A comparative evaluation of the effectiveness of aspiration and automatic systems for percutaneous liver biopsy in experimental rats
- Authors: Zhdanov K.V.1, Saulevich A.V.1, Karev V.E.2, Kozlov K.V.1, Zakharkiv Y.F.1, Zakharenko S.M.1, Lyashenko Y.I.1, Ivanov K.S.1, Sukachev V.S.1, Shakhmanov D.M.1, Popov D.V.1, Kariakin S.S.1, Bedarev A.V.1, Chernenok M.G.1, Gemst I.I.1, Tashimov M.M.3
-
Affiliations:
- S.M. Kirov Military Medical Academy
- Children's Research and Clinical Center for Infectious Diseases
- 1477th Naval Clinical Hospital
- Issue: Vol 21, No 2 (2019)
- Pages: 133-139
- Section: Experimental trials
- Submitted: 03.04.2020
- Published: 15.12.2019
- URL: https://journals.eco-vector.com/1682-7392/article/view/25933
- DOI: https://doi.org/10.17816/brmma25933
- ID: 25933
Cite item
Full Text
Abstract
The effectiveness and quality of liver biopsy in rats are applicable to the aspiration and automatic liver biopsy system. Histological examination of 240 biopsy specimens in 100% of cases identified portal tracts. The number of portal tracts to determine the stage of liver fibrosis in rats of the 1st group who underwent liver biopsy was performed using an 18 G aspirating needle from the puncture liver set (Menghini type), which is 4–5, you have the 2nd group, which one-time guillotine soft tissue biopsy with a semi-automatic action of 16G×20 cm, Italy) – 7–8 portal tracts. The average size of the biopsy in the 1st group is 0,5 cm, in the 2nd group – 1 cm. Thus, the automatic biopsy system allows you to get liver tissue in 100% of cases. At the same time, the automatic system eliminates the additional traumatization of experimental animals, as well as minimizes efforts to separate the biopsy material from the organ. In addition, the automated system for liver biopsy allows to evaluate 7–8 portal tracts with a biopsy size of 1 cm, this provides a reliable histological assessment of pathological changes in liver tissue to assess the stage of fibrosis and the activity of the inflammatory process over time.
Full Text
Введение. Формирование фиброза печени является типовым патологическим процессом, характерным для всех диффузных заболеваний печени. Именно прогрессирование фиброза с исходом в цирроз печени (ЦП) определяет качество жизни и прогноз заболевания.
Понимание патогенеза наиболее распространенных и актуальных заболеваний печени, в основе диагностики которых лежит биопсия, в настоящее время невозможно без экспериментальных исследований. При этом чрезвычайно важно наблюдать морфологическую картину в динамике с целью оценки изменений в ткани печени, полученной при биопсии.
Анализ работ в открытом доступе интернет-ресурсов (PubMed, Google Scholar), посвященных изучению этого направления, показал, что оценка результатов гистологических исследований выполняется только на завершающем этапе эксперимента [7, 9, 13, 14, 16, 17]. К сожалению, с целью получения гистологических образцов экспериментальных животных приходится умерщвлять. В итоге исследователи увеличивают количество животных в экспериментальных группах, а следовательно, и затраты на эксперимент. Результаты исследований посмертных гистологических образцов не всегда отражают объективную гистологическую картину в печени у живых животных.
В этой связи применение прижизненной биопсии печени (БП) чрезвычайно важно, так как в этом случае возможны оценка состояния печеночной ткани у одного и того же животного в динамике, осуществление гистологического контроля на стадии индукции ЦП, а также оценка эффективности проводимой терапии на протяжении всего эксперимента.
Для получения образца ткани печени в экспериментальных работах применяются следующие методики: открытая биопсия печени (минилапаротомия), перкутанная пункционная биопсия печени (ПБП). Эти методики имеют как достоинства, так и недостатки.
Сторонники открытого доступа вполне справедливо утверждают, что его применение позволяет визуально оценить орган, достоверно точно получить ткань печени, а также исключить вероятность повреждения других органов [11, 15]. Однако при использовании выбранного метода приходится применять антибиотики с целью профилактики воспалительного процесса, в результате чего страдает кишечная микрофлора, что в свою очередь делает невозможным использование этой методики при изучении микробоценоза кишечника на фоне экспериментального цирроза. Кроме того, эта процедура может вызвать значительный стресс у животных и нередко приводит к летальным исходам.
