype and patients with chromosomal abnormalities of the chorion. Revealed that the prevailing chromosomal abnormality is aneuploidy, among all types of aneuploidy the most frequently are trisomy 16, trisomy 13, trisomy 22 and trisomy 21. The structure of aneuploidy has changed in 10–11 years. Now, in comparison with 2005–2006, at missed abortion the trisomy 16 in chorionic villi is found 3.8 times more often, the trisomy 13 is found 2.8 times more often and the trisomy 22 is found twice less often (p<0,01). The groups with normal chorion karyotype and with chromosomal abnormalities of the chorion are clinical-anamnestic comparable, but recurrent miscarriage and complicated childbirth in history are more common in patients with normal chorion karyotype, than in patients with chromosomal abnormalities of the chorion. Histologic research of abortion material revealed differences in the microscopic picture, depending on the type of chromosomal abnormalities. It can be used for the purpose of improvement of quality of diagnostics in the absence of a possibility of realization of a cytogenetic research.
Full Text
Введение. Проблема привычного невынашивания беременности в настоящее время очень актуальна. Частота данной патологии в России составляет 15–23% и имеет тенденцию к увеличению [1–3]. Установлено, что из числа всех регистрируемых случаев беременности, наступивших самостоятельно или при помощи вспомогательных репродуктивных технологий, только около 80% завершаются благополучным рождением ребенка, тогда как остальные 17–20% заканчиваются самопроизвольными выкидышами [4, 7, 12]. Большая их часть (80%) приходится на ранний срок беременности (до 12 недель гестации) [3–5] и в 45–88,6% случаев представляет собой клинический вариант неразвивающейся беременности [1].
Этиология неразвивающейся беременности, как и других ранних самопроизвольных выкидышей, является многофакторной. Выделяют генетические, иммунологические, эндокринные, инфекционные и анатомические причины. В 10–15% случаев причина несостоявшегося выкидыша остается неясной [4, 7].
Генетические причины неразвивающейся беременности раннего срока выявляются более чем в 50% случаев и характеризуются числовыми и структурными хромосомными нарушениями [1, 9, 11]. Доля хромосомных числовых нарушений (анеуплоидии и полиплоидии) превалирует среди генетических причин и составляет 95%, тогда как структурные хромосомные нарушения, такие как инверсии, транслокации и др., составляют всего лишь 5% [4]. При этом частота встречаемости хромосомных аномалий у супружеских пар с привычным невынашиванием беременности колеблется от 2 до 10% [3, 6]. В большинстве случаев хромосомные нарушения имеют спонтанный характер.
Цель исследования. Провести сравнительный анализ клинико-анамнестических данных и морфологических особенностей абортусов у пациенток с диагнозом «несостоявшийся выкидыш» в зависимости от наличия и типа хромосомных аномалий хориона, а также сравнить частоту геномных мутаций хориона в абортусах у пациенток, обследованных в г. Санкт-Петербурге в 2005–2006 гг. и спустя 10 лет – в 2015–2017 гг.
Материалы и методы. В исследование вошли 268 пациенток с диагнозом «несостоявшийся выкидыш» при беременности раннего срока (до 12 недель гестации), обследованные в г. Санкт-Петербурге в 2005–2006 гг. (130 пациенток) и 2015–2017 гг. (138 пациенток). Диагноз устанавливался на основании данных ультразвукового исследования органов малого таза (несоответствие копчиково-теменного размера эмбриона сроку гестации, отсутствие сердцебиения эмбриона, анэмбриония). Всем пациенткам было выполнено выскабливание полости матки с последующим гистологическим исследованием соскобов из полости матки и цитогенетическим исследованием ворсин хориона. По результатам цитогенетического исследования пациентки были разделены на две группы: первая группа – 166 женщин с диагнозом «несостоявшийся выкидыш» при беременности раннего срока (до 12 недель гестации) с различными вариантами хромосомных аномалий хориона, вторая группа – 102 женщины с аналогичным диагнозом с нормальным кариотипом хориона.
Цитогенетическое исследование ворсин хориона в 50% случаев выполняли путем кариотипирования (Q-бэндинга), в остальных случаях использовали FISH-метод с применением флюоресцентных центромерных зондов к хромосомам X, Y, 15, 16, 18 и локус-специфических зондов к хромосомам 13, 14, 17, 19, 20, 21, 22. Ворсины хориона отбирали при визуальном осмотре соскоба, помещали в физиологический раствор. Обработку материала выполняли, используя ускоренную «прямую» методику. Остальной соскоб фиксировали 10% нейтральным забуференным формалином в течение 24–48 ч, проводили через серию изопропилового спирта и заливали в парафин. Срезы окрашивали гематоксилином и эозином. При морфологическом исследовании изучали гистоархитектонику ворсинчатого хориона, децидуальной ткани и эндометрия.
