Application of early necrectomy of a deep skin burn on rats with acute radiation syndrome of mild severity
- Authors: Kozyaev V.A.1, Chmyrev I.V.1, Seleznev A.B.2, Legeza V.I.1, Ivchenko E.V.2, Kondakov A.Y.2, Zubov N.N.1, Nosov A.M.1, Beldymenko E.L.1, Kuznetsova A.A.1
-
Affiliations:
- S.M. Kirov Military Medical Academy
- State Research and Testing Institute of Military Medicine
- Issue: Vol 21, No 2 (2019)
- Pages: 149-154
- Section: Experimental trials
- Submitted: 03.04.2020
- Published: 15.12.2019
- URL: https://journals.eco-vector.com/1682-7392/article/view/25935
- DOI: https://doi.org/10.17816/brmma25935
- ID: 25935
Cite item
Full Text
Abstract
The involvement of countries possessing nuclear weapons in local and regional armed conflicts poses a threat of use of nuclear weapon. In the case of this combined radiation injuries can make up to 70% of sanitary losses. The existing ideas about the methods of surgical treatment of combined radiation-thermal injures are contradictory and do not clearly provide procedure depending on the severity of injury or in non-classical forms of injury. The idea of the study was to estimate the effectiveness of performing an early necrectomy of a burn eschar after a two-factor injury, which includes modeling mild acute radiation syndrome in addition to a thermal burn on rats. A deep skin burn was simulated with hot water over an area of 10% of the body surface after total γ-irradiation at a dose of 3 Gy. Then after 3 h the burn eschar necrectomy was performed. It was established that the chosen method of surgical treatment of a deep burn significantly aggravates the severity of irradiated animals, which is manifested by the death of more than 50% of rats in the first 4 days after necrectomy. The operative trauma became the leading component of the combined injury formed and determined the severity of its course. Thus, the burn eschar necrectomy modifies a light two-factor radiation-thermal injury to a classic combined radiation injury. Despite the severe postoperative period, necrectomy significantly accelerates the healing of burn wounds in irradiated animals. This indicates the promise of finding methods for compensating abnormalities developing in the postoperative period in order to accelerate wound healing before the onset of radiation sickness and prevent infectious complications.
Full Text
Введение. В настоящее время наблюдается рост вовлеченности в текущие локальные военные конфликты стран «ядерного клуба», что повышает вероятность возможности применения ядерного оружия, в том числе и боеприпасов малой мощности. Возможные санитарные потери от применения ядерного оружия прогнозируются исходя из анализа последствий атомных бомбардировок японских городов Хиросима и Нагасаки в 1945 г., наземных ядерных испытаний и математического моделирования последствий применения ядерных боеприпасов в городах [10, 11]. Согласно прогнозам, на долю комбинированных радиационно-термических поражений (КРТП) будет приходиться до 60–70% от общего числа пострадавших. C уменьшением мощности ядерного заряда возрастает роль лучевых факторов ядерного взрыва в формировании санитарных потерь [9].
Врачи, впервые оказывающие помощь пораженным с КРТП, отмечали чрезвычайную тяжесть их течения по сравнению с изолированными ожогами [12]. Изучение проблемы комбинированных радиационных поражений обусловило доказательство феномена взаимного отягощения (ФВО) лучевых и нелучевых компонентов поражения, проявляющегося в их более тяжёлом течении и увеличении летальности по сравнению с изолированными травмами и лучевыми поражениями [7, 15]. Традиционные методы хирургического лечения ожогов оказались неэффективными при КРТП, что потребовало поиска новых подходов при их лечении. Было установлено, что при площади термического поражения до 5–6% поверхности тела (п. т.) некрэктомия ожогового струпа на 3–4 сутки после КРТП была эффективнее, чем консервативная тактика лечения, а при большей площади глубокого ожога подобная операция приводила к гибели 100% животных [2].
