The development and experimental assessment of medical devices protecting eviscerated abdominal organs using the eventration model
- Authors: Adamenko V.N.1, Golovko K.P.1,2, Suborova T.N.1, Toropova Y.G.3, Zaichikov D.A.4
-
Affiliations:
- Military Medical Academy named after S.M. Kirov of the Ministry of Defense of the Russian Federation
- Saint Petersburg State University
- Almazov National Medical Research Center
- State Institute for Experimental Military Medicine of the Ministry of Defense of the Russian Federation
- Issue: Vol 23, No 3 (2021)
- Pages: 165-176
- Section: Experimental trials
- Submitted: 25.05.2021
- Accepted: 14.09.2021
- Published: 03.11.2021
- URL: https://journals.eco-vector.com/1682-7392/article/view/70960
- DOI: https://doi.org/10.17816/brmma70960
- ID: 70960
Cite item
Full Text
Abstract
On an experimental model of eventration in small and large animals (94 rats and 12 pigs), the safety and effectiveness of samples of aseptic protective dressings made of nanomaterials with impregnations used to prevent the development of complications from abdominal organs and tissues in comparison with control ones — gauze medical sterile ones were evaluated. After 3 hours, 3 and 7 days after surgery, the viability of the intestinal wall and the presence of complications were assessed on the basis of laboratory, experimental, instrumental and morphological techniques. The assessment of microcirculation (perfusion) of the intestine was carried out using the apparatus “LAKK-02”. It was found that according to the complex of clinical and laboratory, microbiological, morphological, microcirculatory data and expert assessment, the safest and most effective for the protection of abdominal organs was an aseptic bandage made of non-woven material spunbond impregnated with vinylin + silicone. The initial values of microcirculation parameters in the pig groups were: 18.4 [17.1; 19] perfusion units in the experimental group and 15.6 [6.8; 17.7] perfusion units in the control group. After applying the bandage in the experimental group, the level of microcirculation did not significantly change. In the control group, after 3-hour exposure to the bandage, a decrease in the level of microcirculation was observed to 6.5 [5.1; 8] perfusion units (p < 0.05 compared to the initial and similar stage in the experimental group). Thus, an aseptic bandage made of spunbond nanomaterial impregnated with vinylin + silicone retains the necessary moisture and protects the eventrated abdominal organs, demonstrates safe adhesive properties and prevents the development of local and general complications in the early postoperative period.
Full Text
ВВЕДЕНИЕ
Встречаемость эвентрации при ранениях живота в военных конфликтах составляет от 10,8 до 24,4% [1, 4], а при колото-резаных ранениях живота в мирное время достигает 68% [4]. Ранение в живот с эвентрацией внутренних органов сопровождается инфицированием, что приводит к развитию перитонита, который, по данным литературы, более чем у 50% раненых является причиной летального исхода [1, 5].
На передовых этапах медицинской эвакуации при ранениях живота с эвентрацией для предотвращения развития инфекционных осложнений выпавшие органы покрывают стерильной повязкой, пропитанной вазелиновым маслом, а для предотвращения сдавления органов по их периметру укладывают ватно-марлевый «бублик» и фиксируют к телу циркулярной повязкой [2]. В условиях скорой медицинской помощи в процессе транспортировки ограничиваются наложением повязки, смоченной стерильным 0,9% раствором натрия хлорида (NaCl) [3]. Специальные асептические и компрессионные повязки для защиты выпавших органов живота применяются в разных странах [6, 7], но они отсутствуют как во вложениях комплектно-табельного оснащения медицинской службы Вооруженных сил Российской Федерации (РФ), так и на снабжении у бригад скорой медицинской помощи в гражданском здравоохранении.
Цель исследования — на экспериментальной модели эвентрации у мелких (крысы) и крупных (свиньи) животных оценить безопасность и эффективность образцов асептических защитных повязок, используемых с целью предотвращения развития осложнений со стороны органов и тканей брюшной полости.
МАТЕРИАЛЫ И МЕТОДЫ
Проведена серия хронических экспериментов по применению традиционных и опытных повязок для защиты эвентрированных петель кишечника. Для создания моделей эвентрации органов брюшной полости использовали 94 самца крыс линии Wistar из питомника «Рапполово» Ленинградской области и 12 разнополых свиней светлогорской породы из общества с ограниченной ответственностью (ООО) «Агростандарт» Новгородской области массой 352,3 ± 36,8 г и 39,25 ± 9,1 кг соответственно. Экспериментальное исследование выполняли в условиях вивария на крысах (Государственный научно-исследовательский испытательный институт военной медицины Министерства обороны РФ, Санкт-Петербург) и на свиньях (Национальный медицинский исследовательский центр имени В.А. Алмазова Минздрава РФ, Санкт-Петербург). Температура содержания животных в помещениях составляла от +19 до +23 °С. Накануне эксперимента животных не кормили, оставляя свободный доступ к воде. При постановке опытов руководствовались «Правилами проведения работ с использованием экспериментальных животных» [8]. На этапе скрининга в работе с крысами использовали повязки из наноматериалов, предоставленные лабораторией Московского физико-технического института (государственный университет) (МФТИ), а для сравнения — традиционные повязки марлевые медицинские стерильные размерами 14 × 16 см (ГОСТ 16427-93). В условиях операционной марлевые салфетки перед применением пропитывали препаратами с помощью стерильного шприца объемом 5 мл (табл. 1) [2, 3].
