Postoperative dislocation of the head of the hip endoprosthesis and ways to prevent it
- Authors: Rybachuk O.I.1, Besedinsky S.N.1
-
Affiliations:
- Ukrainian Institute of Traumatology and Orthopedics
- Issue: Vol 7, No 1 (2000)
- Pages: 31-35
- Section: Original study articles
- Submitted: 23.02.2022
- Accepted: 23.02.2022
- Published: 25.02.2000
- URL: https://journals.eco-vector.com/0869-8678/article/view/101509
- DOI: https://doi.org/10.17816/vto101509
- ID: 101509
Cite item
Full Text
Abstract
428 primary and 20 revision hip arthroplasties (384 patients) were performed during 1992-1998 at Republic Center of Arthroplasty. Hip dislocation was observed in 10 patients. Seven of those hips dislocated during the second postoperative week. Two cases of the recurrent and one case of old dislocation are described. It is shown that the incorrect orientation of acetabular component contributes to hip dislocation. Reduction should be performed under anesthesia with musculature relaxation. In case of recurrent or old dislocations open reduction is indicated. Prevention of hip dislocation must be performed both during intra- and postoperative period.
Keywords
Full Text
Одним из осложнений, наиболее часто встречающихся после тотального эндопротезирования тазобедренного сустава у пациентов пожилого и старческого возраста, является вывихивание головки протеза [2, 4, 8]. С возрастом увеличивается число дополнительных факторов, способствующих нестабильности искусственного сустава. К таким факторам относятся понижение мышечной силы, заторможенность функций, уменьшение скорости передачи импульсов из центральной нервной системы, болезнь Альцгеймера [3].
Частота вывихов колеблется, по данным разных авторов, от 2 до 4% после первичного тотального эндопротезирования тазобедренного сустава и до 9% после ревизионных операций [3, 5, 7, 9]. По сведениям U. Hedlundh и соавт. [5], половина всех случаев вывихивания приходится на первые 14 дней после операции. На высокий удельный вес этих осложнений в раннем послеоперационном периоде указывают и ряд других авторов [6, 9]. В более поздние сроки вывихивание отмечалось у активных пациентов, которые рано начинали нагружать оперированную ногу и форсировали наращивание амплитуды движений [1].
Возникновение подобных осложнений обусловлено, с одной стороны, отсутствием капсулы сустава, которая удаляется во время операции, с другой — конструктивными отличиями протеза от естественного сустава. Имеет значение также тип головки эндопротеза. Чаще вывихивание происходит при использовании головки с короткой шейкой [5]. чем со средней или длинной [7], а также при наличии большего угла (142°) между шейкой и ножкой имплантата [4].
Вывихивание головки эндопротеза может сопровождаться нарушением стабильности его компонентов, развитием воспалительных процессов, нагноением и т.п. Необходимость выработки мер по предотвращению этого осложнения во время операций и в процессе послеоперационного ведения больных побудила нас к целенаправленному анализу наших наблюдений.
Материал и методы
Проанализированы результаты лечения 384 больных, оперированных в Республиканском центре эндопротезирования суставов в 1992- 1998 гг. Женщин среди них было 257 (67%), мужчин — 127 (33%). В общей сложности этим пациентам выполнено 428 первичных и 20 ревизионных операций эндопротезирования тазобедренного сустава.
Показаниями к операции служили деформирующий коксартроз (199 больных), диспластический коксартроз (43), асептический некроз головки бедренной кости (28), переломы и ложные суставы шейки бедра (95), посттравматический коксартроз (13). Размыкание анкилозированного тазобедренного сустава с последующим эндопротезированием произведено у 6 пациентов.
Тотальное замещение тазобедренного сустава имплантатами конструкции УкрНИИТО выполнено у 209 больных, в 98 случаях использован Тареrlос фирмы «Biomet» (США), в 81 — эндопротез фирмы «Witeside» (США), в 15 — «Howmedica-Exeter» (США), в 18 — Герчева, в 4 — Richards (США), в 3 — «W. Link» (Германия), в 20 случаях — комбинированные конструкции и эндопротезы других типов. Цементная фиксация применена в 58% случаев.
Результаты и обсуждение
В крайних положениях — при сгибании в тазобедренном суставе более 90° и приведении более 20° создаются неблагоприятные условия, в которых может произойти вывихивание головки эндопротеза. Этому способствуют также сниженный мышечный тонус и нарушение координации движений, характерные для старческого возраста. Вывихивание особенно часто происходит в раннем послеоперационном периоде, когда еще не сформировались рубцы, удерживающие головку эндопротеза во впадине.