Современные достижения хирургии и реаниматологии позволяют выполнять некрэктомию у обожжённых в первые 24 ч после изолированного глубокого ожога кожи на площади более 30% п. т. [1]. Кроме того, исследования на животных показали, что при тяжелых КРТП выполнение некрэктомии на площади 15% п. т. через 24 ч после ожога с одновременным закрытием послеоперационных ран аллогенной кожей позволяет значительно повысить выживаемость и среднюю продолжительность жизни животных [9]. Заметим, что исследования эффективности разнообразных методов хирургического лечения КРТП проведены главным образом, на крысах с моделированием поражений средней или тяжелой степени [13, 16]. Оценка эффективности современных хирургических методов лечения термических поражений свыше 5–6% п. т., полученных на фоне лёгкой формы лучевого поражения, не исследовалась. Между тем большинство обожжённых военнослужащих армии Соединённых Штатов Америки (США), эвакуированных из зон локальных вооружённых конфликтов в период с 2003 по 2014 г., имели ожоги площадью от 3 до 20% п. т. [17]. С учетом потенциальной угрозы применения в локальных и региональных вооружённых конфликтах ядерных боеприпасов малой мощности существует вероятность появления поражённых с глубокими ожогами кожи на площади выше 5–6% п. т., полученными на фоне облучения в дозах 1–2 Гр, то есть неклассической картины КРТП легкой степени [3, 5].
Цель исследования. Оценить эффективность выполнения некрэктомии через 3 ч после глубокого ожога кожи у облученных крыс в дозе 3 Гр.
Материалы и методы. Исследования проведены на 60 белых беспородных крысах-самцах массой тела 245±24,9 г. Все животные прошли карантин в течение 14 суток от момента доставки из питомника, получали стандартный корм один раз в день, имели свободный доступ к воде. Эксперимент проведен в соответствии с нормативными актами, регламентирующими правила проведения научных исследований с использованием экспериментальных животных, и одобрен независимым этическим комитетом при Военно-медицинской академии им. С.М. Кирова (протокол № 183 от 20 декабря 2016 г.).
В зависимости от условий эксперимента всех животных после взвешивания в произвольном порядке разделили на 7 групп по 12 особей в каждой (табл.).
Таблица. Общая характеристика экспериментальных групп
Условное обозначение групы | Вид экспериментального воздействия | ||
облучение в дозе 3 Гр | ожог кожи, % п. т. | некрэктомия | |
ОЛБ | + | - | - |
Ожог | - | 10,8±1,8 | - |
Комбинация факторов | + | 10,8±1,8 | - |
Ожог + операция | - | 9,9±1,5 | + |
Комбинация факторов + операция | + | 11,8±1,3 | + |
Примечание: ОЛБ – острая лучевая болезнь; «+» – экспериментальное воздействие воспроизводилось, «–» – экспериментальное воздействие не воспроизводилось.
Общее кратковременное относительно равномерное γ-облучение проведено на установке «ИГУР-1» (источник излучения – 137Cs) при мощности дозы 1,17 Гр/мин. Облучение проводили следующим образом: не более 6 животных одновременно в специальном пенале (по одной особи в каждой ячейке) помещали в рабочую камеру установки, неравномерность γ-поля в которой не превышала 5%. После облучения всем крысам независимо от принадлежности к группе выполняли общую анестезию внутримышечным введением раствора золетила 50 фирмы «Virbac Sante Animale» (Франция) в дозе 20 мг/кг, затем шерсть на спине коротко сбривали. Для моделирования ожога кожи животных укладывали спиной в силиконовую форму с окном заданного размера и погружали в воду температурой 90°С на 15 с. Площадь ожога определяли в процентах относительно общей площади п. т., рассчитанной по формуле Lee [11]:
где S – общая площадь п. т. крысы в см2, K – коэффициент, равный 12,54 см2/г, W – вес животного, г.
Глубина ожога контролировалась гистологическими исследованиями образцов кожи, взятых на 8 сутки после воздействия.
