Оценка безопасности предоперационной масляной химиоэмболизации с нанодисперсным альбумин-стабилизированным паклитакселом у больных аденокарциномой головки поджелудочной железы
- Авторы: Павловский А.В.1, Стаценко А.А.1, Попов С.А.1, Моисеенко В.Е.1, Поликарпов А.А.1
-
Учреждения:
- Российский научный центр радиологии и хирургических технологий им. акад. А.М. Гранова
- Выпуск: Том 22, № 4 (2020)
- Страницы: 67-71
- Раздел: Клинические исследования
- Статья получена: 06.03.2021
- Статья опубликована: 15.12.2020
- URL: https://journals.eco-vector.com/1682-7392/article/view/62807
- DOI: https://doi.org/10.17816/brmma62807
- ID: 62807
Цитировать
Полный текст
Аннотация
Оцениваются результаты комбинированного лечения 36 больных, страдающих протоковой аденокарциномой головки поджелудочной железы, включающие предоперационную химиотерапию с использованием нанодисперсного альбумин-стабилизированного паклитаксела (nab-паклитаксела) при внутриартериальной масляной химиоэмболизации или внутривенном введении и радикальное хирургическое лечение. Внутриартериальная масляная химиоэмболизация головки поджелудочной железы заключалась во введении 17 больным (основная группа) в гастродуоденальную артерию эмульсии сверхжидкого липиодола (Lipiodol Ultra Fluid) в водном растворе nab-паклитаксела 50 мг/м2 и гемцитабина 400 мг/м2, в то время как 19 больным (контрольная группа) в соответствии со стандартными рекомендациями внутривенно вводили nab-паклитаксел 100 мг/м2 и гемцитабин 1000 мг/м2. Предварительно проводилась оценка безопасности и переносимости комбинированного лечения с предоперационным применением nab-паклитаксела. Пилоросохраняющая панкреатодуоденальная резекция считается безопасной на 7–10-е сутки после завершения предоперационной химиотерапии nab-паклитакселом. Применение nab-паклитаксела в режиме предоперационной внутриартериальной масляной химиоэмболизации головки поджелудочной железы требует расширения границы пересечения поджелудочной железы до уровня тела. Послеоперационная летальность и осложнения 4-й степени по классификации Clavien-Dindo не наблюдались. В основной группе осложнение 3а степени наблюдалось у 2 (12%) больных и было представлено кровотечением из острых эрозий желудка, разрешенным эндоскопически. В контрольной группе осложнения 3-й степени также отмечались у 2 (11%) больных и были представлены одним кровотечением из острых эрозий желудка, потребовавшим эндоскопического гемостаза, и интраабдоминальным абсцессом, разрешенным чрескожным дренированием. В основной группе осложнения 2-й степени зарегистрированы у 8 (47%) пациентов: у 3 (17%) больных отмечено формирование панкреатической фистулы, у 4 (23%) – выявлен послеоперационный панкреатит, у 1 (6%) – явления гастростаза, потребовавшие проведения консервативной терапии. В контрольной группе осложнения 2-й степени наблюдались у 11 (58%) пациентов и были представлены панкреатическими фистулами – у 2 (10%) больных, послеоперационным панкреатитом – у 6 (31%) и гастростазом – у 3 (16%) больных. Наиболее часто наблюдаемым в обеих группах осложнением было нагноение послеоперационной раны, соответствующее 1-й степени тяжести – в основной группе у 5 (29%) больных, в контрольной группе – у 7 (37%) больных. Таким образом, применение внутриартериальной масляной химиоэмболизации с nab-паклитакселом в качестве предоперационного противоопухолевого лечения можно считать безопасным.
Полный текст
Введение. Рак поджелудочной железы (РПЖ) как причина смертности от злокачественных новообразований в развитых странах занимает третье место, а общемировая смертность достигает 227000 случаев в год [13]. По данным российского канцер-регистра, в 2016 г. было выявлено 18517 заболевших [3]. Наиболее частая форма РПЖ – протоковая аденокарцинома (ПАПЖ) – отличается крайне неблагоприятным прогнозом. Отдаленные результаты хирургических операций даже при ПАПЖ малого размера остаются неудовлетворительными. Средняя продолжительность жизни радикально прооперированных больных составляет 8–18 мес., а пятилетняя выживаемость – всего 1–5% [9].
