Реактивные изменения спинного мозга крыс при экспериментальной невропатии на фоне и без магнитной стимуляции
- Авторы: Живолупов С.А.1, Рашидов Н.А.1, Онищенко Л.С.1, Кравчук А.Ю.1, Костина О.В.1, Яковлев Е.В.1, Труфанов А.Г.1
-
Учреждения:
- Военно-медицинская академия им. С.М. Кирова
- Выпуск: Том 21, № 2 (2019)
- Страницы: 166-172
- Раздел: Экспериментальные исследования
- Статья получена: 03.04.2020
- Статья опубликована: 15.12.2019
- URL: https://journals.eco-vector.com/1682-7392/article/view/25938
- DOI: https://doi.org/10.17816/brmma25938
- ID: 25938
Цитировать
Полный текст
Аннотация
Выполнен эксперимент, в ходе которого электронно-микроскопически изучен характер реактивных изменений структур поясничного отдела спинного мозга, а также динамика их восстановления при лечении транскраниальной магнитной стимуляцией в течение 1 месяца крыс после экспериментального невротмезиса и крыс после компрессионно-ишемической невропатии седалищного нерва. Установлено отчетливое развитие компенсаторно-восстановительных процессов в нейронах, глиальных клетках и микроциркуляторном русле поясничного отдела спинного мозга у крыс, которые получали лечение транскраниальной магнитной стимуляцией. Так, показано, что во всех группах крыс развивались изменения структур поясничного утолщения спинного мозга в виде обеднения цитоплазмы, разрушения органелл, изменения ядер и развития апоптоза нейронов и глиальных клеток, разрушения оболочек и осевых цилиндров миелиновых волокон. При этом указанные изменения более выражены в группах крыс после экспериментального невротмезиса. Однако в группах крыс как после компрессионно-ишемической невропатии, так и после экспериментального невротмезиса по результатам лечения транскраниальной магнитной стимуляцией имелись признаки развития восстановительных процессов в виде внутриклеточной репарации нейронов, пролиферации олигодендроцитов, восстановления структуры миелиновых волокон и капилляров, отсутствия свободных эритроцитов в межклеточном пространстве. Полученные морфологические данные подтверждают эффективность лечения транскраниальной магнитной стимуляцией травм периферической нервной системы в отношении нейронов, нейроглиоцитов, миелиновых и безмиелиновых волокон спинного мозга.
Полный текст
Введение. Значимость травматической невропатии определяется как частотой встречаемости (1,5–3% от числа травм в мирное время), так и трудностью лечения и реабилитации больных. Трудности диагностики и лечения больных данного профиля объясняются, в частности, широким участием центральной нервной системы (ЦНС) в реакции на травму нерва.
В последние годы эффективность транскраниальной магнитной стимуляции (ТКМС) оценивалась при многих заболеваниях нейрогенной и иной природы, в частности при миофасциальном болевом синдроме и хронических неврогенных пароксизмальных прозопалгиях [5, 10], в том числе было доказано, что положительное воздействие ТКМС обусловлено возбуждающим и активизирующим действием магнитного поля на развитие компенсаторно-восстановительных процессов за счет стимуляции мембранных процессов [9].
Ранее нами [2, 4] была показана эффективность ТКМС для лечения седалищного нерва (СН) и иннервируемой им мышцы крыс при компрессионно-ишемической невропатии (КИН). На основании того, что морфология нерва, мышцы и особенно нервно-мышечных синапсов после лечения отличалась от таковой у крыс контрольной группы, возможно сделать вывод об эффективности ТКМС в восстановлении функциональной активности нерва.
Цель исследования. Изучить влияние ТКМС на развитие компенсаторно-восстановительных процессов в поясничном отделе спинного мозга (СМ) крыс при КИН седалищного нерва и его экспериментальном невротмезисе (ЭН) с последующим наложением неврального шва.
