Peculiarities of the course of radiation-mechanical injuries during modeling of bone-muscular trauma of the limbs in expirement
- Authors: Slukhay S.I.1, Golovko K.P.1, Drachev I.S.2, Remizov D.V.2
-
Affiliations:
- Military medical academy of S.M. Kirov
- State scientific-research test Institute of military medicine
- Issue: Vol 22, No 4 (2020)
- Pages: 82-86
- Section: Experimental trials
- Submitted: 06.03.2021
- Published: 15.12.2020
- URL: https://journals.eco-vector.com/1682-7392/article/view/62810
- DOI: https://doi.org/10.17816/brmma62810
- ID: 62810
Cite item
Abstract
Experimental data on the course of the wound process and changes in the internal organs of animals during acute radiation sickness are presented. Morphological changes in the wound and with a fracture of the femur, on the model of combined radiation-mechanical conduction in 30 experimental animals (rats). It was found that wounds after primary surgical treatment often suppurate, and the performed osteosynthesis in fractures of tubular bones turns out to be an untenable delivery of metal structures. An unfavorable course of the wound process is noted in the form of pronounced purulent-necrotic changes in soft tissues, which leads to the appearance of degenerative-dystrophic changes in internal organs in experimental animals. The development of the infectious process in the wound, radiation damage is more severe, while the lethality increases by 20–23%. The total area and thickness of the newly formed granulation tissue is 1,5–2 times less than in non-irradiated animals. As a consequence of the disturbance of reparative processes during the development of the mutual burdening syndrome, the consolidation of the fracture with radiation injury to rats was completed in 28,5–1,2 days, while in non-irradiated animals it was already by 20–23 days. The reason for the death of animals is purulent-septic complications in 21 (73%) irradiated rats. Sepsis due to St. aureus was noted in 14 (66,6%) rats and St. epidermalis – in 2 (9,5%) animals. Colibacillary sepsis was recorded in 5 (23,8%) rats. Thus, in the conditions of the use of weapons of mass destruction, radiation-mechanical damage will occupy one of the leading places in the structure of sanitary losses. At the same time, the simultaneous effect of radiation and a mechanical factor on the body forms one of the most dangerous variants of damage, in which a favorable outcome is predicted only in milder forms of acute radiation syndrome and provided that surgical treatment is timely.
Full Text
Введение. Анализ медицинских последствий формирования очагов массовых санитарных потерь при применении ядерного оружия показал, что в этих условиях наиболее реальны ситуации, когда пострадавшие одновременно подвергаются действию ионизирующих излучений и получают механические травмы (раны, ушибы, закрытые и открытые переломы) [3, 7, 16].
В условиях применения оружия массового поражения радиационно-механические поражения (РМП), как правило, превалируют в структуре санитарных потерь. Одновременное воздействие радиации и механического фактора формирует один из опаснейших вариантов поражения, при котором благоприятный исход прогнозируется лишь в случае легких форм острого лучевого синдрома и при условии своевременности хирургического лечения. Однако реализация принципа ранней хирургической обработки при РМП на этапах медицинской эвакуации часто сопряжена с медико-тактическими сложностями.
По современным представлениям, пострадавшие вследствие РМП, в том числе с повреждением конечностей (переломы, размозжение, сдавление и др.), могут составить 10–15% от общего числа санитарных потерь. Лечение РМП заключается в комплексном применении средств и методов терапии лучевых и нелучевых травм. Ключевым принципом в оказании помощи больным при РМП является реализация хирургических мероприятий во время скрытого периода острой лучевой болезни [8, 17].
Проникающая радиация оказывает существенное влияние на течение раневого процесса. На фоне общего облучения в ране развиваются нарушения микрогемоциркуляции, транскапиллярного обмена, интерстициальной циркуляции и микролимфоциркуляции [6, 7, 11, 13].
