Обоснование подходов к построению классификации боевых ранений черепа и головного мозга, нанесенных современным оружием
- Авторы: Орлов В.П.1, Мирзаметов С.Д.1
-
Учреждения:
- Военно-медицинская академия им. С.М. Кирова
- Выпуск: Том 27, № 3 (2025)
- Страницы: 321-330
- Раздел: Оригинальное исследование
- Статья получена: 07.04.2025
- Статья одобрена: 02.06.2025
- Статья опубликована: 15.09.2025
- URL: https://journals.eco-vector.com/1682-7392/article/view/678185
- DOI: https://doi.org/10.17816/brmma678185
- EDN: https://elibrary.ru/KLLBGI
- ID: 678185
Цитировать
Аннотация
Обоснование. Классификация огнестрельных ранений черепа и головного мозга была разработана в период Великой Отечественной войны. Огнестрельные ранения настоящего времени отличаются от ранений прошлых войн еще большим их разнообразием, тяжестью, обширностью зоны поражения тканей черепа и головного мозга по периферии от раневого канала. Кроме того, разработаны новые методики диагностики, позволяющие выявить ранее не описанные ходы раневых каналов головного мозга, считавшимися, как правило, фатальными. Поэтому назрела необходимость в создании современной классификации огнестрельных ранений черепа и головного мозга.
Цель — усовершенствовать базисную классификацию огнестрельных ранений черепа и головного мозга и внести в нее современные клинико-анатомические особенности для построения развернутого клинического диагноза.
Методы. Проанализированы данные обследования и лечения двух групп раненых. Первую группу составили 127 раненых с огнестрельными черепно-мозговыми ранениями, лечившихся в условиях армейского специализированного госпиталя (Афганская война). Во вторую группу вошли 67 раненых (участники современного вооруженного конфликта), получивших лечение в клинике нейрохирургии Военно-медицинской академии им. С.М. Кирова.
Результаты. Разработана современная клинико-анатомическая классификация огнестрельных ранений черепа и головного мозга, в состав которой включены ранения задней черепной ямки (мозжечка и ствола головного мозга). На основании предложенной классификации появляется возможность проведения более точной по тяжести ранения медицинской сортировки раненых и определения очередности оказания им хирургической помощи, в том числе при массовом поступлении. Установлено, что в первую очередь в хирургической обработке нуждаются раненые, у которых раневой канал проходит через кору и белое вещество головного мозга. При этом чем более конвекситально проходит раневой канал, тем меньше повреждение головного мозга. После стабилизации жизненно важных функций операции выполняют тем раненым, у которых раневой канал проходит через 1-ю (подкорковые образования, желудочки и ствол головного мозга) и 2-ю (кора головного мозга и полушария мозжечка) зоны мозга. Прогноз у этой категории раненых будет зависеть от тяжести и объема повреждения жизненно важных структур головного мозга.
Заключение. Разработанная клинико-анатомическая классификация позволяет уточнить характер огнестрельных черепно-мозговых ранений, целенаправленно проводить медицинскую сортировку поступающих раненых, определять очередность оказания им хирургической помощи, а также определять прогноз и исход черепно-мозговых ранений.
Полный текст
ОБОСНОВАНИЕ
Классификация огнестрельных черепно-мозговых ранений (ЧМР) была создана, исходя из опыта, полученного в период Великой Отечественной войны. В последние 10–15 лет разработаны новые виды огнестрельного оружия, что привело к значительному увеличению его поражающего действия. Более разнообразными стали ранящие снаряды по своим баллистическим характеристикам, скорости полета, материалам, из которых они изготовлены [1, 2]. Поэтому огнестрельные ранения настоящего времени отличаются от ран прошлых войн еще большим разнообразием, тяжестью, обширностью зоны поражения тканей по периферии от раневого канала [3, 4]. Течение раневого процесса в огнестрельной ране определяют многие факторы, однако ведущие — характер и объем зоны нежизнеспособных тканей, от которых во многом будет зависеть исход ранения [5]. Кроме того, есть работы, доказывающие токсичность и канцерогенность применяемых в настоящее время металлических осколков [6–8].
Помимо кинетической энергии ранящего снаряда большое значение на течение раневого процесса при проникающих ЧМР также принадлежит и характеру раневого канала. Важны его глубина и обширность разрушений вещества головного мозга (ГМ), а также близость зоны раневого канала к жизненно важным образованиям (подкорковые структуры и ствол ГМ) [9].
Ранение подкорковых образований влечет за собой особую тяжесть повреждения ГМ. Подкорковые узлы многофункциональны и участвуют в обеспечении координации сложных двигательных актов, процессов ауторегуляции в организме (обмен веществ, иммунная, гормональная системы, биоритмические процессы и т. п.), подсознательных и бессознательных процессов психической деятельности [10–12]. Поэтому ранения подкорковых образований одновременно с корой ГМ — наиболее тяжелые ранения, часто приводящие к неблагоприятным исходам.
