Features of the epithelial layer formation on corneal graft
- Authors: Miludin E.S.1, Kuchuk K.E.2
-
Affiliations:
- GBUZ Samara Regional Clinical Ophthalmologic Hospital
- Samara State Medical University
- Issue: Vol 12, No 1 (2019)
- Pages: 53-58
- Section: Ophthalmopharmacology
- Submitted: 06.03.2019
- Accepted: 03.04.2019
- Published: 06.06.2019
- URL: https://journals.eco-vector.com/ov/article/view/11328
- DOI: https://doi.org/10.17816/OV2019153-58
- ID: 11328
Cite item
Full Text
Abstract
Relevance. Significant impact on graft survival has a delay in the formation of epithelial cover.
Purpose – cytological characteristics and analysis of the effect of medications on the epithelial layer formation on the graft.
Materials and methods. An analysis of the post-operative state of 20 patients operated for bullous keratopathy and corneal ulcer. Smears from the surface of the graft were stained by Leucodif 200 (LDF 200) and examined by light microscopy.
Results. The epithelial layer formation in all cases ended no later than 8-10 days after keratoplasty. According to the cytological analysis, a complex of postoperative treatment which included Vixipin from the 10th day of the postoperative period. Visual acuity improvement occurred in 11 patients (75% of cases) operated due for bullous keratopathy, and in four patients operated for corneal ulcer.
Conclusions. The epithelial layer formation on the surface of corneal transplant occurs due to the migration of mature epithelial cells from the wound edges of the own cornea and mitotic activity of limbal cells of the recipient. Long-lasting epithelial defect and inflammation preceding keratoplasty result in slower epithelialization of the graft in the postoperative period. Use of corticosteroids, sodium hyaluronate and antioxidants in the postoperative period contribute to the formation of a full epithelial layer.
Full Text
Сквозная кератопластика является достаточно распространённой операцией, выполняемой с целью зрительной реабилитации. Однако сохраняется вероятность помутнения трансплантата [1–3]. Основными факторами, влияющими на выживаемость трансплантата и визуальную реабилитацию, считаются реакция отторжения, эндотелиальная недостаточность, инфекция [4]. Наряду с этим существенное влияние на выживаемость трансплантата оказывает задержка формирования эпителиального покрова. Длительно существующие либо рецидивирующие дефекты эпителия роговицы доставляют значительный дискомфорт, приводят к развитию инфекционных осложнений и даже потере трансплантата. По мнению исследователей, у 25 % пациентов с подобными осложнениями после кератопластики наблюдается помутнение роговичного трансплантата [5, 6].
Особенность восстановления эпителиального покрова роговичного трансплантата заключается в том, что в отличие от других клеточных структур донорской роговицы эпителизация происходит за счёт миграции клеток хозяина. Однако эпителизация трансплантата не всегда завершается полноценно. В некоторых случаях наблюдаются периодически рецидивирующие эрозии либо происходит замещение роговичного эпителия конъюнктивальным [5, 7, 11]. Следовательно, проблема управления регенерацией поверхностного эпителия роговичного трансплантата остаётся актуальной.
Цель данного исследования — цитологическая характеристика и анализ влияния лекарственных препаратов на формирование эпителиального слоя на трансплантате после кератопластики.
МАТЕРИАЛ И МЕТОДЫ
Под наблюдением находились 20 пациентов, которым была выполнена сквозная кератопластика в течение 2018 г. в условиях Самарской областной клинической офтальмологической больницы им. Т.И. Ерошевского. Из них 12 пациентов с буллёзной кератопатией, 8 пациентов с язвой роговицы. Средний возраст пациентов, включённых в исследование, составил 59 лет (27–82 года). Во всех случаях использовали донорский материал, забранный у доноров 25–60 лет в течение 16–20 часов после смерти и хранившийся в среде для консервации при температуре +4 °C не более трёх суток. Донорский материал был классифицирован как «3А» на основании функциональных показателей адреналиновой пробы (скринингового неинвазивного теста) и морфологических показателей биомикроскопической характеристики роговиц по шкале признаков [8]. Все операции выполнял один хирург. Особенностью кератопластики у данных больных являлось ограничение максимального диаметра трансплантата — не более 8,25 мм. В послеоперационном периоде пациенты наряду с антисептическими и стероидными препаратами получали глазные капли, содержащие гиалуронат натрия, в первые дни послеоперационного периода и с 10-го дня — препарат Виксипин, не менее трёх закапываний в день в течение 10–15 дней.
