Морфологические и иммуногистохимические особенности лейомиоматозной пролиферации, ассоциированной с аденомиозом
- Авторы: Акопян Р.А.1, Печеникова В.А.1
-
Учреждения:
- Северо-Западный государственный медицинский университет им. И.И. Мечникова
- Выпуск: Том 19, № 1 (2017)
- Страницы: 55-60
- Раздел: Клинические исследования
- Статья получена: 13.11.2023
- Статья одобрена: 13.11.2023
- Статья опубликована:
- URL: https://journals.eco-vector.com/1682-7392/article/view/623287
- ID: 623287
Цитировать
Полный текст
Аннотация
Проведен гистологический и иммуногистохимический анализ (экспрессия десмина, коллагена IV типа, основного фактора роста фибробластов) морфофункциональных особенностей лейомиоматозной пролиферации, ассоциированной с аденомиозом. Установлено два ее варианта – диффузная перифокальная лейомиоматозная гиперплазия без формирования микромиом (97,8%) и перифокальная лейомиоматозная гиперплазия с формированием микро и/или макроскопически видимых миом (62,6%). Выявленные при иммуногистохимическом исследовании различия в морфофункциональной характеристике перифокальных лейомиоматозных пролифератов глубоких и поверхностных эндометриоидных гетеротопий, связанные с утратой экспрессии десмина и положительной экспрессией коллагена IV типа, отражают значительное ремоделирование миометрия при этой патологии. Обнаруженная непосредственная топографическая связь гладкомышечных пролифератов в цитогенной строме очагов аденомиоза с сосудами микроциркуляторного русла и высокая частота формирования на основе перифокальных лейомиоматозных пролифератов микроскопически видимых лейомиом позволяют предположить, что существует потенциальная возможность формирования узлов лейомиомы на основе очагов аденомиоза. Тяжесть основных клинических проявлений аденомиоза – болевого синдрома и нарушения менструального цикла – зависела от глубины расположения эндометриоидных гетеротопий в толще миометрия и от степени выраженности перифокальной лейомиоматозной гиперплазии. Так, умеренную и/или сильную дисменорею, а также нарушение менструального цикла по типу гиперполименореи достоверно чаще отмечали пациентки с глубоким аденомиозом и умеренной или выраженной ПЛГ. Постоянство лейомиоматозной гиперплазии при аденомиозе определяет необходимость поиска современных способов консервативной терапии этой патологии, которые будут направлены не только на подавление прогрессии эпителиального и стромального компонентов гетеротопий, но и предупреждение гладкомышечной пролиферации.
Полный текст
Введение. Внутренний генитальный эндометриоз – аденомиоз (Ам) – медленно прогрессирующее заболевание преимущественно позднего репродуктивного и перименопаузального периодов [7]. Его частота среди всех поражений эндометриозом органов репродуктивной системы составляет от 70 до 90% [2, 5].
До настоящего времени для обозначения гетеротопических очагов в теле матки продолжают использоваться два термина: «аденомиоз» и «внутренний эндометриоз». При этом считается, что термин «аденомиоз» не всегда является синонимом «внутреннего эндометриоза». По данным Б.И. Железнова, А.Н. Стрижакова [4], термин «аденомиоз» следует применять только к диффузным, очаговым, а также узловым формам патологии, при которых отмечается утолщение миометрия за счет гиперплазии гладкомышечных клеток. В связи с этим авторы считают неправомерным называть Ам I и II степени процесса, при которых практически всегда отсутствует гиперплазия мышечных элементов и диффузное утолщение миометрия. Однако в ряде работ последних лет было показано, что с морфологической точки зрения Ам представляет собой не только разрастание эндометриоидных очагов стромального или железисто-стромального строения в миометрии, интерстициальном отделе маточных труб и перешейке, но и пролиферацию гладкомышечных клеток вокруг гетеротопий [1, 3, 6, 8]. Кроме того, показано, что гладкомышечная пролиферация обнаруживается и при других формах эндометриоидной болезни – эндометриозе яичников, перитонеальном эндометриозе, а также при экстрагенитальной локализации процесса.
