Стоматологическая реабилитация полной адентии у пенсионеров Министерства обороны и прикрепленного контингента в военно-медицинских организациях
- Авторы: Музыкин М.И.1, Гребнев Г.А.1, Иорданишвили А.К.1, Терещук С.В.2, Мельников М.В.1
-
Учреждения:
- Военно-медицинская академия им. С.М. Кирова
- Главный военный клинический госпиталь им. акад. Н.Н. Бурденко
- Выпуск: Том 22, № 2 (2020)
- Страницы: 94-105
- Раздел: Статьи
- Статья получена: 12.11.2020
- Статья опубликована: 15.06.2020
- URL: https://journals.eco-vector.com/1682-7392/article/view/50053
- DOI: https://doi.org/10.17816/brmma50053
- ID: 50053
Цитировать
Полный текст
Аннотация
Представлены правовые, экономические и клинические аспекты лечения военнослужащих, пенсионеров военной службы, а также прикрепленного контингента в условиях стационаров Министерства обороны. В основу исследования положены результаты изучения количества дентальных имплантатов, установленных пациентам с 2014 по 2019 г. по данным историй болезни и амбулаторных карт стоматологического пациента двух специализированных отделений многопрофильных стационаров Министерства обороны Российской Федерации. В первичной медицинской документации изучались данные о половой принадлежности и возрасте пациентов, наличии (отсутствии) сопутствующих заболеваний, применяемой имплантационной системе, особенностях установки дентальных имплантатов и их количестве, частоте костнопластических и мягкотканых операций (направленных на увеличение объема костных и мягких тканей альвеолярных отростков (частей) челюстей), а также протокол временного и постоянного протезирования. На основании проведенного анализа описаны современные возможности лечебно-диагностической работы и приведены различные виды ортопедических конструкций на дентальных имплантатах при стоматологической реабилитации вышеуказанных контингентов с полной адентией челюстей (в том числе в случаях, когда по абсолютным показаниям необходимо удаление всех зубов из-за очагов хронической одонтогенной инфекции или пародонтита). Подробно разобраны методики лечения пациентов в случаях сочетания адентии с различной степенью выраженности атрофии альвеолярных отростков (частей) челюстей. Показаны клинические примеры стоматологической реабилитации как с применением методик увеличения объема костных тканей челюстей, так и без них, с использованием различных современных протоколов фиксации ортопедических конструкций на скуловых и корневых дентальных имплантатах, и частота их использования в военно-медицинских организациях Министерства обороны Российской Федерации за отчетный период времени. На основании представленных результатов показано, что в военно-медицинских организациях Министерства обороны Российской Федерации имеется весь спектр возможностей по оказанию услуг комплексной стоматологической помощи пациентам с полной вторичной адентией, даже при наличии экстремальной атрофии костной ткани челюстей.
Полный текст
Введение. Несмотря на значительное усовершенствование диагностических, хирургических и реставрационных методов, применяемых в стоматологии, в настоящее время число пациентов с потерей зубов не имеет тенденции к снижению [2–4]. Это актуально не только для людей старших возрастных групп (в связи с увеличением продолжительности жизни), но и среди лиц молодого и среднего возраста [3, 21–24]. Отсутствие зубов существенно снижает качество жизни человека, затрагивая широкий спектр его жизнедеятельности. Снижение жевательной функции на начальных этапах приводит к недостаточной обработке пищи в полости рта и последующему развитию заболеваний желудочно-кишечного тракта. Дальнейшее разрушение жевательно-речевого аппарата приводит к стойким дисфункциям височно-нижнечелюстного сустава [2, 6, 25]. Возникают проблемы и в социальной сфере: ухудшаются коммуникационные способности индивида в обществе, связанные с нарушением фонации, дикции, изменения конфигурации лица [2, 19]. Отсутствие зубов, как результат не только санации очагов острой и хронической одонтогенной инфекции, но и как последствия травматических и огнестрельных поражений мирного и военного времени делает невозможным исполнение ряда военно-учетных специальностей, в которых фактор целостности жевательного аппарата является основным для реализации повседневных задач военной службы [9, 15, 16]. Известно, что огнестрельные ранения челюстно-лицевой области средней и тяжелой степени, как правило, сопровождаются утратой 4–8 зубов, что требует при стоматологической ортопедической реабилитации таких раненых использовать съемные зубные или зубочелюстные протезы [9, 13], которые восстанавливают функцию жевания не более 25–35% от физиологической [10, 18, 27]. Съемные протезы зачастую плохо фиксируются в полости рта, делают затруднительным полноценный прием пищи, создают некомфортное эмоциональное состояние у пациентов и тем самым не только не способствуют укреплению здоровья в целом, но и приводят к стойкой психологической дезадаптации [6, 19]. Эти факторы необходимо учитывать при подготовке военнослужащих, завершающих свою службу по контракту, к условиям гражданской жизни и социальной адаптации пенсионеров медицинской службы, их семей, а также прикрепленного контингента.