Воздействие на организм ионизирующих излучений приводит к возникновению иммунодефицита, связанного с развитием панцитопенического синдрома [1, 4, 12, 15]. Полученные в последние годы данные свидетельствуют о том, что у пострадавших вследствие РМП происходит нарушение функции практически всех звеньев системы иммунитета. Признаки поражения иммунной системы появляются непосредственно после облучения и имеют фазовый характер. В первые часы после радиационного воздействия происходит запуск патологической аутоиммунной реакции, усугубляющей поражение клеток, затем наступает фаза угнетения иммунитета, определяющая неблагоприятное течение раневого процесса. Воздействие проникающей радиации на мягкие ткани резко замедляет продукцию коллагена I и II типов. В костной ткани происходит угнетение факторов роста (TGF-b2 и TGF-b3), участвующих в энхондральной оссификации. Данные патогенетические изменения при РМП негативно влияют на процессы консолидации переломов [3, 9, 14, 16].
Воздействие проникающей радиации определяет развитие анемии, лейко- и тромбоцитопении, геморрагического синдрома и эндотоксикоза, что впоследствии определяет неблагоприятное течение раневого процесса в виде околораневых абсцессов, могущих привести к гибели [7, 12, 13, 17].
Цель исследования. Изучить характер течения РМП при костно-мышечной травме конечности у животных.
Материалы и методы. Эксперименты выполнены на 30 белых беспородных крысах-самцах массой 180–200 г. Животных получали из питомника Российской академии наук «Рапполово», содержали в условиях вивария в карантине на стандартном пищевом рационе. Работа выполнена в соответствии с Правилами проведения работ и использования экспериментальных животных (Директива 2010/63/EU Европейского парламента и Совета Европейского союза по охране животных, используемых в научных целях) [5].
Радиационный компонент РМП моделировали путем общего однократного гамма-облучения на установке «ИГУР–1» в дозе 6,75 Гр (СД50/30) при мощности дозы 0,91 Гр/мин.
Перед нанесением механической травмы всем экспериментальным животным выполняли сочетанную анестезию: общую анестезию осуществляли путем внутрибрюшинного введения 0,5–1,2 мл 1% раствора пропофола, местную – введением 2 мл 0,5% раствора лидокаина в область моделируемого перелома бедренной кости. После наступления анальгезии выполняли диафизарный перелом бедренной кости. Достоверными признаками перелома являлись костная крепитация, анатомическое укорочение бедра, его деформация и нарушение двигательной функции.
Через 2 ч после моделирования перелома животным выполнялся интрамедуллярный остеосинтез по неотложным показаниям. Оперативное вмешательство осуществляли в асептических условиях. После завершения обработки операционного поля выполняли линейный разрез длиной 3 см с послойным рассечением мягких тканей до линии перелома. В костномозговой канал вводили часть спицы Киршнера длиной 2,5–3 см, что являлось прообразом металлоостеосинтеза блокирующим стержнем диафизарного перелома бедренной кости у человека. Осуществляли местный гемостаз и послойно ушивали послеоперационную рану. Операция завершалась наложением асептической повязки.
Контрольную рентгенографию области таза и задних конечностей первый раз выполняли после завершения интрамедуллярного остеосинтеза непосредственно после операции, второй раз – у умерших животных в день гибели (в среднем на 8–9-е сутки), у выживших – на 30-е сутки.
Крысам контрольной группы, состоявшей из 10 животных, наносили перелом бедренной кости. Диафизарный перелом бедренной кости фиксировали спицей Киршнера до удовлетворительного сопоставления отломков. Критерием удовлетворительной репозиции являлось сопоставление отломков, расстояние между которыми не превышало 1 мм (рис. 1).
Рис. 1. Внешний вид диафизарного перелома бедренной кости у крысы после интрамедуллярного остеосинтеза
Рентгенограммы выполняли в 2 проекциях (передней и боковой) на аппарате «Artis Zee» фирмы «Siemens», пленке РМ-В форматом 400×200 мм, в режиме 50 кV с экспозицией 0,2 с.
Консолидацию костных отломков оценивали по результатам рентгенологического исследования. Критериями срастания перелома являлись диастаз между проксимальным и дистальным отломками, положение спицы Киршнера в костно-мозговом канале бедренной кости и формирование костной мозоли.
Для морфологических исследований фрагменты мягких тканей (кожа, фасции, мышцы) фиксировали 10% раствором нейтрального формалина, забуференного по методу Лилли с помощью натриевых солей в течение 7 сут. Срезы органа толщиной 5 мкм окрашивали гематоксилин-эозином, после чего заключали в полистирол. Гистологическую оценку производили при увеличении микроскопа 10×25.
