Tactics of surgical treatment of patients with lumbar spondylolysis
- Authors: Nadulich K.A.1, Khominets V.V.1, Nagornyi E.B.1
-
Affiliations:
- Military Medical Academy. S. M. Kirov
- Issue: Vol 22, No 2 (2020)
- Pages: 84-93
- Section: Articles
- Submitted: 12.11.2020
- Published: 15.06.2020
- URL: https://journals.eco-vector.com/1682-7392/article/view/50052
- DOI: https://doi.org/10.17816/brmma50052
- ID: 50052
Cite item
Full Text
Abstract
The bilateral defect of the pars interarticularis (spondylolysis) is often the cause of low back pain syndrome and can lead to development of spondylolistesis. In some cases inefficiency of conservative treatment of this condition forces orthopedists to use surgical technologies. At the same time, in young patients with intact intervertebral discs, the rigid segmental fixation of the spine should be avoided. Where no neural decompression is needed, selective osteosynthesis of the pars defect is an optimal technique. The authors present the results of surgical treatment of 15 patients with single and two-level lumbar spondylolysis, 4 of which revealed minimal I degree lytic spondylolystesis of the L5 vertebrae. Localization of the pathological process in all patients was noted on both sides. In two patients spondylolysis defects of two vertebrae were detected (in one- adjacent L4 and L5, in the other - L2 and L4 vertebrae with sacralization of L5). The average period from the onset of symptoms ranged from 6 months to 2 years (an average of 14 months). All patients undergone bone autoplasty with iliac crest bone graft, and osteosynthesis of vertebral arches by a combined laminar-transpedicular system of the «screw - rod - hook» type. All patients had excellent and good anatomic and functional results. The used method of surgical treatment of patients of this category should be considered pathogenetically justified, as it is aimed at repair of spondylolytic defects as the main cause of segmental instability and forward displacement of vertebrae. The possibility to avoid fixation of intact segments of spine allows to categorize this operation as organ-preserving.
Full Text
Введение. Под спондилолизом понимают дефект межсуставной части дужки позвонка между верхним и нижним суставными отростками. В основном он выявляется в одном позвонке и очень редко – в нескольких. Термин «spondylolysis» образован от греческих слов «spondylos» – позвонок и «lysis» – разрыв, или дефект. К основным гипотезам возникновения спондилолиза относят перелом во время постнатального периода жизни, нарушения слияния ядер окостенения, «усталостный» перелом (вследствие часто повторяющихся физических однообразных нагрузок, приходящихся на позвоночник), увеличенный поясничный лордоз, слабость поддерживающих позвоночник структур (мышцы, связки) [2, 14].
Ведущей причиной спондилолиза на сегодняшний день считают повторяющееся перенапряжение, концентрирующееся в области межсуставной части дужки поясничного позвонка, в виде растяжения и сжатия на фоне движений в позвоночнике, особенно переразгибания, связанных, как правило, с занятиями спортом [2, 14, 15].
Частота спондилолиза, по данным отечественной и зарубежной литературы, составляет от 3 до 9% в популяции. Наиболее подвержены данному заболеванию эскимосы Аляски (до 26%). В возрасте до 20 лет спондилолиз встречается у мужчин и женщин в соотношении 1:1. После 20 лет количество страдающих спондилолизом мужчин возрастает в 2 раза. Частота спондилолиза выше у молодых спортсменов, что объясняется постоянными повышенными нагрузками, которые испытывает позвоночник во время тренировочного процесса и спортивных состязаний. Дефект межсуставной части дужки обычно носит двухсторонний характер, наиболее часто встречается на уровне L5 позвонка (85–95%), значительно реже – на уровне L4 (5–15%) [2, 24].
Заболевание, как правило, протекает бессимптомно и нередко является «рентгенологической находкой». Однако в ряде случаев спондилолиз сопровождается стойким болевым вертеброгенным синдромом различной степени интенсивности, который приводит к значительному снижению физической активности пациентов. Спондилолиз − одна из наиболее частых причин (около 50%) болевого синдрома в нижней части спины у спортсменов молодого возраста [1, 14, 24].
Двухсторонний спондилолиз является самой частой причиной развития спондилолистеза, который возникает на фоне прогрессирования дегенеративнодистрофических изменений нижележащего межпозвонкового диска [2].
Несмотря на то, что двухуровневые поражения встречаются нечасто (1–2%), у практикующих ортопедов возникают определенные трудности в определении тактики лечения таких пациентов [1, 2, 14, 21].
Заболевание манифестирует постепенно или остро, после интенсивной физической нагрузки (вращательные движения или переразгибание в пояснице) или травмы позвоночника. Боль локализуется в середине нижней части спины и может иррадиировать в ягодичную область или в нижние конечности. При длительно сохраняющемся болевом синдроме у пациентов происходит выраженное ограничение физической и в ряде случаев повседневной активности. Как правило, при отсутствии смещения позвонка и грыжи межпозвонкового диска на уровне смещения неврологический дефицит отсутствует. Также не являются характерными типичные для спондилолистеза II−IV степени симптомы: «ступени», вертикализация крестца, гипотрофия ягодичных мышц («плоских ягодиц»), укорочение туловища (признак «телескопа»).
