Течение отсроченной правосторонней посттравматической диафрагмальной грыжи с дислокацией печени в грудную полость
- Авторы: Ясюченя Д.А.1, Асямов К.В.1, Дзидзава И.И.1, Салухов В.В.1, Чугунов А.А.1, Богомолов А.Б.1, Николаев А.В.1, Грозовский Ю.Р.1
-
Учреждения:
- Военно-медицинская академия им. С.М. Кирова
- Выпуск: Том 22, № 4 (2020)
- Страницы: 111-116
- Раздел: Экспериментальные исследования
- Статья получена: 06.03.2021
- Статья опубликована: 15.12.2020
- URL: https://journals.eco-vector.com/1682-7392/article/view/62816
- DOI: https://doi.org/10.17816/brmma62816
- ID: 62816
Цитировать
Полный текст
Аннотация
Описан редкий клинический случай отсроченной посттравматической грыжи правого купола диафрагмы с дислокацией печени в грудную полость без нарушения функции печени, легких и отсутствием нарушений гемодинамики. На поликлиническом этапе при проведении плановой флюорографии у пациента Н. в проекции нижней доли правого легкого выявлено одиночное затемнение округлой формы, размерами 114×99 мм. Для уточнения диагноза пациент поступил в клинику госпитальной хирургии Военно-медицинской академии им. С.М. Кирова в плановом порядке. По результатам проведенного обследования и тщательного сбора анамнеза установлен окончательный диагноз: «Правосторонняя посттравматическая грыжа с дислокацией печени в грудную полость». Данное осложнение встречается крайне редко. В литературе описаны единичные клинические примеры такой патологии. Это связано с особенностями анатомического строения, а именно с выполняемой печенью «защитной» функцией. Она препятствует пролоббированнию других органов полости брюшины в грудную полость. Однако в данном случае описана миграция печени после перенесенной закрытой травмы живота. Немаловажно, что данный клинический случай сопровождался скудной клинической картиной, отсутствием жалоб со стороны пациента и нормальными показателями методик лабораторной диагностики. Смертность при разрывах диафрагмы может достигать 31% в первые сутки после травмы. В связи с этим диагноз диафрагмальной грыжи требует исключения у всех пациентов с травмой груди и/или живота.
Полный текст
Введение: Диафрагмальная грыжа – это пролоббирование органов живота в грудную полость через дефект в диафрагме. Они могут быть врожденными и приобретенными [4]. Приобретенные диафрагмальные грыжи возникают, в большинстве случаев, в результате закрытой или открытой (ранения) торако-абдоминальной травмы. Грыжи левого купола диафрагмы встречаются чаще, так как печень выполняет защитную функцию, препятствуя пролоббированию других органов полости брюшины [5]. Формирование диафрагмальной грыжи может происходить абсолютно бессимптомно – по этой причине приблизительно 66% разрывов диафрагмы не диагностируют в момент травмы. Отрицательное давление плевральной полости вызывает постепенную миграцию абдоминальных органных структур, приводя к возникновению соответствующих симптомов [6]. Формирование диафрагмальной грыжи по клиническому течению возможно разделить на два типа: I (ранний) и II (отсроченный).
Дислокация органов живота чаще встречается при II типе грыж диафрагмы. Клинические проявления включают симптомы расстройств желудочно-кишечного тракта (абдоминальные боли, тошнота, рвота, кишечная непроходимость), дыхания (одышка, боль в груди), кровообращения (нарушения сердечного ритма, нестабильность артериального давления).
Грыжи правого купола диафрагмы не относятся к категории часто встречаемой патологии, в доступной литературе описаны единичные клинические примеры разрыва правой половины диафрагмы с пролоббированием печени в грудную полость. Данный вид патологии наблюдается у лиц молодого возраста и вызван аномалиями эмбрионального развития диафрагмы или травматическим генезом. Характеризуется скудной клинической симптоматикой до возникновения осложнений. Своевременная диагностика и оперативное лечение, как правило, приводят к полному выздоровлению.
При закрытых повреждениях правого купола диафрагмы иногда происходит посттравматическая диспозиция печени в грудную полость. В некоторых случаях даже при небольшом дефекте участок печени, деформируясь, проникает («засасывается») в грудную полость, образуя выпячивание разнообразной формы.
