Features of the development of traumatic pancreatitis with gunshot wounds to the abdomen
- Authors: Panov V.V.1, Ba M.R.1, Myasnikov N.I.1, Kim I.Y.1, Chakalsky K.B.1, Chernyshev M.A.1, Samokhin O.I.1, Panov A.A.1
-
Affiliations:
- S. M. Kirov Military Medical Academy
- Issue: Vol 23, No 1 (2021)
- Pages: 101-108
- Section: Clinical Trials
- Submitted: 12.12.2020
- Accepted: 17.03.2021
- Published: 12.05.2021
- URL: https://journals.eco-vector.com/1682-7392/article/view/54572
- DOI: https://doi.org/10.17816/brmma54572
- ID: 54572
Cite item
Full Text
Abstract
The features of the development of traumatic pancreatitis in gunshot wounds of the abdomen, which present difficulties in timely diagnosis, are considered, hypotheses are formulated for studying the problem. Two clinical cases of developing traumatic pancreatitis against the background of a gunshot wound to the abdomen with indirect damage to the pancreas are presented. Without taking into account the peculiarities of the formation of the wound canal relative to the organs of the abdomen, in conditions of limited diagnostic potential, there is a high probability of late diagnosis of traumatic pancreatitis, especially in indirect damage. Injuries to the organs of the upper half of the abdomen can be risk factors for indirect damage to the pancreas due to the effect of lateral impact energy and the formation of a temporary pulsating cavity. In general, the management of such wounded in a surgical hospital with limited diagnostic capabilities or with stage treatment in a local military conflict requires the surgeon to know the peculiarities of the course of traumatic pancreatitis, which make it possible to prevent the development of complications in a timely manner. The development of traumatic pancreatitis in penetrating gunshot wounds to the abdomen is not always a consequence of direct pancreatic injury. This circumstance must always be taken into account during a diagnostic laparotomy.
Full Text
Features of the course of traumatic pancreatitis with gunshot wounds to the abdomen
Introduction.
Problems and the diagnosis and treatment of gunshot 's wounding first pancreas widely SALT e schena in the literature and well known to those skilled in injuries to centers 1 level. However, the introduction of such a wound Foot in a surgical hospital with limited diagnostic capabilities, or at stage treatment in a local military conflict t p ebuet the surgeon knowledge of peculiarities of traumatic pancreatitis ( TP ) , allowing timely prevent complications.
It must be remembered that TP for gunshot wounds to the abdomen occurs not only with direct damage to the pancreas. This should be especially taken into account when choosing treatment tactics during surgery, when there are no visual signs of organ damage.
The injury of pancreas in peacetime, is relatively rare and is 2-7 % of all injuries abdominal organs [ 1 , 2 ] , and in military conflicts - in 18.3% of cases, which determines the most relevant spine during " traumatic epidemic ” . [ 3 ] The main reason for the development of TP is considered to be direct primary damage to the gland parenchyma , which causes this complication in 80% of cases . [ 4 ] Damage to the pancreas often occurs when penetrated lev els wounds of the abdomen and occurs in 20-30% , and their share is most often found gunshot wounds. [ 5 ]
This is because the limited location gland in the front pararenalnom space , causes an increase in damaging factors wounding projectile , especially when the impact of energy uu side collision and forming temporary pulsating cavity . [ 6 , 7 , 8 ]
Penetrating gunshot wounds to the abdomen in 60% of cases are accompanied by ongoing intra-abdominal bleeding, which causes traumatic shock of varying degrees in 65.7% of the wounded. [ 9 ] The development of traumatic shock causes severe metabolic disorders and leads to hypoxia. Against this background , an increase in lipid peroxidation and a change in the acid -base state cause the activation of proteolytic enzymes of the pancreas . Thus, in the absence of pancreatic damage 0,4-7,6% of cases arises of primarily acinar th forms and pancreatitis. [ 10 ]
Isolated injury of pancreatic cancer occurs rarely . Generally, in practice, surgeons face with a multiple bubbled damage E of abdominal cavity and whether a heavy mi combination E injured mi . In 60% of cases, due to anatomical proximity, damage to the pancreas is accompanied by injury to the duodenum . [ 5 ]
