Развитие осложнений внебольничной пневмонии тяжелого течения на фоне парентерального отравления смесью наркотических веществ
- Авторы: Гайворонский И.Н.1, Халимов Ю.Ш.1, Гайдук С.В.1, Лянгинен Т.В.1, Парцерняк А.С.1, Литвиненко Р.И.1
-
Учреждения:
- Военно-медицинская академия им. С.М. Кирова
- Выпуск: Том 22, № 4 (2020)
- Страницы: 59-66
- Раздел: Клинические исследования
- Статья получена: 06.03.2021
- Статья опубликована: 15.12.2020
- URL: https://journals.eco-vector.com/1682-7392/article/view/62806
- DOI: https://doi.org/10.17816/brmma62806
- ID: 62806
Цитировать
Полный текст
Аннотация
Врачами клиники военно-полевой терапии Военно-медицинской академии им. С.М. Кирова получен опыт успешного лечения внебольничной пневмонии тяжелого течения с развитием осложнений на фоне парентерального отравления смесью наркотических веществ у молодой пациентки. Важной особенностью в тактике лечения данной больной явилась невозможность проведения антидотной терапии налоксоном (конкурентный антагонист опиоидных рецепторов) в связи с наличием признаков дыхательной недостаточности, гипоксической и тканевой гипоксии. В результате проведенного системного лечения у данной пациентки удалось купировать значительный септический процесс и полиорганные нарушения витальных функций, возникшие за счет тяжелого эндотоксического поражения. Важными факторами обеспечения выживаемости пациентов, страдающих тяжелой пневмонией на фоне депрессии иммунитета за счет употребления токсических субстанций, являются рациональный подбор антибактериального препарата или комбинаций антибактериальной терапии, постоянный мониторинг витальных функций с оперативной коррекцией возникающих нарушений, а также необходимость применения современных высокотехнологичных методов лечения. Данный пример наглядно показывает необходимость неотложной, планомерной и всеобъемлющей по числу проведенных манипуляций интенсивной терапии у лиц с осложнениями внебольничной пневмонии, страдающих наркозависимостью. Кроме того, важно минимизировать время от обнаружения отравленного до начала оказания неотложных мероприятий, а также его дальнейшей эвакуации на этап квалифицированной и специализированной медицинской помощи. Таким образом, современная медицина продолжает сталкиваться с чрезвычайно актуальной проблемой употребления наркотиков населением. Значительное число имеющих синдром зависимости от наркотических веществ не обращаются за медицинской помощью по различным причинам, продолжая употреблять запрещенные препараты.
Полный текст
Введение. Незаконное употребление наркотиков в настоящее время является актуальной проблемой здравоохранения. Ежегодно до 5% населения земного шара, или 200 млн человек, принимают наркотические вещества [14]. Во всем мире официально насчитывается 13 млн потребителей инъекционных наркотиков, из которых 78% живут в развивающихся странах [13]. В 2018 г., по данным Департамента мониторинга, анализа и стратегического развития здравоохранения Министерства здравоохранения Российской Федерации (Центрального научно-исследовательского института организации и информатизации здравоохранения), за наркологической помощью обратилось 2034982 человека [3, 5]. Однако значительное число имеющих синдром зависимости от наркотических веществ не обращаются за медицинской помощью по причине опасения социального порицания, проблем с работодателем, неуверенности в способности начать жизнь без наркотических веществ, из-за давления потребляющего наркотические вещества окружения и по ряду других причин.
По данным официальной статистики, в России в 2018 г. число зарегистрированных взрослых больных пневмонией составило 514,4 случая пневмонии на 100 тыс. населения [5]. Наркомания наряду с алкоголизмом выступают в качестве факторов риска развития и неблагоприятного прогноза внебольничной пневмонии [1, 7].