Клинический диагноз подтверждают данными лучевых методик исследования. Рентгенография позвоночника в стандартных проекциях позволяет исключить альтернативную причину болевого синдрома, например перелом позвонка, а также оценить степень дегенеративных изменений позвоночно-двигательного сегмента (ПДС). Наиболее информативной методикой выявления непосредственно дефекта межсуставной части дужки позвонка является рентгенография в − проекциях (симптом «шотландской собаки»). Функциональную спондилографию выполняют для оценки стабильности позвоночно-двигательного сегмента. В настоящее время для инструментальной диагностики спондилолиза широко используют компьютерную томографию (КТ), однофотонную эмиссионную компьютерную томографию, а также магнитно-резонансную томографию (МРТ) позвоночника. КТ позволяет выявить спондилолиз на ранних стадиях заболевания, когда отсутствует выраженный диастаз между частями дужки, а также определить протяженность зоны склероза кости, прилежащей к дефекту. МРТ обнаруживает изменения МР-сигнала в зоне межсуставной части дужки прежде, чем линия дефекта будет видна на спондилограммах. Роль МРТ трудно переоценить при оценке дегенеративных изменений в ПДС, наличие и выраженность которых имеют значение в выборе тактики хирургического лечения пациентов, страдающих спондилолизом.
Консервативное лечение пациентов, страдающих болевым вертеброгенным синдромом на фоне спондилолиза, включает лечебную гимнастику для укрепления мышц спины и брюшного «пресса», лечебное плавание, электростимуляцию мышц спины и нижних конечностей, физиотерапию. Кроме того, ведущим компонентом лечения является соблюдение пациентами щадящего режима в течение 1 года и более. В этот период полностью исключаются спортивные нагрузки, больной вынужден постоянно использовать жесткий поясничный корсет [2]. Молодые пациенты часто не соблюдают предписанные ограничения. По этой причине, по данным С.П. Миронова и др. [1], восстановление костной структуры в области межсуставной части дужки при консервативной терапии наблюдалось лишь у 7 больных из 117, находившихся на лечении. Таким образом, выявление спондилолиза, протекающего со стойким болевым синдромом, резистентным к консервативному лечению, у молодых пациентов является неблагоприятным прогностическим признаком для спортивной карьеры и ряда профессий, предусматривающих высокую физическую активность.
На протяжении последних десятилетий среди общепринятых методик хирургического лечения пациентов данной категории используются моносегментарная транспедикулярная фиксация позвоночника и спондилодез. Существенным недостатком этих операций является стойкая утрата движений в фиксированном ПДС, что приводит к перегрузке сопредельных с ним сегментов, вызывая болезнь «смежного уровня» (adjacent syndrome disease − ASD). Вероятность такого неблагоприятного сценария значительно возрастает у молодых активных пациентов. С учетом этого обстоятельства были предложены различные методики костной аутопластики и фиксации межсуставной части дужки, позволяющие восстановить анатомическую целостность позвонка и сохранить нормальную функцию пораженного ПДС.
Одна из первых хирургических техник, направленных на восстановление дефекта межсуставной части дужки, описана М. Kimura в 1968 г. [13]. Операция заключалась в костной аутопластике зоны спондилолиза без инструментальной фиксации. В послеоперационном периоде пациенты соблюдали в течение 2 месяцев постельный режим, затем до полугода использовали жесткий корсет. По данным автора, положительный результат был получен у 63 из 69 пациентов. В 1970 г. J. Buck [5, 6] разработал методику, сочетающую костную пластику спондилолизного дефекта с последующей фиксацией дужки позвонка двумя винтами, проведенными через ее межсуставную часть. Хорошие и удовлетворительные результаты отмечены автором у 88% пациентов. К существенным недостаткам данной методики относят непрочную фиксацию, особенно при небольшом размере дужки позвонка, а также уменьшение зоны для укладки аутотрансплантатов за счет проведения винтов непосредственно через «дефект» [7, 10]. Результаты лечения пациентов по методике J. Buck достаточно противоречивы. Так, M. Deguchi et al. [8] указали, что частота осложнений, связанных с несостоятельностью фиксации, составляла от 5,6 до 40%. В то же время, по данным других авторов, консолидация дефекта межсуставной части дужки после операции J. Buck отмечена в 82 – 100% случаев [9, 18]. В семидесятых годах XX столетия R. Nicol и J. Scott [17] предложили для стабилизации дужки позвонка после заполнения дефекта аутотрансплантами использовать проволоку, связывающую между собой остистый и поперечные отростки. Заметим, что проведение проволоки под поперечным отростком в ряде случаев связано с риском значительного кровотечения или повреждением нервного корешка. Также при использовании методики J. Scott нередко возникают проблемы со стабильностью фиксации вследствие разрыва проволоки или ее прорезывания через поперечные отростки. Вследствие этого пациентам в послеоперационном периоде требуется внешняя иммобилизация позвоночника в течение 3−6 месяцев. Для предотвращения прорезывания проволоки, проведенной за поперечные отростки, M. Songer [23] в 1998 г. предложил фиксировать ее к транспедикулярно проведенным в тело пораженного позвонка винтам. В остальном методика M. Songer соответствует технике J. Scott [4]. В 1984 г. Е. Morscher [16] разработал конструкцию, при помощи которой стабилизация аутотрансплантатов в зоне спондилолиза осуществлялась посредством компрессии между специальным удлиненным винтом, проведенным по методике J. Buck, и ламинарным крюком, установленным за пластинчатую часть дужки одноименного позвонка. Техника Е. Morscher, по сравнению с существующими на тот момент времени методиками фиксации, обеспечивала большую стабильность, однако представляла определенные технические трудности при установке металлоконструкции.
