Expression of p63 protein in pulmonary adenocarcinomas as factor of poor prognosis
- Authors: Byakhova M.M.1,2, Glazkov A.A.1, Vinogradov I.Y.3,4, Frank G.A.2
-
Affiliations:
- M.F. Vladimirsky Moscow Regional Research Clinical Institute
- Russian Medical Academy of Continuous Professional Education
- Ryazan Regional Clinical Oncologic Dispensary
- Ryazan State Medical University
- Issue: Vol 27, No 3 (2019)
- Pages: 315-324
- Section: Original study
- Submitted: 06.10.2019
- Published: 08.10.2019
- URL: https://journals.eco-vector.com/pavlovj/article/view/16339
- DOI: https://doi.org/10.23888/PAVLOVJ2019273315-324
- ID: 16339
Cite item
Abstract
Aim. To study the spectrum of cellular molecular-biological markers and identify those of them that can be used as prognostic factors for the clinical course of pulmonary adenocarcinoma.
Material and Methods. In the given work archive material of 129 patients with confirmed diagnosis of pulmonary adenocarcinoma was used. In the work, histological, immunohistochemical, molecular-genetic and statistical methods were used.
Results. In 29 cases (47.5%) of pulmonary adenocarcinoma, focal cytoplasmic and/or nuclear expression of p63 protein was observed in different proportions of cells. With expression of p63 in tumor cells, relapse-free survival was on average 25.7±5.1 months, while in patients with no expression of р63 it was 26.1±2.8 months. This parameter did not influence the overall survival of patients which was on average 33.6±2.7 months.
Conclusion. A weak tendency to reduction of relapse-free survival of patients with p63-positive pulmonary carcinoma of lungs was revealed. Identification of p63 in pulmonary adenocarcinoma may be regarded as a factor of unfavorable prognosis and of risk of faster tumor progression, which requires further study to increase the statistical value of research.
Keywords
Full Text
Pulmonary cancer (PC) is a heterogeneous group of malignant neoplasms of lungs which may be divided to 2 main groups – small cell lung cancer (SCLC, less than 15%) and non-small cell lung cancer (NSCLC). Adenocarcinomas (AC) constitute the largest part of NSCLC and account for 30-40% of all cases of PC. According to the classification of WHO, the group of AC includes tumors of different structure and different extent of differentiation [1]. This subtype mostly affects women, non-smoking individuals, and usually localizes in the peripheral parts of lungs [2, 3].
Morphological diagnosis of AC of lungs is usually based on histological preparations stained with hematoxylin and eosin. However, in some cases the diagnosis is associated with certain difficulties. Specification of the diagnosis in such difficult cases requires immunohistochemical examination with use of markers (antibodies) specific for different kinds of lung tissue, and of a wider range of markers on suspicion of the metastatic origin of the formation. Usually the diagnosis of the majority of AC cases is confirmed by a 3-marker panel which characterizes the immunophenotype of this type of tumor – cytokeratin 7 (CK7), transforming growth factor TTF-1, naps in A. Differential diagnosis of squamous cell cancer of lung suggests use of such markers as CK6 (cytokeratins that are usually intensely expressed by cells of squamous epithelium), p63 and TTF-1 [4-6]. However, immune-phenotype of low-differentiated variants of AC and squamous cell cancer (SCC) of lung is often characterized by expression of mar-kers non-inherent to well-differentiated variants. Thus, in some low-differentiated SCC of lungs, expression of TTF-1 (in 0.9% of cases) may be found, and, vice versa, p63is sometimes expressed by populations of AC cells (according to different data, in 1.3 cases of AC) [7-9]. Thus, Warth, et al. (2012) showed that in 12.1% of cases verified as AC of lung, expression of p63 was found [10]. It is important to bear in mind that the amount of p63-positive cells in AC is considerably lower than in SCC (where it is expressed by almost 100% of tumor cell nuclei) and they usually have focal, rather than diffused distribution [10].