Результаты и их обсуждение. Средний возраст пациенток 1-й группы составил 33,3±0,68 года, 2-й группы – 31,7±0,5 года. Максимальный средний возраст пациенток отмечался при трисомии по 21-й хромосоме и составил 37±1,2 года. Полученные результаты совпали с данными литературы [8]. Средний срок гестации, на котором замирали беременности, у пациенток обеих групп составил 7 недель. Пациентки с моносомиями и трисомиями по 21-й хромосоме отличались от остальных по сроку гестации. Данный вид нарушений выявлялся при сроке беременности 8–10 недель.
Количество первобеременных женщин в обеих группах было практически одинаково – 38 (22,9%) пациенток в 1-й группе и 26 (25,4%) пациенток во 2-й группе (р>0,01). Количество пациенток, имевших в анамнезе роды, в обеих группах также достоверно не отличалось и составило 98 (59%) и 55 (54,5%) пациенток соответственно. При этом в группе с нормальным кариотипом у 37% пациенток встречались осложнения во время предыдущих беременностей и в родах (гестозы, преждевременные роды, преждевременная от- слойка нормально расположенной плаценты, синдром задержки развития плода и гипоксия плода, плотное прикрепление плаценты, хорионамнионит). В то время как в группе с хромосомными аномалиями хориона только у 16,3% пациенток, имевших в анамнезе роды, наблюдались подобные осложнения.
Указание в анамнезе на предшествующие несостоявшиеся выкидыши у пациенток обеих групп было практически одинаково и составило 25,3 и 21,8% соотвественно. При этом в группе с хромосомными аномалиями ни у одной пациентки не было установлено диагноза «привычное невынашивание» в анамнезе, в то время как в группе с нормальным кариотипом у половины из всех женщин, имевших в анамнезе неразвивающуюся беременность, имелось привычное невынашивание беременности.
По числу абортов в анамнезе группы достоверно не различались. Самопроизвольные выкидыши при беременности раннего срока в 1-й группе встречались в 2 раза чаще, чем во 2-й, и составили 10,84% (р<0,01).
Сексуально-трансмиссивные инфекции в анамнезе у пациенток обеих групп встречались с одинаковой частотой 23,6–24%. А при диагностике инфекций в абортном материале с использованием полимераз- ной цепной реакции они были обнаружены только у 2 пациенток 1-й группы (в обоих случаях – цитомегаловирус) и 5 пациенток 2-й группы (в одном случае – цитомегаловирус, в одном – Mycoplasma genitalium, в трёх – вирус простого герпеса 1-го и 2-го типов).
По частоте встречаемости гинекологических заболеваний достоверных отличий не выявлено. Наиболее распространенной патологией являлась эктопия шейки матки (у 32,5% пациенток группы с хромосомными аномалиями хориона и у 32,7% пациенток с нормальным кариотипом). Аномалии развития женских половых органов, эндометриоз, синдром поликистозных яичников, миома матки встречались в единичных случаях. Количество внутриматочных вмешательств (по поводу несостоявшегося выкидыша, самопроизвольного выкидыша, полипов цервикального канала и полости матки, медицинского аборта, ручного отделения плаценты и выделения последа в третьем периоде родов) составило 51,8% в 1-й и 47,3% во 2-й группе. Соматически пациентки обеих групп были не отягощены.
При морфологическом исследовании соскобов из полости матки в обеих группах отмечалась слабая васкуляризация ворсин хориона. Гидропическая дистрофия ворсин хориона наблюдалась в 29% случаев эуплоидной группы, что при отсутствии данных цитогенетических исследований могло послужить основанием для предположения о хромосомной патологии и привести к ложному заключению. При этом у женщин эуплоидной группы хориальный эпителий имел типовое строение с признаками атрофии от слабой до умеренной.
Морфологические проявления, связанные с хромосомными нарушениями, характеризовались патологией васкулогенеза, различной степени выраженности кистозной дегенерацией стромы и атрофией хориального эпителия.