Сторонники ПБП придерживаются идеи малой инвазивности этой методики, позволяющей многократно её использовать на одном животном [8, 10]. Поскольку манипуляция выполняется вслепую, это не только увеличивает риск развития осложнений вследствие повреждения диафрагмы, желудка и кишечника, но и снижает вероятность получения биоптата печени. По данным G. Drews et al. [10], в 13,5% случаев получение биоптата печени, несмотря на неоднократные попытки, оказалось безуспешным, а в 5,8% случаев пункция печени сопровождалась смертью животного из-за перфорации диафрагмы.
I.R. Corbin et al. [8] отмечают, что у 27% лабораторных животных наблюдался летальный исход, причем в 21% случаев – непосредственно от осложнений ПБП. Нами ранее был разработан межреберный доступ ПБП, который решил эту проблему и позволил в 100% случаев избежать летальных исходов у экспериментальных крыс, при этом манипуляция вызывала определенные проблемы [4]. Во-первых, неизбежно приходилось наносить дополнительную травму животным как во время разреза кожи скальпелем, так и при проколе троакаром мышц с целью обеспечения доступа для иглы Menghini в брюшную полость. Во-вторых, возникали проблемы при попытке отделить биопсийный материал от органа. Для этого приходилось выполнять ряд сложных дополнительных движений иглой Menghini. В этой связи нами была поставлена задача усовершенствовать процедуру забора ткани печени у экспериментальных крыс.
Цель исследования. Используя межреберный доступ для пункционной биопсии печени у крыс, сравнить эффективность и качество получения биоптата печени, применив аспирационную и автоматическую системы для биопсии печени.
Материалы и методы. Экспериментальная работа на животных, одобренная независимым этическим комитетом при Военно-медицинской академии им. С.М. Кирова (ВМА) (20.06.2017, протокол № 191), была выполнена на базе вивария кафедры военной токсикологии и медицинской защиты ВМА. Содержание и уход за экспериментальными животными осуществлялись в соответствии с требованиями закона Российской Федерации «О ветеринарии» № 4979-1 от 14.05.1993 г. [2] и «Рекомендациями комитета по этике проводящим экспертизу в биомедицинских исследованиях» [3].
В исследование были включены 60 самцов крыс линии Wistar, массой 250±50 г, у которых индуцировали ЦП. На 60-е сутки эксперимента крысам было прекращено введение 50% четыреххлористого углерода (ССl4) и 10% спирта, после чего они методом случай- ной выборки были разделены на 2 группы: 1-я группа состояла из 30 крыс, которым выполнялась ПБП аспирационной иглой размером 18 G из набора для пункции печени (тип Menghini), а 2-я группа включала 30 крыс, которым выполнялась ПБП с использованием автоматической системы (АС), состоящей из специальной коаксиальной иглы с троакаром (Disposable guillotine needle fop soft tissue biopsy with semiautomatic action 16G20 см, Италия). Алгоритм исследования представлен на рисунке 1.
Рис. 1. Алгоритм исследования для получения биоптата печени у крыс
В ходе эксперимента все животные получали стандартный корм для грызунов (Nuvilab CR1s Nuvital S.A., Colombo-PR, Бразилия), в состав которого входили 22% белка, 4% жира, 4% сырого волокна, что соответствовало 290 ккал/100 г. Каждое животное получало 12 г корма в течение суток.
Длительность индукции ЦП составила 60 суток. Индукция ЦП выполнялась путем внутрибрюшинного введения 50% ССl4 на оливковом масле из расчета 1 мл/кг массы тела животного два раза в неделю с интервалами между инъекциями в 2–3 дня. Всего было сделано 18 инъекций. Для потенцирования наступления фибротических изменений в печени животным давался 10% спирт через поилку в свободном доступе [5].
Биопсия печени выполнялась квалифицированным хирургом. В условиях операционной крысам 1-й и 2-й групп вводился общий анестетик диссоциативного действия zolеtil 100 (по 250 мг тилетамина гидрохлорида и золепама гидрохлорида) в дозе 20 мг/кг массы тела. После наступления анестезии у животного сбривалась шерсть в области брюшка и грудной клетки справа, после чего осуществлялась фиксация на операционном столе.
