Pathomorphological estimation of dimethyl selenium and dimethyl sulfoxide efficacy for the treatment of wounds in the experiment
- Authors: Lutsenko V.N.1, Namokonov E.V.2, Grebenyuk A.N.3
-
Affiliations:
- 321 Военный клинический госпиталь Восточного военного округа
- Читинская государственная медицинская академия
- Военно-медицинская академия им. С.М. Кирова
- Issue: Vol 19, No 1 (2017)
- Pages: 111-114
- Section: Experimental trials
- Submitted: 15.11.2023
- Accepted: 15.11.2023
- Published:
- URL: https://journals.eco-vector.com/1682-7392/article/view/623441
- ID: 623441
Cite item
Full Text
Abstract
In the experiment on the wound model in rats it was studied the clinical efficacy of the drug composition with dimethyl selenium. Experimental studies were carried out on white outbred male rats, which under ether anesthesia on the surface of the back after depilation and alcohol lubrication excised skin up to 4 cm in diameter to underlying fascia. Animals in the first group as a means to stimulate the reparative processes of the skin wounds were treated with the drug composition with dimethyl selenium, animals of the second group (comparative group) were treated with dimethyl sulfoxide, animals of the third group (control) did not receive local treatment and its wounds healed under aseptic bandage. Evaluation of the efficacy of dimethyl selenite and dimethyl sulfoxide was performed on the 1st and 3rd day of treatment with light microscopy of wound tissue biopsies painted with hematoxylin and eosin, and pikrophuksine by Van Gieson method. It was found that wounds in animals of the control group were characterized by necrosis edge, hemorrhage, expressed soft tissue edema and inflammatory infiltration with more disintegrating polymorphonuclear leukocytes. Local use of the drug composition with dimethyl selenium led to a significant reduction in severity of pathological manifestations of inflammation and accelerating repair. Dimethyl sulfoxide also has anti-inflammatory effect, but less pronounced than dimethyl selenite. It is shown that the use of selenium in the local treatment of wounds to reduce necrosis in the wound edges, accelerate proliferative processes in the granulation tissue and thereby contribute to faster and more complete healing of wounds.
Keywords
Full Text
Введение. Несмотря на многовековую историю изучения, проблема лечения ран и в настоящее время остается актуальной как в теоретическом, так и в практическом плане. Учитывая, что заживление ран является сложным многостадийным процессом, их лечение должно быть комплексным и, наряду с хирургическим вмешательством, должно включать местное применение средств, обладающих антисептическим, антибактериальным, анальгетическим, десенсибилизирующим действием, а также стимулирующими репаративные процессы свойствами [2, 3, 6]. Этим требованиям в полной мере отвечают антиоксиданты – природные или синтетические вещества, которые непосредственно связывают свободные радикалы, инициирующие и/или поддерживающие воспалительный процесс в ране, либо стимулируют собственную антиоксидантную систему организма, ускоряя процессы репарации и регенерации [1, 10, 11]. Вследствие их синергического воздействия на патофизиологические процессы в ране становится возможным синхронизировать процессы очищения гнойной раны, с одной стороны, и ускорения созревания грануляционной ткани, с другой. В связи с этим поиск, разработка и экспериментальная оценка новых лекарственных средств, за счет антиоксидантного действия обеспечивающих значительный противовоспалительный и регенераторный эффект не только на поверхности, но и в глубоких слоях раны, является актуальной задачей современной медицины.
Цель исследования. Экспериментальная оценка репаративных процессов в ране при местном использовании антиоксидантной лекарственной композиции на основе селена.
Материалы и методы. Экспериментальные исследования выполнены на 55 белых беспородных крысах-самцах массой 200–220 г, выдержанных в течение 2-х недель в карантине в условиях стандартного содержания в виварии. Моделирование ран и оценку эффективности проводимого лечения проводили в асептических условиях операционного блока кафедры оперативной хирургии и топографической анатомии Читинской государственной медицинской академии. Операции и все манипуляции с животными проводились с использованием общего обезболивания, а эвтаназия – путем передозировки средств для наркоза. При проведении исследования выполняли требования нормативно-правовых актов о порядке экспериментальной работы с использованием животных, в том числе по гуманному отношению к ним [8].