Таблица 1. Виды повязок для защиты органов брюшной полости / Table 1. Types of bandages for the protection of abdominal organs
Группа | Экспериментальная повязка | |
основа | пропитка | |
1-я | Марлевая повязка | 0,9% раствор натрия хлорида |
2-я | Марлевая повязка | Вазелиновое масло |
3-я | Спанлейс-референт | Без пропитки |
4-я | Спанбонд-референт | Силикон |
5-я | Спанбонд-референт | Винилин |
6-я | Спанбонд-референт | Винилин + силикон |
7-я | Спанбонд-референт | Вазелиновое масло + силикон |
В экспериментах на свиньях использовали повязки из материала спандбонд с пропиткой винилин + силикон (асептическая повязка-абдоминальная — АП-А), предоставленные МФТИ, а для контроля — штатное средство оказания догоспитальной помощи — индивидуальный перевязочный пакет (ИПП), ГОСТ 1179-70, который накануне применения с помощью шприца объемом 50 мл пропитывали стерильным 0,9% NaCl.
Для получения экспериментальной модели эвентрации у мелких животных с применением асептических повязок для защиты органов брюшной полости исследование выполнялось на наркотизированных крысах (золетилтм 100, 5 мг/кг, внутримышечно) в соответствии с оригинальной методикой, описанной ранее [9]. Крысы были разделены на 7 групп в соответствии с исследуемыми образцами повязок: 1 и 2-я — контрольные с марлевой повязкой и 3–7-я — с повязками из нетканых материалов и пропиткой разного состава (см. табл. 1). После моделирования эвентрации оценивали фоновые параметры микроциркуляции кишки, затем ее покрывали защитной повязкой, а по истечении 4 ч повязку удаляли и эвентрированные петли погружали в брюшную полость. Рану ушивали, животных оставляли под наблюдением. Спустя 2 и 7 суток в условиях наркотизации золазепамом выполняли релапаротомию для оценки параметров микроциркуляции и изменений со стороны брюшной полости. Отбор образцов для лабораторных и инструментальных исследований проводили перед проведением оперативного вмешательства, через 4 ч после наложения повязок и спустя 2 и 7 суток в процессе релапаротомии. Оценивали летальность животных в группах. Выведение животных из эксперимента осуществляли введением золетилатм 100 в летальной дозе, после чего выполняли резекцию кишки для гистологического исследования.
Для получения экспериментальной модели эвентрации у крупных животных с применением асептических повязок для защиты органов брюшной полости в день исследования свиньям проводили премедикацию внутримышечным введением золетилатм 100, 20 мг/кг и ксилазина 3 мг/кг. После принятия животным бокового положения на операционном столе и исчезновения роговичного рефлекса выполнялась интубация трахеи для проведения искусственной вентиляции легких с помощью аппарата Mindray WATO EX-35 (Китай). Поддержание анестезии проводили переводом животного на дыхание газовой смесью с содержанием 2–4 об.% севофлурана фирмы Baxter Healthcare Corp. (Соединенные Штаты Америки — США). После моделирования эвентрации петли тонкой кишки покрывали повязкой в виде конверта, затем для предотвращения сдавливания выпавших петель по периметру органов укладывали ватно-марлевый валик. Животные были разделены на 2 группы: в контрольной (n = 5) применяли ИПП, в опытной (n = 7) — повязку АП-А. Для остановки наружного кровотечения и профилактики ущемления выпавших петель тонкой кишки в опытной группе накладывали компрессионную бандажную повязку-абдоминальную (КБП-А) (рис. 1), а в контрольной группе — туры из бинта, входящего в состав ИПП (рис. 2).
Рис. 1. Вид КБП-А с АП-А / Fig. 1. View of KBP-A with AP-A
Рис. 2. Вид ИПП с марлевой повязкой / Fig. 2. View of PPI with gauze bandage
Под контролем гемодинамических параметров осуществляли наблюдение в течение 3 ч, после чего снимали повязки, оценивали степень адгезии асептической повязки к выпавшим органам. Далее погружали петли тонкой кишки в брюшную полость, ушивали рану, помещали животное в индивидуальное стойло и проводили наблюдение. Через 3 суток выполняли релапаротомию с использованием общей анестезии по параметрам, указанным выше.
Клинический анализ крови, инструментальные исследования (параметры микроциркуляции — ПМ) выполняли перед моделированием эвентрации, через 3 ч после снятия повязки и в процессе релапаротомии. С целью объективизации степени выраженности воспалительного процесса со стороны брюшной полости использовали методику экспертных оценок. Безопасность и эффективность применения АП-А оценивали по сравнению со штатным перевязочным средством в соответствии с разработанными критериями. На заключительном этапе проводили забор материала для гистологического исследования и осуществляли выведение животных из эксперимента путем передозировки 10% хлоридом калия (KCl).
