Эффективность применения аутологичных мезенхимальных стволовых клеток в лечении цирроза печени и способ их визуализации в организме пациента
- Авторы: Коткас И.Е.1, Енукашвили Н.И.1,2, Асадулаев Ш.М.1, Чубарь А.В.2
-
Учреждения:
- Северо-Западный государственный медицинский университет им. И.И. Мечникова
- Институт цитологии Российской академии наук
- Выпуск: Том 22, № 3 (2020)
- Страницы: 35-40
- Раздел: Клинические исследования
- Статья получена: 19.11.2020
- Статья опубликована: 15.12.2020
- URL: https://journals.eco-vector.com/1682-7392/article/view/50528
- DOI: https://doi.org/10.17816/brmma50528
- ID: 50528
Цитировать
Полный текст
Аннотация
Резюме. Рассматривается эффективность влияния аутологичных мезенхимальных стволовых клеток на функцию печеночной ткани при циррозе печени алиментарной этиологии, а также возможность визуализации вводимых клеточных структур с последующим цитологическим подтверждением. Для возможности отследить в организме пациента введенные аутологичные мезенхимальные стволовые клетки проводилось их мечение наночастицами оксида железа. Визуализация введенных клеточных структур осуществлялась при помощи магнитно-резонансной томографии и ультразвукового исследования печени. Спустя 6 месяцев после проведённой клеточной терапии оценивались показатели клинического и биохимического анализов крови, результаты лидокаинового теста, показатели эластографии, а также проводилась оценка динамики проявлений печеночной энцефалопатии. Об эффективности использования аутологичных мезенхимальных стволовых клеток свидетельствовало улучшение вышеперечисленных показателей. Также через 6 месяцев после лечения была выполнена биопсия печеночной ткани из участков фиксации введенных ранее клеточных структур. При гистологическом исследовании наибольшее количество меченых клеток было выявлено в микроузлах печени, а также на границах микроузлов и фиброзных септ. Использование клеточной терапии у пациентов, страдающих циррозом печени алиментарной этиологии, способствует улучшению показателей лабораторных и инструментальных методов исследования. Каких-либо осложнений на фоне проведенной процедуры не выявляется.
Полный текст
Введение. На сегодняшний день хронические заболевания печени различной этиологии стали достаточно значимой проблемой для современной медицины. Около 1 млн человек ежегодно умирают от хронических гепатитов [12]. Несмотря на большое количество различных фармакологических препаратов, предлагаемых для лечения заболеваний печени, у 20–30% пациентов отмечается развитие фиброза и/или цирроза печени [8, 10]. По данным различных источников, развитие цирроза печени на фоне злоупотребления алкоголем составляет от 40 до 80% от всех циррозов печени, а на фоне вирусных гепатитов – от 30 до 40%. Также существует категория больных (10–35%), у которых этиология цирроза печени остается неизвестной [2]. Основная терапия при циррозе печени связана с устранением этиологического фактора, а также с влиянием на имеющиеся симптомы у пациентов [1]. Однако данная терапия зачастую не дает ожидаемого результата, а ортотопическая трансплантация печени всё еще является достаточно сложной и дорогостоящей операцией [6, 15]. В связи с этим возникает потребность в поисках альтернативных методов лечения цирроза печени, к одним из которых относится клеточная терапия. На настоящий момент существует большое количество научных сообщений о применении стволовых клеток в лечении различных заболеваний, в том числе и диффузных заболеваний печени. Исследователи разных стран анализируют эффективность применения клеточных технологий в клинике, однако четкое представление о распределении вводимых клеточных структур в большинстве случаев существует лишь на уровне экспериментальных моделей. При этом ни у кого не возникает сомнений, насколько важно иметь представление о том, как происходит распределение введенных стволовых клеток в организме пациента, что в дальнейшем поможет выбрать наиболее эффективный способ доставки клеточных структур к пораженному органу.
Цель исследования. Оценить эффективность клеточной терапии в лечении цирроза печени и визуализировать вводимые аутологичные мезенхимальные стволовые клетки в организме человека.
