Pregnancy outcomes in women of different body types in cervical insufficiency
- 作者: Loseva O.I.1, Komissarova E.N.1, Karelina N.R.1, Gaiducov S.N.1
- 
							隶属关系: 
							- St. Petersburg State Pediatric Medical University
 
- 期: 卷 9, 编号 4 (2018)
- 页面: 44-49
- 栏目: Articles
- URL: https://journals.eco-vector.com/pediatr/article/view/10403
- DOI: https://doi.org/10.17816/PED9444-49
- ID: 10403
如何引用文章
全文:
详细
The rate of preterm birth remains high and has no downward trend, despite the introduction of new technologies. Isthmic-cervical insufficiency is one of the most important causes of premature birth. At the same time, many issues related to the prediction and treatment of isthmic-cervical insufficiency remain open. There is now a sufficient number of studies showing the relationship between somatotype, course and outcome of the disease. At the same time, stu dies related to the study of somatotypes in obstetric pathology are not enough.
The aim of the work is to assess the outcomes of pregnancy in women with isthmic-cervical insufficiency, taking into account the type of physique.
Materials and methods. the course and outcomes of pregnancy in 164 women with cervical insufficiency were studied. A computer somatotropina by R.N. Dorokhov all the best for measured strength of the pelvic floor muscles using a device pelvic muscle trainer.
Conclusions. The most frequently CI was found in women with mesosomatic and micro mesosomatic somatotype. Women macromesosomatic and micromesosomatic body types revealed low levels of muscle strength of the pelvic floor and a higher percentage of premature births. In groups macrosomy, macromesosomatic, microsomal body types often use different methods of correction CI. At the same time, the highest percentage of surgical correction of CI was observed in patients with macrosomatic type of physique. In other patients with different somatotypes, a non-surgical correction method was used.
全文:
Как известно, конституция человека представляет собой совокупность морфологических и функциональных характеристик организма, определившихся на основе наследственных и приобретенных свойств. Тип телосложения — главный фактор большинства физических и психических проявлений жизнедеятельности живого организма [3, 6]. В литературе имеется много работ, в которых отмечена связь типов телосложения с исходом ряда заболеваний. В последнее время появляются отдельные работы, в которых показано значение определения соматотипа в период беременности [2, 5].
Истмико-цервикальная недостаточность (ИЦН) является причиной 15–40 % самопроизвольных абортов и до 30 % преждевременных родов и непосредственно влияет не только на репродуктивное здоровье, но и на младенческую смертность. Причины развития ИЦН многообразны. Так, достаточно хорошо изучена роль генетических факторов в развитии ИЦН [11], совсем недавно представлены данные о взаимосвязи пролапса тазовых органов у женщин, перенесших ИЦН во время беременности [9]. При этом работы, относящиеся к изучению соматотипа у беременных с данной акушерской патологией, отсутствуют. Поэтому представляется крайне важным с практической точки зрения оценить течение и исходы беременности у женщин с ИЦН при разных типах телосложения.
Материалы и методы
На базе Перинатального центра ФГБО УВО «СПбГПМУ» МЗ РФ было исследовано течение и исход беременности у 164 женщин с истмико-цервикальной недостаточностью. Проведено компьютерное соматотипирование по Р.Н. Дорохову (1984–1994), при котором учитывали пять основных и два переходных соматических типа, рассматриваемые не как дискретные соматические типы, а как фрагменты непрерывного ряда варьирования [4, 5]. Выделяли следующие соматические типы: наносомный (НаС), микросомный (МиС), мезосомный (МеС), макросомный (МаС) и мегалосомный (МеrС), а также переходные соматические типы — микромезосомный (МиМеС) и макромезосомный (МаМеС).