Операционное поле обрабатывалось антисептическим раствором по Филончикову – Гроссиху [1]. Пальпаторно определялся мечевидный отросток и край правой реберной дуги. При помощи скальпеля с градуированной линейкой откладывался интервал 2 см от нижнего края мечевидного отростка в сторону правой области грудной клетки. Полученная точка D соответствовала месту прикрепления диафрагмы к грудной клетке (рис. 2).
Рис. 2. Определение точки D (стрелка)
Далее крысам 1-й группы выполнялся разрез кожи скальпелем от точки D в сторону реберной дуги по направлению к мечевидному отростку. Затем определялась точка пункции (Р), которая находилась на расстоянии 0,5 см от точки D в сторону края реберной дуги на протяжении разреза и соответствовала межреберью VII и VIII ребра (рис. 3).
Рис. 3. Точка пункции Р (межреберье VII и VIII ребра)
Используя точку Р, мы исключали вероятность повреждения диафрагмы (рис. 4). При помощи троакара размером 1,6 мм в сагиттальной плоскости, проходящей через точку Р под углом 45 градусов в направлении к нижнему краю мечевидного отростка, осуществляли прокол на глубину приблизительно 3–5 мм (до ощущения провала в брюшинную полость). Данная манипуляция выполнялась с целью подготовки канала для прохождения по нему пункционной иглы. Точка прокола печени представлена на рисунке 5.
Рис. 4. Исключение вероятности повреждения диафрагмы (стрелка)
Рис. 5. Точка прокола печени (стрелка)
После этого троакар извлекался, и использовалась пункционная игла размером 18 G из набора для пункции печени (тип Menghini), которая вводилась в пункционный канал до ощущения провала в брюшную полость.
К пункционной игле присоединялся аспирационный шприц, в который предварительно набиралось 5 мл физиологического раствора. Предпосылая иглу перпендикулярно грудной клетке и смещая ее вправо на 10 градусов, осуществлялся прокол капсулы печени на глубину приблизительно 1 см, при этом одновременно с проколом выполнялась аспирация поршнем шприца до защелки фиксатора.
Для отделения биоптата от основной ткани игла без извлечения из печени наклонялась под углом 20–30 градусов к оси прокола по направлению к голове (рис. 6), после этого игла возвращалась в прежнее положение и извлекалась из пункционного канала. Полученный биоптат выдавливался из иглы и помещался в пробирку с 10% формалином (рис. 7).
Рис. 6. Техника отклонения иглы Menghini
Рис. 7. Полученный биоптат печени
Края раны ушивались с использованием рассасывающегося шовного материала, после чего обрабатывались 5% спиртовым раствором йода. С целью профилактики кровотечений крысе однократно вводился 0,1 мл 12,5% этамзилата, после чего животное укладывалось животом на предварительно обернутый пеленкой пузырь со льдом на 20–30 минут. На завершающем этапе процедуры животное помещалось в чистую клетку. Обработка операционного шва 5% спиртовым раствором йода выполнялась один раз в сутки на протяжении 4 дней.
Крысам 2-й группы биопсия выполнялась также через межреберный доступ при этом исключался разрез кожи, так как в системе предусмотрен встроенный троакар в просвет коаксиальной иглы. В точке Р осуществлялся прокол под прямым вертикальным углом до ощущения провала в брюшную полость (рис. 8).
Рис. 8. Техника прокола коаксиальной иглой с троакаром
Далее осуществлялся прокол капсулы печени на глубину приблизительно 0,2 см. Заметим, что погружать иглу более 0,4 см нецелесообразно по причине того, что во время нажатия на спусковой механизм АС происходит выдвижение троакара из просвета коаксиальной иглы на 1 см, тем самым появляется риск прокола печени насквозь с последующим повреждением нижележащих органов. После чего необходимо взвести спусковой механизм АС и нажатием на рычаг вырезать биоптат печени. Полученный биоптат помещался в пробирку с формалином (рис. 9). Профилактика кровотечений выполнялась по ранее описанной методике.
Рис. 9. Полученный биоптат печени
Всем животным обеих групп было проведено по 4 ПБП. Повторные ПБП выполнялись у каждого из лабораторных животных с недельным интервалом между пункциями.