Для моделирования ран крысам под эфирным наркозом на поверхности спины после депиляции и обработки спиртом иссекали участок кожи диаметром до 4 см до подлежащей фасции, после чего на полученную рану накладывали асептическую повязку.
Для лечения ран использовали лекарственную композицию с диметилселенитом [5]. Основным антиоксидантным ингредиентом в этой лекарственной композиции является селенит натрия. В качестве стабилизатора и диполярного носителя, способствующего проникновению селенита натрия через биологические мембраны вглубь тканей, в составе композиции используется диметилсульфоксид, обладающий также определенным бактерицидным эффектом. Третьим компонентом является дистиллированная вода, необходимая для растворения селенита натрия.
Для оценки эффективности изучаемого препарата было сформировано три группы животных. В 1-й группе (n=20) в качестве средства для стимуляции репаративных процессов раны кожи использовали лекарственную композицию с диметилселенитом, обладающую выраженным антиоксидантным действием [5]. Во 2-й группе (n=20) в качестве препарата сравнения использовали диметилсульфоксид в виде мази. Оба лекарственных средства применяли местно, начиная со 2-х сут после моделирования раны. 3-ю (контрольную) группу составили 15 крыс, у которых местное лечение не проводилось, раны заживали под асептической повязкой.
У животных всех трех групп раны накрывали повязками из марлевых салфеток и фиксировали узловыми швами. Повязки менялись ежедневно; в ходе смены повязок повторно наносились мазевые препараты (у животных контрольной группы – физиологический раствор), оценивался внешний вид раны и состояние грануляций. На 2-е и 4-е сут после моделирования ран (что соответствовало 1-м и 3-м сут лечения) с их центра брали биоптаты грануляционной ткани, которые фиксировали в 10% растворе нейтрального формалина с последующей проводкой через спирты восходящей концентрации и заливкой в парафин для последующего морфологического исследования. Парафиновые срезы толщиной 5–7 мкм окрашивали гематоксилин–эозином и пикрофуксином по методу Ван-Гизона, а в дальнейшем изучали методом световой микроскопии.
Полученные данные обрабатывали методами вариационной статистики с использованием U-критерия Вилкоксона – Манна – Уитни. Достоверными считали различия при p < 0,05.
Результаты и их обсуждение. Установлено, что у животных контрольной группы на 2-е сут после моделирования раны характеризовались наличием краевого некроза, кровоизлияний, отмечалась воспалительная инфильтрация с большим количеством распадающихся полиморфноядерных лейкоцитов. На 4-е сутки опыта у большинства животных этой группы в области ран сохранялся выраженный отек мягких тканей и воспалительный инфильтрат. В инфильтрате превалировали нейтрофильные лейкоциты, прилежащие в глубине раны мышечные волокна набухшие, фрагментированы и частично некротизированы, по периферии в инфильтрате встречались единичные макрофаги, лимфоциты.
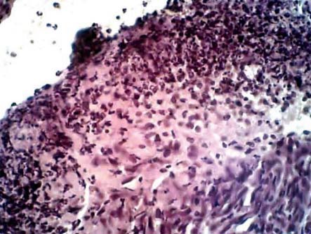
У животных, получавших лечение диметилселенитом и диметилсульфоксидом, на 2-е сутки наблюдения морфологическая картина была схожей с контрольной группой в эти же сроки. Однако уже на 4-е сут у крыс 1-й группы лейкоцитарная инфильтрация в краях раны отсутствовала, раневая поверхность была представлена широким слоем молодой грануляционной ткани с множеством мелких новообразованных капилляров. Элементы грануляционной ткани с признаками созревания проникли и между пучками мышечных волокон. Отмечалось наличие коллагеновых волокон, окруженных большим количеством полибластов, макрофагов, эпителиоидных клеток с тенденцией их трансформации в фибробласты (рис. 1).