Через 3 ч всем животным независимо от принадлежности к группе повторно проводили общую анестезию тем же способом и в той же дозировке, как и перед нанесением ожога. В группах «Ожог + операция» и «Комбинация факторов + операция» осуществляли некрэктомию ожогового струпа: при помощи скальпеля по границе ожоговой раны выполняли вертикальный окаймляющий разрез до внутрикожного мышечного слоя (panniculus carnosus), резецировали участок кожи путём острой препаровки и отслоения дермы от внутрикожного слоя мышц [8]. Послеоперационные раны закрывали асептическими марлевыми повязками с гелем «Пронтосан»® фирмы «Браун Мельзунген» ( Германия). Животным группы «Ожог» местное лечение не проводили, ожоги кожи повязками не закрывали и вели открытыми.
Сразу после операции однократно подкожно вводили раствор Рингера лактата 0,01 мл/кг, что составляло 17% от среднего объёма циркулирующей крови у крыс [14] и соответствовало объёму инфузионной терапии, проводимой при острой кровопотере лёгкой степени [1]. Введение раствора Рингера лактата проводилось всем животным независимо от групповой принадлежности в одни и те же сроки. В дальнейшем все крысы содержались в одном помещении по одной особи в клетке. Перевязки осуществлялись 1 раз в 3–4 суток под общей анестезией, проводимой по указанной методике.
Эффективность некрэктомии оценивали по течению раневого процесса, скорости заживления ожоговых ран, динамике изменения массы тела (МТ), средней продолжительности жизни павших животных (СПЖ) и выживаемости в течение 30 суток. Взвешивание проводили 1 раз в 7 суток. Площадь ожога измеряли в день моделирования и на 30 сутки эксперимента. Расчёт скорости заживления ожоговой раны проводили по формуле Л.Н. Поповой [6]:
,
где ∆S – скорость заживления раны, %/сутки; S1 – площадь раны при первом измерении, см2; S2 – площадь раны при втором измерении, см2; t – время между двумя измерениями, сутки.
Подчиненность значений исследуемых показателей нормальному закону распределения устанавливали с помощью критерия Шапиро - Уилка при а=0,05; равенство дисперсий проверяли по F-критерию Фишера при а=0,05. Оценку значимости различий показателей между группами осуществляли по t-критерию Стьюдента посредством двухвыборочного t-теста для несвязанных выборок при а=0,05. Для оценки степени влияния факторов «облучение» и «некрэктомия» на динамику массы тела и скорость заживления ран применялся двухфакторный дисперсионный анализ при а=0,05. Проверку значимости различий показателя летальности между группами осуществляли по t-критерию Стьюдента методом ф-преобразования Фишера при p<0,1, а=0,05 [4]. Статистический анализ результатов проводился при помощи пакета прикладных программ MS Excel 2013 (Microsoft Corp., США) и Statistics 10 (StatSoft.Inc, США). Средние значения показателей представлены в виде математического ожидания (M), 95% доверительного интервала (ДИ) математического ожидания (95% ДИ), медианы (Me), границы верхнего и нижнего квартилей (H25; H75).
Результаты и их обсуждение. Выбранная доза облучения – 3 Гр – соответствовала развитию у крыс острого лучевого синдрома лёгкой степени [3], что подтверждалось отсутствием гибели животных в группе «ОЛБ» (рис. 1), а также положительной динамикой массы тела (рис. 2).