В период Великой Отечественной войны пулевые ранения задней черепной ямки, как правило, были смертельными, и раненые солдаты погибали на поле боя. Поэтому в классификацию проникающих ЧМР они не были включены [13]. Однако в современных локальных высокотехнологичных боевых действиях превалируют минно-взрывные ранения (МВР), (mine-explosive wounds — MEW), которые носят сочетанный и комбинированный характер, один из поражающих факторов которых — металлические осколки (шрапнель). Среди раненых с огнестрельными осколочными ранениями задней черепной ямки есть раненые, которых доставляют на этап специализированной медицинской помощи с поражением не только мозжечка, но и ствола ГМ. Несмотря на тяжесть ранения, есть немало случаев, когда раненые выживают после выполнения им первичной хирургической обработки (ПХО).
После оснащения этапов специализированной медицинской помощи современной рентгенологической аппаратурой и спиральным компьютерным томографом появилась возможность лучше диагностировать повреждения черепа, видеть ход раневого канала с костными отломками и металлическими инородными телами, верифицировать травматические изменения в ГМ, включая все виды гематом и повреждений костей черепа.
Для общего понимания в плане диагностики, постановки правильного диагноза, сортировки и очередности оказания хирургической помощи необходима современная классификация огнестрельных ЧМР.
Цель исследования — усовершенствовать базисную классификацию огнестрельных ЧМР на основе клинико-анатомических особенностей для построения развернутого клинического диагноза, который будет отражать тяжесть, характер ранения и исходы лечения, а также послужит руководством к сортировке раненых на этапе специализированной медицинской помощи и очередности оказания им хирургической помощи.
МЕТОДЫ
В ретроспективное исследование включены 194 пострадавших, получивших ЧМР в условиях Афганской войны и в условиях высокотехнологичных боевых действий при современном вооруженном конфликте, составивших две группы. Для определения тяжести и характера ЧМР проанализированы данные обследования и лечения раненых обеих групп, находящихся на этапе специализированной медицинской помощи. Чтобы понять необходимость усовершенствования базисной классификации огнестрельных ранений черепа и головного мозга, важно было показать принципиальные различия (а не сопоставимость) в этих группах, связанные с характером ведения боевых действий в войне ХХ в. и в современной высокотехнологичной войне XXI в.
Первую группу составили 127 раненых в острый период огнестрельных ЧМР, которые проходили лечение в условиях армейского специализированного госпиталя (Афганская война). Возраст большинства (120) раненых составил 18–20 лет, 6 раненых — 21–30 лет, одного — 37 лет. Алгоритм обследования раненых 1-й группы представлен в табл. 1.
Таблица 1. Алгоритм обследования раненых 1-й группы
Способ и методики обследования | Цель обследования |
Оценка общего состояния | Оценить витальные функции и общее состояние (удовлетворительное, средней тяжести, тяжелое, крайне тяжелое, терминальное) |
Неврологический осмотр | Определить нарушение сознания по шкале комы Глазго, величину зрачков, реакцию их на свет, движения глазных яблок. Оценить общемозговую и очаговую симптоматику (парезы, параличи и др.), функции тазовых органов, выявить менингеальный синдром |
Хирургический осмотр | Определить наличие/отсутствие продолжающегося наружного кровотечения, ликвореи. Выявить наличие изолированного или сочетанного (единичного, множественного) ранения черепа и головного мозга, характер сочетанного ведущего ранения (головы, груди, живота и конечностей) |
Краниография, эхоэнцефалоскопия, электрокардиография, люмбальная пункция, лабораторные исследования (общий анализ крови, ликвора и мочи, определение резус-фактора) | Уточнить характер ранения и смещение срединных структур головного мозга при ушибах мозга и внутричерепных гематомах |
Осмотр смежных специалистов (оториноларинголог, офтальмолог, хирург, травматолог и др.) | Привлечь при необходимости во время хирургического осмотра и в послеоперационном периоде смежных специалистов |
Во вторую группу вошли 67 раненых (участники современного вооруженного конфликта). Выборку проводили произвольно по мере поступления раненых в клинику нейрохирургии Военно-медицинской академии им. С.М. Кирова с этапа специализированной медицинской помощи (4-й уровень) после оказания им необходимой медицинской помощи и оперативного лечения. Возраст большинства раненых (30) составил 41–65 лет, 16 раненых — 31–40 лет, 11 человек — 21–29 лет. Практически у всех раненых, за исключением одного, были минно-взрывные сочетанные и множественные ранения. В клинику нейрохирургии они поступали на 4–8-е сутки после ранения, и большинство — после выполнения им ПХО. Алгоритм обследования раненых 2-й группы представлен в табл. 2.