Сложности имплантации системы Е. Morscher были обусловлены фиксацией ламинарного крюка непосредственно к винту, что исключало любую степень свободы при монтаже конструкции. По данным научной литературы, частота удовлетворительных исходов при использовании данной методики варьировала в диапазоне от 56 до 82% [12, 22]. Осложнения и неудовлетворительные результаты лечения были связаны прежде всего с техническими ошибками при проведении винта. Избыточная латеральная ангуляция винта приводила к тому, что ламинарный крюк устанавливали под нижний суставной отросток, а не под дужку позвонка. При таком положении элементов металлоконструкции стабильность фиксации и эффективность компрессии через зону спондилолиза существенно снижались [12]. P. Gillet и M. Petit [11] в 1999 г. предложили методику лечения пациентов, страдающих спондилолизом, при помощи системы, состоящей из двух транспедикулярных винтов, в которых фиксируется проведенный под остистым отростком одноименного позвонка V-образно изогнутый стержень. Недостатками системы являются трудность осуществления равномерной компрессии через зоны спондилолиза и недостаточная жесткость фиксации за остистый отросток. Y. Tokuhashi и H. Matsuzaki [26] в 1996 г. для увеличения стабильности фиксации дополнительно устанавливают над остистым отростком поперечный коннектор и фиксируют его к стержню. Решение выглядит неоднозначным, поскольку для монтажа коннектора необходимо выполнить резекцию проксимального отдела остистого отростка, что приводит к снижению его механической прочности.
Несмотря на большое разнообразие представленных выше методик лечения пациентов, страдающих спондилолизом, в настоящее время наибольшее распространение получила техника операции, предложенная R. Taddonio в 1991 г. [25]. Надежная фиксация зоны спондилолиза осуществляется за счет двухсторонней установки компрессирующей металлоконструкции, состоящей из транспедикулярного винта и ламинарного крюка, заведенного под дужку позвонка. Эффективность данной техники убедительно подтверждают данные современной научной литературы, свидетельствующие о том, что частота консолидации спондилолизного дефекта после операции R. Taddonio достигает 79−100% [3, 7, 14, 20].
Доступность выполнения операции для широкого круга ортопедов и нейрохирургов обусловлена наличием необходимых опорных элементов практически в любой современной универсальной системе для фиксации позвоночника. Объем операции заключается в селективной фиксации спондилолизных дефектов ламинарно-транспедикулярной системой с костной аутопластикой (pars defect repair – PDR). Показаниями к применению являются выраженный болевой синдром в пояснично-крестцовой области, единственной причиной которого должен быть нестабильный спондилолиз или нестабильный спондилолистез I степени со смещением не более чем на 10% переднезаднего размера тела позвонка, дегенеративные изменения нижележащего межпозвонкового диска не более II степени по С. Pfirrmann, отсутствие сегментарной линейной нестабильности пораженного позвонка (смещение позвонка на функциональных рентгенограммах на 4 мм и более в одном направлении), ширина зоны спондилолизного дефекта не более 10 мм, наличие зоны склероза кости, прилежащей к дефекту межсуставной части дужки и препятствующей консолидации при консервативном лечении, возраст не старше 21 года, боль в спине без иррадиации в ногу, боль в спине, усиливающаяся при разгибании туловища и уменьшающаяся при наклоне вперед, нормальный сагиттальный и позвоночно-тазовый баланс, отсутствие эффекта от консервативного лечения в течение 6 месяцев [7, 18, 19].
Залогом успешного лечения пациентов, страдающих спондилолизом, помимо скрупулезного выполнения всех этапов хирургического вмешательства, является тщательный отбор кандидатов на операцию по критериям, включающим стадию дегенерации нижележащего межпозвонкового диска, стабильность ПДС, наличие спондилолистеза и прочее [4, 12, 14].
К противопоказаниям относятся тяжелая сопутствующая соматическая патология, а также различные неотложные состояния, которые значительно повышают риск оперативного вмешательства и общей анестезии. Абсолютными противопоказаниями к хирургическому лечению являются спондилолистез II степени и больше, выраженная дегенерация межпозвонкового диска с вертеброгенным болевым синдромом, аномалии развития задних структур позвоночника (spina bifida, мальформации дужки позвонка, врожденное отсутствие ножки дуги позвонка и др.), препятствующие установке элементов металлоконструкции, инфекционные и онкологические поражения в области предполагаемого хирургического вмешательства, тяжёлые формы сахарного диабета, врожденная и приобретенная патология центральной и периферической нервной системы со значительным нарушением функции, сколиотическая деформация на пояснично-крестцовом уровне более 20°, тяжёлые формы иной соматической патологии, препятствующие проведению хирургического вмешательства и эндотрахеального наркоза, а также ситуации, когда причиной болевого вертеброгенного синдрома является не дефект межсуставной части дужки. Относительными противопоказаниями следует считать дегенеративные изменения межпозвонкового диска на уровне спондилолиза III степени по С. Pfirmann, дегенеративные изменения вышележащего межпозвонкового диска.
