Применение аутологичных мультипотентных мезенхимальных стромальных клеток для коррекции функции печени у пациентов, страдающих циррозом печени алкогольной этиологии
- Авторы: Коткас И.Е.1, Мазуров В.И.1, Бакулин И.Г.1, Енукашвили Н.И.1, Асадулаев Ш.М.1
-
Учреждения:
- Северо-Западный государственный медицинский университет им. И.И. Мечникова
- Выпуск: Том 22, № 4 (2020)
- Страницы: 33-36
- Раздел: Клинические исследования
- Статья получена: 06.03.2021
- Статья опубликована: 15.12.2020
- URL: https://journals.eco-vector.com/1682-7392/article/view/62801
- DOI: https://doi.org/10.17816/brmma62801
- ID: 62801
Цитировать
Полный текст
Аннотация
Представлен клинический опыт применения аутологичных мультипотентных мезенхимальных стромальных клеток в лечении пациента, страдающего циррозом печени алкогольной этиологии. Особенностью данного опыта является то, что предшественники гепатоцитов были выделены непосредственно из ткани печени самого пациента. Для получения наибольшего объема материала и возможности визуально проконтролировать забор ткани с минимальными фиброзными изменениями пациенту выполнялась лапароскопическая операция. После проведения забора ткани печени пациент в удовлетворительном состоянии был выписан на амбулаторное лечение. В последующем пациент повторно госпитализирован в стационар. При повторной госпитализации мультипотентные мезенхимальные стромальные клетки в количестве 20 миллионов вводились пациенту в артериальное русло печени при помощи рентгенэндоваскулярной методики. При контрольном исследовании через 6 месяцев после проведения лечения по данным 13С-метацетинового теста отмечалась нормализация функции печени, регресс проявлений портальной гипертензии, повышение уровня тромбоцитов. Осложнений при проведении данного лечения не выявлено. Таким образом, лечение пациентов, страдающих циррозом печени, является достаточно серьезной и сложной задачей. Как правило, о своем диагнозе пациент узнает уже при наличии осложнений, когда функция печени уже значимо нарушена. Склонность населения к алкоголизации приводит к формированию фиброза, а в последующем и цирроза печени. Отсутствие антифибротических препаратов способствует выполнению исследований с целью поиска альтернативных способов лечения данной категории пациентов. В целом применение аутологичных мультипотентных мезенхимальных стромальных клеток является эффективным и перспективным методом, а исследования в данном направлении необходимо продолжать.
Полный текст
Введение. Цирроз печени является терминальной стадией хронического заболевания печени, сопровождающейся воспалительным процессом, фиброзом ткани печени и некрозом гепатоцитов [6–8]. Прогрессирование заболевания ведет к развитию ряда осложнений (асцит, печеночная энцефалопатия, кровотечения и др.), которые независимо от этиологии не только оказывают значимое влияние на социальную жизнь человека, но и могут служить причиной смерти [9, 10]. Актуальность проблемы связана еще и с тем, что хронические заболевания печени являются основной причиной смертности среди пациентов, страдающих болезнями органов пищеварения: более 55% смертей приходится на цирроз и фиброз печени [11].
Лечение больных циррозом печени остается достаточно значимой проблемой современной медицины, в частности гастроэнтерологии и гепатологии. Несмотря на достижения в лечении хронического гепатита С, когда эффективность составляет 97–100%, остается открытым вопрос, как лечить пациентов, страдающих циррозом печени вирусной этиологии, после достижения устойчивого ответа [1–3, 12]. В настоящее время нет доступных антифибротических препаратов и нет способов для достижения регресса фиброза и цирроза печени алкогольной этиологии даже в случае полного исключения алкогольного фактора. С учетом крайне низкой частоты трансплантаций печени в России, которые являются единственным радикальным способом лечения цирроза печени в стадии декомпенсации, и отсутствия фармакологических лекарственных препаратов для лечения фиброза и цирроза печени достаточно значимыми становятся альтернативные подходы к терапии. Одним из таких подходов в терапии цирроза печени может быть применение клеточных технологий [4, 5].