Multiple abdominal injuries significantly complicate the diagnosis of damage to the pancreas . The clinical picture can in this case be erased and hide behind the mask of other injuries. The administration of analgesics for a gunshot wound to the abdomen will distort the classic picture of pain syndrome , which is an important diagnostic criterion. [1 1 ]
Untimely diagnosis and treatment of TP leads to an aggravation of the general course of the traumatic disease. Therefore Mortality at lesions s pancreas may vary from 9% d to 73 %. [ 1 , 1 2 ]
Existing complexity timely second diagnostics and TP caused also late response in laboratory parameters . In case of damage and the pancreas amylase, serum amylase begins to increase within a few days, which also affects the patient's treatment tactics. [1 3 ] With uschestvuet low correlation between elevated th level amylases s and pancreas injury as amylase can be increased trauma heads s and individual well , as well as in the use of alcoholic beverages . [1 4 , 15 ] Therefore, as milaza, identified in the biochemical study separated by drainage from the peritoneal cavity , it is much more sensitive and specific index n resulting damage pancreas . [ 5 ]
It is also difficult to diagnose damage to the pancreas with ultrasound . Ultrasound is more often used to diagnose late complications , especially when wound indirectly by a wounding projectile . At ltrazvukovymi signs indirect damage is considered to increase the size of the pancreas and n Alice accumulation of fluid in parapancreatic tissue . [1 6 ] The sensitivity of ultrasound in detecting hematoma of the retroperitoneal space is low and amounts to 14%. [ 17 ]
For frequent damage to the pancreas during primary CT examination of the abdomen is not visualized and depends on the timing of the injury . [1 8 ] It should also be remembered that even with minor lesions of the pancreas, CT signs may be absent. [5 ] However, the CT study among other methods radiodiagnostics considered the most sensitivity Tel'nykh (Table. 1) .
Table 1. CT signs of damage to the pancreas. [ 5 ]
Specific signs: |
|
Nonspecific CT signs : |
|
Given the above set forth , with the preoperative examination are not always objective criteria , allowing suspected pancreatic injury. Therefore, intraoperative findings can serve as reliable criteria .
Along with the obvious signs of injury to the pancreas , detected during the operation, hematoma of parapancreatic tissue without organ damage is also a criterion for the alleged damage to the pancreas . [1 9 ] In the other cases, the absence of intraoperative findings can instill STI to late diagnosis of TP .
The purpose of the descriptive study - the example of two clinical cases to introduce the features of the TP with gunshot wounds of the abdomen , and a formulated amb hypotheses to study the problem .
Clinical case No. 1.
Patient K., 24 years old, was admitted to the emergency department 1.5 hours after the injury with a diagnosis: " O gnestral penetrating wound of the abdomen . " Complaints of moderate pain in the upper abdomen , general weakness . Consciousness is clear, excited. The general condition is difficult . Skin pale pink color , moist th . D yhanie carried out on both sides, no wheezing. NPV 24 per minute. Tones of heart clear, regular rhythm. Pulse 102 per minute. BP 100 /70 mm Hg. Art. Tongue dry, coated with white bloom. The abdomen is moderately painful in the upper half, tense in the epigastric region. Peristalsis is distinct. Peritoneal symptoms are positive in the upper abdomen . There was no chair, the gases were escaping . Urination is not disturbed . Locally : On the skin of the anterior abdominal wall, an inlet in the umbilical region with a diameter of 0.8 cm . With ultrasound using the FAST protocol , the presence of free fluid in the splenorenal pocket is determined. With a plain radiograph of the abdominal cavity in lateroposis, free gas . In the general analysis of blood leukocyte oz up to 11x10 * 9 / l. A preliminary diagnosis was formulated : a gunshot bullet penetrating wound of the abdomen with damage to the hollow organ . He was urgently taken to the operating room, where a laparotomy was performed.