По данным современных исследований, тенденция улучшения отдаленных результатов наблюдается в группах операбельных больных, получивших комбинированное лечение [7, 8, 14]. Предоперационная химиотерапия представляется наиболее перспективной, при этом протоколы такой терапии в отечественных и иностранных клинических рекомендациях отсутствуют. Современная лекарственная терапия первой линии ПАПЖ представлена двумя схемами химиотерапии: FOLFIRINOX и нанодисперсный альбумин-стабилизированный паклитаксел (nab-паклитаксел) + гемцитабин (GemNabPac). Полихимиотерапия FOLFIRINOX обладает высокой токсичностью и применима у ограниченной группы пациентов [5, 11, 15, 16]. Комбинация nab-паклитаксела и гемцитабина является привлекательной для неоадъювантного применения, так как имеет значительно лучший спектр переносимости. Оба компонента, прежде всего гемцитабин, обладают способностью вызывать положительную клиническую реакцию в 25–35% случаях, которая проявляется улучшением качества жизни пациентов. Nab-паклитаксел – это наночастицы паклитаксела, стабилизированные человеческим альбумином. Препарат лишен недостатков, а именно выраженной токсичности, свойственной предшествующей лекарственной форме паклитаксела [12].
Внутриартериальный селективный путь введения является одним из направлений повышения эффективности существующих цитостатиков [1, 2]. Сочетание внутриартериального введения и положительных свойств nab-паклитаксела и гемцитабина делает данную методику наиболее перспективной для предоперационного применения.
Цель исследования. Оценить безопасность комбинированного лечения больных резектабельной протоковой аденокарциномой головки поджелудочной железы (ПАГПЖ) с применением внутриартериальной масляной химиоэмболизации (ВАМХЭ) nab-паклитакселом и гемцитабином в предоперационном режиме.
Материалы и методы. В период с января 2018 г. по декабрь 2019 г. в Российском научном центре радиологии и хирургических технологий им. акад. А.М. Гранова 36 больным (23 (64%) мужчинам и 13 (36%) женщинам в возрасте 58,6±3,1 года), страдающим локализованной формой ПАГПЖ, проведено комбинированное лечение, включающее предоперационную химиотерапию nab-паклитакселом и гемцитабином, оперативное лечение в объеме пилоросохраняющей панкреатодуоденальной резекции (ППДР). В основную группу (ОГ) включены 17 пациентов, которым применялась ВАМХЭ сосудов ГПЖ nab-паклитакселом и гемцитабином. Контрольную группу (КГ) составили 19 пациентов, которым по схеме внутривенно вводили GemNabPac. Основным клиническим проявлением у 34 (94 %) пациентов была механическая желтуха, у 2 пациентов опухоли располагались в крючковидном отростке. Всем больным с механической желтухой было выполнено чрескожное чреспеченочное наружно-внутреннее дренирование. Размеры новообразований находились в переделах от 21 до 68 мм, в среднем 38,8±5,2 мм. Предоперационная верификация у 31 (86%) пациента получена путем эндоскопической ультрасонографии с тонкоигольной аспирационной биопсией и цитологического исследования, у 5 (14%) больных была выполнена ультразвуковая контрольная чрескожная трепанбиопсия с гистологическим исследованием. Во всех случаях морфологическое исследование послеоперационного материала показало наличие ПАГПЖ: у 25 (69,5%) больных – умеренно дифференцированной, у 7 (19,5%) – высокодифференцированной и у 4 (11%) – низкодифференцированной.
Внутриартериальное введение химиопрепаратов осуществляли в рентген-операционной. После завершения диагностического этапа и перераспределительной механической эмболизации правой желудочно-сальниковой артерии производили селективную химиоэмболизацию. В гастродуоденальную артерию вводили эмульсию сверхжидкого липиодола фирмы «Guerbet» (Франция) в вводном растворе nab-паклитаксела 50 мг/м2 и гемцитабина 1000 мг/м2.
Все больные получали инфузионную терапию в объеме до 1500 мл, спазмолитические и противовоспалительные препараты. За 90 мин до процедуры пациентам была выполнена подкожная инъекция октреотида 600 мкг, далее – каждые 12 ч до нормализации уровня амилазы крови. На 7–10-е сутки после процедуры химиоэмболизации больным выполнили ППДР.