Забор материала на посев осуществляли из нагноившейся раны не менее чем трехкратно из разных ее участков. Культивирование выполняли на сахарном бульоне при температуре 37оС в течение 10 сут. Оценивали рост бактериальных колоний, при их выявлении делали мазки и производили их окраску по Граму.
Результаты и их обсуждение. Установлено, что у необлученных животных перелом бедренной кости не оказывает влияния на их выживаемость, тогда как смертность крыс при РМП составляет 73%. Из 30 крыс с комбинированным поражением выжили 9 животных (табл.).
Таблица
Выживаемость крыс с диафизарными переломами бедренной кости, облученных в среднелетальной дозе
Группа | Выживаемость, % | СПЖ, сутки | Срок консолидации перелома, сутки |
Контрольная | 100 | 30 | 21,4± |
Экспериментальная | 27± | 7,9± | 29,4± |
Примечание: СПЖ – средняя продолжительность жизни.
У выживших животных признаки консолидации перелома отмечались начиная с 21-х суток (рис. 2). Однако к исходу 30-х суток несросшиеся диафизарные переломы (миграция спицы Киршнера, диастаз между проксимальным и дистальным костными фрагментами, смещение костных отломков) выявлялись в 15–20% случаев. В среднем сроки консолидации перелома в экспериментальной группе составили 30 суток.
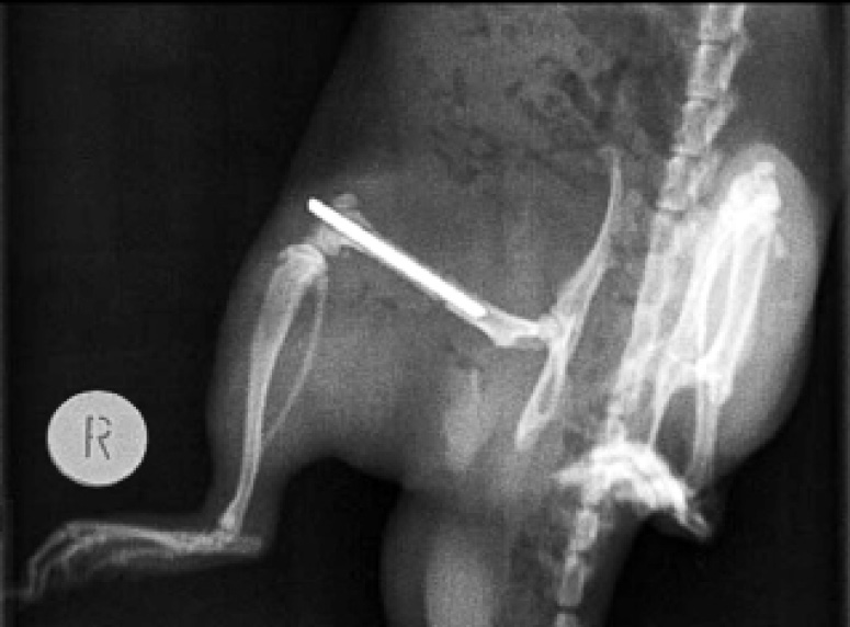
Рис. 2. Рентгенограмма правой задней конечности крысы (30 суток после операции). Металлоостеосинтез (спицей Киршнера) диафизарного перелома бедренной кости. Замедленная консолидация перелома
Морфологические изменения в органах погибших животных характеризовались кровоизлияниями и дистрофическими изменениями. При осмотре видимых слизистых оболочек у погибших животных в 100% случаев отмечались петехиальные кровоизлияния и у 75% животных – изъязвления слизистой оболочки ротовой полости. Кровянистые выделения во рту были зафиксированы в 15%.