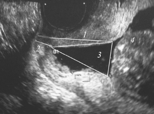
Диагноз ИЦН устанавливали на основании анамнестических данных, клинических и инструментальных методов исследования. При влагалищном исследовании оценивали длину вагинальной части шейки матки, консистенцию, положение шейки матки, состояние наружного маточного зева, проходимость цервикального канала. Диагноз подтверждали общепринятыми ультразвуковыми критериями (сохраненная часть шейки матки, состояние внутреннего зева, раскрытие цервикального канала) [9] (рис. 1).
Рис. 1. Беременность 20 недель, истмико-цервикальная недостаточность: 1 — общая длина шейки матки; 2 — сохраненная часть шейки матки; 3 — воронкообразное открытие внутреннего зева; 4 — предлежащая часть плода
Fig. 1. Pregnancy 20 weeks SI, 1 – the total length of the cervix, 2 – the retained part of the cervix, 3 – the funnel – shaped opening of the inner throat, 4 – the adjacent part of the fetus
Степень выраженности ИЦН и необходимость коррекции определяли по балльной шкале Бишопа. В коррекции нуждались женщины, имевшие 5 и более баллов. Длина сохраненной части шейки матки менее 24 мм при цервикометрии в 20 недель гестации являлась критической и требовала проведения коррекции.
Силу мышц тазового дна измеряли с помощью прибора pelvic muscle trainer. При этом исследовании пациентке в положении лежа на спине с согнутыми в коленных суставах ногами датчик прибора помещали во влагалище. После того как прибор нагнетал воздух в манжетку датчика, пациентку просили максимально сжать мышцы тазового дна, и на циферблате фиксировали значения в мм рт. ст.
Дискриминантный анализ позволил предсказать принадлежность обследуемых к пяти непересекающимся группам по габаритному уровню варьирования. Распределение пациенток происходило как по морфологическим, так и по гинекологическим признакам со статистическим критерием уровня значимости p ≤ 0,001.
Результаты
Распределение пациенток по типам телосложения оказалось неравномерным. Выявлены доминирующие типы телосложения по развитию ИЦН. Мезосомный тип — 72 пациентки (44 %), микромезосомный тип — 54 пациентки (33 %), макромезосомный тип — 18 пациенток (11 %), макросомный тип — 10 пациенток (6 %), микросомный тип — 10 пациенток (6 %).
Из табл. 1 видно, что признаки ИЦН наиболее рано выявлялись у беременных макромезосомного и макросомного типов телосложения. Наиболее поздно ИЦН обнаруживали у пациенток с МиМеС-телосложением.
Таблица 1. Среднее значение срока гестации и силы мышц тазового дна при развитии истмико-цервикальной недостаточности у женщин разных соматотипов
Table 1. Average gestational age and strength of pelvic floor muscles in the development of isthmic-cervical insufficiency in women of different somatotypes
| Показатели / Indicators | МаС / МаS (n = 10) | МаМеС / MаMеS (n = 18) | МеС / MeS (n = 72) | МиМеС / MiMeS (n = 54) | МиС / MiS (n = 10) | 
| Срок гестации при установлении диагноза ИЦН, нед. / The gestational age when the diagnosis ICI (in weeks) | 21/22 | 20/21 | 24/25 | 25/26 | 23/24 | 
| Среднее значение силы мышц тазового дна, мм рт. ст. / The average strength of the pelvic floor muscles, mmHg | 67,8 ± 4,6 | 60,1 ± 2,3 | 63,4 ± 1,1 | 61,1 ± 1,1 | 60,0 ± 2,7 | 
| Примечание. МаС — макросомный; МаМеС — макромезосомный; МеС — мезосомный; МиМеС — микромезосомный; МиС — микросомный; ИЦН — истмико-цервикальная недостаточность. Note. МаS – macrosomy; MаMеS – macromesosomatic; MeS – mesosomatic; MiMeS – micromesosomatic; MiS – microsomal | |||||