Nab-паклитаксел 100 мг/м2 и гемцитабин 1000 мг/м2 вводили внутривенно в соответствии со стандартными рекомендациями: в 1-й, 8-й и 15-й день. На 20–28-е сутки от начала химиотерапии пациентам проводили операцию в объеме ППДР. Нежелательные явления лечения оценивали в соответствии с Common Terminology Criteria for Adverse Events (CTCAE) Version 5.0. Кроме того, пациентам в обеих группах определялся исходный уровень амилазы крови в первый день начала химиотерапии и каждый последующий день, если он был повышен.
Лечебный эффект химиотерапии оценивали по данным ультразвукового исследования и изменения уровня опухолевых маркеров СА19-9 и ракового эмбрионального антигена (РЭА).
После завершения неоадъювантной химиотерапии хирургическое вмешательство всем 36 больным было выполнено в период от 7 до 10 суток. Особенностью хирургического вмешательства у больных после внутриартериального введения nab-паклитаксела было смещение линии пересечения поджелудочной железы в сторону тела на 2–2,5 см. Все другие технические аспекты операции были идентичны: выполнена ППДР с формированием панкреатикоэнтероанастомоза на дренаже, выведенном по Фёлькеру, гепатикоеюно- и пилороеюноанастомозы были наложены на одной петле тонкой кишки. Больные получали раннее энтеральное питание через назоеюнальный зонд.
Оценка послеоперационных осложнений проводилась в соответствии с классифицкацией Clavien-Dindo [10]. Осложнения, связанные с вмешательствами на поджелудочной железе, оценивали по классификации Postoperative pancreatic fistula: an international study group (ISGPF) [6].
Результаты и их обсуждение. Осложнений, связанных с процедурой введения химиопрепаратов как при внутриартериальном, так и при внутривенном вариантах не было. Наиболее частыми нежелательными явлениями (НЯ) химиотерапии среди больных обеих групп были тошнота, рвота, повышение уровня гамма-глутамилтранспептидазы (ГГТП), аланинаминотрансферазы (АЛТ), аспартатаминотрансферазы (АСТ), анемия, тромбоцитопения.
Частота гематологических НЯ в ОГ была ниже, чем в КГ. В то же время статистически достоверная разница выявлена только в частоте возникновения анемии (табл. 1).
Таблица 1
Нежелательные явления неоадъювантной терапии в группах исследования, абс. (%)
Показатель | ОГ | КГ | χ2 | p |
Анемия (Grade 1–2) | 4 (24) | 16 (80) | 13,38 | 0,001 |
Анемия (Grade 3) | – | 1 (5) | – | – |
Нейтропения (Grade 1–2) | – | 6 (29) | – | – |
Нейтропения (Grade 3) | – | 2 (10) | – | – |
Фебрильная нейтропения (Grade 3) | – | 1 (5) | – | – |
Тромбоцитопения (Grade 1–2) | 3 (18) | 3 (14) | 0,022 | 0,882 |
Повышение амилазы сыворотки (Grade 1–2) | 2 (12) | – | – | – |
Повышение амилазы сыворотки (Grade 3) | 2 (12) | – | – | – |
Повышение АЛТ/АСТ сыворотки (Grade 1–2) | 4 (24) | 6 (29) | 0,29 | 0,591 |
Повышение ГГТП сыворотки (Grade 1–2) | 5 (30) | 5 (24) | 0,043 | 0,836 |
Тошнота (Grade 1–2) | 10 (59) | 10 (48) | 0,139 | 0,709 |
Рвота (Grade 1–2) | 6 (35) | 7 (34) | 0,009 | 0,924 |
Диарея (Grade 1–2) | - | 10 (48) | - | - |
При внутриартериальном введении анемия выявлена у 4 (24%) человек, при внутривенном – у 16 (84%), p=0,001. Нейтропения наблюдалась только у 9 (47%) больных КГ. Тромбоцитопения зарегистрирована в обеих группах в 3 случаях и соответствовала Grade 2. Частота повышения АЛТ, АСТ и ГГТП в группах значимо не отличалась и не превышала Grade 2, что, вероятно, связано с предшествующей механической желтухой и явлениями холестатического гепатита, контаминацией желчи и наличием признаков хронического холангита. Частота и степень тяжести тошноты и рвоты также наблюдались в обеих группах и существенно не различались, составив 10 (59%) и 6 (35%) в ОГ, 10 (53%) и 7 (37%) случаев в КГ соответственно. Диарея отмечена у 10 (53%) больных КГ, она не превышала Grade 2. В ОГ наиболее частым наблюдаемым лабораторным изменением, зарегистрированным в первые сутки после процедуры, была тенденция к повышению амилазы сыворотки крови с последующим её снижением начиная со 2-х суток. Снижение амилазы сыворотки крови наблюдалось практически во всех случаях, однако у 13 (76%) больных показатели амилазы сыворотки оставались в пределах референтных значений, при этом они были увеличенными в сравнении с исходным показателем от 10 до 75%. В 4 (23,5%) случаях отмечено превышение верхней границы нормы (ВГН), при этом в 1 случае превышение составило менее 1,5×ВГН, в одном случае менее 4×ВГН, что классифицировано, соответственно, как НЯ Grade 1 и 2. У двух больных было зарегистрировано пятикратное превышение ВГН, что соответствует НЯ Grade 3. При оценке уровня амилазы на 2-е сутки после ВАМХЭ наблюдалось снижение её уровня, а среднее значение к 3–4-м суткам было ниже исходного уровня.