Таким образом, Ам является сложным сочетанным пролиферативным патологическим процессом, прогрессирование которого связано не только с разрастанием в миометрии эндометриоидных гетеротопий, но и с лейомиоматозной гиперплазией. Однако, несмотря на наличие большого числа работ, посвященных проблеме Ам, мы не нашли публикаций, посвященных изучению морфофункциональных особенностей гладкомышечной пролиферации, ассоциированной с очагами внутреннего генитального эндометриоза. Несомненно, данное направление исследований может открыть новое понимание патои морфогенеза такого значимого заболевания, как Ам, и способствовать возникновению новых направлений в лечении и профилактике этой патологии.
Цель исследования. Изучить гистологические и морфофункциональные особенности лейомиоматозной гиперплазии, ассоциированной с очагами аденомиоза.
Материалы и методы. Проведено морфологическое и иммуногистохимическое исследование 91 наблюдения с гистологически верифицированным диагнозом Ам. Пациентки были разделены на 2 группы. В 1-ю группу вошли 33 (36,3%) пациентки с Ам I–II степени, во 2-ю группу – 58 (63,7%) пациенток с Ам III–IV степени. Группа сравнения была представлена пациентками с лейомиомой матки (n=50).
Клиническое исследование имело многоплановый характер и включало опрос больных по специально разработанной анкете, состоящей из 116 вопросов; весь объем клинико-лабораторных исследований, необходимый для подготовки пациентки к оперативному вмешательству, проводился согласно стандартам, принятым в акушерстве и гинекологии.
Все женщины были прооперированы в плановом порядке во 2 фазу менструального цикла. Средний возраст пациенток с Ам составил 49,9±1,1 года. При этом глубокий Ам (III–IV степени) диагностировался у женщин более молодого возраста (46,4±0,9 года). Средний возраст больных с Ам I–II степени составил 55,9±2,3 года (t=4,52; р=0,001). Показаниями для оперативного лечения служили рост миомы матки, Ам, сочетание Ам и лейомиомы (Лм), рецидивирующая гиперплазия эндометрия. Всем больным оперативное вмешательство производилось путем чревосечения. Объем оперативного вмешательства определялся характером патологии матки, наличием изменений шейки матки и придатков (надвлагалищная ампутация матки без или с придатками, экстирпация матки без или с придатками). Удаленные препараты тщательно осматривали, измеряли размеры маток, толщину эндометрия, миометрия, определяли наличие макроскопически видимых патологических участков. Гистологический диагноз Ам устанавливался только при обнаружении эндометриальных желез и цитогенной стромы в миометрии ниже уровня базального слоя эндометрия на 2–3 мм. Верификация Ам проводилась по степени распространения процесса. Так, I степенью Ам считали расположение эндометриоидных гетеротопий (ЭГ) на 0,2–0,25 см ниже уровня соединения эндои миометрия и поражение 25% миометрия, II степенью – инвазию гетеротопий на 26–50% толщины мышечного слоя матки, III – распространение процесса на 51–75% миометрия. При поражении более 75% толщины миометрия вплоть до серозного покрова диагностировали IV степень Ам. Исследование операционного материала проводилось с широкой вырезкой эндои миометрия. Срезы окрашивались гематоксилином и эозином.
Степень выраженности лейомиоматозной гиперплазии вокруг очагов Ам оценивали при увеличении микроскопа ×10 как слабую, умеренную или резко выраженную. При наличии единичных гладкомышечных пролифератов вокруг очагов Ам она оценивалась как слабая, при её площади до половины поля зрения как умеренная, а при площади более половины поля зрения как резко выраженная.
Иммуногистохимическое исследование включало изучение экспрессии десмина, основного фактора роста фибробластов (bFGF), коллагена IV типа. При морфометрическом анализе подсчитывали относительную площадь и оптическую плотность экспрессии указанных маркеров. Измерение выполняли с помощью компьютерной программы «Видеотест-морфология 5.0». Объем выборки составил не менее 10 полей зрения при увеличении ×200.