Все больные подвергались стандартному офтальмологическому обследованию как до операции, так и в послеоперационном периоде. Состояние оперированных пациентов контролировали в течение 3 месяцев после операции. Оценивали состояние эпителиального покрова: скорость восстановления, прозрачность, отёчность, отсутствие или периодичность появления рецидивирующих эрозий или точечной эпителиопатии. В разные сроки (2–3-е, 7–10-е и 60–90-е сутки) после сквозной кератопластики были выполнены цитологические исследования. Мазки-отпечатки окрашивали красителем «Лейкодиф 200» (LDF 200) и исследовали под световым микроскопом.
РЕЗУЛЬТАТЫ И ОБСУЖДЕНИЕ
В послеоперационном периоде, у включённых в исследование пациентов, инфекционных осложнений не наблюдалось. Трансплантат был прозрачным на протяжении всего периода наблюдения у 15 больных. В одном случае произошёл лизис трансплантата в течение второго месяца послеоперационного периода, у 4 пациентов наблюдалось полупрозрачное приживление. Улучшение зрения наступило у 11 пациентов из 12, оперированных по поводу буллёзной кератопатии, и четверых пациентов из 8, оперированных по поводу язвы роговицы.
Процесс эпителизации начинался с первых-вторых суток независимо от причины, по которой выполняли кератопластику. Однако эпителизация трансплантата у больных шла не с постоянной скоростью. В течение первых-вторых суток после операции формировалось до двух третей эпителиального покрова, после чего наступало резкое замедление процесса эпителизации и оставался островок деэпителизированной поверхности в центре трансплантата. Центральный дефект покрывался клетками эпителиального слоя в неосложнённых случаях в течение последующих двух-трёх суток. К 8–10-м суткам послеоперационного периода у всех пациентов отмечалось формирование эпителиального слоя на поверхности трансплантата и отсутствие прокрашивания флуоресцеином.
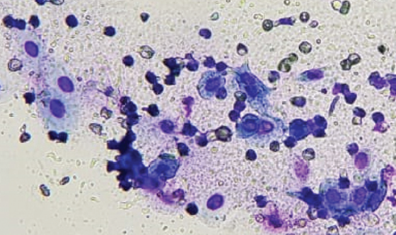
Особенность эпителизации роговичного трансплантата состоит в том, что замещение дефекта идёт путём миграции зрелых клеток роговичного эпителия с краёв эпителиального дефекта. В первую очередь на поверхности эпителиального дефекта фиксируются клетки неправильной многоугольной формы с отростками. Цитоморфологическое исследование на вторые сутки после сквозной кератопластики у пациентки с буллёзной кератопатией показало наличие отдельных длинных отросчатых клеток неправильной формы, пласты более мелких эпителиальных клеток наряду с единичными клетками воспалительного типа — нейтрофилами (рис. 1).
Рис. 1. Пациентка А. Диагноз: «OD — буллёзная кератопатия. Вторые сутки после сквозной кератопластики». Окраска Лейкодиф 200 (LDF 200). Увеличение ×400
Fig. 1. Patient A. Diagnosis: Bullous keratopathy of the right eye. Second day after penetrating keratoplasty. Leucodif 200 (LDF 200) stain. Magnification ×400
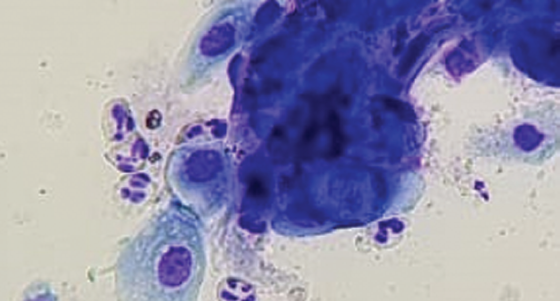
В группе больных, оперированных по поводу язвы роговицы после длительной противовоспалительной терапии, наблюдалась иная картина замещения эпителиального дефекта. В мазке-отпечатке у больного из этой группы на вторые сутки после операции определялось большое количество воспалительных клеток — нейтрофилов и лимфоцитов (рис. 2). Эпителиальные клетки имели округлую форму, были меньше по размеру, с более тёмной цитоплазмой и с большим количеством включений. Наличие клеток с тёмной цитоплазмой и большим количеством включений объясняется активностью воспалительных процессов. Активные клетки продуцируют матриксные металлопротеиназы, приводящие к лизису базальной мембраны и расщеплению межклеточных связей и, как следствие, к десквамации целых пластов эпителиальных клеток. Однако в зоне дефекта эпителия десквамированные эпителиальные клетки не могут фиксироваться на поверхности трансплантата в силу продолжающейся активности матриксных металлопротеиназ [9, 10].
