Intestinal endometriosis: features of clinical and morphological diagnostics
- Authors: Pechenikova V.A.1, Danilova A.S.1, Kvarku V.E.1, Ramzaeva N.N.1
-
Affiliations:
- Northwest State Medical University named after I.I. Mechnikov
- Issue: Vol 23, No 1 (2021)
- Pages: 41-50
- Section: Clinical Trials
- Submitted: 17.03.2021
- Accepted: 17.03.2021
- Published: 12.05.2021
- URL: https://journals.eco-vector.com/1682-7392/article/view/63572
- DOI: https://doi.org/10.17816/brmma63572
- ID: 63572
Cite item
Full Text
Abstract
A clinical observation of the combined endometriotic lesion of the small intestine and the appendix is given below. Extragenital endometriosis is a rare pathology in which endometrioid heterotopies develop outside the reproductive system organs. At about 18–25% of women suffering from the pelvic organs endometriosis, the intestines are involved in the pathological process. In this regard, it is believed that in most cases its lesion is secondary while the primary lesion of the intestine with endometriosis is rarely observed and occurs as a result of hematogenous introduction of endometrial elements into the intestinal wall. Of all parts of the intestine, endometriosis most often affects the rectum and sigmoid colon (70−80%), then the jejunum, less often the cecum. The most rare gastrointestinal tract endometriosis localization is the appendix, the frequency of its lesion is 0.8%. It was carried out in a clinicopathologic analysis of 14 endometriosis cases in various parts of the intestine (4 cases of the small intestine lesions, 2 — rectosigmoid part of the large intestine, 2 — rectum, 2 — sigmoid colon, 3 — appendix, 1 — combined lesion of the small intestine and the appendix). In most cases, the clinical diagnosis of extragenital endometriosis is difficult, and as a rule women come with complaints typical of acute surgical pathology: intestinal obstruction, appendicitis. An important role in differential diagnosis is given to the ultrasound examination of the pelvic organs and abdominal cavity, magnetic resonance imaging, endoscopic research methods, as well as the connection of clinical symptoms with the menstrual cycle.
Full Text
Введение
Экстрагенитальный эндометриоз (ЭГЭ) — относительно редкая патология, при которой эндометриоидные гетеротопии развиваются за пределами органов половой системы. Частота ЭГЭ составляет 6–8% от числа всех наблюдений эндометриоидной болезни. Однако количество публикаций о поражении эндометриозом послеоперационных рубцов, области пупка, различных отделов кишечника, мочевого пузыря, мочеточников, легких и других органов и систем имеет тенденцию к увеличению [1–3]. ЭГЭ может быть единственной локализацией заболевания у одних женщин и сочетаться с наружным или внутренним генитальным эндометриозом — у других. К одной из распространенных форм ЭГЭ относится поражение послеоперационных рубцов. Так, еще в 1934 г. H. Harbitz [4] опубликовал 193 наблюдения эндометриоза лапаротомических рубцов. Органы мочевой системы при распространенных формах эндометриоза вовлекаются в процесс у 1–3% женщин. Частота эндометриоза пупка составляет от 0,5 до 1% по отношению ко всем локализациям. К наиболее редким вариантам экстрагенитальной формы заболевания относится торакальный эндометриоидный синдром, который включает поражение паренхимы легких, дыхательных путей, плевры и диафрагмы [2].
У 18–25% женщин, страдающих эндометриозом органов малого таза, в патологический процесс вовлекается кишечник. В связи с этим считается, что его поражение в большинстве наблюдений вторично и происходит либо в результате попадания жизнеспособных элементов эндометриоидных гетеротопий в брюшную полость при микроперфорации эндометриоидных кист яичников, либо при инвазивном росте очагов ретроцервикального эндометриоза в стенку кишки. Реже наблюдается переход эндометриоза на кишку из послеоперационных рубцов и пупка. Первичное поражение кишечника наблюдается редко и происходит в результате гематогенного занесения элементов эндометрия в стенку кишки. Из всех отделов кишечника эндометриоз в 70–80% случаев поражает прямую и сигмовидную кишку, реже — тощую и еще реже — слепую [5]. Наиболее редкой локализацией эндометриоза органов желудочно-кишечного тракта является червеобразный отросток, частота его поражения составляет 0,8%.
Диагностика эндометриоза кишечника на дооперационном этапе крайне сложна, и зачастую эта патология скрывается под «маской» таких заболеваний, как опухоль кишки, синдром раздраженного кишечника, геморрой, проктит, болезнь Крона, хронический спастический колит, спаечная кишечная непроходимость [2]. Поражение эндометриозом стенки кишки начинается, как правило, со стороны серозной оболочки или наружной части мышечного слоя, когда в процесс вовлекается забрюшинный отдел толстой кишки. На поверхности кишки эндометриоидные гетеротопии могут иметь вид мелких синюшных глазков, пятен и полосок. По мере прогрессирования заболевания они превращаются в узелки и бляшки, вокруг которых появляются радиально расположенные рубцы. В дальнейшем инвазивный рост очагов эндометриоза в толщу кишки может происходить в радиальном направлении либо начинается охват кишки по окружности. Это сопровождается утолщением стенки кишки, образованием узла или опухолевидного разрастания до 3–8 см в диаметре и сужением ее просвета. В случае прорастания всей толщи кишки на ее слизистой оболочке могут образовываться полиповидные разрастания [1].