При изучении у беременных силы мышц тазового дна были получены данные, свидетельствующие о том, что наименьшие значения данного показателя имели пациентки макромезосомного и микросомного типов телосложения (см. табл. 1).
Данные табл. 2 наглядно показывают, что наименьшие средние значения длины шейки матки и высокую оценку по шкале Бишопа имели женщины макросомного и микросомного типов тело сложения по сравнению с другими соматотипами. У женщин макромезосомного типа телосложения с наибольшей длиной шейки матки по ультразвуковому исследованию среднее значение баллов по шкале Бишопа было наименьшим.
Таблица 2. Характеристика шейки матки у женщин с истмико цервикальной недостаточностью разных типов телосложения
Table 2. Сharacteristics of the cervix in women with cervical insufficiency of different body types
| Антропометрические показатели / Anthropometric indicators | МаС / MaS (n = 10) | МаМеС / MаMеS (n = 18) | МеС / MeS (n = 72) | МиМеС / MiMeS (n = 54) | МиС / MiS (n = 10) | 
| Длина сохраненной части шейки матки (вагинально) / The length of the preserved part of the neck of the uterus (vaginally) | 16,3 ± 5,2 | 21,4 ± 2,4 | 17,8 ± 1,3 | 17,5 ± 0,9 | 15,0 ± 2,8 | 
| Длина сохраненной части шейки матки (по УЗИ) / The length of the preserved part of the neck of the uterus (on ultrasound) | 20,5 ± 4,2 | 22,88 ± 2 | 18,0 ± 1,2 | 18,1 ± 1,3 | 17,2 ± 3,2 | 
| Количество баллов по шкале Бишопа / Number of points on the Bishop scale | 4,5 ± 1,5 | 3,7 ± 0,6 | 4,5 ± 0,5 | 4,2 ± 0,4 | 4,8 ± 1,5 | 
| Примечание. МаС — макросомный; МаМеС — макромезосомный; МеС — мезосомный; МиМеС — микромезосомный; МиС — микросомный. Note. МаS – macrosomy; MаMеS – macromesosomatic; MeS – mesosomatic; MiMeS – micromesosomatic; MiS – microsomal | |||||
При факторном анализе выявлены высокие корреляции взаимосвязи размеров таза у женщин с количеством баллов по Бишопу (r = 0,617 при p ≤ 0,001), что доказывает связь локальной конституции с развитием ИЦН, а также взаимосвязь силы мышц тазового дна и балльной оценки состояния шейки матки по шкале Бишопа при p ≤ 0,001.
Нами проанализированы используемые методы коррекции у обследованных пациенток. Оказалось, что в группах макросомного, макромезосомного, микросомного типов телосложения чаще применялись методы коррекции ИЦН (табл. 3). Наиболее высокий процент хирургической коррекции ИЦН отмечен у пациенток макросомного типа телосложения. У остальных пациенток с различными соматотипами прибегали к нехирургическому методу коррекции, а именно акушерскому пессарию, который предназначен для лечения ИЦН.
Таблица 3. Методы коррекции у женщин с истмико-цервикальной недостаточностью разных типов телосложения
Table 3. Methods of correction in women with isthmic-cervical insufficiency on different body types
| Методы коррекции / Correction methods | МаС / MaS (n = 10) | МаМеС / MaMeS (n = 18) | МеС / MeS (n = 72) | МиМеС / MiMeS (n = 54) | МиС / MiS (n = 10) | |||||
| абс. ч. | % | абс. ч. | % | абс. ч. | % | абс. ч. | % | абс. ч. | % | |
| Общее число женщин с коррекцией / Total number of women with correction | 10 | 100,0 | 15 | 83,3 | 44 | 61,1 | 41 | 75,9 | 8 | 80,0 | 
| АРП / Pessary | 2 | 20,0 | 10 | 55,6 | 41 | 56,9 | 36 | 66,7 | 5 | 50,0 | 
| Шов / Seam | 8 | 80,0 | 5 | 27,7 | 3 | 4,2 | 5 | 9,2 | 3 | 30,0 | 
| Примечание. МаС — макросомный; МаМеС — макромезосомный; МеС — мезосомный; МиМеС — микромезосомный; МиС — микросомный; ИЦН — истмико-цервикальная недостаточность; АРП — акушерский пессарий. Note. МаS – macrosomy; MаMеS – macromesosomatic; MeS – mesosomatic; MiMeS – micromesosomatic; MiS – microsomal | ||||||||||