Образцы содержимого брюшной полости животных для бактериологического исследования отбирали в соответствии с методическими указаниями (МУ 4.2.2039-05) [10] при первичной операции и релапаротомии. Для выделения и идентификации бактерий использовали классические методики. Безопасность и эффективность повязок для защиты органов брюшной полости изучали по опубликованной ранее методике [11].
Анализ воздействия повязок на микроциркуляцию кишечной стенки проводился с помощью неивазивного лазерного доплер-флоуметрического зондирования. Аппаратное обеспечение — лазерный анализатор капиллярного кровообращения «ЛАКК-02» производства ООО научно-производственное предприятие (НПП) «Лазма» (Россия). Установка представлена блоком анализатора и многожильным световодным зондом, благодаря которому осуществляется взаимодействие между областью зондирования и каналами прибора. Непосредственно перед применением осуществляли калибровку лазерного анализатора капиллярного кровотока. Использовали методику лазерной доплеровской флоуметрии (ЛДФ). Длительность регистрации составляла 8 мин. Регистрацию параметров функционирования сосудов микроциркуляторного русла кишки проводили с помощью поверхностного датчика (диаметр 10 мм) ЛДФ. Запись и обработка данных производилась на персональном компьютере посредством программы LDF 3.1.LASMA 3.2.0.439. Определяли основные параметры базального кровотока и показатели микроциркуляции при 4-часовом воздействии повязок. Статистические показатели ПМ: М (постоянный показатель микроциркуляции, перфузионные единицы — п. ед.), σ (среднеквадратичное отклонение амплитуды колебания перфузии, п. ед.) и Kv (коэффициент вариации, %) предоставили возможность провести анализ общего состояния микроциркуляции крови в стенке кишки [12]. У всех наркотизированных животных регистрацию ПМ осуществляли на маркированных участках эвентрированных петель тонкой кишки до воздействия, сразу после 4-часового воздействия повязки, а затем на 2-е и 7-е сутки у крыс и 3-и сутки у свиней.
Всем животным выполняли морфологическое исследование микропрепаратов, изготовленных из участков эвентрированных петель тонкой кишки. Для определения очаговых реактивных изменений стенки кишки и состояния однослойного плоского эпителия, покрывающего серозную оболочку кишки крыс и свиней, в каждом фрагменте на гистологических препаратах исследовали по 10 случайно выбранных полей зрения. Оценку проводили на гистологических срезах толщиной 5 мкм, выполненных на ротационном микротоме Leica RM2125 RTS фирмы Leica Instruments GmBH (Германия) и окрашенных гематоксилином и эозином по общепринятой методике, на микроскопе Zeiss Axio Imager Z2 фирмы Carl Zeiss Microscopy GmbH (Германия), при помощи программного обеспечения ZEN 2 (blue), в соответствии с нормативными документами.
Двумя хирургами проводилась экспертная оценка в 2 этапа: через 4 ч после воздействия повязки и во время релапаротомии. Критериями оценки являлись адгезия повязки к эвентрированной петле тонкой кишки через 4 ч после воздействия повязок, гиперемия и отек петель кишки, состояние стенки кишки, спаечный процесс, наличие выпота и других осложнений.
Для сравнительного анализа использовали непараметрические методы статистики. Критический уровень значимости при проверке статистических гипотез принимался равным 0,05. Использовали программу Microsoft® Excel 2010 (Microsoft Corp., США).
РЕЗУЛЬТАТЫ И ИХ ОБСУЖДЕНИЕ
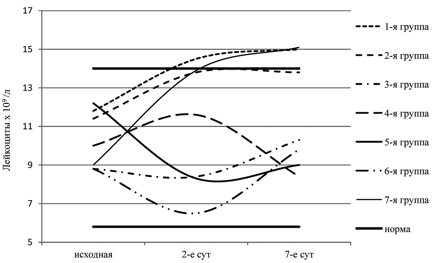
В образцах крови крыс воспалительный процесс проявлялся в виде роста числа лейкоцитов на 2-е сутки в 1-й, 2-й, 4-й и 7-й группах от 16 до 21%. К 7-м суткам в 1-й и 7-й группах уровень лейкоцитов продолжил повышаться, в 4-й группе вернулся к исходному, во 2-й группе не изменился. В 3-й, 5-й и 6-й группах колебания уровня лейкоцитов были незначительными (рис. 3).
Рис. 3. Динамика уровня лейкоцитов в исследуемых группах (крысы) в процессе эксперимента / Fig. 3. Dynamics of the level of leukocytes in the studied groups (rats) during the experiment
Выживаемость животных в 1-й и 2-й группах с использованием марлевой салфетки составила 80–86%. При использовании повязок из нетканого материала в 3–6-й группах отмечена 100% выживаемость. Исключение составила 7-я группа с материалом повязки спанбонд и пропитками вазелин + силикон, где была отмечена наиболее низкая (61,5%) выживаемость, что дает основание предположить негативное влияние данной пропитки на стенку кишки и в целом на организм животного (табл. 2).
