Development of cell technology, molecular genetics and tissue engineering in S.M. Kirov military medical academy and Military innovation technopolis «ERA»
- Authors: Alexandrov V.N.1, Bolekhan V.N.1, Buntovskaya A.S.1, Gorichny V.A.1, Gurdzhieva A.Y.1, Ivanov I.A.1, Kalyuzhnaya L.I.1, Kamalov A.M.2, Kachnov V.A.1, Kokorina A.A.1, Kolubaeva S.N.1, Koreshova E.I.1, Korovin A.E.1, Kriventzov A.V.1, Mikhalchenkov M.A.1, Myakoshina L.A.1, Nagibovich O.A.1, Ovchinnikov D.V.1, Pak N.V.1, Protasov O.V.1, Rudchenko I.V.2, Sveklina T.S.1, Sokolova M.O.1, Trandina A.E.1, Tyrenko V.V.1, Chernov V.E.1, Chirsky V.S.1
-
Affiliations:
- S.M. Kirov Military Medical Academy
- Military Innovation Technopolis “ERA”
- Issue: Vol 21, No 3 (2019)
- Pages: 243-248
- Section: Education news
- Submitted: 28.11.2023
- Accepted: 28.11.2023
- Published:
- URL: https://journals.eco-vector.com/1682-7392/article/view/624002
- DOI: https://doi.org/10.17816/brmma624002
- ID: 624002
Cite item
Full Text
Abstract
Today a lot of different applied researces take place at the bases of the S.M. Kirov Military Medical Academy and Military innovation technopolis «ERA» in cooperation with leading researsh centers of the country in the field of molecular genetic, cell technologies and tissue engineering, designed to overcome the unsatisfactory results of the treatment of various diseases, as well as to promote timely diagnosis and early intervention. Some results of cooperative longlasting work of scientists and clinicians of the above organizations refer to regenerative medicine and genetics are given. The experience of creating models of treatment of ischemic stroke, congestive heart failure, toxic liver cirrhosis, critical lower limb ischemia, short bowel syndrome, the first search results of genetic predictors of sudden cardiac death and chronic heart failure, the results of clinical studies on biomedical cell products based on mesenchymal stromal cells are given. A certain background for future research and development, preclinical and clinical studies important for diagnisis and treatment of somatic diseases. There is a close attention of the military authorities of all levels to development and introduction cell technologies and tissue engineering into real clinical practice. We pay attention to the absence of a fully formed legislative framework of biotechnology, that hinders its development. Regenerative medicine and genetics, for all of their perspectives require permanent planning, presence research specialists of different profiles, high-tech equipment and large investments, which can be reached by collaboration of leading research organizations.
Full Text
Введение. В настоящее время большинство подразделений Военно-медицинской академии им. С.М. Кирова (ВМА), в том числе научно-исследовательский центр (НИЦ) проводят исследования в области передовых методов диагностики и лечения заболеваний. В рамках регенеративной медицины приоритетными направлениями являются разработки в области молекулярно-генетических исследований, клеточных технологий, тканевой инженерии и 3D-биопечати с целью внедрения результатов в клиническую практику военно-медицинских организаций.
В ноябре 2018 г. Верховный Главнокомандующий В.В. Путин посетил Военный инновационный технополис «ЭРА» (ВИТ «ЭРА») и познакомился с работой и результатами деятельности испытательной лаборатории биотехнических систем и технологий. После ее открытия у военно-медицинских организаций появилась возможность объединять усилия и сотрудничать с ведущими научными учреждениями нашей страны при выполнении исследований по клеточным и смежным направлениям.
Приоритетными задачами данной лаборатории в части клеточных технологий являются поиск, исследование и экспериментальная апробация технологий по созданию биомедицинских клеточных продуктов, искусственных органов, методик криоконсервации тканей, подготовка предложений по их внедрению в клиническую практику, а также разработка технологии 3D-биопечати.
Цель исследования. Обосновать целесообразность сотрудничества в области клеточных технологий, тканевой инженерии и молекулярно-генетических исследований между ВМА и ВИТ «ЭРА».
Материалы и методы. Анализируются открытые отечественные литературные источники по данной проблематике.
Результаты и их обсуждение. Под руководством Главного Военно-медицинского управления Министерства обороны Российской Федерации (ГВМУ МО РФ) сотрудники ВМА совместно с представителями Московского физико-технического института проделали большую работу по проектированию, оснащению, вводу в эксплуатацию оборудования, а также внедрению новых технологий выделения клеточного материала, получению навыка работы с культурами клеток, созданию экспериментальной биологической среды для 3D-печати (рис. 1).
