Топографо-анатомические условия реконструкции ствола и корней воротной вены при гастропанкреатодуоднеальной резекции
- Авторы: Дзидзава И.И.1, Гайворонский И.В.1, Котив А.Б.1, Алентьев С.А.1
-
Учреждения:
- Военно-медицинская академия имени С.М. Кирова
- Выпуск: Том 23, № 1 (2021)
- Страницы: 33-40
- Раздел: Клинические исследования
- Статья получена: 06.02.2021
- Статья одобрена: 17.03.2021
- Статья опубликована: 12.05.2021
- URL: https://journals.eco-vector.com/1682-7392/article/view/60216
- DOI: https://doi.org/10.17816/brmma60216
- ID: 60216
Цитировать
Полный текст
Аннотация
Обосновываются топографо-анатомические варианты сосудистой пластики при расширенной гастропанкреатодуоденальной резекции. Анатомическое исследование выполнено на 30 органокомплексах и 5 небальзамированных трупах людей. Выявлена значительная вариабельность корней и притоков воротной вены и их взаимоотношений с поджелудочной железой. Протяженное соприкосновение мезентерико-портального сегмента с головкой поджелудочной железы способствует вовлечению вен портальной системы в опухолевый процесс. Магистральный тип строения верхней брыжеечной вены выявлен в 19 случаях, рассыпной тип — в 11, что определяет условия для проведения сосудистой реконструкции. Экспериментально установлено, что после выполнения дуоденэктомии при возможности смещения мобилизованного корня брыжейки тонкой кишки в направлении ворот печени создаются условия для формирования прямого мезентерико-портального анастомоза. В случае необходимости резекции селезеночной вены адекватный отток крови от желудка, селезенки и культи поджелудочной железы возможно обеспечить формированием дистального сплено-ренального анастомоза или, при достаточной длине селезеночной вены, — сплено-портального анастомоза. На основании компьютерно-томографических ангиографий и интраоперационных данных 29 пациентов выполнили расширенную гастропанкреатодуоденальную резекцию с последующей сосудистой реконструкцией. Признаками опухолевой инвазии ствола воротной вены на компьютерно-томографических ангиограммах являлись смещение и контакт опухоли и воротной вены на протяжении более 10 мм (в 7 случаях), смещение и деформация воротной вены опухолью (в 5 случаях), опухолевая инфильтрация более чем 50% окружности воротной вены (в 3 случаях). В 9 случаях выявлен протяженный контакт с опухолью, в 5 случаях — стеноз конфлюенса воротной вены. У 15 больных выявлено прорастание опухоли в воротную вену, сосудистую систему восстанавливали формированием порто-портального анастомоза. При реконструкции мезентерико-портального сегмента в 10 случаях выполнили мезентерико-портальный анастомоз, в 2 случаях формировали мезентерико-портальное соустье в зоне слияния подвздошно-ободочной и тощекишечных притоков, в 1 случае накладывали анастомоз между подвздошно-ободочной веной и воротной веной (с разницей диаметров 1:2 без нарушения проходимости), еще в 1 случае соединяли прилежащие стенки подвздошно-ободочной и тощекишечной вен и в последующем создавали анастомоз сформировавшегося соустья с воротной веной. У 10 больных из этой группы выполнили дистальный сплено-ренальный анастомоз. У 3 больных удалось выполнить сплено-портальный анастомоз выше соединения воротной и верхней брыжеечной вены.
Полный текст
Введение
Опухолевые поражения панкреатодуоденальной области остаются актуальной проблемой современной хирургии и онкологии, что связано с поздней диагностикой и неудовлетворительными результатами лечения [1]. При этом радикальное хирургическое вмешательство при раке головки поджелудочной железы — гастропанкреатодуоденальная резекция (ГПДР) — возможно только в 10–20% случаев [2]. Известно, что тесные топографо-анатомические отношения поджелудочной железы и вен портальной системы создают условия для опухолевой инвазии сосудов в 21–64% наблюдений [3–5].
