Pseudo-malignant heterotopic ossification in children
- Authors: Berezhny A.P.1, Morozov A.K.1, Snetkov A.I.1, Berchenko G.N.1, Frantov A.R.1
-
Affiliations:
- Central Institute of Traumatology and Orthopedics. N.N. Priorova
- Issue: Vol 7, No 1 (2000)
- Pages: 47-55
- Section: Original study articles
- Submitted: 23.02.2022
- Accepted: 23.02.2022
- Published: 25.02.2000
- URL: https://journals.eco-vector.com/0869-8678/article/view/101522
- DOI: https://doi.org/10.17816/vto101522
- ID: 101522
Cite item
Full Text
Abstract
Among 26 children with soft tissue ossification 5 patients with pseudomalignant heterotopic ossification were analysed. All patients underwent surgery and were cured. Authors’ presentation emphasizes the importance of the performance of sparing operation after ossification «maturation» as well as local application of steroids, appropriate use of immobilization and accurate rehabilitation.
Keywords
Full Text
Псевдозлокачественная гетеротопическая оссификация — нечасто встречающееся солитарное, ограниченное поражение соединительной ткани у детей, природу которого ортопедпрактик не всегда может сразу определить. Заболевание может симулировать экстраоссальную саркому, оссифицирующую прогрессирующую фибродисплазию (оссифицирующий миозит), избыточную костную мозоль, опухолевидный кальциноз [1-3, 5, 9, 12].
Гетеротопическая оссификация в рентгеновском отображении не имеет специфической симптоматики и характеризуется изменчивостью признаков при динамическом наблюдении, что усложняет рентгенологическую диагностику. Комплексное обследование с глубоким анализом полученных данных позволяет в короткий срок провести дифференциальную диагностику с названными выше заболеваниями. В практике детского ортопеда основные трудности возникают в случаях, когда нет прямых указаний на травму пораженного отдела опорно-двигательной системы.
Сложнее ситуация, если, не определив характер болезни, стадию ее развития, ребенку проводят неадекватное лечение, извращающее течение патологического процесса. В результате специалист сталкивается с ятрогенной патологией, зачастую более сложной, чем основное заболевание. Все это затрудняет и удлиняет диагностический процесс.
Особую трудность представляют атипичные случаи, когда онкологический диагноз не подтверждается и не отвергается категорически и только «сдержанная решимость» ортопеда, вооруженного современными методами исследования, позволяет надеяться на успех [5, 12, 15].
Наблюдения и методы исследования
Из 26 детей с оссификатами в мягких тканях опорно-двигательной системы в анализируемую группу включены 5 больных, у которых дифференциальная диагностика проводилась главным образом со злокачественными опухолями. У остальных пациентов дифференциальный ряд был гораздо шире, после комплексного обследования у них установлены: myositis ossificans circumscripta (4 больных), прогрессирующая оссифицирующая фибродисплазия (8), опухолевидный кальциноз (5), «псевдосаркома» при несовершенном остеогенезе (3), пароссальная остеома (1).
Диагнозы, с которыми больные анализируемой группы были направлены в ЦИТО из других медицинских учреждений, свидетельствовали об онкологической настороженности, но в то же время о недостаточном знании основ детской костной патологии. Один ребенок поступил с диагнозом «оссифицирующая гематома», трое — «злокачественная опухоль» и один — «гематогенный остеомиелит». По поводу предполагаемых заболеваний было проведено лечение, усугубившее местную ситуацию, но не вызвавшее ухудшения общего состояния детей.
Типичные ситуации и ошибки в ведении больных представлены при описании отдельных наблюдений. Отметим только, что чаще всего развитию болезни предшествует травма мягких тканей, когда в результате воздействия значительной силы мышца травмируется жестким предметом с одной стороны и подлежащей костью с другой, что нередко бывает при игре в футбол, ударе палкой и т.п.
Больной У., 14 лет, за 3 мес до поступления в ЦИТО, играя в футбол, получил прямой удар в область проксимального отдела правого бедра. Болевые ощущения появились спустя 5 дней, стал хромать на правую ногу. Через 1 мес боль беспокоила только при длительной ходьбе.