В предоперационном периоде каждому пациенту назначают клиническое и рентгенологическое обследования, которое в обязательном порядке включает стандартную и функциональную рентгенографию, а также КТ и МРТ пояснично-крестцового отдела позвоночника. На спондилограммах в стандартных проекциях в положении стоя (оптимально – телерентгенография позвоночника, «Full Spine X-Ray») исследуют общий сагиттальный профиль позвоночника, позвоночно-тазовый и фронтальный баланс. При функциональной рентгенографии поясничного отдела позвоночника (сгибание – разгибание) оценивают стабильность пораженного ПДС. Как уже было сказано, хирургическое лечение по предлагаемой методике показано при нестабильном спондилолизе, спондилолистезе I степени с линейным смещением не более 4 мм в одном направлении на функциональных рентгенограммах. КТ позволяет определить ширину дефекта межсуставной части дужки и распространенность зоны остеосклероза. Также следует обращать внимание на наличие остеофитов в зоне спондилолизных дефектов, обращенных в сторону позвоночного канала, которые могут быть причиной невральной компрессии и поэтому требуют удаления. МРТ позволяет определить степень дегенеративного поражения нижележащего межпозвонкового диска и косвенно оценить наличие сегментарной нестабильности (признак Modic I типа). Предлагаемая методика показана при I–II степени дегенеративных изменений в межпозвонковом диске в соответствии со шкалой С. Pfirrmann. Увеличение «захвата» изотопа в области межсуставной части дужки при выполнении однофотонной эмиссионной компьютерной томографии существенно повышает вероятность благоприятного исхода после операции по предлагаемой методике.
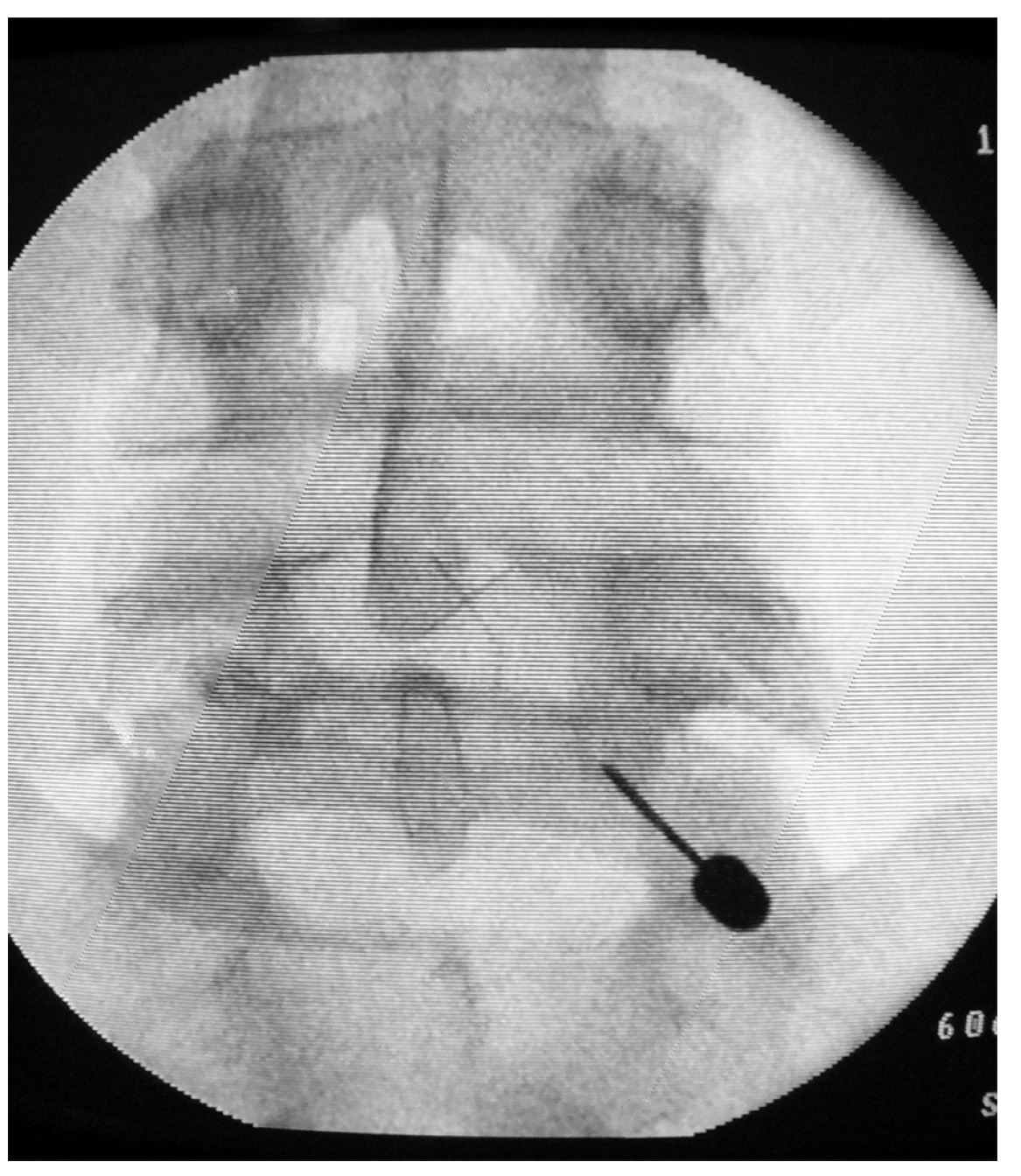
F. Debusscher и S. Troussel [7] считают, что с целью дифференциации болевого синдрома и прогнозирования эффекта хирургического лечения пациентам следует выполнять двухстороннюю тест-блокаду зоны спондилолизных дефектов местным анестетиком длительного действия (0,5% раствором левобупивакаина). Для ее выполнения с целью контроля положения иглы необходимо использовать электронно-оптический преобразователь (ЭОП) или рентген-контроль (рис. 1). При отчетливом положительном эффекте на местную анестезию даже в виде кратковременного купирования болевого синдрома следует рассчитывать на благоприятный результат оперативного лечения. При этом блокада действенна только при отсутствии нестабильности пораженного ПДС, так как болевой синдром после анестезии зоны спондилолиза может сохраниться за счет патологической подвижности позвонка.