В настоящее время все чаще обсуждается вопрос о выполнении ГПДР при местнораспространенных формах заболевания. Резекция мезентерико-портального венозного сегмента в случаях инвазии опухоли способствует повышению радикальности вмешательства за счет R0-резекции и увеличению безрецидивной выживаемости и продолжительности жизни [4, 6, 7]. В современной онкологии существуют тенденции к расширению границ резектабельности и повышению радикальности вмешательств при опухолях панкреатодуоденальной зоны.
Комплексные исследования топографо-анатомических условий и вариантов сосудистой реконструкции при ГПДР позволят оптимизировать оперативную тактику [8–10].
Цель исследования — обосновать топографо-анатомические варианты сосудистой пластики при расширенной ГПДР.
Материалы и методы
Для изучения архитектоники воротной системы использовали введение рентгеноконтрастной отвердевающей массы с последующей рентгенфиксацией на 30 небальзамированных органокомплексах. На полученных снимках с помощью программы RadiAnt DICOM Viewer оценивали скелетотопию и морфометрические характеристики сосудов. В последующем проводили препарирование сосудов воротной системы для выполнения морфометрии и прицельного изучения топографо-анатомических взаимоотношений с поджелудочной железой.
На пяти небальзамированных трупах людей после выполнения ГПДР с резекцией мезентерико-портального венозного сегмента осуществляли экспериментальное моделирование вариантов сосудистой пластики вен портальной системы.
Клиническое исследование включало анализ результатов компьютерно-томографической (КТ) ангиографии и интраоперационных данных 29 пациентов, которым в клинике госпитальной хирургии Военно-медицинской академии им. С.М. Кирова в период с 2014 по 2019 г. была выполнена расширенная ГПДР с последующей сосудистой реконструкцией. Показанием к резекции сосудов портальной системы по результатам лучевого обследования и интраоперационным данным являлась опухолевая инвазия венозной стенки при отсутствии отдаленных метастазов.
Результаты и их обсуждение
Установлено, что формирование воротной вены и взаимоотношения ее ствола и корней с поджелудочной железой вариабельны. Ведущую роль в образовании ствола воротной вены играют верхняя брыжеечная и селезеночная вены, которые в 25 наблюдениях соединялись позади перешейка поджелудочной железы. В 3 наблюдениях имело место их слияние на уровне верхнего края, в 2 наблюдениях — на уровне нижнего края поджелудочной железы. В 19 (63%) наблюдениях нижняя брыжеечная вена впадала в селезеночную вену, в 9 (30%) случаях — в верхнюю брыжеечную вену, а в 2 (7%) — в угол, образованный селезеночной и верхней брыжеечной венами.
В большинстве наблюдений конфлюенс воротной вены располагался в борозде за головкой поджелудочной железы и с трех сторон был окружен ее тканью. Крючковидный отросток поджелудочной железы прилежал к правой задней стенке мезентерико-портального соединения. Протяженность соприкосновения мезентерико-портального сегмента с головкой и крючковидным отростком составила от 3,5 до 5,5 см, в трети наблюдений ткань крючковидного отростка перекрывала зону слияния основных притоков верхней брыжеечной вены, что может иметь особое значение при резекции пораженных опухолью сосудов.
Большая часть ствола воротной вены располагалась в печеночно-двенадцатиперстной связке позади общего желчного протока, меньший сегмент воротной вены — позади головки поджелудочной железы. Левая желудочная вена в 27 наблюдениях впадала в воротную вену и в 3 — являлась притоком селезеночной вены.
Верхняя брыжеечная вена проходила в корне брыжейки тонкой кишки спереди, справа и параллельно верхней брыжеечной артерии. В 19 (63%) наблюдениях отмечался магистральный тип формирования верхней брыжеечной вены с низким уровнем образования выраженного основного ствола, в 11 (37%) — рассыпной тип. Длина верхней брыжеечной вены от нижнего края поджелудочной железы до ближайших притоков средней и правой ободочной вен при магистральном типе строения составила от 1,5 до 2,5 см. При рассыпном типе длина свободного участка верхней брыжеечной вены составила от 0,5 до 1,5 см. Самыми близкими к поджелудочной железе притоками верхней брыжеечной вены являлись средняя, правая ободочная и первая тощекишечная вены. В правую полуокружность вены впадали средняя и правая ободочные вены, а также подвздошно-ободочная вена, в левую — тощекишечные вены. Диаметр подвздошно-ободочной вены варьировал от 0,3 до 0,6 см, а тощекишечных — от 0,3 до 0,5 см.