Дифференциальная диагностика проводилась между оссифицирующейся гематомой и опухолью.
При осмотре: объем правого бедра на 2 см больше, чем левого, кожные покровы не изменены. По наружной поверхности правого бедра пальпируется костной плотности образование размером 15x3x2 см, безболезненное, неподвижное. Соматически здоров. Клинические и биохимические показатели крови и мочи в норме.
На рентгенограммах правого бедра определяется дополнительное пароссальное лентовидное образование костной плотности с неровным нечетким контуром, располагающееся по ходу мышечных волокон. Поверхность бедренной кости четкая, ровная, периостальных наслоений нет (рис. 1, а) Компьютерная томография: пароссальное образование локализуется в толще m. vastus lateralis, имеет костную плотность и на протяжении 2 см связано с бедренной костью (рис. 1, б, в). Магнитно-резонансная томография в режиме Т2 взвешенности: пароссальное образование имеет гиперинтенсивный, гетерогенный сигнал (рис. 1, г). Выявленные изменения расценены как гетеротопический оссификат.
Рис. 1. Больной У. Гетеротопический оссификат правого бедра. а — рентгенограмма правого бедра: пароссальный оссификат лентовидной формы с четкими контурами по ходу m. vastus lateralis; б — компьютерная томограмма: пароссальный оссификат связан с бедренной костью и располагается в толще мышцы по ходу ее волокон; в — компьютерная томограмма: пароссальный оссификат в режиме 3D реконструкции; г — магнитно-резонансная томограмма: гиперинтенсивный гетерогенный сигнал в режиме Т2 взвешенности.
Через 4 мес после травмы произведена операция. Оссификат полностью располагался в толще наружной порции четырехглавой мышцы, проксимальный отдел его был спаян костным мостиком 2x2 см с наружной поверхностью бедренной кости. Оссификат отсечен долотом. Костная рана покрыта парафином. Активное дренирование ложа оссификата в течение 1 сут. Четырехкратное инфильтрирование краев раны раствором гидрокортизона (50 мг в 10 мл новокаина) с интервалом 1-3 сут. Иммобилизация. Восстановительное лечение через 18 дней. Лечение ксидифоном 3 мес.
Гистологическая картина. В периферических участках образования преобладают трабекулы губчатой кости, имеющие относительно зрелый характер. Новообразованная кость отличается неполноценной архитектоникой, о чем свидетельствует хаотичное расположение неравномерно созревающих костных трабекул (рис. 2, а). В последних наблюдаются немногочисленные линии склеивания, неравномерное расположение которых создает в некоторых местах картину «педжетоидной» кости. В периферических отделах образования между костными трабекулами в основном выявляются элементы жирового костного мозга, встречаются участки рыхлой соединительной ткани с малочисленными клеточными элементами — гистиоцитами и фибробластоподобными клетками. В более центральных участках элементов жирового костного мозга меньше, преобладает соединительная ткань, в которой содержится больше клеточных элементов. Имеется значительное число сосудов, особенно в более центральных участках образования, вокруг некоторых сосудов определяются гистиолимфоцитарные инфильтраты. Ближе к центру образования встречаются участки остеоидных постепенно обызвествляющихся костных балочек (рис. 2, б). Между балочками обычно располагается соединительная ткань, в которой по сравнению с периферическими участками содержится больше клеточных элементов, преимущественно фибробластов и гистиоцитов. В периферических отделах образования отмечается резорбция костных трабекул активными остеокластами.
Рис. 2. Микрофотограммы операционного препарата больного У. а — значительно утолщенные костные трабекулы с неравномерным обызвествлением. В межбалочных пространствах многочисленные расширенные и полнокровные сосуды (окраска гематоксилином и эозином. Ув. 60); б — незрелые, постепенно обызвествляющиеся костные балочки. В соединительной ткани межбалочных пространств видны гистиоциты и фибробласты (окраска гематоксилином и эозином. Ув. 160).
Отсутствие четких указаний на прямую травму часто ставит врача в затруднительное положение: отличить реактивный процесс от бурного роста опухоли непросто, тем более в условиях дефицита времени.