Рис. 2. Пациентка Р. Диагноз: «OS — язва роговицы. Вторые сутки после сквозной кератопластики». Окраска Лейкодиф 200 (LDF 200). Увеличение ×400
Fig. 2. Patient R. Diagnosis: Corneal ulcer of the left eye. Second day after penetrating keratoplasty. Leucodif 200 (LDF 200) stain. Magnification ×400
Руководствуясь результатами цитоморфологического исследования и анализом ранее выполненных исследований, мы разработали схему послеоперационного лечения данных пациентов. Прежде всего, конечно, в неё вошли нестероидные противовоспалительные препараты и кортикостероиды. Местное применение кортикостероидов подавляет воспаление в тканях переднего сегмента глаза и тем самым уменьшает миграцию воспалительных клеток, способствует ограничению лизиса и восстановлению эпителиального слоя.
В раннем послеоперационном периоде эпителизации роговицы препятствуют такие дополнительные факторы, как денервация роговицы, частое закапывание растворов лекарственных препаратов и истощение регенераторных способностей клеток эпителия. Аномальные клетки не в состоянии быстро мигрировать из базальных в апикальные слои и центрипетально в направлении дефекта. Кроме того, они не способны образовывать прочные межклеточные связи, а значит формировать монослой, что особенно важно в период начала «клинически видимой» эпителизации [12, 13].
С целью создания более благоприятных условий для замещения эпителиального дефекта в комплекс послеоперационного лечения были добавлены глазные капли, содержащие гиалуронат натрия. Образование на поверхности передней пограничной мембраны временной плёнки обеспечивает сохранность гликокаликса и способствует фиксации мигрирующих эпителиоцитов в зоне дефекта.
Мазки-отпечатки с передней поверхности трансплантата на 10–12-й день после кератопластики продемонстрировали эффективность предложенного комплекса послеоперационного лечения, включающего наряду с антисептиками кортикостероиды и препарат, содержащий гиалуронат натрия. У пациентов, оперированных по поводу буллёзной керетопатии, и у пациентов, оперированных по поводу язвы роговицы (рис. 3, 4), на цитограммах этого срока отмечаются более зрелые клетки, характерные для поверхностных слоёв эпителиального покрова, и только единичные нейтрофилы. При биомикроскопии с окраской поверхности роговицы флуоресцеином отсутствовали дефекты эпителиального покрова. При этом сохранялись отёчность и рыхлость эпителия роговицы, которая была более выражена у пациентов с более длительным анамнезом заболевания до кератопластики. С 10-го дня послеоперационного периода в схему лечения были внесены изменения, а именно отменены антибактериальные препараты и назначен препарат Виксипин на последующие 10–15 дней. Виксипин представляет собой комбинированный препарат: наряду с основным действующим веществом — метилэтилпиридинола гидрохлоридом в его составе входит ещё и гиалуронат натрия. Метилэтилпиридинол является ингибитором свободно-радикальных процессов, антигипоксантом и антиоксидантом, повышает содержание циклических нуклеотидов (цАМФ и цГМФ). Повышение уровня цАМФ приводит к уменьшению митозов и подвижности, способствует усилению пролиферативной активности эпителиальных клеток [11], что в свою очередь обеспечивает формирование полноценного многослойного эпителия на трансплантате. Использование производителями циклодекстрина для получения раствора метилэтилпиридинола позволяет повысить терапевтическую эффективность и снизить кратность закапывания до двух раз в день. Наличие натрия гиалуроната наряду с созданием условий на поверхности роговицы для фиксации эпителиальных клеток даёт возможность уменьшить количество закапываемых препаратов и тем самым уменьшить токсическое действие консервантов.
