Особенности иммунофенотипа стволовых опухолевых клеток при различных стадиях колоректального рака
- Авторы: Майстренко Н.А.1, Чирский В.С.1, Ерохина А.А.1, Сазонов А.А.1
-
Учреждения:
- Военно-медицинская академия имени С.М. Кирова
- Выпуск: Том 25, № 2 (2023)
- Страницы: 229-238
- Раздел: Оригинальное исследование
- Статья получена: 15.03.2023
- Статья одобрена: 01.05.2023
- Статья опубликована: 13.07.2023
- URL: https://journals.eco-vector.com/1682-7392/article/view/321384
- DOI: https://doi.org/10.17816/brmma321384
- ID: 321384
Цитировать
Полный текст
Аннотация
Рассматриваются особенности иммунофенотипа стволовоклеточной популяции аденокарциномы толстой кишки при различных стадиях заболевания, оценивается их влияние на распространенность онкологического процесса. С помощью микроскопического и иммуногистохимического методов исследован операционный материал 67 пациентов с морфологически верифицированной аденокарциномой толстой кишки. В зависимости от распространенности неопластического процесса больные были разделены на две группы. Первую группу составили 32 пациента, страдающие локализованной формой колоректального рака (T3–4aN0M0). Во вторую группу вошли 35 больных, страдающих колоректальным раком с синхронными моноорганными метастазами в печени (T3–4aN0–2M1а(hep)). При оценке иммунофенотипа опухоли не выявлено связи индекса общей пролиферативной активности иммуногистохимического маркера Ki67 со стадией заболевания (р = 0,108). При сравнении иммунофенотипа стволовых опухолевых клеток в группе больных, страдающих метастатическим колоректальным раком, были выявлены статистически значимо более высокие уровни экспрессии следующих иммуногистохимических маркеров: ALDH1+ (p = 0,028), ALDH1+Ki67+ (p = 0,0002) и CXCR4+ (p = 0,005). Полученные результаты свидетельствуют о выраженной связи иммуногистохимических маркеров, характеризующих стволовоклеточную популяцию, с распространенностью опухоли. Следовательно, такие маркеры, как ALDH1+, ALDH1+Ki67+ и CXCR4+, характеризуют молекулярно-биологические свойства стволовых опухолевых клеток и могут быть использованы в клинической практике для уточнения потенциала биологической агрессивности аденокарциномы толстой кишки. Установлено, что медиана индекса пролиферации стволовых клеток, который учитывает удельный вес пролиферирующих клеток только внутри популяции стволовых клеток, а не всего клеточного пула, в группе больных, страдающих локализованным колоректальным раком, равнялась 16 %. Вместе с тем ни у одного пациента, страдающего II стадией заболевания, уровень пролиферации стволовых клеток не превышал 50 %, а значение индекса пролиферации стволовых клеток варьировало от 0 до 50 %. Медиана индекса пролиферации стволовых клеток в группе пациентов, страдающих метастатическим колоректальным раком, равнялась 45,5 %, а значения данного показателя варьировали от 7 до 100 %, при этом индекс пролиферации стволовых клеток у них был достоверно (р = 0,00001) выше, чем в группе больных, страдающих локализованным опухолевым процессом. Учитывая малочисленность популяции стволовых опухолевых клеток, для более точной характеристики их пролиферативной активности целесообразно определение индекса пролиферации стволовых клеток.
Полный текст
ВВЕДЕНИЕ
Колоректальный рак (КРР) на сегодняшний день занимает ведущие позиции в мире по заболеваемости и смертности в общей структуре онкологической патологии [1, 2]. Согласно современным исследованиям, каждый год на нашей планете выявляется почти 2 млн новых случаев рака толстой кишки, при этом в большинстве развитых стран отмечается прирост заболеваемости [3, 4]. В нашей стране ежегодно регистрируется более 70 тыс. новых случаев рака толстой кишки [1, 5]. КРР занимает третье место в общей структуре онкологической заболеваемости среди мужчин после рака легкого и простаты и второе среди женщин, уступая новообразованиям молочной железы. Как следствие, в общей структуре онкологической заболеваемости в совокупной половой популяции рак толстой кишки занимает в настоящее время лидирующие позиции [5].
