Результаты хирургического лечения больных пояснично-крестцовыми радикулопатиями, обусловленными параартикулярными и дисковыми кистами
- Авторы: Кравцов М.Н.1, Пометько Д.В.1, Леонов В.И.1, Гайдар Б.В.1, Свистов Д.В.1
-
Учреждения:
- Военно-медицинская академия им. С.М. Кирова
- Выпуск: Том 21, № 2 (2019)
- Страницы: 63-69
- Раздел: Клинические исследования
- Статья получена: 03.04.2020
- Статья опубликована: 15.12.2019
- URL: https://journals.eco-vector.com/1682-7392/article/view/25921
- DOI: https://doi.org/10.17816/brmma25921
- ID: 25921
Цитировать
Полный текст
Аннотация
Проанализированы результаты консервативного и хирургического лечения 12 пациентов в клинике нейрохирургии Военно-медицинской академии им. С.М. Кирова в период 2016–2018 гг. по поводу параартикулярных и дисковых кист поясничного отдела позвоночника. Были выполнены открытые микрохирургические и перкутанные видеоэндоскопические оперативные пособия. Оценка эффективности хирургического лечения проводилась при помощи субъективной оценочной шкалы и магнитно-резонансной томографии в динамике. Катамнез составил от 6 до 24 месяцев. Наиболее часто экстрадуральные кисты располагались на уровне сегмента LIV–LV. Клинические проявления характеризовались радикулопатией и локальной болью в спине. Средняя продолжительность болевого синдрома составила 3±0,7 месяца. Консервативное лечение привело к регрессу болевого синдрома и резорбции дисковой кисты у одного пациента. В остальных случаях потребовалось хирургическое лечение. Средняя продолжительность микрохирургической операции составила 131,6±73,4 мин, видеоэндоскопической – 80±10,8 мин. Период госпитализации в группе микрохирургического лечения составил 10,4 суток; в группе видеоэндоскопии – 4,7 суток. Контрольные магнитно-резонансные томографии выявили повторное возникновение параартикулярных кист в зоне ранее проведенной операции у 3 пациентов. Рецидивов у пациентов с дисковыми кистами не отмечено. Необходимости в повторных операциях не возникло ни в одном наблюдении. Установлено, что основными клиническими проявлениями экстрадуральных кист поясничного отдела позвоночника являются локальная умеренная боль, радикулопатия и синдром перемежающейся хромоты. Микрохирургическое и перкутанное видеоэндоскопическое лечение люмбоишиалгии, обусловленной экстрадуральными кистами, является значительно более эффективным в сравнении с консервативной терапией. Видеоэндоскопические вмешательства, в сравнении с микрохирургическими, являются менее инвазивными и продолжительными и позволяют сократить сроки стационарного лечения.
Полный текст
Введение. Экстрадуральные кисты (ЭК) позвоночника образуются из капсулы фасеточных суставов, желтой и задней продольной связок, а также межпозвонкового диска и могут быть заполнены серозным, муцинозным или геморрагическим компонентами [13]. Данные образования часто сопутствуют более тяжелым нозологическим формам дегенеративно- дистрофических процессов в позвоночнике, среди которых сегментарная нестабильность, стеноз, спондилолистез и пр., которые и определяют клинические симптомы болезни [23].
В подобных случаях лечебная стратегия выбирается в соответствии с ведущей патологией позвоночника и не зависит от присутствия кисты. В более редких наблюдениях параартикулярные и дисковые ЭК, заполняя собой пространство позвоночного канала, являются единственной причиной развития компрессионного радикуло-ишемического синдрома [7, 19]. Именно для таких случаев в настоящее время отсутствуют общепринятые эффективные схемы лечения. Причины этого во многом кроются в недостаточном количестве исследований, сравнивающих результаты лечения данной патологии с использованием различных хирургических, в том числе перкутанных видеоэндоскопических методик [3, 6].