В настоящее время дентальная имплантация заняла одно из ведущих мест в комплексе методов лечения различных стоматологических заболеваний, как основной и наиболее прогрессивный метод восстановления качества жизни пациентов [12, 14, 22, 25]. Проведение дентальной имплантации позволяет широко использовать метод протезирования несъемными ортопедическими конструкциями, повышая тем самым не только эффективность лечения, но и его эстетичность, а в ряде случаев и способствует сохранению военно-учетной специальности [9].
В современном быстроразвивающемся обществе имплантация и протезирование с опорой на дентальные имплантаты становятся доступными не только для населения мегаполисов и региональных центров, но и для удаленных регионов. Потребность в дентальной имплантации постоянно возрастает и не имеет тенденции к снижению [7, 8, 22, 23].
На современном этапе развития научно-технического прогресса установка дентальных имплантатов возможна практически во всех клинических случаях и ограничена только противопоказаниями, которые с каждым годом также сводятся к минимуму, переходя из абсолютных в относительные [1, 8].
Методика дентальной имплантации уже почти на протяжении 20 лет широко применяется не только на кафедре и в клинике челюстно-лицевой хирургии и хирургической стоматологии Военно-медицинской академии им. С.М. Кирова, но и во всех отделениях челюстно-лицевой и реконструктивной хирургии многопрофильных стационаров Министерства обороны Российской Федерации (МО РФ). За это время накоплен колоссальный опыт применения дентальных имплантатов для замещения одиночных отсутствующих зубов, использования имплантатов в качестве опорных элементов съемных ортопедических конструкций, восстановления зубных рядов при лечении полной адентии, проведения костнопластических операций с одновременной или отсроченной установкой имплантатов в условиях выраженной атрофии альвеолярных отростков (частей) челюстей.
На сегодняшний день военнослужащие, члены их семей и прикрепленный контингент самостоятельно закупают дентальные имплантаты и комплектующие к ним. Костнопластический материал и барьерные мембраны, применяемые для увеличения объема костной ткани челюстей, закупаются за счет средств, выделяемых из федерального бюджета на содержание МО РФ. Оперативное лечение и все последующие послеоперационные осмотры также осуществляются для указанного контингента бесплатно, что существенно поднимает приоритет лечения льготного контингента в учреждениях МО РФ. Расходы на использование в зубопротезировании драгоценных металлов, а также дорогостоящих материалов (металлокерамических масс, металлопластмасс, фарфора, оксида циркония, специальных облицовочных пластмасс, нейлона и его аналогов, для изготовления гибких съемных зубных протезов, дентальных имплантатов, аксессуаров к ним, протезов на имплантатах и др.) за счет бюджета не покрываются и оплачиваются пациентом самостоятельно [5].
Для военнослужащих и прикрепленного контингента общее обезболивание, время нахождение в палате интенсивной терапии и стационаре оплачивается также за счет средств, выделяемых из федерального бюджета на содержание МО РФ.
Цель исследования. Оценить социально-экономические аспекты проведения стоматологической реабилитации пенсионеров Министерства обороны и прикрепленного контингента при полной адентии с использованием дентальных имплантатов.
Материалы и методы. В основу исследования положены результаты изучения количества дентальных имплантатов, установленных пациентам с 2014 по 2019 г. по данным историй болезни и амбулаторных карт стоматологического пациента двух специализированных отделений многопрофильных стационаров МО РФ. В первичной медицинской документации изучались данные о половой принадлежности и возрасте пациентов, наличии (отсутствии) сопутствующих заболеваний, применяемой имплантационной системе, особенностях установки дентальных имплантатов и их количестве, частоте костнопластических и мягкотканых операций (направленных на увеличение объема костных и мягких тканей альвеолярных отростков (частей) челюстей), а также протокол временного и постоянного протезирования. Всего было проанализировано 1318 историй болезни и 259 амбулаторных карт. Для описания была отобрана медицинская документация пациентов с полной адентией (167 историй болезни и 16 амбулаторных карт), которым производилась стоматологическая реабилитация различными видами ортопедических конструкций с опорой на дентальные имплантаты. Полученные данные заносились в электронные таблицы Microsoft Exсel и анализировались с использованием пакета для статистического анализа – Statistica for Windows. Вычисляли среднюю арифметическую (X), среднюю ошибку среднего арифметического (m). Различия исследуемых показателей считались достоверными при p<0,05.