Исследование цитограмм эпителия роговицы через 60 и более суток после кератопластики (рис. 5) у наблюдаемых пациентов подтверждает эффективность препарата Виксипин. При анализе мазков-отпечатков пациентов, оперированных по поводу дистрофических заболеваний роговицы и бактериальных кератитов, не было выявлено значимых различий. На цитограммах представлены единично расположенные зрелые клетки, характерные для поверхностного слоя роговичного эпителия.
Рис. 3. Пациентка Р. Диагноз: «OD — буллёзная кератопатия. Десятые сутки после сквозной кератопластики». Окраска Лейкодиф 200 (LDF 200). Увеличение ×400
Fig. 3. Patient R. Diagnosis: Bullous keratopathy of the right eye. 10th day after penetrating keratoplasty. Leucodif 200 (LDF 200) stain. Magnification ×400
Рис. 4. Пациентка Н. Диагноз: «OS — язва роговицы. Десятые сутки после сквозной кератопластики». Окраска Лейкодиф 200 (LDF 200). Увеличение ×400
Fig. 4. Patient N. Diagnosis: Corneal ulcer of the left eye. 10th day after penetrating keratoplasty. Leucodif 200 (LDF 200) stain. Magnification ×400
Рис. 5. Пациент В. Диагноз: «OD — буллёзная кератопатия. 90 суток после сквозной кератопластики». Окраска Лейкодиф 200 (LDF 200). Увеличение ×400
Fig. 5. Patient R. Diagnosis: Bullous keratopathy. 90 days after penetrating keratoplasty. Leucodif 200 (LDF 200) stain. Magnification ×400
ВЫВОДЫ
Таким образом, наличие на цитограммах с поверхности роговичного трансплантата на вторые сутки после операции вытянутых отросчатых эпителиоцитов, присутствующих в мигрирующих клетках, позволяет утверждать, что восстановление эпителиального слоя начинается благодаря миграции зрелых эпителиальных клеток с краёв раны собственной роговицы пациента.
Длительно существующий эпителиальный дефект эпителия у пациентов, оперированных по поводу кератитов, вероятно, обусловлен сохранением активности воспалительных агентов в раннем послеоперационном периоде, что объясняет наличие в цитограммах у этих пациентов клеток с тёмной цитоплазмой и большим количеством включений.
Применение противовоспалительной терапии и препаратов, содержащих натрия гиалуронат и антиоксидант, в послеоперационном периоде способствует фиксации мигрирующих эпителиоцитов и, соответственно, формированию полноценного многослойного эпителия, что позволяет рекомендовать Виксипин для лечения больных после кератопластики.
Источники финансирования: Е.С. Милюдин имеет финансовую заинтересованность, источник финансирования — компания «Солофарм».
Конфликт интересов отсутствует.
About the authors
Evgeniy S. Miludin
GBUZ Samara Regional Clinical Ophthalmologic Hospital
Author for correspondence.
Email: miljudin@mail.ru
ORCID iD: 0000-0001-7610-7523
SPIN-code: 2034-2910
Scopus Author ID: 7801402280
д-р мед. наук, заведующий отделением, врач-офтальмолог высшей категории
Russian Federation, SamaraKseniya E. Kuchuk
Samara State Medical University
Email: kuchukke@rambler.ru
SPIN-code: 7785-4779
Ophthalmologist
Russian Federation, SamaraReferences
- Слонимский А.Ю., Слонимский Ю.Б., Долгий С.С. Сквозная пересадка роговицы при гнойных процессах переднего отрезка глазного яблока // РМЖ. Клиническая офтальмология. – 2010. – Т. 11. – № 1. – С. 11–14. [Slonimskii AY, Slonimskii YB, Dolgii SS. Penetrating keratoplasty in patients with purulent processes of anterior eye segment. RMZh. Klinicheskaya oftalmologiya. 2010;11(1):11-14. (In Russ.)]
