Морфологическая характеристика острых перфоративных язв тонкой кишки послеоперационного периода
- Авторы: Сингаевский А.Б.1,2, Винничук С.А.1, Несвит Е.М.1
-
Учреждения:
- Северо-Западный государственный медицинский университет им. И.И. Мечникова
- Городская больница № 15
- Выпуск: Том 21, № 2 (2019)
- Страницы: 97-100
- Раздел: Клинические исследования
- Статья получена: 03.04.2020
- Статья опубликована: 15.12.2019
- URL: https://journals.eco-vector.com/1682-7392/article/view/25927
- DOI: https://doi.org/10.17816/brmma25927
- ID: 25927
Цитировать
Полный текст
Аннотация
Представлены основные морфологические характеристики острых перфоративных язв тонкой кишки, возникающих как осложнение после операций на органах брюшной полости и малого таза. Проанализированы случаи пациентов с данным послеоперационным осложнением. Выявлено, что у большинства пациентов (69,4%) осложнение возникает после операций по поводу разного рода злокачественных новообразований. Обнаружен существенный рост (в 8 раз) частоты встречаемости патологии за последние два десятилетия. Проанализированы макроскопические характеристики: у большинства больных (83,9%) первоначально встречались единичные перфорации, но практически в половине случаев (46,7%) заболевание носило рецидивирующий характер. Установлено, что «излюбленными» сроками возникновения острых перфоративных язв тонкой кишки являются 4–10-е сутки, а местами локализации – различные участки тонкой кишки: в 47,4% случаев от 101 до 151 см от связки Трейца и в 21,8% случаев от 51 до 100 см от связки Трейца. При микроскопии резецированных участков тонкой кишки, помимо воспалительных изменений слоев ее стенки, в 100% случаев выявляются значимые дисциркуляторные изменения: со стороны сосудов подслизистого слоя во всех случаях определялись полнокровие и развитие эритроцитарного сладжа, в 45,5% случаев – тромбоз сосудов, в 27,3% – выраженное геморрагическое пропитывание. Непосредственно воспалительные изменения носили неспецифический характер с преобладанием различных воспалительных фаз: альтеративной (десквамация и некроз эпителия ворсин), экссудативной (от умеренной до массивной нейтрофильной инфильтрации) и пролиферативной (разрастание грануляционной ткани с последующим фиброзом и липоматозом стенки). Кроме того, при гистологическом исследовании пораженных острыми перфоративными язвами участков тонкой кишки выявлено, что первично повреждается именно слизистый слой.
Полный текст
Введение. Появление новых способов инструментального и медикаментозного воздействия на организм пациента закономерно сопровождается изменением структуры послеоперационных осложнений. Иногда хирургам приходится сталкиваться с новыми явлениями, причина которых неизвестна, патогенез не изучен, а алгоритмы диагностики и лечения не разработаны. Среди таких осложнений следует выделить острые перфоративные язвы тонкой кишки, возникающие после операций на органах брюшной полости и малого таза. Именно поэтому актуальность проблемы послеоперационных осложнений не вызывает сомнений, причем причиной их развития далеко не всегда являются ошибки техники или тактики хирурга [6].
Сами по себе острые неспецифические язвы тонкой кишки являются исключительно редким заболеванием, а их этиология остается неизвестной и по сей день [8]. В разных источниках это заболевание формулируется как «первичные неспецифические язвы тонкой кишки», «идиопатические язвы тонкой кишки», «неспецифические язвы тонкой кишки» [7]. Помимо указанных терминов, описание острых перфоративных язв тонкой кишки можно встретить в работах, посвященных группе заболеваний, объединяемых термином «перфорация полого органа» [4]. Что же касается острых перфоративных язв тонкой кишки как послеоперационных осложнений, то эта проблема практически не освещена в литературе, имеются лишь единичные сообщения [1–3, 5], хотя за последние два десятилетия данная патология возросла почти в 8 раз. Изучение морфологии острых перфоративных язв тонкой кишки необходимо для понимания патогенеза данного осложнения, определения возможных «слабых участков» кишки, предпосылок к появлению язв, основных тенденций в их развитии.