Инъекции являются одним из путей введения наркотических средств, при котором наблюдается высокая частота осложнений, особенно инфекционного происхождения. Потребители наркотиков рискуют приобрести осложнения внутривенного введения, связанные с бактериальными инфекциями [9]. Большинство из них вызвано собственной условно-патогенной флорой субъекта, причем наиболее распространенными этиологическими агентами являются Staphylococcus aureus, Streptococcus и анаэробы. Кроме того, использование наркотических средств для инъекционного потребления играет важную роль в передаче вируса иммунодефицита человека (ВИЧ), вирусных гепатитов и других гемотрансмиссивных заболеваний [8, 10, 11]. У потребителей наркотиков обязательно должен быть проведен дифференциальный диагноз выявленной пневмонии в отношении туберкулеза, особенно у лиц с подозрением на ВИЧ-инфицирование или его подтвержденным случаем [12].
Внебольничная пневмония у взрослого человека, обусловленная некоторыми видами клостридий и Pseudomonas aeruginosa, может быть ассоциирована с инъекционным путем употребления наркотиков [7]. Пневмония у лиц молодого возраста с наркотической зависимостью может являться одним из очагов развития сепсиса, часто сопровождающегося тяжелым абсцедирующим течением, двусторонним поражением легочной паренхимы, выраженным интоксикационным синдромом, септическим шоком, а также осложнениями в виде развития инфекционного эндокардита трехстворчатого клапана, поражения печени и почек [3, 6]. Тяжесть течения пневмонии существенно зависит от исходного компонентного состава тела пациента и статуса питания [2, 4].
Лечение бактериальных инфекций у потребителей наркотиков начинается с установления факта употребления наркотиков, выявления связанных с ним состояний. Согласно клиническим рекомендациям, наркомания является одним из показаний для лечения внебольничной пневмонии в стационарных условиях [7].
Лечебные мероприятия, направленные на выведение наркотиков из организма пациента, а также обеспечение его приверженности к терапии должны быть частью терапевтической стратегии. При этом важно уделять внимание профилактике присоединения внутрибольничной инфекции, способной значительно усложнить терапию.
Цель исследования. Представить клинический случай успешного лечения внебольничной пневмонии тяжелого течения с развитием осложнений на фоне парентерального отравления смесью наркотиков у молодой пациентки.
Материалы и методы. Обследована пациентка в возрасте 18 лет, поступившая в отделение реанимации и интенсивной терапии (ОРИТ) клиники военно-полевой терапии Военно-медицинской академии им. С.М. Кирова в тяжелом состоянии с нарушением витальных функций. Пациентке проведено комплексное клиническое обследование, включавшее общеклинический и биохимический анализы крови, регистрацию показателей системы кровообращения и дыхания, выполнение рентгенографии органов грудной клетки и консультации специалистов.
Результаты и их обсуждение. Из анамнеза заболевания известно, что пациентка обнаружена родственниками дома лежащей на диване с угнетением сознания и редким, поверхностным дыханием. После неудачных попыток разбудить примерно через 45 мин вызвана бригада скорой помощи.
Состояние на догоспитальном этапе оценено как тяжелое, сознание на уровне комы 1-й степени. Самостоятельное дыхание неэффективное, сатурация кислорода в крови (SpO2) менее 70%, частота дыхания (ЧД) 2–3 в 1 мин. Артериальное давление (АД) 110/70 мм рт. ст., пульс 100 в 1 мин.
Медицинская помощь на догоспитальном этапе оказана в объеме восстановления проходимости дыхательных путей, проведения искусственной вентиляции легких (ИВЛ) в режиме гипервентиляции, инфузионной терапии 400 мл физиологического раствора, введения дексаметазона 16 мг, мониторинга витальных функций.
Больная доставлена в ОРИТ бригадой скорой помощи по неотложным показаниям через 30 мин после поступления сигнала о вызове. Точная экспозиция неизвестна, предположительно пациентка находилась около 5 ч без наблюдения родственников и до 1 ч под их наблюдением.