На аутопсии погибших облученных животных пульпа селезенки была темно-красного цвета у 9 (42,9%) животных, пятнистая – у 12(57,1%) крыс. Во всех случаях отмечено увеличение селезенки в размерах, ее масса в 2–2,2 раза превышала физиологическую норму. При разрезе селезенки удавалось получить обильный соскоб. Лимфатические узлы брыжейки кишки в 45% случаев были увеличены в размерах, отечны. У 100% животных слизистая оболочка тонкой кишки была истончена, отмечались множественные изъязвления и петехиальные кровоизлияния, имеющие тенденцию к слиянию. Кровоизлияния в легких были зарегистрированы в 60%, а венозное полнокровие отмечалось в 70% случаев. В полостях сердца и аорте отмечалось небольшое количество крови. Миокард имел дряблый и тусклый вид с кровоизлияниями в эпикард или под эндокард – в 85% случаев в области задней стенки левого желудочка. У 16 (76,2%) крыс было отмечено образование метастатических пиогенных очагов в печени с преимущественно субкапсулярной локализацией. В почках метастатические очаги отмечены лишь в 3 случаях в сочетании с поражением печени. Изолированного метастатического поражения в почках ни в одном случае не выявлено.
После забора микробиологической пробы на посев в 14 (66,6%) случаях культивировался S. аureus, у 2 (9,5%) крыс высеяли St. еpidermalis. В 2 случаях метастатических очагов не выявлено, однако в посеве определили колонии St. еpidermalis. Коли-бациллярный сепсис наблюдался у 5 (23,8%) крыс.
Таким образом, при сепсисе выявлялись преимущественно тяжелые дегенеративно-некробиотические и воспалительные явления внутренних органов, развившиеся в результате интоксикации.
У животных, подвергнутых РМП, отмечается неблагоприятное течение раневого процесса. Воспалительная реакция резко угнетается: уменьшается экссудация, нарушается образование лейкоцитарного вала, в результате замедляются процессы отторжения некротических тканей, а также процессы роста и формирования соединительной ткани, в некоторых случаях рост грануляций прекращается, развивается их некроз.
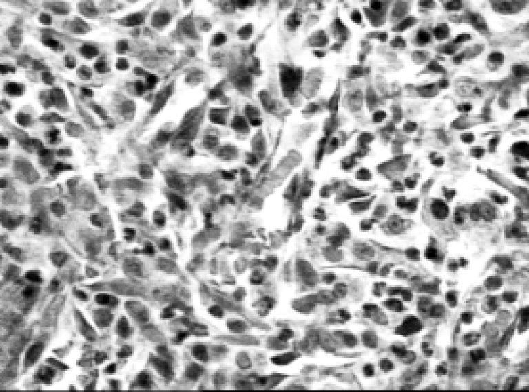
Вокруг сосудов происходит формирование лейкоцитарного инфильтрата, утолщение эпидермального валика по периметру раны, увеличение ядра клеток (рис. 3). В области сосудов кожи определяются грануляционная соединительная ткань и миграция нейтрофилов в зону дефекта.
Рис. 3. Микропрепарат мягких тканей в области раны бедра крысы через 3 суток после РМП. Окраска гематоксилином и эозином, ув. ×250
В течение первых трех суток после РМП отмечались начальные признаки регенерации в виде появления под струпом активированных фибробластов, синтезируемых ими структурных белков и межуточного вещества соединительной ткани.
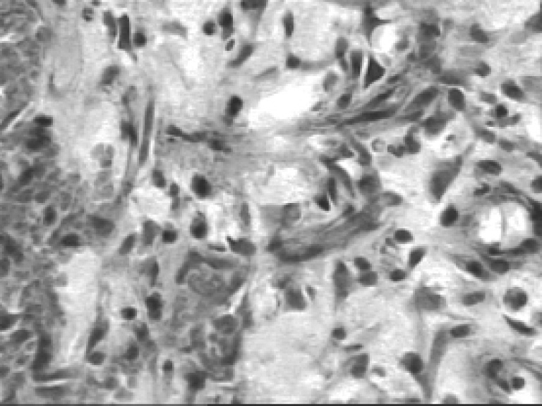
Молодая соединительная ткань была представлена активированными фибробластами, увеличенными в размерах и приобретающими отростчатую форму. Максимальную толщину и развитие грануляционная ткань приобретала в зонах прохождения магистральных сосудов мышц и кожи. Через 10 суток после травмы дефект был покрыт струпом, толщина которого достигала 2–3 мм, на отдельных участках раны отмечали начальные признаки отторжения струпа, преимущественно по краю.
