Morphological differences in the isthmus and funnel of the fallopian tubes of women in young and old age
- Authors: Balandina I.A.1, Snigireva S.V.1, Balandin A.A.1
-
Affiliations:
- E.A. Vagner Perm State Medical University
- Issue: Vol 14, No 5 (2023)
- Pages: 33-40
- Section: Original studies
- URL: https://journals.eco-vector.com/pediatr/article/view/624864
- DOI: https://doi.org/10.17816/PED624864
- ID: 624864
Cite item
Abstract
BACKGROUND: Scientific interest in age-related changes of the female organism is invariably increasing, which is caused, first of all, by the increase in life expectancy of modern man.
AIM: Identification of patterns of age-related morphological changes in the isthmus and funnel of fallopian tubes of women giving birth in old age versus young age using sectional material.
MATERIALS AND METHODS: The study was performed on the sectional material of 70 women who had given birth and were divided into two groups: group 1 included 34 women of young age (22–35 years) and group 2 consisted of 36 elderly women (75–88 years). The external diameter of the isthmus and funnel of the fallopian tubes was determined. For histological examination, fallopian tubes fragments taken at autopsy were stained with Van Gieson picrofuchsin and hematoxylin and eosin.
RESULTS: There was a decrease in the external diameter of the isthmus and funnel of both fallopian tubes in women from young age to old age (p < 0.01). At old age, there was a predominance of external diameter parameters of the isthmus and funnel of the right fallopian tube in comparison with those of the left fallopian tube (p < 0.01), while at young age there was only a tendency for the diameter of the isthmus and funnel of the right fallopian tube to predominate (p > 0.05). The histological study showed the presence of thickened folds of the mucous membrane and flattened epithelium in the studied areas in older women, thinning of the muscular membrane layers and overgrowth of connective tissue in comparison with the samples taken for the study in younger women.
CONCLUSIONS: Morphologic restructuring of the isthmus and funnel of the fallopian tubes from young to old age consists in thickening of the mucous membrane folds, flattening of the epithelium, overgrowth of connective tissue in the wall and reduction of their outer diameter with predominant parameters in the right fallopian tube.
Full Text
АКТУАЛЬНОСТЬ
Научный интерес к возрастным изменениям организма женщины неизменно усиливается, что обусловлено прежде всего увеличением продолжительности жизни современного человека [1, 2, 7]. Структура тканей, бесспорно, с возрастом склонна к изменениям [5, 6, 9, 10, 21, 24, 27]. В результате этого все большее внимание исследователей привлекает возрастная изменчивость морфофункциональных особенностей человека, включая и органы его репродуктивной системы [1, 3, 8]. Инволюционные процессы, возникающие в периоде постменопаузы, происходят на фоне возрастных изменений всего организма женщины [1].
Сведения, имеющиеся на сегодняшний день в научной литературе, демонстрируют закономерность постепенного изменения возрастных морфологических характеристик тканей и органов. При этом исследователи обращают внимание на то, что скачкообразная динамика параметров присуща, как правило, патологии [1, 15, 23, 29]. В отличие от молодого, в старческом возрасте в первую очередь изменяется количество функционирующих в органе или ткани клеток. Из-за стимуляции митохондриального пути апоптоза с возрастом численность таковых, в абсолютном большинстве органов, становится меньше [13]. Впоследствии это приводит к уменьшению анатомических параметров органа.
Учеными ранее были выявлены множественные взаимосвязи между морфологическими и функциональными параметрами органов с одной стороны и возрастом женщины с другой. Анализ таких литературных данных говорит в первую очередь о системном характере старения организма, что, по данным исследователей, связано с возрастным уменьшением уровня половых гормонов в организме женщины, биохимическими изменениями в тканях, снижением транспортной функции, проявляющимся замедлением кровотока на уровне микроциркуляции и «некачественной» доставкой кислорода к клеткам [2, 25, 26].