Рис. 1. Морфологическая картина раны при лечении диметилселенитом на 4-е сут от начала наблюдения. Хорошо видны многочисленные полнокровные капилляры, коллагеновые волокна, окруженные эпителиоидными клетками с тенденцией трансформации в фибробласты. Окраска гематоксилин-эозином, ок. х7, об. х20
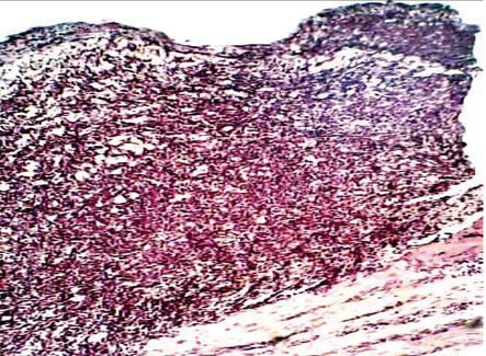
К 4-м сут лечения морфологическая картина ран у животных 2-й группы характеризовалась тем, что поверхностный лейкоцитарно-некротический слой был тонким, а диффузная лейкоцитарная воспалительная инфильтрация мягких тканей раны была снижена. Грануляционная ткань содержала достаточно большое количество лимфоцитов и нейтрофилов, имелись незрелые клетки фибробластического ряда. Новообразованных кровеносных сосудов небольшое количество, определялись лимфостазы. Сохранялась необильная межмышечная макрофагально-лимфоцитарная инфильтрация, по периферии прослеживались единичные фибробласты (рис. 2).
Рис. 2. Морфологическая картина раны при лечении диметилсульфоксидом на 4-е сут от начала наблюдения. Наблюдается выраженная нейтрофильная инфильтрация раны с интерстициальным отеком, в глубине – формирование грануляционной ткани. Окраска гематоксилин-эозином, ок. х7, об. х40
Цитологическая картина раневых отпечатков ран у животных контрольной группы на 2-е сут характеризовалась наличием разрушенных гранулоцитов (45,5±2,1% от общего количества клеток), с большим количеством фагосом с микробным и клеточным детритом. В последующие дни нейтрофильные лейкоциты сохранялись в большом количестве, но без признаков дегенерации (69,2±1,8%), а также появлялись единичные полибласты (4,8±2,1%).
При цитологическом исследовании на 2-е сут лечения у животных 1-й группы отмечалась положительная динамика, которая проявлялась в значительном снижении количества нейтрофильных лейкоцитов до 32,2±3,1% от общего числа клеток, большинство из них было без признаков дегенерации. Обращало на себя внимание нарастание количества макрофагов до 12,7±2,4% в поле зрения и появление полибластов (10,8±2,1%), которые имели тенденцию к расположению гнездами. На 4-е сутки лечения диметилселенитом, к моменту разрастания в ранах полноценных грануляций, цитограммы были представлены большим количеством полибластов, которые чаще всего имели гнездное расположение и составляли 26,5±5,2% от общего числа клеток, происходила их активная трансформация в про- и фибробласты, которые располагались гнездами по 7–8 штук в поле зрения (табл.).
Таблица
Показатели цитограмм раневых отпечатков у крыс в процессе лечения, % (M± m)
Клеточная популяция | Изученные средства и сроки исследования | |||
Клеточная популяция | 1-я группа | 2-я группа | ||
Клеточная популяция | 2 сут | 4 сут | 2 сут | 4 сут |
Нейтрофилы | 32,2± | 35,2± | 58,5± | 54,5± |
Недифференцированные полибласты | 10,8± | 26,5± | 6,7± | 9,6± |
Макрофаги | 12,7± | 13,7± | 11,3± | 12,1± |
Фибробласты | – | 7,8± | – | 2,7± |
Фагоцитоз завершенный | + | + | – | – |
Примечание: * – p<0,05 по сравнению со 2-й группой.
У животных 2-й группы на 2-е сут отмечалось менее значительное снижение количества нейтрофильных лейкоцитов (до 58,5±2,2%), большинство их было без признаков дегенерации, многие микроорганизмы находились внутри клеток в различной стадии разрушения. Отмечалось нарастание количества гистиоцитарных клеток (полибластов), которые составили
6,7±1,9% от общего числа клеток. К 4-м сут лечения в цитограммах животных этой группы отмечалось отсутствие микробных тел, гнездное расположение полибластов, которых насчитывалось до 9,6±0,9%.