В обследованной нами группе больных вывих головки эндопротеза возник у 10 пациентов, в том числе у 2 трижды (всего 14 случаев). У 7 больных он произошел в течение первых 2 нед после операции, из них у 5 во время сна, когда больные перекрещивали ноги, или когда они резко садились в кровати.
Средний возраст этих пациентов составил 64,5 года. Женщин было 3, мужчин — 7. У 4 больных были установлены имплантаты конструкции УкрНИИТО, у 4 — Тареrlос фирмы «Biomet», у 1 — «Witeside». Еще у 1 больного вывих произошел через 3 нед после ревизионного эндопротезирования, предпринятого в связи с асептическим расшатыванием протеза Герчева, который был заменен комбинированным имплантатом: впадина «Witeside» — ножка УкрНИИТО на костном цементе. Имплантаты, имеющие головку с короткой шейкой, были применены у 5 пациентов, со средней — у 2, с длинной — у 3.
В 11 случаях вправление головки удалось выполнить закрыто под общим обезболиванием. У 3 больных произведена ревизия сустава с заменой отдельных компонентов эндопротеза. Ниже мы приводим эти три клинических наблюдения.
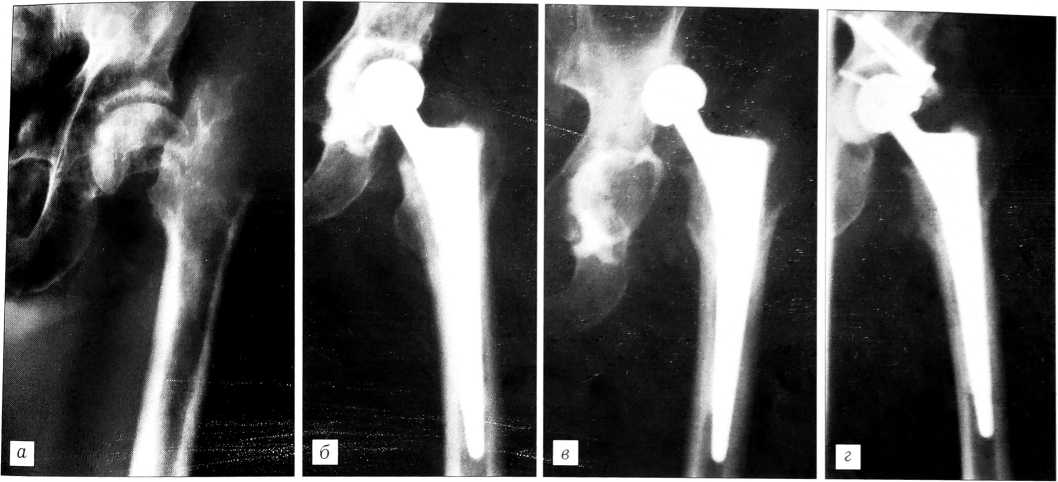
Больной П., 77 лет, госпитализирован в клинику института 5.08.96 с диагнозом: медиальный перелом шейки левой бедренной кости (рис. 1, а). Травму получил 14.07.96 в результате падения, до поступления в клинику не лечился. 8.08.96 под эндотрахеальным наркозом из переднелатерального доступа по Мюллеру произведено тотальное эндопротезирование левого тазобедренного сустава. Имплантирован протез конструкции УкрНИИТО (чашка 50 мм, ножка 11 мм, головка 32 мм «короткая»), фиксация обоих компонентов на костном цементе (рис. 1, б). Тест на вывихивание отрицательный. Рана послойно ушита наглухо. Осложнений во время операции не было. Послеоперационный период протекал также без осложнений, рана зажила первичным натяжением. Через 7 дней больной поднялся с постели, начал ходить при помощи ходунков. Для удержания ног в разведенном положении использовалась клиновидная подушка между коленями.
30.08.96 во время сна больной резко повернулся, почувствовал сильную боль в области левого тазобедренного сустава. Рентгенологически выявлен задневерхний вывих головки эндопротеза (рис. 1, в). Вправление произведено закрыто под общим обезболиванием. Наложен деротационный сапожок на 10 дней. После снятия сапожка больной занимался лечебной гимнастикой, ходил с помощью ходунков. 13.09.96 в удовлетворительном состоянии выписан на амбулаторное лечение.