В 22 (73%) случаях отмечался магистральный тип строения селезеночной вены, которая формировалась уже на расстоянии 2–3 см от ворот селезнки. В 8 (27%) наблюдениях в образовании селезеночной вены принимали участие от 7 до 12 вен, которые сливались в общий ствол на значительном расстоянии от ворот селезенки. Известно, что селезеночная вена может поражаться при распространении опухоли на перешеек и тело железы.
Диапазон морфометрических данных основных вен воротной системы довольно большой (табл.).
Таблица. Морфометрические характеристики вен воротной системы (min–max) / Table. Morphometric characteristics of portal system veins (min-max)
Вена | Длина, cм | Диаметр, мм |
Воротная | 5–8 | 10–20 |
Верхняя брыжеечная | 1,2–2,5 | 5–12 |
Селезеночная | 7,5–15,2 | 3–9 |
Ствол нижней брыжеечной вены всегда располагался в составе связки Трейца. В 19 наблюдениях она впадала в селезеночную вену позади тела поджелудочной железы на расстоянии 1,5–3,4 см от левого края верхней брыжеечной вены, в 9 — в верхнюю брыжеечную вену в корне брыжейки тонкой кишки, в 2 — в конфлюенс воротной вены позади перешейка поджелудочной железы.
Проведенное на 5 небальзамированных трупах людей экспериментальные исследования позволили смоделировать варианты сосудистой пластики после выполнения ГПДР с иссечением мезентерико-портального сегмента. При этом воротную вену резецировали выше уровня прилежания головки поджелудочной железы, длина культи варьировала от 4 до 6 см, верхнюю брыжеечную вену пересекали выше уровня впадения основных притоков, длина резецированного сегмента составляла от 2 до 4,5 см. Установлено, что после дуоденэктомии в связи с возможностью смещения частично мобилизованного корня брыжейки тонкой кишки в направлении ворот печени существуют условия для выполнения прямого мезентерико-портального анастомоза без значительного натяжения сосудов.
При необходимости резекции верхней брыжеечной вены ниже уровня формирования основного ствола и отсутствии условий для соединения с воротной веной возможно выполнение перевязки средней, правой ободочных и тощекишечных вен с временным или окончательным мезентерико-кавальным анастомозом по типу «конец в бок», обеспечивающим адекватный венозный отток крови от верхней брыжеечной в нижнюю полую вену. Портопеченочный кровоток в таких условиях может обеспечиваться созданием сплено-портального анастомоза «конец в конец». Этот анастомоз следует выполнять в первую очередь для сохранения портального кровотока и профилактики ишемического повреждения печени.
Обеспечение адекватного оттока крови от желудка, селезенки и поджелудочной железы в случае резекции конфлюенса воротной вены зависит от длины культи непораженной селезеночной вены. Исследования с наполнением вен контрастной массой показали, что в случае резекции селезеночной вены дистальнее впадения нижней брыжеечной вены последняя обеспечивает адекватный отток крови частично в воротную вену и частично в систему нижней полой вены по анастомозам. При необходимости перевязки нижней брыжеечной вены для адекватного оттока крови от оставшейся части желудка, селезенки и культи поджелудочной железы селезеночную вену целесообразно анастомозировать с левой почечной или воротной венами.
Полученные результаты свидетельствуют о значительной вариабельности вен портальной системы. В связи с особенностями взаимоотношений поджелудочной железы и вен воротной системы необходимо учитывать различные варианты вовлечения сосудов в опухолевый процесс и возможности их реконструкции [9, 11, 12].