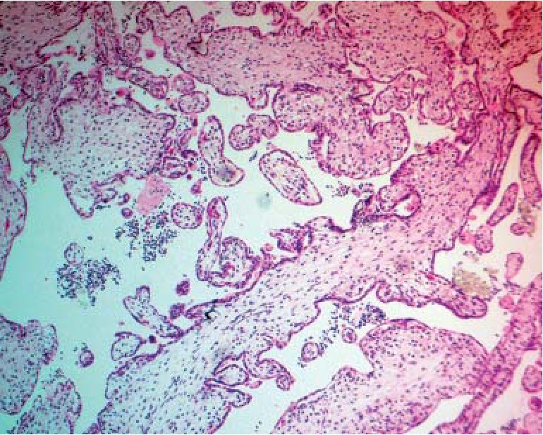
В группе с трисомиями по 21-й и 22-й хромосомам наблюдались единичные васкуляризированные ворсины. Строма отличалась умеренной целлюлярностью. Гидропическая дистрофия имела очаговый характер, без кистозной трансформации ворсин. Характерной особенностью было обнаружение центрально развивающегося фиброза и гипоплазии более чем в 1/3 ворсин во всей группе (рис. 1). Хориальный эпителий имел двухслойную выстилку с умеренной и выраженной атрофией. Исследования G. Pidoux et al. [10] позволили выдвинуть гипотезу о том, что при трисомии по 21-й хромосоме слабая биоактивность хорионического гонадотропина и низкая экспрессия рецепторов лютеинизирующего гормона являются ведущими в дефекте синцитиотрофобласта.
Рис. 1. Центрально развивающийся фиброз и гипоплазия ворсин хориона при трисомии по 21-й хромосоме. Окраска гематоксилином-эозином, ув. ×180
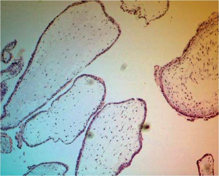
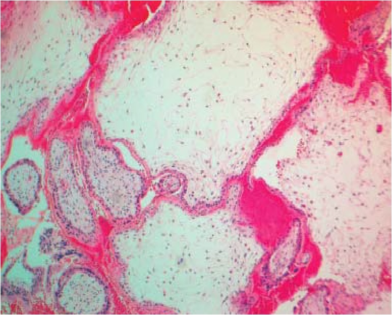
В остальной группе трисомий, в частности при трисомии по 13-й хромосоме, ведущим диагностическим признаком была выраженная гидропическая дистрофия стромы ворсин хориона с трансформацией их в крупные кистозные полости (цистерны) и полная аваскуляризация (рис. 2). Кроме того, в ряде случаев при трисомии по 13-й хромосоме отмечался выраженный фиброз ворсин хориона (рис. 3). Покровный хориальный эпителий был с резко выраженными признаками атрофии и имел вид тонкой узкой полоски. Наиболее выраженной кистозная трансформация ворсин была при трисомии по 16-й хромосоме, единичные ворсины напоминали картину, схожую с пузырным заносом.
Рис. 2. Гидропическая дистрофия ворсин хориона с транформацией в цистерны при трисомии по 13-й хромосоме. Окраска гематоксилином-эозином, ув. ×180
Рис. 3. Фиброз ворсин хориона, атрофия хориального эпителия при трисомии по 13-й хромосоме. Окраска гематоксилином-эозином, ув. ×180
Умеренно выраженная кистозная дегенерация наблюдалась и при моносомии, но без формирования гигантских кистозно-трансформированных ворсин (цистерн), со слабой васкуляризацией ворсин. Моносомии отличались от остальных хромосомных аномалий по сроку гестации. Данный вид нарушений выявлялся на более поздних сроках гестации (в среднем 9 недель).
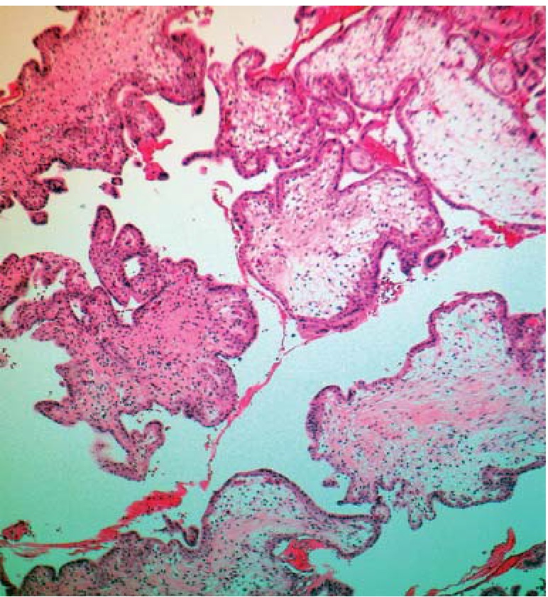
Полиплоидии сопровождались различной степенью выраженности кистозной дегенерацией и сочетанием гипоплазированных и слабо васкуляризированных ворсин, пролиферацией трофобласта (рис. 4).