Под струпом формировался слой грануляций, в некоторых местах он распространялся на всю глубину раны. Грануляционный слой, непосредственно прилегающий к некротической зоне, состоял из 5–7 рядов крупных, горизонтально расположенных фибробластов. Подлежащие слои были представлены рыхлой соединительной тканью, в которой прослеживались в значительном количестве вертикальные тонкостенные капилляры. В участках отторжения струпа нарастающий эпителий по краям раны располагался на подложке из растущей соединительной ткани (рис. 4). Отмечались выраженная клеточная инфильтрация, большое количество кровеносных сосудов и активированных фибробластов в грануляциях дна раны.
Рис. 4. Микропрепарат мягких тканей в области раны бедра крысы через 10 суток после РМП. Окраска гематоксилином и эозином, ув. ×250
При РМП процессы регенерации, сроки отторжения струпа и окончательного заживления механических ран пролонгировались в среднем до 30 суток. В контрольной группе заживление раны мягких тканей конечности в среднем составляло 17 суток.
Как следствие, репаративные процессы в ранах были замедлены. При этом формирование грануляционной ткани возле проходящих сосудов мышц и кожи на бедре была более выражено в контрольной группе по сравнению с облученными животными. На 15-е сутки после поражения вокруг кровеносных сосудов отмечены единичные активированные фибробласты. В этих же участках выявлялись малодифференцированные бластоподобные формы мигрирующих клеток и мелкие скопления эндотелиоцитов (по 2–3 клетки) – «почки роста» сосудов, образуя зоны новообразования соединительной ткани, остальные фасциальные участки дна раны были обеднены клеточными элементами. При этом вокруг сосудов фасций на дне раны визуализируются единичные новообразованные капилляры, фибробласты и многочисленные плазматические клетки (рис. 5).
Рис. 5. Микропрепарат мягких тканей в области бедра крысы через 15 суток после РМП. Окраска гематоксилином и эозином, ув. ×250
Через 10 суток грануляции занимали все пространство под струпом, однако зачастую были неполноценными, с небольшим числом клеток, из-за замедленного роста сосудов в ткани формировались бессосудистые зоны. Наблюдалось незначительное количество новообразованных сосудов и мигрирующих клеток в области аркад.
Общая площадь и толщина вновь сформированной грануляционной ткани были в 1,5–2 раза меньше по сравнению с животными контрольной группы.
Полученные данные свидетельствуют в пользу того, что облучение угнетает репаративные процессы в механической ране. На протяжении всей первой недели после облучения в ране отмечены единичные активированные фибробласты. В составе инфильтрата преимущественно выявлялись малодифференцированные бластоподобные формы мигрирующих клеток.
Как следствие, нарушения репаративных процессов при развитии синдрома взаимного отягощения, заживление механических ран при РМП завершалось спустя 28,5±Раневой процесс у животных при РМП имеет неблагоприятное течение, летальность при этом достигает 73%.
Наличие дегенеративно-дистрофических изменений внутренних органов на фоне гнойно-некротического процесса в костно-мышечной ране следует рассматривать в качестве «синдрома взаимного отягощения».
Лучевое воздействие угнетает репаративные процессы в механической ране. В составе инфильтрата преимущественно присутствуют малодифференцированные бластоподобные формы мигрирующих клеток.
Наиболее частым (в 66,6% случаев) возбудителем сепсиса при РМП является St. аureus, в 23,8% случаев регистрируется коли-бациллярный сепсис.
About the authors
S. I. Slukhay
Military medical academy of S.M. Kirov
Author for correspondence.
Email: vmeda-nio@mail.ru
Russian Federation, Saint Petersburg
K. P. Golovko
Military medical academy of S.M. Kirov
Email: vmeda-nio@mail.ru
Russian Federation, Saint Petersburg
I. S. Drachev
State scientific-research test Institute of military medicine
Email: vmeda-nio@mail.ru
Russian Federation, Saint Petersburg
D. V. Remizov
State scientific-research test Institute of military medicine
Email: vmeda-nio@mail.ru
Russian Federation, Saint Petersburg
References
Supplementary files