Из анамнеза жизни (со слов родственников) известно, что бытовые условия пациентки удовлетворительные, является студентом высшего учебного заведения. Вредные привычки: курение – 5–8 сигарет в сутки с 13 лет, алкоголь – 1–2 раза в неделю, употребление амфетаминов – с 15 лет, употребление героина и метадона – с 17 лет. Травм и операций не было; гепатитами, ВИЧ, сифилисом не больна.
Состояние при поступлении расценено как тяжелое, обусловленное развитием токсической и постгипоксической энцефалопатии, дыхательной недостаточности, неврологического дефицита. Сознание на уровне комы 1-й степени. Зрачки D=S=2 мм, миоз. Фотореакция отсутствовала, спонтанного нистагма не было, корнеальный рефлекс слабый. Реакция на болевые раздражители резко снижена. Отмечалась цианотичность головы, конечностей, в области локтевых сгибов следы от внутривенных инъекций. Со стороны системы кровообращения – брадикардия до 50 уд/мин, умеренная гипотония АД: 100/60 мм рт. ст. Самостоятельное дыхание неэффективное, ЧД 4–6 в 1 мин. Аускультативно выслушивалось ослабление дыхания над всеми легочными полями, преимущественно в нижних отделах.
Для обеспечения проходимости дыхательных путей выполнена интубация трахеи с последующим проведением ИВЛ респиратором «Engstrom Pro» в режиме контроля со следующими параметрами: фракция O2 на вдохе (FiO2) 100%, ЧД (f) 12 в мин, положительное давление конца выдоха (PEEP) 5 см вод. ст., дыхательный объем (V) 450–500 мл.
В общеклиническом анализе крови выявлен выраженный лейкоцитоз до 28×109/л, который мог быть обусловлен введением глюкокортикоидов на догоспитальном этапе, а также наличием инфекционного процесса (рис. 1).
Рис. 1. Динамика показателей общеклинического анализа крови
В биохимическом анализе крови была зафиксирована значимая гипергликемия до 24,5 ммоль/л, вероятно, возникшая вследствие введения глюкокортикоидов на догоспитальном этапе, наличия гипоксии и ацидоза. Отмечалось повышение уровня маркеров повреждения миоцитов – креатинкиназы (КФК) до 24527 МЕд/л, МВ-изофермента креатинкиназы (КФК МВ) до 1066,4 МЕд/л и тропонина до 0,291 нг/мл, обусловленное предположительно диффузным гипоксическим повреждением миоцитов, в том числе и кардиомиоцитов, а также, возможно, наличием скрытого участка позиционного сдавления либо очаговыми изменениями, требующими верификации. Помимо этого, установлено повышение уровня креатинина до 155 мкмоль/л, что могло произойти вследствие острого почечного повреждения преренального (гипотония, гипоксия) или ренального (воздействия токсических метаболитов наркотиков и последствий позиционного сдавления) генеза (рис. 2).
Рис. 2. Динамика показателей биохимического анализа крови
Выявленная гипопротеинемия носила алиментарный характер (индекс массы тела 17,8 кг/м2, астеническое телосложение), а выраженное повышение уровня трансаминаз более чем в 10–15 раз обусловливалось гипоксией.
В первичной коагулограмме пациентки отмечались признаки гипокоагуляции за счет снижения содержания протромбина плазмы крови, требующие уточнения с целью исключения патологии печени (рис. 3).
Рис. 3. Динамика показателей коагулограммы
При исследовании газового состава крови отмечался выраженный метаболический ацидоз со снижением pH до 6,3 и дефицитом оснований до – 14,9 (рис. 4).
Рис. 4. Динамика показателей газового состава крови на фоне ИВЛ с FiO2 100%
В токсико-химическом исследовании мочи методом иммунохроматографического анализа при поступлении обнаружены метадон и амфетамины.