ЭК позвоночного канала встречаются относительно нечасто. Причины и механизм развития данной патологии остаются предметом дискуссии. В мировой литературе приведен лишь ряд гипотез об условиях развития и течении патологических процессов, приводящих к образованию кист [7, 15, 20, 26]. ЭК кисты в большинстве случаев располагаются на уровне L4–L5 [12]. Наиболее распространенным клиническим проявлением данного типа образований является ишиалгия, сочетающаяся с болью в спине [3]. Методом выбора диагностики ЭК является магнитно-резонансная томография (МРТ) [3, 7, 10, 11, 13, 16, 18, 19, 21].
В литературе обсуждается ряд факторов риска, способствующих развитию дисковых кист. К ним относятся молодой и средний возраст, мужской пол, высокая физическая активность, а также монголоидная раса [3, 25]. Достоверных факторов риска развития параартикулярных кист не описано.
Интервенционным подходом к лечению ЭК является пункция образования под контролем компьютерной томографии с последующим введением стероидных гормонов в полость кисты либо без такового [2, 3, 14, 16, 18]. В отношении параартикулярных кист данный подход, несмотря на быстрый клинический эффект, отличается значительной частотой рецидивов в отдаленном периоде, риском развития эпидурального фиброза и адгезивного арахноидита, а также прокола твердой мозговой оболочки [16, 24]. Результаты пункции дисковых кист отличаются значительно большей эффективностью [14, 18].
Предложены различные варианты хирургического лечения параартикулярных кист. P. Metellus et al. [22] предложили выполнять операцию по поводу параартикулярных кист в объеме медиальной фасетэктомии и гемиламинэктомии. Данная методика позволяет предотвратить развитие рецидивов образования. Несмотря на низкую частоту рецидивов образования, в 20% описанных случаев у пациентов отмечался рецидив болей в спине, что может быть связано с сегментарной нестабильностью или прогрессированием дегенеративных изменений. Стабилизирующие операции снижают частоту рецидивов болевого синдрома, однако их целесообразность сегодня также оспаривается [19].
R.J. Campbell et al. [6], опираясь на результаты метаанализа, утверждают, что частота успешного лечения достигается в 90% случаев после открытых декомпрессивных операций либо пособий, включающих стабилизацию. Пункционные интервенционные вмешательства подтвердили свою эффективность лишь у 58% больных. При этом повторные вмешательства потребовались в 29% случаев направленной пункции кисты и всего в 1% – после открытых вмешательств.
Открытый микрохирургический подход в лечении дисковых кист также показывает приемлемые результаты [3, 11]. Обсуждению подлежит вопрос о необходимости резекции прилегающего межпозвонкового диска [3].
В последние годы появились работы, освещающие целесообразность использования перкутанных видеоэндоскопических технологий в лечении ЭК поясничного отдела позвоночника. Однако большинство из них представляют собой небольшие серии наблюдений с непродолжительным катамнезом [8, 10, 13, 17, 19]. Доля рецидивов, потребовавших повторной операции, минимальна – 2,1%. Всеми авторами подчеркиваются преимущества новой технологии как малоинвазивного вмешательства: уменьшение продолжительности операции, сроков стационарного лечения и нетрудоспособности, а также снижение общей стоимости лечения [8, 10, 13, 17, 19].
Цель исследования. Оценить особенности клинического течения и результаты консервативного и хирургического лечения больных, страдающих ЭК поясничного отдела позвоночника.