Таблица 2. Выживаемость крыс по группам, абс. (%) / Table 2. The survival rate of rats by groups, abs. (%)
Группа | Количество животных в группе | Погибло | Выжило |
1-я | 20 | 4 (20) | 16 (80) |
2-я | 21 | 3 (14,3) | 18 (85,7) |
3-я | 8 | 0 | 8 (100) |
4-я | 8 | 0 | 8 (100) |
5-я | 8 | 0 | 8 (100) |
6-я | 15 | 0 | 15 (100) |
7-я | 13 | 5 (38,5) | 8 (61,5) |
При бактериологическом исследовании образцов, полученных после окончания операции, установлена их стерильность. При исследовании материала, полученного при релапаротомии через 2 суток после операции, бактерии были выделены из 80–83% проб животных всех групп, за исключением 6-й, где инфицированными оказались только 28,6% образцов. У животных 1-й и 2-й групп в основном выделялись ассоциации бактерий, каждая из которых могла привести к развитию инфекционного осложнения, в 7-й группе доминировали монокультуры. Наконец, в 6-й группе, где было обнаружено наименьшее количество микроорганизмов, отмечено лишь по одному случаю выделения монокультуры и ассоциации бактерий. К 7-м суткам после операции бактерии были выделены из 30% образцов животных 1-й и 57% — 7-й группы. За период проведения эксперимента было выделено 55 штаммов бактерий, среди которых преобладали S. aureus (47%), E. coli (16%) и Enterococcus spp. (13%). Общее число изолятов, полученных от животных 6-й группы (n = 4), было наименьшим среди всех образцов. Таким образом, повязка в 6-й группе (спанбонд с пропиткой винилин + силикон) показала наибольшую профилактическую эффективность при предотвращении развития раневой инфекции в брюшной полости.
Наложение защитной повязки с целью сохранения анатомической целостности эвентрированных органов сопровождается высоким риском нарушения микроциркуляции в кишечной стенке. На сегодняшний день все более широкое применение в изучении микроциркуляции находит ЛДФ [13, 14]. Накоплены данные об эффективном использовании данной методики исследования при острых и хронических заболеваниях брюшной полости, в онкоурологических и ряде других заболеваний [13–17]. Нами для оценки микроциркуляции тонкой кишки на модели эвентрации у крыс и свиней также использовалась ЛДФ. Динамика ПМ (М, σ, Kv) тонкой кишки крыс всех экспериментальных групп представлена на рис. 4.
Рис. 4. Параметры микроциркуляции: а — М — диаграмма, σ — линейный график; b — Kv тонкой кишки крыс на различных этапах эксперимента). * — p < 0,05 по сравнению с исходными данными; # — p < 0,05 по сравнению с 1-й группой / Fig. 4. Microcirculation parameters: a — M — diagram, σ — line graph; b — Kv of the small intestine of rats at different stages of the experiment). * — p < 0,05 compared to the initial data; # — p < 0,05 compared to group 1
Исходные значения уровней перфузии во всех группах статистически не различались и составили: 24,6 [19, 8; 28, 6] п. ед. в 1-й группе; 24,2 [24, 2; 34, 8] — во 2-й группе; 25 [21, 3; 26, 4] — в 6-й группе; 27,4 [22, 9; 28] — в 7-й группе. Kv и σ во всех группах также были близки по значениям (см. рис. 4). В динамике изменения σ не носили значимого характера по сравнению с исходными и между группами. На 2-е сутки в 1-й и 2-й группах наблюдалось снижение уровня перфузии, о чем свидетельствовала тенденция к снижению микроциркуляции в 1-й группе и достоверное (p < 0,05) снижение данного показателя во 2-й группе по сравнению с исходным. Так, на данном этапе уровень микроциркуляции составил 20 [17, 3; 24] п. ед. в 1-й группе; 18,9 [15, 3; 20, 3] — во 2-й группе.
Показатель Kv продемонстрировал тенденцию к повышению относительно исходных значений и составил 28,1 [24, 5; 29, 3] % в 1-й группе и 29,1 [24; 30, 1] % во 2-й группе, что являлось косвенным свидетельством интенсификации вазомоторных механизмов модуляции тканевого кровотока. На аналогичном этапе эксперимента в 6-й и 7-й группах уровень микроциркуляции тонкой кишки соответствовал исходным значениям и составил: 28,1 [24, 6; 29, 1] п. ед. и 23,1 [22, 1; 27] п. ед. соответственно. Через 7 суток после воздействия ПМ во всех исследуемых группах возвращались к исходному уровню.