A revision of the abdominal organs revealed a defect in the anterior wall of the middle third of the stomach body, penetrating into the cavity , with blood clots along the edge of the wound . After transection of the gastro-colonic ligament, it was revealed that on the posterior wall of the stomach there is a subserous hematoma with a diameter of up to 5-7 cm . There is no effusion in the omental bursa. The pancreas is about looks in an accessible inspection area. No convincing evidence for damage to the pancreas was found . During further revision, no other injuries of the abdominal organs were found. An economical excision of the wound edges was performed with suturing with a two-row suture. The abdominal cavity is washed with an antiseptic solution. Installed drains: into the subhepatic space on the right , into the omental bursa , into the small pelvis, into the left lateral canal. Performed primary surgical treatment inlet I . Postoperative diagnosis: Gunshot bullet blind penetrating blind wound of the abdomen with a penetrating wound of the anterior wall of the lower third of the stomach. Traumatic shock of the 1st degree. After the operation, he was transferred to the intensive care unit, where he continued anti-shock, antibacterial, antisecretory , anti- enzyme, symptomatic therapy .
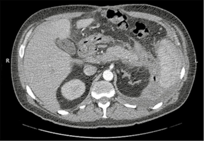
On days 2-3, there was an intake of stagnant gastric contents via a nasogastric tube , bloating, gas retention, a gradual increase in leukocytosis up to 1 4 , 5 * 10 * 9 / l with a stab shift to the left up to 18% , amylase up to 36 mg / s * l ... On the 3rd day, according to the drainage from the omental bursa, the intake of serous-hemorrhagic discharge up to 300 ml was noted. A biochemical study of the discharge obtained amylase up to 9 4 mg / s * l. Ultrasound of the abdomen showed a diffuse enlargement of the pancreas, the presence of fluid accumulation in the parapancreatic tissue . Computed tomography of the abdominal cavity revealed pancreatic edema , infiltration of parapancreatic tissue, accumulation of fluid in the cavity of the omental bursa (Fig. 1) . Specify an diagnosis: traumatic punk p e Amum, a moderate course. Assigned to The appropriate medical therapy . By the end of 5 days after the operation on the background of the therapy laboratory values were normalized (amylase Blood 12 , 0 mg / s * l, leucocytes 10.2 * 10 * 9 / L ) . On the 8th day, the probe was removed and the patient was transferred to the general department. On the 21st day, the patient is presented at the IHC . Final diagnosis: Gunshot bullet blind penetrating blind wound of the abdomen with a penetrating wound of the anterior wall of the lower third of the stomach. Traumatic shock of the 1st degree. Acute rheumatic pancreatitis , mild course.
Figure: 1. Computed tomography of the abdomen with bolus contrast . Nonspecific CT scans of traumatic pancreatitis: edema of the pancreatic parenchyma, infiltration of parapancreatic tissue, accumulation of fluid in the cavity of the omental bursa
Clinical case No. 2 .
Victim N., 27 years old, received a gunshot wound to the left shoulder and stomach on the battlefield . First aid was provided on the spot by a medical instructor. An aseptic bandage was applied and a narcotic analgesic was introduced. Bypassing the stage of first aid, after 3 hours by air ambulance he was delivered on a stretcher in a prone position to the stage of qualified medical care. During transportation, there was a single vomiting with an admixture of blood. F COMPLAINTS abdominal pain, mostly in the upper half, general weakness, nausea in , the pain in his left shoulder . Consciousness is clear, inhibited. A condition of moderate severity. The skin is pale pink in color, moist. BP 90/60 mm. rt. Art., pulse 1 1 2 per minute , threadlike . Tongue dry, white coated . Breathing in the lungs is vesicular, no wheezing. The abdomen is plank-shaped , painful. P olozhitelny symptom Shchetkina-Blumberg . Peristalsis is distinct. The gases do not escape . There was no chair. On examination, the bandage in the abdomen was soaked in blood. As follows vides the removal I dressings abdomen inlet diameter of 0.8 cm was located in the umbilical region 2 cm closer to the median line extending no bleeding. Laboratory: erythrocytes 2.65 * 10 9 / l ; hemoglobin 87 g / l, leukocytosis up to 14 * 10 9 / l . The bandage on the left shoulder is stained with blood. As follows vides the removal I dressings inlet is aligned on the front surface of the middle third of the left shoulder to 0.6 cm in diameter, the outlet passes through the rear surface of a lateral diameter of 1.2 cm. When the control data harness for continuing Esja externally e bleeding e not received. Achieved lifting harness, imposed a pressure bandage. The diagnosis was formulated: Combined gunshot bullet wound of the abdomen, left upper limb ? Firearms bullet through penetrating wound of the abdomen with damage to internal organs. Continued intra-abdominal bleeding? Peritonitis? A bullet bullet wound with a cut-through wound of the soft tissues of the upper third of the left shoulder region. Traumatic shock of the 2nd degree.