Таблица 2. Алгоритм обследования раненых 2-й группы
Способ и методики обследования | Цель обследования |
Оценка общего состояния | Оценить витальные функции и общее состояние (удовлетворительное, средней тяжести, тяжелое, крайне тяжелое, терминальное) |
Неврологический осмотр | Определить нарушение сознания по шкале комы Глазго, величину зрачков, реакцию их на свет, движения глазных яблок. Оценить общемозговую и очаговую симптоматику (парезы, параличи и др.), функции тазовых органов, выявить менингеальный синдром |
Хирургический осмотр | Выявить наличие изолированного или сочетанного (единичного, множественного) ранения черепа и головного мозга, характер сочетанного ведущего ранения (головы, шеи, груди, живота, таза, позвоночника и конечностей) |
Спиральная компьютерная томография, компьютерная томографическая ангиография, электрокардиография, люмбальная пункция, лабораторные исследования (общий анализ крови, ликвора и мочи, определение резус-фактора) | Уточнить характер и локализацию раневого канала (контузионные очаги, гематомы, костные отломки, металлические осколки, а также наличие смещения срединных структур головного мозга) |
Селективная ангиография сосудов головного мозга | Диагностировать наличие травматических артериальных аневризм головного мозга после огнестрельных проникающих ранений черепа и головного мозга |
Осмотр смежных специалистов (оториноларинголог, офтальмолог, челюстно-лицевой хирург, хирург, травматолог и терапевт) | Привлечь при необходимости во время хирургического осмотра смежных специалистов |
Раненые с краниоспинальными ранениями на этап специализированной помощи не поступали.
Исследование одобрено локальным этическим комитетом Военно-медицинской академии им. С.М. Кирова (протокол № 305 от 22.07.2025).
Статистический анализ полученных данных проводили с помощью программ Microsoft Excel 2010 (Microsoft Corporation, США).
РЕЗУЛЬТАТЫ И ОБСУЖДЕНИЕ
Установлено, что у пострадавших 1-й группы по характеру ранящего снаряда осколочные ранения были в 62,8% случаев, пулевые — в 37,2%. Наиболее легкие — ранения мягких тканей, которые диагностированы у 43 (33,9%) раненых, получивших огнестрельные ранения, из них осколочные ранения выявлены у 31, а пулевые — у 12 раненых. Несмотря на то, что ранения мягких тканей черепа относят к группе легких ранений, они в 13 случаях сопровождались клиникой черепно-мозговой травмы. Сотрясение ГМ отмечено у 9 раненых, ушиб ГМ с субарахноидальным кровоизлиянием — у 4. При поступлении большинство раненых в мягкие ткани мозгового черепа находились в ясном сознании (15 баллов по шкале комы Глазго — ШКГ), у 3 было сопорозное состояние сознания (8 баллов по ШКГ).
Непроникающие ранения черепа у раненых 1-й группы диагностированы у 19 (14,9%) человек. Осколочные ранения были у 11 раненых, пулевые — у 8. При поступлении большинство раненых находились в ясном сознании и удовлетворительном состоянии, и только у 7 выявлены различные степени нарушения сознания: от умеренного оглушения до сопора (от 13 до 8 баллов по ШКГ). При поступлении у всех раненых отмечена общемозговая неврологическая симптоматика. При постепенном регрессировании общемозговых расстройств проявлялась очаговая неврологическая симптоматика.
Из 65 (51,2%) раненых с проникающими ЧМР изолированные ранения были у 42 пациентов, из них с множественными ранениями — 3. По характеру ранящего снаряда осколочные ранения были у 27 (41,5%) раненых, пулевые — у 38 (58,4%). По характеру раневого канала слепые проникающие ранения выявили у 21 пострадавшего, из них у 8 были простые слепые проникающие ЧМР, у 4 — радиальные, у 5 — сегментарные и у 4 — диаметральные ранения. При слепых радиальных и диаметральных ЧМР с повреждением стенки желудочков ГМ наблюдали наружную ликворею.
Касательные проникающие ранения выявили в 10 наблюдениях, сквозные — в 18 и рикошетирующие — в 6. Общее состояние раненых со слепыми простыми проникающими ЧМР и касательными проникающими ранениями было удовлетворительным или средней тяжести. У раненых с радиальными и диаметральными слепыми ранениями черепа и ГМ общее состояние было тяжелым, наблюдали утрату сознания от глубокого оглушения до запредельной комы (от 11 до 3 баллов по ШКГ). 18 раненых со сквозными проникающими ранениями черепа были наиболее тяжелыми среди всех пострадавших с проникающими ранениями.
