Поздний силикоз - редкая форма пневмокониоза
- Авторы: Халимов Ю.Ш.1, Цепкова Г.А.1, Власенко А.Н.1, Шилов В.В.2,3, Андреенко О.Н.2
 - 
							Учреждения: 
							
- Военно-медицинская академия им. С.М. Кирова
 - Северо-Западный научный центр гигиены и общественного здоровья
 - Северо-Западный государственный медицинский университет им. И.И. Мечников
 
 - Выпуск: Том 22, № 2 (2020)
 - Страницы: 74-78
 - Раздел: Статьи
 - Статья получена: 12.11.2020
 - Статья опубликована: 15.06.2020
 - URL: https://journals.eco-vector.com/1682-7392/article/view/50050
 - DOI: https://doi.org/10.17816/brmma50050
 - ID: 50050
 
Цитировать
Полный текст
Аннотация
Приведено описание клинического случая сравнительно редко встречающегося варианта пневмокониоза - позднего силикоза, развившегося через 25 лет после прекращения контакта с фиброгенной пылью. Пациент находился на обследовании в консультативно-поликлиническом отделении Северо-Западного научного центра гигиены и общественного здоровья (клиническая база кафедры военно-полевой терапии Военно- медицинской академии им. С.М. Кирова). Установлено, что пациент в течение 15 лет работал дробильщиком на горно-обогатительном комбинате, где работа сопровождалась воздействием пыли фиброгенного действия (гранито-гнейс), содержащей свободные кристаллы двуокиси кремния, шума, вибрации и неблагоприятного микроклимата, а также 12 лет работал слесарем-ремонтником, где подвергался воздействию абразивной пыли, шума и неблагоприятного климата. При общей оценке условий труда с учетом комбинированного и сочетанного воздействия вредных факторов для дробильщика они признаны вредными (класс 3.3), для слесаря-ремонтника- допустимыми (класс 2.0). За весь период работы у данного работника профессиональные заболевания не устанавливались и к профпатологу он не направлялся. На основании изучения профессионального анамнеза, данных санитарно-гигиенической характеристики условий труда, результатов клинического обследования, включавшего физикальные и лабораторные методы, спирографию, фибробронхоскопию, рентгенографию и компьютерную томографию легких, установлен диагноз позднего силикоза.
Полный текст
Введение. Силикоз является наиболее распространенной и тяжелой формой пневмокониоза – заболевания, представляющего собирательное понятие легочных фиброзов, возникающих при длительном вдыхании различных видов пыли . Названия отдельных форм пневмокониоза про исходят от названия пыли, вдыхание которой его вызывает: силикоз (двуокись кремния), антракоз (уголь), сидероз (железо) и т. д. [6, 7]. Силикоз развивается при вдыхании и осаждении в легких фиброгенной пыли, содержащей кристаллический диоксид кремния (кремнезем), в результате чего развивается массивный легочный фиброз, который может прогрессировать даже после прекращения воздействия фиброгенной пыли. Заболевание наиболее распространено среди горнорабочих, литейщиков, пескоструйщиков, рабочих керамических производств. Широкое распространение силикоз получил в конце XIX – первой половине XX в. в связи с бурным развитием горнорудной промышленности. Термин «силикоз» впервые предложил итальянский анатом Висконти в 1870 г. Большой вклад в исследование этой проблемы в России внесли отечественные ученые М.В. Ломоносов. А.Н. Никитин, Ф. Эрисман [1, 3].
В Международной классификации болезней 10го пересмотра (МКБ-10) силикозу отведена рубрика J62 – пневмокониоз, вызванный пылью, содержащей кремний, включая силикоз, силикотический и силикатный (массивный) фиброз легкого, а также пневмокониоз, вызванный тальком.