Статистическую обработку полученных данных проводили с использованием общеупотребительных методов параметрической и непараметрической статистики на персональном компьютере с использованием стандаpтного пакета пpогpамм пpикладного статистического анализа (Statistica for Windows v.6.0). Кpитический уpовень достовеpности нулевой статистической гипотезы пpинимали pавным 0,05.
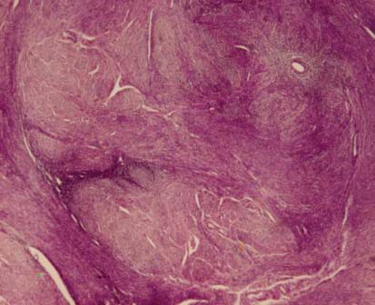
Результаты и их обсуждение. Гистологически установлено, что одной из морфологических особенностей Ам, независимо от глубины расположения эндометриоидных очагов в толще миометрия, является постоянство перифокальной лейомиоматозной гиперплазии (ПЛГ) – гладкомышечная пролиферация вокруг эндометриоидных гетеротопий. Она была обнаружена у всех пациенток 2-й группы и в 93,9% случаев у больных 1-й группы. Перифокальные лейомиоматозные пролифераты вместе с ЭГ формировали единые тканевые комплексы, которые топографически были четко отграничены от окружающего их миометрия (рис. 1).
Рис. 1. Очаг Ам с ПЛГ, отграниченный от окружающего миометрия. Окраска – гематоксилин-эозин, ув. х200
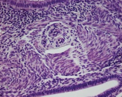
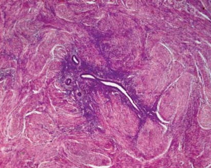
Лейомиоматозная пролиферация обнаруживалась также в цитогенной строме очагов Ам, в непосредственной топографической связи с сосудами микроциркуляторного русла (рис. 2). В ряде случаев на основе гладкомышечных пролифератов вокруг очагов Ам формировались множественные микрои макроскопически видимые лейомиомы (рис. 3).
Рис. 2. Лейомиоматозная пролиферация в цитогенной строме ЭГ в непосредственной топографической связи с сосудами микроциркуляторного русла. Окраска – гематоксилин-эозин, ув. х400
Рис. 3. ПЛГ с формированием микромиом. Окраска – гематоксилин-эозин, ув. х200
В связи с этим было выделено два варианта ПЛГ: 1 – диффузная ПЛГ без формирования микромиом (97,8%); 2 – ПЛГ с формированием микрои/или макроскопически видимых миом (62,6%). Выраженность ПЛГ зависела от степени распространения ЭГ в толще миометрия. Так, ПЛГ в 1-й группе достоверно чаще была выражена слабо, а во 2-й группе – умеренно или резко выражена (табл. 1).
Таблица 1
ПЛГ в зависимости от глубины поражения миометрия Ам
Вариант ПЛГ | 1-я группа | 2-я группа | χ2 | p | |||
Вариант ПЛГ | абс. | % | абс. | % | χ2 | p | |
Без формирования микромиом | Слабая | 9 | 27,3 | 2 | 3,5 | 15,34 | <0,001 |
Без формирования микромиом | Умеренная/ резко выраженная | 22 | 66,7 | 56 | 96,6 | 15,34 | <0,001 |
С формированием микромиом | Слабая | 3 | 9,1 | 8 | 13,8 | 11,22 | <0,001 |
С формированием микромиом | Умеренная/ резко выраженная | 9 | 27,3 | 37 | 63,8 | 11,22 | <0,001 |
Имелась четкая связь между выраженностью ПЛГ, глубиной поражения и наличием морфофункциональной активности в очагах Ам. Так, при наличии признаков морфофункциональной активности в очагах Ам (проявления секреции, пролиферации, кровоизлияния в строму и железы) ПЛГ достоверно чаще была умеренно или резко выражена при глубоком Ам, слабо выражена или отсутствовала при неглубоком Ам без проявления морфофункциональной активности в его очагах (табл. 2).