Результаты и их обсуждение. За отчетный период было установлено 3067 дентальных имплантатов, чаще всего имплантация проводилась у пациентов среднего возраста. Количество устанавливаемых дентальных имплантатов в учреждениях МО РФ ежегодно возрастает. На рисунке 1 представлена динамика количества устанавливаемых дентальных имплантатов с 2014 по 2019 г.
Рис. 1. Количество дентальных имплантатов, устанавливаемых в специализированных отделениях военно-медицинских организаций МО РФ
У пациентов молодого возраста в 18,6–25,2% случаев, а у пациентов среднего возраста в 22,4–32,5% случаев восстановление непрерывности зубного ряда было связано с сохранением военно-учетной специальности. За отчетный период было выполнено 533 операции костной пластики альвеолярных отростков (частей) челюстей (рис. 2).
Рис. 2. Количество операций аугментации, проводимых отдельно или вместе с дентальной имплантацией в специализированных отделениях военно-медицинских организаций МО РФ
Среди проанализированных историй болезни стоматологическая реабилитация пациентов с полной адентией альвеолярного отростка челюсти (или челюстей) с использованием дентальных и скуловых имплантатов проводилась в 11,6% случаев. Выявлено, что частота лечения полной вторичной адентии, среди пенсионеров МО РФ и прикрепленного контингента составила 9,5%, представленное количество приходилось на все виды ортопедических конструкций. У военнослужащих и лиц из числа прикрепленного контингента обращаемость за стоматологической реабилитацией при полной адентии челюстей ниже, чем аналогичный показатель, в условиях гражданского здравоохранения [2, 3]. Вероятнее всего это связано с ежегодной проводимой диспансеризацией военнослужащих с последующей контролируемой плановой санацией. Наиболее простым способом восстановления жевательной эффективности при полной адентии челюсти (челюстей) в условиях различной степени выраженности атрофии костных и мягких тканей является использование съемных ортопедических конструкций. При выраженной атрофии, особенно нижней челюсти, не удается достичь хорошей фиксации съемного протеза, поэтому в качестве опорных элементов при полной утрате зубов с успехом используются дентальные имплантаты. Распределение изготавливаемых ортопедических конструкций данного вида по годам представлено на рисунке 3.
Рис. 3. Количество и распределение изготавливаемых съемных ортопедических конструкций
Для съемных ортопедических конструкций необходимо не менее 2 дентальных имплантатов на челюсти. Фиксация протезов при этом осуществляется посредством болл-абатментов, системы локаторов или замковой фиксации на балке. Простота данной методики заключается не только в несложном и малоинвазивном хирургическом протоколе, но и в легкопереносимом послеоперационном периоде для пациента. Так, например применение одноэтапных мини-имплантатов позволяет не только быстро и практически «бескровно» выполнить хирургическую операцию, но и в день операции установить (перебазировать) пациенту ранее изготовленные съемные протезы (рис. 4).
Рис. 4. Этап стоматологической реабилитации пациентки Г. 64 лет, включающий установку 2 одноэтапных миниимплантатов и фиксацию ранее изготовленных съемных акриловых протезов: а – вид в полости рта после удаления зубов и установки мини-имплантатов; б – фиксация протезов осуществлена сразу после операции
Классическим и наиболее физиологичным способом восстановления зубных рядов верхней и нижней челюсти является изготовление несъемных ортопедических конструкций на 6 и более дентальных имплантатах. Использование данного способа позволяет выполнить стоматологическую реабилитацию пациента за 1 день с использованием протокола немедленной нагрузки, когда удаление зубов, установка имплантатов и установка временных коронок проводится в один прием. Данный способ позволяет полностью социально и функционально адаптировать пациента. Обычно, в день операции или в течение 3 дней после операции пациенту изготавливается временный пластмассовый протез, которым пациент пользуется в течение 6–8 месяцев, затем протез меняется на постоянный.