Жалобы больных эндометриозом кишечника обусловлены прежде всего циклическими менструальноподобными изменениями в гетеротопиях и зависят от глубины расположения эндометриоидных очагов в толще стенки кишки и протяженности поражения патологическим процессом. При поверхностном эндометриозе, захватывающем серозный и наружный мышечный слои, пациентки жалуются на тупую ноющую боль в животе. Боль появляется накануне и во время менструаций, может носить разлитой характер без определенной локализации (при поражении тонкой кишки — до утраты ее подвижности) или быть сосредоточенной в определенном месте. Так, при поражении прямой кишки боль локализуется в области таза, при эндометриозе сигмовидной кишки — в нижнем отделе живота слева [3]. Боль может сопровождаться повышенной моторикой кишечника, реже — поносами или метеоризмом. На этой стадии заболевание до операции не диагностируется либо распознается случайно во время операций в брюшной полости по другим показаниям [4–6].
По мере прогрессирования заболевания и распространения очагов эндометриоза в более глубокий мышечный слой и слизистую оболочку кишки усиливается боль в животе, появляются запоры, задержка отхождения газов, вздутие живота и другие признаки сужения просвета кишки. Особенно выражены эти симптомы накануне и во время менструаций, после их окончания они постепенно проходят.
Прорастание эндометриозом всей толщи стенки кишки приводит к появлению слизи и крови в каловых массах. Кал становится лентовидным, усиливаются запоры, потом выделяется только слизь с кровью из прямой кишки. Такая клиническая симптоматика на дооперационном этапе требует дифференциальной диагностики со злокачественным опухолевым процессом. Так, согласно данным N.B. Berlunda, P. Vercellini, L. Fedele [7], эндометриоз сигмовидной кишки был обнаружен у 6% женщин, прооперированных по поводу предполагаемой карциномы кишки.
Кроме того, клиническое значение эндометриоза заключается в том, что он может быть причиной непроходимости и самопроизвольной перфорации стенки кишки. Авторы на основании изучения клиники, диагностики и лечения эндометриоза толстой кишки пришли к выводу, что необходимо учитывать эндометриоз в дифференциальной диагностике кишечной непроходимости [8, 9]. В.П. Баскаков, Ю.В. Цвелев, Е.Ф. Кира [2] также описывают эндометриоз кишечника как одну из причин развития острого живота.
Цель исследования — изучить и проанализировать особенности клинического течения, дифференциальной диагностики и морфологического строения эндометриоза различных отделов кишечника.
Материалы и методы
Проведен анализ 14 наблюдений эндометриоза различных отделов кишечника (4 случая поражения тонкой кишки, 2 — ректосигмоидного отдела толстой кишки, 2 − прямой кишки, 2 − сигмовидной кишки, 3 — червеобразного отростка, 1 — сочетанного поражения тонкой кишки и червеобразного отростка). Возраст больных, страдающих эндометриозом различных отделов кишечника, колебался от 24 до 47 лет (средний составил 36,7 ± 9,69 года). Клиническая часть работы включала в себя изучение анамнестических данных, общеклинических, гинекологических и инструментальных методов исследования. Полученный операционный материал исследовали методом световой микроскопии. Фрагменты стенки кишки фиксировали в 10% нейтральном формалине (при рH 7,2–7,4), заливали в парафин по стандартной методике. Парафиновые срезы толщиной ≈5 мкм помещали на обычные предметные стекла, после депарафинизации окрашивали гематоксилином и эозином, пикрофуксином по методу Ван-Гизона.
Результаты и их обсуждение
У 6 (60%) пациенток эндометриоз кишки сочетался с генитальным эндометриозом: эндометриозом яичника (4 наблюдения) и аденомиозом (2 наблюдения) – и был обнаружен во время гинекологических операций. В остальных 8 наблюдениях имело место только поражение различных отделов кишечника, очагов наружного или внутреннего генитального эндометриоза при ревизии органов брюшной полости и малого таза во время оперативного вмешательства у этих пациенток не обнаружено. На дооперационном этапе эндометриоз кишечника не был диагностирован ни у одной пациентки. В случаях изолированного поражения различных отделов кишечника без сочетания с наружным или внутренним генитальным эндометриозом (8 наблюдений) 6 пациенток были прооперированы в экстренном порядке 2 — в плановом. Показаниями для экстренного оперативного лечения были кишечная непроходимость, острый аппендицит, для плановой операции — опухоль кишки.
Клинические симптомы эндометриоза различных отделов кишечника были самыми разнообразными и симулировали ряд заболеваний органов брюшной полости и малого таза. Всех пациенток беспокоили боли в животе спастического или ноющего характера, продолжающиеся несколько дней и временами носящие приступообразный характер. Боли в животе не были связаны с приемом пищи, локализовались в нижних отделах живота, у некоторых больных — в подложечной области, области пупка, а в части наблюдений не имели определенной локализации. Как правило, боли носили циклический характер, появлялись за несколько дней до начала менструаций и прекращались с их окончанием или через 1–2 дня. Накануне менструаций они были особенно выражены. Нередко имели место боли во время полового акта. При поражении прямой и сигмовидной кишки одной из жалоб были частые и сильные тенезмы, при этом выделялась только слизь, иногда с примесью крови. У 2 больных, страдающих эндометриозом прямой кишки, наблюдались ректальные кровотечения, рецидивирующие во время менструаций. Во время менструаций появлялись также метеоризм и вздутие живота, рвота и тошнота. Обострение заболевания начиналось, как правило, с болей в животе, потом развивались запоры, вздутие живота, рвота. Поражение эндометриозом тонкого кишечника у 4 больных характеризовалось развитием клиники острой кишечной непроходимости, что послужило показанием для экстренного оперативного вмешательства. Только одна из пяти больных с сочетанием эндометриоза тонкой кишки и червеобразного отростка была прооперирована в плановом порядке. Клинические проявления острой кишечной непроходимости у этих пациенток совпали с менструацией.