Рис. 1. Выживаемость животных в экспериментальных группах
Рис. 2. Динамика массы тела животных в экспериментальных группах (с указанием 95% ДИ)
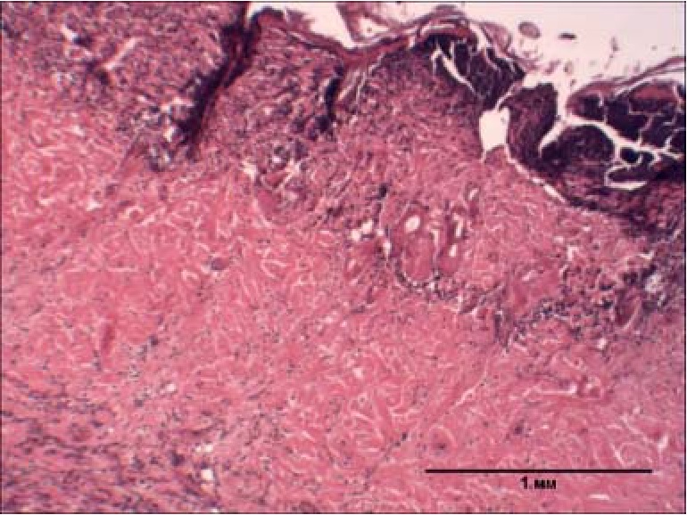
В течение первых 3 суток после термической травмы поведение животных группы «Ожог» характеризовалось незначительным снижением двигательной активности, случаев отказа от приёма пищи и воды не отмечали. Ожоговая рана через 7 суток представляла собой зону сухого некроза кожи. К 30 суткам происходило отторжение ожогового струпа с краёв и поверхности раны, местами он был плотно спаян с подлежащей грануляционной тканью. Отделяемое из ран имело гнойный характер и неприятный запах. Гибели крыс в группе «Ожог» к концу периода наблюдения также не отмечали. Динамика массы тела была схожа с таковой у крыс группы «ОЛБ», и только на 28 сутки отмечали значимое снижение скорости прироста массы (p<0,05). Течение раневого процесса и гистологическая картина в области термического поражения через 8 суток соответствовали ожогу кожи IIIб степени у человека (рис. 3).
Рис. 3. Гистологическая картина кожи крысы через 8 суток после воздействия на неё воды температурой 90°С в течение 15 с (гематоксилин-эозин, ув. ×40)
На рисунке 3 видно, что эпидермис уплотнен с тенденцией к гомогенизации, клеточные слои не дифференцируются, ядра бледные, плохо контурированы, часть из них лизированы, роговые чешуйки на поверхности эпидермиса отсутствуют, на поверхности имеется отслаивающийся пласт гнойно-некротических масс (струп), подлежащая дерма под струпом с некрозом и густыми полиморфноядерными лейкоцитарными инфильтрациями, по периферии с формированием отграничивающего широкого лейкоцитарного вала. Отсутствие гибели животных в течение 30 суток на фоне глубокого ожога кожи на площади 10,8 ± 1,8% п. т. соответствовало термическому поражению легкой степени тяжести у крыс [3].
В группе «Комбинация факторов» в течение 30 суток гибели животных не зарегистрировано, изменения в двигательной и пищевой возбудимости были аналогичны изменениям, наблюдаемым в группе «Ожог». Крысы данной группы во все временные интервалы наблюдений имели меньший прирост МТ, чем животные группы «ОЛБ» (p<0,05). При сравнении динамики МТ крыс в группах «Комбинация факторов» и «Ожог» установлено, что у животных с двухфакторным поражением отмечалось значимое замедление скорости набора МТ в период от момента травмы до 7 суток (p<0,05) и с 14 по 21 сутки (p<0,01) (см. рис. 2). Скорость заживления ожоговых ран под струпом у животных группы «Комбинация факторов» значимо не отличалась от показателей в группе с изолированным ожогом (рис. 4). Внешние проявления раневого процесса существенно не отличались от таковых при изолированном термическом поражении. Учитывая полученные данные (отсутствие гибели животных), можно заключить, что в данной группе животных не было смоделировано «классическое» КРТП легкой степени [3], хотя и наблюдались признаки развития феномена взаимного отягощения (ФВО) компонентов поражения.