Следует заметить, что 44,5% раненых 1-й группы с проникающими ЧМР доставлены на этап специализированной медицинской помощи через 6 ч с момента ранения, в течение 1-х суток — 33,6%, на 2-е и 3-е сутки — 18,1% и на 4-е сутки — 3,8%. В этот период превалировала общемозговая неврологическая симптоматика над очаговыми симптомами. Из 65 раненых с проникающими ЧМР, доставленными в армейский госпиталь, у 55 отмечали различные степени нарушения сознания.
Наиболее тяжелая степень утраты сознания — кома, от умеренной до запредельной — была у 31 раненого, сопорозное состояние — у 11 и умеренное оглушение — у 13 человек. В ясном сознании находились 10 раненых. В состоянии шока, связанного с массивной кровопотерей и сочетанным ранением других органов, доставлено 13 раненых, у 6 из них наблюдали стволовые симптомы.
Наиболее тяжелыми среди сквозных и слепых проникающих ранений черепа были сегментарные, радиальные и диаметральные пулевые ранения, которые в большинстве случаев, заканчивались летальным исходом на 2–5-е сутки с момента ранения, так как сопровождались обширными, часто несовместимыми с жизнью повреждениями вещества ГМ.
В результате МВР у 4 раненых 2-й группы в мягкие ткани были сочетанные осколочные ранения, у 3 — множественные. Кроме того, у госпитализированных в клинику нейрохирургии раненых во всех случаях при обследовании на спиральной компьютерной томографии ГМ выявлены контузионные очаги I и II вида и в одном наблюдении — пластинчатая субдуральная гематома. Все поступившие в клинику нейрохирургии пациенты находились в ясном сознании (15 баллов по ШКГ) и в удовлетворительном состоянии.
У 6 раненых с непроникающими ранениями в результате МВР были сочетанные и множественные ранения. У всех пациентов 2-й группы при спиральной компьютерной томографии ГМ выявлены контузионные очаги 4 видов, у 4 раненых контузионные очаги сопровождались внутримозговыми гематомами, что было связано с ранением сосудов ГМ. При поступлении 4 раненых находились в состоянии умеренного оглушения (13 баллов по ШКГ) и двое — в ясном сознании, их состояние расценивали как удовлетворительное.
Наиболее тяжелыми были 57 раненых с проникающими ЧМР, из них 39 доставлено в клинику в сознании (ясное, умеренное оглушение от 13 до 15 баллов по ШКГ). В коматозном состоянии (кома I, II от 6 до 5 баллов по ШКГ) поступило 18 пациентов, из которых 4 находились на искусственной вентиляции легких.
Из поступивших раненых с проникающими ЧМР 29,8% нуждались в расширенной повторной хирургической обработке по поводу не удаленных костных, глубоко лежащих металлических осколков, передних парабазальных ранений с повреждением лобных пазух и орбиты, ранений задней черепной ямки и ствола ГМ. Кроме того, в 10,4% случаев раненым с начинающимися инфекционными осложнениями выполняли повторные операции.
Данные о характере черепно-мозговых ранений у пациентов 2-й группы представлены в табл. 3.
Таблица 3. Характер черепно-мозговых ранений у пациентов 2-й группы, абс. число
Ранение | Минновзрывное | Пулевое | Осколочное |
Мягких тканей Непроникающее (до твердой мозговой оболочки) Проникающее: – касательное – рикошетирующее Слепое: – простое – сегментарное – радиальное – диаметральное Сквозное: – сегментарное – диаметральное Диагональное Парабазальное: – переднее (лобно-орбитальное) – среднее (височно-сосцевидное) – заднее (задней черепной ямки и краниоспинальное) | 4 | – | 4 |
6 | – | 6 | |
56 9 2 30 13 5 6 6 0 0 0 2 15 7 2 6 | 1 1 – – – – – – 0 0 0 – – – – – | 56 9 2 30 13 5 6 6 0 0 0 2 15 7 2 6 |
При сопоставлении данных обследования и лечения раненых обеих групп отчетливо видна разница в частоте и характере ЧМР. Так, в 1-й группе разница между осколочными и пулевыми ранениями составила 25,6%. Во 2-й группе все ранения, за исключением одного с пулевым касательным ранением, были осколочными, сочетанными, множественными и у двоих раненых комбинированными (ожог). Кроме того, во 2-й группе полностью отсутствовали сквозные ЧМР. По тяжести состояния и ходу раневого канала достоверной разницы между группами не выявлено (табл. 4).