Цель исследования. Изучение частоты развития и особенностей макро- и микроскопической картины острых перфоративных язв тонкой кишки, возникающих как осложнение послеоперационного периода.
Материалы и методы. Обследованы 62 больных, проходивших лечение в стационарах г. Санкт-Петербурга в период с 2012 по 2017 г. Критерием включения в исследование было наличие операции на органах брюшной полости и/или малого таза, осложнившейся развитием острых перфоративных язв тонкой кишки. В исследование не включались случаи, когда невозможно было исключить возможность развития перфорации как результата механического или термического повреждения или когда она возникала в непосредственной близости от сформированных анастомозов или стом. Среди пациентов преобладали женщины (63,3%). Средний возраст больных составил 67,8±9,7 года. В целом частота развития острых послеоперационных перфоративных язв тонкой кишки была исследована при сравнении результатов всех операций на органах брюшной полости и малого таза в двух многопрофильных хирургических стационарах г. Санкт-Петербурга в периоды с 1992 по 1997 г. и с 2012 по 2017 г. Общее число таких вмешательств со- ставило 3901 и 10388 соответственно. Количество больных, у которых послеоперационный период осложнился развитием перфораций язв тонкой кишки, составило 3 случая за первый период и 62 за второй (0,08% и 0,59% соответственно (χ2=16,93; p<0,01)). Таким образом, можно говорить о достоверном и существенном (в 8 раз) увеличении частоты острых перфоративных язв тонкой кишки.
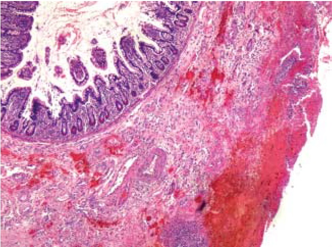
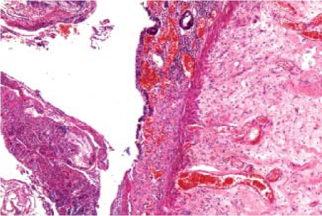
Результаты и их обсуждение. У 49 (69,4%) больных осложнение в виде острой перфоративной язвы возникало после вмешательства по поводу различных онкологических заболеваний. В структуре первичной нозологии в 35,5% случаев были различные формы колоректального рака, в 22,7% – спаечная кишечная непроходимость. Месторасположением язв всегда служил противобрыжеечный край тонкой кишки (рис. 1). При ревизии в ходе первой релапаротомии в 83,9% случаев имела место единичная перфорация, в 3,2% – 2–3 перфорации, в 12,9% – 4–5 перфораций. У 46,7% пациентов перфорации тонкой кишки имели рецидивирующий характер, а число релапаротомий составило от 2 до 13. В целом летальность составила 74,2%, а в группе больных с повторными перфорациями – 86,2%. Нередко интраоперационной находкой в данной группе больных оказывались участки ишемии (рис. 2) или некроза (рис. 3) тонкой кишки, требующие перитонизации. Сроки возникновения первой перфоративной язвы варьировали от 2-х до 28-ми суток после операции, однако в 53,2% случаев это произошло на 4 – 10-е сутки. Чаще всего (в 47,7% случаев) острые перфоративные язвы тонкой кишки встречались на расстоянии от 101 до 151 см от связки Трейца, в 21,8% – на расстоянии от 51 до 100 см от связки Трейца.
Рис. 1. Острая перфоративная язва тонкой кишки в области противобрыжеечного края
Рис. 2. Участок ишемии тонкой кишки
Рис. 3. Участок некроза тонкой кишки
Резекция тонкой кишки выполнена в общей сложности 22 (35,5%) больным с последующим проведением гистологического исследования операционного материала.