Рис. 4. Сочетание отека и фиброза ворсин хориона при полиплоидии. Окраска гематоксилином-эозином, ув. ×180
H. Elghezall et al. [6] указывают, что среди полной аутосомальной трисомии только трисомии по 21-й (синдром Дауна), 22-й, 18-й (синдром Эдвардса), 13-й (синдром Патау) и 9-й хромосомам совместимы с постнатальной выживаемостью. Возможно, данное обстоятельство и сближает некоторые из этих вариантов нарушений с нормальным строением ворсин хориона.
Самыми сложными для морфологической диагностики были случаи с мозаицизмом, сочетающие в себе нормальный и патологический кариотипы и имеющие слабую степень выраженности изучаемых гистологических критериев.
Также был проведен сравнительный анализ частоты геномных мутаций хориона у пациенток с неразвивающейся беременностью, обследованных в Санкт- Петербурге в 2005–2006 гг. (подгруппа А) и спустя 10 лет – в 2015–2017 гг. (подгруппа Б). Хромосомные аномалии были выявлены у 80 (63,9%) из 130 пациенток подгруппы А и у 83 (60,1%) из 138 пациенток подгруппы Б без достоверных отличий. Анеуплоидии составили основной вид хромосомных нарушений у женщин обеих подгрупп – 63 (75,9%) из 80 и 65 (78,3%) из 83 соответственно. Полиплоидии были обнаружены у 12,05% женщин, обследованных в 2005–2006 гг., и у 16,9% пациенток, обследованных в 2015–2017 гг. У женщин обеих подгрупп достоверно частым видом анеуплоидий были трисомии (66,3 и 68,7% соответственно). Мозаицизм встречался с одинаковой частотой, как и полиплоидии, у женщин подгруппы А и составил 12,05% (рис. 5). Тогда как у женщин подгруппы Б он встречался в 2,5 раза реже (4,8%), – р<0,01.
Рис. 5. Типы хромосомных нарушений, выявленные при неразвивающейся беременности у пациенток, обследованных в 2005–2006 и 2015–2017 гг.
У женщин, обследованных в 2005–2006 гг., превалировали трисомии по 22-й (20%), 21-й (16,4%),16-й (10,9%) и 13-й (10,9%) хромосомам. В нескольких случаях были выявлены двойные трисомии. У женщин, обследованных в 2015–2017 гг., достоверно (p<0,05) чаще (в 3,8 раз) встречались трисомии по 16-й хромосоме (38%) и в 2,8 раза чаще трисомии по 13-й хромосоме. Достоверно реже встречались трисомии по 21-й (9,6%), 20-й и 15-й хромосомам (4,9%). Трисомии по 18-й, 19-й, 20-й и 9-й хромосомам, а также двойные трисомии встречались в единичных случаях (рис. 6). Распространенность трисомии по 22-й хромосоме составила 14% без достоверных отличий в сравнении с этим видом хромосомных нарушений у женщин, обследованных в 2005–2006 гг.
Рис. 6. Частота встречаемости различных типов трисомий при неразвивающейся беременности
Количество других хромосомных аномалий за 10 лет практически не изменилось.
Заключение. Одной из ведущих причин неразвивающейся беременности раннего срока являются хромосомные аномалии, частота встречаемости которых достоверно не изменилась за 10 летний период – 63,9% (2005–2006 гг.) и 60,4% (2015–2017 гг.) случаев. При этом преобладающими хромосомными нарушениями являются анеуплоидии. Из всех анеуплоидий наиболее часто встречаются трисомии по 16-й, 13-й, 22-й и 21-й хромосомам. Спустя 10 лет отмечается значительный рост количества трисомий по 16-й хромосоме и уменьшение количества трисомий по 22-й хромосоме (p<0,01). В остальном структура хромосомных аномалий практически не изменилась.
Выявлено, что у женщин в группе с нормальным кариотипом достоверно чаще наблюдались осложненные роды и привычное невынашивание в анамнезе, чем у пациенток с хромосомными аномалиями хориона. Соматический и гинекологический анамнез у пациенток обеих групп достоверно не отличался.