29.09.96 во время сна произошел повторный вывих головки протеза. В клинике института под общим обезболиванием выполнено закрытое вправление, наложен деротационный сапожок на 2 нед.
Третий вывих возник 2.11.96, больной был вновь госпитализирован в институт. Попытка закрытого вправления не имела успеха. 28.11.96 выполнено оперативное вмешательство. При ревизии обнаружено смещение бедра вверх и кзади, бедренный компонент эндопротеза был прочно фиксирован в костномозговом канале. Отмечено вертикальное положение чашки протеза, отсутствие костной ткани заднего края ацетабулярной впадины. Чашка протеза извлечена, впадина обработана фрезами, на месте дефекта заднего края ввинчены в ряд 3 винта. Ацетабулярный компонент фиксирован на костном цементе, одновременно цементированы винты, ставшие препятствием для смещения чашки. Головка эндопротеза (прежняя) вправлена во впадину (рис. 1, г). Послеоперационный период протекал без осложнений. Вставать с постели и ходить при помощи ходунков разрешено спустя 2 нед после операции. В удовлетворительном состоянии больной выписан на амбулаторное лечение. Через 1 год состояние пациента и положение компонентов эндопротеза хорошее.
Рис. 1. Рентгенограммы больного П. а — до операции: медиальный перелом шейки левой бедренной кости; б — состояние после тотального эндопротезирования левого тазобедренного сустава протезом конструкции УкрНИИТО с фиксацией на костном цементе; в — вывих головки эндопротеза; г — состояние после ревизионного эндопротезирования левого тазобедренного сустава (фиксация ацетабулярного компонента на костном цементе с одновременным цементированием винтов, служащих препятствием для смещения чашки).
Как видим, у данного больного вывихиванию головки эндопротеза способствовали относительно вертикальное положение ацетабулярного компонента (см. рис. 1, б), а также нарушение режима сгибания и приведения конечности во время сна. Нормальная ориентация впадины эндопротеза соответствует наклону 45° относительно горизонтальной линии и 10—15° антеверсии. Более вертикальное положение впадины или изменение угла антеверсии как в одну, так и в другую сторону нарушает биомеханические соотношения в суставе, способствуя снижению стабильности в нем. С целью профилактики вывихивания головки после ее вправления необходимо наложение деротационного сапожка сроком до 2 нед для ограничения наружной ротации. Многоразовое вывихивание и закрытое вправление привели в представленном наблюдении к нарушению стабильности чашки протеза и повреждению заднего края ацетабулярной впадины.
Мы считаем, что свежие вывихи головки эндопротеза, не осложненные нарушением стабильности чашки, должны вправляться консервативно под общим обезболиванием. Вправление следует производить плавной тракцией за конечность по длине с противотягой, обеспечивая максимальную релаксацию мышц пациента. При безуспешности попытки вправления, а также в случаях застарелого вывиха необходима ревизия сустава.
Приводим клинический пример застарелого вывиха головки эндопротеза.
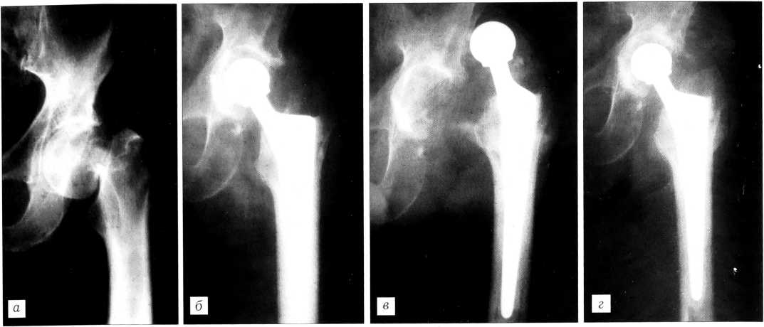
Больной Ф.. 64 лет, госпитализирован в клинику 14.12.97 с диагнозом: ложный сустав шейки левого бедра. Перелом получил при падении с высоты в 1995 г. По месту жительства произведена операция — металлоостеосинтез шейки трехлопастным гвоздем, которая осложнилась нагноением. Гнойный процесс был ликвидирован только после удаления фиксатора.
При поступлении больной жалуется на сильные боли в левом тазобедренном суставе, нарастающие при движении. Ходит с помощью костылей. Имеется относительное укорочение левой нижней конечности на 4 см. Оценка по Харрису 15 баллов. На рентгенограмме левого тазобедренного сустава определяется ложный сустав шейки бедренной кости, остеопороз (рис. 2, а).