На электрокардиограмме (ЭКГ) в первые сутки отмечалась синусовая тахикардия с частотой сердечных сокращений (ЧСС) 110 в 1 мин, полувертикальное положение электрической оси сердца, синдром ранней реполяризации желудочков, диффузные изменения процессов реполяризации (наиболее выраженные в переднеперегородочной области левого желудочка) без очаговых нарушений ишемического характера (рис. 5).
Рис. 5. ЭКГ при поступлении в стационар
На рентгенограммах органов грудной клетки, выполненной в условиях реанимации, выявлены очаги инфильтрации в 8-м, 9-м, 10-м сегментах правого легкого и 8-м, 9-м сегментах левого легкого (рис. 6).
Рис. 6. Рентгенограмма органов грудной клетки в положении лежа на спине при поступлении в стационар
Для исключения острой неврологической патологии пациентка проконсультирована неврологом. По результатам исследования получено заключение о наличии у больной острой токсической энцефалопатии с развитием синдрома угнетения сознания до уровня комы, экстрапирамидных нарушений, правосторонней пирамидной симптоматики.
В течение первого часа стационарного лечения отмечена отрицательная динамика в виде нарастания явлений сердечно-сосудистой и дыхательной недостаточности: прогрессивное снижение сатурации до 70%, артериального давления до 60/30 мм рт. ст. и брадикардии до 38 уд/мин. Данные изменения расценены как, вероятно, связанные с течением токсикогенной фазы отравления метадоном, депрессией дыхательного и сердечно-сосудистого центров ствола головного мозга, явлениями отека головного мозга, с учетом выявленного очага инфекции (пневмонии) – развития синдрома системной воспалительной реакции. Для достижения стабилизации состояния пациентке были введены раствор атропина 1 мл внутривенно, раствор преднизолона 90 мг внутривенно, микроструйно проводилась инфузия дофамина со скоростью 15 мкг/кг/мин и норадреналина со скоростью 7 мкг/кг/мин. На фоне интенсивной терапии сохранялось сознание на уровне комы 1-й степени с относительно стабильной гемодинамикой (АД 110/60 мм рт. ст., пульс 98 в 1 мин, ритмичный), нормотермией (температура тела 36,7°С). Продолжалась респираторная поддержка в автоматическом режиме с контролем по объему (FiO2 50%, f 9-11 в мин, PEEP 5 см вод. ст., V 450–500 мл), на фоне которой SpO2 составила 100%.
С момента поступления пациентке выполнялась интенсивная терапия: инфузионная терапия (кристаллоидные растворы 2000 мл/сут); нейропротективная и антиоксидантная терапия (цитофлавин 10 мл/сут, пирацетам 10 мл/сут, мексидол 5 мл 3 раза в сут); инотропная терапия (дофамин 10 мл/сут, норадреналин 2 мл/сут); диуретическая терапия (лазикс 20 мг/сут); антибактериальная терапия (цефтриаксон по 1 г 2 раза в сутки); гастропротективная терапия (квамател по 20 мг 2 раза в сутки); инсулинотерапия (6 Ед. в 1-е сутки); коррекция ацидоза (гидрокарбонат натрия 1000 мл/сут).
На вторые сутки на фоне проводимой терапии отметилась умеренная положительная динамика в виде изменения уровня сознания до оглушения, пациентка стала доступна элементарному контакту, но быстро истощалась и засыпала. Несмотря на инфузии высоких доз дофамина, норадреналина, проявлялась нестабильная гемодинамика – при попытке уменьшить дозу вазопрессоров стойко снижалось АД. При аускультации легких отмечалось ослабление дыхания и влажные разнокалиберные хрипы в нижних отделах, уменьшавшие интенсивность после санации бронхиального дерева. Пациентка осмотрена специалистом эфферентой терапии, который расценил состояние как острое почечное повреждение смешанного (токсического, гипоксического) генеза в олигоурической стадии. Рекомендовано ощелачивание мочи, стимуляция диуреза под контролем волемии.