Цель исследования. Представить опыт эффективного применения клеточных технологий в лечении пациента, страдающего циррозом печени.
Материалы и методы. Пациент А. 57 лет был госпитализирован в клинику им. Э.Э. Эйхвальда Северо-Западного государственного медицинского университета им. И.И. Мечникова, диагноз – цирроз печени алкогольной этиологии, минимальная биохимическая активность, класс А (6 баллов по Child-Pugh), MELD – 9 баллов. Гиперспленизм: тромбоцитопения средней степени тяжести. Портальная гипертензия. Вaрикозное расширение вен пищевода 1-й степени. Cпленомегалия. Хронический панкреатит, вне обострения. Ожирение алиментарного генеза 1-й степени. Пациент был госпитализирован для проведения терапии с использованием клеточных технологий. На проведение данного вида лечения получено согласие пациента и заключение этического комитета университета.
Результаты и их обсуждение. Из анамнеза известно, что цирроз печени, класс С (11 баллов по Чайлд-Пью), алкогольной этиологии с умеренной биохимической активностью установлен 7 лет назад. По поводу портальной гипертензии и варикозного расширения вен пищевода 2–3-й степени проведено эндоскопическое лигирование. В дальнейшем за медицинской помощью не обращался. Указывает на полное исключение алкоголя.
По результатам выполненных анализов у пациента отмечалась тромбоцитопения средней степени тяжести (снижение тромбоцитов до 68×109/л), повышение уровня аланинаминотрансферазы (АЛТ) до 58 Е/л, аспартатаминотрансферазы (АСТ) до 47 Е/л, гаммаглютамилтранспептидазы (ГГТП) до 121 Е/л, снижение альбумина до 29 г/л. По данным ультразвукового исследования были выявлены признаки портальной гипертензии (расширение воротной вены до 15 мм) и спленомегалия, по данным магнитно-резонансной томографии (МРТ) органов брюшной полости – признаки проявления цирроза печени с наличием портокавальных анастомозов. Результаты гистологического исследования ткани печени: картина хронического гепатита с умеренной гистологической активностью (индекс гистологической активности по Knodell – 11 баллов), в цирротической стадии (стадия фиброза по Knodell – 4 балла). По результатам анализа крови на Фибромакс – F4 (0.88) A2 S1. По данным эластографии печени – F4 кПа.
В процессе обследования пациенту был выполнен 13С-метацетиновый дыхательный тест (13C-МДТ) для оценки функционального резерва печени. Неинвазивный и безопасный 13C-МДТ способен эффективно отражать уровень функционального резерва печеночной паренхимы и метаболическую емкость в системе цитохрома P450 при любой хронической патологии печени независимо от этиологии. Кроме того, 13С-МДТ, в отличие от других неинвазивных методов исследования (Фибромакс, фиброэластометрия печени) можно использовать для контроля за эффективностью терапии [6, 11].
По результатам 13C-МДТ было сделано следующее заключение: показатели кумулятивной дозы метаболизма метацетина к 60-й и 120-й минутам умеренно снижены, также отмечалось снижение объема метаболизма в системе цитохрома P450, что соответствует снижению функции печени средней степени.