У 16 (72,2%) пациентов изменения со стороны слизистого слоя выражались в виде умеренной десквамации эпителия ворсин, у 6 (27,3%) пациентов отмечена выраженная десквамация эпителия, у 8 (36,4%) больных отмечалась умеренная нейтрофильная инфильтрация, у 4 (18,2%) пациентов имело место выраженное геморрагическое пропитывание слизистой оболочки.
В подслизистом слое отмечались выраженные циркуляторные расстройства: во всех случаях имело место выраженное полнокровие сосудов с эритроцитарным сладжем, в 10 (45,5%) случаях развился тромбоз сосудов, у 6 (27,3%) пациентов наблюдалось выраженное геморрагическое пропитывание. В зависимости от стадии и активности воспалительной реакции во всех случаях была обнаружена умеренная лейкоцитарная (нейтрофильная) инфильтрация, в 5 (22,7%) случаях в подслизистом слое определялось массивное разрастание грануляционной ткани с последующим исходом в фиброз и липоматоз подслизистого слоя.
Морфологические изменения серозной оболочки в каждом отдельном случае соответствовали характеристике перитонита, переносимого пациентом. Расстройство кровообращения проявлялось в виде полнокровия и тромбоза сосудов, выраженного геморрагического пропитывания, десквамации мезотелия с отложениями масс фибрина.
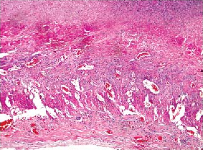
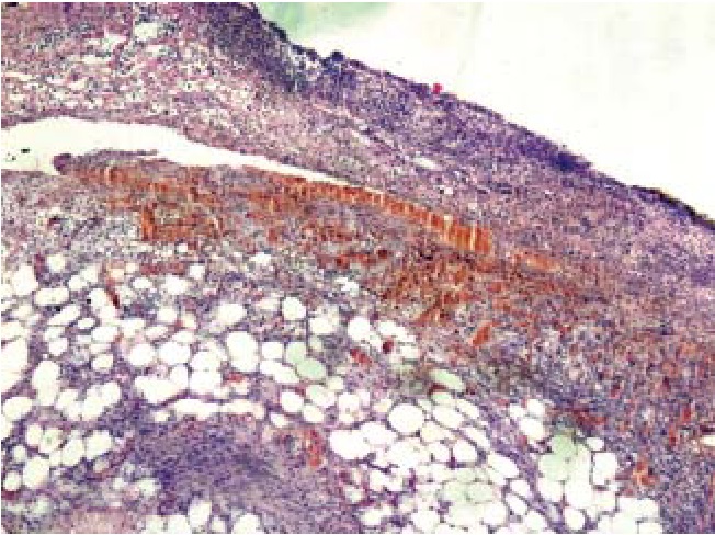
Наиболее характерным для острых перфоративных язв тонкой кишки было первичное повреждение слизистого слоя с развитием множественных некрозов эпителия (рис. 4, 8) на фоне массивной нейтрофильной инфильтрации (рис. 4–8) и значимых гемоциркуляторных расстройств в виде резкого полнокровия и тромбозов сосудов, а также геморрагического пропитывания как слизистого, так и подслизистого слоев (рис. 5, 7, 8), массивного разрастания в подслизистой основе грануляционной ткани (рис. 6) с исходом в фиброз и липоматоз (рис. 8).