По патоморфологическим проявлениям выделяют три формы силикоза:
- – узелковая форма, которая характеризуется наличием в легочной ткани узелков различной формы и величины, выявлением межуточного фиброза с разрастанием соединительной ткани в альвеолярных перегородках, вокруг бронхов и сосудов;
 - – диффузно-склеротическая форма, характеризующаяся диффузным разрастанием соединительной ткани с утолщением альвеолярных перегородок, развитием перибронхиального и периваскулярного фиброза;
 - – смешанная форма, при которой на фоне распространенного склероза выявляются узелковые гранулемы.
 
По характеру течения различают четыре формы заболевания:
- – острая форма (фиброзный процесс развивается при контакте с пылью менее 5 лет);
 - – быстрая форма (длительность контакта до 10 лет);
 - – медленная форма (длительность контакта 10–15 лет);
 - – поздняя форма (развивается через 15 лет и более после прекращения контакта с пылью).
 
В клинической практике широко используется рентгенологическая классификация, согласно которой затенения в легких делят на большие и малые. Малые (узелковоподобный тип) различают по форме и размеру: округлые (р – диаметром до 1,5 мм, q – диаметром от 1,5 до 3 мм, r – диметром от 3 до 10 мм), линейные (s), тяжистые (t), груботяжистые (u). Определяют плотность насыщения затенений на 1 см2 легочного поля. Характер больших затенений: А – мелкоузловые (узлы диаметром от 1 до 5 см), В – крупноузловые (узлы диаметром от 5 до 10 см), С – массивные (диаметр узлов более 10 см) [8].
Естественное течение силикоза характеризуется на ранних стадиях скудной симптоматикой, а в ряде случаев в течение некоторого времени протекает бессимптомно, однако уже в эти сроки выявляются характерные рентгенологические признаки – диффузный и/или интерстициальный фиброз, узелковые образования, фиброзные изменения плевры и корней легких.
В развернутой стадии, когда присоединяются осложнения, появляются инспираторная одышка, малопродуктивный кашель, боли в грудной клетке, нарушения бронхиальной проходимости при исследовании функции внешнего дыхания (ФВД), изменения со стороны системы кровообращения. К наиболее частым осложнениям силикоза относятся хроническая обструктивная болезнь легких (ХОБЛ), бронхит, эмфизема легких, дыхательная недостаточность, хроническое легочное сердце, туберкулез легких, ревматоидный артрит (синдром Каплана).
Диагноз силикоза устанавливается на основании результатов клинического обследования (физикального, лабораторного, инструментального), изучения профмаршрута, данных санитарно-гигиенической характеристики условий труда.
Специфических методов терапии силикоза нет. Необходимым условием лечения является прекращение работы в условиях запыления. В дальнейшем проводится патогенетическая и симптоматическая терапия, направленная на снижение темпов прогрессирования заболевания, улучшение функционального состояния бронхолегочной системы (улучшение дренажной функции бронхов, купирование бронхиальной обструкции, противовоспалительное лечение, длительная оксигенация, физиотерапия), предупреждение осложнений [2, 4].
Вопросы экспертизы трудоспособности решаются с учетом степени активности воспалительного процесса, выраженности дыхательной недостаточности и легочной гипертензии, характера выполняемой работы, квалификации работника, а также параметров промышленной пыли. Поэтому при любой степени силикоза необходимо рациональное трудоустройство больных, направление на медико-социальную экспертизу (МСЭ).
При силикозе без дыхательной недостаточности лицам моложе 40 лет, которым противопоказана работа в прежних условиях и которые не имеют достаточного уровня общего или специального образования или второй профессии, необходимо рекомендовать переквалификацию в другие профессии. В случаях, когда перевод на другую работу ведет к потере квалификации и снижению объема трудовой деятельности, определяют III группу инвалидности по профессиональному заболеванию. Работник должен быть признан ограниченно трудоспособным.
При заболевании со стойкими нарушениями функции дыхания и кровообращения (дыхательная недостаточность – ДН II степени и сердечная недостаточность II степени) или при наличии осложнений (туберкулез, частые обострения и непродолжительные ремиссии хронических заболеваний респираторной системы) определяется II группа инвалидности; больные не способны к постоянному профессиональному труду в обычных производственных условиях. В ряде случаев такие пациенты могут работать в специально созданных условиях (на дому, с учетом профессиональных навыков).