Таблица 2
Зависимость степени ПЛГ от наличия признаков морфофункциональной активности в гетеротопиях у больных Ам, абс. (%)
Степень ПЛГ | Состояние ЭГ | |||
Степень ПЛГ | с признаками морфофункциональной активности в очагах | без признаков морфофункциональной активности в очагах | ||
Степень ПЛГ | 1-я группа, n=17 | 2-я группа, n=56 | 1-я группа, n=16 | 2-я группа, n=2 |
Нет или слабая | 3 (17,6) * | 1 (1,8) | 8 (50) * | 1 (50) |
Умеренная | 14 (82,4) | 55 (98,2) ** | 8 (50) ** | 1 (50) |
Примечание: * – р=0,05; ** – р <0,001.
Степень выраженности ПЛГ обусловливала также тяжесть основных клинических проявлений заболевания – болевого синдрома и нарушения менструального цикла. Так, умеренную и/или сильную дисменорею достоверно чаще отмечали пациентки с Ам III–IV степени и умеренной или выраженной ПЛГ. Достоверно чаще нарушение менструального цикла по типу гиперполименореи имело место у пациенток с Ам III–IV степени и умеренной или выраженной ПЛГ (n=51; 77,3%; χ2=6,18; р=0,01). Развитие вторичной анемии как объективного показателя нарушения менструального цикла достоверно чаще отмечалось при глубоком Ам (81% в сравнении с 30,3% при Ам I–II степени). Обнаружено, что во всех случаях развития анемии, как в 1-й, так и во 2-й группах ПЛГ была умеренно или резко выражена (табл. 3).
Таблица 3
Зависимость дисменореи от степени выраженности ПЛГ у больных Ам, абс. (%)
Дисмено- рея | ПЛГ | |||
отсутствует или слабая | умеренная или выражен- ная | |||
1-я группа, n=11 | 2-я группа, n=2 | 1-я группа, n=22 | 2-я группа, n=56 | |
Отсутствует или слабая | 11 (100) | 1 (50) | 13 (59,1) | 16 (28,6) |
Умеренная или сильная |
0 |
1 (50) |
9 (40,9) * |
40 (71,4) * |
Примечание: * – р=0,01.
При макро и микроскопическом исследовании операционного материала обнаружено, что увеличение размеров матки при внутреннем генитальном эндометриозе было обусловлено гиперплазией и гипертрофией миометрия. Так, диффузное утолщение миометрия – лейомиоматоз отмечалось в 94,5% случаев: во всех наблюдениях во 2-й группе и в 84,6% в 1-й группе. Среднее значение толщины миометрия при Ам составило 3,5±0,1 см и колебалось от 2,8±0,2см при поверхностном расположении гетеротопий до 3,8±0,1 см при Ам III–IV степени (p<0,001). Размеры маток во 2-й группе всегда были больше нормы, средний составил 9,8±0,4 недель. У пациенток 1-й группы матка была увеличена в 22 из 33 случаев наблюдений (66,7%), средний размер составил 7,4±0,4 недель (p<0,001).