Normally, expression TP63 gene is identified in basal and suprabasal cells of squamous epithelium of skin, esophagus, uterus, cervix, tonsils, urinary bladder, bronchi, mammary glands and prostate [11]. This gene plays an important role in maintenance of the population of pluripotent (stem) cells in these organs. It should be noted that point mutations in p63 gene are rarely identified, but they are rather common in different malignant tumors, including those of lungs, they induce amplification of gene and over expression of the protein coded for by this gene [12].
Aim – to study the spectrum of cellular molecular-biological markers and to identify those among them that can be used to predict the clinical course of pulmonary adenocarcinoma.
Materials and Methods
This work used archive material of 129 patients with confirmed diagnosis of PA who were examined and given treatment in M.F. Vladimirsky Moscow Regional Research Clinical Institute from January 2014 to July 2018. Use of biological material for scientific purposes was approved by the Local Ethics Committee.
Operations and diagnostic biopsies were taken in the Thoracic Department of the Institute. The diagnosis was made after histological examination of preparations stained with hematoxylin and eosin, and if necessary – after immunohistochemical examination according to recommendations of the applicable WHO classification of lung cancer [1].
Immunohistochemical examination was conducted according to the standard protocol. The material was fixed in 10% buffered formalin, sections of 4-5 µm thickness were applied on glasses with adhesive coating, after that they were dried at 37°C during night and then for one more hour at 60°C. Then sections were subjected to deparaffinization and restoration of antigenicity in accordance with the protocol recommend-ded for each specific antibody. On the surgical material IHC reaction was conducted in the automatic mode using the auotostainer Ventana (Italy), and on the diagnostic biopsies in case of their low amount it was done on serial sections manually. The antibody panel was used: cytokeratin (CK) of wide spectrum, (АЕ1/АЕ3 clone), CK of high molecular weighs (beta Е12 clone) CK7, CK5/6, р63, TTF-1, napsin A (Dako, Cell Marque, Ventana).
Mutations in EGFR gene in pulmonary cancer tissue were identified by polymerase chain reaction in real time with use of reagent kit Therascreen® EGFRRGQ PCR Kit (Qiagen, Holland) on Rotor-Gene Q apparatus (Qiagen, Holland) in accordance with the protocol of the manufacturer. DNA was isolated from paraffin blocks using Сobas DNA Sample Preparation Kit.
Categorical variables were analyzed using percentages, continuous variables were expressed in the form of mean values and standard deviations. Relapse-free survival rate was analyzed by Kaplan-Meier method; statistical significance of survival differences was checked by log rank test. Risk factors were analyzed using univariate regression. The differences were considered statistically significant at p<0.05. Statistical analyses were performed using soft ware SPSS version 21.0 (IBM Corporation, USA).
Of 129 patients with pulmonary adenocarcinoma (93 surgical and 43 diagnostic biopsies), 67 were men (52%) and 62 women (48%). 87 Patients were in the age group from 40 to 70 years old (67.4%), above 70 – 37 patients (28.7%), under 40 – 5 patients (3.9%).
According to TNM classification [13], patients with 1st stage PC made 10.1% (13 patents), 2nd stage – 10.1% (13 patients), 3nd stage – 17.8% (23 patients) and 4th stage – 10.8% (14 patients). In some patients TNM stage was absent. Summary data for the analyzed sample are presented in Table 1.
Results and Discussion
In 75 of 129 cases PA was diagnosed on the basis of morphological examination. All the rest cases required use of additional method – IHC which included a set of organ- and cell-specific markers corresponding to the localization of tumor in the lung. PA was determined on the basis of co-expression of СК7, TTF-1 and napsin А, and of the absence of expression of СК5/6 and р63 in tumor cells. However, in some cases there was observed expression of markers non-characteristic of the given PA subtype (Table 2). In 96.4% of cases (50 of 55) expression of CK7 in PA cells was observed, in 94.7% of cases (54 from 57) – of napsin А, in 34.8% (8 of 23) – of СК 5/6, in 47.5% (29 of 32) – of р63 (Table 2 and Figure 1).