Рис. 1. Блокада области правого спондилолизного дефекта L5 позвонка
Если боль после выполнения блокады существенно не уменьшается, хирургическое лечение по предлагаемой методике не проводится.
Техника операции заключается в следующем. Пациента располагают на рентген-прозрачном операционном столе в положении лежа на животе. Под грудь и живот подкладывают подушки. Для определения локализации доступа используют ЭОП в боковой проекции. Верхняя граница разреза расположена на уровне краниального дугоотростчатого сустава L4– L5 (для пластики дефекта L5 позвонка), нижняя – на проксимальном крае дужки S1 позвонка.
Используется срединный доступ в проекции L5–S1 позвонков. Пояснично-крестцовую фасцию рассекают с двух сторон от остистых отростков, сохраняя нади межостистую связки. Поднадкостнично обнажают пластинчатые части дужек и поперечные отростки. При этом следует избегать повреждения капсул дугоотростчатых суставов. Далее методику операции можно условно разделить на пять этапов. Изложенная ниже последовательность этих этапов представляется оптимальной.
На первом этапе под контролем ЭОП проводят транспедикулярные винты в L5 позвонок. Точка введения винта располагается на пересечении двух линий: вертикальной, проходящей через середину основания суставного отростка, и горизонтальной – через центр поперечного отростка. При проведении винтов следует избегать избыточной латеральной ангуляции, чтобы не допустить перфорации медиальной стенки ножки дуги. Длина винтов должна обеспечивать практически бикортикальное их проведение для максимальной стабильности металлоконструкции. Для удобства монтажа металлоконструкции предпочтительно использовать полиаксиальные винты.
Рис. 2. Рентгенограмма (а) и МР-томограмма (б) поясничного отдела позвоночника в боковой проекции, компьютерная томограмма L5 позвонка в аксиальной проекции (в) пациента О. до операции
На втором этапе подготавливают зону спондилолизного дефекта для костной аутопластики. При помощи больших костных ложек ограничивают зону спондилолизного дефекта. Далее кюретками среднего и малого размера удаляют рубцовую ткань – «псевдокапсулу», заполняющую зону дефекта. При этом следует сохранять ее передний и медиальный аспекты, для того чтобы избежать повреждения невральных структур и предотвратить миграцию аутотрансплантатов в позвоночный канал при костной пластике. При помощи высокоскоростной дрели с диаметром бура 3 мм обрабатывают склерозированные торцевые поверхности межсуставной части дужки, резецируя зону остеосклероза до появления признаков губчатой кости или «кровяной росы» с каждой стороны дефекта. Такой дебридмент необходимо делать очень экономно, чтобы максимально сохранить костную ткань и не увеличить диастаз между частями дужки позвонка в зоне спондилолиза. При обработке зоны дефекта следует тщательно контролировать положение костных ложек и фрез и не допускать «провалов» инструмента вентрально и медиально за границы межсуставной части дужки.
Рис. 3. Рентгенограммы пояснично-крестцового отдела позвоночника пациента О. после операции: а – боковая проекция; б – переднезадняя проекция
Третий этап включает забор костных аутотрансплантатов и их помещение в зону дефектов. С целью снижения травматичности операции для этого возможно использовать основной хирургический доступ, который позволяет осуществить подход к задним отделам крыла подвздошной кости. Во время забора трансплантата следует отступить на 1,5 см кпереди от задне-верхней ости, чтобы избежать повреждения ягодичных артерий и седалищного нерва. При пластике дефекта, ширина которого после обработки фрезами не превышает 7 мм, используют только губчатую кость. Для ее получения долотом резецируют верхний кортикальный слой подвздошной кости, а затем костными ложками набирают необходимый объем аутотрансплантатов. Полученную губчатую кость последовательно помещают в зону дефекта, утрамбовывая набойником. Для создания оптимальных условий консолидации зоны дефектов целесообразно использовать именно губчатые аутотрансплантаты, исключая применение крошки из кортикальной кости. Если учитывать, как правило, небольшую по объему зону спондилолизных дефектов, применение альтернативных синтетических остеозамещающих материалов при использовании данной методики не требуется.
