Dysplastic deformities of the vertebral segments in osteochondropathy
- Authors: Gruntovsky G.H.1, Kolesnichenko V.A.1
-
Affiliations:
- Institute of Orthopedics and Traumatology. M.I. Sitenko
- Issue: Vol 7, No 1 (2000)
- Pages: 26-30
- Section: Original study articles
- Submitted: 23.02.2022
- Accepted: 23.02.2022
- Published: 25.02.2000
- URL: https://journals.eco-vector.com/0869-8678/article/view/101508
- DOI: https://doi.org/10.17816/vto101508
- ID: 101508
Cite item
Full Text
Abstract
Roentgenologic features for diagnosis of thoracic, thoracolumbar and lumbar osteochondropathy were analysed in 250 patients, aged 11-44. The following dysplastic deformities of vertebral motion segments were detected: dysplastic deformities of intervertebral disks and vertebral bodies; dysplasia of vertebral arches; dysplasia of intervertebral joints; dysplastic deformities of transversal processes. Data obtained allow to confirm that spine osteochondropathy (Sheuermann's disease) is a dysplastic process the nature of which is the structural abnormality of the endplates and concomitent disturbance in vertebral body growth plates. Detected dysplastic deformities in vertebral segments may be either of congenital origin or acquired ones resulted from morphogenesis disorder.
Keywords
Full Text
Остеохондропатия позвоночника впервые описана в 1920 г. H.W. Scheuermann [13] как асептический некроз кольцевидных апофизов тел позвонков, развивающийся в препубертатном или пубертатном периоде, преимущественно у мальчиков, вследствие чрезмерных физических нагрузок. Этиология и патогенез заболевания до настоящего времени не установлены.
В МКВ-10 остеохондропатия позвоночника (болезнь Шейермана) отнесена к юношеским остеохондрозам. Е.А. Абальмасова [2, 3] рассматривала остеохондропатию и юношеский остеохондроз как семиологически близкие дизонтогенетические заболевания позвоночника, в основе которых лежит порок закладки позвоночного сегмента (сегментов), наследственно обусловленный и проявляющийся в процессе роста. На диспластический генезис остеохондропатии позвоночника указывают и другие авторы [4, 5, 14].
Известно [1, 10-12], что при остеохондропатии нередко в детском возрасте выявляются отклонения формы тел позвонков, их замыкательных пластинок и смежных межпозвонковых дисков от нормальной. Такие аномальные варианты формы тел позвонков расцениваются как «инфантильные» [12] и рассматриваются как предболезнь для остеохондропатии позвоночника [10].
Согласно современным представлениям основным звеном патогенеза остеохондропатии позвоночника является взаимодействие гиалиновых замыкательных пластинок тел позвонков и элементов межпозвонкового диска. Однако в доступной литературе мы не встретили данных о морфогенезе позвоночного сегмента при измененных контурах замыкательных пластинок тел позвонков. В этой связи нам представляется целесообразным изучение диспластических деформаций позвоночных сегментов (прежде всего в системе межпозвонковый диск — тело позвонка) и их роли в генезисе остеохондропатии позвоночника.
Материал и методы
Работа основана на анализе данных рентгенологической диагностики остеохондропатии позвоночника различной локализации (грудной, грудопоясничный, поясничный отделы) у 250 больных в возрасте 11—44 лет, наблюдавшихся в Харьковском НИИОТ им. М.И. Ситенко в 1988-1998 гг. Всем пациентам проводилось в динамике рентгенологическое исследование соответствующего отдела позвоночника в стандартных проекциях. Для уточнения структурно-функциональных нарушений позвоночных сегментов и при наличии показаний выполнялись магнитно-резонансная и компьютерная томография, а также рентгеноконтрастные исследования (дискография, эпидурография). Длительность наблюдения в среднем составила 4,5 года.
Результаты и обсуждение
Диспластические деформации позвоночного двигательного сегмента рассматривались в такой последовательности: диспластические деформации межпозвонковых дисков и тел позвонков; дисплазии дуг позвонков; дисплазии дугоотростчатых суставов; диспластические деформации поперечных отростков тел позвонков.
Выявленные диспластические деформации тел позвонков были связаны: 1) с нарушением соотношения вертикального размера и переднезаднего диаметра тела; 2) с изменением контуров замыкательных пластинок.
Среди тел позвонков с нарушенным соотношением вертикального размера и переднезаднего диаметра преобладали поперечно вытянутые тела, у которых диаметр превышал высоту. Такая диспластическая деформация тела позвонка выявлена у 169 (67,6%) больных. При этом, как правило, регистрировалось уменьшение высоты смежных межпозвонковых дисков.