Рис. 1. Отработка технологий культивирования клеток операторами научной роты лаборатории биотехнических систем и технологий ВИТ «ЭРА»
Одной из важнейших задач лаборатории является подготовка научных сотрудников, что предполагает обучение и обмен опытом в рамках научных мероприятиях. Так, в период 28–29 марта 2019 г. в г. Анапа состоялся круглый стол, посвященный научному взаимодействию ВМА и ВИТ «ЭРА», на котором присутствовали представители ГВМУ МО РФ, Главного управления научной и интеллектуальной деятельности МО РФ, Фонда перспективных исследований, академики Российской академии наук. Главным итогом работы круглого стола стало подписание договора о совместной научной деятельности между двумя учреждениями – ВМА и ВИТ «ЭРА».
Операторы научной роты ВИТ «ЭРА» приняли активное участие в ХХII Международной медико-биологической конференции молодых исследователей, который проходил в Санкт-Петербургском государственном университете. 20 апреля 2019 г. на секционных заседаниях форума военнослужащие представили пять докладов по результатам своей научной деятельности. Все работы были удостоены дипломами.
5 июня 2019 г. в военном инновационном технополисе «ЭРА» состоялось заседание Совета министров обороны стран Содружества Независимых Государств. Высоких гостей познакомили с работой технополиса. Министр обороны РФ С.К. Шойгу с коллегами посетили в том числе лабораторию биотехнических систем и технологий, где им были представлены достижения операторов научной роты в области клеточных технологий.
В настоящее время завершена подготовка экспонатов, выполненных совместно специалистами ВМА и операторами ВИТ «ЭРА» для экспозиции «Военная медицина» в рамках Международного военно-технического форума «Армия-2019».
Молекулярная генетика позволяет определять генетическую предрасположенность и оценивать влияния генотипа на развитие и течение различных заболеваний. Одним из направлений научно-исследовательской работы, проводимой на базе НИЦ ВМА совместно с ВИТ «ЭРА», является поиск генетических предикторов внезапной сердечной смерти (ВСС). Исследуются гены, ассоциированные с риском развития сердечно-сосудистых заболеваний, с помощью полимеразной цепной реакции (ПЦР) в режиме реального времени в образцах крови молодых лиц, разделенных на группы низкого и умеренного риска [5]. Выявлены некоторые тенденции к наличию определенных генетических вариантов в группе умеренного риска. Для выявления мутаций, непосредственно ассоциированных с риском возникновения ВСС, которые не могут быть определены с помощью ПЦР из- за их вариативного положения в генах, запланировано провести таргетное секвенирование с использованием оборудования, которое имеется в НИЦ ВМА. Итогом проводимой работы станет совершенствование диспансеризации и углубленного медицинского обследования лиц с повышенным риском ВСС, корректировка профилактических мероприятий и разработка рекомендаций по оценке риска развития внезапной сердечной смерти.
Другое направление посвящено определению генетических маркеров у больных старше 40 лет, страдающих хронической сердечной недостаточностью (ХСН) с сохраненной фракцией выброса левого желудочка сердца. Исследования проводится совместно с кафедрой пропедевтики внутренних болезней ВМА. Используя ПЦР в реальном времени проводится определение генетических вариантов, связанных с риском развития гипертонии, тромбофилии, нарушения углеводного и липидного обменов, метаболизма лекарственных препаратов и др., всего более 40 генов. Основным критерием отбора пациентов является уровень натрийуретического пептида и/или его N-концевого предшественника. По итогам данного поиска предполагается выявить гены, ассоциированные с различным течением ХСН и разработать рекомендации по диагностике и направленной персонифицированной терапии на основе полученного генотипа.
Планируется секвенирование генов гистосовместимости человека (HLA) 1 и 2 классов с применением специального оборудования, которым располагает ВМА (секвенаторы MiSeq и HiSeq, Illumina, США). Для трансплантации органов и тканей, криоконсервации и криохранении стволовых клеток пуповинной крови планируется определять 72 аллелей класса 1 и 13 аллелей класса 2. Часто возникает необходимость анализа сразу нескольких доноров и реципиентов, что кратно увеличивает объем исследования. Проведение вышеуказанного и другого современного оборудования сделает возможным автоматизировать процесс, что сократит время анализа, унифицирует результаты исследования и позволит одновременно анализировать 12 и более образцов. Внедрение этой высокотехнологичной методики, наряду с другими инновациями, позволит Военно-медицинской академии быть ведущим центром трансплантационной координации в России.