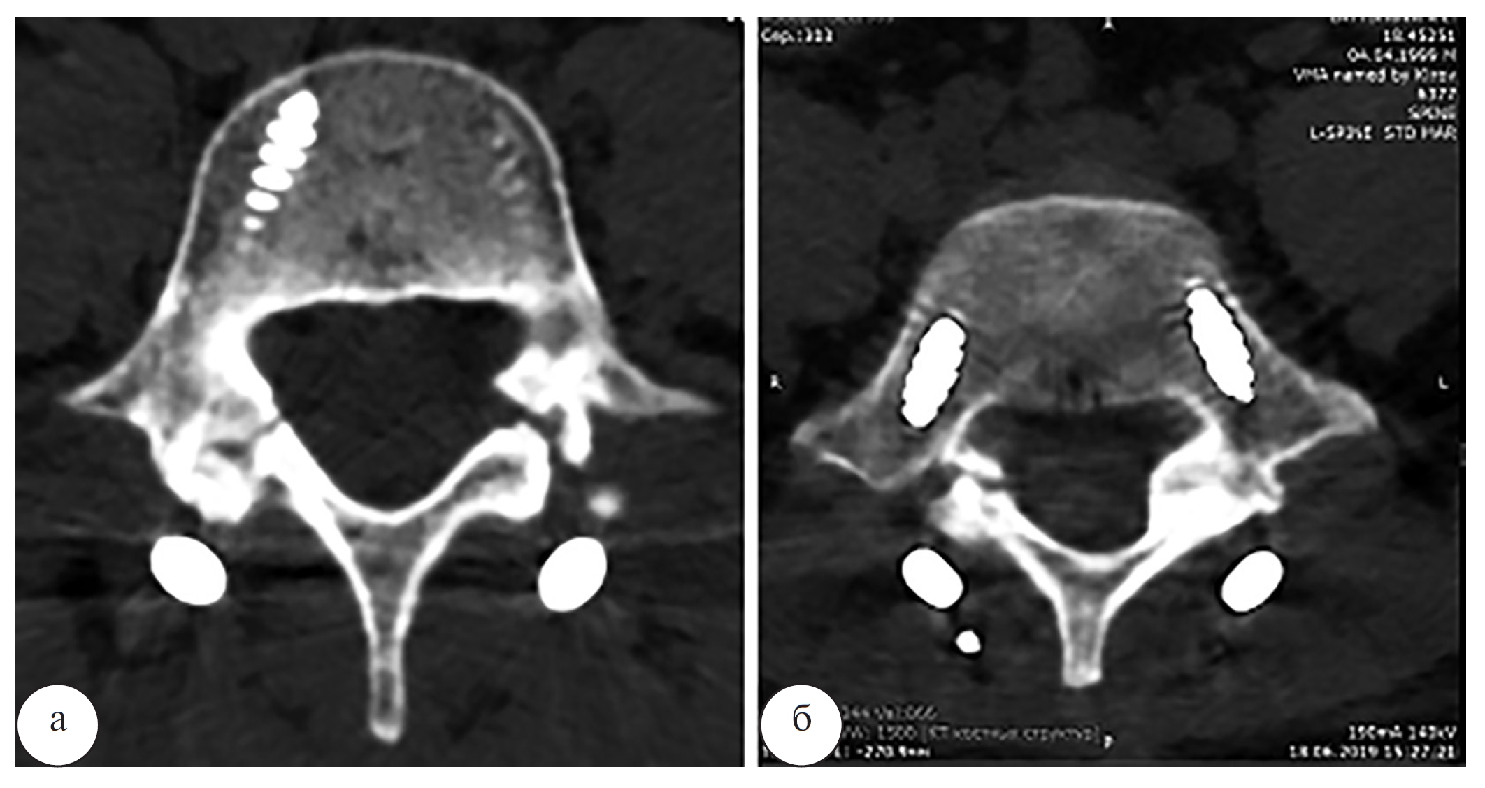
Рис. 4. Компьютерные томограммы поясничнокрестцового отдела позвоночника пациента О. через 4 месяца после операции: а – аксиальная проекция L5 позвонка; б – переднезадняя проекция
В случаях, когда размер дефекта составляет более 7 мм, для костной пластики целесообразно применять структурные монокортикальные аутотрансплантаты. Размер трансплантата зависит от величины дефекта межсуставной части дужки после обработки фрезами и в большинстве случаев составляет 10×10 мм. Их туго внедряют в зону дефекта, располагая таким образом, чтобы губчатые поверхности были направлены к обработанным торцам, а кортикальный – кзади. При правильно подобранном размере трансплантат должен достаточно стабильно фиксироваться в подготовленном ложе даже без инструментальной поддержки. На четвертом этапе после отслоения желтой связки от нижней части дужки L5 позвонка с двух сторон инфраламинарно устанавливают крюки, располагая их ближе к остистому отростку. В некоторых случаях для их правильного позиционирования в нижней части пластинчатой части дужки с помощью кусачек Kerrison необходимо сформировать неглубокие пазы в соответствии с шириной лезвия крюков. Для облегчения монтажа конструкции крюк перед имплантацией фиксируют к стержню и заводят под дужку при помощи держателя.