Материалы и методы. Демонстрируется собственное клиническое наблюдение пациента А. 56 лет, госпитализированного в хирургическое отделение клиники им. Э.Э. Эйхвальда Северо-Западного государственного медицинского университета им. И.И. Мечникова (СЗГМУ) с диагностированным циррозом печени алиментарной этиологии класса А по Чайлд-Пью. Все клинические процедуры и забор биологического материала осуществлялись в соответствии с Хельсинкской декларацией 1964 г. и ее последующими изменениями [5]. Первичные культуры мезенхимальных стволовых клеток (МСК) жировой ткани выделяли методом ферментации из фрагментов жировой ткани, полученных хирургическим путём с внутренней поверхности бедра. Забор ткани, а также все остальные процедуры осуществлялись при наличии информированного согласия пациента. Фрагмент жировой ткани был измельчен механически и промыт фосфатно-солевым буфером (PBS). В последующем в течение 30 мин при 37°С была проведена инкубация в 0,1% растворе коллагеназы I и IV типов фирмы «Sigma» (Соединенные Штаты Америки – США). Полученная в результате клеточная смесь центрифугировалась в течение 10 мин (400 g). В дальнейшем клетки ресуспендировали в культуральной среде DMEM (1 г/л глюкозы) фирмы «Thermofisher» (США) с добавлением 20% заменителя сыворотки HyClone, антибиотика пенициллина и стрептомицина фирмы «Gibco» (США). Клетки высевали в культуральные флаконы фирмы «TPP» (Швейцария) в количестве 1–4 ×105 кл/см2, культивировали при 37°С, 5% CO2 и 80% влажности в условиях гипоксии (7% O2). Каждые трое суток производилась смена среды. Для анализа экспрессии поверхностных антигенов использовались следующие моноклональные антитела: CD44-FITC/CD73-PE/CD9-PC5/CD105-PC7 и CD34-FITC/ CD117-PE/ CD14-PC5/ CD45-PC7 фирмы «Beckman Coulter» (США). Анализ проводился на проточном цитометре «Navios» фирмы «Beckman Coulter» (США) при помощи полупроводниковых диодных лазеров с длиной волны 488 и 638 нм в соответствии с инструкциями производителя. Определение жизнеспособности клеток осуществлялось при помощи их окрашивания раствором 7AAD, не проникающего внутрь живых клеток, и подсчета процентного содержания неокрашенных клеток. Гейтирование графиков флуоресценции осуществляли по популяции живых клеток, не окрашенных раствором 7AAD, выделяя их по параметрам прямого и бокового светорассеяния. Нами использовались непокрытые наночастицы оксида железа (iron oxide nanoparticles – IONP), соответствующие ТУ 1791-003-36280340-2008 фирмы «Передовые порошковые технологии» (Россия) и представляющие собой смесь частиц с суперпарамагнитными (superparamagnetic iron oxide nanoparticles – SPION) и ферромагнитными свойствами. Подготовка наночастицы оксида железа производилась согласно протоколу, описанному в нашем предыдущем исследовании [3]. Клетки метили при концентрации частиц 300 мкг/мл. Имеющиеся клеточные структуры были введены в артериальное русло печени путем эндоваскулярной хирургии. Через сутки после введения клеток пациенту была выполнена магнитно-резонансная томография (МРТ) органов брюшной полости и грудной клетки и ультразвуковое исследование (УЗИ) печени. Сканирование проводили на магнитно-резонансном томографе «PHILIPS Ingenia» с напряженностью магнитного поля 1,5 Тл и ультразвуковом аппарате «SonoAceR3» фирмы «Samsung Medison» (Южная Корея). Биоптаты ткани печени получали через 6 