В табл. 4 представлен исход родов женщин разных соматотипов. Оказалось, что самое большое число преждевременных родов отмечено в группе пациенток с макромезосомным и микросомным типами телосложения. Реже всего преждевременные роды наблюдались у женщин макросомного и макромезосомного типов телосложения.
Таблица 4. Исход родов у женщин с истмико-цервикальной недостаточностью разных соматотипов
Table 4. Outcome of birth in women with isthmic-cervical insufficiency of different somatotypes
| Исход родов / Outcome of childbirth | МаС / MaS (n = 10) | МаМеС / MaMeS (n = 18) | МеС / MeS (n = 72) | МиМеС /MiMeS (n = 54) | МиС / MiS (n = 10) | |||||
| абс. ч. | % | абс. ч. | % | абс. ч. | % | абс. ч. | % | абс. ч. | % | |
| Срочные роды / Delivery on time | 7 | 70,0 | 8 | 44,4 | 57 | 79,2 | 31 | 57,4 | 5 | 50,0 | 
| Преждевременные роды / Preterm birth | 3 | 10,0 | 10 | 55,6 | 15 | 20,8 | 23 | 42,6 | 5 | 50,0 | 
| Примечание. МаС — макросомный; МаМеС — макромезосомный; МеС — мезосомный; МиМеС — микромезосомный; МиС — микросомный; ИЦН — истмико-цервикальная недостаточность. Note. МаS – macrosomy; MаMеS – macromesosomatic; MeS – mesosomatic; MiMeS – micromesosomatic; MiS – microsomal | ||||||||||
Выводы
Выявлены превалирующие соматотипы женщин, у которых во время беременности обнаружена ИЦН. К таким типам относятся мезосомный и микромезосомный соматотипы. У макромезосомного и микромезосомного типов женщин с ИЦН отмечены худшее состояние шейки матки, чем у пациенток макросомного, микросомного и мезосомного типов телосложения, о чем свидетельствует более высокий балл оценки шейки матки по шкале Бишопа. Соответственно у этих соматотипов чаще использовали различные методы коррекции ИЦН. Вероятно, с этим связан весьма низкий процент преждевременных родов в группе МаС (10 %) по сравнению с другими группами. Женщины переходных типов (МаМеС и МиМеС) имели высокие показатели среднего значения длины шейки матки, высокие показатели балльной шкалы Бишопа. Установлена взаимосвязь между силой мышц тазового дна и развитием пролапса органов малого таза у женщин спустя 10 лет после выявления ИЦН при беременности [10]. По нашим данным, у женщин макромезосомного и микромезосомного типов телосложения выявляли низкие показатели среднего значения силы мышц тазового дна и больший процент преждевременных родов. Можно предположить, что низкое значение показателя силы мышц тазового дна связано с развитием ИЦН. Представляется оправданным определение данного показателя у беременных. При низких показателях силы мышц тазового дна беременную следует отнести к группе риска по преждевременным родам. В настоящее время используют хирургический и консервативный методы коррекции ИЦН. Хирургический метод (наложение шва на шейку матки) является инвазивным вмешательством, требующим анестезиологического пособия, как и все хирургические операции, имеет ряд осложнений [8]. Консервативный метод заключается в установке акушерского пессария во влагалище с целью сакрализации шейки матки и перераспределения массы беременной матки с шейки матки на переднюю брюшную стенку [1]. По нашим данным, консервативный метод коррекции (акушерский пессарий) оказался высокоэффективным и не уступает в этом отношении наложению шва на шейку матки. При этом он лишен недостатков, свойственных хирургическому методу. Следует отметить, что постановка акушерского пессария возможна в условиях дневного стационара женской консультации и поэтому не требует госпитализацию родильный дом [7].
作者简介
Olga Loseva
St. Petersburg State Pediatric Medical University
							编辑信件的主要联系方式.
							Email: loseva88@mail.ru
				                					                																			                								