С учетом полученных данных лабораторных и инструментальных методов исследования, а также после консультации специалистов был скорректирован диагноз. Основное заболевание: «Острое отравление метадоном и амфетаминами, тяжелой степени. Внебольничная двусторонняя полисегментарная пневмония тяжелого течения». Осложнения: «Полиорганная недостаточность (дыхательная, сердечно-сосудистая, почечная, мозговая). Тяжелый сепсис. Септический шок. Энцефалопатия смешанного (токсического и постгипоксического) генеза с развитием синдрома угнетения сознания до уровня комы 1-й степени, экстрапирамидных нарушений, двусторонней пирамидной симптоматики. Острая дыхательная недостаточность 3-й степени. Токсическая миокардиодистрофия. Токсическая нефропатия. Острое почечное повреждение смешанного (токсического, гипоксического) генеза, олигоурическая стадия».
Пациентка была включена в программу лечения сепсиса, так как состояние с учетом результатов лабораторных показателей и шкалы оцнеки органной дисфункции (the sepsis-related organ failure assessment – SOFA) соответствовало тяжелому сепсису (≥4 баллов). В связи с этим расширена антибактериальная терапия в виде применения препаратов меропенем по 2 г 3 раза сутки, ванкомицин 1 г 2 раза в сутки, имипенем 0,5 г 3 раза в сутки + циластатин 0,5 г 3 раза в сутки.
На третьи сутки лечения удалось уменьшить, а затем полностью прекратить инотропную поддержку, что указывало на купирование явлений септического шока и сердечно-сосудистой недостаточности. В динамике отмечалось уменьшение проявлений синдрома системной воспалительной реакции и уменьшение уровня прокальцитонина (рис. 7).
Рис. 7. Динамика маркеров сепсиса и оценки по шкале SOFA на фоне проводимой антибактериальной терапии
Объективно общее состояние больной расценивалось как тяжелое за счет полиорганной недостаточности и явлений эндогенной интоксикации на фоне тяжелого сепсиса (7 баллов по шкале SOFA), тяжелого токсического и постгипоксического поражения центральной нервной системы, энцефалопатии, острого почечного повреждения, респираторных нарушений, токсической гепатопатии, недостаточности питания, формирующейся анемии (гемоглобин – 114 г/л), вероятно, связанной с потерей крови вследствие контактной кровоточивости слизистых оболочек. В динамике также отмечалось формирование уплотнения области правого плеча и правой лопаточной области, что соответствовало предположениям и заключению хирурга о развитии синдрома позиционного сдавления. Этим же обусловливалось формирование острого почечного повреждения вследствие распада мышечной ткани и выброса в кровоток продуктов деструкции миоцитов.
На фоне проводимой терапии состояние пациентки имело положительную динамику, выражающуюся в снижении потребности в инотропной поддержке, прояснении сознания до уровня поверхностного оглушения. При попытках отлучить пациентку от респираторной поддержки самостоятельное дыхание было неэффективным, поэтому была продолжена вспомогательная вентиляция легких. Удалось достичь адекватного темпа диуреза при его умеренной стимуляции и адекватных показателях кислотно-основного состояния (КОС) крови. В дальнейшем в динамике наблюдалось уменьшение лейкоцитоза до 26,3×1012/л на фоне антибактериальной терапии (см. рис. 1). Отмечено снижение гемоглобина до 114 г/л, связанное, вероятно, с потерей крови вследствие контактной кровоточивости слизистых на фоне геморрагического синдрома, сепсиса и гемодилюции (см. рис. 1).