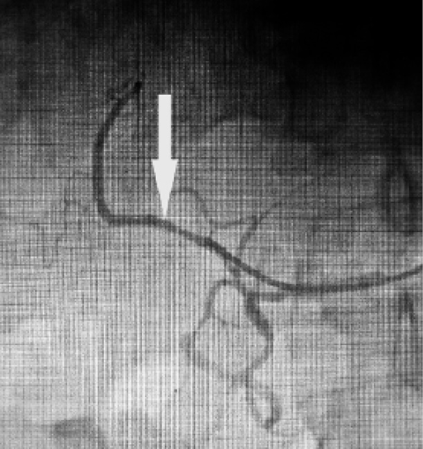
Процедуре введения аутологичных мезенхимальных стволовых клеток печени предшествовала госпитализация пациента с целью выполнения лапароскопии с забором ткани печени, из которой в последующем выделялись мультипотентные мезенхимальные стромальные клетки (мМСК). Из биоптата печеночной ткани путем ферментирования коллагеназами I и IV с последующей селекцией по способности к адгезии были выделены мМСК, способные при обработке дифференцировочными коктейлями переходить к экспрессии генов, специфичных для гепатоцитов. Выделенные клетки были культивированы, проверены на отсутствие бактериальной, вирусной и грибковой контаминации, генетически идентифицированы, оценена их функциональная активность и клеточный состав. Полученные клеточные структуры были отмечены наночастицами оксида железа [12] с целью их последующей визуализации в организме пациента. После того как клеточные культуры были подготовлены, пациент был повторно госпитализирован для проведения процедуры их введения. Клеточные структуры вводились в артериальное русло печени. Предварительно пациенту выполнялась целиакография с последующей селективной ангиографией артериального русла печени. Аутологичные мезенхимальные клетки печени, предобработанные дифференцировочным коктейлем в комбинации с необработанными клетками (3:1), были введены в правую печеночную артерию в количестве 20 миллионов (15 миллионов обработанных+5 миллионов необработанных), рисунок 1. На этом процедура была завершена. В послеоперационном периоде каких-либо осложнений выявлено не было.
Рис. 1. Селективная ангиография артериального русла печени с введением клеточных структур в правую печёночную артерию
В первые сутки после выполнения введения клеточных структур пациенту была выполнена МРТ органов брюшной полости и грудной клетки с целью визуализации введенных клеток в организме пациента. По результатам выполненной МРТ были выявлены введенные клеточные структуры, зафиксированные в ткани печени (рис. 2). В каких-либо других органах, меченных наночастицами оксида железа, клеток выявлено не было.
Рис. 2. Визуализированные при помощи МРТ введенные клеточные структуры. Стрелками указаны места фиксации клеток
После проведения данной процедуры в течение одной недели пациент находился под наблюдением в стационаре. Каких-либо осложнений выявлено не было. Через 6 месяцев после проведения клеточной терапии пациент был обследован повторно. По результатам обследования было выявлено:
- В общеклиническом анализе крови – повышение уровня тромбоцитов до 114×109/л.
- В биохимическом анализе – сохранение повышенной активности ГГТП до 65 Е/л, однако с уменьшением в два раза, по сравнению с результатами, полученными до проведения клеточной терапии. Остальные показатели биохимического анализа крови находились в пределах нормы.
При эзофагогастродуоденоскопии отмечалась положительная динамика: варикозно расширенные вены не визуализировались. При ультразвуковом исследовании органов брюшной полости сохранялись проявления невыраженной портальной гипертензии в виде расширения воротной вены до 13,5 мм, спленомегалия.
В анализе крови на Фибромакс отмечалась некоторая положительная динамика показателей фиброза и воспаления: F3-4 (0.7) A0 S1.
По данным эластографии печени было отмечено небольшое улучшение показателей: F3-F4 кПа.
По результатам 13С-МДТ выявлена положительная динамика – полная нормализация функции печени: показатели скорости метаболизма метацетина, показатели кумулятивной дозы (Cum. dose) метаболизма метацетина к 60-й и 120-й мин – в пределах нормы, что соответствует нормальному объему и скорости метаболизма в системе цитохрома Р450.