Очевидно, эпителиальные ткани маточной трубы, в том числе реснитчатые и экзокриноциты, являются точками приложения для гормонов эстрогенного ряда. Менопауза обусловлена угасанием синтеза эстрогена. После ее наступления начинается морфологическая перестройка прежде всего гормонозависимых тканей. Данные изменения тканей происходят в организме женщины системно: возникает остеопороз, появляется уязвимость к сердечно-сосудистыми заболеваниям, снижаются когнитивные функции и т. д. [14, 18, 19, 20].
Несмотря на то что для каждого анатомического отдела маточной трубы свойственна значительная вариабельность, строение и гистоархитектоника перешейка и воронки маточных труб женщины в научной литературе освещены крайне скудно. Исследователи отмечают, что и в репродуктивном возрасте женщины и после менопаузы морфологическая характеристика маточных труб обнаруживает четкую цикличность изменений, происходящих в организме женщины [17]. Поэтому очень важно объективное разграничение патологии и возрастных морфологических преобразований перешейка и воронки маточных труб [11, 16]. Ввиду того что недостаток сведений о возрастной морфологии крайне остро отмечается при работе с женщинами старческого возраста, потребность в ее детальном изучении и стала целью данной работы.
Цель исследования — на секционном материале выявить закономерности возрастных морфологических изменений перешейка и воронки маточных труб рожавших женщин, находившихся на момент исследования в старческом возрасте в сравнении с молодым.
МАТЕРИАЛЫ И МЕТОДЫ
Комплексное морфологическое исследование проведено в период с 2017 по 2020 г. в танатологическом отделении ГКУЗОТ «Пермское краевое бюро судебно-медицинской экспертизы» при соответствующем разрешении этического комитета ФГБОУ ВО «Пермский государственный медицинский университет им. акад. Е.А. Вагнера» (протокол № 13 от 21.12.2016). Оно выполнено в ходе проведения секции маточных труб 70 рожавших женщин в возрасте от 22 до 35 лет и от 75 до 88 лет. Применены макрометрический и гистологический методы исследования.
Для включения умерших женщин в исследование разработаны следующие критерии: смерть женщины произошла по причине ранения или травмы, при этом не отмечены повреждения живота и таза; анамнестические данные умерших не содержат патологии органов репродуктивной системы; прошествие смерти не более 36 ч; тела умерших перед исследованием хранятся в одинаковых условиях, температура воздуха 2 °C; при секционном исследовании не выявлены макроскопические признаки патологии органов репродуктивной системы.
Для проведения сравнительного анализа изучаемый материал разделили на две группы: в первую группу включили 34 женщины молодого возраста (от 22 до 35 лет включительно), во вторую группу — 36 женщин старческого возраста (от 75 до 88 лет включительно).
Предварительно у умерших определяли длину и массу тела, а также размеры таза, затем рассчитывали индекс массы тела. В данное исследование включили женщин, длина тела которых составляла 160–175 см, масса тела 55–75 кг, индекс массы тела 20–25 кг/м2. При этом размеры таза были следующими: расстояние между передневерхними остями подвздошных костей составляло 25–26 см; расстояние между максимально отдаленными точками гребней подвздошных костей — 28–29 см; расстояние между большими вертелами бедренных костей — 31–32 см.
Окружность перешейка и воронки определяли с использованием микрометра (ГОСТ 6507–90) после выделения маточных труб из полости таза. Измерение окружности воронки выполняли в ее наиболее дистальном отделе, в месте отхождения бахромок. Наружный диаметр рассчитывали по формуле: D = l/π, где D — диаметр окружности, l — длина окружности; π — натуральное число, равное 3,14.
Для проведения гистологического исследования изъятые при аутопсии фрагменты маточных труб в местах перешейка и воронки фиксировали в течение 24 ч в забуференном по Лилли 10 % растворе формалина (рН 7,2). Далее в течение 30 мин их промывали в проточной воде, обезвоживали и заливали в парафиновые блоки. Гистологические срезы изготавливали на ротационном микротоме толщиной 4–6 мкм и окрашивали пикрофуксином по Ван Гизону и гематоксилином и эозином.