Для объективной оценки результатов использовалась гистологическая методика. Образцы биоптата помещались в раствор 10% нейтрального формалина, в котором фиксировались в течение 24 ч. После фиксации образцы подвергались дегидратации путем инкубации в изопропиловых спиртах, а затем имбибировались парафином по общепринятой методике. Из парафиновых блоков с помощью ротационного микротома изготавливались срезы ткани толщиной 4 мкм, которые окрашивались гематоксилином-эозином и пикрофуксином по Ван Гизону и заключались в покровные стекла. Изучение гистологических препаратов осуществлялось с помощью бинокулярного микроскопа в проходящем свете при суммарном увеличении Изучение гистологических препаратов осуществлялось с помощью бинокулярного микроскопа в проходящем свете при суммарном увеличении ×50, ×100, ×200, ×400. Полуколичественная оценка степени выраженности фиброза определялась по системе Metavir (F0 – отсутствие фиброза, F1 – звездчатое расширение портальных трактов без образования септ, F2 – расширение портальных трактов с редкими порто-портальными септами, F3 – множественные порто-центральные септы без цирроза, F4 – цирроз печени) [7].
Результаты и их обсуждение. В обеих группах летальные исходы не зарегистрированы. Эффективность получения биоптата выглядит следующим обра- зом. От крыс обеих групп было получено 240 образцов ткани печени (табл. 1).
При гистологическом исследовании 240 биоптатов в 100% случаев определялись портальные тракты (ПТ).
Таблица 1. Количество результативных и нерезультативных биопсий в зависимости от системы ПБП
Срок получения биоптата | Группа | ||
1-я | 2-я | ||
Первая неделя (60-е сутки) | биоптат получен | 30 | 30 |
биоптат не получен | 0 | 0 | |
Вторая неделя (68-е сутки) | биоптат получен | 30 | 30 |
биоптат не получен | 0 | 0 | |
Третья неделя (76-е сутки) | биоптат получен | 30 | 30 |
биоптат не получен | 0 | 0 | |
Четвертая неделя (84-е сутки) | биоптат получен | 30 | 30 |
биоптат не получен | 0 | 0 | |
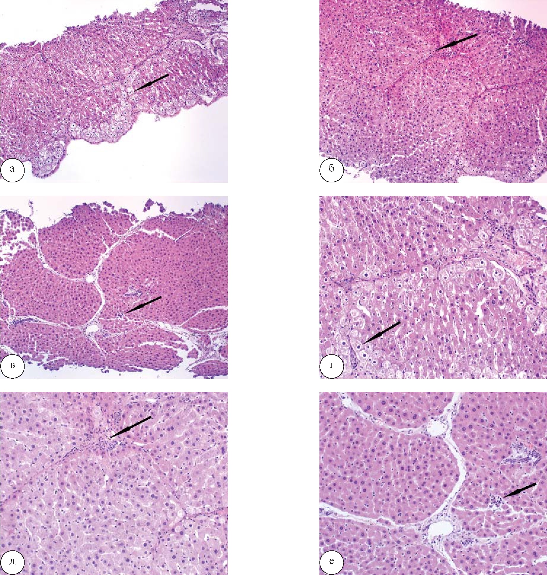
Количество ПТ, позволяющих определить стадию фиброза печени, в 1-й группе составляло 4–5, а во 2-й группе – 7–8. Средний размер биоптата в 1-й группе составил 0,5 см; во 2-й группе – 1 см (табл. 2). Нерепрезентативные биоптаты в группах отсутствовали. Репрезентативные гистологические срезы представлены на рисунке 10.
Рис. 10. Типовые патологические изменения в биоптатах печени у одного и того же животного после повторных ПБП: (а, б, в – ув. ×10; г, д, е – ув. ×20)
Отмечаем, что в экспериментальных исследованиях в области гепатологии важно получить биоптат печени, но также не менее важно минимизировать наносимую травму экспериментальным животным. Известно, что любое повреждение запускает ответные реакции в организме, которые в свою очередь влияют на количественные и качественные показатели, полученные в результате эксперимента. Учитывая это и опираясь на данные I.R. Corbin et al. [8], G. Drews et al. [10], указывающих, что на фоне развившегося посттравматического стресса отмечалась гибель животных, считаем, что наиболее оптимальным использовать АС (Disposable guillotine needle fop soft tissue biopsy with semiautomatic action 16G20 см, Италия), поскольку исключаются дополнительные разрезы кожи скальпелем, тем самым уменьшается травматическое повреждение. К достоинствам АС также относятся: во-первых, уменьшение времени на выполнение процедуры за счет сокращения этапов манипуляции; во-вторых, решается проблема, связанная с отделение биопсийного материала от органа; в-третьих, возрастает размер получаемого биоптата длиной 1 см с возможностью оценки 7–8 ПТ.