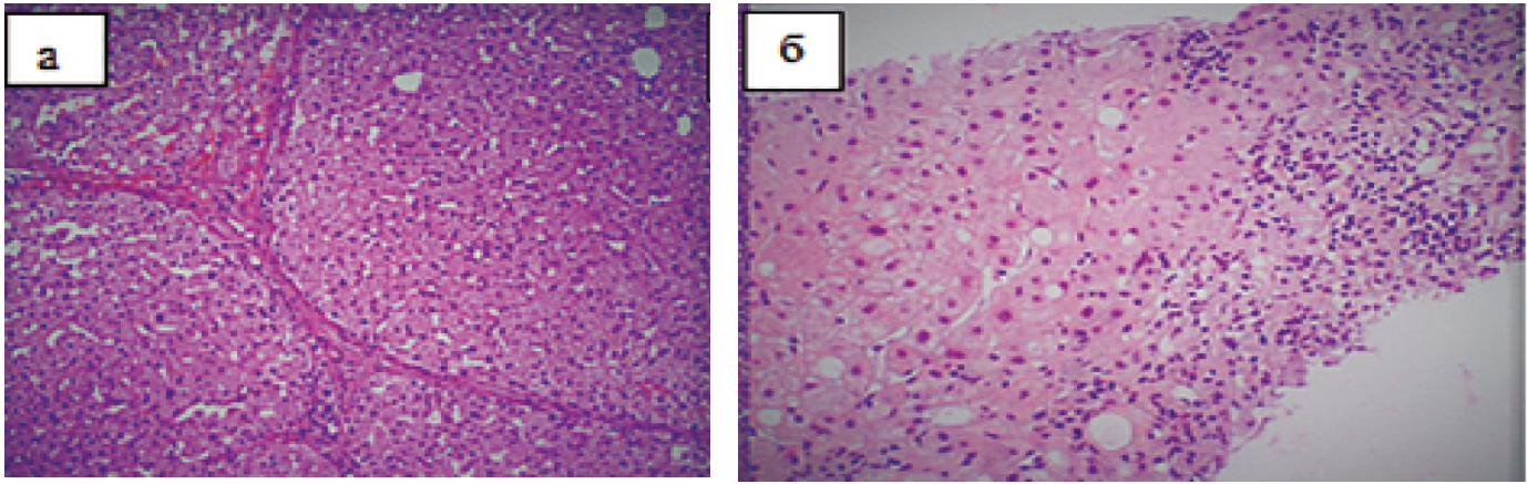
По результатам биопсии печени (рис. 3) было выявлено, что через 6 месяцев после проведения клеточной терапии у пациента отмечалось снижение индекса гистологической активности по Knodell с 11 до 8 баллов. Однако показатели фиброзного изменения печеночной ткани оставались на прежнем уровне – F4.
Рис. 3. Гистологическое исследование печени: а – до начала терапии; б – через 6 месяцев после проведенного лечения. Окраска гематоксилином и эозином, длина измерительной шкалы 200 мкм
Заключение. В условиях отсутствия в клинической практике антифибротических агентов, при отсутствии показаний для трансплантации печени у пациентов, страдающих циррозом печени (класс А и В по Чайлд-Пью, при значениях индекса MELD менее 18), а также при сохраняющейся низкой доступности трансплантаций печени активно обсуждается возможность применения клеточных технологий, их эффективность и место в клинической практике.
В предложенном клиническом случае у пациента, страдающего циррозом печени, через 6 месяцев после введения в артериальное русло печени мМСК, индуцированных к гепатоцитоподобной дифференцировке, отмечались положительная динамика клинико-лабораторных показателей с увеличением уровня тромбоцитов, уменьшением выраженности цитолитического и холестатического синдромов, тенденция к регрессу портальной гипертензии, а также нормализация функционального состояния печени по результатам 13С-МДТ. По данным выполненной биопсии печени выявлено, что на фоне проведенной клеточной терапии отмечалось снижение уровня показателей индекса гистологической активности за исключением показателя фиброзного изменения печеночной ткани. Даже при такой ситуации можно предположить, что применение клеточной терапии, способствуя уменьшению воспалительной активности в ткани печени, в дальнейшем будет приводить к замедлению процесса фиброобразования. Кроме того, за счет возможности визуализации вводимых клеточных структур в организме пациента выявлено, что клетки, введенные через печёночную артерию, фиксировались в ткани печени и не были выявлены в других органах. Таким образом, данный метод является эффективным и перспективным, а исследования в данном направлении необходимо продолжать.
Об авторах
И. Е. Коткас
Северо-Западный государственный медицинский университет им. И.И. Мечникова
Автор, ответственный за переписку.