Больная К., 14 лет, больна 5 мес. Указаний на травму нет. Заболевание началось с появления припухлости по задней поверхности правого бедра. На рентгенограммах на уровне диафиза правого бедра выявлено дополнительное пароссальное образование костной плотности овальной формы с нечеткими контурами. В очаге имеются участки остеосклероза и отдельные кисты. Граница между пароссальным образованием и диафизом бедренной кости нечеткая, дифференцируется частично ассимилированный линейный периостит (рис. 3). Выявленные изменения не позволили полностью исключить пароссальную саркому, что усложнило проведение дифференциальной диагностики. Ребенку выполнены одна за другой две открытые биопсии. Верифицировать диагноз не удалось. Через 3 мес от начала заболевания вновь произведена открытая биопсия в НИИ детской онкологии ОНЦ РАМН и диагностирован гетеротопический оссификат.
При поступлении в ЦИТО ходит самостоятельно, хромая на правую ногу. На правом бедре по латеральной поверхности два послеоперационных рубца длиной 11 см, тут же, больше кзади, пальпируется опухолевидное образование размером 17x7 см, не спаянное с кожей и подкожной клетчаткой, безболезненное при пальпации. Кожа над ним не изменена. В правом коленном суставе разгибание 170°, сгибание полное.
Спустя 5 мес от начала заболевания произведена краевая резекция правой бедренной кости с включением в препарат оссификата. Иммобилизация кокситной гипсовой повязкой продолжалась 3 нед. При перевязках в мягкие ткани зоны разреза дважды вводился гидрокортизон в дозе 50 мг. Заживление раны первичное. Ходьба на костылях без нагрузки на больную ногу в течение 3 мес.
Рис. 3. Рентгенограммы больной К. Гетеротопический оссификат правого бедра (дифференциальная диагностика с пароссальной саркомой). Нечеткий контур оссификата, структура с участками остеосклероза и разрежения. Частично ассимилированный линейный периостит бедренной кости.
Морфологическое исследование операционного препарата: определяется относительно зрелая губчатая кость с нарушенной архитектоникой, о чем свидетельствует неравномерное распределение и созревание костных балочек. Элементов остеоидной и грубоволокнистой кости не обнаружено.
На течение патологического процесса может оказать отрицательное влияние неадекватное лечение, назначенное врачом, мало знакомым с особенностями болезни.
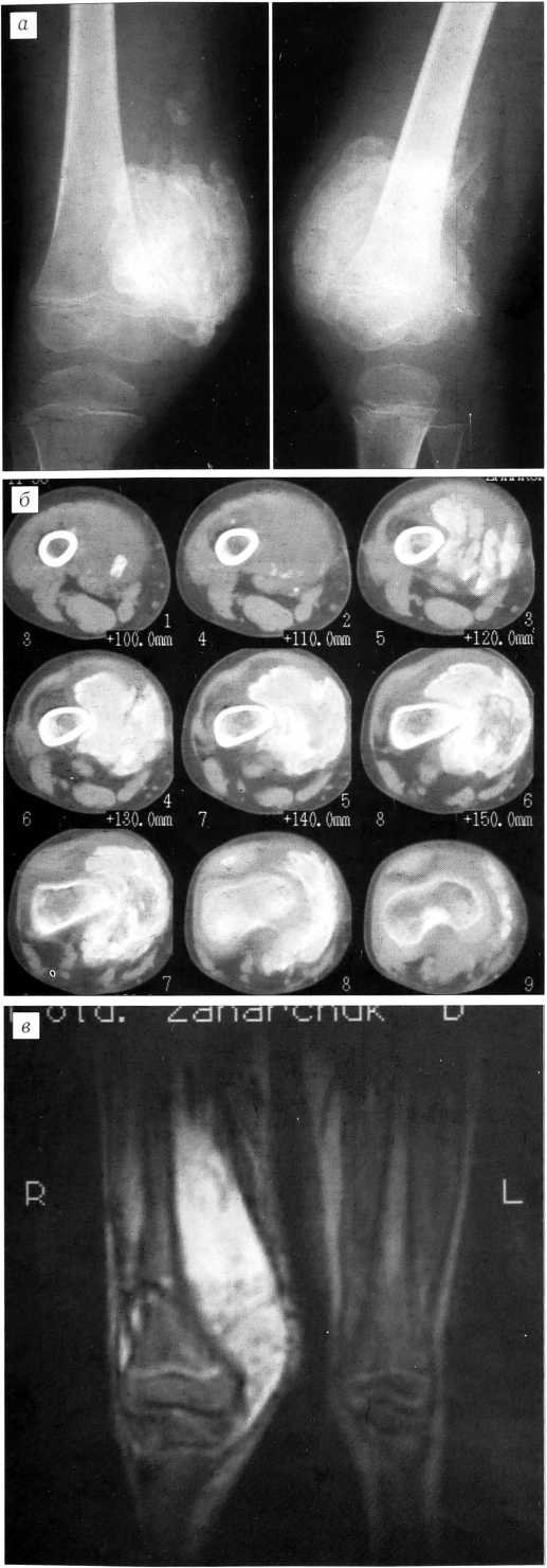
Рис. 4. Больной З. Гетеротопический оссификат правого коленного сустава. 2 мес от начала заболевания. а— рентгенограммы правого коленного сустава: неравномерная структура оссификата с участками разрежения и склероза. Четкий, неровный контур; б — компьютерные томограммы: неравномерное разрежение костной структуры в центре оссификата. Нечеткость границ между оссификатом и бедренной костью на ограниченном протяжении. Увеличение объема и нечеткость контуров m. vastus medialis; в — магнитно-резонансная томограмма: в режиме Т2 взвешенности изоинтенсивный гетерогенный сигнал от оссификата и гиперинтенсивный сигнал от m. vastus medialis.