Ретроспективный анализ клинических наблюдений показал, что у 29 пациентов по данным КТ-ангиографии выявлены признаки опухолевой инвазии в венозные сосуды системы воротной вены без признаков отдаленного метастазирования. Признаками опухолевой инвазии ствола воротной вены на КТ-ангиограммах в 7 случаях являлись смещение, контакт опухоли и воротной вены на протяжении более 10 мм, в 5 — смещение и деформация воротной вены опухолью, в 3 — опухолевая инфильтрация более чем 50% окружности воротной вены. Признаками опухолевой инвазии конфлюенса воротной вены, по данным КТ-ангиографии, в 9 наблюдениях являлся протяженный контакт с опухолью, в 5 — стеноз конфлюенса воротной вены. Во всех случаях опухоль признана погранично резектабельной и определены показания к расширенной ГПДР.
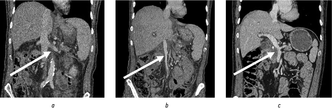
Предоперационная оценка вариантов поражения мезентерико-портального сегмента по результатам КТ-ангиографии (рис. 1) позволяла спланировать после выполнения ГПДР адекватный вариант сосудистой реконструкции.
Рис. 1. Компьютерно-томографическая ангиография: a — опухоль головки поджелудочной железы с инвазией конфлюенса и стенки воротной вены; b — мезентерико-портальный анастомоз «конец-в-конец» после резекции конфлюенса воротной вены; c — дистальный сплено-ренальный анастомоз «конец-в-бок» / Fig. 1. Сomputed tomographic angiography: a — pancreatic head tumor with confluence invasion and portal vein wall; b — mesenteric-portal "end-to-end" anastomosis after resection of portal vein confluence; c — distal "end-to-side" splan-renal anastomosis
В настоящее время КТ-ангиография является «золотым стандартом» диагностики протоковой аденокарциномы поджелудочной железы, поскольку позволяет не только диагностировать опухоль, но и оценить ее распространенность и резектабельность. В сравнении с интраоперационными данными КТ-ангиография демонстрирует высокую точность в выявлении вариантов артериальной и венозной ангиоархитектоники, гемодинамически значимых стенозов и обструкций, что существенно влияет на выбор оперативного вмешательства [13, 14].
Проанализировав анатомические условия выполнения ГПРД с сосудистой пластикой вен воротной системы 29 больных, мы выявили, что в ходе интраоперационной мобилизации панкреатодуоденального комплекса у 15 (51,7%) больных имело место ограниченное прорастание опухоли в воротную вену на протяжении 0,5–2 см (рис. 2).
Рис. 2. Прорастание опухоли в правую стенку воротной вены: a — схема; b — интраоперационная фотография / Fig. 2. Tumor germination into the right wall of the portal vein: a — scheme; b — intraoperative photography
Протяженность резецированного участка воротной вены в этих наблюдениях составила от 1 до 3 см. Ствол воротной вены восстанавливали формированием порто-портального анастомоза по типу «конец в конец» нитями пролен 6/0 (рис. 3). Диаметр порто-портального анастомоза составил от 1 до 1,5 см.
Рис. 3. Порто-портальный анастомоз «конец-в-конец»: а — схема; b — интраоперационная фотография / Fig. 3. Porto-portal "end-to-end" anastomosis: a — scheme; b — intraoperative photography
В 14 (49,3 %) наблюдениях установлена опухолевая инвазия конфлюенса воротной вены с вовлечением устьев селезеночной и верхней брыжеечной вен. В данной группе гастропанкреатодуоденальный комплекс удаляли единым блоком с сегментами воротной, верхней брыжеечной и селезеночной вен после предварительного выделения и пережатия сосудов вне опухолевой инфильтрации (рис. 4).