Значительно реже (всего у 16 больных — 6,4%) встречались аксиально вытянутые тела позвонков: их вертикальный размер превышал диаметр, а высота смежных межпозвонковых дисков была увеличена (рис. 1).
Рис. 1. Диспластическая деформация тел L3, L4 позвонков (аксиально вытянутые тела).
Рис. 2. Диспластическая деформация тел L1, L2 позвонков (двояковыпуклые замыкательные пластинки).
Мы не располагаем достаточными данными для того, чтобы достоверно судить о врожденном характере диспластической деформации тел позвонков с нарушением соотношения их вертикального и переднезаднего размеров. Не исключено, что поперечно вытянутые и аксиально вытянутые тела позвонков являются следствием нарушения морфогенеза позвоночного сегмента в процессе роста и развития. Отметим, что аналогичные диспластические деформации тел позвонков и межпозвонковых дисков были выявлены А.И. Проданом и Е.Б. Волковым (1996) при диспластическом поясничном остеохондрозе.
Характер изменения контуров замыкательных пластинок тел позвонков был следующим: определялись а) двояковыпуклые замыкательные пластинки и, соответственно, двояковогнутые межпозвонковые промежутки (35 больных — 14%) (рис. 2) и б) вогнуто-выпуклые замыкательные пластинки с выпукло-вогнутыми межпозвонковыми промежутками (105 пациентов — 42%). Обращала на себя внимание неравномерная толщина измененных замыкательных пластинок — истончение их контуров в вентральных отделах тела позвонка и утолщение в дорсальных, в проекции студенистого ядра межпозвонкового диска.
М. Aufdermaur [7] на значительном статистическом материале изучил рентгенологическую и морфологическую характеристику замыкательных пластинок тел позвонков нормальных позвоночных сегментов и сегментов с признаками остеохондропатии. Ему удалось проследить четкую корреляцию между рентгенологическими и морфологическими изменениями замыкательных пластинок при остеохондропатии. В замыкательных пластинках с определяемыми рентгенологически неравномерными контурами всегда выявлялись субхондральные пролапсы вещества межпозвонкового диска и «полупрозрачные» участки с аномальным содержанием или даже отсутствием коллагеновых волокон. В этих участках наблюдалось нарушение агрегации коллагена. Помимо того, в органическом матриксе замыкательных пластинок обнаружено увеличение содержания протеогликановых субъединиц и уменьшение содержания гликопротеидов [9], а также нарушение синтеза коллагена [8], проявляющееся количественно в уменьшении соотношения коллаген:протеогликаны [6].
Представляется логичным, что нарушение контуров замыкательных пластинок тел позвонков и механохимические изменения биополимерных макромолекул — взаимосвязанные звенья патогенеза остеохондропатии позвоночника.
Изменениям органического матрикса замыкательных пластинок тел позвонков при остеохондропатии сопутствует метаболический дисбаланс в подлежащих участках пластинки роста, где, кроме повреждения матриксных структур, выявляются и нарушение деления и дифференцировки хондробластов [5], а также десинхронизация процессов энхондральной оссификации и костного ремоделирования с нарушением архитектоники трабекулярной кости [9].
Важные данные о взаимосвязи изменения контуров замыкательных пластинок тел позвонков и степени активности эпифизарной зоны подлежащих пластинок роста получены Е. А. Абальмасовой [1] при изучении гистотопограмм тел позвонков с аномальной формой. F. Rathke [12] было выделено пять наиболее часто встречающихся при остеохондропатии вариантов формы тела позвонка с соответствующей им формой контуров замыкательных пластинок и межпозвонковых пространств. Из них ровные замыкательные пластинки отмечались в трех: 1) при клиновидных, 2) при плоских и плоскоклиновидных, 3) при ящикообразных позвонках. Морфологическое исследование позвоночных сегментов с этими вариантами формы тел позвонков не выявило изменений в межпозвонковых дисках и пластинках роста. Иные морфологические данные получены при исследовании позвоночных сегментов с формой тел позвонков, сопровождавшейся нарушением контуров замыкательных пластинок, а именно: 1) при форме тел позвонков в виде опрокинутой вазы с колбообразными или бутылкообразными межпозвонковыми пространствами и 2) при бочкообразной форме тел с выпуклыми замыкательными пластинками. Отмечалось эксцентрическое положение студенистого ядра со смещением его к задним отделам межпозвонкового диска. В эпифизарной зоне пластинка роста имела неравномерную активность: отмечалось сужение ее на уровне смещенного студенистого ядра и увеличение активности (3-5 рядов делящихся клеток) на уровне расположенных более вентрально отделов межпозвонкового диска.