Материалы и методы. В эксперименте было задействовано 32 крысы. Все животные были разделены на 4 группы по 8 крыс в каждой: 1-я группа – животные, которым не проводилось лечение после КИН, 2-я группа – животные, которым не проводилось лечение после ЭН (контрольные группы – КГ), животные 3-й и 4-й групп подвергались лечению с помощью ТКМС: 3-я группа после нанесения КИН, 4-я группа – после ЭН. КИН создавалась по методике Н.А. Рашидова [8], а ЭН – хирургическим путём в несколько этапов. Вначале производился разрез по проекционной линии левого СН крысы и его ограничение от остальных тканей, затем СН пересекался поперек на уровне верхней трети, создавался диастаз и накладывался эпиневральный шов в месте пересечения. В конце операции рана ушивалась, и животные помещались в клетку. Крысам из 3-й и 4-й групп проводили ритмическую ТКМС интенсивностью 0,8–1 Тесла, частотой 3 Гц и продолжительностью 3–5 мин ежедневно в течение 1 месяца.
Для исследования нейроморфологических особенностей естественной и модулированной нейропластичности седалищного нерва при КИН и ЭН у крыс всех групп проводили электронно-микроскопическое изучение (ЭМИ) поясничного утолщения СМ через 1 месяц от начала эксперимента. Материал для ЭМИ подготавливали по стандартным методикам [7]. Эксперимент проводился в соответствии с правилами проведения научно-исследовательских работ с использованием экспериментальных животных.
Результаты и их обсуждение. Установлено, что у крыс, получавших в течение месяца ТКМС, общее состояние было вполне удовлетворительным по всем оцениваемым показателям (аппетит, подвижность). В то же время у большинства животных КГ уже через 1–2 дня после операции наблюдалось отчетливое ухудшение общего состояния; трофические расстройства в пораженной конечности после ЭН достигали максимума, а в поздние сроки (через 2 недели после травмы) были более грубыми.
При ЭМИ поясничного отдела СМ через 1 месяц (рис. 1) после КИН у крыс КГ нейроны часто были гиперхромными, перегруженными крупными плотными осмиофильными тельцами (лизосомами), липидами, а митохондрии встречались редко (рис. 1а). В ядрах хроматин образовывал неравномерные гетерохроматиновые скопления, а ядрышки были умеренно крупными и плотными. Часть нейронов была дистрофически изменена по светлому типу, и в их цитоплазме находилось небольшое количество сильно измененных органелл. Так, канальцы эндоплазматической сети (ЭПС) были либо расширены, либо разрушены.
Рис. 1. Нейроны поясничного утолщения СМ у крыс после КИН СН: а – КГ: А – нейрон с дистрофией цитоплазмы по светлому типу; Б – гиперхромный нейрон; Я – ядро, ув. ×3000; б – животные после лечения: гиперхромный нейрон с ядром почти типичного строения и плотным неактивным ядрышком (Ядр), в цитоплазме – скопление рибосом и полисом, ув. ×6300; в – участок нейрона с признаками внутриклеточной репарации; Я – ядро нейрона, ув. ×8000
Через 1 месяц после лечения у животных после КИН встречались гиперхромные и нормохромные нейроны в равной степени (рис. 1б), а также единичные нейроны в состоянии внутриклеточной репарации со светлым ядром, крупным ядрышком и большим количеством рибосом и полисом в цитоплазме (рис. 1в).
В глиальных клетках СМ у животных КГ после КИН через 1 месяц отмечались значительные изменения в строении ядра и цитоплазмы (рис. 2). У одних астроцитов кариоплазма была так уплотнена, что по своей структуре напоминала кариоплазму олигодендроцитов (ОДЦ), а в других астроцитах она была почти прозрачной. В миелинобразующих ОДЦ ядра были резко и неравномерно осмиофильны, а цитоплазма почти не содержала органелл (рис. 2а). В ряде ОДЦ кариоплазма была просветлена, но хроматин образовывал очень грубые скопления вдоль кариолеммы. В цитоплазме некоторых ОДЦ встречались скопления полисом и измененные органеллы: митохондрии с деформированными кристами и набухшие канальцы ЭПС почти агранулярного вида; кроме того, единичные ОДЦ находились в состоянии некроза (рис. 2б).
Через 1 месяц лечения животных после КИН в СМ одни ОДЦ были нормохромными и имели почти типичную структуру ядра и цитоплазмы (рис. 2в), другие были гиперхромными, отдельные ОДЦ находились в состоянии апоптоза. Среди ОДЦ встречались разделившиеся клетки в телофазе митоза с ядрами неравных размеров и повышенной плотностью кариоплазмы, а также высоким ядерно-цитоплазматическим соотношением, что свидетельствовало об их незрелости. Разделившиеся ОДЦ имели небольшой общий ободок цитоплазмы с многочисленными рибосомами, единичными митохондриями с плотной структурой и лизосомами (рис. 2г).