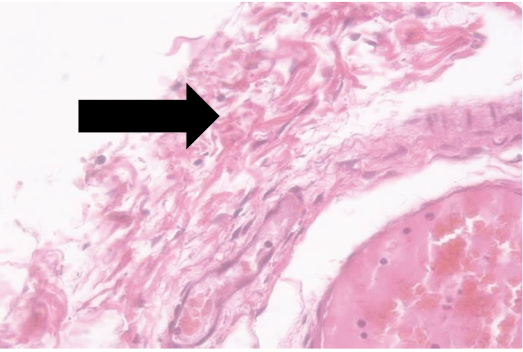
При гистологическом исследовании нормой считали микропрепарат тонкой кишки крысы, взятый у отдельного животного, которое не подвергалось специальным хирургическим манипуляциям. Наиболее выраженные по сравнению с нормой изменения в виде базофилии ядер мезотелиоцитов, нарушения цитоархитектоники пласта мезотелия, отложения нитей фибрина на поверхности кишки наблюдались в 1-й и 2-й группах. На 7-е сутки в микропрепаратах животных 1-й и 2-й групп отмечалась организация фибрина, появление соединительнотканных тяжей (спаечный процесс), набухание эндотелиоцитов, выраженное полнокровие органа (тощей кишки) и дезорганизация оболочек кишки (рис. 5). Эти патологические изменения были наименее выраженными у животных 6-й группы (рис. 6.).
Рис. 5. Микропрепарат кишки крысы (2-я группа). Оболочки: 1 — серозная; 2 — мышечная; 3 — подслизистая основа; 4 — слизистая. Окраска: гематоксилин и эозин. Ув. ×630 / Fig. 5. Micropreparation of rat intestine (group 2). Sheaths: 1 — serous; 2 — muscular; 3 — submucosa; 4 — mucous membrane. Staining: hematoxylin and eosin. Mag. ×630
Рис. 6. Микропрепарат кишки крысы (6-я группа). Оболочки: 1 — серозная; 2 — мышечная; 3 — подслизистая основа; 4 — слизистая. Окраска: гематоксилин и эозин. Ув. ×630 / Fig. 6. Micropreparation of rat intestine (group 6). Sheaths: 1 — serous; 2 — muscular; 3 — submucosa; 4 — mucous membrane. Staining: hematoxylin and eosin. Mag. ×630
При оценке эффективности повязок с помощью экспертных критериев у крыс после 4-часового наблюдения в 1-й и 2-й группах адгезия повязки отмечена в 100 и 62%, при этом эрозии стенки кишки наблюдались в 50 и 24% случаев соответственно. Наибольшую эффективность показал опытный образец № 6. Через 2 суток в брюшной полости отмечались налеты фибрина у 30% животных из 1-й группы и 27% у крыс 2-й группы, спаечный процесс различной степени выраженности — у 40 и 45% соответственно. Кроме того, в 1-й группе в 10% случаев наблюдалась перфорация кишки, во 2-й группе в 9% наблюдений — перитонит. В 3–5-й группах фибрин не обнаружен, в 6-й группе он наблюдался в 12,5% случаев, в 7-й — в 14% случаев.
Спаечный процесс разной степени выраженности обнаружен во всех группах. На 7-е сутки налеты фибрина образовались в 10% случаев в 1-й и 7-й группах, распространенный перитонит отмечен в 1-й и 2-й группах в 10 и 14% соответственно. Острая кишечная непроходимость отмечена в 1-й и 2-й группах (по 10%), и 7-й — в 14% случаев. В остальных группах послеоперационные осложнения на 2-е и 7-е сутки были менее выражены либо отсутствовали. Наиболее низкое число осложнений отмечено при использовании повязок № 3 и № 6. По результатам скрининга был отобран наиболее соответствующий требованиям безопасности образец (повязка № 6 из материала спанбонд с пропиткой винилин+силикон) и защищен патентом РФ как «Асептическая повязка для защиты и увлажнения эвентрированных (выпавших) органов, индекс изделия АП-А» [18].
Для оценки эффективности опытного образца АП-А проводился эксперимент на свиньях. При посеве образцов, взятых в день операции, у трех животных были выявлены грамотрицательные бактерии Pseudomonas spp., S. maltophilia и E. coli, при релапаротомии у одного животного обнаружили P. mirabilis, у второго — ассоциацию из E. coli и P. mirabilis. При этом изменения параметров клинического анализа крови свиней диагностического значения не имели, а признаки инфекционно-воспалительного процесса на коже и в брюшной полости животных ни при первичном, ни при повторном исследовании не выявлены.
Исходные значения ПМ в контрольной группе (ИПП) и опытной (АП-А) были близки и составили: М — 18,4 [17, 1; 19] п. ед., σ — 1,1 [1; 1, 7] п. ед., Kv — 5,8 [5; 11, 4] % в опытной группе; М — 15,6 [6, 8; 17, 7] п. ед., σ — 1,8 [1, 3; 2] п. ед., Kv — 7,1 [5, 7; 8, 5] % — в контрольной группе (рис. 7).