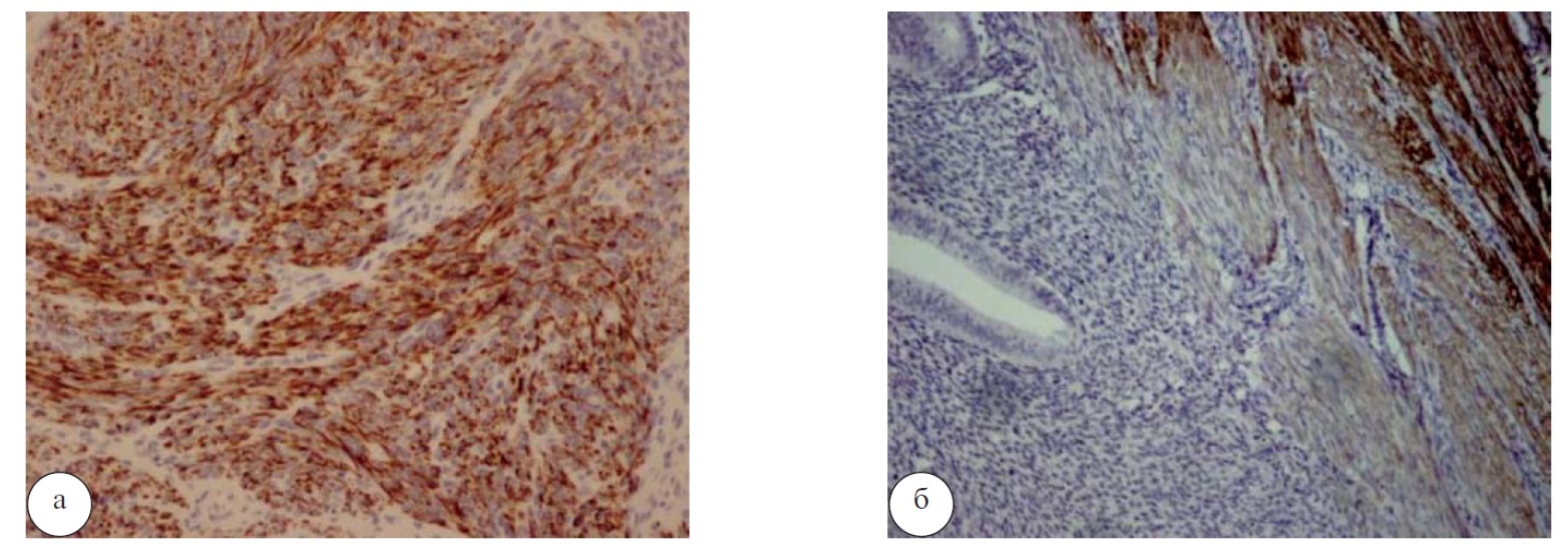
Иммуногистохимическое исследование. Десмин – маркер гладкомышечной дифференцировки, экспрессировался в зонах ПЛГ, в гладкомышечных пролифератах стромы, в интактном миометрии, а также в зонах роста Лм. Во всех наблюдениях Ам, как при поверхностном, так и при глубоком, имелась определенно четкая тенденция экспрессии данного маркера. Интенсивность и площадь его экспрессии зависела от глубины расположения ЭГ в толще миометрия. Так, выраженная экспрессия его отмечалась в зонах ПЛГ поверхностных очагов Ам, в интактном миометрии, особенно в отделах миометрия, подлежащих к эндометрию, то есть в субэндометриальном слое миометрия. Относительная площадь экспрессии у больных 1-й группы составила 31,7±5,4%, у пациенток 2-й группы – 30,3±5,0%, оптическая плотность как в 1-й, так и во 2-й группах составила 0,2±0,01 у. е. В зонах ПЛГ глубоких очагов Ам экспрессия чаще была слабо выражена, местами отсутствовала (рис. 4).
Рис. 4. Экспрессия десмина в зонах ПЛГ: а – поверхностно расположенного очага Ам; б – глубоко расположенного очага Ам
Площадь экспрессии составила 4,4±0,85 и 5,8±0,7% в 1-й и 2-й группах соответственно, а оптическая плотность экспрессии – 0,2±0,02 у. е. в 1-й и 2-й группах соответственно. Экспрессия десмина в интактном миометрии несколько чаще была выше в сравнении с таковой в ПЛГ вокруг поверхностных очагов Ам. Наибольшая площадь экспрессии обнаружена в зонах роста Лм (табл. 4).
Таблица 4
Экспрессия десмина в ПЛГ в зависимости от глубины расположения эндометриоидных гетеротопий при Ам, M±m
Группа | ПЛГ поверхностных очагов Ам | ПЛГ глубоких очагов Ам | Интактный миометрий | Зона роста Лм | ||||
Группа | площадь экспрессии, % | оптическая плотность, у. е. | площадь экспрессии, % | оптическая плотность, у. е. | площадь экспрессии, % | оптическая плотность, у. е. | площадь экспрессии, % | оптическая плотность, у. е. |
1-я | 31,68±5,41*,# | 0,22±0,01 | 4,37±0,85# | 0,2±0,02 | 47,7±5,21*,° | 0,25±0,02 | 88,82±1,85 ° | 0,2±0,002 |
2-я | 30,29±5,01*,# | 0,19±0,01 | 5,79±0,7# | 0,21±0,02 | 47,7±5,21*,° | 0,25±0,02 | 88,82±1,85 ° | 0,2±0,002 |
Примечание: * – p<0,05 при сравнении площади экспрессии десмина в поверхностных очагах Ам и в интактном миометрии; # – p<0,001 при сравнении экспрессии десмина в поверхностных и глубоких очагах Ам; ° – p<0,001 при сравнении площади экспрессии десмина в интактном миометрии и зонах роста Лм.