- Злобин И.А., Черныш В.Ф., Чурашов С.В., и др. Роль импрессионной цитологии в оценке фенотипа эпителия роговицы при решении вопроса о показаниях к операции оптической кератопластики // Вестник Российской военно-медицинской академии. – 2016. – № 1. – С. 89–93. [Zlobin IA, Chernysh VF, Churashov SV, et al. Role of impression cytology in cornea epithelium phenotype assessment at solution of question of indications to operation of optical keratoplasty. Vestnik Rossiiskoi voenno-meditsinskoi akademii. 2016;1:89-93. (In Russ.)]
- Милюдин Е.С., Золотарёв А.В., Милюдин А.Е. Возможности местной иммуносупрессии при повторной кератопластике // РМЖ. Клиническая офтальмология. – 2014. – Т. 14. – № 3. – С. 1–5. [Milyudin ES, Zolotarev AV, Milyudin AE. Possibilities of local immunosuppression in repeated keratoplasty. RMZh. Klinicheskaya oftalmologiya. 2014;14(3):1-5. (In Russ.)]
- Тонаева Х.Д., Онищенко Н.А., Борзенок С.А. Лимбальная трансплантация как способ индукции локальной иммунной толерантности при кератопластике высокого риска // Вестник трансплантологии и искусственных органов. – 2011. – Т. 13. – № 2. – С. 95–102. [Tonaeva KD, Onishchenko NA, Borzenok SA. Limbal transplantation as a method of local immune tolerance induction in high risk keratoplasty. Russian Journal of Transplantology and Artificial Organs. 2011;13(2):95-102. (In Russ.)]. https://doi.org/10.15825/1995-1191-2011-2-95-102.
- Feiz V, Mannis MJ, Kandavel G, et al. Surface keratopathy after penetrating keratoplasty. Trans Am Ophthalmol Soc. 2001;99:159-168.
- Tsubota K, Mashima Y, Murata H, et al. Corneal epithelium following penetrating keratoplasty. Br J Ophthalmol. 1995;79(3):257-260. https://doi.org/10.1136/bjo.79.3.257.
- Raj A, Dhasmana R, Bahadur H. Factors associated with surface epithelial keratopathy after optical penetrating keratoplasty. J Curr Ophthalmol. 2017;29(2):108-115. https://doi.org/10.1016/j.joco.2017.01.002.
- Борзенок С.А. Медико-технологические и методологические основы эффективной деятельности глазных тканевых банков России в обеспечении операций по сквозной трансплантации роговицы: Дис. … д-ра мед. наук. – М., 2008. – С. 240–259. [Borzenok SA. Mediko-tekhnologicheskiye i metodologicheskiye osnovy razvitiya deyatel’nosti glaznykh tkanevykh bankov Rossii v obespechenii operatsiy po skvoznoy transplantatsii rogovitsy. [dissertation] Moscow; 2008. P. 240-259. (In Russ.)]
- Труфанов С.В., Маложен С.А., Полунина Е.Г., и др. Синдром рецидивирующей эрозии роговицы (обзор) // Офтальмология. – 2015. – Т. 12. – № 2. – С. 4–12. [Trufanov SV, Malozhen SA, Polunina EG, et al. Recurrent corneal erosion syndrome (a review). Ophthalmology in Russia. 2015;12(2):4-12. (In Russ.)]. https://doi.org/10.18008/1816-5095-2015-2-4-12.
- Garrana RM, Zieske JD, Assouline M, Gipson IK. Matrix metalloproteinases in epithelia from human recurrent corneal erosion. Invest Ophthalmol Vis Sci. 1999;40(6):1266-1270.
- Feiz V, Mannis MJ, Kandavel G, et al. Surface keratopathy after penetrating keratoplasty. Trans Am Ophthalmol Soc. 2001;99:159-168.
- Smolin G. Suppression of the Corneal Homograft Reaction by Antilymphocyte Serum. Arch Ophthalmol. 1969;81(4):571-576. https://doi.org/10.1001/archopht.1969.00990010573020.
- Vannas A, Holden BA, Sweeney DF. Epithelial metabolism of the corneal graft is abnormal. Br J Ophthalmol. 1987;71(8):593-597. https://doi.org/10.1136/bjo.71.8.593.
Supplementary files