Таблица 4. Состояние тяжести раненых обеих групп в зависимости от характера черепно-мозговых ранений
Ранение | Общее состояние | Сознание | Витальные функции |
Мягкие ткани Непроникающее Проникающее: – касательное – простое слепое – сегментарное (в пределах одной доли головного мозга) – рикошетирующее – переднее парабазальное | Удовлетворительное Средней степени тяжести | Ясное, оглушение умеренное, глубокое, сопор (от 15 до 8 баллов по шкале комы Глазго) | Не нарушены |
Проникающие огнестрельные: – диагональное – сегментарное двуполушарное (слепое, сквозное) – радиальное одно- и двуполушарное – диаметральное (сквозное, слепое) Парабазальные: – височно-сосцевидные – задняя черепная ямка (мозжечок, ствол головного мозга) | Тяжелое, крайне тяжелое, терминальное. | Сопор, кома I, II, запредельная (от 8 до 3 баллов по шкале комы Глазго) | Нарушены (искусственная вентиляция легких, трахеостома, нарушения гемодинамики) |
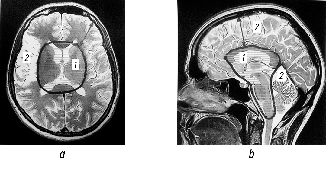
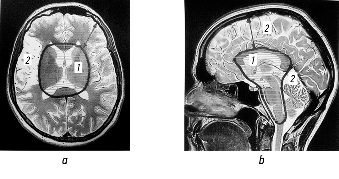
С опорой на данные табл. 4, структуры ГМ (по данным магнитно-резонансной томографии) были условно разделены на две анатомические зоны (рис. 1).
Рис. 1. Условное разделение головного мозга на зоны: a — сагиттальный срез; b — аксиальный срез. 1 — подкорковые образования, желудочки и ствол головного мозга; 2 — кора головного мозга и полушария мозжечка.
На основании тяжести огнестрельных ЧМР все ранения 2-й зоны также условно можно разделить на раневые каналы, проходящие ближе к конвекситальной поверхности ГМ, как более легкие, раневые каналы, проходящие ближе к 1-й зоне, как более тяжелые. К ним относят огнестрельные ранения мягких тканей, сопровождающиеся формированием контузионных очагов I и II вида и внутримозговых кровоизлияний, непроникающие ранения также с формированием контузионных очагов III и IV вида и внутричерепными гематомами и наружной желудочковой ликвореей. Среди проникающих ЧМР — это касательные проникающие ранения, простое слепое, сегментарное в пределах одной доли ГМ, рикошетирующие и передние парабазальные ранения в сочетании с повреждением лобных пазух и стенок орбиты. Все эти раненые после ПХО выжили и были переведены для дальнейшей реабилитации с различными очаговыми неврологическими нарушениями.
Все огнестрельные (пулевые и осколочные) ранения, раневой канал которых проходил через обе зоны, были наиболее тяжелыми. К ним относят проникающие огнестрельные ранения: диагональное, сегментарное двуполушарное (слепое, сквозное), радиальное одно- и двуполушарное, диаметральное и парабазальные ранения височно-сосцевидное, а также ранения задней черепной ямки. Среди этих раненых после ПХО часто наблюдали летальные исходы, у выживших — вегетативное состояние.
Возможности спиральной компьютерной томографии ГМ на этапе специализированной медицинской помощи позволяют установить диагноз не по входному отверстию на черепе, а по пораженным долям и структурам ГМ. Примеры форм расширенного диагноза: 1) минно-взрывное ранение (сочетанное, комбинированное); 2) огнестрельное осколочное проникающее слепое простое ранение левой лобной доли головного мозга с формированием контузионного очага IV вида; 3) дырчатый перелом лобной кости слева; 4) сочетанное ранение (например, шеи, позвоночника, груди, живота, таза и конечностей); 5) комбинированное ранение (например, ожоги, отморожения, лучевые воздействия); 6) выполненные оперативные вмешательства (дата); 7) сопутствующие заболевания.
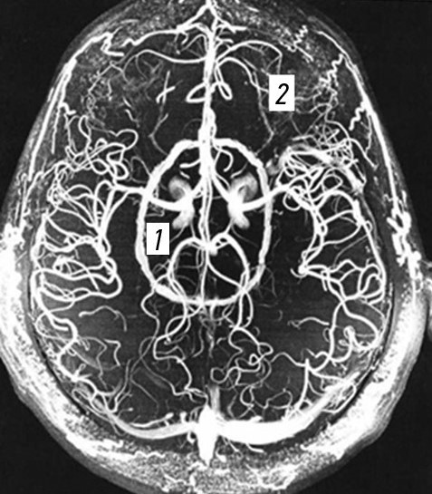
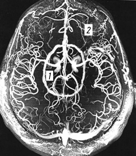
На рис. 2 представлены зоны поражения сосудов ГМ при огнестрельных проникающих черепно-мозговых ранениях.
Рис. 2. Магнитно-резонансная ангиография головного мозга с зонами расположения сосудов: 1 — сосуды подкорковых образований, желудочков и ствола головного мозга; 2 — сосуды коры головного мозга.