Рис. 2. ОДЦ поясничного утолщения СМ у крыс КГ: а, б – после КИН СН без лечения; в, г – после лечения с помощью ТКМС: а – ОДЦ со значительным изменением хроматина в ядре (Я) и умеренными изменениями цитоплазмы. Рядом с ним А – миелиновое волокно (МВ) с почти сохранным осевым цилиндром и слабо измененным миелином и Б – МВ с выраженной аксонопатией, ув. ×7000; б – некротизированный ОДЦ и МВ с различной степенью миелино- и аксонопатии (1), ув. ×7000; в – ОДЦ с умеренно гиперхромным ядром (Я) и почти не измененной цитоплазмой, ув. ×8000; г – ОДЦ в телофазе митоза – веретено деления (1), ув. ×8000
МВ у крыс КГ после КИН через 1 месяц были полиморфными. В резко измененных МВ отмечалось набухание миелиновых ламелл с потерей их четкости и расслоением как по всей толще миелина, так и периаксонально; встречались истончения и разрывы ламелл. Осевые цилиндры (ОЦ) нервных волокон были прозрачны либо умеренно осмиофильны вследствие их сжатия. «Толстые» МВ имели выраженные признаки аксонопатии, а иногда их ОЦ состояли из двух частей: очень плотной и почти прозрачной с измененными ми- тохондриями, окруженными обрывками миелина. ОЦ безмиелиновых волокон (БМВ) почти всегда были обеднены органеллами частично или полностью (рис. 3а).
Через 1 месяц лечения с помощью ТКМС миелинопатия в МВ была умеренной и проявлялась лишь набуханием и расслоением ламелл. ОЦ имели обычную плотность и содержали несколько повышенное количество митохондрий с плотными кристами. В большинстве БМВ (как и в МВ) ОЦ также были почти полностью сохранными, а вокруг МВ эндоневрий имел обычный вид (рис. 3б).
Рис. 3. Участок СМ крыс после КИН в области поясничного утолщения: а – МВ крыс КГ. Наблюдаются умеренные изменения ОЦ и выраженная миелинопатия (А), ув. ×20000; б – МВ крыс после лечения с помощью ТКМС. Наблюдаются умеренная миелинопатия в виде набухания миелина (1) и почти сохранный ОЦ, содержащий плотные митохондрии, ув. ×16000.
В сосудах микроциркуляторного русла СМ крыс КГ после КИН через 1 месяц цитоплазма эндотелиоцитов нередко содержала вакуолизированные митохондрии без крист и расширенные канальцы ЭПС. Ядра эндотелиоцитов имели типичное строение. Изредка просвет капилляров был заполнен эритроцитами в виде плотных цепочек (капилляростаз). При этом базальная пластинка имела размытое строение, но была сохранной. В прилегающих к сосудам астроцитах ядра по структуре хроматина напоминали ядра ОДЦ, цитоплазма была обеднена органеллами и содержала лишь слегка измененные канальцы ЭПС (рис. 4а).
У животных после КИН через 1 месяц лечения с помощью ТКМС просвет капилляров был свободным, структура эндотелиоцитов – типичной. Ядра имели несколько повышенную плотность кариоплазмы, а их цитоплазма, как и у перицитов, содержала рибосомы, полисомы, единичные фагосомы и митохондрии с плохо различимыми матриксом и кристами. Вблизи капилляров встречались МВ с признаками умеренной миелино- и аксонопатии, имевшие слегка набухшие миелиновые оболочки без четкой структуры миелиновых ламелл и почти не измененные ОЦ (рис. 4б).