Морфологические проявления, связанные с хромосомными нарушениями, характеризовались патологией васкулогенеза, различной степени выраженности кистозной дегенерацией стромы и атрофией хориального эпителия. В целом для группы трисомий и моносомий характерны выраженная и умеренная степени гидропической дегенерации стромы ворсин, слабая или полная их аваскуляризация. Среди этой группы выделена трисомия по 21-й и 22-й хромосомам, которая отличалась наличием в ворсинах хориона мелких округлых и нитевидно-ветвящихся сосудов, умеренной целлюлярностью стромы, гипоплазией и центрально развивающимся фиброзом стромы ворсин и двухслойным низким хориальным эпителием с признаками атрофии. Умеренная гидропическая дегенерация стромы наблюдалась в эуплоидных клетках ворсин хориона при неразвивающейся беременности, что могло привести к ложному заключению о наличии хромосомных нарушений в 1/3 случаев.
При отсутствии возможности определения хромосомных нарушений при неразвивающейся беременности цитогенетически описанные морфологические критерии могут использоваться практическими патологоанатомами с целью улучшения качества диагностики.
About the authors
O. A. Romanova
I.I. Mechnikov North-Western State Medical University named after I.I. Mechnikov
Author for correspondence.
Email: romanova-roa@yandex.ru
Russian Federation, St. Petersburg
V. A. Pechenikova
I.I. Mechnikov North-Western State Medical University named after I.I. Mechnikov
Email: romanova-roa@yandex.ru
Russian Federation, St. Petersburg
T. S. Kartashova
A.M. Nikiforov All-Russian Center for Emergency and Radiation Medicine
Email: romanova-roa@yandex.ru
Russian Federation, St. Petersburg
A. S. Klyukovkina
Ava-peter Central Clinic
Email: romanova-roa@yandex.ru
Russian Federation, St. Petersburg
V. N. Ellinidi
A.M. Nikiforov All-Russian Center for Emergency and Radiation Medicine
Email: romanova-roa@yandex.ru
Russian Federation, St. Petersburg
References
- Глинкина, И.Ж. Исследование хромосомной патологии в клетках неразвивающегося хориона методом высокопроизводительного секвенирования / Ж.И. Глинкина [и др.] // Доктор.ру. – 2017. – № 7 (136). – С. 43–45.
- Мандрыкина, Ж.А. Ранние эмбриональные потери. Возможные этиологические факторы / Ж.А. Мандрыкина // АГ-инфо. – 2010. – № 1. – С. 39–44.
- Никитина, Т.В. Цитогенетика привычного невынашивания беременности / Т.В. Никитина, И.Н. Лебедев // Генетика. – 2014. – Т. 50, № 5. – С. 501–504.
- Сидельникова, В.М. Невынашивание беременности - современный взгляд на проблему / В.М. Сидельникова // Росс. вестн. акушера-гинеколога. – 2007. – № 2. – С. 62–65.
- Carp, H. Recurrent miscarriage: Genetic factors and assessment of the embryo / H. Carp // Isr. Med. Assoc. J. – 2008. – Vol. 10, № 3. – P. 229–231.
- Elghezall, H. Prevalence of chromosomal abnormalities in couples with recurrent miscarriage / H. Elghezall [et al.] // Fertil. Steril. – 2007. – Vol. 88. – P. 721–723.
- Fox, H. Pathology of the Placenta / H. Fox, N.J. Sebire // Philadelphia: Saunders Elsevier, 2008. – 574 p.
- Marquard, K. Etiology of recurrent pregnancy loss in women over the age of 35 / K. Marquard // Fertil. Steril. – 2010. – Vol. 94. – P. 1473–1477.
- Page, J.M. Genetic Causes of Recurrent Pregnancy Loss / J.M. Page, R.M. Silver // Clin Obstet Gynecol. – 2016. – № 59 (3). – P. 498–508.
- Pidoux, G. Human Placental Development Is Impaired by Abnormal Human Chorionic Gonadotropin Signaling in Trisomy 21 Pregnancies / G. Pidoux [et al.] // Endocrinology. – 2007. – Vol. 148. – Р. 5403–5413.
- Sahoo, T. Comprehensive genetic analysis of pregnancy loss by chromosomal microarrays: outcomes, benefits, and challenges / T. Sahoo [et al.] // Genet Med. – 2017. – № 19 (1). – P. 83–89.
- Zhou, W. Induced abortion and low birth in the following pregnancy / W. Zhou [et al.] // Inter. J. Epidemiolog. – 2008. – Vol. 29, № 1. – P. 100–106.
Supplementary files