При гистологическом исследовании операционного материала было обнаружено, что для поражения кишечника характерно диффузное расположение эндометриоидных гетеротопий в мышечном слое на различной удаленности от слизистой и окружающей жировой клетчатки. В жировой клетчатке очаги эндометриоза имели вид узелков с перифокальным разрастанием гладкомышечных волокон. Размеры очагов были от одного до двух полей зрения микроскопа. Отличительной особенностью поражения кишки являлось преобладание очагов функционально активного эндометриоза с морфологическими признаками пролиферации и реже — секреции. Очаги регрессирующего эндометриоза были представлены кистозно-трансформированными железами без эпителиальной выстилки с редуцированной цитогенной стромой. Признаков склероза цитогенной стромы и перифокального фиброза не обнаружено.
В связи со сложностью клинической диагностики эндометриоза кишечника на дооперационном этапе приводим одно из наблюдений. Пациентка 33 лет поступила в хирургическую клинику с диагнозом «новообразование брюшной полости» в плановом порядке для оперативного лечения. При поступлении предъявляла жалобы на периодические боли в околопупочной области, вздутие живота, повышенное газообразование.
Считает себя больной в течение 1,5 лет, когда впервые появилось вздутие живота, обильное газообразование, не связанные с приемом пищи. За последние 3 мес. заметила скудное количество крови в стуле во время менструаций, в связи с чем была обследована амбулаторно, проконсультирована гастроэнтерологом, хирургом, гинекологом.
Менструации начались с 13 лет, по 5–6 дней, через 28 дней, регулярные, обильные, болезненные. Последние 4 года отмечает усиление болей во время менструаций. Во время менструаций регулярно принимает обезболивающие препараты. Беременностей не было.
Сопутствующими заболеваниями являются микроаденома гипофиза, гиперпролактинемия (принимает достинекс по 1/4 таблетки в неделю), хронический гастрит вне обострения и недостаточность кардии.
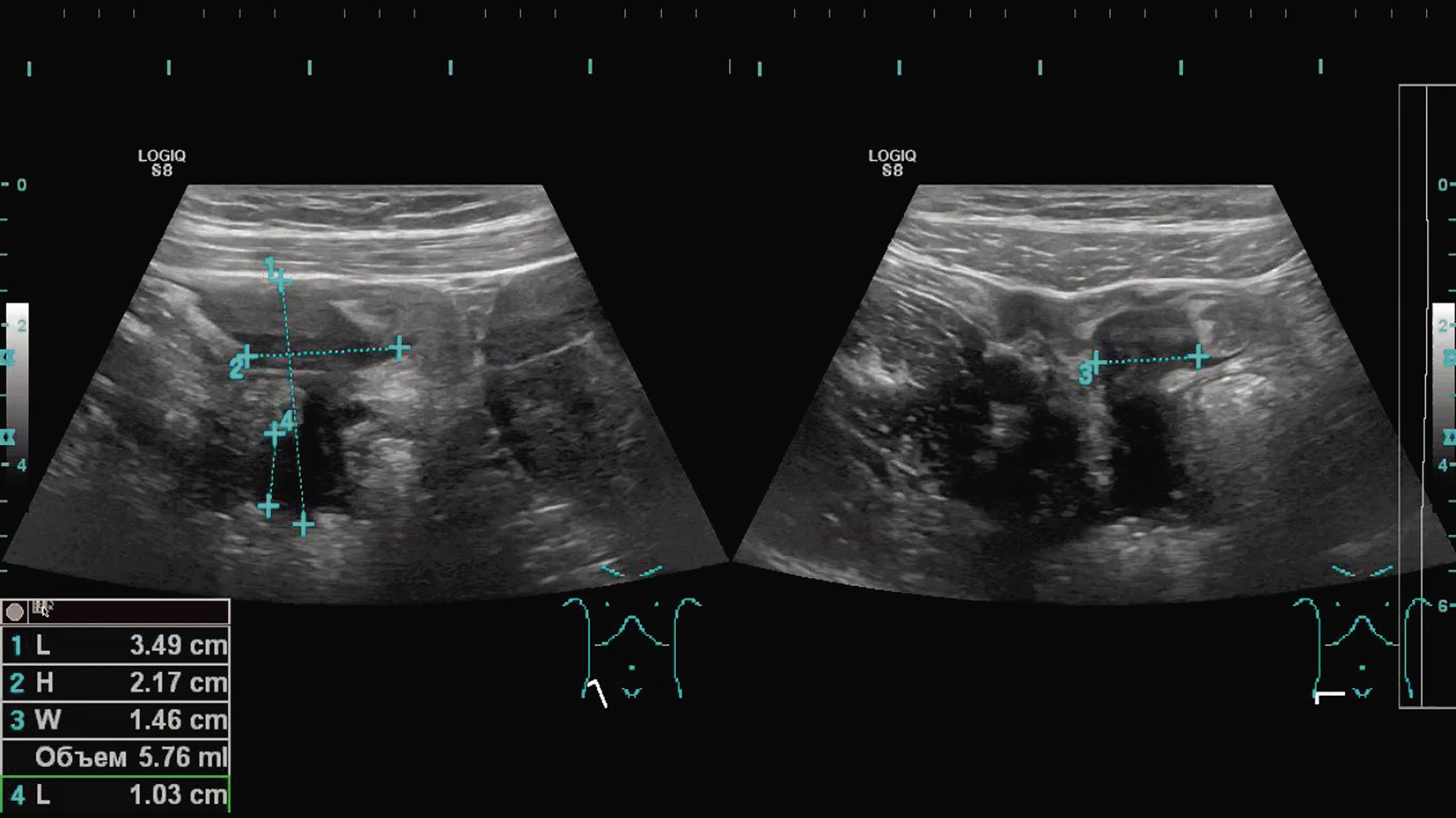
При ультразвуковом исследовании (УЗИ) органов брюшной полости особых изменений не обнаружено. Печень не увеличена, контуры ее четкие, ровные, структура однородная, эхогенность не изменена, сосудистый рисунок не деформирован, внутрипеченочные протоки не расширены. Очаговые изменения не выявлены. Желчный пузырь не увеличен. Его форма обычная, стенка не изменена, содержимое однородное, перивезикальные ткани не изменены. Общий желчный проток не расширен, прослеживается до головки поджелудочной железы, внутрипросветные образования не выявлены. Поджелудочная железа не увеличена. Контуры ее четкие, ровные, структура однородная, эхогенность равна печени. Главный панкреатический проток не расширен. Селезенка не увеличена. Контуры ее четкие, ровные, визуализируемые участки капсулы не изменены. Паренхима однородная. Дополнительные образования в паралиенальном пространстве не определяются. Брюшной отдел аорты не расширен. В проекции выходного отдела желудка патологические изменения не выявлены. В правой подвздошной области илеоцекальный переход не изменен, аппендикулярный отросток достоверно не визуализируется. Проксимальнее по ходу подвздошной кишки, межпетельно на уровне ниже ветвления правой общей подвздошной артерии лоцируется образование размерами 35 × 22 × 15 мм, достигающее стенки таза. Форма его неправильная, структура неоднородная, низкой эхогенности. Аваскулярное образование фиксировано к поверхностно лежащим петлям тонкой кишки, к брюшине не фиксировано (рис. 1).