Несмотря на активное развитие хирургической онкологии, внедрение новых схем химиотерапевтического лечения, летальность при КРР остается высокой. Ежегодно в мире погибает около 1 млн больных раком толстой кишки, что составляет почти 10 % в структуре мировой онкологической смертности [1, 2].
Важнейшим направлением в улучшении результатов лечения больных КРР, несомненно, является совершенствование алгоритмов диагностики данного заболевания. Согласно современным онкологическим позициям, обследование больных раком толстой кишки, наряду с ранним выявлением опухоли, должно обеспечивать комплексную оценку потенциала ее агрессивности. В этой связи особый интерес представляет иммуногистохимическое (ИГХ) исследование аденокарциномы толстой кишки, позволяющее оценить ее молекулярно-биологические свойства [4, 6]. Вместе с тем до настоящего времени не разработаны алгоритмы ИГХ диагностики КРР, а сведения о клинической значимости маркеров носят противоречивый характер [2, 4, 7].
Таким образом, изучение иммунофенотипа аденокарциномы толстой кишки на сегодняшний день является важным научным направлением. В этой связи стволовые опухолевые клетки (СОК) представляются наиболее интересной и перспективной точкой его приложения, поскольку согласно иерархической модели канцерогенеза они играют ведущую роль в инициации и прогрессировании неопластического процесса [8–10]. Предполагаемым источником данного вида клеток в аденокарциноме толстой кишки является стволовая клетка базального отдела кишечной крипты, в которой происходят генетические изменения, превращающие ее в раковую [9, 11]. Согласно современным представлениям, для полного уничтожения колоректальной аденокарциномы необходима ликвидация ее стволовоклеточного клона [10, 12]. Вместе с тем популяция СОК очень малочисленна, изменчива и трудно идентифицируема, в связи с чем имеется множество сложностей в поиске иммуногистохимических маркеров, подтверждающих принадлежность опухолевой клетки к клону стволовых и обладающих высоким уровнем чувствительности и специфичности [7, 10]. Кроме того, исследования, направленные на изучение связи экспрессии стволовоклеточных маркеров с прогнозом заболевания, носят единичный характер, а их результаты остаются весьма противоречивыми [2, 13].
Таким образом, КРР характеризуется высокими показателями заболеваемости и смертности, которые не позволяют усомниться в актуальности проблемы совершенствования алгоритмов диагностики и лечения данной патологии. Одним из важных путей ее решения является изучение молекулярно-биологических свойств новообразований толстой кишки, позволяющее уточнить потенциал их агрессивности и более обоснованно подойти к выбору лечебной тактики. В этой связи оценка иммунофенотипа СОК как наиболее значимой с позиции канцерогенеза и метастазирования популяции представляется одним из наиболее перспективных направлений.
Цель исследования — определить особенности иммунофенотипа стволовоклеточной популяции аденокарциномы толстой кишки при различных стадиях заболевания и оценить их влияние на распространенность онкологического процесса.
МАТЕРИАЛЫ И МЕТОДЫ
Исследован операционный материал (первичная опухоль) 67 пациентов с гистологически верифицированным диагнозом: аденокарцинома толстой кишки. В зависимости от распространенности неопластического процесса больные были разделены на 2 группы. Первую группу составили 32 пациента, страдающие локализованной формой КРР (T3–4aN0M0, II стадия). Во вторую группу вошли 35 больных, страдающих КРР с синхронными моноорганными метастазами в печени (T3–4aN0–2M1а(hep), IVa стадия). Клинико-морфологические показатели пациентов обеих групп представлены в таблице 1.