Table 1
Clinico-Demographic Characteristics of Patients with Pulmonary Adenocarcinoma Included into Analysis
Parameter | Number of Patients | % |
Sex | ||
men | 67 | 52 |
women | 62 | 48 |
Age | ||
under 40 years | 5 | 3.9 |
40-70 years | 87 | 67.4 |
above 70 years | 37 | 28.7 |
PC degree | ||
1st degree | 13 | 10.1 |
2nd degree | 13 | 10.1 |
3d degree | 23 | 17.8 |
4th degree | 14 | 10.8 |
Table 2
Expression of Immunohistochemical Markers in Cells of Pulmonary Adenocarcinoma
Markers | Positive Expression | Absence of Expression |
СК7 | 53 (96.4%) | 2 (3.6%) |
TTF-1 | 50 (90.9%) | 5 (9.1%) |
Napsin А | 54 (94.7%) | 3 (5.3%) |
СК5/6 | 8 (34.8) | 15 (65.2) |
р63 | 29 (47.5%) | 32 (52.5%) |
According to the preliminary data obtained in the study, expression of only one marker in PA cells – р63 – is of prognostics significance. The difference in relapse-free survival (RFS) rate between the groups made 2.48±1.11 months, p<0.026. However, in case of increase in sample of patients and of the time of their observation, this tendency leveled out. But it should be noted that cytoplasmic and/or nuclear expression of р63in different proportion of PA cells was observed in 29 cases (47.5%, Figure 1). These patients presented with a more aggressive course of the disease. Thus, in patients with PA with expression of р63, RFS was on average 25.7±5.1 months, while in patients with no expression of р63 it was 26.1±2.8 months.
In conclusion, the following should be noted. P63 protein is coded for byТP63 gene that was discovered in 1998 and represents the TP53 family. It is located on 3q27-29 chromosome and consists of 15 exons. The protein coded for by this gene has a high degree of homology with р53 protein in regions of transactivation, DNA-binding and oligomerization domains, but differs from it in its C-terminal fragment. Unlike TP53 gene which codes only for one protein, although in different modifications, TP63 codes for several protein products at once. Matrix RNA (mRNA) of p63 may be synthesized from two promotors (TA and ΔN) and then be exposed to 3 alternative splicing regions (a, b and c) located in the carboxyl terminal region of the gene. In result, with participation of TP63 gene, 6 isoforms of p63 protein may be produced, both possessing (TA-forms) and non-pos-sessing (ΔN-forms) transactivation domain Figure 2) [14]. TAp63 isoform activates p53 gene, thus terminating the cell cycle and starting apoptosis, and ΔNp63 isoform, on the contrary, activates the mechanism of cell proliferation and inhibits apoptosis [16, 17]. ТАр63 isoforms may also activate other genes containing elements of similar structure. In particular, this isoform indirectly stimulates transcription of genes of Jag1and Jag2 proteins which are ligands for Notch receptors which activation plays a key role in selection of the direction of cell differentiation. Inactivation and/or loss of ТАр63 isoform in tumor cells increases their metastatic and invasive potential [15, 17].
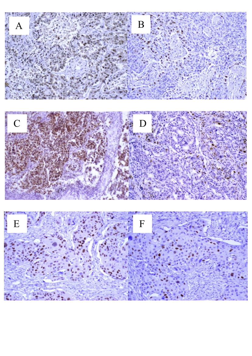
Fig. 1. Co-expression of TTF-1 and р63 cells of pulmonary adencarcinomas(immunohistochemical reaction with antibodies to TTF-1 and р63, magnification х 125 – A, B, C, D, magnificationх250 – E, F): expression of TTF-1 in most cells (A, B, E) with non-uniform and focal expression of р63 (B, D, F)
Fig. 2. Scheme of ТР63 gene and of its proteins: Scheme of exons and respective domains of TP63 gene; B. Isoforms of р63 proteins [14, 11]
It was shown in some recent research that p63 gene promotes transformation of stem cells for differentiation to squamous cell [14]. It was demonstrated on experimental models that expression of this gene in embryogenesis is necessary for normal morphogenesis of the epidermis including maturation of teeth, hair, mammary glands, prostate, sweat and lacrimal glands and of their organs and systems [15]. Transformation of non-differentiated stem cells to tissue stem basal cells leads to formation of normal epithelium. In an adult organism, p63 plays an important role in maintenance of the population of stem cell in the squamous and stratified epithelium. In norm, basal, ciliated, goblet, alveolar cells also intensely express p63. With this, cells that express p63 are also diffused in the terminal bronchioles. Expression of p63is as well seen in myoepithelial cells localized in the sub mucosal layer of bronchial glands [12, 16, 17].
