About the effectiveness of cell technologies in extensive soft tissue defects plasty
- 作者: Fistal E.Y.1, Popandopulo A.G.1, Soloshenko V.V.1, Movchan K.N.2,3, Romanenkov N.S.2,3, Yakovenko O.I.2,3, Gedgafov R.M.2,3
-
隶属关系:
- V.K.Gusak Institute of Urgent and Recovery Surgery
- North-Western State Medical University named after I.I. Mechnikov
- *
- 期: 卷 22, 编号 3 (2020)
- 页面: 88-92
- 栏目: Clinical Trials
- ##submission.dateSubmitted##: 19.11.2020
- ##submission.datePublished##: 15.12.2020
- URL: https://journals.eco-vector.com/1682-7392/article/view/50540
- DOI: https://doi.org/10.17816/brmma50540
- ID: 50540
如何引用文章
详细
Abstract. Fetal fibroblast culture transplantation results were evaluated in the treatment of 18 burn victims. Comparison group consisted of 18 burn patients received medical care without cellular technologies utilization. The main comparison parameters in the study groups: the timing of the first stage of autodermoplasty; the number of autodermoplasties during the treatment; hospitalization duration; the newly formed epidermis area estimation. Fetal fibroblast culture transplantation in burn patients with extensive skin defects was performed on average 14,88±3,56 days after the injury. The timing of the first stage of autodermoplasty did not differ in the main and control groups, not exceeding an average of 19,12±2,01 days (p=0,48). An average of 2,71±0,67 surgeries using cell technologies performed in patients of the study group. The use of fetal fibroblasts culture in patients with extensive skin defects reduces the need for autodermoplasty by 1,6 times due to the granulation tissue formation and the epidermal growth beginning 7 days after and complete epidermal formation 14 days after transplantation. Regenerative medicine technologies utilization in patients with extensive skin lesions is possible and appropriate. Due to the fetal fibroblasts culture transplantation a kind of temporary biological coating is formed in the wound. It accelerates the wound healing process phase change from exudation to proliferation and the preparation of skin defects for autodermoplasty, expanding the possibilities of effective patients treatment.
全文:
Введение. Современные технологии пластической хирургии отличаются инновационностью, так как подобные методики оказания медицинской помощи (МП), используемые преимущественно для устранения дефектов покровных тканей человека, сопряжены с необходимостью достижения максимальных эстетических результатов [6, 11, 12]. Однако успехи пластического закрытия обширных раневых поверхностей с приемлемым эстетическим эффектом неоднозначны у специалистов разных медицинских организаций (МО), целенаправленно занимающихся реконструктивной хирургией. Чаще всего неудачи связываются с дефицитом донорских возможностей организма человека. Это подтверждается как при оценке результатов использования свободной трансплантации кожных лоскутов, так и при изучении эффективности перемещения комплексов тканей посредством микрохирургических технологий [8, 11].
Технологии регенеративной медицины в перспективе рассматриваются инновационно привлекательными на путях поиска возможностей устранения проблем лечения больных и пострадавших с обширными дефектами покровных тканей [1–3, 5, 10, 13, 14]. Последние могут обусловливаться не только термической травмой, но и осложнениями реконструктивных операций, проводимых в том числе и больным злокачественными новообразованиями [4, 7, 9]. Поэтому анализ данных о возможностях применения трансплантации культуры фетальных фибробластов (ФФбл) в случаях лечения пациентов с обширными дефектами мягких тканей после разного рода повреждений – особый предмет научных изысканий в хирургии в целом и пластической хирургии в частности, значимо важный как исследование фундаментальной направленности.
Цель исследования. Оценить теоретическую и практическую значимость трансплантации культуры ФФбл при оказании медицинской помощи больным и пострадавшим в случаях обширных дефектов кожного покрова.
Материалы и методы. Проанализированы данные об особенностях обследования и лечения 18 пострадавших от ожогов, перенесших трансплантацию культуры ФФбл (основная группа – ОГ). Группу контроля (КГ) составили 18 обожженных, которым МП оказывалась без применения клеточных технологий (КлТ). Все пациенты письменно подтвердили свое согласие на участие в проведении исследования. Группы пострадавших от ожогов были сопоставимы по возрасту, параметрам общей площади ожога и площади глубокого поражения (табл. 1).