В патогенезе раневого процесса важную роль играет оксидативный стресс, сопровождающийся чрезмерным образованием активных форм кислорода, которые способны увеличивать альтерацию и нарушать процессы заживления. Поэтому одним из элементов патогенетически обоснованной местной терапии ран является стимуляция антиоксидантной системы организма, одним из компонентов которой является фермент глутатионпероксидаза, способный нейтрализовать многочисленные высокоактивные свободные радикалы, запускающие систему перекисного окисления липидов [4, 7, 9]. Основным структурным элементом всех глутатионпероксидаз является селен (Se), отвечающий за индукцию синтеза этого энзима, что может служить важным инструментом защиты развивающейся грануляционной ткани и эпителия в ране от избытка продуктов перекисного окисления, в первую очередь гидроперекисей и липопероксидов [5]. Именно этим и может объясняться выявленный ранозаживляющий эффект изученной лекарственной композиции с диметилселенитом как основным ее антиоксидантным компонентом.
Заключение. Установлено, что лекарственная композиция с диметилселенитом позволяет уменьшить некроз в краях раны, ускорить пролиферативные процессы в грануляционной ткани и тем самым способствует более быстрому и более полному заживлению ран. Диметилсульфоксид также обладает противовоспалительным эффектом, но менее выраженным, чем диметилселенит.
About the authors
V. N. Lutsenko
321 Военный клинический госпиталь Восточного военного округа
Email: lutsenkovalery@yandex.ru
Russian Federation, г. Чита
E. V. Namokonov
Читинская государственная медицинская академия
Email: lutsenkovalery@yandex.ru
Russian Federation, г. Чита
A. N. Grebenyuk
Военно-медицинская академия им. С.М. Кирова
Author for correspondence.
Email: lutsenkovalery@yandex.ru
Russian Federation, г. Санкт-Петербург
References
- Беляев, А.Н. Системная и региональная антиоксидантная терапия при осложненных формах диабетической стопы / А.Н. Беляев, А.Н. Рыгин, А.Н. Захватов // Хирургия. – 2007. – № 11. – С. 46–50.
- Глухов, А.А. Клинико-морфологическое обоснование применения гидропрессивной санации и поляризованного облучения при лечении ран мягких тканей в эксперименте / А.А. Глухов, Н.Т. Алексеева, А.В. Лобцов // Вестн. эксперимент. и клин. хирургии. – 2010. – Т. 3, № 2. – С. 133–145.
- Костяков, Д.В. Современные возможности выбора патогенетически обоснованных методик лечения укушенных ран / Д.В. Костяков, Е.В. Зиновьев // Вестн. Росс. воен.-мед. академии. – 2015. – № 2 (54). – С. 235–240.
- Лиханов, И.Д. Влияние биорегулирующей терапии на иммунитет и гемостаз при гнойной хирургической инфекции / И.Д. Лиханов, М.Н. Цыбиков, Б.И. Кузник // Бюллетень ВСНЦ СО РАМН. – 2007. – № 5. – С. 128.
- Патент № 2369395 С1, Российская Федерация, МПК А61К 33/04. Средство для стимуляции репаративных процессов в ране / Е.В. Намоконов [и др.]; заявитель и патентообладатель ГОУ ВПО Читинская государственная медицинская академия Федерального агентства по здравоохранению и социальному развитию. – Заявка № 2008103046/15 от 28.01.2008. – Опубл. 10.10.2009. – Бюл. № 28. – 9 с.
- Привольнов, В.В. Выбор препарата для местного лечения инфицированных ран / В.В. Привольнов // Раны и раневая инфекция. Журн. им. проф. Б.М. Костюченок. – 2015. – № 1. – С. 13–22.
- Соловьева, А.Г. Роль оксида азота в процессах свободнорадикального окисления / А.Г. Соловьева [и др.] // Вест. Росс. воен.-мед. акад. – 2016. – № 1 (53). – С. 228–233.
- Хельсинкская декларация. Всемирная медицинская ассоциация. – М., 2001. – 52 с.
- Blueman, D. The use of larval therapy to reduce the bacterial load in chronic wounds / D. Bluesman, C. Bluefield // J. Wound Care. – 2012. – Vol. 21, № 5. – Р. 244–253.
- Murphy, P.S. Advances in wound healing: a review of current wound healing products / P.S. Murphy, G.R.D. Evans // Plats Surge Int. – 2012. – № 1. – Р. 190–199.
- Tran, P.L. A novel organo-selenium bandage that inhibits biofilm development in a wound by gram-positive and gram-negative wound pathogens // P.L. Tran [et al.] // Antibiotics. – 2014. – Vol. 3. – P. 435–449.
Supplementary files