Таблица 1. Клинико-морфологические показатели пациентов обеих групп, абс. (%)
Table 1. Clinical and morphological indicators of patients of both groups, abs. (%)
Показатель | Группа | |
1-я | 2-я | |
Женщины Мужчины | 20 (62,5) 12 (37,5) | 22 (63) 13 (37) |
Средний возраст, лет | 59,7 ± 4,3 | 60,3 ± 4,5 |
Степень дифференцировки: – высокая (G1) – умеренная (G2) – низкая (G3) | 1 (3) 27 (84,5) 4 (12,5) | 4(11,5) 27 (77) 4 (11,5) |
Локализация опухоли: – ободочная кишка – слепая кишка – восходящий отдел – поперечная – нисходящий отдел – сигмовидная – прямая кишка – верхнеампулярный отдел – среднеампулярный отдел | 14 (44) 2 (6) 2 (6) 2 (6) 1 (3) 7 (22) 18 (56) 11 (34) 7 (22) | 22 (63) 3 (8,5) 3 (8,5) 4 (11,5) 2 (6) 10 (28,5) 13 (37) 10 (28,5) 3 (8,5) |
Метастазы в регионарные лимфоузлы | – | 9 (26) |
Физический статус пациентов по шкале ASA: – II – III – IV | 21 (66) 11 (34) | 14 (40) 17 (48,5) 4 (11,5) |
Примечание: ASA — American Society of Anesthesiologists (Американское общество анестезиологов).
Для идентификации стволовых свойств клеток и оценки их пролиферативной активности использовался иммуногистохимический метод с применением двойного окрашивания антителами к альдегиддегирогеназе 1-го типа (Aldehyde dehydrogenase 1 family — ALDH1) и к белку Ki-67. В качестве маркера, отражающего стволовые свойства клеток, выбран ALDH1. Данный дезинтоксикационный фермент вследствие катализа окисления внутриклеточных альдегидов придает устойчивость клетки к алкилирующим агентам. По мнению ряда авторов [13–15], способность альдегиддегидрогеназы к защите стволовых клеток от окислительного воздействия может лежать в основе устойчивости их популяции. Кроме того, экспериментальным путем было установлено, что ALDH1 является одним из наиболее селективных маркеров, так как меньшее число ALDH1+ клеток по сравнению с другими (CD44+- и CD24–-клетками) было способно вызвать развитие опухоли у лабораторных животных [16].
Для постановки реакции с двойным окрашиванием на срезы с парафиновых блоков после депарафинизации и демаскировки наносили смесь из двух антител: anti-Ki-67 (клон MIB-1, DAKO, Дания, кат. номер M724001, разведение 1 : 50) и anti-ALDH1 (клон ЕР1932Y, Abcam, Великобритания, кат. номер ab134188, разведение 1 : 200). С целью выявления антител использовалась двойная система детекции DoubleStain IHC Kit: M&R on human tissue и DAB-раствор хромогена. Заключение срезов осуществ лялось с помощью среды CC/Mount.
Оценка пролиферативных свойств стволовых клеток проводилась в фокусах аденокарциномы, соответствующих максимальной инвазии. Антитела к ALDH1 окрашивали цитоплазму СОК в красный цвет. Антитела к белку Ki-67 окрашивали ядра в делящихся клетках в коричневый цвет. Контролем служили препараты нормальной слизистой оболочки толстой кишки. В зависимости от комбинации окрашивания клеточных компонентов были выделены 4 популяции опухолевых клеток (рис. 1).