Рис. 5. Прогрессирующая утрата мягких тканей в области болл-абатмента у пациентки Л. 57 лет: а, б – изготовление съемной ортопедической конструкции на болл-абатментах в 2014 г.; в, г – контрольный осмотр и смена силиконовых матриц в 2017 г., наблюдается уменьшение объема слизистой в периимплантной зоне; д, е – контрольный осмотр и смена силиконовых матриц в 2019 г., прогрессирование снижения объема слизистой в периимплантной зоне
На рисунке 6 представлена частота изготовления различных видов ортопедических конструкций на 6 и более дентальных имплантатах, за исследуемый период. В отличие от съемных протезов данный вид ортопедических конструкций позволяет не только максимально улучшить гигиену полости рта пациентов за счет правильного профиля прорезывания коронок, но и сделать нагрузку более физиологичной. Усилие сжатия зубных рядов через интегрированный дентальный имплантат передается на костную ткань с формированием физиологического остеомускулярного рефлекса жевательного аппарата, что способствует полному восстановлению его работы [7].
Рис. 6. Количество изготавливаемых несъемных ортопедических конструкций на 6 и более дентальных имплантатах
Клиническое наблюдение пациентки М. 63 лет, в котором использовалась эта методика стоматологической реабилитации, представлена на рисунке 7.
Рис. 7. Восстановление зубного ряда верхней челюсти с помощью несъемной ортопедической конструкции пациентки М. 63 лет: а – исходная клиническая картина в полости рта; б – временная ортопедическая конструкция, изготовленная методом «силиконового ключа» в день операции; в – клиническая картина в полости рта после фиксации постоянных абатментов; г – внешний вид окончательной конструкции из металлокерамики в полости рта; д – улыбка пациентки после завершения стоматологической реабилитации
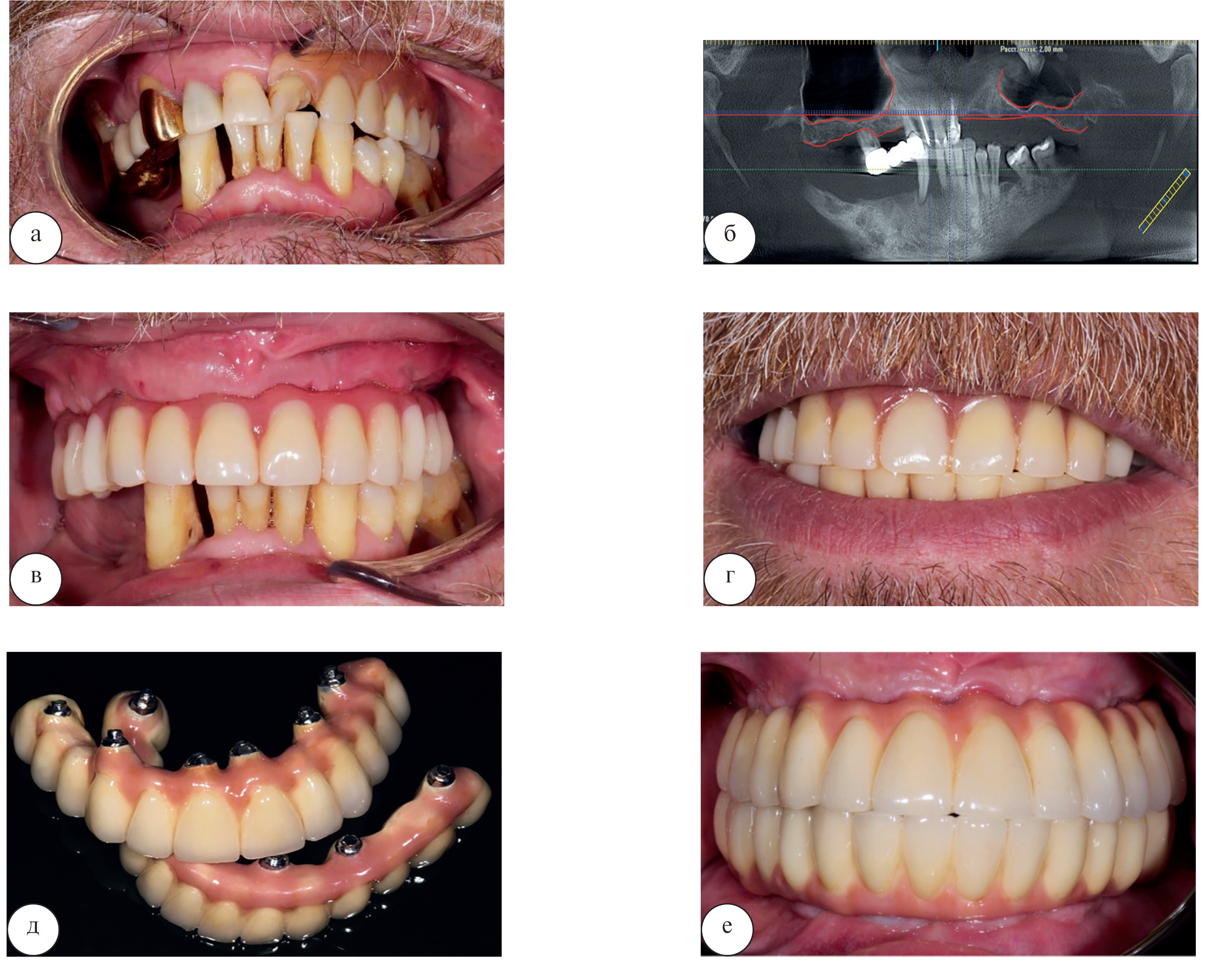
Зачастую, если зубы долгое время отсутствовали на нижней или верхней челюсти или при длительном использовании пациентом полного или частичного съемного протеза, приходится сталкиваться с невозможностью проведения дентальной имплантации без увеличения объема костных и мягких тканей. Современное развитие стоматологии в целом и дентальной имплантологии в частности позволяет, даже несмотря на проведение костной пластики, в большинстве случаев выполнить реабилитацию пациента за 1 день. На рисунке 8 представлен клинический пример проведения дентальной имплантации с увеличением объема костной ткани в области альвеолярных бухт верхней челюсти пациента Г., 69 лет.