Хирургическое лечение всем больным было проведено в запланированном объеме. Во время интраоперационной ревизии у больных, получавших ВАМХЭ, было отмечено наличие умеренной отечности головки и частично – перешейка ПЖ. По сравнению со стандартной линией пересечения поджелудочной железы, последняя представлялась измененной, край резекции был отечным, при этом тело и видимая часть хвоста визуально не имели изменений. ПЖ пересекали на уровне тела, отступая 25 мм от стандартной линии пересечения на уровне перешейка ПЖ. У больных, получивших ВАМХЭ, исследование края резекции дополнялось изучением образцов ткани ПЖ в проекции предполагаемого стандартного пересечения. У всех пациентов в крае резекции не было обнаружено опухолевых элементов, патологических изменений острого воспалительного характера, некрозов ткани. При гистологическом исследовании дополнительных срезов у пациентов после ВАМХЭ отмечались признаки отека и микроочаги некрозов ткани ПЖ.
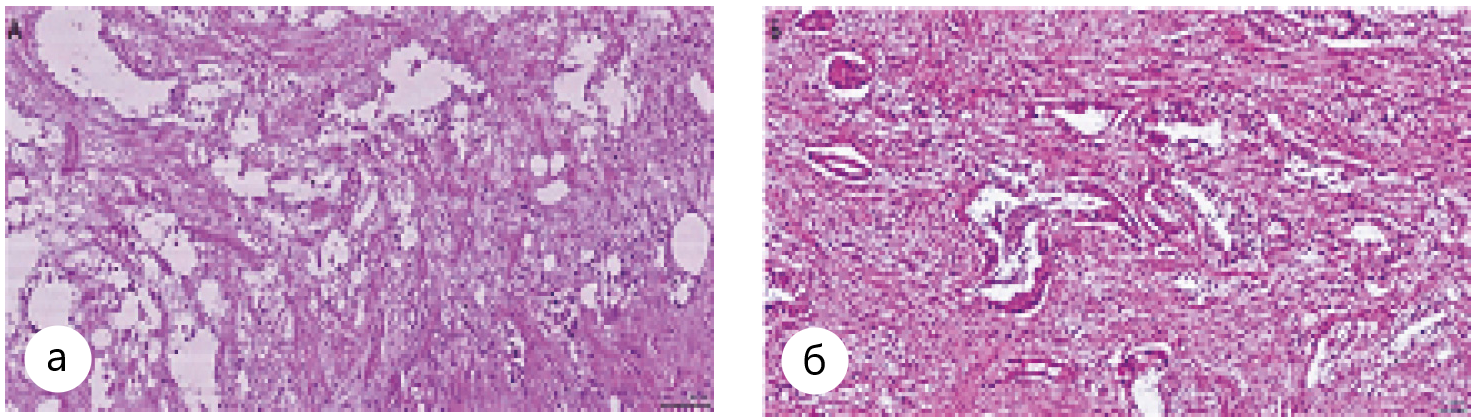
У 11 (65%) больных наблюдался умеренный отек, клеточная инфильтрация ткани головки ПЖ. У 4 (24%) больных с превышением уровня нормы амилазы в послеэмболизационном периоде наряду с отеком были обнаружены единичные некрозы ацинарной ткани, при этом край резекции не имел патологических изменений (рис.).
Рис. Морфологическое исследование препарата больной Ф., 61 г., на 10-е сутки после масляной химиоэмболизации nab-паклитакселом: а – участки некроза в ткани головки ПЖ вне опухоли; б – неизмененная ткань на уровне тела ПЖ (край резекции). Окраска гематоксилином и эозином, ув. ×400
Лечебный патоморфоз оценивали по результатам гистологического исследования послеоперационного материала по Е.Ф. Лушникову [4]. В ОГ патоморфоз 1-й степени выявлен у 2 (12%) пациентов, патоморфоз 2-й степени – у 1 (6%) больного. В КГ лечебный патоморфоз не установлен.