Больной З., 6 лет, заболел через 3 дня после падения на правую ногу, согнутую в коленном суставе: по внутренней поверхности сустава появилась нарастающая припухлость. На сустав накладывался компресс с мазью Вишневского, иммобилизация не проводилась. Однократная пункция сустава и сеанс УВЧ-терапии усилили боль в суставе. Из разреза по медиальной поверхности сустава удалена гематома, взята ткань (биоптат) для исследования, по результатам которого злокачественного новообразования не выявлено. Кожа в области сустава покраснела, температура тела повысилась до 37,4°С. По поводу «гонита» проводились антибиотикотерапия, приточно-отточное промывание. Сустав увеличился в объеме, и спустя 2 мес от начала заболевания пациент был переведен в ЦИТО с диагнозом «рецидивирующий остеомиелит бедренной кости».
При поступлении: правый коленный сустав резко увеличен за счет неподвижной плотной припухлости по его переднемедиальной поверхности. Кожные покровы в области сустава горячие на ощупь. Визуально определяемых изменений кожи за исключением послеоперационных рубцов в месте проведения дренажной трубки нет. Окружность правого коленного сустава 33 см, левого — 23 см, окружность правого бедра 30 см, левого — 28 см. Объем движений в правом коленном суставе 180-160°, боли при движениях нет. Соматически здоров. Клинические и биохимические анализы крови и мочи в норме.
Спустя 2 мес от начала болезни в ЦИТО установлен диагноз: псевдозлокачественный гетеротопический оссификат.
На рентгенограммах правого коленного сустава по внутренней поверхности определяется дополнительное пароссальное образование костной плотности размером 7x6x6 см с неровным четким контуром. Структура очага неоднородная, с участками остеосклероза и мелкими кистами в центральных отделах. В проекции m. vastus medialis дифференцируются единичные оссификаты. Пароссальный оссификат вплотную прилежит к внутренней поверхности дистального метафиза бедренной кости (рис. 4, а).
При компьютерной томографии выявлено, что оссификат на ограниченном протяжении интимно связан с корковым слоем бедренной кости. В центре оссификата зона разрежения костной структуры с фестончатыми контурами. М. vastus medialis выше оссификата увеличена в объеме и не имеет четких контуров (рис. 4, б). На магнитно-резонансных томограммах в режиме Т2 взвешенности определяется гетерогенный изоинтенсивный сигнал от m. vastus midialis (рис. 4, в).