Таблица 1
Основные показатели пострадавших от ожогов
Показатель | ОГ | КГ | p, критерий Манна – Уитни |
Возраст, лет | 34,29±2,03 | 38,29±2,09 | 0,19 |
Общая площадь ожога, % п. т. | 57,06±4,72 | 44,35±5,13 | 0,125 |
Площадь глубоких ожогов, % п. т. | 8,47±1,95 | 5,45±2,15 | 0,69 |
Примечание: п. т. – поверхность тела.
Индикаторными параметрами сравнения в группах обозначены: сроки проведения первого этапа аутодермопластики (АДП); частота выполнения АДП; продолжительность госпитализации; данные о площади образовавшегося эпидермиса. В исследовании не рассматривались сведения о пострадавших, которым трансплантация клеточной культуры осуществлена при лечении поверхностных (II–III А степени) ожоговых ран, а также случаи трансплантации менее 10 доз культуры ФФбл на одну манипуляцию.
Материал для выделения культуры ФФбл получен в процессе планового прерывании беременности (по социальным показаниям) здоровым женщинам на сроках гестации до 10 недель. Пациентки письменно подтвердили согласие на забор биоматериала. Изоляция ФФбл осуществлялась сотрудниками лаборатории клеточного и тканевого культивирования Института неотложной и восстановительной хирургии им. В.К. Гусака в соответствии с международными стандартами надлежащей производственной практики (good manufacturing practice) и надлежащей тканевой практики (good tissue practice).
Перед хирургическим вмешательством в операционной пациентам ОГ иммобилизовался пораженный сегмент конечности, проводился туалет ожоговой поверхности с удалением фибрина и остатков некротизированных тканей. На подготовленные таким образом раневые поверхности трансплантировались 100 мл (10–20 чашек Петри) культивированных ФФбл с обработкой поверхности ран совокупной площадью от 1000 до 2000 см2 (7–15% п. т.).
На участках глубокого ожога некрэктомия (НЭ) проводилась после целенаправленной терапии ожогового шока. В случаях глубоких ожоговых поражений, локализованных в функционально важных областях тела, НЭ выполнялась этапно в первые две недели после травмы. При необходимости подготовки раневой поверхности к закрытию расщепленным кожным лоскутом в зону раны трансплантировалась культура ФФбл.
С целью анализа особенностей морфологического строения ран и выявления знаковых гистологических критериев, на основании которых можно судить о влиянии пересадки культуры ФФбл на течение раневого процесса в сравнении с традиционной хирургической обработкой раневых поверхностей, в 14 случаях проспективно изучены особенности гистоархитектоники ожоговых ран и продолжительность их эпителиализации в динамике (через 7 и 14 дней) после пересадки культуры ФФбл. С этой целью во время этапных хирургических вмешательств на 7-е и 14-е сутки после трансплантации культивированных ФФбл размечены и иссечены два полнослойных одинаковых участка поврежденной кожи площадью 0,25 см2, расположенных на наружной и задней поверхностях плеча пострадавших. Идентичность глубины повреждения кожи во время операции подтверждалась посредством лазерной допплеровской флоуметрии (один из участков маркировался как контрольный). Раны контрольного участка обрабатывались мазями на водорастворимой основе. Для обеспечения условий, сходных с таковыми на участке трансплантации культуры ФФбл, в зоне контроля поддерживалась влажная раневая среда посредством применения сетчатых гидрофобных или пленочных покрытий.
Исследование микропрепаратов тканей, окрашенных гематоксилином и эозином, осуществлялось на микроскопе «Olympus AX 70 Provis» (Япония) со съемкой на видеокамеру «Olympus DP 50» (Япония). Площади эпидермального пласта на участках контроля и исследования вычислялись автоматически методом морфометрии с использованием компьютерной программы анализа изображений AnalySIS Pro 3,2 фирмы «SoftImaging» (Германия).
Полученные данные обрабатывались статистически с применением программы Statistica 6,0 для Windows. Проверка нормальности распределения осуществлялась с помощью критериев Колмогорова – Смирнова и Шапиро – Уилка. Для сравнения нормально распределенных количественных данных пользовались t-критерием Стюдента. В случаях, когда гипотеза о нормальности распределения отвергалась, применяли критерий Манна – Уитни. Для сравнения категориальных данных пользовались критерием χ2. Различия в группах исследования считали статистически значимыми при р<0,05.