Рис. 1. Компоненты дифферона аденокарциномы толстой кишки. Двойное ИГХ окрашивание антителами к ALDH1 и Ki-67 с контр-окрашиванием гематоксилином. Ув. ×400. Стрелками указаны исследуемые популяции опухолевых клеток: 1 — стволовые пролиферирующие (ALDH1+Ki-67+); 2 — стволовые непролиферирующие (ALDH1+Ki-67–); 3 — клетки-прогениторы (ALDH1–Ki-67+); 4 — дифференцирующиеся (ALDH1–Ki-67–)
Fig. 1. Differential components of colon adenocarcinoma. Double immunohistochemical staining with antibodies to ALDH1 and Ki-67, with hematoxylin counterstaining. Magnification × 400. The arrows indicate the studied populations of tumor cells: 1 — stem proliferating (ALDH1+Ki-67+); 2 — stem nonproliferating (ALDH1+Ki-67−); 3 — progenitor cells (ALDH1–Ki-67+); 4 — differentiating (ALDH1–Ki-67–)
На гистологических препаратах каждого пациента в фокусах аденокарциномы, соответствующих максимальной инвазии, проводили количественную оценку описанных выше клеток в 10 случайных полях зрения при увеличении × 400. Производился расчет среднего количества клеток в популяции и долевое соотношение между выделенными компонентами опухолевого дифферона, а также отношение стволовых (ALDH1+) и пролиферирующих клеток (Ki-67+) к общему числу опухолевых клеток. Определяли индекс общей пролиферативной активности Ki-67: отношение количества Ki-67-позитивных клеток к общему количеству опухолевых клеток, выраженное в процентах.
Для оценки потенциала метастазирования КРР применялось антитело к хемокиновым рецепторам 4-го типа anti-CXCR4 (anti-CXCR4, клон UMB-2, Abcam, Великобритания, кат. номер ab124824, разведение 1 : 50). На сегодняшний день известно, что хемокиновые лиганды и их рецепторы не только отвечают за движение лейкоцитов, но и играют важнейшую роль в процессе генерализации опухолей, регулируя органоселективность (органоспецифичность) метастазов [17–20]. Кроме того, считается, что CXCR4 является одним из маркеров стволовых клеток аденокарциномы толстой кишки [21, 22]. Для выявления потенциала метастазирования применялась методика тканевых матриц — было изготовлено 5 мультиблоков ТМА (tissue microarray) из гистологического материала всей выборки пациентов. Для каждого опухолевого образца было выбрано от 1 до 3 точек, соответствую щих максимальной клеточности новообразования. Ткань из выбранных фокусов была перемещена в мультиблок. Срезы с данных блоков переносились на стекла с поли- L-лизиновым покрытием, подвергались подсушиванию, депарафинизации в термостате. Визуализация реакции осуществлялась при помощи системы EnVision Real («DAKO», Дания) и диаминобензидина в качестве хромогена. Препараты докрашивались гематоксилином с последующей обработкой спиртами и ксилолами. Для заключения использовали среду «Витрогель».
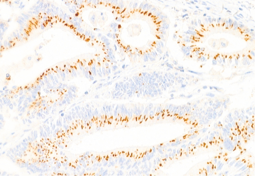
Оценка потенциала метастазирования осуществлялась путем подсчета доли положительно окрашенных клеток в 5–15 полях зрения при увеличении × 400. Положительная реакция определялась наличием коричневых гранул в цитоплазме (рис. 2). Затем для каждого наблюдения высчитывалось среднее значение положительно окрашенных клеток по всем исследованным полям зрения.
Рис. 2. Иммуногистохимическое исследование рецепторов к хемокинам 4-го типа (CXCR4). Определяется положительная цитоплазматическая гранулярная реакция. Ув. ×200
Fig. 2. IImmunohistochemical study of type 4 chemokine receptors (CXCR4). Positive cytoplasmic granular reaction. Magnification × 200
Статистический анализ осуществлялся на базе персонального компьютера и программы Statistica for Windows (12.0). Во всех исследуемых группах проводилась оценка нормальности распределения количественных показателей с помощью критерия Шапиро ― Уилка. Количественные показатели с распределением, отличным от нормального, представлены в виде медиан, при их сравнении использовали непараметрический критерий Манна ― Уитни. Корреляционный анализ проводился с помощью коэффициента корреляции Спирмена. Различия между независимыми выборками и корреляция показателей считались статистически значимыми при р < 0,05. Сила корреляционной связи оценивалась по значению коэффициента корреляции: при r < 0,3 связь считалась слабой, при 0,3 < r < 0,7 — умеренной, при r > 0,7 — сильной.