На четвертые сутки с помощью проведения трансфузий свежезамороженной плазмы купированы проявления геморрагического синдрома, нарушения гемостаза (см. рис. 3). Для исключения дополнительной причины анемии и исключения кровотечения выполнена фиброэзофагогастродуоденоскопия (ФЭГДС), были выявлены множественные эрозии слизистой желудка, данных за кровотечение не получено. По результатам ФЭГДС проконсультирована хирургом, который установил диагноз: «Эрозивно-катаральный гастрит. Состоявшееся желудочно-кишечное кровотечение. Гемостаз устойчивый». На рентгенограмме органов грудной клетки по-прежнему сохранялись инфильтративные изменения в обоих легких. В ходе выполнения ультразвукового исследования (УЗИ) органов брюшной полости выявлены признаки деформации желчного пузыря, а также диффузные изменения паренхимы обеих почек, в связи с чем проведен осмотр нефрологом, который установил, что гиперазотемия не имеет критического характера и показаний к заместительной почечной терапии нет.
На седьмые стуки отмечалась стабильная положительная динамика в виде уменьшения явлений дыхательной недостаточности, что дало возможность экстубации трахеи и перевода пациентки на самостоятельное дыхание. Кроме того, были купированы сердечно-сосудистая недостаточность, фебрильная лихорадка, наблюдалось снижение проявлений эндогенной интоксикации. Лабораторно уменьшились показатели азотистого обмена, КФК и уровня трансаминаз. Пациентка отметила улучшение общего самочувствия в виде уменьшения общей слабости и появления достаточного мышечного тонуса, в связи с чем был расширен режим двигательной активности в пределах палаты.
После получения контрольных анализов и оценки состояния по шкале SOFA была завершена программа лечения сепсиса (см. рис. 7).
К шестнадцатым суткам достигнута стойкая положительная динамика в состоянии пациентки, которое за счет остаточных явлений эндогенной интоксикации, энцефалопатии, позиционного сдавления мягких тканей, острого почечного повреждения, анемии, токсической гепатопатии все еще расценивалось как средней степени тяжести. На фоне проведения комплексных терапевтических и диагностических мероприятий в лабораторных данных отмечалось постепенное разрешение воспалительного процесса, уменьшение признаков азотемии, купирование электролитных нарушений, уменьшение и нормализация уровня трансаминаз и КФК, разрешение коагулопатии, уменьшение проявлений нефропатии, купирование нарушений КОС и газообмена, однако сохранялись признаки анемии легкой степени тяжести.
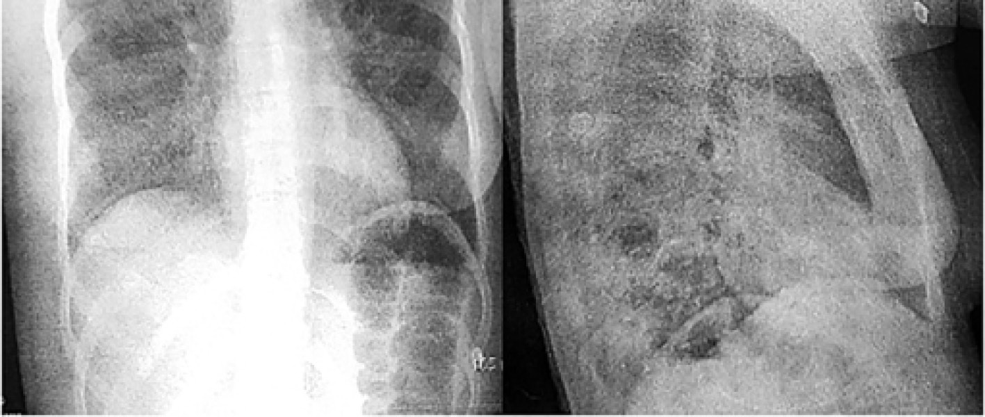
На семнадцатые сутки состояние пациентки оценивалось ближе к удовлетворительному, сознание сохранялось ясным, гемодинамика была стабильной, дыхание самостоятельным и эффективным, кроме того, рентгенологически было отмечено разрешение очагов пневмонической инфильтрации (рис. 8).