При силикозе со стойкими нарушениями функции дыхания и кровообращения (ДН III степени и сердечная недостаточность III степени), а также при наличии тяжелых осложнений определяется I группа инвалидности. Причина инвалидности устанавливается как «профессиональное заболевание». В соответствующих случаях определяется также степень утраты трудоспособности.
Цель исследования. На основе результатов наблюдения клинического случая выявить особенности развития и течения одного из сравнительно редких вариантов пневмокониоза – позднего силикоза.
Материалы и методы. Объектом исследования стал пациент К., 68 лет, который обследовался в консультативно-поликлиническом отделении СевероЗападного научного центра (СЗНЦ) гигиены и общественного здоровья, являющегося клинической базой кафедры военно-полевой терапии Военно-медицинской академии им. С.М. Кирова. Пациент в течение 15 лет работал дробильщиком горно-дробильного цеха Оленегорского щебеночного завода, а затем 12 лет– слесарем-ремонтником этого же предприятия. Последующие 15 лет находился на пенсии. При изучении санитарно-гигиенической характеристики условий труда (основанием для ее составления явилось извещение из СЗНЦ гигиены и общественного здоровья Роспотребнадзора, г. Санкт-Петербург) установлено, что работа дробильщика сопровождалась воздействием пыли выраженно и умеренно фиброгенного действия (гранито-гнейс, более 10% двуокиси кремния) и составляла 90% рабочего времени, а также шума, вибрации и неблагоприятного (охлаждающего) микроклимата [6]. Работа слесаря-ремонтника связана с воздействием на работника абразивной пыли, шума и неблагоприятного климата. Признано, что производственный процесс, оборудование и механизмы имеют технологическое несовершенство, а среди работников данной профессии ранее регистрировались случаи силикоза.
По данным карт аттестации рабочего места дробильщика следует, что содержание фиброгенной пыли в воздухе рабочей зоны превышало предельно допустимую концентрацию (ПДК) в 1,3 раза (5,3±1,3 мг/ м3 при норме 4,0 мг/м3, класс 3.1), воздействие шума превышало предельно допустимый уровень (ПДУ) в 1,1 раза (95 дБ при норме 80 дБ, класс 3.2), локальная вибрация имела место, но ее уровень не определялся. При оценке показателей микроклимата отмечено отклонение показателей температуры воздуха (9,8–12,2 Со при норме 17–23 Со, класс 3.1), скорость движения воздуха и влажность воздуха – в пределах нормы. На рабочем месте слесаря-ремонтника перечисленные выше факторы не превышали ПДК и ПДУ. При общей оценке условий труда с учетом комбинированного и сочетанного воздействия вредных факторов для дробильщика они признаны вредными (класс 3.3), для слесаря-ремонтника – допустимыми (класс 2). За весь период работы у данного работника профессиональные заболевания не устанавливались и к профпатологу он не направлялся.
Обследование больного включало физикальные методы, лабораторные исследования, рентген-диагностику (рентгенография и компьютерная томография грудной клетки), фибробронхоскопию, спирографию.
Результаты и их обсуждение. При поступлении пациент предъявлял жалобы на кашель с выделением мокроты серого цвета, возникающий ночью и утром, одышку при ходьбе, повышенную утомляемость. Перечисленные симптомы беспокоили больного в течение нескольких месяцев.