Рис. 1. Ультразвуковое исследование органов брюшной полости — межпетельное образование по ходу подвздошной кишки / Fig. 1. Ultrasound examination of the abdominal organs — interloop formation along the ileum
Стенки кишки не изменены. Свободная жидкость в брюшной полости не лоцируется. Регионарные лимфоузлы не увеличены. Заключение: эхографические признаки межпетельного образования в правой подвздошной области (очаг наружного эндометриоза?, карциноид?).
На магнитно-резонансной томографии (МРТ) органов брюшной полости после перорального приема 800 мл 2,5% раствора маннитола контрастируются все отделы тонкой кишки, правая и частично левая половины толстой кишки. Тощая кишка расположена преимущественно в левой половине брюшной полости. Контуры ее четкие. Складки слизистой оболочки прослеживаются, не утолщены. Участки патологического изменения и расширения по ходу контрастированных отделов не выявляются. Стенка тощей кишки в контрастированных отделах не утолщена. Прилежащая паракишечная клетчатка не изменена. Подвздошная кишка прослеживается до места впадения, впадает по заднемедиальному контуру. Проксимальные и средние петли контрастируются на всем протяжении. Стенка подвздошной кишки утолщена. Контуры ее четкие, ровные. Участков органического сужения и расширения по ходу контрастированных проксимальных и средних отделов подвздошной кишки не выявляется. Сравнительные изменения в брыжейке не определяются. В илеоцекальной области, на расстоянии около 4 см медиально от купола слепой кишки, 4–5 см от передней брюшной стенки (в положении лежа на животе) в межпетельном пространстве выявляется инфильтрат с нечеткими, бугристыми контурами размерами 4,4 × 2,9 × 3,6 см, частично включающий в дистальные петли подвздошной кишки и терминальный отдел подвздошной кишки. Просвет петель, включенных в инфильтрат, представляется суженным до 6–7 мм. Отчетливо выраженного сужения просвета рядом расположенных петель подвздошной кишки не отмечается. Дистальный отдел подвздошной кишки прослеживается на расстоянии около 3–4 см между инфильтратом и баугиниевой заслонкой. Стенка кишки в терминальном отделе не утолщена. Брыжейка вокруг не изменена. Баугиниева заслонка с четкими контурами, в размерах не увеличена. Слепая кишка туго заполнена контрастным веществом. Контуры слепой кишки четкие, ровные. Стенка не утолщена. Воспалительные изменения в прилежащих отделах брыжейки не выявляются. Поперечно-ободочная кишка частично заполнена контрастным веществом. Контуры ее четкие, ровные. Стенка отчетливо не утолщена. Прилежащая брыжейка не изменена. Сигмовидная кишка прослеживается на отдельных участках. Контуры ее четкие, ровные. В илеоцекальной области и по ходу брыжейки увеличенные лимфатические узлы не определяются. Отмечается незначительный гиперинтенсивный сигнал от инфильтрата. Заключение: выявленные изменения в илеоцекальной области, которые с учетом характера поражения необходимо дифференцировать между неопластическим образованием дистальных петель подвздошной кишки (лимфома?, гастроинтестинальная стромальная опухоль?, аденокарцинома?) и воспалительным инфильтратом (эндометриоз?, пенетрирующая форма болезни Крона?).