In the given research, expression of p63 was found in 47.5% of cases of PA, while different authors give different information concerning the rate of expression of this marker. Thus, according to P.P. Massion, et al. (2003), expression of p63 was observed in 18% of cases (17 of 93) [18], according to G. Pelosi, et al. (2002) – в 16% (15 of 95 cases), according F. Bir, et al. (2014) – in 25% [12], and according to B.Y. Wang, et al. (2002) – in 60% of cases [19]. These differences may very likely be attributed to different approaches to estimation.
In our research a mild tendency to decline of relapse-free survival of patients with p63-positive PA was found. Similar data were obtained in some international research works. Thus, according to M.L. Iacono, et al. (2011), expression of N-terminal end isoform of p63 in tumor cells was reliably associated with survival of patients with NSCLC, and the multivariate analysis showed 8.09-fold increase (at р=0.001) in the relative risk for unfavorable outcome. The authors also note that detection of such type of protein in the normal lung tissue furthers its malignant transformation [20]. The research of T. Narahashi, et al. (2006) showed correlation between expression of p63 in the cytoplasm of tumor cells and poor prognosis for patients with PA, and the survival of the group with cytoplasmic expression of this protein and the group where the expression was absent was 2.6 against 4.64 [21]. E. Ko, et al. (2013) showed p63 gene and RASSF1A gene to be independent factors for recurrences of tumor growth after surgical removal of pulmonary cancer in the 1-2 stage without involvement of lymph node [22].
The work of M-Ch. Aubry, et al. (2015) showed correlation between expression of p63 in PA and amplification of TP63 gene. Besides, the authors revealed a complex restructure in B3GALNT1 gene located on the 3nd (3q26.1a) chromosome [23]. However, the clinical significance of this restructure of the gene is yet unclear, and further investigations are required in this direction. Amplification of p63 gene and its expression were also observed in dysplasia and in-situ carcinoma of lung. This permitted the authors to suggest an important role of p63 gene and of its expression in the cells of pulmonary epithelium in the mechanism of carcinogenesis.
Anomalies in EGFR gene were detected in 25 patients (31%): у 15 patients – del19ex, in 10 patients – L858R. To note, the main group of patients with identified mutations were women (19 cases).
No dependence was found between expression of p63 in cells of PA and the identified disorders in EGFR gene. Disorders in p63 gene were identified both in the group positive for the studied protein in which there were 5 patients with different mutations in gene (3 del19ex and 2L858R), and in the group of patients without p63 expression (Table 3).
Table 3
Identified Mutations of EGFR in Patients with Expression and Absence of Expression of р63
| Positive р63 Expression | Absence of р63 Expression |
Mutation in EGFR gene | 5 | 4 |
Absence of mutation in EGFR gene | 10 | 12 |
Conclusion
A mild tendency was found to decline of relapse-free survival of patients with р63-positive pulmonary adenocarcinomas. Expression of p63 in pulmonary adenocarcinomas may be regarded as a factor of poor prognosis and of risk for faster progress of tumor process and requires further investigation with increase in the study power.