Объем кровопотери у больных с разными видами химиотерапии значимо не различался и составил 417,9±93,2 мл в ОГ и 443,9±83,5 мл в КГ (р=0,358). Длительность послеоперационного периода также значимо не отличалась и составила 21,65±10,14 суток для ОГ и 19,58±4,95 суток для КГ (p=0,949).
Послеоперационной летальности и осложнений 4-й степени по классификации Clavien-Dindo не было. Наиболее частым осложнением в обеих группах было нагноение послеоперационной раны, которое отмечено в ОГ у 5 (29%), в КГ – у 7 (37%) больных (p=0,637), таблица 2.
Таблица 2
Осложнения в послеоперационном периоде в группах, абс. (%)
Осложнение | ОГ | КГ | χ2 | р |
Панкреатическая фистула, тип А | 2 (11,6) | 1 (5,2) | 0,496 | 0,482 |
Панкреатическая фистула, тип В | 1 (5,8) | 1 (5,2) | 0,007 | 0,936 |
Нагноение послеоперационной раны | 5 (29) | 7 (37) | 0,223 | 0,637 |
Послеоперационный панкреатит | 4 (23,5) | 6 (31,5) | 0,29 | 0,591 |
Кровотечение из острых язв | 2 (12) | 1 (5) | 0,496 | 0,482 |
Гастростаз | 1 (6) | 3 (16) | 0,892 | 0,346 |
Интраабдоминальный абсцесс | – | 1 (5) | – | – |
Осложнение в виде послеоперационного панкреатита отмечалось у 4 (23,5%) человек в ОГ и у 6 (31,5%) – в КГ (p=0,591). Проявления гастростаза были зарегистрированы у 1 (6%) больного ОГ и у 3 (16%) больных КГ (p=0,346). Также в обеих группах были зарегистрированы панкреатические свищи типа А и В, при этом у больных ОГ тип А выявлен у 2 (11,6%), тип В – у 1 (5,8%), у больных КГ тип А и В представлен по 1 (5,2%) человеку. У всех больных данное осложнение было разрешено без проведения оперативных вмешательств путем более длительного сохранения дренажа из брюшной полости, установленного интраоперационно к области панкреатикоэнтероанастомоза, на фоне консервативной терапии. В фазе разрешения свища производилась смена дренажных трубок с поэтапным уменьшением диаметра. Все ранее описанные осложнения соответствовали 1-й и 2-й степеням тяжести по классификации Clavien-Dindo.
В ОГ осложнение 3-й степени, представленное кровотечением из острых эрозий желудка, разрешенное эндоскопически, было у 2 (12%) больных. В КГ осложнения 3-й степени также отмечались у 2 (11%) больных и были представлены одним кровотечением из острых эрозий желудка, потребовавшим эндоскопического гемостаза, и интраабдоминальным абсцессоом, разрешенным чрескожным дренированием.
Заключение. ВАМХЭ с использованием nab-паклитаксела сопровождается транзиторной амилаземией, пик которой приходится на первые сутки послеэмболизационного периода с последующим снижением. При этом амилаземия, превышающая верхнюю границу нормы, отмечалась в 4 (24%) случаях. Пациентам, страдающим ПАГПЖ, операция может быть проведена при нормализации показателей на 7-е сутки после ВАМХЭ. Данный период можно считать безопасным для проведения оперативного лечения. По данным гистологического исследования после неоадъювантной ВАМХЭ, выявлена тенденция к появлению признаков лечебного патоморфоза. Наложение панкреатикоэнтероанастомоза целесообразно выполнять, смещаясь на 2,5 см дистальнее от перешейка ПЖ, с целью снижения риска несостоятельности панкреатикоэнтероанастомоза.
Об авторах
А. В. Павловский
Российский научный центр радиологии и хирургических технологий им. акад. А.М. Гранова
Автор, ответственный за переписку.