При видеоколоноскопии эндоскоп введен в купол слепой кишки и на 5 см в терминальный отдел тонкой кишки без помощи ручного пособия. Видно, что на расстоянии 5 см от баугиниевой заслонки просвет терминального отдела стойко сужен до 0,8 см, для эндоскопа не проходим, слизистая в этой области отечная, гиперемированная, структура сохранена, взята биопсия. При осмотре слепой кишки слизистая в области устья червеобразного отростка гладкая, розовая, определяется инвагинированное устье червеобразного отростка. Баугиниевая заслонка губовидная, устье ее сомкнуто, ориентировано в просвет слепой кишки, через заслонку в просвет кишки поступают пузырьки газа. При осмотре ободочной, сигмовидной и прямой кишок патологических изменений не обнаружено. Заключение: эндоскопическая картина инвагинации червеобразного отростка и стойкого сужения терминального отдела подвздошной кишки (сдавление извне?) — биопсия.
При гистологическом исследовании биоптата подвздошной кишки определяются фрагменты слизистой оболочки подвздошной кишки типичной гистологической структуры без воспалительного компонента, очаговая лимфофолликулярная гиперплазия.
При компьютерной томографии (КТ) органов брюшной полости выявлены КТ-признаки С-образной деформации желчного пузыря в теле и шейке, начальные дистрофические изменения в поясничном отделе позвоночника.
Больной выполнена лапароскопически ассистированная правосторонняя гемиколэктомия. Под эндотрахеальным наркозом выше пупка открытым доступом по Hassen установлен 12-миллиметровый троакар с видеокамерой. Инсуфляция. Рабочие троакары установлены в типичных точках. В брюшной полости выпота нет. В правой подвздошной ямке, в куполе слепой кишки определяется опухолевидное образование, суживающее просвет кишки; белесоватый булавовидно утолщенный в верхней трети червеобразный отросток; по ходу подвздошной кишки на расстоянии 20 см от баугиневой заслонки на серозной оболочке образование по типу «грозди винограда», представленное синюшно-багровыми тонкостенными кистами диаметром от 0,5 до 3 см, содержимое — гемолизированная кровь. Между кистами определяются тяжи белесоватой ткани (рис. 2, 3).
Рис. 2. Лапароскопия — ревизия органов малого таза и брюшной полости / Fig. 2. Laparoscopy — revision of the pelvic organs and abdominal cavity
Рис. 3. Лапароскопия — образование подвздошной кишки / Fig. 3. Laparoscopy — formation of the ileum
Стенка кишки деформирована обнаруженным образованием, просвет ее сужен (опухоль? внутриорганное метастазирование?); также на расстоянии 30 см от баугиневой заслонки располагается дивертикул Меккеля. В печени, желчном пузыре, желудке, сальнике, толстой и тонкой кишках патологии не выявлено. Тело матки нормальных размеров, «мраморной» окраски, в дне матки миоматозный узел диаметром 5 мм, придатки с обеих сторон не изменены. С учетом наличия опухоли в слепой и подвздошной кишках, а также отсутствия распространения процесса принято решение выполнить правостороннюю гемиколэктомию. Медиальным доступом мобилизованы правая половина толстой кишки и 40 см терминального отдела подвздошной кишки, верхнебрызжеечная артерия и вена клипированы, пересечены у основания, a. и v. colica media, a. и v. colica dextra лигированы, пересечены у основания. Срединная мини-лапаротомия. Проксимально отсечена кишка в 40 см от илеоцекального угла, дистально — на уровне середины восходящей ободочной кишки при помощи линейного сшивающего аппарата. Сформирован илеотрансверзоанастомоз «бок в бок» двухрядным ручным швом.
Для гистологического исследования взят фрагмент тонкой и толстой кишок общей протяженностью 40 см с аппендикулярным отростком, разрезанным интраоперационно. При осмотре видно, что стенка его утолщена, уплотнена. Просвет не визуализируется. Слизистая оболочка слепой кишки обычного вида, складчатая, сероватая. Серозная оболочка с нежными спайками. Серозная оболочка тонкой кишки сероватая, со спайками и втяжениями. Слизистая оболочка в проекции втяжений утолщена. В одном из измененных участков мышечный слой стенки утолщен до 1 см, белесого цвета. В жировой клетчатке брыжейки обнаружен один лимфоузел диаметром 0,5 см белесого цвета. Тринадцать фрагментов жировой клетчатки, содержащих лимфоузлы диаметром до 2 см, на разрезе белесые.
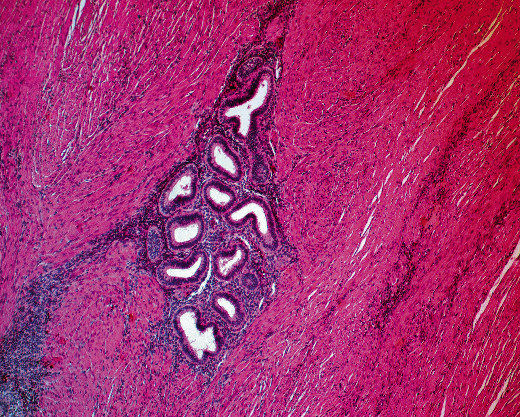
При микроскопическом исследовании фрагментов из измененных участков стенки тонкой кишки и мышечного слоя стенки аппендикса видны множественные диффузно расположенные очаги эндометриоза эпителиально-стромального строения, представленные цитогенной стромой и железами, выстланными однорядным эндометриальным эпителием (рис. 4).