We believe that in-depth analysis of medical history of patients with pulmonary adenocarcinomas, increase in the sample volume with analysis of stages of the disease at the moment of making diagnosis, as well as study of expression of different p63 isoforms in them, will permit to make a more reliable judgment about prognostic significance of this factor for the course of the disease.
About the authors
Maria M. Byakhova
M.F. Vladimirsky Moscow Regional Research Clinical Institute; Russian Medical Academy of Continuous Professional Education
Author for correspondence.
Email: biakhovamm@mail.ru
ORCID iD: 0000-0002-5296-0068
SPIN-code: 2590-6506
ResearcherId: G-4419-2017
MD, PhD, Senior Researcher of the Pathoanatomical Department; Associate Professor of the Department of Pathological Anatomy
Russian Federation, MoscowAlexey A. Glazkov
M.F. Vladimirsky Moscow Regional Research Clinical Institute
Email: biakhovamm@mail.ru
ORCID iD: 0000-0001-6122-0638
SPIN-code: 3250-1882
ResearcherId: R-7373-2016
Researcher of the Experimental and Clinical Research Department
Russian Federation, MoscowIgor Yu. Vinogradov
Ryazan Regional Clinical Oncologic Dispensary; Ryazan State Medical University
Email: biakhovamm@mail.ru
ORCID iD: 0000-0002-7239-0111
SPIN-code: 5110-8790
ResearcherId: Q-2281-2019
MD, PhD, Head of the Department of Pathological Anatomy; Senior Researcher of the Central Research Laboratory
Russian Federation, RyazanGeorge A. Frank
Russian Medical Academy of Continuous Professional Education
Email: biakhovamm@mail.ru
ORCID iD: 0000-0002-3719-5388
SPIN-code: 9004-4142
ResearcherId: P-1111-2019
MD, PhD, Professor, Academician of the Russian Academy of Sciences, Head of the Department of Pathological Anatomy
Russian Federation, MoscowReferences
- Travis WD, Brambilla E, Burke AP, et al. editors. WHO Classification of tumours of the lung, pleura, thymus and heart. 4th ed. Lyon: IARC; 2015.
- Mountzios G, Dimopoulos MA, Soria JC, et al. Histopathologic and genetic alterations as predictors of response to treatment and survival in lung cancer: a review of published data. Critical Reviews Oncology/Hematology. 2010;75(2):94-109. doi:10. 1016/j.critrevonc.2009.10.002
- Langer CJ, Besse B, Gualberto A, et al. The evolving role of histology in the management of advanced non-small-cell lung cancer. Journal of Clinical Oncology. 2010;28(36):5311-20. doi: 10.1200/JCO.2010. 28.8126
- Sinna EA, Ezzat N, Sherif GM. Role of thyroid transcription factor-1 and P63 immunocytochemistry in cytologic typing of non-small cell lung carcinomas. Journal of the Egyptian National Cancer Institute. 2013;25(4):209-18. doi: 10.1016/j.jnci.2013.05.005
- Koh J, Go H, Kim MY, et al. A comprehensive immunohistochemistry algorithm for the histological sub typing of small biopsies obtained from non-small cell lung cancers. Histopathology. 2014; 65(6):868-78. doi: 10.1111/his.12507
- Pelosi G, Rossi G, Bianchi F, et al. Immunohistochemistry by means of widely agreed-upon markers (cytokeratins 5/6 and 7, p63, thyroid transcription factor-1, and vimentin) on small biopsies of non-small cell lung cancer effectively parallels the corresponding profiling and eventual diagnoses on surgical specimens. Journal Thoracic Oncology. 2011;6(6):1039-49. doi: 10.1097/JTO.0b013e3182 11dd16