Ходы раневых каналов при огнестрельных проникающих осколочных ранениях черепа и ГМ, также примеры диагнозов продемонстрированы на рис. 3–7.
Рис. 3. Огнестрельные проникающие слепые простые и радиальные ранения черепа и головного мозга. Примеры диагнозов: 1 — минно-взрывное ранение (МВР). Огнестрельное осколочное слепое проникающее простое ранение правой лобной доли головного мозга; 2 — МВР. Огнестрельное осколочное слепое проникающее радиальное ранение правой лобной доли головного мозга; 3 — МВР. Огнестрельное осколочное слепое проникающее радиальное двуполушарное ранение левой теменной доли головного мозга.
Рис. 4. Огнестрельные проникающие сегментарные ранения черепа и головного мозга. Примеры диагнозов: 1 — минно-взрывное ранение (МВР). Огнестрельное осколочное слепое (сквозное) проникающее двуполушарное сегментарное ранение лобных долей головного мозга; 2 — МВР. Огнестрельное осколочное слепое (сквозное) проникающее сегментарное ранение правой лобной доли головного мозга; 3 — МВР. Огнестрельное осколочное слепое (сквозное) проникающее сегментарное ранение левой лобной и теменной доли головного мозга; 4 — МВР. Огнестрельное осколочное слепое (сквозное) проникающее двуполушарное сегментарное ранение теменных долей головного мозга; 5 — МВР. Огнестрельное осколочное слепое (сквозное) проникающее сегментарное двуполушарное рикошетирующее ранение левой теменной и правой затылочной доли головного мозга.
Рис. 5. Огнестрельные проникающие диаметральные ранения черепа и головного мозга. Примеры диагнозов: 1 — минно-взрывное ранение (МВР). Огнестрельное осколочное слепое (сквозное) проникающее диаметральное ранение лобных долей головного мозга; 2 — МВР. Огнестрельное осколочное слепое (сквозное) проникающее диаметральное ранение левой лобной и правой теменной долей головного мозга; 3 — МВР. Огнестрельное осколочное слепое (сквозное) проникающее диаметральное ранение левой теменной и правой лобной долей головного мозга; 4 — МВР. Огнестрельное осколочное слепое (сквозное) проникающее диаметральное парамедианное ранение правой лобной, теменной и затылочной долей головного мозга; 5 — МВР. Огнестрельное осколочное сквозное проникающее незавершенное диаметральное ранение правой теменной и левой лобной долей головного мозга.
Рис. 6. Огнестрельные проникающие диагональные и парабазальные ранения черепа и головного мозга. Примеры диагнозов: 1 — минно-взрывное ранение (МВР). Огнестрельное осколочное слепое (сквозное) проникающее переднее парабазальное ранение лобной доли головного мозга; 2 — МВР. Огнестрельное осколочное слепое (сквозное) проникающее диагональное ранение лобной доли головного мозга; 3 — МВР. Огнестрельное осколочное слепое (сквозное) проникающее диагональное ранение затылочной доли и полушария мозжечка; 4 — МВР. Огнестрельное осколочное слепое (сквозное) проникающее ранение затылочной доли, полушария мозжечка и ствола головного мозга; 5 — МВР. Огнестрельное осколочное слепое (сквозное) проникающее парабазальное ранение ствола головного мозга.
Рис. 7. Огнестрельные проникающие касательные, неполные и рикошетирующие ранения черепа и головного мозга. Примеры диагнозов: 1 — минно-взрывное ранение (МВР). Огнестрельное осколочное (пулевое) проникающее рикошетирующее ранение правой лобной доли головного мозга; 2 — огнестрельное пулевое проникающее неполное ранение левой лобной доли головного мозга; 3 — МВР. Огнестрельное осколочное (пулевое) проникающее касательное ранение левой лобной доли головного мозга.
В целом, данные, полученные при обследовании и лечении раненых 2-й группы, показали, что ведение современных высокотехнологичных боевых действий приводит в основном к множественным, сочетанным и комбинированным МВР с поражением головы, груди, живота и конечностей. Поэтому на основании предложенной далее клинико-анатомической классификации появляется возможность проведения более точной по тяжести ранения медицинской сортировки раненых и определения очередности оказания им хирургической помощи, в том числе при массовом поступлении раненых. Для этого использовали алгоритм обследования, применяемый во 2-й группе (см. табл. 2).
Установлено, что в первую очередь в хирургической обработке нуждаются наиболее перспективные в плане жизни и выздоровления раненые, у которых раневой канал находится во 2-й зоне, то есть проходит через кору и белое вещество ГМ. При этом чем более конвекситально проходит раневой канал, тем меньше повреждение головного мозга и, следовательно, можно ожидать лучший исход после выполнения ПХО.