Рис. 8. Этапы стоматологической реабилитации с использованием дентальных имплантатов и проведением костной пластики на верхней челюсти и дентальной имплантации без костной пластики на нижней челюсти пациента Г. 69 лет: а – исходная клиническая картина в полости рта; б – срез компьютерной томограммы до начала лечения; в – установка временного условно-съемного акрилового протеза на верхней челюсти; г – улыбка пациента с временными акриловыми протезами на верхней и нижней челюсти; д – условно-съемные металлокерамические протезы обеих челюстей на винтовой фиксации; е – фиксация реставраций в полости рта, завершение стоматологической реабилитации
В данном случае выраженная атрофия альвеолярного отростка в дистальных отделах верхней челюсти не позволяла выполнить дентальную имплантацию без увеличения объема костной ткани по вертикали (субантральной аугментации справа и слева). На нижней челюсти стоматологическая реабилитация проводилась по стандартному протоколу без костной пластики одновременно с верхней челюстью.
Среди современных протоколов стоматологической реабилитации есть те, которые позволяют избежать процедур увеличения объема костных тканей.
Одним из них является протокол на 4 дентальных имплантатах. Впервые он был предложен P. Malo в 2004 г. на дентальных имплантатах Nobel Biocare и назван «All-on-4» [26]. На сегодняшний момент данный протокол становится все более актуальным в мировом стоматологическом сообществе и выполняется по аналогичной схеме на имплантатах многих современных систем. Этот метод является очень популярным на территории нашей страны не только среди стоматологов, но и среди их пациентов [8, 17, 20]. Частота применения протокола с использованием дентальных и скуловых имплантатов за отчетный период времени представлена на рисунке 9.
Рис. 9. Частота выполнения методик имплантации в условиях дефицита костных тканей с использованием дентальных и скуловых имплантатов без применения методик аугментации
Для реализации этого протокола установка имплантатов осуществляется во фронтальном отделе челюстей, где атрофия костной ткани идет не такими быстрыми темпами. Два имплантата в области резцов устанавливаются параллельно, еще 2 – в боковых отделах челюсти (обычно в проекции премоляров) под углом для правильного распределения жевательной нагрузки. Клинический пример стоматологической реабилитации пациентки Ж. 49 лет с использованием четырех дентальных имплантатов представлен на рисунке 10.
Применение методики на 4 дентальных имплантатах позволяет также выполнить установку временной ортопедической конструкции сразу после проведения операции или в течение 3 дней после нее.