Рис. 4. Край язвы слизистой тонкой кишки: некрозы слизистой оболочки, нейтрофильная инфильтрация подслизистой основы, грануляции. Окраска гематоксилин – эозином, ув. ×100
Рис. 5. Интактная слизистая оболочка на фоне текущего перитонита: полнокровные сосуды, множественные очаговые кровоизлияния и геморрагическое пропитывание подслизистого и серозного слоя. Нейтрофильная инфильтрация подслизистого и серозного слоев. Окраска гематоксилин – эозином, ув. ×40
Рис. 6. Участок язвы тонкой кишки: разрастания грануляционной ткани, некрозы, нейтрофильная инфильтрация. Окраска гематоксилин – эозином, ув. ×40
Рис. 7. Края язвы: некрозы слизистой оболочки, геморрагическое пропитывание подслизистого слоя, полнокровие сосудов, нейтрофильная инфильтрация. Окраска гематоксилин – эозином, ув. ×40
Рис. 8. Предъязвенные изменения тонкой кишки: некрозы слизистой оболочки, нейтрофильная инфильтрация слизистой и подслизистой оболочек. Геморрагическое пропитывание подслизистого слоя. Грануляционная ткань, фиброз и липоматоз подслизистой оболочки. Окраска гематоксилин – эозином, ув. ×40
Таким образом, актуальность проблемы острых перфоративных язв тонкой кишки в настоящее время возросла, в то же время они остаются малоизученным осложнением послеоперационного периода с крайне высокой летальностью. Данная проблема требует дальнейших исследований во всех её аспектах – как углубленного исследования морфологии и патогенеза, так и разработки алгоритмов диагностики и лечения.
Об авторах
А. Б. Сингаевский
Северо-Западный государственный медицинский университет им. И.И. Мечникова; Городская больница № 15
Email: evgenianesvit@gmail.com
Россия, Санкт-Петербург; Санкт-Петербург
С. А. Винничук
Северо-Западный государственный медицинский университет им. И.И. Мечникова
Email: evgenianesvit@gmail.com
Россия, Санкт-Петербург
Е. М. Несвит
Северо-Западный государственный медицинский университет им. И.И. Мечникова
Автор, ответственный за переписку.
Email: evgenianesvit@gmail.com
Россия, Санкт-Петербург
Список литературы
- Волков, В.Е. Эрозивно-язвенные поражения желудочно-кишечного тракта в раннем послеоперационном периоде / В.Е. Волков, С.В. Волков // Вестн. Чувашского ун-та им. И.Н. Ульянова. – 2005. – № 2. – С. 50–56.
- Гольбрайх, В.А. Острые перфоративные язвы тонкой кишки больных с распространенным гнойным перитонитом / В.А. Гольбрайх [и др.] // Bulletin of Experimental and Clinical Surgery. – 2012. – Vol. 5. – P. 51–53.
- Жариков, А.Н. Хирургическое лечение осложнений после операций по поводу острой спаечной кишечной непроходимости / А.Н. Жариков, В.Г. Лубянский // Медицина и образование в Сибири. – 2014. – № 4. – С. 35.
- Земляной, В.П. Особенности течения перфораций полых органов брюшной полости у инфекционных больных / В.П. Земляной [и др.] // Вестн. Северо-Западного гос. мед. ун-та им. И.И. Мечникова. – 2018. – Т. 10, № 1. – С. 27–32.
- Лубянский, В.Г. Основные патогенетические механизмы развития острых перфораций кишечника у больных с послеоперационным перитонитом / В.Г. Лубянский, А.Н. Жариков // Бюлл. ВСНЦ СО РАМН. – 2012. – № 4 (86), ч. 1. – С. 51–55.
- Adar, R. Iatrogenic complications in surgery / R. Adar, A. Bass // Annals of Surgery. – 1982. – № 196. – P. 725–729.
- Matsumoto, T. Non-specific multiple ulcers of the small intestine unrelated to non-steroidal-anti-inflammatory drugs / T. Matsumoto [et al.] // Journal of Clinical Pathology. – 2004. – № 57. – P. 1145–1150.
- Sakaguchi, T. Laparoscopic management for spontaneous jejunal perforationcaused by nonspecific ulcer: A case report / T. Sakaguchi [et al.] // International Journal of Surgery Case Reports. – 2017. – № 39. – P. 309–312.
Дополнительные файлы