месяцев после проведения клеточной терапии. Биопсия печени выполнялась при помощи лапароскопии. Забор ткани печени на исследование был осуществлен из мест фиксации введенных ранее клеточных структур. Для проведения иммуногистохимического исследования полученные биоптаты заливали в парафиновые блоки. Срезы подготавливались по стандартным протоколам клинико-лабораторной диагностики. Часть срезов дополнительно окрашивали с помощью качественной реакции на ионы железа (см. ниже). Локализацию ионов железа и классификацию клеток осуществляли при исследовании клеток с помощью микроскопа «Zess Paskal». Выявление в клетках ионов железа осуществлялось при помощи обработки образцов клеточных культур и гистологических срезов гексацианоферратом калия K4[Fe(CN)6] по стандартной методике [1]. Клетки отмывали от среды, фиксировали 4% параформальдегидом в фосфатно-солевом буфере (ФСБ) в течение 20 мин при комнатной температуре. После повторного промывания в ФСБ выполняли окрашивание смесью (1:1) 10% гексацианоферрата калия K4[Fe(CN)6] и 20% HCl в течение 40 мин. При наличии в препарате клеток Fe3+ происходит образование комплексного соединения насыщенного синего цвета – берлинской лазури, KFe [Fe(CN)6]. После окрашивания препараты отмывали дистиллированной водой с последующим анализом с помощью инвертированного микроскопа «EVOS» фирмы «Thermo Fisher» (США). При выполнении гистологического исследования биоптата печени перед окраской производилась депарафинизация с помощью ксилола. После окраски и отмывки стекла выполнялись окрашивание красителем 0,1% Nuclear Fast Red фирмы «Sigma-Merck-Millipore» в течение 1 мин, ополаскивание водой и помещение в заключающую среду HistoMount (фирма «Termo Fisher»). Для оценки эффективности применения клеточной терапии перед началом лечения и через 6 месяцев после проведения терапии пациенту были выполнены контрольные клинический и биохимический анализы крови, эластография печени и лидокаиновый тест. Для оценки наличия и стадия печеночной энцефалопатии использовалась градация С.Д. Подымовой [4].
Статистическая обработка данных и построение графиков проводили в программе GraphPad Prism 7. Данные представлены как среднее ± стандартное отклонение. Для каждого образца эксперимент повторяли не менее трёх раз. Для оценки значимости различий (p<0,05) при анализе пролиферативной активности использовали множественный t-test.
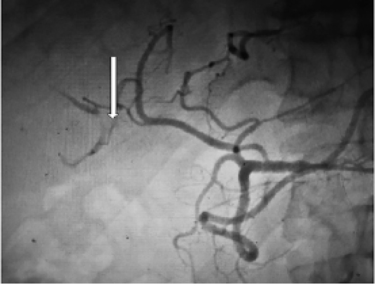
Результаты и их обсуждение. Для проведения клеточной терапии госпитализирован пациент А. 56 лет с диагностированным циррозом печени алиментарной этиологии класса А по Чайлд-Пью, осложнённым портальной гипертензией с варикозным расширением вен пищевода 1-й ст, гиперспленизмом и спленомегалией. Была применена клеточная терапия в виде введения в артериальное русло печени аутологичных мезенхимальных стволовых клеток в количестве 25 ×106 (рис. 1).
Рис. 1. Целиография пациента А. Стрелкой обозначена правая печеночная артерия, в которую вводились аутологичные МСК
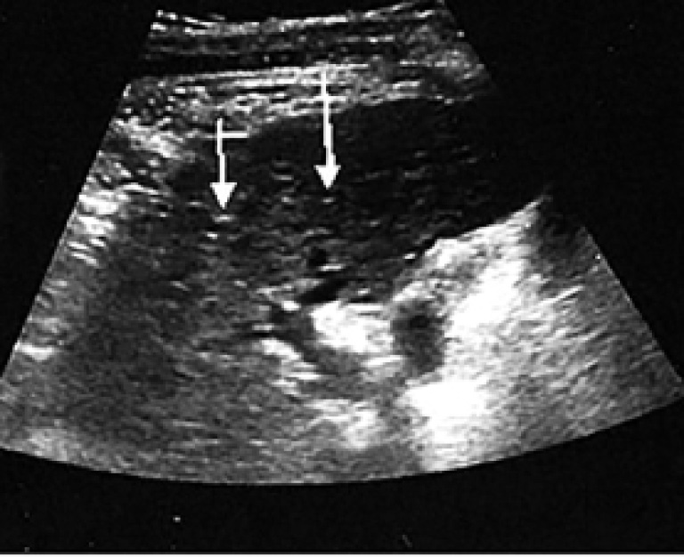
С целью дальнейшей визуализации вводимых клеточных структур в организме пациента предварительно культура аутологичных МСК была обработана наночастицами оксида железа. Через сутки после проведения клеточной терапии пациенту были выполнены МРТ органов брюшной полости и грудной клетки и УЗИ печени (рис. 2, 3).