19.12.97 под проводниковой эпидуральной анестезией выполнено тотальное эндопротезирование левого тазобедренного сустава с фиксацией компонентов на костном цементе (рис. 2, б). В послеоперационном периоде применялась клиновидная подушка между ног в течение 7 дней. Рана зажила первичным натяжением. Вставать с постели и ходить с помощью костылей больной начал со 2-го дня после операции. В удовлетворительном состоянии выписан на амбулаторное лечение по месту жительства.
Со слов больного, 20.01.98 (через месяц после операции) почувствовал резкую боль в суставе. За медицинской помощью не обращался, ходил при помощи костылей, не наступая на левую ногу. Задневерхний вывих бедра был диагностирован спустя 2 мес после его возникновения при контрольном осмотре в институте (рис. 2, в). Больной госпитализирован в клинику для оперативного лечения. 6.04.98 произведено открытое вправление вывиха с удалением значительных по размеру оссификатов, головка с короткой шейкой заменена на головку со средней шейкой. В течение 10 дней применялась клиновидная подушка между ног во время сна. Вставать на ноги и ходить разрешено на 5-й день после операции. Рана зажила первичным натяжением. Для профилактики гетеротопической оссификации назначен индометацин по 0,025 г 3 раза в день в течение 3 мес.
Контрольный осмотр спустя 5 мес после открытого вправления: ходит с помощью двух костылей, приступая на оперированную ногу, жалобы на боль во время длительной ходьбы, рентгенологически нарушений положения компонентов эндопротеза не выявлено, гетеротопическая оссификация отсутствует. Оценка по Харрису 62 балла. Рекомендованы лечебная гимнастика, массаж, ходьба с помощью трости. Контрольный осмотр спустя 1 год 4 мес: при ходьбе использует трость, боль не беспокоит, объем движений в суставе удовлетворительный, на рентгенограмме левого тазобедренного сустава признаков нестабильности компонентов эндопротеза и гетеротопической оссификации нет (рис. 2, г). Оценка по Харрису 79 баллов. Результат лечения больного, несмотря на застарелый вывих эндопротеза и его открытое устранение, считаем хорошим.
Рис. 2. Рентгенограммы больного Ф. а — до операции: ложный сустав шейки левой бедренной кости; б — состояние после тотального эндопротезирования левого тазобедренного сустава протезом конструкции УкрНИИТО с фиксацией на костном цементе; в — застарелый вывих головки эндопротеза. Обширные параартикулярные оссификаты; г — состояние после ревизии эндопротеза левого тазобедренного сустава (удалены гетеротопические параартикулярные оссификаты, головка протеза вправлена во впадину).
К открытому вправлению пришлось прибегнуть и у больной К., 58 лет, с двусторонним поражением тазобедренных суставов (ревматоидный полиартрит, протрузионная форма, гормонозависимый). В 1996 г. ей были выполнены с интервалом в 3 мес операции тотального эндопротезирования тазобедренных суставов имплантатами Тареrlос, размеры компонентов: справа — впадина 50 мм, ножка 13 мм, головка 32 мм с шейкой -3 (ультракороткая), слева — соответственно 50 мм, 13 мм, шейка +3, фиксация на костном цементе. В обоих случаях произведена пластика дна вертлужной впадины аутоспонгиозой из удаленной головки бедренной кости.
В течение 7 мес после операции у больной трижды возникал вывих головки справа. Дважды вправление производилось закрыто. После третьего вывиха выполнена ревизионная операция с открытым вправлением и заменой головки на другую — с шейкой +3. Контрольный осмотр через 3 мес: больная ходит, опираясь на трость, слегка прихрамывая на правую ногу. Вывихиваний больше не было.
Как видно из приведенных клинических примеров, рецидивы вывихивания возникали у ослабленных пациентов старшего возраста с пониженным тонусом мышц, при использовании головок со слишком короткой шейкой и в случаях неправильной ориентации ацетабулярного компонента.