Состояние пациента расценено как удовлетворительное. При физикальном обследовании – пульс 76 в минуту, левая граница сердечной тупости на 0,5 см кнаружи от левой срединно-ключичной линии, тоны сердца приглушены, акцент II тона над аортой, артериальное давление 160/95 мм рт. ст. Число дыханий 18 в минуту, на фоне жесткого дыхания выслушиваются участки ослабленного, рассеянные сухие хрипы в боковых и нижних отделах легких с обеих сторон. Язык обложен белым налетом, живот безболезненный во всех отделах. Общеклинические, биохимические и иммунологические лабораторные исследования позволили выявить умеренный лейкоцитоз (9,4×109/л), повышение уровня общего холестерина (5,57 ммоль/л), антиген к вирусу гепатита С, мокроту слизисто-гнойного характера, количество лейкоцитов 50‒200 в поле зрения, эритроцитов – 2‒4 в поле зрения. При проведении спирографии выявлены значительные нарушения в аппарате вентиляции по обструктивному типу на фоне умеренного снижения жизненной емкости легких (ЖЕЛ). Пробы с беротеком, атровентом и беродуалом показали отсутствие динамики проходимости дыхательных путей (табл.).
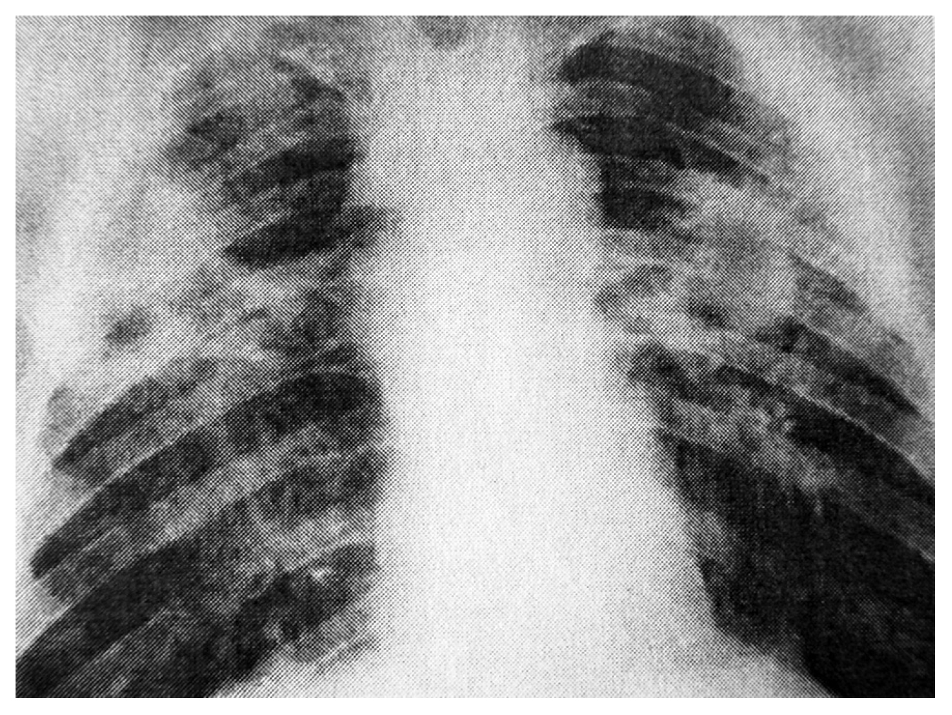
Рентгенологически выявляются интерстициальный ветвисто-сетчатый фиброз (2s) и мелкие (2р) узелковоподобные тени, расположенные преимущественно в средних и нижних отделах и на периферии. В латеральных отделах имеются узелки с тенденцией к слиянию в более крупные (q). Обнаружены рассеянные обызвествленные очаги в нижних отделах в диаметре 0,3–0,5 см больше справа. Корни уплотнены, расширены. Определяется повышенная прозрачность легочных полей в верхних долях (рис. 1).
Рис. 1. Рентгенограмма грудной клетки больного К.
При компьютерной томографии грудной клетки – в десятом сегменте (S10) нижней доли правого легкого выявлено усиление и тяжистость легочного рисунка за счет пневмофиброза, утолщены стенки мелких бронхов. На фоне пневмофиброза обнаружены единичные обызвествления 2–4 см в диаметре. Аналогичные обызвествления определяются в S1 справа, S4, S6 и S10 слева. Обызвествлены отдельные бронхопульмональные узлы слева (рис. 2).