Considering the signs of unstable hemodynamics and peritoneal symptoms , the wounded underwent an urgent laparotomy. In the abdominal cavity there are about 800 ml of serous-hemorrhagic discharge with clots . The parietal and visceral peritoneum in the upper abdomen is hyperemic , with single filaments of fibrin . Revision of the abdominal organs revealed an injury to the right edge of the greater omentum at the site of attachment to the stomach, a tangential penetrating wound of the upper part of the duodenum 0.8x0.5 cm in size with infiltrated edges turned outward, coming from the lumen of the gastric contents , a rupture of the liver in the VI segment of a stellate shape on a hemorrhagic background with ongoing light bleeding . Stopping liver bleeding by applying a hemostatic suture. During sanitation in the retroperitoneal space in the region of the upper pole of the right kidney, a hematoma is determined, from which an unintensive continuous flow of blood into the abdominal cavity is noted . During the revision of the retroperitoneal space, the integrity of the capsule of the kidney and the adrenal gland was preserved. The source of the ongoing bleeding was the injury to the branch of the superior adrenal artery. It was bandaged. The wound area was resected with a hardware suture. The distal part of the pyloric stomach and the proximal part of the duodenum are tightly sutured. Imposed gastroeyunoanamtomoz by Roux . The posterior wall of the stomach and pancreas were examined, and there is no evidence of damage . Sanitation and drainage of the abdominal cavity of the anastomotic region, right lateral canal, small pelvis. Postoperative diagnosis: Combined gunshot bullet wound of the abdomen, left upper limb. Gun bullet through n ronikayuschee abdominal wound with damage to the upper part of the duodenum , VII segment of the right lobe of the liver . Unstressed retroperitoneal hematoma . Continuous intra-abdominal bleeding from the branch of the right superior adrenal artery. Delimited from erous-fibrinous peritonitis, toxic phase. A bullet bullet wound from the soft tissues of the left shoulder region.
Following the intensive therapy of antishock and conditions for stabilization ii general condition for 7 day evacuated by air to step specialized care for first tier. The early postoperative period was uneventful. On the 7th day postoperative period the patient has noted bloating, raising the temperature to 38.4 of C, leukocytosis rise to 18 × 10 9 / l with a shift to the left to 24% , n oyavleniem tachycardia to 107 beats per minute , the gas holdup and a chair . In the biochemical analysis of blood amylase 68 mg / s * l . For drainage of the right lateral channel marked hemorrhagic discharge flow to 300 ml at biochem matic assay detachable marked amylases on I activity to 182 mg / s * l. Worded indication for relapar of tomii .
During the operation in the abdominal cavity up to 500 ml of turbid serous- hemorrhagic discharge, the peritoneum is sharply hyperemic , there are no signs of insolvency from the side of the anastomoses. When viewed from pancreatic bed parapankeraticheskaya fiber and mesentery of transverse odochnoy infiltrated intestine, pancreas head has necrotic foci e changes . The loops of the small intestine are moderately inflated, the peristalsis is sluggish. Completed s necrosectomy , controlled drainage delimited omental and retroperitoneal procedure on the author. [ 20 ] Formed omentobursostoma . Postoperative diagnosis: Acute rheumatic destructive pancreatitis, severe course. Phlegmon behind the peritoneal space. Spilled enzymatic peritonitis, toxic phase. Left-sided pleurisy . Postoperatively conducted and Referring daily readjustment omental through omentobursostomu , washing drains . The postoperative wound healed by secondary intention. Formed a pancreatic fistula. On the 86th day of inpatient treatment, the patient was presented to the IHC.
Discussion .
In these clinical observations, the reason for the delayed diagnosis was the absence of intraoperative signs of damage to the pancreas .
Direct injury of pancreas, identified during laparotomy or laparoscopy , requires the surgeon performing the primary surgical intervention . While , indirect damage wounding them projectiles house pancreatic gland 's no macroscopic signs can be confusing and push to choose the inadequacy oh tactics and treatment.