РЕЗУЛЬТАТЫ И ИХ ОБСУЖДЕНИЕ
При оценке общей пролиферативной активности новообразования статистически значимых различий по индексу общей пролиферативной активности Ki-67 не прослежено: в группе пациентов, страдающих локализованной формой КРР, медианное значения индекса Ki-67 составило 37,9 %, в группе пациентов, страдающих метастатическим раком толстой кишки, данный показатель равнялся 44,2 % (р = 0,108). При анализе ИГХ экспрессии ALDH1 были получены следующие данные: удельный вес клеток с положительным цитоплазматическим окрашиванием в группе пациентов, страдающих локализованным раком толстой кишки, составил 2,6 %, а в группе пациентов, страдающих метастатической формой КРР — 3,7 %. Различия между группами являлись статистически значимыми (рис. 3).
Рис. 3. Экспрессия ALDH1 при различных стадиях КРР (р = 0,028)
Fig. 3. Expression of ALDH1 at various stages of colorectal cancer (p = 0.028)
В рамках комплексного изучения популяции СОК определялась их структура с позиции пролиферативной активности. Самой распространенной популяцией в обеих клинических группах стали дифференцирующиеся клетки с иммунофенотипом ALDH1–Ki-67–, меньшая доля пришлась на клетки-прогениторы (ALDH1–Ki-67+). Самыми малочисленными популяциями стали стволовые непролиферирующие и пролиферирующие клетки. Значения компонентов опухолевого дифферона в зависимости от стадии опухолевого процесса представлены в таблице 2.
Таблица 2. Показатели опухолевого дифферона у пациентов обеих групп, %
Table 2. Tumor indicators in patients of both groups, %
Клеточный пул | 1-я группа | 2-я группа | ||||
Медиана | Мин. значения | Макс. значения | Медиана | Мин. значения | Макс. значения | |
ALDH1+Ki-67+ | 0,3 | 0 | 2,7 | 1,4 | 0,1 | 4,9 |
ALDH1+Ki-67– | 1,9 | 0,2 | 6 | 2 | 0 | 7,2 |
ALDH1–Ki-67+ | 37,3 | 10,7 | 61,7 | 40 | 24,1 | 51,8 |
ALDH1–Ki-67– | 63 | 36,3 | 88,6 | 53,7 | 45,1 | 72,9 |
При сопоставлении четырех представленных выше популяций опухолевых клеток было выявлено, что в группе пациентов, страдающих метастатической формой КРР, число стволовых пролиферирующих клеток было статистически значимо выше, чем в группе пациентов, страдаю щих локализованной формой аденокарциномы толстой кишки (р = 0,0002). По остальным клеточным популяциям различия не достигли статистической значимости (рис. 4).
Рис. 4. Структура компонентов опухолевого дифферона при различных стадиях КРР
Fig. 4. Structure of tumor components at various stages of colorectal cancer
Для более точной оценки пролиферативных свойств СОК, учитывая малочисленность их популяции, удельный вес делящихся клеток определялся относительно общего числа стволовых клеток. С этой целью было введено понятие индекса пролиферации стволовых клеток (ИПСК), который рассчитывался как отношение количества стволовых пролиферирующих клеток (ALDH1+Ki-67+) к общему количеству стволовых (ALDH1+), выраженному в процентах. Установлено, что медиана ИПСК в группе больных локализованным КРР равнялась 16 %. Вместе с тем ни у одного пациента, страдающего II стадией заболевания, уровень пролиферации стволовых клеток не превышал 50 %, а значение ИПСК варьировало от 0 до 50 %. Медиана ИПСК в группе пациентов, страдающих метастатическим КРР, равнялась 45,5 %, а значения данного показателя варьировали от 7 до 100 %. При этом ИПСК у них был достоверно (р = 0,00001) выше, чем в группе больных, страдающих локализованным опухолевым процессом (рис. 5).