Технология клеточной терапии включает в себя несколько этапов, каждый из которых в условиях эксперимента и ограниченных клинических исследований был отработан в НИЦ ВМА – получение клеточного материала у донора, сепарация необходимой фракции клеток, культивирование (при необходимости) до необходимого количества и введение реципиенту.
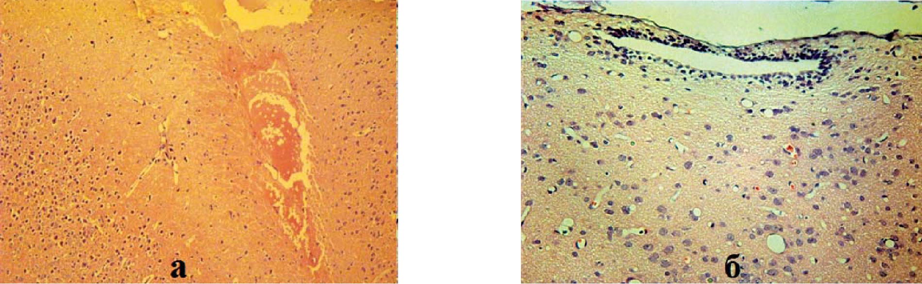
В выполненных ранее работах нами совместно с Санкт-Петербургским государственным педиатрическим медицинским университетом [2, 6, 7, 10] были получены и усовершенствованы экспериментальные модели целого ряда болезней человека, которые характеризуются высокой смертностью, резистентностью к существующей терапии и являются актуальными для клинической медицины – ишемический инсульт, застойная сердечная недостаточность, токсический цирроз печени, критическая ишемия нижних конечностей, синдром короткой кишки. На этих экспериментальных моделях была показана безопасность, эффективность клеточной терапии, оптимальные количества и пути доставки клеток к поврежденному органу или ткани. В частности, показано значимое улучшение неврологического статуса у крыс, перенесших ишемический инсульт, в ответ на клеточную терапию, выполненную на 14-е сутки, а не в первый или третий дни ишемической атаки, что нашло морфологическое обоснование (рис. 2) [4].
Рис. 2. Результат введения мононуклеаров красного костного мозга через 14 суток после инсульта: а – неполная репаративная регенерация инфаркта мозга с формированием кисты, ув. ×100; б – эпендимальная пролиферация в стенке III желудочка, ув. ×200. Окраска гематоксилином и эозином
Успешный опыт активации ангиогенеза после клеточной терапии критической ишемии в эксперименте и эпителизации раны стопы после клеточной терапии диабетической стопы, равно, как и нормализации фракции выброса при клеточной терапии застойной сердечной недостаточности у лабораторных животных, создает задел для создания биомедицинских клеточных продуктов для последующего использования их в доклинических и клинических исследованиях после лицензирования производственной площадки в НИЦ ВМА.
Одним из главных сдерживающих факторов развития в области биомедицинских технологий сегодня является отсутствие полностью созданной законодательной базы [3]. Несмотря на то, что в нашей стране не до конца сформированы инфраструктура, регламент, налаженное производство, бизнес модели и клинические результаты регенеративная медицина вышла за пределы научных лабораторий и процедурных кабинетов и встала на путь доказательной медицины. Не отстает от данного тренда и Военно-медицинская академия. Так, в период 2016 по 2017 г. на базе двух кафедр (термических поражений и военно-полевой хирургии) и НИЦ ВМА выполнялись клинические исследования биомедицинских клеточных продуктов, представляющих культивированные in vitro мезенхимальные стромальные клетки. Было показано, что один из них – клеточно-коллагеновый комплексный продукт (КККП™) в виде геля безопасен и эффективен у пациентов, получивших термические ожоги II–IIIа степени, противопоказаний для его применения у этих больных не выявлено. Установлено, что второй продукт – мультипотентные мезенхимальные стромальные клетки (ММСК™) в виде суспензии для подкожного и внутримышечного введения эффективен и безопасен в комплексном лечении пациентов с повреждениями кожных покровов и мягких тканей различной этиологии. Противопоказаний для его применения у пациентов с повреждениями кожных покровов и мягких тканей различной этиологии также не выявлено.