Рис. 4. Прорастание опухоли конфлюенса воротной вены и устья верхней брыжеечной и селезеночной вен: а — схема; b — интраоперационная фотография, формирование мезентерико-портального анастомоза «конец-в-конец» / Fig. 4. Germination of the confluence tumor of the portal vein and the mouth of the upper mesenteric and splenic veins: a – scheme; b — intraoperative photography, formation of mesenteric-portal "end-to-end" anastomosis
На рисунке 5 представлен вариант сосудистой реконструкции после резекции конфлюенса воротной вены и устьев верхней брыжеечной и селезеночной вен — мезентерико-портальный анастомоз «конец-в-конец» и дистальный сплено-ренальный анастомоз «конец-в-бок».
Рис. 5. Вариант сосудистой реконструкции после резекции конфлюенса воротной вены и устьев верхней брыжеечной и селезеночной вен — мезентерико-портальный анастомоз «конец-в-конец» и дистальный сплено-ренальный анастомоз «конец-в-бок»: а — схема; b — интраоперационная фотография / Fig. 5. A variant of vascular reconstruction after resection of the confluence of the portal vein and the mouths of the upper mesenteric and splenic veins is mesenteric-portal "end-to-end" anastomosis and distal sperm-renal "end-to-side" anastomosis: a — scheme; b — intraoperative photography
Основным условием выполнения сосудистой реконструкции являлось наличие свободного участка ствола верхней брыжеечной вены достаточного диаметра для соединения с воротной веной. В разных наблюдениях длина резецированного мезентерико-портального сегмента составила от 2,5 до 6,5 см. Шести больным потребовалась резекция устья средней ободочной вены, четырем — правой ободочной вены с их перевязкой. Выполнение венозной реконструкции всегда начинали с формирования мезентерико-портального анастомоза «конец-в-конец» (см. рис. 5). Диаметр мезентерико-портального анастомоза составил от 0,7 до 1,2 см.
В большинстве наблюдений (n = 10) длина ствола верхней брыжеечной вены оказалась достаточной для соединения с воротной веной. В двух случаях единый ствол брыжеечной вены оказался коротким и мезентерико-портальное соустье было сформировано в зоне слияния подвздошно-ободочной и тощекишечных притоков. У одного пациента в связи с распространенностью опухолевого процесса, резекцией и перевязкой тощекишечных ветвей подвздошно-ободочная вена была анастомозирована с воротной веной с разницей диаметров 1:2 без нарушения проходимости. В другом наблюдении после резекции вен выполняли соединение прилежащих стенок подвздошно-ободочной и тощекишечной вены нитями 6.0 с последующим анастомозом сформировавшегося соустья с воротной веной с сохранением проходимости анастомоза.
После восстановления мезентерико-портального кровотока вторым этапом восстанавливали венозный отток по селезеночной вене от селезенки, культи желудка и поджелудочной железы. У 10 больных из этой группы в связи с образовавшимся диастазом селезеночной вены и реконструированным мезентерико-портальным сегментом выполнили дистальный сплено-ренальный анастомоз «конец-в-бок» (см. рис. 5).
У трех больных удалось выполнить сплено-портальный анастомоз выше соединения воротной и верхней брыжеечной вены (рис. 6).
Рис. 6. Вариант сосудистой реконструкции после резекции конфлюенса воротной вены и устьев верхней брыжеечной и селезеночной вен — мезентерико-портальный анастомоз «конец-в-конец» и сплено-портальный анастомоз «конец-в-бок»: а — схема; b — интраоперационная фотография / Fig. 6. A variant of vascular reconstruction after resection of the confluence of the portal vein and the mouths of the upper mesenteric and splenic veins is mesenteric-portal "end-to-end" anastomosis and sperm-portal "end-to-side" anastomosis: a — scheme; b — intraoperative photography
В одном наблюдении селезеночная вена диаметром 4 мм была перевязана в связи с сохраненной на этапе мобилизации нижней брыжеечной вены, впадавшей дистальнее зоны резекции. Точное соблюдение техники выполнения сосудистых анастомозов и применение антикоагулянтов позволило избежать тромбозов реконструированного мезентерико-портального венозного сегмента в послеоперационном периоде.