Рис. 2. МРТ органов брюшной полости через 1 сутки после введения аутологичных МСК в артериальное русло печени. Стрелкой указаны области печени, в которых визуализируются маркированные стволовые клетки
Рис. 3. УЗИ печени через 1 сутки после введения аутологичных МСК в артериальное русло печени. Стрелкой указаны области печени, в которых визуализируются маркированные стволовые клетки
На представленном снимке МРТ органов брюшной полости введенные стволовые клетки визуализируются в правой доле печени. При этом в каких-либо других органах брюшной полости, а также в грудной клетке клеточные структуры не выявлены. При УЗИ печени также удалось визуализировать фиксированные в правой доле меченые клеточные структуры, однако по сравнению с МРТ не представлялось возможным четко определить границы располагающихся МСК.
Все выполненные процедуры пациент перенес удовлетворительно, каких-либо осложнений не отмечено. Под наблюдением в стационаре пациент находился в течение 7 суток и в последующем в удовлетворительном состоянии выписан на амбулаторное наблюдение. Для того чтобы получить лечение с применением клеточных технологий, пациенту необходимо было отказаться от употребления алкоголя как до, так и после проведения терапии, а также в течение 6 месяцев после применения клеточных технологий не использовать каких-либо гепатотропных препаратов. Через 6 месяцев после проведения лечения пациенту были выполнены контрольные исследования, данные которых представлены в таблице.
Таблица
Показатели лабораторных и инструментальных исследований до начала терапии и через 6 месяцев после проведения лечения
Показатель | До начала терапии | Через 6 месяцев после проведения терапии |
Тромбоциты ×109/л | 97,4 | 134,6 |
Эритроциты ×1012/л | 3,4 | 4,7 |
Лейкоциты ×109/л | 3,2 | 6,7 |
Билирубин, мкмоль/л | 24,1 | 17,9 |
Альбумин, г/л | 31,5 | 44,3 |
Аланинаминотрансфераза, Е/л | 67,3 | 21,7 |
Аспартатаминотрансфераза, Е/л | 56,4 | 23,5 |
Щелочная фосфатаза, Е/л | 243,6 | 96,2 |
Гаммаглютамилтранспептидаза, Е/л | 126,7 | 36,4 |
Лидокаиновый тест, нг/мл | значительное снижение функции печени (24 нг/мл) | функция печени в нормальных пределах (51 нг/мл) |
Эластография, кПА | F4 | F4-3 |
Печеночная энцефалопатия | I стадия | Субклиническая стадия |
Из таблицы видно, что у пациента отмечаются достаточно значимое улучшение функции печени и регресс проявлений печеночной энцефалопатии. По данным эластографии печени отмечалось лишь незначительное улучшение состояния паренхимы печени с сохранением проявлений цирроза печени (рис. 4). Через 6 месяцев после проведения клеточной терапии лапароскопически пациенту была выполнена биопсия печени из области печеночной ткани, в которой были визуализированы введенные клеточные структуры.
Рис. 4. Цирротически измененная печень пациента А
При световой микроскопии после инкубации с наночастицами оксида железа и последующей магнитной сепарацией более чем в 90% клеточных культур были выявлены наночастицы (рис. 5а). Мы не исключаем, что остальные клетки также содержали наночастицы малых размеров, недостаточных для визуализации при световой микроскопии.