НИЦ ВМА имеет собственные разработки в тканевой инженерии – совокупности технологий, нацеленных на создание аналогов естественного органа, ткани. Принципиальная организация тканеинженерного органа, ткани соответствует таковой их естественной структуре и включает каркас (скаффолд) – аналог стромы или внеклеточного матрикса и органо-тканеспецифичные клетки, заселенные на скаффолд, как носитель клеток. Таким образом, основными инструментами тканевой инженерии выступают клетки и клеточные носители (скаффолды, матриксы).
Ранее специалистами НИЦ был получен децеллю- ляризированный матрикс печени крысы посредством детергентно-перфузионной децеллюляризации донорского органа. Подтверждено, что бесклеточный каркас достаточен для его заселения клетками благодаря сохранности микроархитектуры каркаса, сосудистой системы, как в ее портальной, так и в артериальной части (рис. 3, 4). Подтверждена возможность использования мультипотентных мезенхимных стромальных клеток как источника, способного в силу своей пластичности дифференцироваться в клетки с фенотипом первичных гепатоцитов [1].
Рис. 3. Децеллюляризированный матрикс печени с сохраненной сосудистой сетью. Инъекция красителя через v. Portae
Рис. 4. Децеллюляризированный матрикс печени. Сканирующая электронная и световая микроскопия, окрашивание гематоксилином и эозином, ув. ×200
Важная область современной тканевой инженерии – разработка тромборезистентных неиммуногенных протезов кровеносных сосудов, ибо ангиопластика искусственными сосудистыми протезами вследствие их относительной тромборезистентности и биологической несовместимости сопряжена с высоким риском развития тромбозов, воспалительных осложнений и летальных исходов. В научно-исследовательской лаборатории тканевой инженерии НИЦ совместно с Институтом высокомолекулярных соединений РАН, г. Санкт-Петербург разработан двухслойный протез аорты (рис. 5). Совместив в себе позитивные свойства материала биологического и синтетического происхождения, протез обеспечил абсолютную функциональность после трансплантации в инфраренальный отдел аорты крысам в долгосрочном периоде (более двух лет) (рис. 6, 7).
Рис. 5. Принципиальная схема двухслойного сосудистого протеза: 1 – протез из децеллюляризированного сосуда; 2 – протез из биорезорбируемого материала
Рис. 6. Внешний вид двухслойного сосудистого протеза через 1 месяц после имплантации
Рис. 7. Двухслойный сосудистый протез через 9 месяцев после имплантации в аорту экспериментального животного (крысы)
В ВМА активно развивается направление, связанное с пластикой экспериментальных дефектов органов и тканей, в частности трахеи (рис. 8) [9]. Для более успешной адаптации трансплантата в организме реципиента планируется закрытие дефектов двухслойным материалом, прекондиционированным in vivo, в целях его предсуществующей трансплантации реваскуляризации [11]. Совместно с ВИТ «ЭРА» выполняются исследования по трансплантации ацеллюлярной твердой мозговой оболочки, проводится поиск эквивалента биоинженерной кожи.
Рис. 8. Имплантация двухслойной биорезорбируемой заплатки в искусственно созданный окончатый дефект трахеи крысы
Дальнейшее развитие исследований в ВМА и ВИТ «ЭРА» в области регенеративной медицины будет направлено на совершенствование технологий восстановления поврежденных органов и тканей, что, безусловно, востребовано не только в мирное, но и в военное время. Планируется получать гемопоэтические стволовые клетки, мезенхимальные стромальные клетки из пуповины, костного мозга, жировой ткани, а также наработать индуцированные плюрипотентные стволовые клетки. Создание тканеспецифичных клеточных препаратов потребует культивирования хондроцитов и дермальных фибробластов. Параллельно будут проводиться работы по созданию противоопухолевых вакцин. В дальнейшем будут изготавливаться аутологичные и аллогенные препараты, которые должны быть востребованы специалистами для лечения хирургических (раны, ожоги, переломы длинных трубчатых костей), онкологических (гемобластозы, опухоли головы, шеи, легких, кишечника), терапевтических (инфаркты, сердечная недостаточность, склеродермия), неврологических (инсульты, боковой амиотрофический склероз, нейросенсорная тугоухость), эндокринных (диабетическая стопа), моногенных (серповидноклеточная анемия, b талассемия) и др. заболеваний. Будут продолжены исследования по разработке и созданию биоинженерных органов и тканей на основе соединительнотканных матриксов. Кожа, трахея, сосуды, печень, созданные в наших лабораториях, смогут быть использованы в лечении экспериментальных животных и человека. Используя технологию 3D биопринтирования, мы сможем подойти к созданию ряда искусственных тканей и органов (кожа, сосуды, щитовидная железа, почка), в которых нуждаются пациенты.