Рис. 5. ИПСК при различных стадиях КРР
Fig. 5. Stem cell proliferation index at various stages of colorectal cancer
При оценке стволовых клеток опухоли с позиции их метастатического потенциала медиана числа CXCR4+-клеток в 1-й группе составила 24 %, во 2-й группе — 40 % (р = 0,005). При этом удельный вес положительно окрашенных клеток варьировал от 0 до 80 % в обеих группах (рис. 6).
Рис. 6. Экспрессия CXCR4 при различных стадиях КРР
Fig. 6. Expression of CXCR4 at various stages of colorectal cancer
Важная закономерность была прослежена при сопоставлении ИПСК и уровня экспрессии рецептора к хемокинам CXCR4: наблюдалась прямая связь между данными показателями как в группе пациентов, страдающих локализованным (r = 0,584, p = 0,0005), так и в группе больных, страдающих метастатическим КРР (r = 0,640, p = 0,00003), рисунки 7, 8.
Рис. 7. Корреляция ИПСК c показателем потенциала метастазирования CXCR4 у пациентов, страдающих II стадией КРР
Fig. 7. Correlation of the stem cell proliferation index with the index of CXCR4 metastasis potential in patients with stage II colorectal cancer
Рис. 8. Корреляция ИПСК c показателем потенциала метастазирования CXCR4 у пациентов, страдающих IV стадией КРР
Fig. 8. Correlation of the stem cell proliferation index with the index of CXCR4 metastasis potential in patients with stage IV colorectal cancer
Таким образом, выявлена прямая связь между экспрессией стволовоклеточных маркеров и распространенностью неопластического процесса при различных стадиях КРР. Полученные данные подтверждают исключительно важную роль СОК в прогрессировании аденокарциномы толстой кишки, что согласуется с современной концеп цией канцерогенеза [8–10]. Кроме того, проведенный статистический анализ продемонстрировал, что экспрессия рецепторов к хемокинам CXCR4 коррелирует с распространенностью опухолевого процесса и может отражать потенциал ее метастазирования.
Анализ структуры опухолевого дифферона продемонстрировал, что удельный вес СОК относительно всего опухолевого клона крайне мал, что согласуется с данными немногочисленных исследований, проведенных другими авторами [7, 3]. В связи с этим для оценки их пролиферативной активности целесообразно использовать понятие ИПСК, который рассчитывается как доля пролиферирующих клеток относительно стволовоклеточной популяции. Результаты проведенного статистического анализа продемонстрировали наличие прямой связи между экспрессией CXCR4 и величиной ИПСК, что свидетельствует об общности данных показателей в отношении стволовоклеточного пула и его пролиферативной активности с позиции молекулярно-биологических свойств опухоли. Данные закономерности указывают на целесообразность использования этих маркеров для комплексной оценки потенциала агрессивности аденокарциномы толстой кишки. В нашем исследовании не выявлено связи индекса общей пролиферативной активности Ki-67 со стадией КРР, что согласуется с мнением А.А. Ерохиной, В.С. Чирского, Н.А. Майстренко и др. [2], Г.А. Раскина [3] о малой диагностической ценности изолированного определения этого маркера и противоречивыми данными о его влиянии на прогноз заболевания.
ЗАКЛЮЧЕНИЕ
Установлено, что пролиферативная активность СОК и уровень экспрессии рецепторов к хемокинам CXCR4 являются важными маркерами, характеризующими молекулярно-биологические свойства новообразования, которые коррелируют со степенью распространенности неопластического процесса. В связи с этим целесообразно включение ИГХ исследования данных маркеров в программу морфологической диагностики аденокарциномы толстой кишки для уточнения потенциала ее агрессивности и более обоснованного подхода к выбору лечебной тактики. Для более детальной характеристики пролиферативной активности СОК, учитывая их малочисленность, целесообразно определение ИПСК, который подразу мевает определение удельного веса пролиферирующих клеток только внутри популяции стволовых клеток, а не относительно всего клеточного пула опухоли.