Количество ПТ в образцах биопсии имеет важное значение для гистологического анализа. Наши данные о необходимом объеме биоптата совпадают с результатами, полученными I.R. Corbin et al. [8] в том, что, учитывая диффузный характер изучаемых патологических изменений для объективной их оценки, достаточно наличия 2–4 ПТ в образце. Однако возможность оценки большего количества ПТ позволит исследователю наиболее достоверно оценить выраженность патологических изменений в печени.
Интервал между ПБП должен составлять семь дней, так как восстановление поврежденного участка печени после воздействия иглой Menghini требует этого времени. Исследования, в которых изучены процессы заживления повреждений печени после прокола органа иглой для биопсии, были проведены А.
Таблица 2. Размер полученных биоптатов печени у крыс обеих групп, см
Показатель | Группа | Срок получения биоптата | |||
Первая неделя (60-е сутки) | Вторая неделя (68-е сутки) | Третья неделя (76-е сутки) | Четвертая неделя (84-е сутки) | ||
Средний размер биоптата печени | 1 | 0,5 | 0,5 | 0,7 | 0,5 |
2 | 1 | 1 | 1 | 1 | |
Количество ПТ | 1 | 4-5 | 4-5 | 4-5 | 4-5 |
2 | 7-8 | 7-8 | 7-8 | 7-8 | |
Нерепрезентативные биоптаты | 1 | 0 | 0 | 0 | 0 |
2 | 0 | 0 | 0 | 0 | |
Haraszti et al. [12]. Авторы показали, что повреждения печени иглой Menghini в большей степени разрешились через неделю после процедуры. В этой связи важно отметить, что образцы ткани, полученные при многократной ПБП, позволяют оценивать динамику гистологических изменений. Процедура ПБП может быть использована для получения материала не только для гистологического, но и биохимического и молекулярно-генетического анализов.
Выводы
- Использование как аспирационной, так и автоматической систем для биопсии позволяет получить ткань печени в 100% случаев.
- Автоматическая система исключает дополнительную травматизацию экспериментальных животных, а также минимизирует усилия на отделение биопсийного материала от органа.
- Автоматическая система для биопсии печени позволяет оценить 7–8 ПТ при размере биоптата 1 см, это обеспечивает надежную гистологическую оценку патоморфологических изменений ткани печени для оценки стадии фиброза и активности воспалительного процесса в динамике.
About the authors
K. V. Zhdanov
S.M. Kirov Military Medical Academy
Author for correspondence.
Email: vmeda-nio@mil.ru
Russian Federation, St. Petersburg
A. V. Saulevich
S.M. Kirov Military Medical Academy
Email: vmeda-nio@mil.ru
Russian Federation, St. Petersburg
V. E. Karev
Children's Research and Clinical Center for Infectious Diseases
Email: vmeda-nio@mil.ru
Russian Federation, St. Petersburg
K. V. Kozlov
S.M. Kirov Military Medical Academy
Email: vmeda-nio@mil.ru
Russian Federation, St. Petersburg
Yu. F. Zakharkiv
S.M. Kirov Military Medical Academy
Email: vmeda-nio@mil.ru
Russian Federation, St. Petersburg
S. M. Zakharenko
S.M. Kirov Military Medical Academy
Email: vmeda-nio@mil.ru
Russian Federation, St. Petersburg
Yu. I. Lyashenko
S.M. Kirov Military Medical Academy
Email: vmeda-nio@mil.ru
Russian Federation, St. Petersburg
K. S. Ivanov
S.M. Kirov Military Medical Academy
Email: vmeda-nio@mil.ru
Russian Federation, St. Petersburg
V. S. Sukachev
S.M. Kirov Military Medical Academy
Email: vmeda-nio@mil.ru
Russian Federation, St. Petersburg
D. M. Shakhmanov
S.M. Kirov Military Medical Academy
Email: vmeda-nio@mil.ru
Russian Federation, St. Petersburg
D. V. Popov
S.M. Kirov Military Medical Academy
Email: vmeda-nio@mil.ru
Russian Federation, St. Petersburg
S. S. Kariakin
S.M. Kirov Military Medical Academy
Email: vmeda-nio@mil.ru
Russian Federation, St. Petersburg
A. V. Bedarev
S.M. Kirov Military Medical Academy
Email: vmeda-nio@mil.ru
Russian Federation, St. Petersburg
M. G. Chernenok
S.M. Kirov Military Medical Academy
Email: vmeda-nio@mil.ru
Russian Federation, St. Petersburg
I. I. Gemst
S.M. Kirov Military Medical Academy
Email: vmeda-nio@mil.ru
Russian Federation, St. Petersburg
M. M. Tashimov
1477th Naval Clinical Hospital
Email: vmeda-nio@mil.ru
Russian Federation, Vladivostok
References
- Зубарев, П.Н. Общая хирургия [Учебник для медицинских вузов] / П.Н. Зубарев [и др.]. – СПб.: СпецЛит, 2011. – 608 с.