Статистическую оценку полученных в ходе исследования данных проводили, используя программу Microsoft Excel 2014. В каждом исследовании выполнялось по три измерения. Результаты представлены в виде средней арифметической (M), стандартной ошибки средней арифметической (m), максимального (max) и минимального (min) значения, среднего квадратичного отклонения (σ), коэффициента вариации (Cv), медианы (Me). Достоверными считали отличия при p < 0,05.
РЕЗУЛЬТАТЫ
В результате проведенного исследования установили, что параметры наружного диаметра перешейка и воронки правой маточной трубы преобладают в сравнении с диаметром левой маточной трубы в старческом возрасте (р < 0,01), наряду с этим в молодом возрасте выявлена лишь тенденция к превалированию значений диаметра перешейка и воронки правой маточной трубы (p > 0,05) (табл. 1).
Таблица 1. Параметры наружного диаметра перешейка и воронки маточных труб рожавших женщин, находившихся на момент исследования в молодом и старческом возрасте, мм (n = 70)
Table 1. Parameters of the external diameter of the isthmus and funnel of fallopian tubes of women who gave birth at young and old age, mm (n = 70)
Возраст / Age | Маточная труба / Fallopian tube | M ± m | mах | min | σ | Cv | Ме |
Перешеек / Isthmus | |||||||
Молодой возраст / Young age | Правая / Right | 7,5 ± 0,04 | 7,9 | 7,2 | 0,20 | 0,01 | 7,5 |
Левая / Left | 7,5 ± 0,04 | 7,9 | 7,1 | 0,22 | 0,01 | 7,4 | |
Старческий возраст / Old age | Правая / Right | 6,8 ± 0,04 | 6,9 | 6,1 | 0,22 | 0,01 | 6,4 |
Левая / Left | 6,6 ± 0,05 | 6,8 | 6,0 | 0,24 | 0,01 | 6,4 | |
Воронка / Funnel | |||||||
Молодой возраст / Young age | Правая / Right | 10,9 ± 0,11 | 11,7 | 10,1 | 0,47 | 0,02 | 10,8 |
Левая / Left | 10,8 ± 0,08 | 11,7 | 10,0 | 0,48 | 0,02 | 10,7 | |
Старческий возраст / Old age | Правая / Right | 10,1 ± 0,06 | 9,7 | 8,7 | 0,30 | 0,01 | 9,2 |
Левая / Left | 9,8 ± 0,06 | 9,7 | 8,7 | 0,32 | 0,01 | 9,0 | |
Сравнительный анализ показателей наружного диаметра как перешейка, так и воронки обеих маточных труб женщин выявил их уменьшение от молодого возраста к старческому (p < 0,01) (табл. 2).
Таблица 2. Сравнительный анализ показателей наружного диаметра перешейка и воронки маточных труб рожавших женщин, находившихся на момент исследования в молодом и старческом возрасте, мм (n = 70)