Assistant Professor, Department of Obstetrics & Gynecology
俄罗斯联邦, Saint PetersburgElena Komissarova
St. Petersburg State Pediatric Medical University
														Email: komissaren59@mail.ru
				                					                																			                								
PhD, Professor, Department of Human Anatomy
俄罗斯联邦, Saint PetersburgNatalya Karelina
St. Petersburg State Pediatric Medical University
														Email: karelina_nr@qpmal.ru
				                					                																			                								
PhD, Professor, Head, Department of Human Anatomy
俄罗斯联邦, Saint PetersburgSergei Gaiducov
St. Petersburg State Pediatric Medical University
														Email: gaiducovsn@rambler.ru
				                					                																			                								
MD, PhD, Dr Med Sci, Professor, Department of Obstetrics & Gynecology
俄罗斯联邦, Saint Petersburg参考
- Гайдуков С.Н., Атласов В.О., Лосева О.И., и др. Истмико-цервикальная недостаточность. Хирургические и консервативные методы коррекции. - СПб.: Изд-во ГПМУ, 2016. [Gaydukov SN, Atlasov VO, Loseva OI, et al. Istmiko-tservikal’naya nedostatochnost’. Khirurgicheskie i konservativnye metody korrektsii. Saint Petersburg: GPMU; 2016. (In Russ.)]
- Гайдуков С.Н., Томаева К.В., Комиссарова Е.Н. Невынашивание беременности у женщин разных типов телосложения // Педиатр. - 2016. - Т. 7. - № 4. - С. 57-60. [Gaydukov SN, Tomaeva KV, Komissarova EN. Noncarrying of Pregnancy in Women of Different Body Types. Pediatrician (St. Petersburg). 2016;7(4):57-60. (In Russ.)]. doi: 10.17816/PED7457-60.
- Дорохов Р.Н. Новое в учении о конституции // Современная антропология в медицине и спортивной практике. - Новосибирск, 1990. - С. 47-48. [Dorokhov RN. Novoe v uchenii o konstitutsii. In: Sovremennaya antropologiya v meditsine i sportivnoy praktike. Novosibirsk; 1990. P. 47-48. (In Russ.)]
- Дорохов Р.Н. Соматотипирование детей и подростков // Новости спортивной и медицинской антропологии. - 1991. - № 3. - С. 107-121. [Dorokhov RN. Somatotipirovanie detey i podrostkov. Novosti sportivnoy i meditsinskoy antropologii. 1991;(3):107-121. (In Russ.)]
- Лабунский Л.М. Антропогенетические особенности беременных с поздним токсикозом / Генетические маркеры в антропогенетике и медицине: тезисы докладов IV Всесоюзного симпозиума; Хмельницкий, 1988 г. - Хмельницкий, 1998. - С. 242-243. [Labunskiy LM. Antropogeneticheskie osobennosti beremennykh s pozdnim toksikozom In: Proceegings of the 4th All-Union Symposium “Geneticheskie markery v antropogenetike i meditsine”; Khmel’nickiy, 1988. Khmel’nickiy; 1998. P. 242-243. (In Russ.)]
- Никитюк Б.А., Мороз В.А., Никитюк Д.Б. Теория и практика интегративной антропологии. - Киев; Винница: Медицина, 1998. [Nikityuk BA, Moroz VA, Nikityuk DB. Teoriya i praktika integrativnoy antropologii. Kiev; Vinnitsa: Meditsina; 1998. (In Russ.)]
- Орел В.И., Гайдуков С.Н., Резник В.А. Стационарозамещающие технологии в акушерстве. - СПб: Изд-во ГПМА, 2002. [Orel VI, Gaydukov SN, Reznik VA. Stacionarozameshchayushchie tekhnologii v akusherstve. Saint Petersburg: GPMU; 2002. (In Russ.)]
- Audu BM, Chama CM, Kyari OA. Complications of cervical cerclage in women with cervical incompetence. Int J Gynecol Obstet. 2003;83(3):299-300. doi: 10.1016/s0020-7292(02)00343-0.
- Hernandez-Andrade E, Romero R, Ahn H, et al. Transabdominal evaluation of uterine cervical length during pregnancy fails to identify a substantial number of women with a short cervix. J Matern Fetal Neonatal Med. 2012;25(9):1682-1689. doi: 10.3109/14767058.2012.657278.
- Sheyn D, Addae-Konaedu KL, Bauer AM, et al. History of cervical insufficiency increases the risk of pelvic organ prolapse and stress urinary incontinence in parous women. Maturitas. 2018;107:63-67. doi: 10.1016/j.maturitas.2017.10.009.
- Warren JE, Nelson LM, Stoddard GJ, et al. Polymorphisms in the promoter region of the interleukin-10 (IL-10) gene in women with cervical insufficiency. Am J Obstet Gynecol. 2009;201(4):37.e1-5. doi: 10.1016/j.ajog.2009.05.022.
补充文件
 
				
			 
						 
						 
					 
  
  
  电邮这篇文章
			电邮这篇文章 