Результаты и их обсуждение. Пострадавшим от ожогов осуществлено 46 манипуляций по трансплантации культуры ФФбл, при этом использовано 498 доз аллофибробластов. В среднем пациентам ОГ выполнено 2,71±0,67 операций с применением КлТ. В одном из случаев пострадавшему осуществлено 5 трансплантаций культуры ФФбл. Пересадка культуры ФФбл в среднем проведена через 14,88±3,56 суток после ожоговой травмы. На рисунке 1 представлен вид верхней конечности пострадавшего от ожогов, которому МП оказывалась с применением технологий КлТ.
Рис. 1. Вид верхней конечности после пересадки ФФбл: а – зоны трансплантации ФФбл; б – расщепленный кожный лоскут; в – гранулирующие поверхности
Статистически значимые отличия в показателях средних сроков проведения первого этапа АДП не выявлены (в ОГ – 19,12±2,01 суток, в КГ – 18,88±1,12 суток, р=0,48).
Осуществление трансплантации культуры ФФбл не влияет на продолжительность госпитализации пострадавших. В частности, средняя длительность стационарного лечения пациентов ОГ и КГ составила 42,06±3,09 и 40,82±2,56 суток соответственно (р=0,95).
Использование трансплантации ФФбл при обработке раневых поверхностей у пострадавших от ожогов позволяет снизить частоту проведения АДП. Пациентам ОГ за период лечения потребовалось выполнение 1,35±0,21 АДП, а пострадавшим КГ таких операций выполнено в среднем 2,12±0,28, то есть снижение потребности в проведении АДП отмечается в 1,6 раза (р=0,027).
Уменьшение частоты проведения АДП, вероятно, обусловлено рядом обстоятельств: 1) нанесение ФФбл на рану одномоментно с аутодермотрансплантатами позволяет увеличить коэффициент перфорации расщепленных лоскутов до соотношения 1:4, 1:6, что обеспечивает более рациональное расходование донорских ресурсов пациентов и оптимизацию приживления перфорированных трансплантатов; 2) при трансплантации ФФбл происходит стимуляция краевой эпителизации в раневых поверхностях.
При микроскопии гистологических препаратов из ожоговых ран, через неделю после НЭ и трансплантации культуры ФФбл выявляются различия в морфологическом строении исследуемого и контрольного участков. На исследуемом участке появляется грануляционная ткань, небольшие островки эпидермиса при сохраняющейся инфильтрации нейтрофильными лейкоцитами, что подтверждает процесс гнойного воспаления в ране (рис. 2).
Рис. 2. Микроскопический вид биоптата из ожоговой раны через 7 суток после трансплантации ФФбл: а – грануляционная ткань; б – формирующийся эпидермис; в – нейтрофильная инфильтрация. Окраска гематоксилином и эозином, ув. ×30
Морфологическая микрокартина на контрольном участке (рис. 3) преимущественно отражала процесс гнойного воспаления, наиболее выраженного вокруг придатков кожи.
Рис. 3. Микроскопический вид зоны контрольного участка через 7 суток после НЭ: а – кратерообразные дефекты дермы; б – участок нейтрофильной инфильтрации. Окраска гематоксилином и эозином, ув. ×75
Данные морфологических исследований позволяют считать, что трансплантация ФФбл способствует ускорению формирования эпидермиса на 7 суток по сравнению со случаями оказания МП больным без применения клеточных технологий (p<0,05).
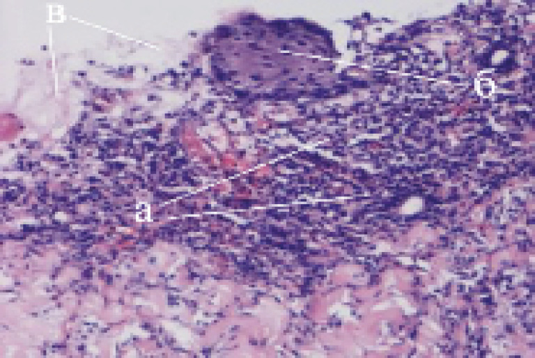
При микроскопии биопсийного материала через 14 суток после трансплантации культуры ФФбл выявлялся активный рост грануляционной ткани разной степени зрелости. Верифицировано множество фибробластов с базофильной цитоплазмой, на отдельных участках сохранялась инфильтрация нейтрофилами. Также наблюдается завершение формирования эпидермиса (рис. 4.), что подтверждает предположение о роли сохранившихся дериватов кожи в сокращении продолжительности эпителизации раневых поверхностей при мозаичных дермальных ожогах.