Table 2. Comparative analysis of the external diameter of the isthmus and funnel of fallopian tubes of women who gave birth at young and old age, mm (n = 70)
Маточная труба / Fallopian tube | Молодой возраст / Young age (M ± m) | Старческий возраст / Old age (M ± m) | t (р) |
Перешеек / Isthmus | |||
Правая / Right | 7,5 ± 0,04 | 6,8 ± 0,04 | t = 1,995 (p < 0,01) |
Левая / Left | 7,5 ± 0,04 | 6,6 ± 0,05 | t = 1,995 (р < 0,01) |
Воронка / Funnel | |||
Правая / Right | 10,9 ± 0,11 | 10,1 ± 0,06 | t = 6,38 (р < 0,01) |
Левая / Left | 10,8 ± 0,08 | 9,8 ± 0,06 | t = 10,0 (р < 0,01) |
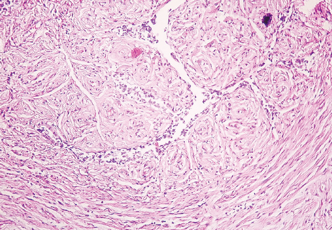
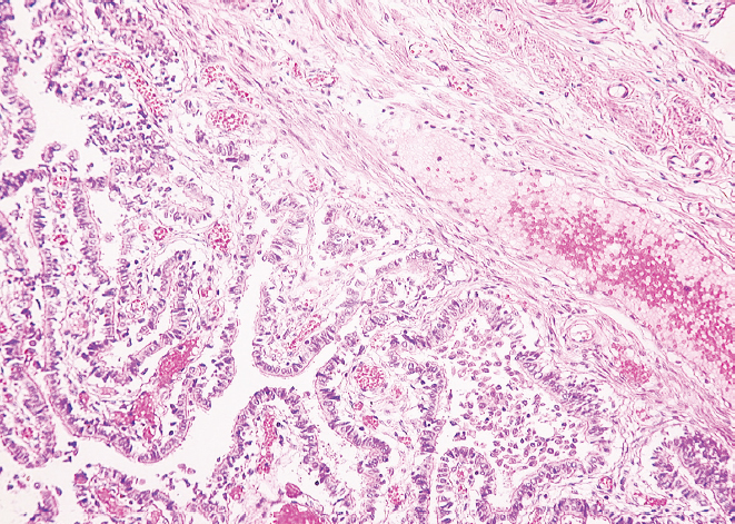
Гистологическое исследование препаратов показало, что в молодом возрасте слизистая оболочка перешейка и воронки маточных труб образует множественные продольные складки. Она представлена однослойным столбчатым эпителием и собственной пластинкой, которая образована рыхлой соединительной тканью. По ходу маточной трубы реснитчатые и секреторные эпителиоциты (экзокриноциты) располагаются неравномерно — реснитчатые преобладают в воронке маточной трубы, а секреторные — в области ее перешейка. Мышечная оболочка состоит из циркулярного и продольного слоев (рис. 1, 2).
Рис. 1. Фрагмент перешейка маточной трубы женщины в возрасте 25 лет. Окраска гематоксилином и эозином, увел. ×10
Рис. 2. Фрагмент воронки маточной трубы женщины в возрасте 25 лет. Окраска гематоксилином и эозином, увел. ×10
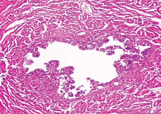
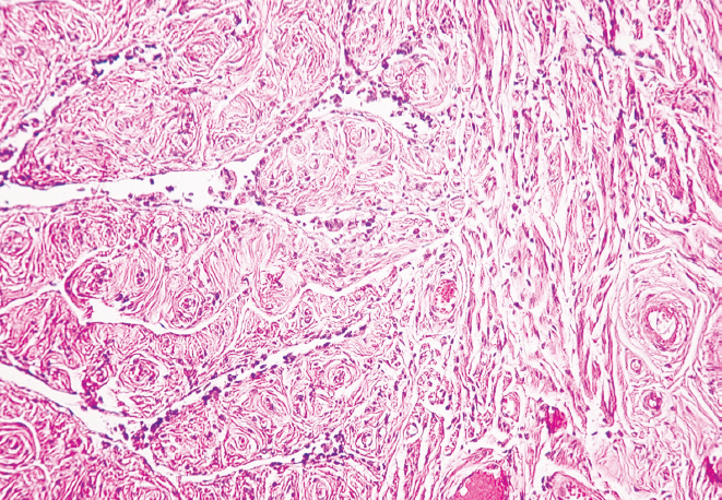
Перешеек и воронка маточных труб женщин старческого возраста характеризуются наличием утолщенных складок слизистой оболочки и уплощенным эпителием. Наблюдается неравномерное сужение просвета как в перешейке, так и в воронке, обусловленное близким друг к другу расположением складок слизистой оболочки, частично объединенных между собой. В старческом возрасте циркулярный и продольный слои мышечной оболочки выглядят истонченными в сравнении с образцами, взятыми для исследования у женщин молодого возраста. Наряду с этим у женщин старческого возраста выявлено разрастание соединительной ткани в стенке маточной трубы как в области воронки, так и в области перешейка. Видны скопления адипоцитов, локализующихся в подсерозной основе, где сосуды в утолщенной стенке располагаются группами (рис. 3, 4).