Таргетное и полногеномное секвенирование будет направлено на выявление генетических маркеров индивидуальной чувствительности, создание персонифицированных методик диагностики, лечения и прогноза сердечно-сосудистых заболеваний. Результатом станет решение актуальных проблем хирургии и терапии.
Продолжится работа и по внедрению метода HLA-типирования в интересах трансплантологии, а также как необходимый этап криоконсервации и криохранении стволовых клеток пуповинной крови и других клеток.
Заключение. Сегодня на площадках ВМА и ВИТ «ЭРА» в сотрудничестве с ведущими научными центрами страны проводится ряд прикладных научно- исследовательских работ в области молекулярно-генетических исследований, клеточных технологий и тканевой инженерии, призванных преодолеть неудовлетворительные результаты терапии ряда заболеваний, а также способствовать их качественной своевременной диагностике и профилактике. Полученные и приведенные в статье результаты в области регенеративной медицины, очевидно, являются определенным заделом для предстоящих научно-исследовательских работ, доклинических и клинических исследований, имеющих важное значение для диагностики и лечения актуальных заболеваний.
В то же время нельзя не отметить, что, несмотря на огромные затраты, полученные результаты в области биотехнологий небольшие, что связано с колоссальными научными и техническими трудностями, с которыми встречаются исследователи и производители. Поэтому в настоящее время за рубежом, например, главной тенденцией в области использования клеточных, аддитивных технологий и тканевой инженерии в военной медицине является концентрация материальных и финансовых ресурсов на прикладных исследованиях для оказания медицинской помощи. Более того, из рассмотрения исключаются работы в данной области, носящие фундаментальный характер, финансируются только такие проекты, которые позволяют прямо транслировать научно-исследовательские и опытно-конструкторские работы в практику медицины с получением конкретного результата с высокой долей вероятности и в ближайшей временной перспективе [8].
About the authors
V. N. Alexandrov
S.M. Kirov Military Medical Academy
Author for correspondence.
Email: vmeda-nio@mil.ru
Russian Federation, St. Petersburg
V. N. Bolekhan
S.M. Kirov Military Medical Academy
Email: vmeda-nio@mil.ru
Russian Federation, St. Petersburg
A. S. Buntovskaya
S.M. Kirov Military Medical Academy
Email: vmeda-nio@mil.ru
Russian Federation, St. Petersburg
V. A. Gorichny
S.M. Kirov Military Medical Academy
Email: vmeda-nio@mil.ru
Russian Federation, St. Petersburg
A. Yu. Gurdzhieva
S.M. Kirov Military Medical Academy
Email: vmeda-nio@mil.ru
Russian Federation, St. Petersburg
I. A. Ivanov
S.M. Kirov Military Medical Academy
Email: vmeda-nio@mil.ru
Russian Federation, St. Petersburg
L. I. Kalyuzhnaya
S.M. Kirov Military Medical Academy
Email: vmeda-nio@mil.ru
Russian Federation, St. Petersburg
A. M. Kamalov
Military Innovation Technopolis “ERA”
Email: vmeda-nio@mil.ru
Russian Federation, Anapa
V. A. Kachnov
S.M. Kirov Military Medical Academy
Email: vmeda-nio@mil.ru
Russian Federation, St. Petersburg
A. A. Kokorina
S.M. Kirov Military Medical Academy
Email: vmeda-nio@mil.ru
Russian Federation, St. Petersburg
S. N. Kolubaeva
S.M. Kirov Military Medical Academy
Email: vmeda-nio@mil.ru
Russian Federation, St. Petersburg
E. I. Koreshova
S.M. Kirov Military Medical Academy
Email: vmeda-nio@mil.ru
Russian Federation, St. Petersburg
A. E. Korovin
S.M. Kirov Military Medical Academy
Email: vmeda-nio@mil.ru
Russian Federation, St. Petersburg
A. V. Kriventzov
S.M. Kirov Military Medical Academy
Email: vmeda-nio@mil.ru
Russian Federation, St. Petersburg
M. A. Mikhalchenkov