To indicate the problem, we propose assigning TP to a separate group for penetrating gunshot wounds to the abdomen . A new interpretation of the generally accepted facts from the point of view of a general surgeon will avoid the problems of late diagnosis.
The absence of objective criteria for the TP and the presence of high levels of mortality in late diagnosis suggests b using preventive measures in the prevention of complications.
It has been proven that early and accurate diagnosis can reduce morbidity and mortality. [ 2 1 ] L A decreasing mortality expedient said Xia holding surgical and conservative prevention in the absence of damage to the main duct of the pancreas . Conservative therapy includes the appointment of antisecretory , antienzymatic , antibacterial and pancreatotropic drugs. [ 1 ]
For early diagnosis, it is advisable to drain the omental bursa in wounded with indirect damage to the pancreas to study the incoming discharge for the presence of amylase activity.
It is assumed that the absence of only intraoperative signs of damage to the pancreas is not enough to exclude TP . Together, the type of the wounding projectile and the peculiarities of the passage of the wound channel relative to the abdominal organs should be considered . Wounding of organs of the upper half of the abdomen is a smiling predictor of risk for indirect pancreatic stated failures. However, this hypothesis further requires an analytical study to determine the risk factors for the development of TP .
Conclusions .
P ri bullet penetrating wounds of the abdomen without direct damage to the pancreas against TP should be Exposure to extreme degree of alertness, that can guarantee their early diagnosis . For the correct choice of treatment tactics, it is advisable to refer to a separate group of TP for penetrating wounds of the abdomen . Wound top officials of the departments of the abdomen is a predictor of the risk of indirect pancreatic stated failures. In this case, even in the absence of visual signs of injury to the pancreas, surgical and conservative prevention of TP is recommended , and for early diagnosis - drainage of the omental bursa cavity with subsequent determination of the amylase activity of the discharge.
About the authors
Vyacheslav V. Panov
S. M. Kirov Military Medical Academy
Email: fgky1602vkg@mail.ru
candidate of medical sciences
Russian Federation, 6G, Akademika Lebedeva street, Saint-Petersburg, 194044Mariyama R. Ba
S. M. Kirov Military Medical Academy
Email: doctor_ba@mail.ru
senior resident
Russian Federation, 6G, Akademika Lebedeva street, Saint-Petersburg, 194044Nikita I. Myasnikov
S. M. Kirov Military Medical Academy
Author for correspondence.
Email: per.asper@mail.ru
ORCID iD: 0000-0002-1943-2829
Russian Federation, 6G, Akademika Lebedeva street, Saint-Petersburg, 194044
Igor Y. Kim
S. M. Kirov Military Medical Academy
Email: igorkim1979@icloud.com
head of the department
Russian Federation, 6G, Akademika Lebedeva street, Saint-Petersburg, 194044Kazibek B. Chakalsky
S. M. Kirov Military Medical Academy
Email: kazibek-82@yandex.ru
head of the department
Russian Federation, 6G, Akademika Lebedeva street, Saint-Petersburg, 194044Mikhail A. Chernyshev
S. M. Kirov Military Medical Academy
Email: ragin13@yandex.ru
senior resident
Russian Federation, 6G, Akademika Lebedeva street, Saint-Petersburg, 194044Oleg I. Samokhin
S. M. Kirov Military Medical Academy
Email: serioussam26@mail.ru
senior resident
Russian Federation, 6G, Akademika Lebedeva street, Saint-Petersburg, 194044Alexander A. Panov
S. M. Kirov Military Medical Academy
Email: fgky1602vkg@mail.ru
student
Russian Federation, 6G, Akademika Lebedeva street, Saint-Petersburg, 194044References
- Bagnenko SF, Goltsov VP. Prophylaxis and management of the acute traumatic pancreatitis. Annaly khirurgicheskoi gepatologii. 2010;(1):57–61. (In Russ.)
- Vasquez JC, Coimbra R, Hoyt DB, et al. Management of penetrating pancreatic trauma: an 11-year experience of a level-1 trauma center. Injury. 2001;32(10):753–759. doi: 10.1016/s0020-1383(01)00099-7
- Panov VV, Kim IY. Experience of the treatment of gunshot wounds and pancreas traumas during domestic armed conflict in the North Caucasus (1994–1996, 1999–2002). Voenno-meditsinskii zhurnal. 2016;(9):28–32. (In Russ.)