- Terry J, Leung S, Laskin J, et al. Optimal immu-nohistochemical markers for distinguishing lung adenocarcinomas from squamous cell carcinomas in small tumor samples. American Journal of Surgery Pathology. 2010; 34(12):1805-11. doi:10.1097/ PAS.0b013e3181f7dae3
- Kargi A, Gurel D, Tuna B. The diagnostic value of TTF-1, CK 5/6, and p63 immunostaining in classification of lung carcinomas. Applied Immunohistochemistry & Molecular Morphology. 2007;15(4): 415-20. doi: 10.1097/PAI.0b013e31802fab75
- Nicholson AG, Gonzalez D, Shah P, et al. Refining the diagnosis and EGFR status of non-small cell lung carcinoma in biopsy and cytologic material, using a panel of mucin staining, TTF-1, cytokeratin 5/6, and P63, and EGFR mutation analysis. Journal Thoracic Oncology. 2010;5(4):436-41. doi:10.1097/ JTO.0b013e3181c6ed9b
- Warth A, Muley T, Herpel E, et al. Large-scale comparative analyses of immunomarkers for diagnostic sub typing of non-small-cell lung cancer biopsies. Histopathology. 2012;61(6):1017-25. doi:10.1111/ j.1365-2559.2012.04308.x
- Nobre AR, Albergaria A, Schmitt F. p40: a p63 isoform useful for lung cancer diagnosis – a review of the physiological and pathological role of p63. Acta Cytologica. 2013;57(1):1-8. doi: 10.1159/000345245
- Bir F, Aksoy AA, Satiroglu-Tufan NL, et al. Potential utility of p63 expression in differential diagnosis of non-small-cell lung carcinoma and its effect on prognosis of the disease. Medical Science Monitor. 2014;9(20):219-26. doi: 10.12659/MSM.890394
- Brierley JD, Gospodarowicz MK, Wittekind Chr. TNM Classification of Malignant Tumours. 8th ed. Wiley-Blackwell; 2016.
- Zaridze DG. Carcinogenesis. Moscow; 2004. (In Russ).
- Gonfloni S, Caputo V, Iannizzotto V. P63 in health and cancer. International Journal Developmental Biology. 2015;59(1-3):87-93. doi: 10.1387/ijdb.150045sg
- Adorno M, Cordenonsi M, Montagner M, et al. A Mutant-p53/Smad complex opposes p63 to empower TGFbeta-induced metastasis // Cell. 2009; 137(1):87-98. doi: 10.1016/j.cell.2009.01.039
- Pelosi G, Pasini F, Olsen SC, et al. p63 immunoreactivity in lung cancer: yet another player in the development of squamous cell carcinomas? Journal of Pathology. 2002;198(1):100-9.
- Massion PP, Taflan PM, Jamshedur RSM, et al. Significance of p63 amplification and overexpression in lung cancer development and prognosis. Cancer Research. 2003;63(21):7113-21.
- Wang BY, Gil J, Kaufman D, et al. P63 in pulmonary epithelium, pulmonary squamous neoplasms, and other pulmonary tumors. Human Pathology. 2002;33(9):921-6 doi: 10.1053/hupa.2002.126878
- Iacono M, Monica V, Saviozzi S, et al. p63 and p73 Isoform Expression in Non-small Cell Lung Cancer and Corresponding Morphological Normal Lung Tissue. Journal of Thoracic Oncology. 2011;6(3): 473-81. doi: 10.1097/JTO.0b013e31820b86b0
- Narahashi T, Niki T, Wang T, et al. Cytoplasmic localization of p63 is associated with poor patient survival in lung adenocarcinoma. Histopathology. 2006;49(4):349-57. doi: 10.1111/j.1365-2559.2006. 02507.x
- Ko E, Lee BB, Kim Y, et al. Association of RASSF1A and p63 with poor recurrence-free survival in node-negative stage I-II non-small cell lung cancer. Clinical Cancer Research. 2013;19(5): 1204-12. doi: 10.1158/1078-0432.CCR-12-2848
- Aubry MC, Roden A, Murphy SJ, et al. Chromosomal rearrangements and copy number abnormalities of TP63 correlate with p63 protein expression in lung adenocarcinoma. Modern Pathology. 2015; 28(3):359-66. doi: 10.1038/modpathol.2014.118
Supplementary files