Email: inna.kotkas@yandex.ru
Россия, Санкт-Петербург
В. И. Мазуров
Северо-Западный государственный медицинский университет им. И.И. Мечникова
Email: inna.kotkas@yandex.ru
Россия, Санкт-Петербург
И. Г. Бакулин
Северо-Западный государственный медицинский университет им. И.И. Мечникова
Email: inna.kotkas@yandex.ru
Россия, Санкт-Петербург
Н. И. Енукашвили
Северо-Западный государственный медицинский университет им. И.И. Мечникова
Email: inna.kotkas@yandex.ru
Россия, Санкт-Петербург
Ш. М. Асадулаев
Северо-Западный государственный медицинский университет им. И.И. Мечникова
Email: inna.kotkas@yandex.ru
Россия, Санкт-Петербург
Список литературы
- Абдурахманов, Д.Т. Безопасность и эффективность телапревира в лечении хронического гепатита С у больных российской популяции, включенных в исследование по программе раннего доступа / Д.Т. Абдурахманов [и др.] // Росс. журн. гастроэнтерологии, гепатологии, колопроктологии. – 2014. – Т. 24, № 1. – С. 39–46.
- Бакулин, И.Г. 13С-метацетиновый дыхательный тест при хронических заболеваниях печени: результаты исследования серии случаев / И.Г. Бакулин [и др.] // Фарматека. – 2018. – № 9 (362). – С. 42–47.
- Бакулин, И.Г. Актуальные вопросы противовирусной терапии хронических гепатитов В и С // Экспер. и клин. гастроэнтерология. – 2010. – № 5. – С. 3–9.
- Енукашвили, Н.И. Детектирование клеток, содержащих интернализованные мультидоменные магнитные наночастицы оксида железа (II, III), методом магнитно-резонансной томографии / Н.И. Енукашвили [и др.] // Журн. тех. физики. – 2020. – Т. 90, № 9. – С. 1418–1427.
- Коткас, И.Е. Использование клеточных технологий в лечении цирроза печени (оценка эффективности и способ визуализации введенных аутологичных мезенхимальных стволовых клеток) / И.Е. Коткас [и др.] // Наука и инновации в медицине. – 2020. – Т. 5, № 3. – С. 197–203.
- Ali, G. Bone marrow cells ameliorate liver fibrosis and express albumin after transplantation in CCl4-induced fibrotic liver / G. Ali, M.S. Masoud // Saudi Journal of Gastroenterology. – 2012. – Т. 18, № 4. – P. 263–267.
- Isakov, V.A. Efficacy of sofosbuvir plus ribavirin in treatment-naive patients with genotype-1 and -3 HCV infection: results from a Russian Phase IIIb study / V.A. Isakov [et al.] // Antiviral therapy. – 2016. – Vol. 21, № 8. – P. 671–678.
- Iwamoto, T. Bone-marrow-derived cells cultured in serum-free medium reduce liver fibrosis and improve liver function in carbon-tetrachloride-treated cirrhotic mice / T. Iwamoto [et al.] // Cell and Tissue Research. – 2013. – Vol. 351, № 3. – P. 487–495.
- Russo, F.P. Stem cells in liver failure. / F.P. Russo, M. Parola. // Best Practice & Research: Clinical Gastroenterology. – 2012. – Vol. 26, № 1. – P. 35–45.
- Seki, A. Adipose tissue-derived stem cells as a regenerative therapy for a murine steatohepatitis-induced cirrhosis model / A. Seki [et al.] // Hepatology. – 2013. – Vol. 58, № 3. – P. 1133–1142.
- Zhang, Z. Human umbilical cord mesenchymal stem cells improve liver function and ascites in decompensated liver cirrhosis patients / Z. Zhang [et al.] // Journal of Gastroenterology and Hepatology. – 2012. – Vol. 27, № 2. – P. 112–120.
- Zhang, Z. Stem cell therapies for liver failure and cirrhosis / Z. Zhang, F.S. Wang // Hepatology. – 2013. – Vol. 59, № 1. – P. 183–185.
Дополнительные файлы