Экспрессия коллагена IV типа также варьировала в зависимости от глубины расположения очагов Ам. При этом между значениями экспрессии коллагена IV типа и десмина выявлена четкая отрицательная связь. Максимальное значение экспрессии коллагена IV типа регистрировалось в зонах ПЛГ глубоких очагов Ам, где была обнаружена слабая экспрессия десмина. Вокруг поверхностно расположенных ЭГ с выраженной экспрессией десмина коллаген IV типа практически не обнаруживался. Что касается площади экспрессии коллагена в «молчащих» зонах миомы матки, то она была сопоставима с таковой в ПЛГ глубоких очагов Ам (табл. 5).
Таблица 5
Экспрессия коллагена IV типа в ПЛГ в зависимости от глубины расположения ЭГ при Ам, М±m
Группа | ПЛГ поверхностных очагов Ам | ПЛГ глубоких очагов Ам | «Молчащие» зоны Лм | |||
Группа | площадь экспрессии, % | оптическая плотность, у.е. | площадь экспрессии, % | оптическая плотность, у.е. | площадь экспрессии, % | оптическая плотность, у.е. |
1-я | 1,8±0,18# | 0,15±0,02 | 19,01±3,0*, # | 0,17±0,01 | 20,52±1,97 | 0,2±0,003 |
2-я | 0 | 0 | 29,37±4,16* | 0,18±0,01 | 20,52±1,97 | 0,2±0,003 |
Примечание: * – p=0,05; # – p<0,001.
Таким образом, между экспрессией десмина и коллагена IV типа имелась отрицательная обратная связь, свидетельствующая о значимых различиях морфофункционального строения зон ПЛГ поверхностных и глубоких очагов Ам.
Фактор роста фибробластов экспрессировался в ПЛГ, в лейомиоцитах стромы, а также в зонах роста Лм. В цитогенной строме экспрессии не отмечалось. А в формирующихся лейомиоцитах стромы выраженность экспрессии была несколько выше в сравнении с очагами ПЛГ. Так, относительная площадь экспрессии bFGF составила 11,43±0,51% в ПЛГ и 18,17±0,23% в лейомиоцитах стромы, оптическая плотность экспрессии в ПЛГ – 0,12±0,002 у. е., в лейомиоцитах стромы – 0,16±0,01 у. е. Наибольшая площадь экспрессии bFGF отмечалась в зонах роста Лм, она была достоверно выше в сравнении с лейомиоцитами стромы и составила 20,36±0,41% (p<0,001).
В уже сформированных лейомиоматозных пролифератах стромы экспрессии не наблюдалось.
Заключение. Аденомиоз следует рассматривать как сложный сочетанный гиперпластический процесс миометрия, прогрессия которого обусловлена не только разрастанием ЭГ, но и гладкомышечной пролиферацией. Степень выраженности ПЛГ определяет диффузное утолщение миометрия и увеличение в размерах матки при Ам, что является одним из дифференциально-диагностических признаков этой патологии при инструментальной и клинической диагностике. Обнаруженные при иммуногистохимическом исследовании различия в морфофункциональной характеристике перифокальных лейомиоматозных пролифератов глубоких и поверхностных ЭГ, связанные с утратой экспрессии десмина и положительной экспрессией коллагена IV типа, отражают значительное ремоделирование миометрия при этой патологии. Это объясняет также тяжесть основных клинических проявлений – болевого синдрома и нарушения менструального цикла при Ам III–IV степени. Экспрессию основного фактора роста фибробластов можно рассматривать как пусковой механизм пролиферации на начальных этапах данного патологического процесса с дальнейшей дифференцировкой либо в сторону гладкомышечной ткани, либо в сторону соединительной ткани.