Рис. 10. Стоматологическая реабилитация с использованием протокола на 4 дентальных имплантатах у пациентки Ж. 49 лет: а – исходная клиническая картина в полости рта; б – клиническая картина в полости рта после удаления всех съемных конструкций; в – временный условно-съемный акриловый протез установлен по методике немедленной нагрузки; г – улыбка пациента с временными акриловыми протезами на верхней и нижней челюсти; д – вид слизистой в полости рта на контрольном осмотре через год после операции; е – срез компьютерной томограммы через год после операции
Современный пациент врача-стоматолога живет в интенсивном ритме. Все чаще перед специалистом ставится задача не только восстановить эстетическую и жевательную функции больного, но и сделать это быстро, с минимальным количеством посещений и с максимальными гарантиями. Кроме того, большинство пациентов требуют проведения всех хирургических манипуляций безболезненно и желательно под общей анестезией, особенно если работа продолжительна по времени. Эти требования ставят достаточно сложную задачу не только перед стоматологом-хирургом или челюстно-лицевым хирургом, но и перед стоматологом-ортопедом. Особенно это сложно в случаях экстремальной атрофии костной ткани челюстей. Клинический пример стоматологической реабилитации пациентки М., 68 лет, которая в течение 25 лет пользовалась съемными протезами представлен на рисунке 11. С учетом постоянного наличия протеза в полости рта пациента реабилитация проводилась в 3 этапа хирургических операций, в ходе которых производилось восстановление объема костной ткани обеих челюстей. В представленном случае применялись методы субантральной аугментации с обеих сторон на верхней челюсти и направленной костной регенерации во фронтальном отделе верхней челюсти и дистальных отделах нижней челюсти. Общее время реабилитации от начала лечения до установки окончательной конструкции включало достаточно большое количество посещений пациентом стационара и составило около 1,5 лет.
Рис. 11. Последовательность стоматологической реабилитации пациентки М. 68 лет от начала лечения до установки окончательной ортопедической конструкции: а – исходная клиническая картина в полости рта; б – срез компьютерной томограммы до начала лечения; в – перебазировка съемного протеза в полости рта, перевод его в условно-съемный; г – временные ортопедические конструкции на верхней и нижней челюсти; д, е – этап фиксации постоянных условно-съемных акриловых протезов на балке; ж, з, и – окончательный результат лечения; к – срез к контрольной компьютерной томограммы через 2 года после завершения лечения
Безусловно, такой подход достаточно длительный и трудоемкий, но для каждого пациента способ стоматологической реабилитации подбирается индивидуально. Еще одним способом реабилитации пациентов, который позволяет исключить костнопластические операции в условиях экстремальной атрофии на верхней челюсти, является методика скуловой имплантации. Известно, что скуловая кость не подвержена атрофическим изменениям при утрате зубов на челюстях, поэтому ее объем костной ткани возможно использовать для установки имплантатов [11].
Учитывая высокую плотность и анатомические особенности скуловой кости (костные трабекулы расположены перпендикулярно друг к другу, в теле кости преобладает губчатое вещество, отростки скуловой кости состоят в основном из компактного вещества) для скуловых имплантатов характерна высокая первичная стабильность, что позволяет использовать их в протоколе немедленной нагрузки [8, 17, 20]. На рисунке 12 представлена сравнительная характеристика временных затрат пациента при стоматологической реабилитации двумя альтернативными методами: этапной костной пластикой (пример реализации см. рис. 11) и скуловой имплантацией (пример реализации см. рис. 13).
Рис. 12. Временные интервалы установки окончательной ортопедической конструкции при проведении этапной костной пластики (а) и при стоматологической реабилитации с использованием скуловых имплантатов (б)
Безусловно, данная методика имеет свои положительные стороны, она позволяет осуществить стоматологическую реабилитацию быстро и без применения костнопластического материала. Но и не лишена своих недостатков: методика крайне сложна в исполнении, для ее исполнения необходима высокая квалификация челюстно-лицевого хирурга, требует проведения операции под общей анестезией, может быть сопряжена с большим количеством осложнений, чем предыдущий метод [1, 17]. Клинический пример стоматологической реабилитации пациента Х. 58 лет с использованием скуловых имплантатов представлен на рисунке 13.
Рис. 13. Стоматологическая реабилитация пациента Х. 58 лет с использованием скуловых имплантатов: а, б, в – срезы компьютерной томограммы до начала лечения; г, д, е – срезы компьютерной томограммы после лечения; ж – фиксация условно-съемного протеза в полости рта через 24 часа после операции; з – вид ортопедической конструкции в полости рта; и, к – контрольный осмотр через 2 года после завершения лечения
При выполнении диагностической компьютерной томографии у пациента была диагностирована выраженная атрофия альвеолярного отростка верхней челюсти. Толщина костной ткани в области альвеолярной бухты верхней челюсти составляла не более 2 мм. Во фронтальном отделе объем костной ткани также был недостаточен для реализации классического протокола на 4 дентальных имплантатах. Под общей анестезией было проведено оперативное лечение с установкой 2 скуловых имплантатов и 4 дентальных имплантатов, фиксация условно-съемного протеза была осуществлена через 24 часа после операции. Конструкция окончательного протеза для пациента чаще всего изготавливается из акриловой пластмассы на балке или из металлокерамики, но по желанию пациента возможно использование других дорогостоящих материалов – диоксида циркония или металлокомпозита.
