The possibility of endovideosurgical treatment of a giant hydatid cysts of the liver
- Authors: Soloviev I.A.1, Lychev A.B.1, Dymnikov D.A.1, Lototskiy M.M.1
-
Affiliations:
- Военно-медицинская академия им. С.М. Кирова
- Issue: Vol 19, No 1 (2017)
- Pages: 61-63
- Section: Clinical Trials
- Submitted: 13.11.2023
- Accepted: 13.11.2023
- Published:
- URL: https://journals.eco-vector.com/1682-7392/article/view/623294
- ID: 623294
Cite item
Full Text
Abstract
The case of successful minimally invasive surgical treatment of a patient with a giant hydatid cyst of the liver is presented. Outpatient ultrasound examination revealed the formation of the right lobe of the liver with a size of about 10 cm. During hospitalization in the naval surgery clinic of S. M. Kirov Military Medical Academy, the comprehensive clinical and radiological examination was performed. Diagnosis: hydatid cyst of the liver. Data for the prevalence of the process was not received. Diagnostic laparoscopy to assess the degree of liver damage and determine the possibility of minimal invasive removal of the cyst was performed. Mobilization of the liver by incising the falciform ligament was produced. The possibility of performing laparoscopic pericystectomy was established. Dissection of cysts, removing of scoleces without opening their capsules and atypical resection of 4, 7 and 8 liver segments with treatment of resection zone by argon-plasma coagulation was produced. Drainage in the resection area was set. Debit of excretion by drainage per day was about 100 ml of serous-lymph excretions. Control fistulography was performed. Relations of cavity with ductal system of the liver were not revealed. The postoperative period was uneventful. After 10 days after surgical intervention multislice computed tomography was performed. Information about presence of structures in the abdominal cavity is not obtained. The patient was discharged after 12 days in a satisfactory condition.
Full Text
Введение. Эхинококкоз (лат. Echinococcosis) – гельминтоз из группы цестодозов, характеризующийся образованием в печени, лёгких или других органах и тканях паразитарных кист. Основной источник инвазии – охотничьи собаки, а также сельскохозяйственные животные – свиньи, коровы, лошади и другие животные [1]. Эхинококкоз чаще выявляется у лиц среднего возраста. Болезнь в неосложненных случаях протекает годами и может быть выявлена случайно. Чаще всего эхинококк поражает печень, приблизительно в 47% всех случаев; далее следуют: легкие – 12%, почки – 10%, голова – 9%, малый таз – 4,5%, селезенка, кости – 3,5%, глаза – 2%, спинной мозг – 1,5%, частота эхинококка в мышцах составляет 4–6% [1, 2].
При эхинококкозе печени онкосферы из кишечной стенки с кровотоком портальной системы заносятся в печень, где большинство оседает в мелких капиллярах. Эхинококковые кисты медленно прогрессивно растут и прорываются в паренхиму печени, жёлчные протоки или свободную брюшную полость. Кисты в большинстве случаев располагаются в правой доле [1, 2].
Извлечение эхинококка осуществляется оперативным путём. Для этого используют: 1) открытые оперативные вмешательства – лапаротомия (удаление кисты из органа или удаление части органа вместе с кистой под общей анестезией); 2) закрытые – лапароскопические оперативные вмешательства (удаление кисты из органа или удаление части органа вместе с кистой под общей анестезией); 3) минимально инвазивные чрескожные оперативные вмешательства под контролем ультразвука через проколы брюшной стенки (удаление кисты без повреждения и удаления органов под местной анестезией) [2, 3].
Цель исследования. Показать возможность успешного минимально инвазивного лечения гигантской эхинококковой кисты.
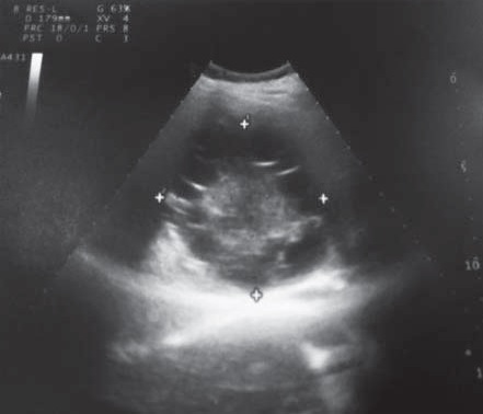
Результаты и их обсуждение. Военнослужащий срочной службы Т., 1989 г.р., в Вооруженных силах РФ с 20 апреля 2015 г., проходил службу в качестве повара воинской части. На фоне полного благополучия в январе 2016 г. проходил медицинское освидетельствование для поступления на военную службу по контракту. При ультразвуковом исследовании (УЗИ) выявлена киста печени диаметром около 10 см. С целью дополнительного обследования был направлен в военный госпиталь по месту службы. При обследовании в анализах крови патологии не выявлено. Вирусные гепатиты В и С не выявлены, антитела к вирусу иммунодефицита человека отрицательные. Выполнен иммуноферментный анализ на эхинококк, который был положительным. При контрольном УЗИ определялась многокамерная киста правой доли печени диаметром около 10 см (рис. 1).