Рис. 7. Параметры микроциркуляции тонкой кишки свиней на различных этапах эксперимента. * — p < 0,05 по сравнению с исходными данными; # — p < 0,05 по сравнению с группой АП-А / Fig.7. Parameters of microcirculation of the small intestine of pigs at different stages of the experiment. * — p < 0,05 compared to the initial data; # — p < 0,05 compared to AP-A group
На фоне воздействия повязки АП-А уровень микроциркуляции значимо не изменялся, оставаясь близким к исходным значениям. В контрольной группе после 3-часового воздействия повязок наблюдалось снижение уровня микроциркуляции, который на указанном этапе исследования составил 6,5 [5, 1; 8] п. ед. (p < 0,05 по сравнению с исходным и аналогичным этапом в опытной группе). В динамике эксперимента наблюдалось восстановление уровня перфузии. На момент окончания исследования (3-и сутки) показатели ПМ в группах статистически не различались. В обеих группах отмечалась тенденция к повышению Kv через 3 ч после наложения повязок, что может быть обусловлено интенсификацией как активных, так и пассивных механизмов контроля микрокровотока в экспериментальных условиях. Значения σ в обеих группах в динамике эксперимента также оставались на исходном уровне.
При гистологическом исследовании микропрепаратов свиней контрольной группы отмечались значительные повреждения мезотелия, покрывающего серозную оболочку кишки свиньи: тотальное разрушение слоя, формирование фибриновых пленок на поверхности серозной оболочки и дезорганизация оболочек кишки, присутствие фибробластов вплоть до подслизистой основы. Изменения наблюдались также в сосудистом русле, тканевых элементах серозной оболочки и подслизистой основы в виде набухания эндотелиоцитов, резкого полнокровия сосудов и разволокнения подслизистой основы за счет отека (рис. 8).
Рис. 8. Микропрепарат кишки свиньи контрольной группы. Дезорганизация серозной и мышечной оболочек. Окраска: гематоксилин и эозин. Ув. ×400 / Fig. 8. Control group pig intestine micropreparation. Disorganization of the serous and muscular membranes. Staining: hematoxylin and eosin. Mag. ×400
При исследовании микропрепаратов кишки свиньи во всех препаратах опытной группы отмечались лишь реактивные изменения клеток мезотелия, покрывающего серозную оболочку тонкой кишки, и прилежащих кровеносных капилляров (полнокровие, пристеночное положение лейкоцитов) (рис. 9).
Рис. 9. Микропрепарат тонкой кишки свиньи опытной группы. Оболочки: 1 — серозная; 2 — мышечная. Окраска: гематоксилин и эозин. Ув. ×400 / Fig. 9. Micropreparation of the small intestine of a pig of the experimental group. Sheaths: 1 — serous; 2 — muscular. Staining: hematoxylin and eosin. Mag. ×400
И.М. Самохвалов и др. [9], А.А. Полынский, Т.М. Чернышов [19] указывают на то, что патологические процессы развиваются в брюшной полости в послеоперационном периоде и после устранения эвентрации внутренних органов. Часто встречаемые: отек кишечной стенки, десерозирование участка кишки с последующим некрозом и перфорацией, спаечная кишечная непроходимость, межкишечные абсцессы и перитонит. Результаты экспертной оценки состояния эвентрированой кишки животных представлены в таблице 3.
Таблица 3. Оценка эффективности применения АП-А в сравнении с марлевой повязкой (ИПП) / Table 3. Evaluation of the effectiveness of AP-A in comparison with a gauze bandage (PPI)
Оценка эффективности повязок | Прооперированные животные с повязками | |||||
критерий | параметр | балл | ИПП | АП-А | ||
n | балл | n | балл | |||
Адгезия повязки к эвентриро-ванной петле тонкой кишки через 3 ч после наложения | Прилипания нет | 0 | 0 | 0 | 1 | 0 |
Прилипание без повреждения серозной оболочки | 1 | 2 | 2 | 5 | 5 | |
Прилипание с нарушением целостности серозной оболочки (эрозии) | 2 | 3 | 6 | 1 | 2 | |
Прилипание с повреждением серозно-мышечного слоя кишки | 3 | 0 | 0 | 0 | 0 | |
Всего баллов | 0 | 0 | 8 | 0 | 7 | |
Гиперемия и отек петель | Отсутствует | 0 | 1 | 0 | 4 | 0 |
Присутствует | 1 | 4 | 4 | 3 | 3 | |
Всего баллов | 0 | 0 | 4 | 0 | 3 | |
Состояние стенки кишки | Стенка не отличается от нормы | 0 | 0 | 0 | 6 | 0 |
Налеты фибрина на участке эвентрированной кишки | 1 | 1 | 1 | 1 | 1 | |
Налеты фибрина вне участка эвентрированной кишки | 2 | 2 | 4 | 0 | 0 | |
Наличие перфорации стенки кишки | 3 | 0 | 0 | 0 | 0 | |
Перитонит | 4 | 2 | 8 | 0 | 0 | |
Всего баллов | 0 | 0 | 13 | 0 | 1 | |
Спаечный процесс | Петли и сальник предлежат к ране | 0 | 0 | 0 | 4 | 0 |
Рыхлые сращения между петлями | 1 | 0 | 0 | 3 | 3 | |
Распространенный спаечный процесс без кишечной непроходимости | 2 | 5 | 10 | 0 | 0 | |
Спаечный процесс с кишечной непроходимостью | 3 | 0 | 0 | 0 | 0 | |
Всего баллов | 0 | 0 | 10 | 0 | 3 | |
Выпот | Отсутствует | 0 | 1 | 0 | 4 | 0 |
Присутствует | 1 | 4 | 4 | 1 | 1 | |
Всего баллов | 0 | 0 | 4 | 0 | 1 | |
В опытной группе безопасные адгезивные свойства исследуемая повязка сохраняла в 6 наблюдениях, в 1 случае выявлены эрозии кишечной стенки. Спаечный процесс и налеты фибрина наблюдался в 1 случае, отек и гиперемия кишки — в 3 случаях. Перитонит отсутствовал у всех животных. По сумме осложнений эффективность применения повязки в опытной группе составила 15 баллов.