Рис. 4. Микроскопический вид биоптата ожоговой раны через 14 суток после трансплантации культуры ФФбл: а – эпидермис; б – фибробласты; в – нейтрофильная инфильтрация. Окраска гематоксилином и эозином, ув. ×37,5
На контрольных участках ожоговой раны инфильтрация нейтрофилами оказалась более выраженной, грануляционная ткань незрелая, представлена тонким слоем. Рост эпидермиса лишь в виде небольших островков (рис. 5).
Рис. 5. Микроскопический вид биоптата ожоговой раны через 14 суток после НЭ: а – нейтрофильная инфильтрация; б – грануляционная ткань; в – участки эпидермиса. Окраска гематоксилином и эозином, ув. ×75
При морфометрической оценке исследуемых участков выявлено, что через 14 суток после трансплантации культуры ФФбл средняя площадь пласта регенерировавшего эпидермиса составила 6,24±0,26 мм2, на контрольных участках аналогичный параметр не превышал 3,66±0,17 мм2 (p<0,05). Следовательно, трансплантация культуры ФФбл при лечении пострадавших от ожогов способствует увеличению площади формирования эпидермиса в 1,7 раза.
Макроскопически на исследуемых участках у большинства (11 из 14) пострадавших к 7-м суткам в ожоговых ранах сформировалась грануляционная ткань, что подтверждает возможность осуществления АДП. Это означает, что трансплантация ФФбл ускоряет процессы формирования, созревания и структурирования грануляционной ткани, способствует началу роста эпидермиса уже через 7 суток и завершению его формирования через 14 дней после применения КлТ. Использование культуры ФФбл при лечении пострадавших от ожогов позволяет раньше восстановить эпителий на участках поверхностного дермального ожога, а при мозаичном поражении ускорить формирование эпидермиса.
Таким образом, использование трансплантации культуры ФФбл при лечении пострадавших от ожогов позволяет сформировать в зонах ожоговых дефектов кожи своеобразное временное биологическое покрытие, что, в свою очередь, способствует сокращению времени подготовки раневой поверхности к АДП за счет ускорения темпов перехода раневого процесса из фазы экссудации в фазу пролиферации. Это повышает возможности эффективного лечения больных с обширными дефектами кожи. Вероятно, применение технологий регенеративной медицины перспективно и в плане улучшения результатов оказания МП пациентам с обширными повреждениями кожного покрова не только при ожогах. Однако для более масштабного внедрения КлТ необходимо проведение специальных клинических исследований.
Выводы
- Количество хирургических вмешательств с применением КлТ, осуществленных при оказании МП пострадавшим от ожогов, в среднем составляет 2,71±0,67.
- Сроки проведения первого этапа АДП в случаях трансплантации ФФбл пациентам с ожоговыми дефектами кожи не отличаются от таковых в КГ, в среднем, не превышая 19,12±2,01 суток (р=0,48).
- Трансплантацию культуры ФФбл пациентам с термическими повреждениями целесообразно планировать на 5 суток раньше (в среднем через 14,88±3,56 суток после ожоговой травмы) прогнозируемых сроков проведения первой АДП.
- Применение культуры ФФбл в хирургическом лечении пострадавших с обширными ожоговыми дефектами кожного покрова позволяет уменьшить потребности в проведении пациентам АДП в 1,6 раза.
- Трансплантация культуры ФФбл при закрытии раневых поверхностей у обожженных ускоряет процессы формирования, созревания и структурирования грануляционной ткани, способствуя инициации роста эпидермиса уже через неделю и завершению его формирования через 14 дней после применения КлТ, что уменьшает необходимость проведения пластических операций этому контингенту пострадавших.