Рис. 2. Компьютерная томограмма грудной клетка больного К.
Фибробронхоскопия позволила выявить двусторонний диффузно-катаральный умеренно выраженный эндобронхит. На электрокардиограмме наблюдаются диффузное нарушение реполяризации, местные нарушения внутрижелудочковой проводимости. При ультразвуковом исследовании брюшной полости и почек визуализируется конкремент левой почки диаметром 0,9 см в нижних чашках, нельзя исключить наличие конкремента в средних чашках диаметром 0,4 см.
Таблица. Спирография и пробы с беротеком, атровентом и беродуалом, % Д
Проба  | ЖЕЛ  | ФЖЕЛ  | ОФВ1  | ОФВ1/ФЖЕЛ  | ПОС  | МОС 50  | СОС 25–75  | |
Беротек  | до  | 93  | 90,7  | 66,6  | 59,1  | 81,9  | 27,8  | 28,1  | 
Беротек  | после  | 91,2  | 80,4  | 63,6  | 63,64  | 85,6  | 28,2  | 27,2  | 
Атровент  | до  | 85  | 79,6  | 63,9  | 64,63  | 74,0  | 33  | 26,9  | 
Атровент  | после  | 82,4  | 78,8  | 65,6  | 67,01  | 86,1  | 28,2  | 25,5  | 
Беродуал  | до  | 77,3  | 78,3  | 63,9  | 65,52  | 74,3  | 28,2  | 29,5  | 
Беродуал  | после  | 85  | 71,2  | 61,6  | 69,58  | 84,7  | 30,6  | 31,9  | 
Примечание: ФЖЕЛ – форсированная жизненная емкость легких; ОФВ1 – объем форсированного выдоха за первую секунду; ОФВ1/ФЖЕЛ – процентное соотношение ОФВ1 к ФЖЕЛ (индекс Тиффно); ПОС – пиковая объемная скорость выдоха; МОС 50 – максимальная объемная скорость выдоха при 50% выдохе от ФЖЕЛ; СОС 25–75 – средняя объемная скорость выдоха 25–75% ФЖЕЛ.
На основании жалоб, анамнеза заболевания, всех результатов обследования установлен основной диагноз (профессиональное заболевание) – поздний силикоз, смешанная форма (2s, 2р, q), II стадия. Двусторонний диффузно-катаральный эндобронхит. ДН II степени. Сопутствующий диагноз (непрофессиональная патология) – ишемическая болезнь сердца: атеросклеротический кардиосклероз. Гипертоническая болезнь II cтадии, артериальная гипертензия 2 степени, риск средний, Н0. Мочекаменная болезнь, конкремент левой почки. Носительство вируса гепатита С.
Заключение врачебной комиссии СЗНЦ гигиены и общественного здоровья: с учетом профмаршрута (согласно записям в трудовой книжке), стажа работы (15 лет) дробильщиком в условиях воздействия высоко фиброгенной пыли с превышением ПДК (кл. 3.1.), охлаждающего микроклимата (кл. 3.1.), результатов динамического рентгенологического наблюдения, данных компьютерной томографии легких, наличия зарегистрированных случаев силикоза в данной профессиональной группе следует считать, что у больного развился поздний силикоз.
При решении вопросов экспертизы трудоспособности учитывалось, что пациент является пенсионером (социально обеспечен). С учетом нарушения функции дыхания II степени без сердечной недостаточности при отсутствии осложнений пациент может работать с применением своих профессиональных навыков, но в условиях отсутствия воздействия пыли, токсических, раздражающих и аллергизирующих веществ, неблагоприятного микроклимата, тяжелых физических нагрузок [5].