После стабилизации жизненно важных функций операции выполняют тем раненым, у которых раневой канал проходит через обе зоны. Прогноз у этой категории раненых будет зависеть от тяжести и объема повреждения жизненно важных структур ГМ, что в конечном итоге будет определять исход лечения и прогноз для жизни. В случае возникновения инфекционных осложнений прогноз для жизни становится менее благоприятным.
Таким образом, оценив принципиальные межгрупповые различия, связанные с характером ведения боевых действий в войне ХХ в. и в современной высокотехнологичной войне XXI в. была составлена современная клинико-анатомическая классификация боевых ранений черепа и ГМ, нанесенных современным оружием.
Клинико-анатомическая классификация боевых ранений черепа и головного мозга, нанесенных современным оружием
Минно-взрывные ранения. Сочетания: голова, шея, позвоночник, грудь, живот, таз и конечности.
Сторона ранения, одиночные, множественные, комбинированные: ожог, обморожение, лучевое воздействие.
Анатомические структуры головного мозга: кора головного мозга и белое вещество:
- 2-я зона (ближе к коре более легкие ранения, ближе к 1-й зоне — более тяжелые);
- 1-я зона — подкорковые образования, ствол головного мозга.
Вид ранящего снаряда: пулевые, осколочные, иные виды.
Характер ранения: мягкие ткани, непроникающие, проникающие.
Проникающие (по виду раневого канала):
- слепые: простые, сегментарные (в пределах одной, двух долей головного мозга, двуполушарные, двуполушарные с внутренним рикошетом) — 2-я зона, рикошетирующие — 2-я зона; диагональные — 2–1-я зоны, радиальные (одно-/двуполушарные) — 2–1-я зоны, диаметральное (двуполушарное) — 2–1–2-я зоны;
- сквозные: касательные — 2-я зона, сегментарные (в пределах одной, двух долей головного мозга, двуполушарные) — 2-я зона, диаметральные (двуполушарные) — 2–1–2-я зоны.
Локализация ранения по долям головного мозга: лобная, теменная, височная, затылочная.
Парабазальные: лобно-орбитальные, височно-сосцевидные — 2-я зона, краниоспинальные — полушария мозжечка — 2-я зона, ствол головного мозга (слепые, сквозные) — 1-я зона.
Виды перелома черепа: неполный (наружная пластинка), линейный, вдавленный, оскольчатый, дырчатый, раздробленный.
Внутричерепные повреждения:
- 2-я зона: сотрясение ГМ, ушиб ГМ, субарахноидальное кровоизлияние, контузионные очаги I–IV вида, сдавление головного мозга, эпи-/субдуральные гематомы вдавленные переломы, ранение вены Галена и области слияния синусов твердой мозговой оболочки, формирование посттравматических аневризм головного мозга, костные отломки, металлические осколки в раневом канале;
- 1-я зона: контузионные очаги I–IV вида, паренхиматозные гематомы с прорывом крови в желудочки головного мозга с возможной их тампонадой, ранение подкорковых узлов, ствола головного мозга, наружная желудочковая ликворея.
ЗАКЛЮЧЕНИЕ
Предложенная клинико-анатомическая классификация позволяет уточнить характер ранения ГМ, что дает возможность на этапе специализированной медицинской помощи (4-й уровень) более точно проводить медицинскую сортировку поступающих раненых, выделяя ведущее повреждение, определять очередность оказания хирургической помощи и прогноз для дальнейшей эвакуации, а также исход ЧМР.
ДОПОЛНИТЕЛЬНАЯ ИНФОРМАЦИЯ
Вклад авторов. В.П. Орлов — разработка общей концепции, анализ данных, написание статьи; С.Д. Мирзаметов — дизайн исследования, анализ данных. Авторы одобрили версию для публикации, а также согласились нести ответственность за все аспекты работы, гарантируя надлежащее рассмотрение и решение вопросов, связанных с точностью и добросовестностью любой ее части.
Этическая экспертиза. Исследование одобрено локальным этическим комитетом Военно-медицинской академии им. С.М. Кирова (протокол № 305 от 22.07.2025). Авторами получено письменное разрешение пациента на использование данного МРТ-изображения.
Согласие на публикацию. Авторы получили письменное информиро-ванное добровольное согласие пациентов на публикацию персональных данных в научном журнале, включая его электронную версию.
Источник финансирования. Авторы заявляют об отсутствии внешнего финансирования при проведении исследования.
Раскрытие интересов. Авторы заявляют об отсутствии отношений, деятельности и интересов за последние три года, связанных с третьими лицами (коммерческими и некоммерческими), интересы которых могут быть затронуты содержанием статьи.
Оригинальность. При создании настоящей работы авторы не использовали ранее опубликованные сведения (текст, иллюстрации, данные).