В то же время после 3 ч воздействия повязки на эвентрированные петли кишки в контрольной группе, безопасные адгезивные свойства она сохраняла в 2 наблюдениях, в 3 случаях выявлены эрозии кишечной стенки. На 3-и сутки наблюдения при релапаротомии у всех животных наблюдались отек и гиперемия кишки, распространенный спаечный процесс, а в 2 случаях налеты фибрина присутствовали вне участка выведенной кишки. Серозно-фибринозный перитонит был выявлен у 4 животных. По сумме осложнений повязка в контрольной группе набрала 39 баллов против 15 в опытной группе.
Результаты исследования эффективности и безопасности образцов защитной повязки на экспериментальной модели эвентрации внутренних органов у свиней показали, что опытный образец (АП-А) более эффективен, чем контрольный (ИПП), поскольку не оказывает повреждающего воздействия на стенку кишки и предотвращает развитие перитонита (возникновение спаечного процесса и образование воспалительного выпота).
ВЫВОДЫ
- Разработаны экспериментальные биологические модели истинной эвентрации (эвисцерации) у животных, которые позволяют достоверно воссоздать картину патологического состояния и провести оценку эффективности образцов медицинских изделий для защиты и увлажнения выпавших (эвентрированных) органов.
- В ходе экспериментального исследования от мелких животных (крыс) было выделено 55 штаммов бактерий, среди которых преобладали S. aureus (47%), E. coli (16%) и Enterococcus spp. (13%). Общее число изолятов, полученных от животных 6-й группы с повязкой, выполненной из нетканого материала спанбонд с пропиткой винилин + силикон (n = 4), было наименьшим среди всех образцов. При релапаротомии спустя 2 суток после операции бактерии были выделены из 80% проб животных всех групп, за исключением 6-й, где инфицированными оказались только 28,6% образцов.
- При гистологическом исследовании кишечной стенки наименьшие патологические изменения наблюдались в 6-й группе крыс с повязкой, выполненной из наноматериала спанбонд с пропиткой винилин + силикон. При исследовании образцов кишечной стенки свиней контрольной группы отмечались значительные повреждения мезотелия, тотальное разрушение слоя и дезорганизация оболочек кишки. В опытной группе отмечались лишь реактивные изменения клеток мезотелия.
- Применение ЛДФ при использовании ИПП с целью защиты эвентрированной кишки, пропитанной вазелином и 0,9% раствором NaCl, приводит к достоверному (p < 0,05) снижению уровня перфузии стенки кишки на 22% в сравнении с исходным, тогда как при использовании АП-А показатель перфузии соответствовал исходным значениям.
- Опытные образцы (АП-А) в сравнении с контрольными (ИПП) демонстрируют более высокую эффективность, сохраняют необходимую влажность органов брюшной полости и снижают развитие местных и общих осложнений в раннем послеоперационном периоде.
About the authors
Valeriy N. Adamenko
Military Medical Academy named after S.M. Kirov of the Ministry of Defense of the Russian Federation
Author for correspondence.
Email: adavalnik@mail.ru
ORCID iD: 0000-0003-0420-8047
SPIN-code: 6212-2960
senior staff scientist
Russian Federation, Saint PetersburgKonstantin P. Golovko
Military Medical Academy named after S.M. Kirov of the Ministry of Defense of the Russian Federation; Saint Petersburg State University
Email: labws@mail.ru
ORCID iD: 0000-0002-1584-1748
SPIN-code: 2299-6153
doctor of medical sciences, associate professor
Russian Federation, Saint Petersburg; Saint PetersburgTatiana N. Suborova
Military Medical Academy named after S.M. Kirov of the Ministry of Defense of the Russian Federation
Email: microbiologma@list.ru
ORCID iD: 0000-0002-6783-1920
SPIN-code: 9771-5906
doctor of biological science
Russian Federation, Saint PetersburgYana G. Toropova
Almazov National Medical Research Center
Email: yana.toropova@mail.ru
ORCID iD: 0000-0003-1629-7868
SPIN-code: 2020-4213
candidate of biology sciences
Russian Federation, Saint PetersburgDenis A. Zaichikov
State Institute for Experimental Military Medicine of the Ministry of Defense of the Russian Federation
Email: dazai@list.ru
SPIN-code: 1037-3860
candidate of medical science
Russian Federation, Saint PetersburgReferences
- Alisov PG, Samohvalov IM. Ognestrel’nye ranenija zhivota. Osobennosti, diagnostika i lechenie v sovremennyh uslovijah. Saint Peterburg: Sintez Buk; 2018. 320 p. (In Russ.).