На заключительном (пятом) этапе осуществляют монтаж системы «винт – стержень – крюк». Перед окончательным затягиванием гаек необходимо осуществить равномерную компрессию между винтом и крюком при помощи контрактора.
Рис. 5. Телерентгенограмма позвоночника (Full Spine X-Ray, а, б) и функциональные рентгенограммы поясничного отдела позвоночника в боковых проекциях (в, г) пациента Л. до операции
После установки металлоконструкции производят ревизию раны на инородные тела, обильно промывают, контролируют гемостаз, устанавливают два активных дренажа. Рану ушивают послойно рассасывающимися швами.
При выполнении операции следует обратить внимание на следующие моменты: в зависимости от толщины и угла наклона пластинчатой части дужки можно использовать стандартный поясничный ламинарный крючок, а в ряде случаев – с увеличенным углом; при использовании моноаксиальных транспедикулярных винтов использование офсетных ламинарных крюков упрощает монтаж системы; как правило, моделирование (изгиб) стержня не требуется; при одноуровневой фиксации целесообразно избегать избыточной ангуляции винта, для того чтобы после монтажа конструкции компрессионное усилие проецировалось через центр спондилолизного дефекта, а не его латеральные отделы; при двухуровневых поражениях смежных позвонков винты в нижний из них следует вводить с несколько увеличенной ангуляцией для предотвращения конфликта с вышележащим крюком.
Рис. 6. Компьютерная томограмма L4 и L5 позвонков в аксиальной проекции (а – L4 позвонок, б – L5 позвонок) и МРтомограмма пояснично-крестцового отдела позвоночника в боковой проекции (в) пациента Л. до операции
Послеоперационное ведение заключается в антибиотикопрофилактике в течение суток. С первого дня после операции назначают дыхательную гимнастику, лечебную физическую культуру (ЛФК) в изометрическом режиме на мышцы нижних конечностей, лимфодренажный массаж ног. Дренаж удаляют на следующие сутки после операции при количестве геморрагического отделяемого меньше 100 мл. Вертикализацию больного осуществляют после удаления дренажей. Швы снимают через 10–12 дней. Послеоперационный рентген-контроль проводят сразу после операции и перед удалением дренажа. Перед выпиской, когда пациент уже ходит в поясничном корсете, целесообразно выполнить КТ поясничнокрестцового отдела позвоночника для оценки положения элементов металлоконструкции, зоны спондилолизных дефектов. Контрольное рентгеновское исследование необходимо выполнить через 1 месяц, а КТ – через 4 и 8 месяцев после операции. Сращение зон спондилолизных дефектов происходит через 4–6 месяцев после операции.
В первые 2 недели после операции показано постоянное ношение полужесткого пояснично-крестцового корсета и ограничение в положении сидя. В сроки до 2 месяцев после операции корсет следует использовать во время работы. Массаж, ЛФК на мышцы спины в изометрическом режиме, лечебное плавание (брасс) назначают через 1 месяц после хирургического лечения. Общий средний срок временной нетрудоспособности после хирургического лечения – до 2 месяцев. От интенсивных физических нагрузок следует воздержаться 4 месяца.
После операции назначают антикоагулянты в профилактических дозах в течение 1 месяца при отсутствии других показаний к их назначению (ривароксабан 10 мг 1 раз в сутки, либо дабигартрана этекселат 220 мг 1 раз в сутки, либо апиксабан 2,5 мг 2 раза в сутки). Вторая группа препаратов направлена на стимуляцию остеогенеза (остеогенон – по 2 капсулы 2 раза в день 3 месяца, кальцемин-адванс – по 1 капсуле 2 раза в день 3 месяца).
Цель исследования. Обосновать эффективность вышерассмотренной методики хирургического лечения пациентов, страдающих спондилолизом поясничных позвонков.
Материалы и методы. Предлагаемая методика была использована в клинике военной травматологии и ортопедии Военно-медицинской академии им. С.М. Кирова при лечении 15 пациентов, страдающих спондилолизом (11) или спондилолизным спондилолистезом L5 позвонка I степени (4), в период с 2008 по
2018 г. [2, 3]. У всех больных отмечена двухсторонняя локализация патологического процесса. У двух пациентов были выявлены спондилолизные дефекты двух позвонков (у одного – смежных L4 и L5, у другого – L2 и L4 позвонков на фоне сакрализации L5). Средний период от начала симптомов варьировал от 6 месяцев до 2 лет (в среднем 14 месяцев). Семейный анамнез спондилолиза был выявлен у двух (13%) человек. Всем пациентам было выполнено хирургическое вмешательство по рассматриваемой методике.
Результаты и их обсуждение. В качестве иллюстраций приводим два наблюдения.
Наблюдение 1. Пациент О., 19 лет, профессиональный спортсмен. Диагноз: двухсторонний спондилолиз L5 позвонка с болевым синдромом. Рентгенограммы, МРТ и КТ пациента О. до операции, сразу после операции и через 4 месяца после операции представлены на рисунках 2–4.
Наблюдение 2. Пациент Л., 19 лет, рядовой контрактной службы. По данным спондилографии, КТ и МРТ позвоночника (рис. 5, 6) был выявлен двусторонний спондилолиз L4, L5 позвонков, минимальный спондилолистез L4 позвонка (I степени). Выполнена операция: костная аутопластика, задний спондилодез дужек четвертого и пятого поясничных позвонков ламинарно-транспедикулярной системой (рис. 7).