Материалы и методы. В исследование включено 12 больных, проходивших лечение в клинике нейрохирургии Военно-медицинской академии им. С.М. Кирова в период 2016–2018 гг. по поводу ЭК поясничного отдела позвоночника. Анализировали эффективность консервативного и хирургического лечения. Выполняли открытые микрохирургические и перкутанные видеоэндоскопические оперативные пособия. Перкутанные эндоскопические доступы выбирали исходя из уровня локализации кист, их расположения относительно нервных структур, а также индивидуальных анатомических особенностей позвоночника. Использовали эндоскопическое оборудование и инструменты фирм «Joimax®» и «KarlStorz» (Германия). Все операции выполнены под общей анестезией в положении пациентов лежа на животе. Дренирование применяли только в микрохирургической группе. Оценка эффективности хирургического лечения проводилась при помощи субъективной оценочной шкалы (subjective assessment scale MacNab) [1]. Контрольную МРТ выполняли в ближайшем послеоперационном периоде, а также в период от 6 до 24 мес. Все пациенты, включенные в исследование, дали письменное добровольное информированное согласие.
Результаты и их обсуждение. Дисковые кисты были выявлены только у мужчин молодого возраста. Наиболее частой локализацией ЭК явился сегмент LIV–LV (табл. 1). Клинические проявления кист заключались в умеренно выраженной радикулопатии и локальной боли в спине. Средняя продолжительность болевого синдрома составила 3±0,7 месяца.
Таблица 1. Локализация кист по уровням
Показатель | Параартику- лярные кисты | Дисковые кисты | |
Мужчины | 5 | 3 | |
Женщины | 4 | - | |
Средний возраст (min - max), лет | 57,3 (43-73) | 25,3 (19-75) | |
Сегмент | LII-LIII | 1 | - |
LIII-LIV | - | 1 | |
LIV-LV | 5 | 2 | |
LV-SI | 3 | - | |
Таблица 2. Результаты лечения экстрадуральных кист поясничного отдела позвоночника
Сегмент | Длит. терапии, мес. | Вид операции | Длит. операции, мин | Койко-день, сут | MacNab | Исход |
Параартикулярные кисты | ||||||
L4-L5 | 2 | О | 260 | 12 | 5 | В |
L5-S1 | 3 | О | 40 | 9 | 4 | В |
L4-L5 | 3 | О | 100 | 10 | 3 | Р |
L4-L5 | 1 | О | 90 | 12 | 5 | В |
L4-L5 | 2 | О | 195 | 9 | 5 | В |
L5-S1 | 2 | О | 105 | 8 | 5 | В |
L2-L3 | 3 | ПЭТФ | 70 | 2 | 5 | В |
L5-S1 | 2 | ПЭТЛ | 75 | 7 | 4 | Р |
L4-L5 | 1 | ПЭИ | 95 | 5 | 4 | Р |
Кисты межпозвонковых дисков | ||||||
L4-L5 | 2 | О | 90 | 13 | 4 | В |
L3-L4 | 2 | ПЭТФ | 75 | 5 | 5 | В |
L4-L5 | 2 | - | К | 16 | 5 | В |
Примечание: О – открытый доступ, ПЭТФ – перкутанный эндоскопический трансфораминальный доступ, ПЭТЛ – перкутанный эндоскопический трансламинарный доступ, ПЭИ – перкутанный эндоскопический интерламинарный доступ, К – консервативное лечение; В – выздоровление; Р – рецидив по данным МРТ.