Согласно принятому определению МСК, предложенному Международным обществом клеточной терапии, на мембране этого типа клеток выявляется определённый набор поверхностных лигандов [7], которые можно выявить с помощью проточной цитометрии после обработки клеток соответствующими антителами (см. раздел «Материалы и методы»). При исследовании характера экспрессии поверхностных антигенов у МСК после добавления наночастиц оксида железа в количестве 300 мкг/мл (рис. 5б) достоверные различия в сравнении с референтными значениями выявлены не были.
По своей пролиферативной активности клетки с наночастицами оксида железа соответствовали контрольным, не содержащим наночастиц (рис. 5в).
Рис. 5. Анализ морфофункциональных свойств клеток, содержащих наночастицы оксида железа: а – общий вид культуры МСК после обработки IONP 300 мкг/мл (масштабный отрезок – 50 мкм). Стрелками отмечены некоторые из IONP; б – результат иммунофенотипирования культур МСК после обработки IONP; в – диаграмма пролиферативной активности МСК, не обработанных IONP (контроль) и обработанных IONP 300 мкг/мл
Таким образом, нами было подтверждено, что включение наночастиц оксида железа не оказывало влияния на базовые характеристики МСК жировой ткани.
Для подтверждения того, что наблюдаемые включения являются именно наночастицами оксида железа (III), использовали окрашивание гексацианоферратом железа. Преимуществом данного метода является возможность визуализировать присутствие в клетке IONP с размером менее 0,5 мкм, которые недоступны для наблюдения в световой микроскоп. МСК жировой ткани в норме не содержат значимого количества Fe3+ и не окрашиваются данным реагентом. Обработанные IONP клетки содержали значительное количество наночастиц оксида железа (III), окрашиваемых гексацианоферратом железа в синий цвет (рис. 6а). При этом окраска наблюдалась только в цитоплазме, но не в ядре.
Рис. 6. Исследование локализации наночастиц оксида железа в клетках методом микроскопии препаратов, окрашенных гексацианоферратом железа: а – в МСК после обработки IONP 300 мкг/мл перед трансплантацией; б – в клетках гистологического препарата биоптата печени, полученного через 6 мес после трансплантации. Масштабный отрезок – 50 мкм. Стрелками отмечены некоторые из IONP
В гистологических препаратах биоптатов печени, полученных из области трансплантации меченых МСК, наибольшее количество окрашенных клеток наблюдали в микроузлах печени, а также на границах микроузлов и фиброзных септ (рис. 6б). В нормальных тканях печени железо (III) или отсутствует, или выявляется в небольших количествах. Содержание железа в гепатоцитах повышается при накоплении гемосидерина и развитии гемосидероза печени, что характерно для пациентов с циррозом печени алкогольной этиологии. Однако у данного пациента гемосидероз диагностирован не был. Наличие окраски в гепатоцитах микроузлов позволяет предположить, что по крайней мере часть трансплантированных клеток, возможно, дифференцируется в гепатоцитарном направлении. МСК различного происхождения способны к такой трансдифференцировке, особенно при помещении их в условия, благоприятные для роста гепатоцитов или при локализации их в тканях печени [9, 13, 14].
Заключение. Необходимость поиска альтернативных эффективных способов улучшения функции печени имеет большое значение не только для гепатологов, но и для хирургической практики, когда оперативному вмешательству на печени подвергаются пациенты, страдающие циррозом. Возможность улучшить функцию печеночной ткани является одним из важных факторов успешного течения послеоперационного периода у данной категории больных. Но для того, чтобы выбрать наиболее эффективный способ введения клеточных структур, необходимо было понять, где и в каких органах они фиксируются. Продемонстрированный нами клинический пример дал возможность визуализировать вводимые клеточные структуры в организме человека, а также показал эффективность использования клеточной терапии в виде улучшения показателей лабораторных и инструментальных методов исследования. Отсутствие каких-либо побочных эффектов и осложнений в послеоперационном периоде подтверждает безопасность использования данного метода лечения.
Об авторах
И. Е. Коткас
Северо-Западный государственный медицинский университет им. И.И. Мечникова
Автор, ответственный за переписку.