Рис. 4. Капилляры поясничного утолщения СМ крыс после КИН: а – капилляры крыс КГ после КИН: вакуолизированные митохондрии (1); капилляростаз (2), ув. ×3150; б – капилляр крысы после КИН и последующего лечения с помощью ТКМС: нормальный эндотелиоцит (1), миелиновые волокна (2), ув. ×4000
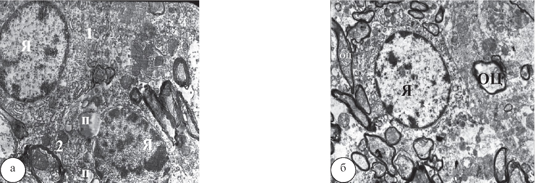
Через месяц после ЭН у животных КГ около половины крупных нейронов СМ имели признаки повреждения. В крупных и в более мелких нейронах канальцев гранулярной ЭПС их было немного, при этом комплекс Гольджи определялся не всегда. Обращало на себя внимание повышенное содержание плотных митохондрий в крупных нейронах. В мелких нейронах одни митохондрии были вакуолизированы, а у других не было четкой структуры. В цитоплазме гиперхромных нейронов встречались крупные вакуоли, заполненные прозрачными митохондриями без крист и везикулами неясного генеза. В целом митохондрий в этих нейронах было меньше, чем в нормохромных. Цистерны комплекса Гольджи были единичны, гранулярная ЭПС была развита слабо, ее канальцы были уплощены (рис. 5а).
Через 1 месяц у животных после ЭН и последующего лечения в СМ наблюдались отчетливые признаки восстановления: часто встречались нормохромные нейроны, кариоплазма большинства ядер которых была светлой, а кариолемма – складчатой. Вблизи ядер находились скопления рибосом, а цитоплазма содержала большое количество органелл. Признаком восстановления функциональной активности нейронов были также хорошо развитый комплекс Гольджи и нормальная структура большинства митохондрий, хотя в них не всегда были хорошо различимы матрикс и кристы. В ряде нейронов изредка находились лизосомы в виде плотных осмиофильных телец (рис. 5б). В единичных нейронах были обнаружены признаки внутриклеточной репарации в виде повышения количества рибосом и полисом и образования новых канальцев гранулярной ЭПС вблизи ядра (рис. 5в).
Рис. 5. Спинной мозг в области поясничного утолщения у крыс КГ после ЭН (а) и у крыс после лечения ТКМС (б, в): а – участок гиперхромного нейрона с почти неразличимыми органеллами; ув. ×4000; б – светлый нейрон с ядром (Я), имеющим извилистые границы и умеренно измененную структуру хроматина, в цитоплазме (Цп) видны разнообразные органеллы, осмиофильные лизосомы (Л), ув. ×7000; в – участок цитоплазмы нормохромного нейрона с признаками внутриклеточной репарации (1). В контакте с нейроном наблюдается трофический ОДЦ с обычной структурой ядра и цитоплазмы (2), ув. ×4000
Трофические ОДЦ через 30 суток после ЭН у животных КГ имели умеренно измененную структуру ядер и цитоплазму с уменьшенным набором органелл. У большинства миелинобразующих ОДЦ ядра были с типичным рисунком хроматина, реже – с признаками начала апоптоза; в цитоплазме встречались вакуолизированные митохондрии, что свидетельствовало о дистрофических изменениях ОДЦ по светлому типу (рис. 6а). Нейроглиоциты-сателлиты (трофические ОДЦ) после лечения животных с помощью ТКМС имели признаки хорошей морфофункциональной активности. В их цитоплазме находились ядра и митохондрии типичной структуры, многочисленные канальцы гранулярной ЭПС, умеренное количество лизосом (рис. 6б).
Рис. 6. Участок СМ крыс после ЭН в области поясничного утолщения: а – ОДЦ СМ крысы КГ: 1 – нормохромный ОДЦ со светлым ядром (Я) в активном функциональном состоянии; 2 – ОДЦ с перераспределением хроматина в ядре (Я) по типу апоптоза и цитоплазмой с большим количеством липидов (Л), ув. ×6300; б – ОДЦ спинного мозга крысы после лечения с типичной структурой ядра (Я) и цитоплазмы. Вблизи ОДЦ МВ с нормальными и измененными ОЦ и умеренной миелинопатией, ув. ×5000
В МВ проводящих путей СМ после ЭН у крыс КГ были обнаружены признаки миелинопатии в виде расслоения слипшихся ламелл миелина и их фрагментации. ОЦ были как сохранными, так и дистрофически измененными по темному типу. В МВ вблизи сосудов также были выявлены признаки миелинопатии, а в БМВ обнаруживалась умеренная либо выраженная аксонопатия по светлому типу (рис. 7а).