Рис. 3. Фрагмент перешейка маточной трубы женщины в возрасте 86 лет. Окраска гематоксилином и эозином, увел. ×10
Рис. 4. Фрагмент воронки маточной трубы женщины в возрасте 86 лет. Окраска гематоксилином и эозином, увел. ×10
Исследователи возрастных дегенеративных изменений в органах и тканях в ранее проведенных работах отмечали многофакторность запуска этих процессов [25–27].
Наличие асимметрии, выявленной в ходе данного исследования в маточных трубах женщины, отражено в выводах более ранних исследований, где у парных органов, в том числе и репродуктивной системы, была установлена асимметричность [22]. В ряде работ такой феномен объясняется функциональной особенностью внутренних органов. Некоторые исследователи связывают данный факт с интегрированием асимметрии мозга в работу парных органов. Встречаются также публикации, в которых асимметрия органов истолковывается как следствие протекающих процессов в тканях организма на молекулярно-клеточном уровне [4, 12, 28].
ВЫВОДЫ
- Перешеек и воронка маточных труб женщин старческого возраста характеризуются наличием утолщенных складок слизистой оболочки и уплощенным эпителием, а также разросшейся соединительной тканью в стенке маточной трубы.
- Наружный диаметр перешейка и воронки обеих маточных труб у женщин старческого возраста достоверно меньше соответствующих показателей у женщин молодого возраста (p < 0,01).
- У женщин старческого возраста величина наружного диаметра перешейка и воронки правой маточной трубы достоверно больше, чем соответствующих показателей левой маточной трубы (р < 0,01).
ЗАКЛЮЧЕНИЕ
Полученные в ходе исследования сведения о строении перешейка и воронки дополняют имеющиеся на сегодняшний день фундаментальные знания о закономерностях возрастных морфологических изменений маточных труб рожавших женщин к достижению ими старческого возраста. Эти знания будут полезны ученым и врачам различных специальностей, занимающихся разработкой профилактики преждевременного старения и борьбы с патологией репродуктивной системы женщины, ассоциированной с возрастом, а также развитием адаптивных возможностей организма.
ДОПОЛНИТЕЛЬНАЯ ИНФОРМАЦИЯ
Вклад авторов. Все авторы внесли существенный вклад в разработку концепции, проведение исследования и подготовку рукописи статьи. Окончательная версия прочитана и одобрена всеми авторами. Вклад каждого автора: И.А. Баландина — разработка концепции и дизайна, планирование исследования, анализ и интерпретация полученных данных, подготовка черновика рукописи, окончательное утверждение рукописи для публикации; С.В. Снигирева — сбор данных, анализ литературы, обоснование рукописи, анализ и интерпретация полученных данных; А.А. Баландин — сбор данных, анализ литературы, анализ и интерпретация полученных данных, подготовка черновика рукописи; обоснование рукописи.
Конфликт интересов. Авторы заявляют об отсутствии конфликта интересов, связанных с публикацией данной статьи.
Источник финансирования. Авторы заявляют об отсутствии внешнего финансирования при проведении исследования.
Этический комитет. Протокол исследования был одобрен локальным этическим комитетом ФГБОУ ВО «Пермский государственный медицинский университет им. акад. Е.А. Вагнера» (протокол № 13 от 21.12.2016).
ADDITIONAL INFORMATION
Authors’ contribution. Thereby, all authors made a substantial contribution to the conception of the study, acquisition, analysis, interpretation of data for the work, drafting and revising the article, final approval of the version to be published and agree to be accountable for all aspects of the study. Each author’s contribution: I.A. Balandina — concept and design development, study planning, analysis and interpretation of data obtained, preparation of draft manuscript, final approval for publication of the manuscript; S.V. Snigireva — data collection, literature analysis; manuscript justification, analysis and interpretation of obtained data; A.A. Balandin — data collection, literature review, analysis and interpretation of the obtained data, preparation of draft manuscript, justification of the manuscript.