Одним из обсуждаемых вопросов является определение возможности и выбора варианта ангиореконструкции при иссечении пораженных сосудов в ходе ГПДР. Наиболее простым способом восстановления целостности сосуда является ангиопластика поперечным швом, однако такой способ возможен только при тангенциальном иссечении небольшого участка стенки воротной вены. Так, при локализации опухолевой инвазии в проекции ствола воротной вены резекция участка сосуда и создание порто-портального анастомоза «конец-в-конец» также не представляет сложности, поскольку диаметр сосуда достаточно большой и диастаз резецированных участков незначительный. При поражении опухолевой инфильтрацией конфлюенса воротной вены и устьев селезеночной и верхней брыжеечной вен воссоздание мезентерико-портального сегмента может представлять технические трудности и требовать протяженной мобилизации верхней брыжеечной вены, использования для реконструкции ее притоков, аутовенозных или синтетических протезов [15 – 17]. Результаты использования протезов сопоставимы с реконструкцией первичным анастомозом «конец в конец», однако сосудистая реконструкция аутовенозными или синтетическими протезами увеличивает длительность операции, объем интраоперационной кровопотери, риск инфицирования протеза [18].
Выводы
- Значительная вариабельность топографо-анатомических взаимоотношений поджелудочной железы и вен воротной системы, морфометрических характеристик вен воротной системы создают различные условия для реконструкции портальной системы.
- КТ-ангиография позволяет диагностировать опухоль, оценить ее распространенность и резектабельность, а также спланировать адекватный вариант сосудистой реконструкции в предоперационном периоде.
- Выбор варианта сосудистой пластики зависит от протяженности опухолевой инвазии, особенностей морфометрических характеристик и вариантной анатомии сосудов.
Об авторах
Илья Игоревич Дзидзава
Военно-медицинская академия имени С.М. Кирова
Email: Dzidzava@mail.ru
SPIN-код: 7336-9643
Доктор медицинских наук, доцент
Россия, Санкт-ПетербургИван Васильевич Гайворонский
Военно-медицинская академия имени С.М. Кирова
Email: vmeda-nio@mail.ru
SPIN-код: 1898-3355
Доктор медицинских наук, профессор
Россия, Санкт-ПетербургАндрей Богданович Котив
Военно-медицинская академия имени С.М. Кирова
Автор, ответственный за переписку.
Email: kotivab@gmail.com
SPIN-код: 8578-3394
Клинический ординатор
Россия, Санкт-ПетербургСергей Александрович Алентьев
Военно-медицинская академия имени С.М. Кирова
Email: vmeda-nio@mail.ru
SPIN-код: 9029-8278
Доктор медицинских наук, доцент
Россия, Санкт-ПетербургСписок литературы
- McGuigan A., Kelly P., Turkington R.C., et al. Pancreatic cancer: A review of clinical diagnosis, epidemiology, treatment and outcomes. World J Gastroenterol. 2018. Vol. 24, No. 43. P. 4846–4861. doi: 10.3748/wjg.v24.i43.4846
- Lekka K., Tzitzi E., Giakoustidis A., et al. Contemporary management of borderline resectable pancreatic ductal adenocarcinoma. Ann Hepatobiliary Pancreat Surg. 2019. Vol. 23, No 2. P. 97–108. doi: 10.14701/ahbps.2019.23.2.97
- Гайворонский И.В., Коваленко Н.А., Родионов А.А., и др. Особенности формирования и топографо-анатомических отношений конфлюенса воротной вены // Вятский медицинский вестник. 2020. № 3 (67). С. 60–65. doi: 10.24411/2220-7880-2020-10108
- Beltrame V., Gruppo M., Pedrazzoli S., et al. Mesenteric-Portal Vein Resection during Pancreatectomy for Pancreatic Cancer. Gastroenterol Res Pract. 2015. P. 659–730. doi: 10.1155/2015/659730
- Luketina R.R., Hackert T., Büchler M.W. Vascular Resection in Pancreatic Cancer. Indian J Surg. 2015 Oct. Vol. 77, No. 5. P. 381–386. doi: 10.1007/s12262-015-1364-y
- Kasumova G.G., Conway W.C., Tseng J.F. The Role of Venous and Arterial Resection in Pancreatic Cancer Surgery. Ann Surg Oncol. 2018. Vol. 25, No. 1. P. 51–58. doi: 10.1245/s10434-016-5676-3
- Pindak D., Tomas M., Dolnik J., et al. Morbidity, mortality and long term survival in patients with vascular resection in pancreatic cancer – single center experience. Neoplasma. 2017. Vol. 64, No. 3. P. 460–463. doi: 10.4149/neo_2017_318
- Гайворонский И. В., Лазаренко В. А., Суров Д. А., и др. Экспериментальное обоснование расширенной гастропанкреатодуоденальной резекции с одновременной коррекцией портального кровотока // Курский научно-практический вестник «Человек и его здоровье». 2011. № 4. С. 16–23.