Через 1 месяц лечения крыс после ЭН в МВ часто не было признаков миелинопатии и аксонопатии, а их ОЦ были заполнены нейрофибриллами и митохондриями с типичной структурой. В МВ рядом с пролиферирующими ОДЦ ОЦ имели обычную плотность, но их миелиновые оболочки были тоньше и плотнее. В некоторых МВ миелиновые ламеллы были разволокнены, а перехваты Ранвье изменены. В ряде МВ и БМВ наблюдалась аксонопатия по светлому типу; иногда встречались МВ с признаками ремиелинизации за счет внутреннего мезаксона (рис. 7б).
Рис. 7. Миелиновые волокна проводящих путей СМ крыс в области поясничного утолщения после ЭН: а – МВ крысы КГ. Визуализируются аксонопатия в виде просветления ОЦ и миелинопатия в виде слипания ламелл миелина, ув. ×4000; б – МВ крысы после лечения с умеренно измененными ОЦ и ремиелинизацией (1), ув. ×16000
Через 1 месяц после ЭН у крыс КГ в ткани СМ изредка находились свободные эритроциты, что является признаком локальных нарушений гематоэнцефалического барьера. В просвете капилляров эритроциты часто располагались в виде монетных столбиков (капилляростаз) (рис. 8а). В сосудах СМ у крыс после ЭН с последующим лечением с помощью ТКМС, как и без лечения, отмечался капилляростаз, но свободных эритроцитов в нейропиле не было (рис. 8б).
Рис. 8. Капилляры поясничного утолщения спинного мозга крыс после ЭН: а – крыса КГ после ЭН. Видны свободные эритроциты в нейропиле (1) и капилляростаз (2), ув. ×3150; б – крыса после ЭН с последующим лечением с помощью ТКМС. Наблюдается капилляростаз (1), ув. ×3150
Факт развития патологических изменений в ЦНС при повреждении периферической нервной системы (ПНС) не вызывает сомнений и достаточно изучен. В нашем исследовании как при КИН, так и при ЭН без лечения (как и предполагалось при планировании экспериментов) имели место нарушения структуры различных компонентов СМ.
При сравнении экспериментальных спинномозговых нарушений на модели КИН и ЭН установлена общность патоморфологических изменений СМ, в котором через месяц без лечения как при ЭН, так и при КИН развивались дистрофические изменения нейронов, ОДЦ, МВ, а также спинального микроциркуляторного русла. Однако у крыс, получавших в течение месяца лечение с помощью ТКМС, выраженность данных нарушений в СМ была значительно ниже. Более того, у этих крыс были выявлены ярко выраженные морфологические признаки компенсаторно-восстановительных процессов.
Патоморфологические нарушения у крыс КГ после КИН в виде набухания нейронов, появления гипо- и гиперхромных нейронов, вакуолизации ОДЦ, разрежения белого вещества наблюдались и были описаны нами ранее [3]. Подобные изменения у крыс после ЭН также имели место, но у животных, получивших лечение с помощью ТКМС как при КИН, так и при ЭН, отмечались отчетливые структурные улучшения всех элементов СМ. При этом восстановление архитектоники СМ животных после КИН при лечении было лучшим, чем в группе крыс после ЭН.
Ранее Н.А. Рашидовым [8] было показано, что МС является эффективным терапевтическим методом, повышающим регенераторные возможности ПНС. Полученные другими авторами результаты исследований о влиянии МС на повреждения CМ также свидетельствовали о ее несомненном клиническом эффекте [9, 10].
Улучшение состояния спинального микроциркуляторного русла крыс после лечения при ЭН и КИН свидетельствует о благоприятном эффекте ТКМС на гемоперфузию. Подобные эффекты были показаны L. Dohong et al. [9], а также был установлен тот факт, что МС повышает экспрессию генов, активирующих ангиогенез, что приводит к пролиферации сосудов, и, следовательно, к лучшему кровоснабжению структур СМ. Последнее в свою очередь будет благотворно влиять на восстановительные процессы СМ в целом. Также показано, что при ТКМС происходит активация миграции астроцитов в очаги повреждения [11]. Этот факт определенно способствует стабилизации мембран гематоэнцефалического барьера, снижает вероятность геморрагий в вещество мозга.
Заключение. Полученные нами результаты свидетельствуют об эффективности ТКМС при повреждении ПНС и возможности ее применения как в комплексном лечении больных, так и в виде монотерапии. Однако признаки восстановления СМ при КИН с помощью ТКМС были выражены более отчетливо и в большем объеме, чем после ЭН. Это, на наш взгляд, свидетельствует о зависимости степени восстановления СМ от тяжести повреждения периферического нерва (степени аксонотмезиса), что является основанием для проведения дальнейших исследований в данном направлении.