- Tolstoi AD. Travmaticheskie pankreatity (patogenez, profilaktika, diagnostika, lechenie). [dissertation] Leningrad; 1988. (In Russ.)
- Debi U, Kaur R, Prasad KK, et al. Pancreatic trauma: a concise review. World J Gastroenterol. 2013;19(47):9003–9011. doi: 10.3748/wjg.v19.i47.9003
- Kaplunova OA, Chaplygina EV, Krymshamkhalova SD, et al. Anatomy of the retroperitoneal space. Zhurnal fundamental’noi meditsiny i biologii. 2018;(2):45–49. (In Russ.)
- Ozeretskovskii AB, Gumanenko EK, Boyarintsev VV. Ranevaya ballistika: istoriya i sovremennoe sostoyanie ognestrel’nogo oruzhiya i sredstv individual’noi bronezashchity. Saint Petersburg: Zhurnal "Kalashnikov"; 2008. (In Russ.)
- Kim IY, Panov VV, Panov AV. Surgical tactics in case of gunshot and traumatic injuries of the pancreas (literature review). Voenno-meditsinskii zhurnal. 2020;(2):31–39. (In Russ.)
- Alisov PG, Samokhvalov IM. Ognestrel’nye raneniya zhivota: osobennosti, diagnostika i lechenie v sovremennykh usloviyakh. Saint Petersburg: Sintez buk; 2018. (In Russ.)]
- Sirota ES. Profilaktika pankreatita u postradavshikh s abdominal’noi, torakal’noi, i torakoabdominal’noi travmoi bez pryamogo mekhanicheskogo povrezhdeniya podzheludochnoi zhelezy. [dissertation] Barnaul; 2008. (In Russ.)
- Schurink GW, Bode PJ, van Luijt PA, et al. The value of physical examination in the diagnosis of patients with blunt abdominal trauma: a retrospective study. Injury. 1997;28(4):261–265. doi: 10.1016/s0020-1383(97)00007-7
- Kao LS, Bulger EM, Parks DL, et al. Predictors of morbidity after traumatic pancreatic injury. J Trauma. 2003;55(5):898–905. doi: 10.1097/01.TA.0000090755.07769.4C
- Matsuno WC, Huang CJ, Garcia NM, et al. Amylase and lipase measurements in paediatric patients with traumatic pancreatic injuries. Injury. 2009;40(1):66–71. doi: 10.1016/j.injury.2008.10.003
- Wright MJ, Stanski C. Blunt pancreatic trauma: a difficult injury. South Med J. 2000;93(4):383–385.
- Greenlee T, Murphy K, Ram MD. Amylase isoenzymes in the evaluation of trauma patients. Am Surg. 1984 Dec;50(12):637–640.
- Jeffrey RB, Laing FC, Wing VW. Ultrasound in acute pancreatic trauma. Gastrointest Radiol. 1986;11(1):44–46. doi: 10.1007/BF02035030
- Smolyar AN, Abakumov MM, Barmina TG, et al. Diagnostics and treatment of abdominal injuries with retroperitoneal organs involvement. Khirurgiya. Zhurnal im. N.I. Pirogova. 2009;(1):9–13. (In Russ.)
- Cirillo RL Jr, Koniaris LG. Detecting blunt pancreatic injuries. J Gastrointest Surg. 2002;6(4):587–598. doi: 10.1016/s1091-255x(01)00028-2
- Berne CJ, Walters RL. Traumatic pancreatitis. Calif Med. 1953;79(4):279–281.
- Patent RUS №2712315/ 28.01.20. Byul. № 4. Panov V.V., Kotiv B.N., Kim I.Y. Sposob kontroliruemogo otgranichennogo drenirovaniya sal’nikovoi sumki i zabryushinnogo prostranstva pri pankreonekrozakh. (In Russ.)
- Wong YC, Wang LJ, Lin BC, et al. CT grading of blunt pancreatic injuries: prediction of ductal disruption and surgical correlation. J Comput Assist Tomogr. 1997;21(2):246–250. doi: 10.1097/00004728-199703000-00014
Supplementary files