Рис. 1. УЗ-картина многокамерной эхинококковой кисты (диаметр 10 см)
Для дальнейшего углубленного обследования и определения тактики лечения переведен в клинику военно-морской хирургии Военно-медицинской академии имени С.М. Кирова. В клинике выполнено комплексное клинико-лучевое обследование. При мультиспиральной компьютерной томографии (МСКТ) головы, грудной клетки, брюшной полости подтверждено наличие эхинококковой кисты правой доли печени около 10 см, которая сдавливает нижнюю полую вену (рис. 2, 3). В других органах и тканях эхинококк не выявлен. Пациент проконсультирован паразитологом – выставлен диагноз: эхинококковая киста печени.
22.03.2016 под эндотрахеальным наркозом выполнена диагностическая лапароскопия для оценки степени поражения печени и определения возможности минимально инвазивного удаления кисты. При осмотре печени на передней поверхности в проекции S4, S7, S8 визуализируется кистозное образование, покрытое фибрином (рис. 4).
Рис. 2. МСКТ эхинококковой кисты (многокамерная киста в правой доле диаметром 10 см)
Рис. 3. Компрессия нижней полой вены кистой
Рис. 4. Интраоперационный вид кисты на поверхности печени
Произведена мобилизация печени путем рассечения серповидной связки. Установлена возможность выполнения эндовидеохирургической перицистэктомии. Выполнена пункция образования – удален жидкостный компонент кистозного содержимого, в полость введен раствор бетадина на 15 мин. В полости кисты определялись множественные сколексы диаметром от 1 до 2 см (рис. 5).
Рис. 5. Эхинококковые сколексы после вскрытия капсулы кисты
Образования удалены без вскрытия их капсул с помощью электроотсасывателя хирургического с увеличенным по толщине наконечником. Общий объем удаленных кист составил около 1200 мл. С целью ликвидации остаточной полости произведена атипичная резекция 4, 7 и 8 сегментов печени с обработкой зоны резекции аргон-плазменной коагуляцией. В область резекции установлен дренаж. Дебет отделяемого по дренажу за сутки составлял около 100 мл серозносукровичного отделяемого. Выполнялась контрольная фистулография. Связи полости с протоковой системой печени не выявлено.
Послеоперационный период протекал без осложнений. Проводилась антипаразитарная терапия после получения результата гистологического исследования с 4-х суток после операции (альбендазол per os 400 мг в сутки). Дренаж из полости удален на 7-е сутки. Послеоперационные раны зажили первичным натяжением. Через 10 дней после оперативного вмешательства выполнена МСКТ. Данных о наличии образований в брюшной полости не получено. На 12-е сутки пациент выписан в удовлетворительном состоянии.
About the authors
I. A. Soloviev
Военно-медицинская академия им. С.М. Кирова
Email: dym82@mail.ru
Russian Federation, г. Санкт-Петербург
A. B. Lychev
Военно-медицинская академия им. С.М. Кирова
Email: dym82@mail.ru
Russian Federation, г. Санкт-Петербург
D. A. Dymnikov
Военно-медицинская академия им. С.М. Кирова
Email: dym82@mail.ru
Russian Federation, г. Санкт-Петербург
M. M. Lototskiy
Военно-медицинская академия им. С.М. Кирова
Author for correspondence.
Email: dym82@mail.ru
Russian Federation, г. Санкт-Петербург
References
- Альперович, Б.И. Хирургия печени / Б.И. Альперович. – М.: ГЭОТАР-Медиа, 2010. – 352 с.
- Борисов, А.Е. Руководство по хирургии печени и желчевыводящих путей / А.Е. Борисов. – СПб.: Предприятие ЭФА, 2002. – 448 с.
- Гаврилин, А.В. Пункционный метод лечения эхинококковых кист печени под контролем ультразвукового исследования / А.В. Гаврилин, Г.И. Кунцевич, В.А. Вишневский // Хирургия. – 2002. – № 8. – С. 39–46.
Supplementary files