Рис. 8. Рентгенограмма органов грудной клетки при выписке
На восемнадцатые сутки лечения пациентка была выписана из стационара в удовлетворительном состоянии с рекомендациями отказаться от дальнейшего употребления наркотических веществ, а также пройти плановую консультацию нарколога, терапевта и нефролога в поликлинике по месту жительства.
Анализ клинического случая развития осложнений внебольничной пневмонии тяжелого течения, сепсиса на фоне парентерального отравления смесью наркотических веществ у молодой девушки демонстрирует эффективное применение диагностической и терапевтической тактики, направленной на одновременное купирование проявлений повреждения токсическими веществами и системного бактериального процесса. Наряду с восстановлением полиорганных поражений в течение семи дней был остановлен тяжелый септический компонент и запущен регресс очаговых изменений в легочной паренхиме. Особое внимание в лечении таких пациентов должно уделяться комплексному, персонализированному подходу и оперативности действий по выбору адекватной антибактериальной терапии, оксигенации и коррекции витальных функций.
Инфекции дыхательных путей являются одними из наиболее частых последствий применения наркотических средств, при этом пациенты могут иметь различные атипичные клинические и рентгенологические данные. Особый акцент в ведении таких пациентов должен быть сделан на тщательный сбор анамнеза, включающий вопросы о наличии туберкулеза, ВИЧ, вирусных гепатитов и установление фактов аспирации.
Важной особенностью в тактике лечения данной больной явилась невозможность проведения антидотной терапии налоксоном (конкурентный антагонист опиоидных рецепторов) в связи с наличием признаков дыхательной недостаточности, гипоксической и тканевой гипоксии.
В результате проведенного системного лечения у молодой пациентки удалось купировать значительный септический процесс и полиорганные нарушения витальных функций, возникшие за счет тяжелого эндотоксического поражения. Данный пример наглядно показывает необходимость неотложной, планомерной и всеобъемлющей по числу проведенных манипуляций интенсивной терапии у лиц с осложнениями внебольничной пневмонии, страдающих наркозависимостью. Кроме того, важно минимизировать время от обнаружения отравленного до начала оказания неотложных мероприятий, а также его дальнейшей эвакуации на этап квалифицированной и специализированной медицинской помощи.
Заключение. Наркомания среди молодых людей в современных реалиях является тяжелым медико-социальным и экономическим бременем для общества и стран всего мира.
Своевременные диагностические мероприятия и корректная оценка тяжести состояния больного позволяют выработать верную терапевтическую стратегию. Важными факторами обеспечения выживаемости пациентов, страдающих тяжелой пневмонией, на фоне депрессии иммунитета за счет употребления токсических субстанций являются рациональный подбор антибактериального препарата или комбинаций антибактериальной терапии, постоянный мониторинг витальных функций с оперативной коррекцией возникающих нарушений, а также необходимость применения современных высокотехнологичных методов лечения.
Особенную сложность в лечении представляют устойчивые штаммы бактерий, лимитированное время ожидания результатов анализа на определение чувствительности выявленного возбудителя и множественные токсические эффекты наркотических средств. Несмотря на все вышеперечисленное, прогресс развития оценочных шкал, современных методов диагностики и лечения, в том числе широкий спектр антибактериальных средств, в настоящее время позволяет проводить эффективное лечение подобных больных в условиях ОРИТ многопрофильного специализированного терапевтического стационара.
Об авторах
И. Н. Гайворонский
Военно-медицинская академия им. С.М. Кирова
Автор, ответственный за переписку.