Competing interests. The authors declare that they have no competing interests.
Funding source. This study was not supported by any external sources of funding.
Ethics approval. The present study protocol was approved by the local Ethics Committee of the E.A. Vagner Perm State Medical University (extract from minutes No. 13, 2016 Dec 21).
About the authors
Irina A. Balandina
E.A. Vagner Perm State Medical University
Author for correspondence.
Email: balandina_ia@mail.ru
ORCID iD: 0000-0002-4856-9066
SPIN-code: 6484-8520
Dr. Sci. (Medicine), Professor, Head of the Department of Normal, Topographical and Clinical Anatomy, Operative Surgery
Russian Federation, PermSofia V. Snigireva
E.A. Vagner Perm State Medical University
Email: snigirevasofy@yandex.ru
ORCID iD: 0000-0003-0738-8178
Methodologist of the Department of Normal, Topographical and Clinical Anatomy, Operative Surgery
Russian Federation, PermAnatolii A. Balandin
E.A. Vagner Perm State Medical University
Email: balandinnauka@mail.ru
ORCID iD: 0000-0002-3152-8380
SPIN-code: 8298-5970
Operative Surgery
Russian Federation, PermReferences
- Alekseev YuD, Ivakhina SA, Efimov AA, et al. Age-related morphologic changes in organs of the female genital system. Modern problems of science and education. 2016;(4):51.
- Anisimov VN. Molecular and physiological mechanisms of aging. In 2 vol. Saint Petersburg: Nauka, 2008. 434 p. (In Russ.)
- Balandin AA, Balandina IA, Pankratov MK. Effectiveness of treatment of elderly patients with traumatic brain injury complicated by subdural hematoma. Advances in Gerontology. 2021;34(3):461–465. doi: 10.34922/AE.2021.34.3.017
- Balandin AA, Zheleznov LM, Balandina IA. Comparative characteristics of human thalamus parameters in the first period of mature age and in senile age in mesocephals. Siberian Scientific Medical Journal. 2021;41(2):101–105. doi: 10.18699/SSMJ20210214
- Balandin AA, Zheleznov LM, Balandina IA, et al. The dynamics of the structural organization of the corpus callosum from young to old age. Advances in Gerontology. 2020;33(5):916–920. doi: 10.34922/AE.2020.33.5.012
- Balandina IA, Nekrasova AM. Morphological changes in the ampula of the uterine tubes in different periods of life of giving women. Medical science and education in the Urals. 2021;22(3):9–12. doi: 10.36361/1814-8999-2021-22-3-9-12
- Bakhidze EV, Belyaeva AV, Berlev IV, et al. Menopausal hormonal therapy and breast cancer. Advances in Gerontology. 2021;34(2): 277–286. doi: 10.34922/AE.2021.34.2.014
- Bukatov VV, Osipova OA. Peculiarities of myocardial remodeling in patients of different age groups 6 months after myocardial infarction. Humans and their Health. 2021;24(4):34–43. doi: 10.21626/vestnik/2021-4/05
- Direev AO, Munz IV, Mazdorova EV, et al. Age-related characteristics of retinal vessels in aging (literature review). Advances in Gerontology. 2021;34(1):54–63. doi: 10.34922/AE.2021.34.1.007
- Zharikova TS, Milyukov VE, Nikolenko VN. The patterns of change in length of the coronary arteries in humans in the second period of mature ageand in early old age. Sechenov Medical Journal. 2018;(1):16–18.
- Kaplunova OA. Age features of arterial human kidney vessels. Medical Herald of the South of Russia. 2019;10(4):51–58. doi: 10.21886/2219-8075-2019-10-4-51-58
- Katerlina IR, Izranov VA, Solovieva IG, et al. Interhemispheric asymmetry of the brain and morphologic asymmetry of the thyroid gland. Vestnik Novosibirsk State University. Series: Biology and Clinical Medicine. 2010;8(1):129–132.