Рис. 5. Тот же больной З. через 4 мес от начала заболевания. а — рентгенограммы: большую часть оссификата занимает киста; б — компьютерная томограмма: киста имеет фестончатый контур и относительную плотность от 40 до 60 HU; в — магнитно-резонансные томограммы: в режиме Т1 взвешенности изоинтенсивный гетерогенный сигнал от оссификата. В режиме Т2 взвешенности гиперинтенсивный сигнал от оссификата и изоинтенсивный от m. vastus medialis; г — ангиограмма: смещение артериальных сосудов третьего порядка оссификатом.
Комплексное обследование позволило заключить, что «созревание» оссификата не закончено. Наложена гипсовая повязка и ребенок переведен под амбулаторное наблюдение. По снятии гипсовой повязки кожа спокойная, признаков воспаления нет. Движения в суставе не восстановились, в сохранившемся объеме (амплитуда 20°) безболезненны.
Через 4 мес на рентгенограммах размеры оссификата прежние. Центральные отделы его заняты кистой, которая значительно увеличилась (рис. 5, а).
Компьютерная томография: кистозная полость занимает большую часть оссификата, имеет фестончатые контуры. Относительная плотность содержимого кисты 40-60 HU (рис. 5, б).
Магнитно-резонансная томография: в режиме Т1 взвешенности сигнал от оссификата гетерогенный изоинтенсивный, в Т2 — гиперинтенсивный. Сигнал от m. vastus medialis в режиме Т2 взвешенности стал изоинтенсивным (рис. 5, в).
На ангиограммах правого коленного сустава нарушений кровообращения не выявлено за исключением смещения оссификатом артериальных сосудов третьего порядка по внутренней поверхности бедренной кости (рис. 5, г).
По результатам проведенных в динамике исследований подтверждено заключение о наличии у больного гетеротопического оссификата. Имеющиеся структурные изменения расценены как проявления его «созревания» и обратного развития.
Спустя 6 мес от начала заболевания, после 4-месячной иммобилизации гипсовой повязкой ребенок подвергнут хирургическому лечению. Медиальным разрезом в нижней трети бедра обнажено костной плотности образование размером 7x6x6 см, покрытое соединительнотканной капсулой. На двух участках оно срослось с бедренной костью, из-за чего неподвижно. При пункции оссификата внутрикостной иглой получено около 20 мл соломенно-желтого цвета жидкости (как после отстоявшейся гематомы), отличающейся от синовиальной жидкости меньшей вязкостью. Медиальная поверхность и проксимальные отделы оссификата интимно и прочно спаяны с m. vastus intermedius и т. vastus medialis, часть верхнего заворота сустава входит в псевдокапсулу оссификата. Эти изменения и послужили причиной «блокады» сустава. После пересечения костных мостиков и мягкотканных спаек оссификат удален. Объем движений удалось восстановить на операционном столе. Костные раны заделаны воском, произведен тщательный гемостаз, установлен активный дренаж. Прилежащие мягкие ткани инфильтрированы раствором гидрокортизона в дозе 50 мг. Эта процедура дважды повторена при перевязках. Иммобилизация гипсовой повязкой продолжалась 21 день. По снятии гипсовой повязки — восстановительное лечение.
Макроскопически удаленный оссификат напоминает гусиное яйцо, несколько деформированное. Снаружи покрыт капсулой наподобие рубцовой ткани. Костные стенки неравномерной толщины, особенно тонкие по медиальной поверхности, максимально отдаленной от бедренной кости (прогибаются при надавливании пальцем).
Микроскопически определяется костная ткань с нарушенной архитектоникой, при этом отмечается неравномерное распределение участков губчатой и кортикальной кости. В межбалочных пространствах располагаются жировой костный мозг и рыхлая соединительная ткань с немногочисленными клеточными элементами. В центральных участках выявляются балочки незрелой грубоволокнистой кости, между ее трабекулами увеличено содержание клеточных элементов фиброгистиоцитарной ткани. В прилежащих мягких тканях атрофия мышечных волокон, кровоизлияния, периваскулярные гистиолимфоцитарные инфильтраты, значительно увеличено количество сосудистых элементов.