Рентгенологическая картина при травматической грыже диафрагмы зависит от характера и объема органов брюшной полости, которые заполняют грыжевой мешок. При обзорной рентгенографии зачастую визуализируется округлой или овальной формы тень в области правого кардиодиафрагмального угла. Интенсивность данной тени может быть различной и видоизменяться с течением времени, что обусловлено изменением степени наполнения кишечника («симптом изменчивости» рентгенологической картины). В отдельных случаях наблюдают более крупные скопления газа над диафрагмой и типичную для толстого кишечника гаустрацию. Дополнительные трудности в диагностике таких посттравматических диспозиций органов брюшной полости вызваны еще и тем обстоятельством, что последнее возникает не в момент травмы или ближайший период, а спустя несколько суток или недель.
Цель исследования. Описать клинический случай правосторонней посттравматической диафрагмальной грыжи с дислокацией печени в грудную полость.
Материалы и методы. Обследован пациент Н. 20 лет, поступивший в клинику госпитальной хирургии Военно-медицинской академии им. С.М. Кирова для дополнительного обследования и уточнения диагноза направления: «Новообразование правой плевральной области неуточненной этиологии». Предположение о наличии опухолевого роста возникло у врачей-специалистов амбулаторно-поликлинического звена при выполнении флюорографии органов грудной полости.
При поступлении в клинику и последующем наблюдении пациент Н. жалоб не предъявлял. Из анамнеза известно, что больной Н. развивался согласно возрасту, в своем развитии от сверстников не отставал. Аллергологический анамнез спокойный. Наследственность не отягощена. Хронические заболевания отрицает, на учете у врачей по месту жительства не состоял. Контакты и укусы домашних и диких животных, а также грызунов отрицает. За пределы Российской Федерации не выезжал. Вредные привычки: курение табачных изделий до 10 сигарет в сутки на протяжении последних 3 лет. Алкоголем не злоупотреблял. Профессиональных вредностей не имел.
Результаты и их обсуждение. При объективном обследовании общее состояние удовлетворительное. Сознание ясное. Положение пациента активное. Телосложение нормостеническое. Питание удовлетворительное. Рост 170 см, масса тела 74 кг. Индекс массы тела 25,6 кг/м2. Кожные покровы чистые, обычной окраски. Периферические лимфатические узлы не увеличены. Периферических отеков нет. Видимые слизистые чистые, обычной окраски. Носовое дыхание свободное с обеих сторон. Щитовидная железа не увеличена, узлы не пальпируются. При осмотре опорно-двигательной системы патологии не выявлено. Пульс одинаковый на обеих руках, ритмичный, 72 удара в минуту, удовлетворительного наполнения, не напряжен, сосудистая стенка не пальпируется вне пульсовой волны. Артериальное давление 120/70 мм рт. ст. Границы относительной сердечной тупости в пределах нормы. Тоны сердца звучные, ритмичные, шумов нет. Грудная клетка обычной формы. Симметрично принимает участие в акте дыхания. Частота дыхания 17 в 1 мин. При пальпации грудной клетки болезненных точек не выявлено. При сравнительной перкуссии – ясный легочный звук. Выявлено локальное укорочение перкуторного звука и ослабление везикулярного дыхания в проекции нижней доли правого легкого по задней подмышечной и лопаточной линиям. В проекции других легочных полей дыхание везикулярное, хрипы не выслушиваются. Слизистая полости рта и зева обычной окраски, миндалины не гипертрофированы, налетов нет. Язык влажный, чистый. Живот при поверхностной и глубокой пальпации мягкий, безболезненный во всех отделах. Размеры печени (по Курлову) 9×8×7 см. Патологических изменений селезенки при пальпации не выявлено. Поколачивание по поясничной области безболезненное с обеих сторон. Мочеиспускание без особенностей. Неврологической симптоматики при осмотре не выявлено. Температура тела при поступлении и на протяжении всей госпитализации регистрировалась в пределах физиологической нормы.
По данным общепринятых клинических методик лабораторной диагностики, патологических отклонений исследуемых параметров от пределов референтных значений не выявлено.
Повторно выполнена рентгенография органов грудной полости в прямой и правой боковой проекциях.
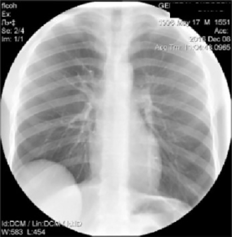
На рентгенограмме органов грудной полости в прямой проекции (рис. 1) в нижних отделах правого легочного поля определяется большое округлое затемнение с четкими ровными контурами.