Рис. 4. Очаг эндометриоза в мышечном слое стенки тонкой кишки. Окраска гематоксилином и эозином, ув. ×180 / Fig. 4. Endometriosis focus in the muscular layer of the wall of the small intestine. Hematoxylin-eosin stain, enl. ×180 times
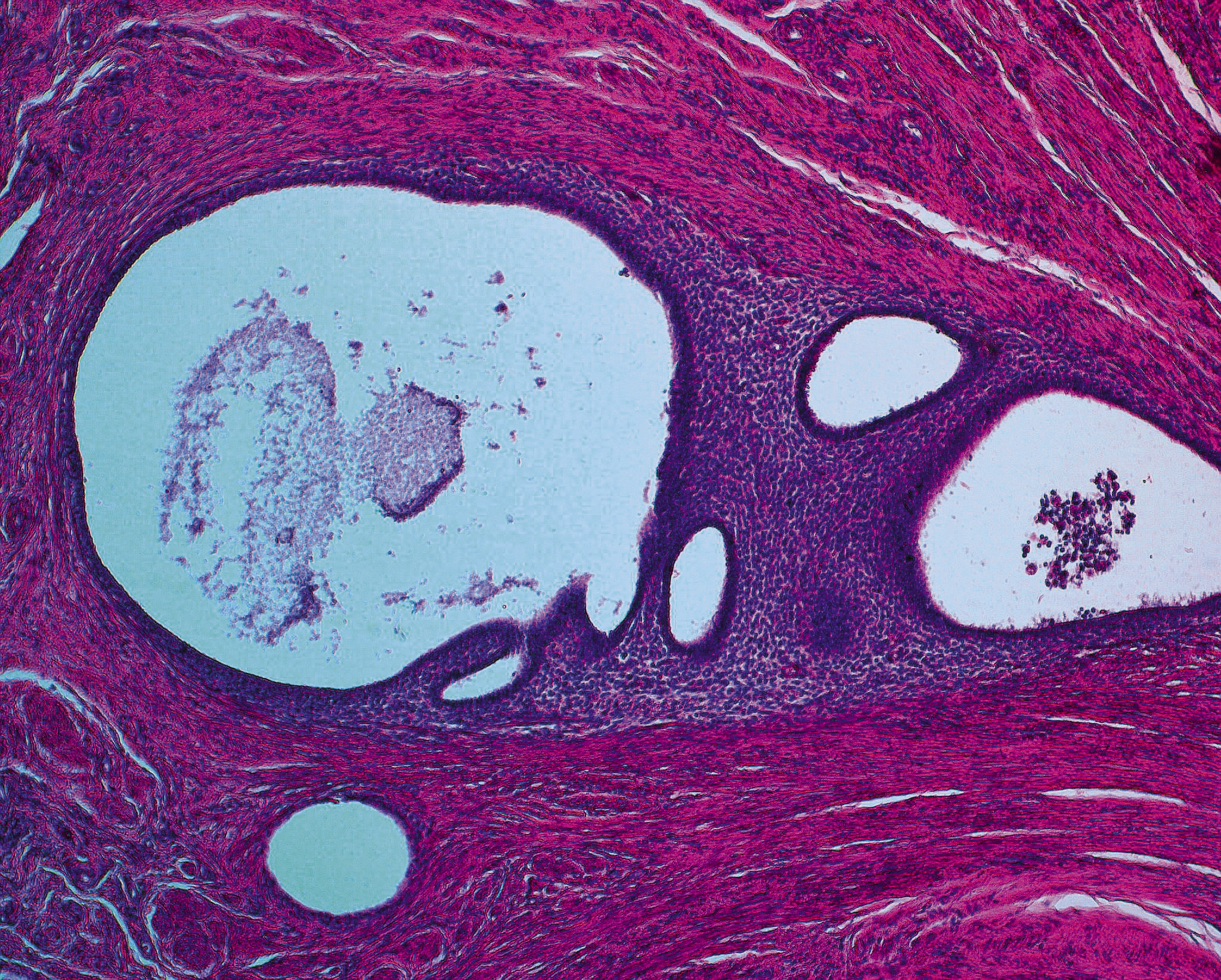
В большинстве эндометриоидных гетеротопий были признаки морфофункциональной активности в виде пролиферативных (рис. 5) и секреторных изменений (рис. 6) как эпителия желез, так и клеток цитогенной стромы.