Исходы
Хирургическое лечение проведено одному больному через 4 мес, одному — через 5 мес и трем — через 6 мес от начала заболевания — во всех случаях после «созревания» оссификатов. Гипсовая иммобилизация после операции продолжалась от 18 до 21 дня, затем проводилось восстановительное лечение по щадящей методике. Все больные осмотрены в срок от 6 до 12 мес. Рецидивов не отмечено. Объем движений и опорность конечности восстановлены полностью.
Обсуждение
Псевдозлокачественная гетеротопическая оссификация — нечастое поражение мягких тканей, встречающееся в 80% случаев у людей 2-3-й декад жизни [1-3, 5, 9, 12]. Вместе с тем, костеобразование вне скелета — распространенное патологическое явление в человеческом организме. «Кажется, нет такого органа, в котором, хотя изредка, не возникали бы очаги такой гетеротопной кости, не имеющей функционального назначения и существующей иногда во вред всему организму» [7].
Начало изучению костеобразования в мягких тканях опорно-двигательной системы положено 250 лет назад, когда в научном журнале был описан мальчик с оссифицирующим миозитом [11]. Последующие многочисленные публикации содержали описание казуистических наблюдений двух типов заболевания: генерализованного и изолированного. Генерализованная форма сегодня известна под названием fibrodysplasia ossificans progressive, местная — myositis ossificans circumscripta [1, 2]. Прогрессирующая оссифицирующая фибродисплазия рассматривается как генетически обусловленное заболевание (спорадическое, аутосомно-доминантное) [14], изолированная форма считается следствием, осложнением травм [1, 3—5]. В 1963 г. А.А. Корж писал: «... если формальный генез гетеротопического костеобразования изучен более или менее полно, то каузальный генез костеобразования вне скелета до сих пор является неразрешимым вопросом, вопросом в прямом смысле этого слова» [5 (с. 28)]. Спустя 35 лет американские авторы, глубоко изучающие эту проблему, констатируют, что природа гетеротопического оссификата неизвестна, и допускают ее общность с природой оссифицирующей прогрессирующей фибродисплазии [12].
По сравнению с частотой травм частота образования гетеротопических оссификатов невелика. Прямое влияние травмы здесь, как и при развитии сарком, не доказано, но она может играть определяющую роль [1, 3]. Бурный рост гетеротопического оссификата и развитие злокачественной опухоли имеют сходный анамнез, весьма схожи и их клинические симптомы на начальном этапе заболевания [8, 9, 12, 13, 15]. Кстати, в Международной гистологической классификации опухолей мягких тканей ВОЗ (1994) оссифицирующий миозит и прогрессирующая оссифицирующая фибродисплазия отнесены к группе хрящевых и костных опухолей [16].
Общие признаки сопровождают ранние стадии развития гетеротопического оссификата, прогрессирующей оссифицирующей фибродисплазии и опухолевидного кальциноза мягких тканей (табл. 1). Помочь в дифференциальной диагностике могут лабораторные, радиологические и гистологические исследования (табл. 2).
Таблица 1
Клинические критерии дифференциальной диагностики псевдозлокачественной гетеротопической оссификации
Клинические признаки | Псевдозлокачественный гетеротопический оссификат | Прогрессирующая оссифицирующая фибродисплазия | Опухолевидный кальциноз мягких тканей |
Этиология | Неизвестна | Генетическая (аутосомно-доминантный характер, новые мутации) | Генетическая (аутосомно-рецессивный характер) |
Средний возраст проявления заболевания, годы | 11-13 | 5 | 2 |
Типичная локализация | Таз, бедро, плечо | Дорсальные регионы тела — область спины, шеи, тазового пояса | Параартикулярные зоны — места прикрепления мышц по задней поверхности локтевого, коленного, тазобедренного суставов |
Болезненность в очаге поражения, недомогание, | Характерны | Непостоянны | — |
анорексия, лихорадка в начале развития болезни |
| ||
Местная отечность мягких тканей | + | + | + |
Врожденная деформация I пальца стопы | - | + | - |
Укороченная, расширенная шейка бедренной | - | + | — |
кости |
| ||
Аномалии шейных позвонков | - | + | - |
Остеофит | - | + | - |
Обострение заболевания при повторной травме | — | + | - |
Темп роста образования | Быстрый | Быстрый | Медленный |
Спонтанная регрессия очага поражения | + | + | — |
Формирование свища | - | - | Возможно |
Появление новых очагов поражения | + | + | + |
Примечание. Экстраоссальные саркомы не рассматриваются, так как это заболевание 4-5-го десятилетий жизни.