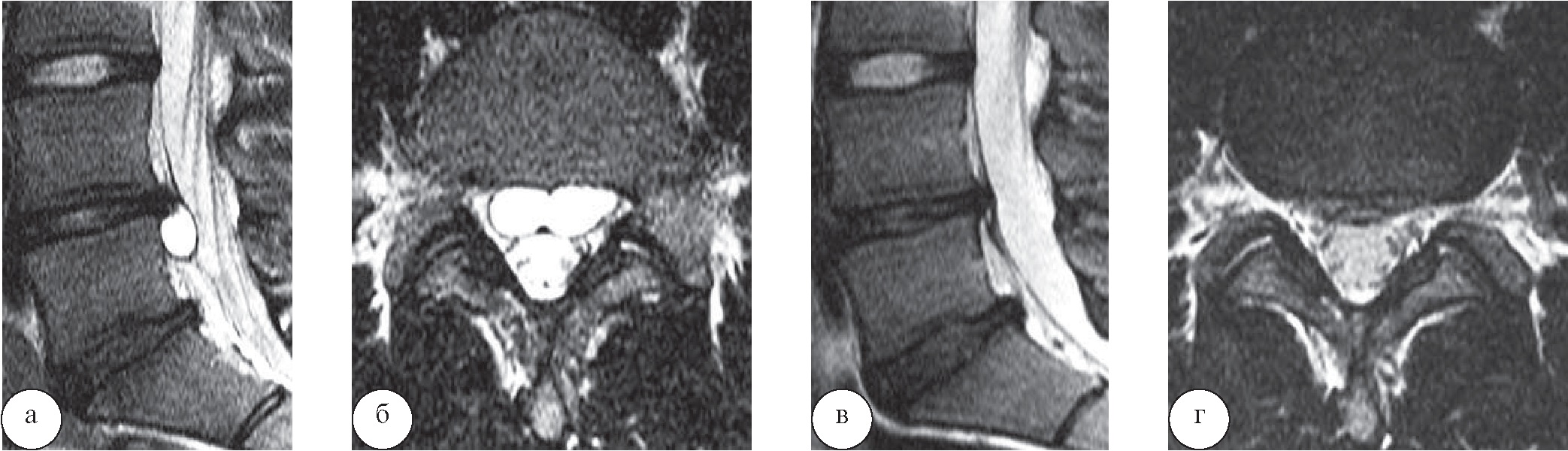
и нестероидными противовоспалительными препаратами, ограничивалась нагрузка на поясничный отдел позвоночника. У одного больного на фоне проводимой терапии в течение 2 месяцев произошел регресс болевого синдрома. По данным контрольной МРТ, через 7 месяцев отмечена резорбция дисковой кисты (рис. 1).
Рис. 1. Спонтанная резорбция кисты межпозвонкового диска LIV–LV у пациента Ф., 20 лет: а, б – сагиттальная и аксиальная проекции МРТ в режиме Т2-ВИ (05.05.2016 г.); в, г – те же проекции МРТ (05.12.2016 г.)
Остальным пациентам ввиду неэффективности консервативного лечения потребовалось хирургическое вмешательство. В ближайшем и отдаленном периодах хирургического лечения у всех обследуемых отмечено улучшение. Основные результаты лечения больных, страдающих ЭК, отражены в таблице 2.
Микрохирургическая техника предусматривала интерламинарный подход с частичной медиальной фасетэктомией. Выделение стенки кисты в некоторых случаях было сопряжено с техническими сложностями, связанными с плотным ее срастанием с твердой мозговой оболочкой. Кисту удаляли, в результате чего достигали декомпрессии невральных структур. Средняя продолжительность оперативного вмешательства составила 131,6±73,4 мин (40–260 мин).
Перкутанные видеоэндоскопические вмешательства выполнены в 3 случаях со средней продолжительностью операции 80±10,8 мин (70–95 мин). Были использованы трансфораминальный, интерламинарный и трансламинарный чрескожные эндоскопические доступы (рис. 2).
Рис. 2. Интраоперационная спондилография: а, б – боковая и прямая проекции, отображающие положение рабочей канюли при правостороннем трансфораминальном эндоскопическом доступе на LIV–LV; в, г – те же проекции при трансламинарном (LV) доступе
Эндоскоп направляли точно к области локализации кисты через рабочую канюлю диаметром 7,5 мм. Современные видеоэндоскопические системы в жидкой среде 0,9% раствора хлорида натрия позволяли осматривать операционное поле в формате высокой четкости и без труда дифференцировать капсулу кисты на протяжении всей операции (рис. 3).