Рис. 4. Средняя скорость заживления ран у животных в экспериментальных группах (средние значения, стандартная ошибка средних и 95% ДИ)
В течение первых четырёх суток после операции поведение крыс группы «Ожог + операция» характеризовалось снижением двигательной активности и пищевой возбудимости. Начиная с 5 суток активность животных вернулась к обычному уровню. На протяжении всего периода наблюдения крысы группы «Ожог + операция» имели меньший прирост МТ, чем животные группы «Ожог» (p<0,01) (рис. 2). На 2 сутки после операции погибло одно животное, в дальнейшем случаев гибели не фиксировали. На 7 сутки ожоговые раны были покрыты тонким сухим струпом из верхних слоёв panniculus carnosus. К 30 суткам раны были выполнены грануляционной тканью, признаков развития раневой инфекции не отмечено. Операция значимо увеличивала скорость заживления ран, по сравнению с животными, которым некрэктомию не выполняли (p<0,05).
В группе «Комбинация факторов + операция» поведение животных в течение первых четырёх суток характеризовалось снижением двигательной активности, практически полным отказом от приёма воды и пищи. Моча имела красный оттенок. Гибель насту- пала чаще, чем у животных группы «Ожог + операция» (p<0,1), и отмечали ее в течение первых 4 суток после поражения. Средняя продолжительность жизни погибших животных составила 2 суток (Me: 2; H25: 1; H75: 3; n=7). На протяжении всего периода наблюдения крысы группы «Комбинация факторов + операция» имели меньший прирост МТ, чем животные группы «Комбинация факторов» (p<0,01) (см. рис. 2). Раннее оперативное лечение ожога значимо ускоряло процесс эпителизации ран у облучённых животных, не по- лучивших оперативное лечение (p<0,05) (см. рис. 4).
В результате проведения дисперсионного анализа установлено, что на протяжении всего периода наблюдения проведение некрэктомии ожогового струпа оказывало наибольшее влияние на динамику МТ обожжённых животных (p<0,01), объясняя от 66% (7 сутки) до 46% (28 сутки) дисперсии этого показателя в эксперименте. Операция значимо влияла на скорость заживления ожоговых ран (p<0,05), однако объясняла лишь 15% дисперсии данных. Облучение оказывало значимое влияние на МТ крыс с ожогом только на 7 сутки (p<0,05), объясняя 5% её дисперсии, и не оказывало действия на скорость эпителизации ран. Взаимное воздействие этих двух факторов не сказывалось на динамике МТ и скорости заживления ран, объясняя менее 1% их дисперсий.
Таким образом, выполненная через 3 ч после ожога операция выступила в роли третьего компонента поражения, усугубив его и преобразовав в классическое комбинированное поражение, сопровождающееся гибелью животных в результате развития ФВО. Вероятно, послеоперационные гемодинамические нарушения, которые успешно компенсировались у необлучённых животных, стали фатальными у облучённых крыс. Данное предположение подтверждается данными о снижении выживаемости животных после местного иссечения кожи на фоне общего облучения, что объясняется активной потерей жидкости через раневую поверхность [19]. Развитие гиповолемического шока в результате ожога и операционной травмы могло стать основной причиной смерти животных в группе «Комбинация факторов + операция». Об этом свидетельствует и наблюдаемое время гибели крыс, которые погибали в первые 4 суток после некрэктомии, и отсутствие случаев гибели животных в последующем. По-видимому, объём проведённой инфузионной терапии был недостаточным для компенсации потери жидкости через рану. Применение асептической марлевой повязки с гелем «Пронтосан»® для закрытия ожоговой раны после некрэктомии также могло способствовать дополнительной потере жидкости и усугублению гиповолемии. Из различий в показателях смертности крыс между группами «Ожог + операция» и «Комбинация факторов + операция» следует, что лучевое воздействие даже в сублетальных дозах приводит к существенному отягощению течения шока. В основе этого явления может лежать хорошо известный в радиобиологии феномен «консервации радиационного поражения». При этом последствия γ-облучения высокодифференцированных мало обновляющихся клеток органов и систем проявляются только в момент их высокого функционального напряжения. Так, при КРТП описаны значительно более тяжёлые расстройства функций органов системы кровообращения, чем при изолированном ожоге и лучевом воздействии [9].