Структурная аномалия замыкательных пластинок тел позвонков при остеохондропатии (в виде изменения их контуров) и сопутствующие нарушения в пластинке роста с последующим нарушением архитектоники трабекулярной кости, по нашему мнению, и являются основными звеньями патогенеза заболевания. Нарушение синхронности процессов энхондральной оссификации и костного ремоделирования в пластинке роста тел позвонков влечет за собой появление в губчатой костной ткани участков локального остеопороза и локальной гиперплазии, что, в свою очередь, снижает устойчивость тела позвонка к постоянным для позвоночника компрессионным нагрузкам. В таких условиях становится возможным пролабирование элементов межпозвонкового диска через измененные участки замыкательных пластинок и дальнейшее их интраспонгиозное продвижение с формированием грыж Шморля.
Подтверждением определяющей роли структурных аномалий замыкательных пластинок тел позвонков в генезисе остеохондропатии является следующий клинический пример.
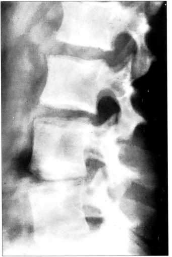
В 8-летнем возрасте больного К. беспокоило непостоянное чувство усталости в верхнепоясничном отделе позвоночника, проходившее после ночного отдыха. На произведенных спондилограммах отмечались вогнуто-выпуклые контуры замыкательных пластинок тел позвонков, утолщение контуров пластинок в дорсальных отделах, в проекции студенистого ядра межпозвонкового диска, бутылкообразная форма межпозвонковых пространств (рис. 3, а). При динамическом наблюдении отмечалось постепенное изменение характера жалоб: периодическое чувство усталости в поясничном отделе позвоночника сменилось постоянным, затем присоединился болевой синдром. Боли появлялись после длительных динамических и статических нагрузок и, как правило, проходили после ночного отдыха. На спондилограмме, выполненной в возрасте 13 лет, отмечаются типичные для остеохондропатии нарушения морфогенеза L2-L4 позвоночных сегментов в виде грыж Шморля; высота межпозвонкового промежутка L2—L3 резко снижена (рис. 3, б).
Рис. 3. Больной К. Диспластическая деформация тел позвонков. а — вогнуто-выпуклые замыкательные пластинки тел L2-L5 позвонков в 8-летнем возрасте; б — признаки остеохондропатии в сегментах L2-L4 в 13 лет.
Дисплазии дуг позвонков на нашем материале встретились в виде: 1) spina bifida posterior, 2) гиперплазии, 3) гипоплазии дуг, 4) спондилолиза. Spina bifida posterior отмечалась почти в половине наблюдений — у 121 (48%) больного.
Гипоплазия дуг поясничных позвонков выявлялась значительно реже — у 48 (19,2%) пациентов. Данный вид дисплазии характеризуется, как правило, уменьшением площади поперечного сечения межсуставной части дуги. Для верхне- и среднепоясничных позвоночных сегментов с признаками остеохондропатии гипоплазия дуг является биомеханически благоприятной, или конкордантной, структурной аномалией, расширяя в некоторой степени костные границы позвоночного канала. В то же время гипоплазия дуги L4 и особенно L5 позвонка является фактором риска в отношении формирования при определенных условиях зоны усталостного перелома межсуставной части дуги, т.е. образования зоны спондилолиза.
Гиперплазия дуг поясничных позвонков зарегистрирована более чем в половине наблюдений (172 больных — 68,8%), преимущественно в сегментах с клиновидной деформацией тел позвонков. Этот вид диспластической деформации при остеохондропатии позвоночника является биомеханически неблагоприятным, или дискордантным, и приводит к структурному сужению позвоночного канала, что существенно повышает риск развития стеноза.
Дефект межсуставной части дуги определялся на уровне L4 и L5 позвонков и сопровождался скользящим смещением малых (І-ІІ) степеней вышерасположенного позвонка. При этом отмечались рентгенологические признаки диспластического спондилолистеза: высокое стояние L5 позвонка и гипоплазия его дуг, spina bifida posterior. Диспластический спондилолиз и спондилолистез L4 позвонка выявлен у 1 (0,4%) пациента, L5 позвонка — у 13 (5,2%) больных. Отметим, что у 1 больного зарегистрирована деформация позвоночника в сагиттальной плоскости (грудной кифоз 65-70° с практически такой же величиной компенсаторного поясничного гиперлордоза).
Дисплазии дугоотростчатых суставов проявлялась в виде: 1) гипоплазии (аплазии), 2) гиперплазии суставных отростков, 3) изменения пространственной ориентации суставов.
Симметричные аномалии суставных отростков отмечались значительно чаще, чем асимметричные. Так, симметричная гипоплазия их определялась более чем у половины пациентов (51,6%).