Рис. 3. Этапы перкутанного эндоскопического удаления параартикулярной кисты LIV–LV: а – резекция дуги LIV позвонка алмазным бором; б – флавотомия; в – диссекция ТМО; г – ревизия кисты; д – вскрытие стенки кисты; е – санация полости кисты микролопаткой; ж – иссечение стенок кисты кусачками; з – коагуляция стенок кисты (1 – дуга LIV; 2 – ТМО; 3 – желтая связка; 4 – биполярный электрод; 5 – рабочая канюля; 6 – эпидуральный жир; стрелка – капсула кисты; пунктирная стрелка – содержимое кисты с геморрагическим компонентом
Капсулу кисты вскрывали кусачками, эвакуировали коллоидное содержимое, в некоторых случаях с геморрагическим пропитыванием. Стенки кисты иссекали щипцами. Остатки капсулы коагулировали при помощи биполярного электрода.
У 2 пациентов, страдающих кистами межпозвонковых дисков, применялось хирургическое лечение. В одном случае использовали традиционную микрохирургическую технику, идентичную поясничной микродискэктомии; в другом – перкутанное транс- фораминальное эндоскопическое вмешательство по вышеописанной методике (рис. 4).
Рис. 4. Перкутанное эндоскопическое трансфораминальное удаление кисты межпозвонкового диска LIII–LIV: а, б, в – дооперационные МРТ (а, б – сагиттальная и аксиальная МР-проекции (режимы Т2-ВИ), в – аксиальная проекция, Т1-ВИ с контрастом); г, д, е – МРТ через сутки после операции (в, г – сагиттальная и аксиальная МР-проекции (режимы Т2-ВИ), е – аксиальный срез (режим Т2-ВИ), стрелка – зона послеоперационных изменений в левом межпозвонковом отверстии)
Периоперационных осложнений не отмечено. Средний койко-день при микрохирургическом лечении составил 10,4 суток, при перкутанных эндоскопических операциях – 4,7 суток. У трех пациентов контрольные МРТ выявили повторное возникновение параартикулярных кист в зоне ранее проведенной операции (рис. 5).
Рис. 5. Рецидив параартикулярной кисты LIV–LV после перкутанной эндоскопической операции: а, б, в, г – дооперационные МРТ (а, б – сагиттальная и фронтальная МР-проекции (режимы Т2-ВИ), в, г – сагиттальные проекции (Т2-ВИ с жироподавлением и Т1-ВИ с контрастом); д, е – МРТ через сутки после операции (аксиальная и сагиттальная МР-проекции в режиме Т2-ВИ); ж, з – МРТ через 1 год после операции (аксиальная и сагиттальная МР-проекции в режиме Т2-ВИ)
Рецидивов у пациентов с дисковыми кистами не отмечено. К настоящему времени ни в одном из наблюдений (катамнез 6–12 месяцев) необходимости в повторных операциях не возникло. Этот факт, вероятно, обусловлен меньшими размерами параартикулярных кист в сравнении с картиной предоперационной МРТ и иным содержимым.
Нами проанализировано влияние системных заболеваний соединительной ткани и аутоиммунных патологических процессов на образование параартикулярных кист. В результате у одного больного с параартикулярной кистой был отмечен ревматоидный артрит, в двух случаях – псориаз. Среди пациентов с дисковыми кистами подобных заболеваний не наблюдалось. Также подтвержден факт взаимосвязи между развитием параартикулярной кисты и МР-симптомами остеоартрита [23]. Консервативное лечение во многих описанных случаях оказывается недостаточно эффективным [3, 4, 5, 8, 9], что не противоречит нашим наблюдениям.
Наши крайне немногочисленные наблюдения в основном подтверждают результаты исследований большинства авторов работ по данной проблеме. Вместе с тем после эндоскопических вмешательств у двух из четырех пациентов при динамическом наблюдении через 12 и 16 месяцев выявлены признаки рецидива параартикулярных кист на фоне сохраняющихся МР-признаков артрита (см. рис. 5). Отсутствие неврологических проявлений у этих больных в настоящее время не исключает вероятности того, что в будущем им потребуются повторные операции. Рецидив после микрохирургического удаления ЭК возник всего в одном из семи случаев.