Доступ к данным. Все данные, полученные в настоящем исследовании, доступны в статье.
Генеративный искусственный интеллект. При создании настоящей статьи технологии генеративного искусственного интеллекта не использовали.
Рассмотрение и рецензирование. Настоящая работа подана в журнал в инициативном порядке и рассмотрена по обычной процедуре. В рецензировании участвовали два рецензента: внутренний и внешний.
Об авторах
Владмир Петрович Орлов
Военно-медицинская академия им. С.М. Кирова
Автор, ответственный за переписку.
Email: vmeda-nio@mil.ru
ORCID iD: 0000-0002-5009-7117
SPIN-код: 9790-6804
д-р мед. наук, профессор
Россия, Санкт-Петербург, ул. Академика Лебедева, д. 6ЖСаидмирзе Джамирзоевич Мирзаметов
Военно-медицинская академия им. С.М. Кирова
Email: said19mirze@mail.ru
ORCID iD: 0000-0002-1890-7546
SPIN-код: 5959-1988
канд. мед. наук
Россия, Санкт-ПетербургСписок литературы
- Zhang JK, Botterbush KS, Bagdady K, et al. Blast-related traumatic brain injuries secondary to thermobaric explosives: implications for the war in Ukraine. World Neurosurgery. 2022;167:176–183. doi: 10.1016/j.wneu.2022.08.073 EDN: TDJOTQ
- Listratenko DA, Kardash AM, Fistal EY, et al. Diagnostics and treatment of patients with gunshot injuries of the skull and brain in the conditions of war in the megapolis. Vestnik Neotlozhnoi i Vosstanovitel''noi Khirurgii. 2020;5(3):94–103. (In Russ.) EDN: KLJXLJ
- Gizatullin SK, Stanishevskiy AV, Svistov DV. Combat gunshot skull and brain injuries. Burdenko's Journal of Neurosurgery. 2021;85(5):124–131. doi: 10.17116/neiro202185051124 EDN: OHHKSH
- Samokhvalov IM, Kryukov EV, Markevich VY, et al. Ten surgical lessons from the initial stages of a military operation. Military Medical Journal. 2023;344(4):4–10. doi: 10.52424/00269050_2023_344_4_4 EDN: DSYIAP
- Baum GR, Baum JT, Hayward D, MacKay BJ. Gunshot wounds: ballistics, pathology, and treatment recommendations, with a focus on retained bullets. Orthop Res Rev. 2022;14:293–317. doi: 10.2147/ORR.S378278 EDN: ANFESY
- Kalinich JF, Emond CA, Dalton TK, et al. Embedded weapons-grade tungsten alloy shrapnel rapidly induces metastatic high-grade rhabdomyosarcomas in F344 rats. Environ Health Perspect. 2005;113(6):729–734. doi: 10.1289/ehp.7791
- Hadrup N, Sørli JB, Sharma AK. Pulmonary toxicity, genotoxicity, and carcinogenicity evaluation of molybdenum, lithium, and tungsten: a review. Toxicology. 2022;467:153098. doi: 10.1016/j.tox.2022.153098 EDN: XKBWSX
- Aaronson DM, Awad AJ, Hedayat HS. Lead toxicity due to retained intracranial bullet fragments: illustrative case. J Neurosurg Case Lessons. 2022;4(13):CASE21453. doi: 10.3171/CASE21453 EDN: OCRPZZ
- Kırık A, Yaşar S, Durmaz MO. Prognostic factors in craniocerebral gunshot wounds: analysis of 30 patients from the neurosurgical viewpoint. Ulus Travma Acil Cerrahi Derg. 2020;26(6):859–864. doi: 10.14744/tjtes.2020.89947 EDN: LMJDNY
- Roy DS, Zhang Y, Halassa MM, Feng G. Thalamic subnetworks as units of function. Nat Neurosci. 2022;25(2):140–153. doi: 10.1038/s41593-021-00996-1 EDN: XCHHLK
- Fong H, Zheng J, Kurrasch D. The structural and functional complexity of the integrative hypothalamus. Science. 2023;382(6669):388–394. doi: 10.1126/science.adh848
- Tucker DM, Luu P. Adaptive control of functional connectivity: dorsal and ventral limbic divisions regulate the dorsal and ventral neocortical networks. Cereb Cortex. 2023;33(12):7870–7895. doi: 10.1093/cercor/bhad085 EDN: EZPUZS
- Trishkin DV, Kryukov EV, Alekseev DE, et al. Military field surgery. National leadership. 2nd ed. Moscow: GEOTAR media; 2024. 1056 p. (In Russ.) doi: 10.33029/9704-8036-6-VPX-2024-1-1056 EDN: AYGYWM
Дополнительные файлы

