Другое проявление ФВО заключалось в отставании динамики МТ животных с двухфакторным поражением от аналогичных показателей в группе «Ожог». Эти периоды по времени близки к фазам максимальной выраженности гранулоцитопении в периферической крови при облучении крыс в сублетальных и летальных дозах – так называемое первое и второе опустошение, что может говорить об отягощающем влиянии ионизирующего излучения на течение ожоговой болезни. Результаты дисперсионного анализа свидетельствуют о том, что некрэктомия ожогового струпа сама по себе приводила к существенному замедлению набора МТ у животных. Это можно интерпретировать как развитие гиперметаболического синдрома [18]. Схожая динамика отмечалась и другими исследователями, которые обнаружили прямую зависимость между размерами ран кожи и потерей массы тела животными, облучёнными в дозе 5–6 Гр [19]. При этом у людей некрэктомия ожогового струпа при КРТП лёгкой степени может не вызвать таких тяжёлых метаболических расстройств, как у крыс [7].
Заключение. Подтверждена необходимость первоочерёдного проведения мероприятий по борьбе с шоком в первые 3–4 суток после некрэктомии ожогового струпа при КРТП. Даже при лёгкой степени лучевого поражения следует ожидать более тяжёлых расстройств кровообращения, чем при оперативном лечении аналогичной травмы без облучения. Тем не менее некрэктомия значимо ускоряет процесс заживления ожоговых ран у животных с двухфакторным поражением (неклассическим вариантом КРТП легкой степени). Несмотря на то, что в эксперименте ионизирующее излучение не влияло на скорость заживления ожоговых ран, при увеличении поглощённой дозы γ-облучения следует ожидать его замедления [13, 19]. Таким образом, все мероприятия, ускоряющие этот процесс, приобретают особую актуальность для предотвращения развития жизнеугрожающих последствий глубокого ожога кожи на фоне лучевой болезни, связанных с развитием синдрома инфекционных осложнений и геморрагического синдрома в последующие периоды течения КРТП [5].
Дальнейшие исследования по данной проблеме должны быть направлены на определение адекватных способов и объёмов противошоковой терапии для поражённых с КРТП, в том числе и на предотвращение потери жидкости с поверхности ран после некрэктомии ожогового струпа путём их закрытия аллогенными или ксеногенными кожными трансплантатами.
About the authors
V. A. Kozyaev
S.M. Kirov Military Medical Academy
Author for correspondence.
Email: vmeda-nio@mil.ru
Russian Federation, St. Petersburg
I. V. Chmyrev
S.M. Kirov Military Medical Academy
Email: vmeda-nio@mil.ru
Russian Federation, St. Petersburg
A. B. Seleznev
State Research and Testing Institute of Military Medicine
Email: vmeda-nio@mil.ru
Russian Federation, St. Petersburg
V. I. Legeza
S.M. Kirov Military Medical Academy
Email: vmeda-nio@mil.ru
Russian Federation, St. Petersburg
E. V. Ivchenko
State Research and Testing Institute of Military Medicine
Email: vmeda-nio@mil.ru
Russian Federation, St. Petersburg
A. Yu. Kondakov
State Research and Testing Institute of Military Medicine
Email: vmeda-nio@mil.ru
Russian Federation, St. Petersburg
N. N. Zubov
S.M. Kirov Military Medical Academy
Email: vmeda-nio@mil.ru
Russian Federation, St. Petersburg
A. M. Nosov
S.M. Kirov Military Medical Academy
Email: vmeda-nio@mil.ru
Russian Federation, St. Petersburg
E. L. Beldymenko
S.M. Kirov Military Medical Academy
Email: vmeda-nio@mil.ru
Russian Federation, St. Petersburg
A. A. Kuznetsova
S.M. Kirov Military Medical Academy
Email: vmeda-nio@mil.ru
Russian Federation, St. Petersburg
References
- Алексеев, А.А. Ожоги термические и химические. Ожоги солнечные. Ожоги дыхательных путей: клинические рекомендации / А.А. Алексеев [и др.]. – М., 2017. – 118 с.