Выводы
- Основными клиническими проявлениями ЭК поясничного отдела позвоночника являются локальная умеренная боль, радикулопатия и синдром перемежающейся хромоты.
- Микрохирургическое и перкутанное видеоэндоскопическое лечение люмбоишиалгии, обусловленной ЭК, является значительно более эффективным в сравнении с консервативной терапией.
- Видеоэндоскопические вмешательства, в сравнении с микрохирургическими, при ЭК являются менее инвазивными и продолжительными, позволяют сократить сроки стационарного лечения.
- Частота рецидивов параартикулярных кист после минимально-инвазивных декомпрессивных операций должна быть оценена в ходе проспективных исследований на большей выборке пациентов.
Об авторах
М. Н. Кравцов
Военно-медицинская академия им. С.М. Кирова
Автор, ответственный за переписку.
Email: vmeda-nio@mil.ru
Россия, Санкт-Петербург
Д. В. Пометько
Военно-медицинская академия им. С.М. Кирова
Email: vmeda-nio@mil.ru
Россия, Санкт-Петербург
В. И. Леонов
Военно-медицинская академия им. С.М. Кирова
Email: vmeda-nio@mil.ru
Россия, Санкт-Петербург
Б. В. Гайдар
Военно-медицинская академия им. С.М. Кирова
Email: vmeda-nio@mil.ru
Россия, Санкт-Петербург
Д. В. Свистов
Военно-медицинская академия им. С.М. Кирова
Email: vmeda-nio@mil.ru
Россия, Санкт-Петербург
Список литературы
- Бывальцев, В.А. Использование шкал и анкет в вертебрологии / В.А. Бывальцев [и др.] // Журн. невролог. и психиатрии. – 2011. – Т. 9, № 2. – С. 51.
- Abrahams, J.J. CT-guided needle aspiration biopsy of an intraspinal synovial cyst (ganglion): case report and review of the literature / J.J. Abrahams [et al.] // American journal of neuroradiology. – 1988. – Vol. 9, № 2. – P. 398–400.
- Aydin, S. Discal cysts of the lumbar spine: report of five cases and review of the literature / S. Aydin [et al.] // European Spine Journal. – 2010. – Vol. 19, № 10. – P. 1621–1626.
- Boviatsis, E.J. Spinal synovial cysts: pathogenesis, diagnosis and surgical treatment in a series of seven cases and literature review / E.J. Boviatsis [et al.] // European Spine Journal. – 2008. – Vol. 17, № 6. – P. 831–837.
- Bydon, M. Treatment of spinal synovial cysts / M. Bydon [et al.] // World neurosurgery. – 2013. – Vol. 79, № 2. – P. 375–380.
- Campbell, R.J. Interventions for lumbar synovial facet joint cysts: a comparison of percutaneous, surgical decompression and fusion approaches / R.J. Campbell [et al.] // World neurosurgery. – 2017. – Vol. 98. – P. 492–502.
- Chiba, K. Intraspinal cyst communicating with the intervertebral disc in the lumbar spine: discal cyst / K. Chiba [et al.] // Spine. – 2001. – Vol. 26, № 19. – P. 2112–2118.
- Choi K.C. Percutaneous Endoscopic Lumbar Foraminoplasty for Resection of Synovial Cyst / K.C. Choi [et al.] // Journal of Minimally Invasive Spine Surgery and Technique. – 2016. – Vol. 1, № 1. – P. 36–39.
- Chou, D. Spontaneous regression of a discal cyst: case report / D. Chou, J.S. Smith, C.T. Chin // Journal of Neurosurgery: Spine. – 2007. – Vol. 6, № 1. – P. 81–84.