- О ветеринарии: федер. закон от 14 мая 1993 г. № 4979-1: принят Верхов. Сов. Рос. Федерации 14 мая 1993 г. // Ведомости СНД и ВС РФ. – 1993. – № 24. – С. 857.
- Рекомендации комитетам по этике, проводящим экспертизу биомедицинских исследований / ВОЗ. – М., 2000. – 36 с.
- Саулевич, А.В. Способ перкутанной аспирационной пункционной биопсии печени у крыс / А.В. Саулевич [и др.] // Заявка на изобретение № 2018109016, Российская Федерация RU 13.03.2018.
- Скуратов, А.Г. Тетрахлорметановая модель гепатита и цирроза печени у крыс / А.Г. Скуратов // Экспериментальная и клиническая гастроэнтерология. – 2012. – №9. – С. 37–40.
- Bedossa, P. An algorithm for the grading of activity in chronic hepatitis C / P. Bedossa [et al.] // Hepatology. – 1996. – Vol. 24. – P. 289–293.
- Chiva, M. Effect of Lactobacillus johnsonii La1 and antioxidants on intestinal flora and bacterial translocation in rats with experimental cirrhosis / M. Chiva [et al.] // J. Hepatol. – 2002. – Vol. 37. – P. 456–462.
- Corbin, I.R. Serial percutaneous liver biopsies in laboratory rats / I.R. Corbin [et al.] // Dig Dis Sci. – 2003. – Vol. 48. – P. 1939–1943.
- D’Argenio, G. Symbiotic formulation in experimentally induced liver fibrosis in rats: intestinal microbiota as a key point to treat liver damage? / G. D’Argenio [et al.] // Liver Int. – 2013. – Vol. 33. – P. 687–697.
- Drews, G. Percutaneous liver core biopsy in rats: an alternativ e to minilaparotomy / G. Drews [et al.] // J. Exp Anim Sci. – 2000. – Vol. 41. – P. 115–120.
- Garofalo, J.M. Laparotomic Approachfor Collecting Serial Hepatic Biopsies in Rats (Rattus norvegicus) and Mice (Mus musculus) / J.M. Garofalo [et al.] // J. AM Assoc. Lab. Anim. Sci. – 2016. – Vol. 55. – P. 324–330.
- Haraszti, A. Healing of the needle-biopsy wound in the liver of the rat / A. Haraszti [et al.] // Acta Hepatogastroenterol (Stuttg). – 1973. – Vol. 20. – P. 290–294.
- Hussien, N.I. Protective effect of rimonabant, a cannabinoid receptor 1 antagonist, on nonalcoholic fatty liver disease in a rat model through modulation of the hepatic expression of activin A and follistatin / N.I. Hussien [et al.] // Can. J. Physiol Pharmacol. – 2017. – Vol. 95. – P. 1433–1441.
- Pérez-Paramo, M. Effect of propranolol on the factors promoting bacterial translocation in cirrhotic rats with ascites / M. Pérez- Paramo [et al.] // Hepatology. – 2000. – Vol. 31. – P. 43–48.
- Rowe, A. Assessment and histological analysis of the IPRL technique for sequential in situ liver biopsy / A. Rowe [et al.] // Comp Hepatol. – 2011. – Vol. 10. – P. 7–14.
- Sánchez, E. VSL# 3 probiotic treatment decreases acterial translocation in rats with carbontetrachloride-induced cirrhosis / E. Sánchez [et al.] // Liver Int. – 2015. – Vol. 35. – P. 735–745.
- Teltschik, Z. Intestinal bacterial translocation in rats with cirrhosis is related to compromised Paneth cell antimicrobial host defense / Z Teltschik [et al.] // Hepatology. – 2012. – Vol. 55. – P. 1154–1163.
Supplementary files