作者简介
E. Fistal
V.K.Gusak Institute of Urgent and Recovery Surgery
Email: nickrom@inbox.ru
俄罗斯联邦, Donetsk
A. Popandopulo
V.K.Gusak Institute of Urgent and Recovery Surgery
Email: nickrom@inbox.ru
俄罗斯联邦, Donetsk
V. Soloshenko
V.K.Gusak Institute of Urgent and Recovery Surgery
Email: nickrom@inbox.ru
俄罗斯联邦, Donetsk
K. Movchan
North-Western State Medical University named after I.I. Mechnikov; *
Email: nickrom@inbox.ru
俄罗斯联邦, Saint Petersburg; Saint Petersburg
N. Romanenkov
North-Western State Medical University named after I.I. Mechnikov; *
Email: nickrom@inbox.ru
俄罗斯联邦, Saint Petersburg; Saint Petersburg
O. Yakovenko
North-Western State Medical University named after I.I. Mechnikov; *
Email: nickrom@inbox.ru
俄罗斯联邦, Saint Petersburg; Saint Petersburg
R. Gedgafov
North-Western State Medical University named after I.I. Mechnikov; *
编辑信件的主要联系方式.
Email: nickrom@inbox.ru
俄罗斯联邦, Saint Petersburg; Saint Petersburg
参考
- Авантажиато, А. Биостимуляция и биоревитализация: влияние различных препаратов на фибробласты кожи человека / А. Авантажиато [и др.] // Инъекционные методы в косметологии. – 2015. – № 1. – С. 60–66.
- Шевелева, О.Н. Фибробласты кожи зародышей и их участие в регенерации кожных ран и скелетных мышц / О.Н. Шевелева [и др.] // Мед. акад. журн. – 2016. – № 4 (16). – С. 244–245.
- Bajouri, A. Long-term follow-up of autologous fibroblast transplantation for facial contour deformities, a non-randomized phase IIa clinical trial / A. Bajouri [et al.] // Cell J. – 2020. – № 22 (1). – Р. 75–84.
- Jagsi, R. Impact of Radiotherapy on Complications and Patient-Reported Outcomes After Breast Reconstruction / R. Jagsi [et al.] // J. Natl. Cancer Inst. – 2018. – № 110 (2). – Р. 157–165.
- Klama-Baryła, A. Autologous and Allogeneic Skin Cell Grafts in the Treatment of Severely Burned Patients: Retrospective Clinical Study / A. Klama-Baryła [et al.] // Transplantation Proceedings. – 2018. – № 50 (7). – Р. 2179–2187.
- Kwasnicki, R.M. Fifty Years of Innovation in Plastic Surgery / R.M. Kwasnicki [et al.] // Arch. Plast. Surg. – 2016. – № 43 (2). – Р. 145–152.
- Lo, S.L. Factors Influencing Postoperative Complications in Reconstructive Microsurgery for Head and Neck Cancer / S.L. Lo [et al.] // J. Oral Maxillofac. Surg. – 2017. – № 75 (4). – Р. 867–873.
- Markiewicz, M.R. The Evolution of Microvascular and Microneurosurgical Maxillofacial Reconstruction / M.R. Markiewicz [et al.] // J. Oral Maxillofac. Surg. – 2018. – № 76 (4). – Р. 687–699.
- Meresse, T. Complications of autologous breast reconstruction / T. Meresse [et al.] // Ann. Chir. Plast. Esthet. – 2019. – № 64 (5–6). – Р. 594–619.
- Pajardi, G. Skin substitutes based on allogenic fibroblasts or keratinocytes for chronic wounds not responding to conventional therapy: a retrospective observational study / G. Pajardi [et al.] // International Wound Journal. – 2014. – № 13 (1). – Р. 44–52.
- Park, J.E. Advances and Innovations in Microsurgery / J.E. Park [et al.] // Plast. Reconstr. Surg. – 2016. – № 138 (5). – Р. 915–924.
- Scevola, S. Regeneration and rehabilitation. Plastic surgery practice in a rehabilitation centre / S. Scevola [et al.] // G. Ital. Med. Lav. Ergon. – 2018. – № 40 (2). – P. 97–105.
- Wang, Y. New soft tissue filler derived from autologous keratin and fibroblast for neck wrinkles / Y. Wang [et al.] // Journal of Cosmetic Dermatology. – 2017. – № 17 (4). – Р. 600–605.
- Xing, W. Correction of Tear Trough Deformity Using Autologous Fibroblast Combined with Keratin: New Soft Tissue Filler / W. Xing [et al.] // Aesthetic Plastic Surgery. – 2018. – № 43 (1). – Р. 221–227.
补充文件