Заключение. Современное развитие стоматологии и челюстно-лицевой хирургии открывает перед врачами широкие возможности и позволяет даже в самых сложных клинических ситуациях осуществить стоматологическую реабилитацию пациентов. Число проводимых операций стоматологической реабилитации пациентов с использованием имплантатов не только не имеет тенденции к снижению, но и возрастает с каждым годом. Ежегодное увеличение количества устанавливаемых дентальных имплантатов и проводимых операций по увеличению объема костных и мягких тканей во всем мире возрастает на 10–15%.
В настоящее время военнослужащие, члены их семей и прикрепленный контингент к военно-медицинским организациям МО РФ имеют право на оказание медицинской помощи за счет средств выделяемых из федерального бюджета на содержание МО РФ, за исключением оплаты используемых драгоценных металлов, а также дорогостоящих материалов. Использование возможностей профильных отделений МО РФ позволяет снизить нагрузку на городские стоматологические поликлиники по лечению военнослужащих и членов их семей. В военно-медицинских организациях МО РФ имеется весь спектр возможностей по оказанию услуг комплексной стоматологической помощи пациентам с полной вторичной адентией, даже при наличии экстремальной атрофии костной ткани челюстей.
Об авторах
М. И. Музыкин
Военно-медицинская академия им. С.М. Кирова
Автор, ответственный за переписку.
Email: vmeda-nio@mil.ru
Россия, Санкт-Петербург
Г. А. Гребнев
Военно-медицинская академия им. С.М. Кирова
Email: vmeda-nio@mil.ru
Россия, Санкт-Петербург
А. К. Иорданишвили
Военно-медицинская академия им. С.М. Кирова
Email: vmeda-nio@mil.ru
Россия, Санкт-Петербург
С. В. Терещук
Главный военный клинический госпиталь им. акад. Н.Н. Бурденко
Email: vmeda-nio@mil.ru
Россия, Москва
М. В. Мельников
Военно-медицинская академия им. С.М. Кирова
Email: vmeda-nio@mil.ru
Россия, Санкт-Петербург
Список литературы
- Балин, Д.В. Оценка выживаемости скуловых и корневых дентальных имплантатов / Д.В. Балин [и др.] // Кубанский научн. мед. вестн. - 2016. - № 4 (159). - С. 90-94.
- Веретенко, Е.А. Полная утрата зубов у взрослого человека: возрастные особенности распространенности, нуждаемости в лечении и клинической картины / Е.А. Веретенко [и др.] // Курский научн.-практ. вестн. «Человек и его здоровье». - 2015. - № 4. - С. 30-36.
- Володин, А.И. Возрастные и гендерные особенности потери зубов у населения краснодарского края / А.И. Володин [и др.] // Кубанский научн. мед. вестн. - 2017. - № 5. - С. 31-35.
- Гребнев, Г.А. Нуждаемость в изготовлении полных съемных протезов среди обратившихся за ортопедической помощью на примере Санкт-Петербургского государственного бюджетного учреждения здравоохранения «Стоматологическая поликлиника № 29» / Г.А. Гребнев, С.А. Кобзева, О.Г. Прохватилов // Институт стоматологии. - 2013. - № 1 (58). - С. 8-9.
- Инструкция о порядке оказания стоматологической ортопедической помощи военнослужащим, отдельным категориям граждан, уволенных с военной службы, и членам их семей в Министерстве обороны Российской Федерации. - М.: МО РФ - ГВМУ, 2014. - 5 с.
- Иорданишвили, А.К. Особенности личностного реагирования при замене съёмных зубных протезов на зубопротезные конструкции на искусственных опорах / А.К. Иорданишвили, М.И. Музыкин, Д.В. Балин // Росс. вестн. дентальной имплантологии. - 2017. - № 1. - С. 34-39.
- Иорданишвили, А.К. Остео-мускулярный физиологический рефлекс жевательного аппарата и его характеристика / А.К. Иорданишвили, Ф.Ф. Лосев, М.И. Музыкин // Пародонтология. - 2017. - Т. 22. - № 4 (85). - С. 9-13.
- Иорданишвили, А.К. Скуловые имплантаты в челюстно-лицевой хирургии. - 2-е изд. / А.К. Иорданишвили, Д.В. Балин, М.И. Музыкин / СПб, 2018. - 74 с.
- Иорданишвили, А.К. Сравнительная оценка методов стоматологической реабилитации при последствиях огнестрельных ранений челюстно-лицевой области / А.К. Иорданишвили [и др.] // Воен.-мед. журн. - 2018 - № 9 - С. 43-47.