Об авторах
Николай Анатольевич Майстренко
Военно-медицинская академия имени С.М. Кирова
Email: nik.m.47@mail.ru
ORCID iD: 0000-0002-1405-7660
SPIN-код: 2571-9603
д-р мед. наук, профессор
Россия, Санкт-ПетербургВадим Семенович Чирский
Военно-медицинская академия имени С.М. Кирова
Email: v_chirsky@mail.ru
ORCID iD: 0000-0003-3215-3901
SPIN-код: 7295-3369
д-р мед. наук, профессор
Россия, Санкт-ПетербургАлина Артуровна Ерохина
Военно-медицинская академия имени С.М. Кирова
Автор, ответственный за переписку.
Email: lokitrikster@yandex.ru
ORCID iD: 0000-0001-7343-5089
SPIN-код: 1768-8760
врач-патологоанатом
Россия, Санкт-ПетербургАлексей Андреевич Сазонов
Военно-медицинская академия имени С.М. Кирова
Email: sazonov_alex_doc@mail.ru
ORCID iD: 0000-0003-4726-7557
SPIN-код: 4042-7710
д-р мед. наук
Россия, Санкт-ПетербургСписок литературы
- Hyuna S., Ferlay J., Siegel R., et al. Global cancer statistics 2020: GLOBOCAN estimates of Incidence and Mortality Worldwide for 36 cancers in 185 countries // CA: A Cancer J Clin. 2021. Vol. 71, No. 3. P. 209–249. doi: 10.3322/caac.21660
- Ерохина А.А., Чирский В.С., Майстренко Н.А., и др. Пролиферативная активность раковых стволовых клеток в прогнозе гематогенного метастазирования аденокарциномы толстой кишки // Гены и клетки. 2022. Т. 17, № 2. С. 40–46. doi: 10.23868/202209006
- Раскин Г.А. Клинико-морфологическая оценка прогностических и предиктивных факторов при аденокарциноме толстой кишки: дис. … д-ра мед. наук. Санкт-Петербург, 2014. 246 с.
- Майстренко Н.А., Чирский В.С., Сазонов А.А., Ерохина А.А. Комплексный подход в обосновании хирургической тактики при местно-распространенных формах колоректального рака у пациентов старших возрастных групп // Вестник хирургии им. И.И. Грекова. 2019. Т. 178, № 2. С. 38–45. doi: 10.24884/0042-4625-2019-178-2-38-45
- Каприн А.Д., Старинский В.В., Петрова Г.В. Злокачественные новообразования в России в 2018 году (заболеваемость и смертность). Москва: МНИОИ им. П.А. Герцена; филиал ФГБУ «НМИЦ радиологии» Минздрава России, 2019. 15 с.
- Майстренко Н.А., Манихас Г.М., Сазонов А.А., и др. Влияние возрастного фактора и иммунофенотипа опухоли на эффективность циторедуктивных операций при метастатическом раке толстой кишки // Вопросы онкологии. 2019. Т. 65, № 6. С. 855–862.