Однако даже при дифференцировке в сторону гладкомышечной ткани, когда сократительная функция могла бы сохраняться, лейомиоциты (миофибробласты) ПЛГ не могут расцениваться как нормальные, не измененные патологическим процессом лейомиоциты. Это связано с тем, что расположение этих миофибробластов значительно отличалось от расположения таковых в интактном миометрии. На основании полученных данных ПЛГ можно рассматривать как метаплазированную ткань, утратившую свою функциональную способность.
Кроме того, обнаруженная непосредственная топографическая связь гладкомышечных пролифератов в цитогенной строме очагов Ам с сосудами микроциркуляторного русла и высокая частота формирования на основе перифокальных лейомиоматозных пролифератов микросокопически видимых лейомиом (62,6%) позволяют говорить о том, лейомиоматозная пролиферация при Ам повторяет, по сути, этапы морфогенеза лейомиомы матки, обозначенные в литературе: 1 стадия – образование «активной» зоны роста в миометрии. Зачаток миоматозного узла может происходить из трансформированных гладкомышечных клеток миометрия, точнее, из перицитов – мышечной оболочки тонкостенного сосуда матки; 2 стадия – рост узла без признаков дифференцировки (микроскопически определяемый узел); 3 стадия – рост узла с дифференцировкой и созреванием миоцитов (макроскопически определяемый узел) [9]. Таким образом, существует потенциальная возможность формирования узлов лейомиомы на основе очагов Ам, что объясняет высокую частоту сочетания этих заболеваний (по данным разных авторов – до 85%).
Обнаруженное значение лейомиоматозной гиперплазии в морфогенезе Ам определяет необходимость поиска современных способов консервативной терапии этой патологии, которые будут направлены не только на подавление прогрессии эпителиального и стромального компонентов гетеротопий, но и предупреждение гладкомышечной пролиферации.
Об авторах
Р. А. Акопян
Северо-Западный государственный медицинский университет им. И.И. Мечникова
Email: akopjan.raisa@mail.ru
Россия, г. Санкт-Петербург
В. А. Печеникова
Северо-Западный государственный медицинский университет им. И.И. Мечникова
Автор, ответственный за переписку.
Email: akopjan.raisa@mail.ru
Россия, г. Санкт-Петербург
Список литературы
- Аничков, Н.М. Клинико-морфологические особенности эндометриоидной болезни: аденомиоза, эндометриоза яичников, экстрагенитального эндометриоза / Н.М. Аничков, В.А. Печеникова, Д.Ф. Костючек // Архив патологии. – 2011. – № 4. – С. 5–10.
- Баскаков, В.П. Эндометриоидная болезнь / В.П. Баскаков, Ю.В. Цвелев, Е.Ф. Кира. – СПб.: Н–Л, 2002. – 452 с.
- Дамиров, М.М. Аденомиоз: клиника, диагностика и лечение / М.М. Дамиров. – М.: Тверь: Триада, 2002. – 224 с.
- Железнов, Б.И. Генитальный эндометриоз / Б.И. Железнов, А.Н. Стрижаков. – М.: Медицина, 1985. – 160 с.
- Куценко, И.И. Генитальный эндометриоз. Проблемы диагностики и лечения / И.И. Куценко. – Краснодар: Адыгея, 1994. – 189 с.
- Клинико-морфологические параллели и молекулярные аспекты морфогенеза аденомиоза / Е.А. Коган [и др.] // Архив патологии. – 2008. – № 5. – С. 8–12.
- Лушникова, А.К. Клинико-морфологический анализ и иммуногистохимическая характеристика внутреннего и наружного генитального эндометриоза: дис. … канд. мед. наук / А.К. Лушникова. – Новосибирск, 2012. – 107 с.
- Сидорова, И.С. Новый взгляд на природу эндометриоза (аденомиоза) / И.С. Сидорова, Е.А. Коган, О.В. Зайратьянц // Акушерство и гинекология. – 2002. – № 3. – С. 32–38.
- Сидорова, И.С. Миома матки / И.С. Сидорова. – М.: Медицинское информационное агентство, 2003. – 256 с.
Дополнительные файлы