Рис. 5. Очаг эндометриоза в мышечном слое стенки тонкой кишки с пролиферативными изменениями эпителия желез и клеток цитогенной стромы. Окраска гематоксилином и эозином, ув. ×180 / Fig. 5. Endometriosis focus in the muscular layer of the wall of the small intestine with proliferative changes in the glands and cells epithelium of the cytogenic stroma. Hematoxylin-eosin stain, enl. ×180 time
Рис. 6. Очаг эндометриоза в мышечном слое стенки тонкой кишки с секреторными изменениями эпителия желез и клеток цитогенной стромы. Окраска гематоксилином и эозином, ув. ×240 / Fig. 6. Endometriosis focus in the muscular layer of the wall of the small intestine with secretory changes in the glands and cells epithelium of the cytogenic stroma. Coloring hematoxylin-eosin, enl. ×240 times
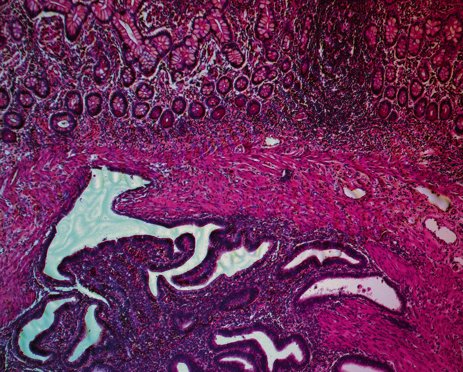
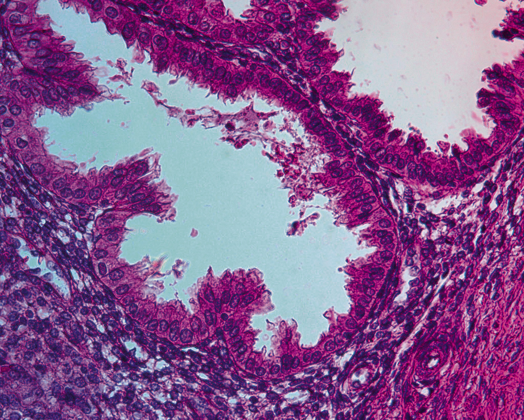
Наряду с этим визуализировались очаги с регрессивными изменениями в виде кистозной трансформации желез, выстланных уплощенным эпителием без признаков функциональной активности, редукцией и начальным фиброзом цитогенной стромы (рис. 7).
Рис. 7. Очаг эндометриоза в мышечном слое стенки тонкой кишки с проявлениями регрессии. Окраска гематоксилином и эозином, ув. ×180 / Fig. 7. Endometriosis focus in the muscular layer of the small intestine wall with manifestations of regression. Coloring hematoxylin-eosin, enl. ×180 times
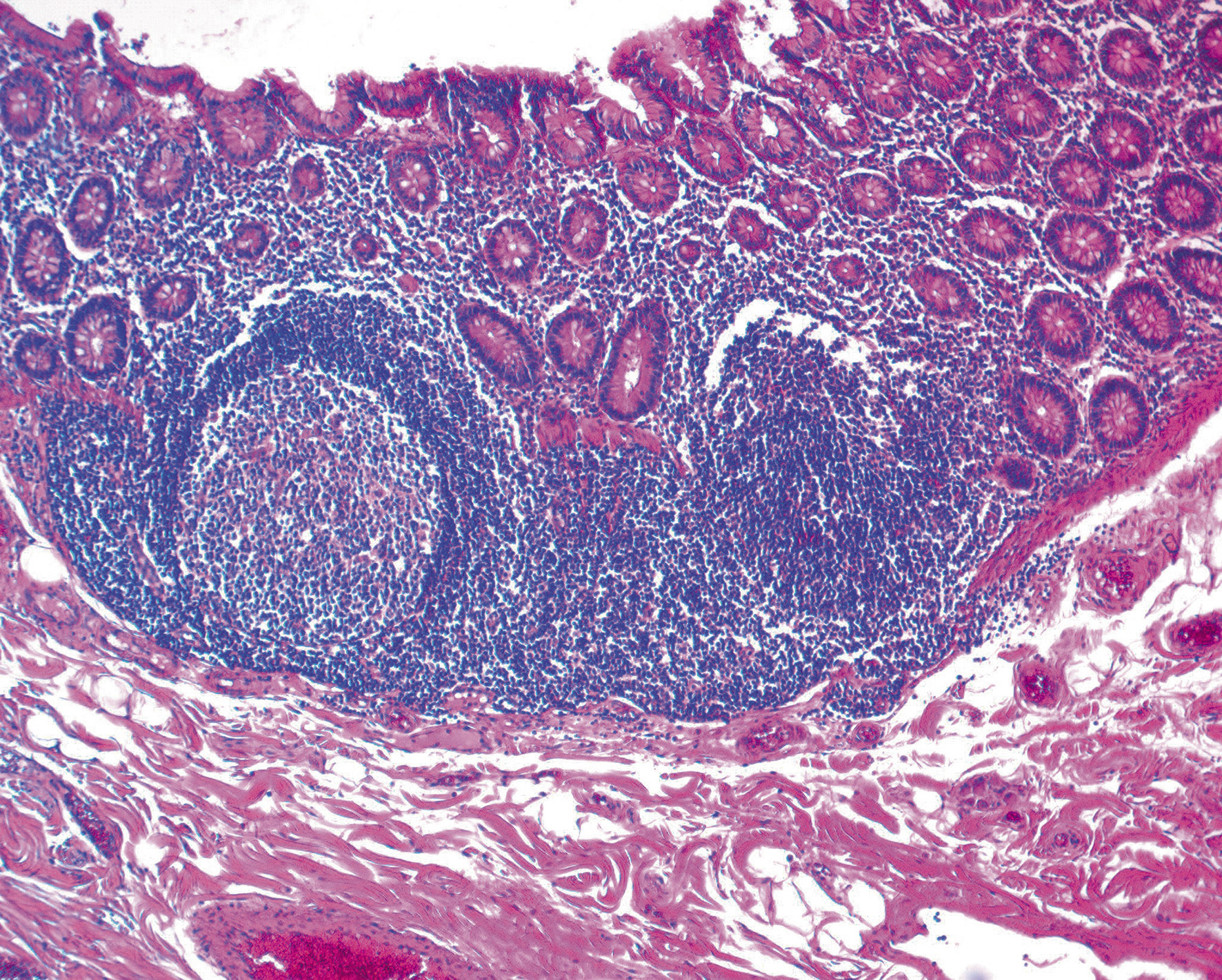
Только в единичных гетеротопиях имели место «старые» и «свежие» кровоизлияния, отложения гемосидерина. Стенка кишки и червеобразного отростка покрыта рассеянной лимфоцитарной инфильтрацией с множественными лимфоидными фолликулами (рис. 8).