Email: inna.kotkas@yandex.ru
Россия, Санкт-Петербург
Н. И. Енукашвили
Северо-Западный государственный медицинский университет им. И.И. Мечникова; Институт цитологии Российской академии наук
Email: inna.kotkas@yandex.ru
Россия, Санкт-Петербург; Санкт-Петербург
Ш. М. Асадулаев
Северо-Западный государственный медицинский университет им. И.И. Мечникова
Email: inna.kotkas@yandex.ru
Россия, Санкт-Петербург
А. В. Чубарь
Институт цитологии Российской академии наук
Email: inna.kotkas@yandex.ru
Россия, Санкт-Петербург
Список литературы
- Абдурахманов, Д.Т. Противовирусная терапия и регрессия фиброза печени при хроническом гепатите В / Д.Т. Абдурахманов // Росс. журн. гастроэнтерологии, гепатологии, колопроктологии. – 2010. – № 1. – С. 14–20.
- Белякин, С.А. Смертность от цирроза печени как индикатор уровня потребления алкоголя в популяции / С.А. Белякин, А.Н. Бобров // Вестн. Росс. воен.-мед. акад. – 2009. – № 3 (27). – С. 189–194.
- Енукашвили, Н.И. Детекция клеток, содержащих интернализованные мультидоменные магнитные наночастицы оксида железа (II,III), методом МРТ / Н.И. Енукашвили [и др.] // Журн. технич. физики. – 2020. – Т. 90, № 9. – С. 1418–1427.
- Подымова, С.Д. Болезни печени: руководство. – 4-е изд., перераб. и доп. / С.Д. Подымова. – М.: Медицина, 2005. – 768 с.
- Хельсинская декларация Всемирной медицинской ассоциации // Морфологія. – 2010. – Т. ІV, № 2. – С. 69–72.
- Crespo, G. Viral hepatitis in liver transplantation / G. Crespo [et al.] // Gastroenterology. – 2012. – № 142. – P. 1373–1383
- Dominici, M. Minimal criteria for defining multipotent mesenchymal stromal cells. The International Society for Cellular Therapy position statement / M. Dominici [et al.] // Cytotherapy. – 2006. – Vol. 8. – № 4. – P. 315–317.
- EASL guidelines. EASL clinical practical guidelines: management of alcoholic liver disease // J. Hepatol. – 2012. – № 57. – P. 399–420.
- Kholodenko, I.V. Mesenchymal Stem Cells in the Adult Human Liver: Hype or Hope? / I.V Kholodenko [et al.] // Cells. – 2019. –№ 8 (10). – P. 1127.
- Lucey, M.R. Alcoholic hepatitis / M.R. Lucey [et al.] // N. Engl. J. Med. – 2009. – № 360. – P. 2758–2769.
- Pogranc, I. D-mannose-Coating of Maghemite Nanoparticles Improved Labeling of Neural Stem Cells and Allowed Their Visualization by ex vivo MRI after Transplantation in the Mouse Brain / I. Pogranc [et al.] // Cell Transplantation. – 2019. – № 28 (5). – P. 553–567.
- Rehm, J. Global burden of alcoholic liver diseases / J. Rehm [et al.] // J. Hepatol. – 2013. – № 1. – P. 160–168.
- Snykers, S. Hepatic Differentiation of Mesenchymal Stem Cells: In Vitro Strategies / S. Snykers [et al.] // Mesenchymal Stem Cell Assays and Applications, Methods in Molecular Biology. – 2011. – Vol. 698. – P. 305–314.
- Stock, P. The generation of hepatocytes from mesenchymal stem cells and engraftment into murine liver / P. Stock [et al.] // Nat Protoc. – 2010. – № 5. – P. 617–627.
- Terai, S. Status and prospects of liver cirrhosis treatment by using bone marrow-derived cells and mesenchymal cells / S. Terai [et al.] // Tissue Eng. Part B Rev. – 2014. – № 20. – P. 206–210.
Дополнительные файлы