Внимательный анализ полученных клинических и лабораторных данных позволяет в течение 8-12 нед верифицировать диагноз и назначить адекватное лечение [12].
Лечение ребенка с псевдозлокачественным гетеротопическим оссификатом проводится с особой осторожностью. Обычная терапия, применяемая у взрослых или у детей, например, после вывиха предплечья, у ребенка с подозрением на развитие злокачественного новообразования неприемлема [3, 5]. При условии жесткого контроля у этих больных осуществляется иммобилизация обычной гипсовой повязкой или лонгетой — как основной способ лечения или как подготовительный этап к хирургическому лечению. Эффект, который может дать физиотерапия, не оправдывает того урона, какой она нанесет в случае ошибочной диагностики при наличии опухоли. Кроме того, без гистологической верификации диагноза проведение физиотерапии недопустимо. Поэтому анамнез большинства больных содержит факт биопсии в «остром» периоде заболевания. Практикуемые при лечении травм мягких тканей сроки иммобилизации (3 нед) для больных с гетеротопическим оссификатом представляются нам заниженными. Маловероятно, что за это время произойдет рассасывание уже сформировавшейся в мягких тканях кости [5], что и вообще наблюдается нечасто.
Дискуссия ортопедов о «возрасте» гетеротопического оссификата, по нашему мнению, надуманная, ибо критерием для определения срока операции является степень его «созревания», легко устанавливаемая радиологом [5]. Знание типичных сроков «созревания» оссификата позволяет контролировать его обычными рентгенологическими исследованиями. Острой необходимости прибегать к радионуклидным методам нет.
Операция, произведенная до «созревания» оссификата, неизбежно заканчивается рецидивом [5, 15]. Период «созревания» составляет в среднем 4,5-5 мес, в течение половины этого срока осуществляется иммобилизация [5]. Благодаря этому уменьшается зона асептического воспаления мягких тканей, оссификаты клинически резко уменьшаются в размерах из-за спадения отека окружающих мягких тканей, а их «созревание» и перестройка проходят более упорядоченно [5, 6]. После «созревания» оссификата при наличии показаний (значительный размер образования, ограничение движений в суставе из-за оссификации капсулы, сдавление магистрального нерва) его иссекают [5].
Таблица 2
Некоторые лабораторные, рентгенологические и гистологические критерии диагностики
Диагностические признаки | Псевдозлокачественная гетеротопическая оссификация | Прогрессирующая оссифицирующая фибродисплазия |
соэ | Может быть ускорена | Ускорена в той или иной степени |
Лейкоцитоз в начале развития заболевания | Более 10 /л | Обычно нормальный |
Содержание лимфоцитов | Повышено | Нормальное |
Уровень щелочной фосфатазы в сыворотке крови | Повышен | Повышен |
Преобладающая форма оссификации | Интрамембранная, смешанная | Эндохондральная |
Гистологическая зонация болезни | Зрелая кость по периферии, недифференцированная центральная часть | Отсутствует |
Рентгенологические проявления | В раннем периоде — припухлость мягких тканей, позднее — отчетливый ретикулярно-трабекулярный рисунок, напоминающий локальное поражение узелкового типа | В раннем периоде — припухлость мягких тканей, позднее — зрелая пластинчатая или трабекулярная кость |
В ЦИТО разработана система диагностики и консервативного этапа лечения гетеротопических оссификатов в условиях специализированной клиники. Опыт сотрудников клиники позволяет в показанных случаях отказаться от биопсии. В иных условиях она обязательна. Гипсовая иммобилизация оптимизирует процесс «созревания» оссификата и позволяет не прибегать к физиотерапии. После «созревания» оссификата идут процессы его обратного развития. В этих условиях проводится операция.