Для профилактики вывихивания эндопротеза во время операции необходимо при рассечении широкой фасции бедра, учитывая значение этой анатомической структуры для удержания головки бедра во впадине у пациентов пожилого возраста с пониженным тонусом мышц, избегать ее поперечных послабляющих разрезов. При установке впадины эндопротеза нужно следить за ее правильным положением во фронтальной и сагиттальной плоскостях. Следует максимально удалять костные разрастания вокруг ацетабулярной впадины, чтобы во время движений не было костных препятствий. Объем движений и наличие препятствий в крайних положениях мы проверяем после вправления головки во впадину. Тест на вывихивание при переднелатеральном доступе к тазобедренному суставу по Мюллеру считается положительным, если в положении приведения и наружной ротации головка протеза легко вывихивается в рану. При заднем доступе тестирование осуществляется путем приведения и внутренней ротации в тазобедренном суставе. В случае положительного теста необходимо произвести максимально возможное удаление костных разрастаний и использовать головку с большей длиной шейки. В результате этого увеличивается натяжение мышц и фасции, что повышает стабилизацию эндопротеза. Обязательным является тщательное ушивание раны с целью восстановления анатомического соотношения тканей.
Для предупреждения вывихивания головки эндопротеза в раннем послеоперационном периоде в клинике используются специальные поролоновые подушки клиновидной формы с углублениями по бокам, в которых при помощи лент фиксируются в разведенном положении ноги больного. Это значительно облегчает перекладывание пациента с операционного стола на каталку, а затем в постель, надежно предупреждая приведение оперированной конечности.
Мы также считаем необходимым укрепление мышц оперированной конечности. С первого дня после операции начинаем активное ведение больных. Назначаем дыхательную гимнастику, легкий массаж, протирание кожи спины, ягодиц, копчика во избежание образования пролежней. Занятия лечебной гимнастикой начинаем под наблюдением лечащего врача и методиста ЛФК. Пациенты выполняют упражнения с изометрическим напряжением мышц бедра, ягодиц, определенные движения в суставах нижних конечностей, подтягиваются на балканской раме, приподнимая таз. В первые 3 мес после операции больному запрещается нагибаться вперед больше чем на 90°, так как в противном случае возможно вывихивание головки эндопротеза. Определенный режим отведения нижних конечностей рекомендуется в течение 2-3 мес после оперативного вмешательства.
Важное место в системе реабилитационных мероприятий отводится обучению больного навыкам, которые он должен использовать после эндопротезирования тазобедренного сустава. Пациентов знакомят с устройством искусственного сустава, кратко объясняют суть предстоящего оперативного вмешательства. При этом акцентируется внимание на осложнениях, которые могут возникнуть в послеоперационном периоде, и на том, как избежать их. Специально разработанный комплекс упражнений, представленный в виде наглядных рисунков и текста к ним, предлагается пациентам для изучения с первого дня пребывания в клинике.
Выводы
- Вывихиванию головки эндопротеза способствует неправильная ориентация ацетабулярного компонента.
- Вправление должно производиться под общим обезболиванием и с релаксацией мышц пациента.
- При рецидивирующих и застарелых вывихах необходимо оперативное вправление.
- Профилактика вывихивания должна проводиться как во время операции, так и в послеоперационном периоде.
About the authors
O. I. Rybachuk
Ukrainian Institute of Traumatology and Orthopedics
Author for correspondence.
Email: info@eco-vector.com
Ukraine, Kyiv
S. N. Besedinsky
Ukrainian Institute of Traumatology and Orthopedics
Email: info@eco-vector.com
Ukraine, Kyiv
References
- Coventry M.B. //J. Bone Jt Surg. — 1985. — Vol. 67A. — P. 832-841.
- Ekelund A., Rydell N., Nilsson O. //Clin. Orthop. — 1992. — N 281. — P. 101-106.
- Goetz D.D., Capello W.N., Callaghan J. //J. Bone Jt Surg. — 1998. — Vol. 80A, N 4. — P. 502-509.
- Grossmann P., Braun M., Becker W. //Z. Orthop. — 1994. — Bd 132, N 6. — S. 521-526.
- Hedlundh U., Ahnfelt L. et al. //Clin. Orthop. — 1996. — N 333. — P. 226-233.
- Joshi A. //J. Arthroplacty. - 1998. — Vol. 13, N 1. — P. 17-21.
- Morrey B.F. //Clin. Orthop. — 1997. — N 344. — P. 179-187.
- Newington D.P., Bannister G.C., Fordyce M. //J. Bone Jt Surg. — 1990. — Vol. 72B. — P. 450-452.
- Paterno S.A. //J. Bone Jt Surg. — 1997. — Vol. 79A, N 8. — P 1202-1210.
Supplementary files