Рис. 8. Участок слизистой тонкой кишки с выраженной лимфоцитарной инфильтрацией стромы. Окраска гематоксилином и эозином, ув. ×180 / Fig. 8. A site of the mucous membrane of the small intestine with pronounced lymphocytic infiltration of the stroma. Coloring hematoxylin-eosin, enl. ×180 times
В измененных участках слизистой оболочки тонкой кишки видны явления лимфофолликулярной гиперплазии (рис. 9).
Рис. 9. Слизистая оболочка тонкой кишки с явлениями лимфофолликулярной гиперплазии. Окраска гематоксилином и эозином, ув. ×180 / Fig. 9. The mucous membrane of the small intestine with the lymphofollicular hyperplasia symptoms. Coloring hematoxylin-eosin, enl. ×180 times
Слизистая оболочка аппендикса типового строения. В краях резекции стенка толстой и тонкой кишки типового строения. Четырнадцать лимфатических узлов с гиперплазией лимфоидных фолликулов, гистиоцитозом синусов. Заключение: эндометриоз тонкой кишки и аппендикса.
Заключение
Клинические проявления эндометриоза кишечника разнообразны и зачастую «скрываются» под «маской» различной хирургической патологии, что обусловливает высокий процент гиподиагностики этого заболевания на дооперационном этапе. Это связано, по-видимому, не только с редкостью этой патологии, но и с неправильной трактовкой его симптомов. По клиническим проявлениям при этой патологии можно провести параллель с рядом заболеваний: болезнь Крона, тубоовариальный абсцесс, аппендицит, дивертикулит и псевдодивертикулит, ишемический или язвенный колит, туберкулез и злокачественное новообразование. Существуют такие формы, как хроническая или рецидивирующая боль в животе или дисхезии. В большинстве случаев дифференциальный диагноз особенно затруднен, и чаще всего женщины поступают с жалобами, характерными для острой хирургической патологии: кишечной непроходимости, аппендицита. Большую роль для дифференциальной диагностики играют УЗИ органов малого таза и брюшной полости, МРТ, эндоскопические методы исследования, а также связь клинических симптомов с менструальным циклом.
Современный подход к лечению пациенток, страдающих эндометриозом, заключается в сочетании хирургического метода с морфологической верификацией диагноза и гормономодулирующей терапией. Именно такой подход позволяет предупредить развитие рецидива заболевания. Представленное клиническое наблюдение вследствие его редкой локализации и определенных трудностей диагностики, безусловно, имеет научно-практический интерес.
About the authors
Victoria A. Pechenikova
Northwest State Medical University named after I.I. Mechnikov
Author for correspondence.
Email: p-vikka@mail.ru
PhD, MD professor
Russian Federation, Saint PetersburgAnastasia S. Danilova
Northwest State Medical University named after I.I. Mechnikov
Email: nastenka.danilova.96@mail.ru
Resident
Russian Federation, Saint PetersburgVictoria E. Kvarku
Northwest State Medical University named after I.I. Mechnikov
Email: viktoriya.kvarku@szgmu.ru
Doctor of ultrasound diagnostics
Russian Federation, Saint PetersburgNadezhda N. Ramzaeva
Northwest State Medical University named after I.I. Mechnikov
Email: dr.ramzaeva@mail.ru
Оbstetrician-gynecologist
Russian Federation, Saint PetersburgReferences
- Adamyan LV, Zayratyants OV, Maksimova YuV, et al. Novyye patogeneticheskiye aspekty rasprostranennogo infil'trativnogo endometrioza: teorii i praktika. Problemy reproduktsii. 2010;(4):31–36. (In Russ.)
- Endometrioidnaya bolezn'. Ed. by Baskakovа VP, Tsvelevа YuV, Kiri YeF. Saint Petersburg: Izdatel'stvo N-L; 2002. 460 p. (In Russ.)
- Pechenikova VA, Kostyuchek DF. To the question of clinical characteristics of extragenital endometriosis with diverse organ localization. Vestnik Rossijskoj Voenno-medicinskoj akademii. 2010;3(31):61–66.(In Russ.)
- Harbitz HF. Postoperative scar endometriosis. Acta Chir. Scand. 1934;74(30):400.
- Cirillo F. Endometriosis of the caecum and ileo-caecal valve. A case report and review of the literature. Chir. Ital. 2008;60(4):603–606.
- Bessmertnaya VS, Galil-Ogly GA, Samoylov MV. Endometrioz sigmovidnoy kishki. Arkhiv patologii. 2001;67(3):43. (In Russ.)
- Berlanda N, Vercellini P, Fedele L. The outcomes of repeat surgery for recurrent symptomatic endometriosis. Curr. Opin. Obstet. Gynicol. 2010;22(4):320–325.
- Fujimoto A. Successful laporoscopic treatment of ileo–cecalendmetriosis producing bowel obstruction. J. Obstet. Gynaecol. Res. 2001;27(4):221–223.
- Emmanuel R, Léa M, Claude P, et al. Ileocolic intussusception due to a cecal endometriosis: case report and review of literature. Diagn. Pathol. 2012;7(1):62.
Supplementary files