- Бурмистров, В.М. Оперативное лечение радиационно-ожоговых поражений: экспериментальное и клиническое исследование: дис. … д-ра мед. наук / В.М. Бурмистров. – Л.: ВМА, 1969. – 536 с.
- Быков, Г.А. Моделирование комбинированных радиационно-ожоговых поражений: методические рекомендации / Г.А. Быков [и др.]. – Обнинск, 1980. – 20 с.
- Зубов, Н.Н. Математические методы и модели в фармацевтической науке и практике: руководство для провизоров и руководителей фармацевтических предприятий (организаций) / Н.Н. Зубов, С.З. Умаров, С.А. Бунин. – СПб.: Изд-во Политехн. ун-та, 2008. – 249 с.
- Легеза, В.И. Комбинированные радиационные поражения и их компоненты / В.И. Легеза, А.Н. Гребенюк, В.В. Бояринцев. – СПб.: Фолиант, 2015. – 214 c.
- Попова, Л.Н. Как изменяются границы образующегося эпидермиса при заживлении ран: автореф. … дис. канд. мед. наук / Л.Н. Попова. – Воронеж, 1942. – 14 с.
- Alpen, E.L. The combined effects of thermal burns and whole body x–irradiation on survival time and mortality / E.L. Alpen, G.E. Sheline // Annals of surgery. – 1954. – Vol. 140, № 1. – P. 113–118.
- Chang, K. The optimal time for early burn wound excision to reduce pro–inflamatory cytokine production in a murine burn injury model / K. Chang [et al.] // Burns. – 2010. – Vol. 36. – P. 1059–1066.
- Cheng, T. Combined Radiation–Burn Injury / T. Cheng // Chinese Burn Surgery. –New York, London: Springer, 2015. – P. 313–351.
- Ervin, F.R. Human and ecologic effects in Massachusetts of an assumed thermonuclear attack on the United States / F.R. Ervin [et al.] // New England journal of medicine. – 1962. – Vol. 266, № 22. – P. 1127–1137.
- Lee, M.O. Determination of the surface area of the white rat with its application to the expression of metabolic results / M.O. Lee // American Journal of Physiology. – 1929. – Vol. 89, № 1. – P. 24–33.
- Liebow, A.A. Pathology of atomic bomb casualties / A.A. Liebow, S. Warren, E. DeCoursey // The American journal of pathology. – 1949. – Vol. 25, № 5. – P. 853–870.
- Liu, C. Ghrelin accelerates wound healing through GHS–R1a-mediated MAPK–NF–κB/GR signaling pathways in combined radiation and burn injury in rats / C. Liu [et al.] // Scientific reports. – 2016. – Vol. 6. – P. 1–11.
- Morton, D.B. Removal of blood from laboratory mammals and birds. First report of the BVA/FRAME/RSPCA/UFAW Joint Working Group on Refinement / D.B. Morton [et al.] // LabAnimal. – 1993. – Vol. 27, № 1. – P. 1–22.
- Palmer, J.L. Combined radiation and burn injury results in exaggerated early pulmonary inflammation / J.L. Palmer [et al.] // Radiation research. – 2013. – Vol. 180, № 3. – P. 276–283.
- Ran, Х. Experimental research on the management of combined radiation–burn injury in China / Х. Ran [et al.] // Radiation research. – 2011. – Vol. 175, № 3. – P. 382–389.
- Rizzo, J.A. Comparison of military and civilian burn patients admitted to a single center during 12 years of war / J.A. Rizzo [et al.] // Burns. – 2019. – Vol. 45, № 1. – P. 199–204.
- Williams, F.N. The hypermetabolic response to burn injury and interventions to modify this response / F.N. Williams, D.N. Herndon, M.G. Jeschke // Clinics in Plastic Surgery. – 2009. – Vol. 36, № 4. – P. 583–596.
- Zawaski, J.A. Radiation Combined Injury Models to Study the Effects of Interventions and Wound Biomechanics / J.A. Zawaski [et al.] // Radiation research. – 2014. – Vol. 182, № 6. – P. 640–652.
Supplementary files