Пациент нуждается в направлении на МСЭ для решения вопроса о степени потери профессиональной трудоспособности и возможной инвалидности. Были рекомендованы прием бронхолитиков, муколитиков, отхаркивающих средств, антиоксидантов, антибактериальная терапия по показаниям, лечебная физкультура, массаж, наблюдение и лечение у пульмонолога по месту жительства, санаторно-курортное лечение в санаториях пульмонологического профиля с учетом сопутствующей патологии.
Таким образом, достоверный диагноз заболевания, его форма и стадия установлены на основании оценки профессионального маршрута работника, результатов клинического обследования, рентгенодиагностики и исследования функции внешнего дыхания.
Заключение. Описанный случай позднего силикоза, развившегося через 25 лет после прекращения работы в условиях профессиональной вредности, относится к числу сравнительно редких. Вероятной причиной его возникновения явилось депонирование в легких кварцевой пыли, которая продолжала оказывать фиброгенное действие в условиях измененной реактивности организма, вызванной влиянием различных причин – охлаждения, тяжелого физического труда, курения, аллергизации и др. По причине слабо выраженных клинических проявлений заболевания решающее значение в его диагностике сыграли данные профессионального анамнеза и рентгенологические методы исследования (рентгенография и компьютерная томография), выявляющие специфические для этого заболевания изменения.
Ввиду отсутствия специфических методов лечения силикоза больным проводят патогенетическую и симптоматическую терапию, направленную на коррекцию нарушенных функций со стороны органов дыхания.
Об авторах
Ю. Ш. Халимов
Военно-медицинская академия им. С.М. Кирова
							Автор, ответственный за переписку.
							Email: vmeda-nio@mil.ru
				                					                																			                												                	Россия, 							Санкт-Петербург						
Г. А. Цепкова
Военно-медицинская академия им. С.М. Кирова
														Email: vmeda-nio@mil.ru
				                					                																			                												                	Россия, 							Санкт-Петербург						
А. Н. Власенко
Военно-медицинская академия им. С.М. Кирова
														Email: vmeda-nio@mil.ru
				                					                																			                												                	Россия, 							Санкт-Петербург						
В. В. Шилов
Северо-Западный научный центр гигиены и общественного здоровья; Северо-Западный государственный медицинский университет им. И.И. Мечников
														Email: vmeda-nio@mil.ru
				                					                																			                												                	Россия, 							Санкт-Петербург; Санкт-Петербург						
О. Н. Андреенко
Северо-Западный научный центр гигиены и общественного здоровья
														Email: vmeda-nio@mil.ru
				                					                																			                												                	Россия, 							Санкт-Петербург						
Список литературы
- Бабанов, С. Пневмокониозы: модификация представлений, молекулярно-генетические маркеры, фармакотерапия / С. Бабанов [и др.] // Врач. – 2019. – № 2. – С. 19–26.
 - Избранные лекции по профессиональной патологии у военнослужащих: учебное пособие / Под ред. А.Я. Фисуна, Ю.Ш. Халимова. – СПб.: Фолиант, 2018. – С. 441–464.
 - Косарев, В.В. Профессиональные заболевания органов дыхания / В.В. Косарев, С.А. Бабанов. – М.: Инфа-М, 2013.– 100 с.
 - Пневмокониозы: клинические рекомендации. – М., 2016. – 38 с.
 - Приказ Минздравсоцразвития России № 302н от 12.04.2011 г. // Росс. газета. – 2011. – № 243. – 28 окт.
 - Приказ Минздравсоцразвития России № 417н от 27.04.2012 г. // Росс. газета. – 2012. – № 115. – 23 мая.
 - Профессиональные болезни: учебник / Под ред. А.Я. Фисуна, Ю.Ш. Халимова. – СПб.: Фолиант, 2019. – С. 236–249.
 - Профессиональные заболевания органов дыхания: национальное руководство / Под ред. Н.Ф. Измерова, А.Г. Чучалина. – М.: ГЭОТАР-Медиа, 2015. – С. 404–405.
 
				
			
						
					
						
									