- Munro M.J., Wickremesekera S.K., Peng L., et al. Cancer stem cells in colorectal cancer: a review // J Clin Pathol. 2018. Vol. 71, No. 2. P. 110–116. doi: 10.1136/jclinpath-2017-204739
- Fanali C., Lucchetti D., Farina M., et al. Cancer stem cells in colorectal cancer from pathogenesis to therapy: controversies and perspectives // World J Gastroenterol. 2014. Vol. 20, No. 4. P. 923–942. doi: 10.3748/wjg.v20.i4.923
- Walcher L., Kistenmacher A.-K., Suo H., et al. Cancer stem cells-origins and biomarkers: perspectives for targeted personalized therapies // Front Immunol. 2020. Vol. 11. ID 1280. doi: 10.3389/fimmu.2020.01280
- Нефедова Н.А., Мальков П.Г. Роль стволовых клеток в канцерогенезе толстой кишки // Тазовая хирургия и онкология. 2015. Т. 5, № 3. С. 15–24. doi: 10.17650/2220-3478-2015-5-3-15-24
- Москалев А.В., Гумилевский Б.Ю., Апчел А.В., Цыган В.Н. Cтволовые клетки и их физиологические эффекты // Вестник Российской военно-медицинский академии. 2019. № 4. С. 172–180.
- Ершов В.А. Морфогенез цервикальной неоплазии, ассоциированной с вирусами папилломы человека высокого канцерогенного риска: дис. … д-ра мед. наук. Санкт-Петербург, 2020. 342 c.
- Rezaee M., Gheytanchi E., Madjd Z., Mehrazma M. Clinicopathological significance of tumor stem cell markers ALDH1 and CD133 in colorectal carcinoma // Iran J Pathol. 2021. Vol. 16, No. 1. P. 40–50. doi: 10.30699/ijp.2020.127441.2389
- Holah N.S., Aiad H.A., Asaad N.Y., et al. Evaluation of the role of ALDH1 as cancer stem cell marker in colorectal carcinoma: an immunohistochemical study // J Clin Diagn Res. 2017. Vol. 11, No. 1. P. 17–23.
- Mohammed S.Y., Kaf R.M., Ahmed M.M., et al. The prognostic value of cancer stem cell markers (Notch1, ALDH1, and CD44) in primary colorectal carcinoma // J Gastrointest Cancer. 2019. Vol. 50, No. 4. P. 824–837. doi: 10.1007/s12029-018-0156-6
- Ginestier C., Hur M.H., Charafe-Jauffret E., et al. ALDH1 is a marker of normal and malignant human mammary stem cells and a predictor of poor clinical outcome // Cell Stem Cell. 2007. Vol. 1, No. 5. P. 555–567. doi: 10.1016/j.stem.2007.08.014
- Филина А.Б. Роль факторов врожденного иммунитета в процессе опухолеобразования: дис. … канд. мед. наук. Москва, 2019. 108 c.
- Khare T., Bissonnette M., Khare S. CXCL12-CXCR4/CXCR7 Axis in colorectal cancer: therapeutic target in preclinical and clinical studies // Int J Mol Sci. 2021. Vol. 22, No. 14. ID 147371. doi: 10.3390/ijms22147371
- Goïta A.A., Guenot D. Colorectal Cancer: The contribution of CXCL12 and its receptors CXCR4 and CXCR7 // Cancers (Basel). 2022. Vol. 14, No. 7. ID 1810. doi: 10.3390/cancers14071810
- Иванова А.К. Оптимизация тактики адъювантной химиотерапии у больных раком ободочной кишки с учетом клинико-морфологических характеристик: автореф. дис. … канд. мед. наук. Санкт-Петербург, 2022. 23 с.
- Fedyanin M., Popova A., Polyanskaya E., Tjulandin S. Role of stem cells in colorectal cancer progression and prognostic and predictive characteristics of stem cell markers in colorectal cancer // Curr Stem Cell Res Ther. 2017. Vol. 12, No. 1. P. 19–30. doi: 10.2174/1574888X11666160905092938
- Andrade F., Rafael D., Vilar-Hernández M., et al. Polymeric micelles targeted against CD44v6 receptor increase niclosamide efficacy against colorectal cancer stem cells and reduce circulating tumor cells in vivo // J Control Release. 2021. Vol. 331. P. 198–212. doi: 10.1016/j.jconrel.2021.01.022
Дополнительные файлы