- Ha, S.W. Clinical outcomes of percutaneous endoscopic surgery for lumbar discal cyst / S.W. Ha [et al.] // Journal of Korean Neurosurgical Society. – 2012. – Vol. 51, № 4. – P. 208.
- Hwang, J.H. Discal cyst of the lumbar spine / J.H. Hwang [et al.] // Journal of Korean Neurosurgical Society. – 2008. – Vol. 44, № 4. – P. 262.
- Jeong, G.K. Lumbar intervertebral disc cyst as a cause of radiculopathy / G.K. Jeong, J.A. Bendo // The Spine Journal. – 2003. – Vol. 3, № 3. – P. 242–246.
- Jha S.C. Percutaneous endoscopic discectomy via transforaminal route for discal cyst / S.C. Jha [et al.] // Case reports in orthopedics. – 2015. – Vol. 1, № 1. – P. 18–23.
- Kang, H. Midterm results of percutaneous CT-guided aspiration of symptomatic lumbar discal cysts / H. Kang [et al.] // American Journal of Roentgenology. – 2008. – Vol. 190, № 5. – P. 310–314.
- Kao, C.C. Synovial cyst of spinal facet: case report / C.C. Kao, S.S. Winkler, J.H. Turner // Journal of neurosurgery. – 1974. – Vol. 41, № 3. – P. 372–376.
- Khan, A.M. Spinal lumbar synovial cysts. Diagnosis and management challenge / A.M. Khan, F. Girardi // European Spine Journal. – 2006. – Vol. 15, № 8. – P. 1176–1182.
- Kim, J.S. Removal of discal cyst using percutaneous working channel endoscope via transforaminal route / J.S. Kim [et al.] // European Spine Journal. – 2009. – Vol. 18, № 2. – P. 201–205.
- Koga, H. Percutaneous CT-guided puncture and steroid injection for the treatment of lumbar discal cyst: a case report / H. Koga [et al.] // Spine. – 2003. – Vol. 28, № 11. – P. 212–216.
- Komp, M. Operation of lumbar zygoapophyseal joint cysts using a full-endoscopic interlaminar and transforaminal approach: prospective 2-year results of 74 patients / M. Komp [et al.] // Surgical innovation. – 2014. – Vol. 21, № 6. – P. 605–614.
- Kono, K. Intraspinal extradural cysts communicating with adjacent herniated disks: imaging characteristics and possible pathogenesis / K. Kono [et al.] // American journal of neuroradiology. – 1999. – Vol. 20, № 7. – P. 1373–1377.
- Lee, H.K. Discal cyst of the lumbar spine: MR imaging features / H.K. Lee [et al.] // Clinical imaging. – 2006. – Vol. 30, № 5. – P. 326–330.
- Metellus, P. Retrospective study of 77 patients harbouring lumbar synovial cysts: functional and neurological outcome / P. Metellus [et al.] // Acta neurochirurgica. – 2006. – Vol. 148, № 1. – P. 47–54.
- Modic, M.T. Lumbar degenerative disk disease / M.T. Modic, J.S. Ross // Radiology. – 2007. – Vol. 245, № 1. – P. 43–61.
- Murata, K. Discal cysts of the lumbar spine: a case report / K. Murata [et al.] // Journal of Orthopaedic Surgery. – 2007. – Vol. 15, № 3. – P. 376–379.
- Tokunaga, M. Lumbar discal cyst followed by intervertebral disc herniation: MRI findings of two cases / M. Tokunaga [et al.] // Journal of Orthopaedic Science. – 2006. – Vol. 11, № 1. – P. 81.
- Toyama, Y. Pathogenesis and diagnostic title of intraspinal cyst communicating with intervertebral disc in the lumbar spine / Y. Toyama [et al.] // Rinsho Seikei Geka. – 1997. – Vol. 32. – P. 393–400.
Дополнительные файлы