- Сотников А.С. Морфофункциональное обоснование расширенной гастропанкреатодуоденальной резекции с коррекцией портального кровотока: дис. ... д-ра. мед. наук. Курск, 2012.
- Cai Y., Gao P., Li Y., et al. Laparoscopic pancreaticoduodenectomy with major venous resection and reconstruction: anterior superior mesenteric artery first approach. Surg Endosc. 2018 Vol. 32, No. 10. P. 4209–4215. doi: 10.1007/s00464-018-6167-3
- Гайворонский И.В., Котив Б.Н., Коваленко Н.А., и др. Вариантная анатомия магистральных сосудов системы воротной вены и ее прикладное значение // Курский научно-практический вестник «Человек и его здоровье». 2018. Т. 2. С. 70–75. doi: 10.21626/vestnik/2018-2/11
- Гайворонский И.В., Лазаренко, В.А., Сотников, А.С., и др. Воротная вена: клиническая анатомия, острая окклюзия и способы хирургической коррекции портального кровотока. Белгород: Белгор. обл. тип., 2014. 204 с.
- Bockhorn M., Uzunoglu F.G., Adham M., et al. International Study Group of Pancreatic Surgery. Borderline resectable pancreatic cancer: a consensus statement by the International Study Group of Pancreatic Surgery (ISGPS). Surgery. 2014. Vol. 155, No. 6. P. 977–988. doi: 10.1016/j.surg.2014.02.001
- Tempero M.A., Malafa M.P., Al-Hawary M., et al. Pancreatic Adenocarcinoma, Version 2.2017, NCCN Clinical Practice Guidelines in Oncology. J Natl Compr Canc Netw. 2017 Aug. Vol. 15, No. 8. P. 1028–1061. doi: 10.6004/jnccn.2017.0131
- Cheung T.T., Poon R.T., Chok K.S., et al. Pancreaticoduodenectomy with vascular reconstruction for adenocarcinoma of the pancreas with borderline resectability. World J Gastroenterol. 2014. Vol. 20, No. 46. P. 17448–17455. doi: 10.3748/wjg.v20.i46.17448
- Marangoni G., O’Sullivan A., Faraj W., et al. Pancreatectomy with synchronous vascular resection-an argument in favour. Surgeon. 2012. Vol. 10, No. 2. P. 102–106. doi: 10.1016/j.surge.2011.12.001
- Terasaki F., Fukami Y., Maeda A., et al. Comparison of end-to-end anastomosis and interposition graft during pancreatoduodenectomy with portal vein reconstruction for pancreatic ductal adenocarcinoma. Langenbecks Arch Surg. 2019. Vol. 404, No. 2. P. 191–201. doi: 10.1007/s00423-019-01749-2
- Kleive D., Berstad A.E., Sahakyan M.A., et al. Portal vein reconstruction using primary anastomosis or venous interposition allograft in pancreatic surgery. J Vasc Surg Venous Lymphat Disord. 2018. Vol. 6, No. 1. P. 66–74. doi: 10.1016/j.jvsv.2017.09.003
Дополнительные файлы