Рис. 7. Рентгенограммы пояснично-крестцового отдела позвоночника (а – переднезадняя проекция; б – боковая проекция) и 3D-компьютерные томограммы пояснично-крестцового отдела позвоночника (в – переднезадняя проекция; г – боковая проекция) пациента Л. после операции
Таблица. Результаты лечения пациентов по предлагаемой методике
Уровень | VAS, у. е. | ODI, % | Время наблюдения, лет | Возвращение к работе | ||
до операции | после операции | до операции | после операции | |||
L5 | 8 | 3 | 76 | 24 | 6 | нет |
L5 | 7 | 1 | 72 | 8 | 2 | да |
L5 | 7 | 2 | 64 | 18 | 1 | да |
L5 | 6 | 1 | 56 | 10 | 2 | да |
L5 | 6 | 0 | 58 | 0 | 3 | нет |
L5 | 8 | 2 | 66 | 14 | 4 | да |
L5 | 7 | 1 | 68 | 12 | 2 | да |
L5 | 8 | 2 | 74 | 18 | 3 | да |
L5 | 7 | 3 | 68 | 24 | 4 | да |
L4, L5 | 8 | 2 | 74 | 18 | 5 | да |
L5 | 6 | 3 | 64 | 24 | 2 | да |
L5 | 7 | 1 | 68 | 10 | 3 | да |
L5 | 7 | 2 | 70 | 14 | 2 | нет |
L2, L4 | 9 | 3 | 86 | 22 | 1 | да |
L5 | 7 | 1 | 68 | 6 | 2 | нет |
Длительность операции составила 200 мин, кровопотеря – 200 мл. При контрольных осмотрах было отмечено снижение интенсивности болевого синдрома в соответствии с визуальной аналоговой шкалой боли (visual analog scale – VAS) с 9 до 2, а также значений индекса Освестри (oswestry disability index – ODI) – с 65 до 10%. Начальные признаки сращения спондилолизных дефектов в зоне костной пластики по данным КТ были выявлены уже через 3 месяца после операции (рис. 8).
Рис. 8. Компьютерные томограммы L4 и L5 позвонков в аксиальной проекции (а – L4 позвонок, б – L5 позвонок) пациента Л. через 3 месяца после операции
Ранних и поздних осложнений после операций не было. Во всех случаях достигнута стабильная компрессия и фиксация спондилолизного дефекта с двух сторон. У двух пациентов со спондилолистезом I степени по данным контрольной спондилографии была отмечена частичная или полная редукция смещенного позвонка (табл.). Длительность операции при одноуровневом спондилолизе составила в среднем 154±25 мин, кровопотеря – 100–150 мл. В целом результаты лечения больных прослежены в сроки от 1 года до 8 лет после операции. Отчетливые признаки перестройки костных трансплантатов в зоне спондилолизных дефектов были выявлены при контрольной КТ через 4–6 месяцев после операции. Полное сращение спондилолизных дефектов в зоне костной пластики было отмечено через 8–12 месяцев. Все пациенты отметили купирование болевого вертеброгенного синдрома в течение первого месяца после операции. Во всех наблюдениях прогрессирования спондилолистеза отмечено не было. После периода реабилитации все пациенты вернулись к прежнему уровню физической активности, а через 12 мес. после операции средние значения индекса ODI снизились до уровня минимальных нарушений. В течение периода наблюдения прогрессирования дегенеративного процесса в смежных межпозвонковых дисках не отмечено.
Заключение. Применение данной методики, выполняемой по строгим показаниям при лечении определенной категории пациентов с одноили двухуровневым спондилолизом поясничных позвонков, позволило получить отличные и хорошие анатомо-функциональные результаты хирургического лечения во всех случаях. Устранение патогенетической причины вертеброгенного болевого синдрома с сохранением полного объема движений во всех ПДС позволило предотвратить прогрессирование смещения «спондилолизного» позвонка и развитие дегенеративно-дистрофических процессов в смежных межпозвонковых дисках, что благоприятно повлияло на функциональное состояние пациентов в отдаленные сроки.
Военнослужащие, проходящие военную службу по призыву, после операции признаются негодными к военной службе и подлежат увольнению из рядов Вооруженных сил Министерства обороны Российской Федерации. Военнослужащие, проходящие военную службу по контракту, после оперативного лечения признаются временно негодными к военной службе с необходимостью предоставления отпуска по болезни сроком на 30–45 суток. После консолидации зон спондилолизных дефектов и удаления металлических конструкций военнослужащие могут продолжать военную службу без каких-либо ограничений по данному заболеванию.
About the authors
K. A. Nadulich
Military Medical Academy. S. M. Kirov
Author for correspondence.
Email: vmeda-nio@mil.ru
Russian Federation, Saint Petersburg
V. V. Khominets
Military Medical Academy. S. M. Kirov
Email: vmeda-nio@mil.ru
Russian Federation, Saint Petersburg
E. B. Nagornyi
Military Medical Academy. S. M. Kirov
Email: vmeda-nio@mil.ru
Russian Federation, Saint Petersburg
References
Supplementary files