Симметричная гиперплазия суставных отростков обнаруживалась примерно с такой же частотой (132 пациента — 52,8%), причем преимущественно в «скомпрометированных» позвоночных сегментах. Мы не можем достоверно судить о врожденном характере данного вида дисплазии, так как гиперпластическая деформация задних отделов позвонков (утолщение и укорочение дуг, утолщение ножек дуг и суставных отростков), выявляемая почти исключительно в позвоночных сегментах с признаками остеохондропатии, свидетельствует о постоянной компенсаторной структурной перестройке сегмента (рис. 4). Отметим также, что увеличение размеров суставных отростков, особенно сегментарное, указывает на сужение позвоночного канала.
Асимметричные нарушения величины суставных отростков встречались значительно реже: гипоплазия — у 40 (16%) больных, а гиперплазия — у 12 (4,8%).
Рис. 4. Гиперпластическая деформация суставных отростков и дуг позвонков в L1- L2, L2—L3 позвоночных сегментах с признаками остеохондропатии в виде клиновидной деформации тел позвонков и грыж Шморля.
Изменение пространственной ориентации дугоотростчатых суставов выявлялось в виде: 1) аномалии тропизма и 2) сагиттализации суставных фасеток. Аномалия тропизма суставных фасеток отмечена почти в половине наблюдений (45,2%). У 48 (19,2%) больных зарегистрирована сагиттализация суставных фасеток. Последний вид дисплазии является весьма неблагоприятным фактором в плане развития сужения позвоночного канала, т.е. относится к биомеханически дискордантным структурным аномалиям.
Диспластические деформации поперечных отростков тел поясничных позвонков в виде вариаций формы, длины или ширины обнаружены у 62 (24,8%) пациентов. В 17 случаях отмечено образование диспластических неоартрозов: поперечно-крестцовых, поперечноподвздошных, поперечно-поперечного.
Таким образом, остеохондропатия позвоночника представляет собой диспластический процесс, в основе которого лежат структурная аномалия замыкательных пластинок и сопутствующие нарушения в пластинках роста тел позвонков. Выявляемые в позвоночных сегментах с признаками остеохондропатии диспластические деформации тел позвонков и межпозвонковых дисков, а также дисплазии дуг позвонков и суставных отростков (в частности их гиперпластическая деформация) могут носить как врожденный характер, так и быть следствием нарушения морфогенеза позвоночного сегмента при данном заболевании.
About the authors
G. H. Gruntovsky
Institute of Orthopedics and Traumatology. M.I. Sitenko
Author for correspondence.
Email: info@eco-vector.com
Ukraine, Kharkov
V. A. Kolesnichenko
Institute of Orthopedics and Traumatology. M.I. Sitenko
Email: info@eco-vector.com
Ukraine, Kharkov
References
- Абальмасова Е.А. //Совершенствование организации медицинской помощи, диагностики и лечения при механических травмах у детей на этапах медицинской эвакуации. — М., 1980. — С. 172-177.
- Абальмасова Е.А. //Ортопед. травматол. — 1982. — N 12. — С. 25-31.
- Абальмасова Е.А. Диагностика и лечение заболеваний и повреждений позвоночного столба у детей: Актовая речь. — М., 1986.
- Волков Е.Б., Корж Н.А., Колесниченко В.А. //Диагностика и специализированная помощь детям с психоневрологическими и ортопедическими заболеваниями. — Евпатория; Л., 1990. — С. 27-28.
- Калашникова Е.В. Патогенез болезни Шойермана— Мау (клинико-экспериментальное исследование): Автореф. дис. ... д-ра мед. наук. — Новосибирск, 1999.
- Ascani Е., Montanaro A. //Pediatr. Spine. — 1985. — Vol. 3. — Р. 307-324.
- Aufdermaur М. //Clin. Orthop. — 1961. N 154. — P. 166-174.
- Aufdermaur M., Spycher M. //J. Orthop. Res. — 1964. — Vol. 4. — P. 452-457.
- Ippolito E., Ponseti I.V. //J. Bone Jt Surg. — 1981. — Vol. 63A, N 2. — P. 175-182.
- Jentsura G. //Н. Junghans. Die Wirbelsaule in Forschung und Praxis. — Stuttgart, 1972. — S. 94-111.
- Lindemann K. //Z. Orthop. — 1955. — Bd 86. — S. 540-549.
- Rathke F. //Orthopade. — 1966. — Bd 112, N 6. — S. 34-42.
- Scheuermann H.W. //Udeskr. Laeger. — 1920. — N 3.— P. 385-393.
- Schmorl G., Junghans H. The human spine in health and disease. — 2nd ed. — New York, 1971.
Supplementary files