- Ukazanija po voenno-polevoj hirurgii. Bel’skih AN, Samohvalova IM, eds. Ministerstvo oborony Rossijskoj Federacii. Moscow: MO RF; 2013. 474 p. (In Russ.).
- Kudrjavcev BP, Savvin JuN, Krasnov SA, et al. Klinicheskie rekomendacii po okazaniju medicinskoj pomoshhi postradavshim s povrezhdenijami zhivota i organov brjushnoj polosti v chrezvychajnyh situacijah. Klinicheskie Rekomendacii po politravme. Moscow; 2016:69–90. (In Russ.).
- Masljakov VV, Barsukov VG, Kurkin KG, et al. Scope of provision of primary medical and sanitary care to members of population with gunshot wounds in local armed conflict environment. Disaster Medicine. 2018;(2):30–33. (In Russ.).
- Bjalik VL. Opyt sovetskoj mediciny v Velikoj Otechestvennoj vojne 1941–1945 gg. Vol. 35. Moscow: Medgiz; 1955. P. 117–126. (In Russ.).
- Emergency War Surgery: Third United States Revision. Borden Institute Walter Reed Army Medical Center. Szul AC, Davis LB, еds. Washington, DC; 2004. 488 p.
- Tactical Combat Casualty Care and Wound Treatment. U.S. Department of Defense. New York City: Skyhorse Publishing; 2016. 176 p.
- Pravila provedenija rabot s ispol’zovaniem jeksperimental’nyh zhivotnyh (Prilozhenie k prikazu Ministerstva zdravoohranenija SSSR ot 12.08.1977 g. № 755). Available from: https://www.alppp.ru/law/hozjajstvennaja-dejatelnost/selskoe-hozjajstvo/64/prikaz-minzdrava-sssr-ot-12-08-1977--755.html
- Samohvalov IM, Golovko KP, Denisov AV, et al. Comparative assessment of a special protective and moistening bandages for eventrated abdominal organs in experiment. Bulletin of the Russian Military Medical Academy. 2017;60(4):95–100. (In Russ.).
- Methodological guidelines of MU 4.2.2039-05 “Technique of collecting and transporting biomaterials to microbiological laboratories” (approved and put into effect by the Chief State Sanitary Doctor of the Russian Federation on 23 December 2005 g.). Moscow; 2019. 78 p. (In Russ.).
- Golovko KP, Adamenko VN, Bojarincev VV, et al. Testing outcomes for a new aseptic abdominal dressing to protect and hydrate eventrated organs using experimental model of the open abdominal trauma. Polytrauma. 2019;(2):83–94. (In Russ.).
- Krupatkin AI, Sidorov VV. Lazernaja dopplerovskaja floumetrija mikrocirkuljacii krovi. Moscow; 2005. 123 p. (In Russ.).
- Pechnikova NA, Toropova JaG. Central hemodynamics, microcirculation and oxidative metabolism of divine intestine divisions in experimental modeling of ischemia reperfusion. Smolensk Medical Almanac. 2018;(4):120–123. (In Russ.).
- Rybka MM. Acute ischemic injure of the intestinal wall. The Bulletin of Bakoulev Center. Cardiovascular Diseases. 2016;17(5): 11–18. (In Russ.).
- Barhatov IV. Assessment of the microcirculation system by laser doppler flowmetry. Clinical Medicine. 2013;91(11):21–27. (In Russ.).
- Timerbulatov ShV, Sagitov RB, Sultanbaev AU, et al. Diagnostics of the intestine ischemic damages in some acute surgical diseases of abdominal cavit. Klinicheskaja i jeksperimental’naja hirurgija. 2012;(3):40–52. (In Russ.).
- Hoff DA, Gregersen H, Hatlebakk JG. Mucosal blood flow measurements using laser Doppler perfusion monitoring. World J. Gastroenterol. 2009;(15):198–203. doi: 10.3748/wjg
- Patent RUS № 184147/ 17.10.18. Byul. № 29. Golovko KP, Adamenko VN, Bojarincev VV, et al. Asepticheskaja povjazka dlja zashhity i uvlazhnenija jeventrirovannyh organov brjushnoj polosti. Available from: https://yandex.ru/patents/doc/RU184147U1_20181017 (In Russ.).
- Polynskij AA, Chernyshov TM. Eventration. Principles of diagnosis and medical treatment. Journal of the Grodno State Medical University. 2014;46(2):10–14. (In Russ.).
Supplementary files