Рис. 1. Рентгенограмма органов грудной полости пациента Н. в прямой проекции в положении стоя
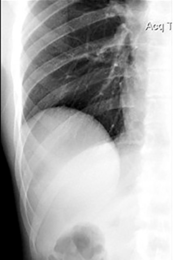
На рентгенограмме органов грудной полости в боковой проекции (рис. 2) в заднебазальных отделах правого легочного поля визуализируется округлое затемнение.
Рис. 2. Рентгенограмма органов грудной полости пациента Н. в правой боковой проекции в положении стоя
По данным предварительного просмотра полученных рентгенологических изображений возникла необходимость в выполнении прицельной рентгенографии области правого плеврального синуса для более углубленного обследования (рис. 3).
Рис 3. Прицельная рентгенография области правого плеврального синуса пациента Н. в положении стоя
По данным многофокусной рентгенографии органов грудной полости установлено: легочные поля без очаговых и инфильтративных изменений. Прозрачность легочных полей сохранена. Легочный рисунок не изменен. Корни структурны, не расширены. Купол диафрагмы четкий и ровный, расположен обычно. Реберно-диафрагмальные синусы свободны. Жидкость в плевральных полостях не определяется. Тень срединных структур не смещена, не расширена. Тень сердца и аорты без особенностей. Костные структуры видимых отделов без «свежих» костно-травматических и иных патологических изменений. Нормальное изображение мягких тканей грудной клетки. Обращает на себя внимание одиночное затенение округлой формы от 6-го до 10-го ребра (счет по передним отрезкам ребер) в проекции нижней доли правого легкого, гомогенной плотной структуры, с четкими и ровными контурами, размерами 114×99 мм, без признаков перифокального воспаления. Киста? Окончательный диагноз установить на данном этапе не представлялось возможным, что требовало применения более высокотехнологичных методик диагностики.
Округлые образования в легочной паренхиме и плевральных полостях по данным одной лишь рентгенографии практикующим клиницистам достаточно затруднительно верифицировать и приходится дифференцировать с такими нозологическими единицами как туберкулема, эхинококк, периферическое новообразование, то есть с патологическими изменениями, которые визуализируется как одиночные шаровидные образования округлой формы с ровными четкими краями [1–3].
Для дальнейшей верификации диагноза выполнена спиральная компьютерная томография органов грудной, брюшной полостей, забрюшинного пространства и таза с применением внутривенного контрастирования (рис. 4–15).
Рис. 4–15. Компьютерная томография высокого разрешения органов грудной полости пациента Н. в режимах легочного и мягкотканого окон
При спиральной компьютерной томографии органов грудной полости свежих очаговых и инфильтративных изменений не выявлено. Ход и проходимость трахеи, главных и долевых бронхов не нарушены. Средостение не смещено, не расширено. Визуализируется ткань вилочковой железы размерами 1,3×1,6 см. Внутригрудные и подмышечные лимфатические узлы не увеличены. Жидкости в плевральных полостях и полости перикарда не выявлено. Костные травматические и деструктивные изменения не определяются.
При спиральной компьютерной томографии органов брюшной полости и забрюшинного пространства с последующим введением контрастного вещества (ультравист 370–100 мг) определяется грыжевой дефект правой половины купола диафрагмы с пролоббированием правой доли печени в грудную полость. Размеры грыжевых ворот 8,2 см, грыжевого выпячивания – 8,4×9,5×10,0 см. Плотностные показатели печени составляют 49–58HU, структура однородная, контрастирование равномерное, краниокаудальный размер 13,8 см. Желчный пузырь S-образной формы, содержимое пузыря однородное, стенка не утолщена. Селезенка в размерах не увеличена, плотностные показатели не изменены и составляют 39–45 HU, структура однородная, контрастирование равномерное. Поджелудочная железа не увеличена, дольчатая, контур железы четкий. Парапанкреатическая клетчатка не изменена. Надпочечники не увеличены, дифференцируются на тело и ножки, новообразование в них не определяется. Местоположение почек обычное, паренхима не истончена. Дифференцировка на корковое и мозговое вещество сохранена. Чашечно-лоханочные системы не расширены. Рентгенконтрастные конкременты не выявлены. Параренальная клетчатка не уплотнена. Мочевой пузырь сокращен, стенка его не изменена. Предстательная железа однородная, размеры 3,2×3,4 см. Клетчатка малого таза не упллотнена. Лимфатические узлы не увеличены. Визуализируются паховые лимфатические узлы, размерами справа до 0,6×1 см, слева – до 0,7×1 см. Свободной жидкости в брюшной полости и полости таза не выявлено. Костные травматические и деструктивные изменения не определяются.