При иссечении гетеротопического оссификата следует пользоваться техническими приемами, рекомендованными А.А. Коржом [5]. Вмешательство должно быть атравматичным, гемостаз — тщательным, полость на месте удаленного оссификата должна быть ушита, а его капсула иссечена. Края ушитой раны инфильтрируются раствором стероидного гормона. Руководствуясь этими рекомендациями, тем не менее следует помнить, что хирург-ортопед имеет дело с заболеванием мягких тканей, отнесенным к группе хрящевых и костных опухолей. Следовательно, необходимо придерживаться жестко очерченных требований, предъявляемых к операциям в онкологии.
Иммобилизация конечности осуществляется 2-3 нед, после чего назначается лечебная гимнастика. Массаж исключается. Путем постепенного увеличения времени занятий восстанавливают объем движений в суставах конечности, а затем и силу мышц пораженного сегмента. Что касается медикаментозного лечения, то оно проводится с большей или меньшей эффективностью при прогрессирующей неблагоприоссифицирующей фибродисплазии и основано на комбинированном применении бисфосфонатов, стероидных препаратов [10]. При гетеротопических оссификатах мы использовали местно только стероидный препарат (ксидифон), и это оправдало себя. Наш опыт, ограничивающийся единичными случаями, не позволяет сделать заключение об эффективности этого препарата и тем более рекомендовать его к широкому применению.
About the authors
A. P. Berezhny
Central Institute of Traumatology and Orthopedics. N.N. Priorova
Author for correspondence.
Email: info@eco-vector.com
Russian Federation, Moscow
A. K. Morozov
Central Institute of Traumatology and Orthopedics. N.N. Priorova
Email: info@eco-vector.com
Russian Federation, Moscow
A. I. Snetkov
Central Institute of Traumatology and Orthopedics. N.N. Priorova
Email: info@eco-vector.com
Russian Federation, Moscow
G. N. Berchenko
Central Institute of Traumatology and Orthopedics. N.N. Priorova
Email: info@eco-vector.com
Russian Federation, Moscow
A. R. Frantov
Central Institute of Traumatology and Orthopedics. N.N. Priorova
Email: info@eco-vector.com
Russian Federation, Moscow
References
- Виноградова Т.П. Опухоли костей. — М., 1973. — С. 10-14, 297-304.
- Виноградова Т.П. Опухоли суставов, сухожилий, фасций, апоневрозов. — М., 1976. — С. 124-128.
- Волков М.В. Болезни костей у детей. — М., 1985. — С. 48.
- Козлова С.И., Демикова Н.С., Семенова Е., Блинникова О.Е. Наследственные синдромы. — М., 1996. — С. 276-277.
- Корж А.А. Гетеротопические травматические оссификации. — М., 1963. — С. 269.
- Рейнберг С.А. Рентгенодиагностика заболеваний костей и суставов. — М., 1955. — Т. 1. — С. 80-83.
- Русаков А.В. Патологическая анатомия болезней костной системы. — М., 1959. — Т. 5. — С. 172.
- Adler С.Р., Kozlowski К. Primary bone tumors and tumorous conditions in children. — London, 1993. — P. 114-115.
- Angervall L., Stener B., Stener J., Ahren C. //J. Bone Jt Surg. — 1969. — Vol. 51B. — P. 654-663.
- Brantus J.H., Mennier P.J. //Clin. Orthop. — 1998. — N 346. — P. 117-120.
- Freke Y. //Clin. Orthop. — 1998. — N 346. — P. 5-6.
- Kaplan F.S. et al. //Clin. Orthop. — 1998. —- N 346. — P. 134-140.
- Roser B., Herrlin K., Rydholm A., Akerman M. //Acta Orthop. Scand. — 1989. — Vol. 60. — P. 457-460.
- Smith R. //Clin. Orthop. — 1998. — N 346. — P. 7-14.
- Spencer J.D. //J. Bone Jt Surg. — 1989. — Vol. 71B. — P. 317-319.
- Wess S.W. Histological typing of soft tissue tumors. — 2nd ed. —Berlin etc., 1994.
Supplementary files