- Миш, К.Е. Ортопедическое лечение с опорой на дентальные имплантаты; пер. с англ. К.Е. Миш. - М.: Рид Элсивер, 2010 - 616 с.
- Музыкин, М.И. Анатомо-топометрические особенности скуловой кости взрослого человека в рамках практической реализации клинической проблемы челюстнолицевой хирургии по теме «скуловые имплантаты» / М.И. Музыкин, А.К. Иорданишвили // Пародонтология. - 2019. - Т. 24. - № 4. - С. 328-332.
- Музыкин, М.И. Методы костной пластики в амбулаторных стоматологических учреждениях / М.И. Музыкин, А.К. Иорданишвили, Д.В. Поплавский // Институт стоматологии. - 2015. - № 4 (69). - С. 32-34.
- Организация стоматологической ортопедической помощи в военно-медицинских учреждениях Министерства обороны Российской Федерации: метод. рекомендации. - М.: МО РФ - ГВМУ, 2013. - 23 с.
- Параскевич, В.Л. Дентальная имплантология. Основы теории и практики / В.Л. Параскевич. - М.: Мед. информ. аг-во, 2006. - 400 с.
- Постановление Правительства Российской Федерации № 565 от 04.07.2013 года (ред. от 27.02.2020) «Об утверждении Положения о военно-врачебной экспертизе». - М.: Б. и., 2013. - 320 с.
- Приказ Министра обороны Российской Федерации от октября 2014 г. № 770 «О мерах по реализации в Вооруженных Силах Российской Федерации правовых актов по вопросам проведения военно-врачебной экспертизы» - М.: Б. и., 2017. - 65 с.
- Скуловые имплантаты хирургические и ортопедические аспекты (уч. пос.). - СПб.: Человек, 2017. - 74 с.
- Хобкек, А. Руководство по дентальной имплантологии / А. Хобкек, Р.М. Уотсон. - М.: МЕД-пресс-информ, 2010. - 224 с.
- Цыган, В.Н. Психологическая адаптация взрослых людей при потере зубов и устранении дефектов зубных рядов с использованием различных конструкций зубных протезов / В.Н. Цыган [и др.] // Вестн. Росс. воен.-мед. акад. - 2017. - № 2 (58) - С. 49-53.
- Aparicio, C. ORIS criteria of success for the Zygoma related rehabilitation. The (revisited) Zygoma Success / C. Aparicio, R. López-Piriz, T. Albrektsson // Code. Int. J. Oral. Maxillofac. Implant. - 2020. - № 35. P. 366-378.
- Braut, V. Thickness of the radiographic anterior maxillary facial bone wall - a retrospectivestudy using cone beam computed tomography / V. Braut, M.M. Bornstein, D. Buser // Int. J. Periodontics Restorative Dent. - 2011. - № 31. - Р. 12-131.
- Buser, D. Early implant placement following single-tooth extraction in the esthetic zone: biologic rationale and surgical procedures / D. Buser, S.T. Chen, H.P. Weber // Int. J. Periodontics Restorative Dent. - 2008. - № 28. - Р. 441-451.
- Candel-Martí, E. Palatal positioned implants in severely atrophic maxillae versus conventional implants to support fixed full-arch prostheses: Controlled retrospective study with 5 years of follow-up / E. Candel-Martí [et al.] // Med. Oral Patol. Oral Y. Cir. Bucal. - 2015. - № 20 - P. 357-364.
- Chappuis, V. Clinical relevance of dimensional bone and soft tissue alterations post-extraction in esthetic sites / V. Chappuis, M.G. Araújo, D. Buser // Periodontology 2000. - 2017. - Vol. 23. - № 7. - Р. 73-83.
- Cheng, L.L. Alveolar ridge preservation with bone graft may limit physiological ridge loss after tooth extraction / L.L. Cheng [et al.] //J. Am. Dent. Assoc. - 2016. - P. 20-206.
- Maló, P. A new approach to rehabilitate the severely atrophic maxilla using extramaxillary anchored implants in immediate function: a pilot study. / P.Maló, A. Nobre Mde, I. Lopes // J. Prosthet. Dent. - 2008. - № 100 (5) - P. 354-366.
- Nickenig, H.J. Possibilities and limitations of implant placement by virtual planning data and surgical guide templates / H.J. Nickenig, S. Eitner // Int. J. Comput. Den. - 2012. - № 15. - P. 9-21.
Дополнительные файлы