В области правой половины купола диафрагмы визуализируется диафрагмальная грыжа, содержимое грыжевого мешка – печень, нельзя исключить травматический генез формирования грыжи.
С учетом полученных данных, при повторном настойчивом изучении анамнеза пациент признался, что до достижения совершеннолетия по месту его жительства имело место дорожно-транспортное происшествие с закрытой травмой живота, последующим возникновением болевого синдрома и сохранением его в течение месяца. За медицинской помощью пациент не обращался, от родственников факт травмы утаил, аналогичным образом поступил и при сборе анамнеза медицинским персоналом.
Пациенту для устранения диафрагмальной грыжи и формирования физиологического расположения печени было показано и предложено оперативное вмешательство – видеоторакоскопическая пластика правого купола диафрагмы под комбинированной анестезией с однолегочной инвазивной вентиляцией легких. Однако, по личным соображениям, больной отказался от оперативного вмешательства и настойчиво потребовал выписать его по месту жительства.
Заключение. Диагноз диафрагмальной грыжи требует исключения у всех пациентов с травмой груди и/или живота, поскольку смертность при разрывах диафрагмы может достигать 31% в первые сутки после травмы. В случае появления характерных клинических симптомов спустя многие годы также необходимо исключить формирование диафрагмальной грыжи [7–9].
Об авторах
Д. А. Ясюченя
Военно-медицинская академия им. С.М. Кирова
Автор, ответственный за переписку.
Email: vmeda-nio@mil.ru
Россия, Санкт-Петербург
К. В. Асямов
Военно-медицинская академия им. С.М. Кирова
Email: vmeda-nio@mil.ru
Россия, Санкт-Петербург
И. И. Дзидзава
Военно-медицинская академия им. С.М. Кирова
Email: vmeda-nio@mil.ru
Россия, Санкт-Петербург
В. В. Салухов
Военно-медицинская академия им. С.М. Кирова
Email: vmeda-nio@mil.ru
Россия, Санкт-Петербург
А. А. Чугунов
Военно-медицинская академия им. С.М. Кирова
Email: vmeda-nio@mil.ru
Россия, Санкт-Петербург
А. Б. Богомолов
Военно-медицинская академия им. С.М. Кирова
Email: vmeda-nio@mil.ru
Россия, Санкт-Петербург
А. В. Николаев
Военно-медицинская академия им. С.М. Кирова
Email: vmeda-nio@mil.ru
Россия, Санкт-Петербург
Ю. Р. Грозовский
Военно-медицинская академия им. С.М. Кирова
Email: vmeda-nio@mil.ru
Россия, Санкт-Петербург
Список литературы
- Пульмонология: руководство / под общей ред. В.В. Салухова, М.А. Харитонова. – М.: ГЭОТАР-Медиа, 2017. – 416 с.
- Хофер, М. Рентгенологическое исследование грудной клетки. Практическое руководство. – М.: Мед. лит., 2008. – 224 с.
- Компьютерная томография: базовое руководство. – 2-е изд, перераб и доп: – М: Мед. лит., 2008. – 224 с.
- Katukuri, G.R. Delayed diagnosos of left-sided diaphragmatic hernia in an eldery adult with no history of trauma / G.R. Katukuri [et al.] / Journal of Clinical Dagnostic. – 2016. – Vol. 10. – P. 4–5.
- Peker, Y., Dislocation of three segments of the liver due to hernia of the right diaphragm / Y. Peker [et al.] / Hernia. – 2007. – Vol. 11. – P. 63–65.
- Thoman, D.S. Laparoscopic diaphragmatic hernia repair / D.S. Thoman, T. Hui, E.H. Phillips // Surg. Endosc. – 2002. – Vol. 16. – P. 1345–1349.
- Rubens de Nadai, T. Diaphragmatic hernia repair more than four years after severe trauma: four case reports / T. Rubens de Nadai [et al.] / Int. J. Surg. Case Rep. – 2015. – Vol. 14. – P. 72–76.
- Sala, С. Right post-traumatic diaphragmatic hernia with liver and intestinal dislocation / С. Sala [et al.] / Journal of Surgical Case Reports. – 2017. – Vol. 3. – P. 220.
- Lal, S. Delayed presentation of post traumatic diaphragmatic hernia /S. Lal [et al.] / Journal of Surgical Case Reports. – 2011. – Vol. 7. – P. 6.
Дополнительные файлы