- Severin FF, Skulachev VP. Programmed cell death as a target of the fight against aging of the organism. Advances in Gerontology. 2009;(1):37–48.
- Shadlinskaya SV. Cellular composition and microanatomy of lymphoid formations of the vestibule of the vagina in postnatal ontogenesis. Sechenov Medical Journal. 2019;(1):57–62. doi: 10.47093/22187332.2019.1.57-62
- Yuzefovich NA, Yudina OA, Melnikov IA, Studenikina TM. Feature of the expression of vimentin, desmin, vascular endothelial growth factor in an aortic media in normal and abdominal aortic aneurysm. Medical news. 2017;(8):71–76.
- Briceag I, Costache A, Purcarea VL, et al. Fallopian tubes — literature review of anatomy and etiology in female infertility. J Med Life. 2015;8(2):129–131.
- Correr S, Makabe S, Heyn R, et al. Microplicae-like structures of the fallopian tube in postmenopausal women as shown by electron microscopy. Histol Histopathol. 2006;21(3):219–226. doi: 10.14670/HH-21.219
- Hart DA. Sex differences in biological systems and the conundrum of menopause: potential commonalities in post-menopausal disease mechanisms. Int J Mol Sci. 2022;23(8):4119. doi: 10.3390/ijms23084119
- Ezzati M, Djahanbakhch O, Arian S, Carr BR. Tubal transport of gametes and embryos: a review of physiology and pathophysiology. J Assist Reprod Genet. 2014;31(10):1337–1347. doi: 10.1007/s10815-014-0309-x
- Grund S, Grümmer R. Direct cell-cell interactions in the endometrium and in endometrial pathophysiology. Int J Mol Sci. 2018;9(8):2227. doi: 10.3390/ijms19082227
- Hamada H. Molecular and cellular basis of left-right asymmetry in vertebrates. Proc Jpn Acad Ser B Phys Biol Sci. 2020;96(7): 273–296. doi: 10.2183/pjab.96.021
- Hena H, Ara S, Ullah M, et al. Age Related change of total length of fallopian tubes in Bangladesh female cadaver. Update Dental College Journal. 2011;1(2):13–16. doi: 10.3329/updcj.v1i2.13980
- Hrishikesh T, Santosh KS. A morphological study on fallopian tube. Int J Anat Res. 2016;4(4):3066–3071. doi: 10.16965/ijar.2016.403
- Javaheri B, Pitsillides AA. Aging and mechanoadaptive responsiveness of bone. Curr Osteoporos Rep. 2019;17(6):560–569. doi: 10.1007/s11914-019-00553-7
- Maryam S, Emily JA, Christopher PC. The fallopian tube and broad ligament. In: Diagnostic gynecologic and obstetric pathology. 3rd edirion. Crum CP, Nucci MR, Boyd TK, editors. Elsevier, 2018. P. 716–760. doi: 10.1016/B978-0-323-44732-4.00021-2
- Slobodian O, Guzik O. Anatomic peculiarities of cervix uteri ligaments in pre- and postnatal human ontogenesis. Mold Med J. 2017;60(3):50–53. doi: 10.5281/zenodo.1051160
- Susan JC. Morphology of the aging lung on computed tomography. J Thorac Imaging. 2016;31(3):140–150. doi: 10.1097/RTI.0000000000000211
- Tamash YaV, Khayrullin RM, Supilnikov AA, Lysov NA. Variant anatomy of the fallopian tubes and ovaries: side-to-side differences, reference values. Ann Anat. 2021;237(S1):151747. doi: 10.1016/j.aanat.2021.151747
- Velez MP, Alvarado BE, Rosendaal N, et al. Age at natural menopause and physical functioning in postmenopausal women: the Canadian Longitudinal Study on Aging. Menopause. 2019;26(9):958–965. doi: 10.1097/GME.0000000000001362
Supplementary files