S.M. Kirov Military Medical Academy
Email: vmeda-nio@mil.ru
Russian Federation, St. Petersburg
L. A. Myakoshina
S.M. Kirov Military Medical Academy
Email: vmeda-nio@mil.ru
Russian Federation, St. Petersburg
O. A. Nagibovich
S.M. Kirov Military Medical Academy
Email: vmeda-nio@mil.ru
Russian Federation, St. Petersburg
D. V. Ovchinnikov
S.M. Kirov Military Medical Academy
Email: vmeda-nio@mil.ru
Russian Federation, St. Petersburg
N. V. Pak
S.M. Kirov Military Medical Academy
Email: vmeda-nio@mil.ru
Russian Federation, St. Petersburg
O. V. Protasov
S.M. Kirov Military Medical Academy
Email: vmeda-nio@mil.ru
Russian Federation, St. Petersburg
I. V. Rudchenko
Military Innovation Technopolis “ERA”
Email: vmeda-nio@mil.ru
Russian Federation, Anapa
T. S. Sveklina
S.M. Kirov Military Medical Academy
Email: vmeda-nio@mil.ru
Russian Federation, St. Petersburg
M. O. Sokolova
S.M. Kirov Military Medical Academy
Email: vmeda-nio@mil.ru
Russian Federation, St. Petersburg
A. E. Trandina
S.M. Kirov Military Medical Academy
Email: vmeda-nio@mil.ru
Russian Federation, St. Petersburg
V. V. Tyrenko
S.M. Kirov Military Medical Academy
Email: vmeda-nio@mil.ru
Russian Federation, St. Petersburg
V. E. Chernov
S.M. Kirov Military Medical Academy
Email: vmeda-nio@mil.ru
Russian Federation, St. Petersburg
V. S. Chirsky
S.M. Kirov Military Medical Academy
Email: vmeda-nio@mil.ru
Russian Federation, St. Petersburg
References
- Александров, В.Н. Тканевая инженерия печени / В.Н. Александров [и др.] // Вестн. Росс. воен-мед. акад. – 2014. – № 3 (47). – С. 197–202.
- Александров, В.Н. Экспериментальный цирроз печени / В.Н. Александров, Л.И. Калюжная, В.Ю. Сухов // Вестн. Росс. воен-мед. акад. – 2016. – № 4 (56). – С. 113–117.
- Ивченко, Е.В. Современное состояние законодательной базы в области обращения биомедицинских клеточных продуктов в Российской Федерации // Е.В. Ивченко [и др.] // Вестн. Росс. воен-мед. акад. – 2017. – № 3 (59). – С. 151–155.
- Калюжная, Л.И. Эффективность клеточной терапии, проведенной в разные сроки у крыс с вызванной ишемией головного мозга /Л.И. Калюжная [и др.] // Вестн. Росс. воен-мед. акад. – 2016. – № 4 (56). – С. 127–131.
- Колюбаева, С.Н. Некоторые генетические факторы сердечной смерти / С.Н. Колюбаева [и др.] // Боткинские чтения. – 2019: тез. докл. науч. конф. – СПб., 2019. – С. 122.
- Кривенцов, А.В. Доксорубицин-индуцированная застойная сердечная недостаточность и ее клеточная терапия в эксперименте / А.В. Кривенцов [и др.] // Журнал сердечная недостаточность. – 2017 – Т. 18, № 2 (101). – С. 152–160.
- Маслянюк, О.В. Поиск оптимального варианта клеточной терапии критической ишемии конечностей в эксперименте / О.В. Маслянюк [и др.] // Клеточная трансплантология и тканевая инженерия. – 2011. – Т. 6, № 3. – С. 41–45.
- Нагибович, О.А. Современное состояние и перспективы клеточных технологий, аддитивного производства и тканевой инженерии в военной медицине / О.А. Нагибович, А.С. Голота, А.Б. Крассий // Воен. мед. журн. – 2019. – Т. 340, № 4. – С. 60–63.
- Фигуркина, М.А. Децеллюляризированная ткань трахеи для пластики ее окончатых дефектов / М. А. Фигуркина и [и др.] // Гены и клетки: мат. 3-го нац. конгр. по регенеративной медицине. – 2017. – Т. 12 (3). – С. 250.
- Хубулава, Г.Г. Моделирование застойной сердечной недостаточности у крыс / Г.Г. Хубулава [и др.] // Бюлл. НЦССХ им. А.Н. Бакулева РАМН сердечно-сосудистые заболевания. – 2008. – Т. 9, № S6. – С. 127.
- Шабаров, И.А. Гетеротопическая трансплантация тканеинженерной конструкции в эксперименте / И.А. Шабаров [и др.] // Актуальные вопросы экспер. и клин. мед. – 2019: тез. докл. науч. конф. – СПб.; 2019. – С. 315–316.
Supplementary files