Email: statsenko_a@mail.ru
Россия, Санкт-Петербург
А. А. Стаценко
Российский научный центр радиологии и хирургических технологий им. акад. А.М. Гранова
Email: statsenko_a@mail.ru
Россия, Санкт-Петербург
С. А. Попов
Российский научный центр радиологии и хирургических технологий им. акад. А.М. Гранова
Email: statsenko_a@mail.ru
Россия, Санкт-Петербург
В. Е. Моисеенко
Российский научный центр радиологии и хирургических технологий им. акад. А.М. Гранова
Email: statsenko_a@mail.ru
Россия, Санкт-Петербург
А. А. Поликарпов
Российский научный центр радиологии и хирургических технологий им. акад. А.М. Гранова
Email: statsenko_a@mail.ru
Россия, Санкт-Петербург
Список литературы
- Гранов, Д.А. Неоадъювантная внутриартериальная масляная химиоэмболизация и адъювантная регионарная химиоинфузия в комбинированном лечении рака поджелудочной железы / Д.А. Гранов [и др.] // Вопр. онкологии. – 2008. – № 15 (4). – С. 501–503.
- Гранов, Д.А. Оценка безопасности внутриартериальной химиотерапии гемцитабином и оксалиплатином в комбинированном лечении аденокарциномы головки поджелудочной железы / Д.А. Гранов [и др.] // Анналы хирургической гепатологии. – 2017. – № 22(2). – С. 54–59.
- Каприн, А.Д. Злокачественные новообразования в России в 2017 году (заболеваемость и смертность) / А.Д. Каприн, В.В. Старинский, Г.В. Петрова. -Лушников, Е.Ф. Лечебный патоморфоз опухолей / Е.Ф. Лушников // Патологоанатомическая диагностика опухолей человека. – М.: Медицина, 1993. – 560 с.
- Покатаев, И. А. Эффективность и безопасность индукционной химиотерапии по схеме FOLFIRINOX при погранично резектабельном и нерезектабельном раке поджелудочной железы / И. А. Покатаев [и др.] // Научн.-практ. журн. по онкологии «Злокачественные опухоли». – 2018. – Т. 8, № 1. – С. 38–47.
- Bassi, C. Postoperative pancreatic fistula: an International Study Group (ISGPF) definition / C. Bassi [et al.] // Surgery. –2005. – № 138 (1). – Р. 8–13.
- Conroy, T. FOLFIRINOX or gemcitabine as adjuvant therapy for pancreatic cancer / T. Conroy [et al.] // N Engl J. Med. – 2018. – № 379. – Р. 2395–406.
- Del Chiaro, M. Pancreatectomy with arterial resection is superior to palliation in patients with borderline resectable or locally advanced pancreatic cancer / M. Del Chiaro [et al.] // HPB. – 2019. – № 21. – Р. 219–25.
- Dennison, A.R. Laparoscopic pancreatic surgery: a review of present results and future prospects / A R. Dennison [et al.] // HPB (Oxford). – 2010. – Vol. 4, № 12. – Р. 239–43.
- Dindo, D. Classification of Surgical Complications. A new proposal with Evaluation in a Cohort of 6336 Patients and Results of a surrey / D. Dindo [et al.] // Ann. Sirg. – 2004. – № 240. – Р. 205–231.
- Giordano, G. Nano albumin bound-paclitaxel in pancreatic cancer: Current evidences and future directions / G. Giordano [et al.] // World J. Gastroenterol. – 2017. – Vol. 23. – № 32 – P. 5875–5886.
- Ottaiano, A. Nab-Paclitaxel and Gemcitabine in Advanced Pancreatic Cancer: The One-year Experience of the National Cancer Institute of Naples / A. Ottaiano [et al.] // Anticancer Res. – 2017. – Vol. 4. – № 37. – Р. 1975–1978.
- Siegel, R.L. Cancer statistics / R.L. Siegel [et al.] // CA Cancer J. Clin. – 2018. – № 68 (1). – Р. 7–30.
- Tee, M.C. Indications and perioperative outcomes for pancreatectomy with arterial resection / M.C. Tee [et al.] // J. Am. Coll. Surg. – 2018. – № 227. – Р. 255–69.
- Von Hoff, D.D. Increased survival in pancreatic cancer with nab-paclitaxel plus gemcitabine / D.D. Von Hoff [et al.] // N. Engl. J. Med. – 2013. – № 369 (18). – Р. 1691–703.
- Wagner, M. CT evaluation after neoadjuvant FOLFIRINOX chemotherapy for borderline and locally advanced pancreatic adenocarcinoma / M. Wagner [et al.] // EurRadiol. – 2017. – № 27 (3104). – P. 16.
Дополнительные файлы