Email: vmeda-nio@mil.ru
Россия, Санкт-Петербург
Ю. Ш. Халимов
Военно-медицинская академия им. С.М. Кирова
Email: vmeda-nio@mil.ru
Россия, Санкт-Петербург
С. В. Гайдук
Военно-медицинская академия им. С.М. Кирова
Email: vmeda-nio@mil.ru
Россия, Санкт-Петербург
Т. В. Лянгинен
Военно-медицинская академия им. С.М. Кирова
Email: vmeda-nio@mil.ru
Россия, Санкт-Петербург
А. С. Парцерняк
Военно-медицинская академия им. С.М. Кирова
Email: vmeda-nio@mil.ru
Россия, Санкт-Петербург
Р. И. Литвиненко
Военно-медицинская академия им. С.М. Кирова
Email: vmeda-nio@mil.ru
Россия, Санкт-Петербург
Список литературы
- Боровков, Е.Ю. Эпидемиологическая характеристика внебольничной пневмонии и её профилактика у военнослужащих, проходящих военную службу по призыву / Е.Ю. Боровков [и др.] // Клин. мед. – 2018. – Т. 96, № 5. – С. 439–442.
- Гайворонский, И.Н. Сравнительная характеристика динамики показателей биоимпедансометрии у мужчин молодого возраста с нормальной и недостаточной массой тела при лечении внебольничной пневмонии / И.Н. Гайворонский, Ю.Ш. Халимов, И.Г. Пашкова // Вестн. Росс. воен.-мед. акад. – 2018. – № 1 (61). – С 24–28.
- Клестер, Е.Б. Пневмония у лиц с наркотической зависимостью / Е.Б. Клестер [и др.] // Пульмонология. – 2014. – №. 2 – С. 44–49.
- Парфёнов, С.А. Современные направления профилактики внебольничной пневмонии у военнослужащих, проходящих военную службу по призыву / С.А. Парфенов [и др.] // Антибиотики и химиотерапия. – 2018. – № 63 (1–2). – С. 1–7.
- Социально значимые заболевания России в 2018 г. / Статистические материалы Департамента мониторинга, анализа и стратегического развития здравоохранения Министерства здравоохранения Российской Федерации (ФГБУ «Центральный научно-исследовательский институт организации и информатизации здравоохранения»). – 2018. – С. 43–48.
- Чирский, В.С., Патологоанатомическая характеристика септического шока в условиях современной терапии / В.С. Чирский / [и др.] // Журнал анатомии и гистопатологии. – Воронеж. – 2020. – Т. 9, № 1. – С. 69–76.
- Чучалин, А.Г. Клинические рекомендации по диагностике, лечению и профилактике тяжелой внебольничной пневмонии у взрослых / А.Г. Чучалин [и др.] // Пульмонология. – 2014. – Т. 4. – С. 13–48.
- Immunosuppressive Effects of Opioids / Clinical Relevance Journal of Neuroimmune Pharmacology December. – 2011. – Vol. 6. – Iss. 4. – P. 490–502.
- Levine, D.P. Infections in injection drug users / D.P. Levine, P.V. Brown // Principles and practice of infectious diseases. Philadelphia: Churchill Livingstone – 2005. – Vol. 2. – P. 3462–3476.
- Palepu, A. Hospital utilization and costs in a cohort of injection drug users / A. Palepu / [et al.] // CMAJ. – 2001. – P. 415–420.
- Scheidegger, C. Infectious complications in drug addicts: seven-year review of 269 hospitalized narcotics abusers in Switzerland / C. Scheidegger, W. Zimmerli // Rev. Infect. Dis. – 1999. – P. 486–493.
- Swaminath, D. Isolated pulmonary valve endocarditis complicated with septic emboli to the lung causing pneumothorax, pneumonia, and sepsis in an intravenous drug abuser / D. Swaminath // Journal of investigative medicine high impact case reports. – 2013. – Vol. 1, № 4. – P. 1–4.
- World drug report. Analysis / New York: United Nations Office on Drugs and Crime. – 2004. – Vol. 1. – P. 4–12.
- World drug report. Analysis / New York: United Nations Office on Drugs and Crime. – 2005. – Vol. 1. – P. 7–10.
Дополнительные файлы