Об авторах
С. А. Живолупов
Военно-медицинская академия им. С.М. Кирова
Автор, ответственный за переписку.
Email: vmeda-nio@mil.ru
Россия, Санкт-Петербург
Н. А. Рашидов
Военно-медицинская академия им. С.М. Кирова
Email: vmeda-nio@mil.ru
Россия, Санкт-Петербург
Л. С. Онищенко
Военно-медицинская академия им. С.М. Кирова
Email: vmeda-nio@mil.ru
Россия, Санкт-Петербург
А. Ю. Кравчук
Военно-медицинская академия им. С.М. Кирова
Email: vmeda-nio@mil.ru
Россия, Санкт-Петербург
О. В. Костина
Военно-медицинская академия им. С.М. Кирова
Email: vmeda-nio@mil.ru
Россия, Санкт-Петербург
Е. В. Яковлев
Военно-медицинская академия им. С.М. Кирова
Email: vmeda-nio@mil.ru
Россия, Санкт-Петербург
А. Г. Труфанов
Военно-медицинская академия им. С.М. Кирова
Email: vmeda-nio@mil.ru
Россия, Санкт-Петербург
Список литературы
- Живолупов, С.А. Травматические невропатии и плексопатии (патогенез, клиника, диагностика и лечение): автореф. дис. … д-ра мед наук / С.А. Живолупов. – СПб.: ВМА, 2000. – 43 с.
- Живолупов, С.А. Особенности влияния импульсной магнитной стимуляции на компенсаторно-восстановительные процессы при экспериментальной компрессионно-ишемической невропатии у крыс / С.А. Живолупов [и др.] // Вестн. Росс. воен.-мед. акад. – 2010. – № 4 (32). – С. 134–138.
- Живолупов, С.А. Ретроградные изменения в спинном мозге крыс после острой компрессионно-ишемической невропатии седалищного нерва / С.А. Живолупов [и др.] // Вестн. Росс. воен.-мед. акад. – 2012. – № 4 (40). – С. 156–162.
- Живолупов, С.А. Сравнение влияния нейромидина и магнитной стимуляции на нейропластичность при экспериментальной травматической нейропатии / С.А. Живолупов [и др.] //
- Журн. невролог. и психиатрии им. С.С. Корсакова. – 2014. – № 114 (6). – С. 57–62.
- Мамедов, Т.Р. Эффективность лечения обострений хронических неврологических пароксизмальных прозопалгий методом транскраниальной магнитной стимуляции: автореф. дис. … канд. мед. наук / Т.Р. Мамедов. – М., 2005. – 26 с.
- Медына, О.Д. Магнитная стимуляция в диагностике и лечении травматических невропатий (клиническое и экспериментальное исследование): автореф. дис. … канд. мед. наук / О.Д. Медына. – СПб., 2006. – 181 с.
- Миронов, А.А. Методы электронной микроскопии в биологии и медицине / А.А. Миронов, Я.Ю. Комиссарчик, В.А. Миронов. – СПб.: Наука, 1994. – 400 с.
- Рашидов, Н.А. Клинико-экспериментальная оценка эффективности некоторых видов консервативной терапии травматических невропатий: автореф. дис. … канд. мед. наук / Н.А. Рашидов. – СПб.: ВМА, 2001. – 24 с.
- Dohong, L. Effect of magnetic stimulation in spinal сord on limb аngiogenesis and implication: A рilot study / L. Dohong [et al.] //Ann. Rehabil. Med. – 2012: – Vol. 36 (3). – P. 311–319.
- Lefaucheur, J.P. Neurogenic pain relief by repetitive transcranial magnetic cortical stimulation depends on the origin and the site of pain / J.P. Lefaucheur [et al.] // J. Neurol. Neurosurg. Psychiatry. – 2004. – Vol. 75 (4). – P. 612–616.
- Li, Z. Spinal cord injury-induced astrocyte migration and glial scar formation: effects of magnetic stimulation frequency / Z. Li [et al.] // Indian J. Biochem. Biophys. – 2010: – Vol. 47 (6). – P. 359–363.
Дополнительные файлы










