Surgical treatment of transverse flat feet, hallux valgus
- Authors: Istomina I.S.1,2, Kuzmin V.I.1,2, Levin A.N.1,2
-
Affiliations:
- Central Institute of Traumatology and Orthopedics. N.N. Priorov
- Medical Center of the Central Bank of the Russian Federation
- Issue: Vol 7, No 1 (2000)
- Pages: 55-60
- Section: Original study articles
- Submitted: 23.02.2022
- Accepted: 23.02.2022
- Published: 25.02.2000
- URL: https://journals.eco-vector.com/0869-8678/article/view/101531
- DOI: https://doi.org/10.17816/vto101531
- ID: 101531
Cite item
Full Text
Abstract
In 766 patients with transverse flatfoot, hallux valgus (1454 feet) the reconstructive operations by CITO technique were performed. The procedure is aimed at the elimination of all components of the deformity and consists in the removal of bone-cartilagenous vegetations along the medial margin of the head of the first metatarsal bone, resection of the base of the proximal phalanx of the great toe (Keller’s operation), transverse subperiosteal osteotomy near the base of the proximal phalanx of the great toe with preservation and bent fracture of external cortex and insertion of the wedge into osteotomy zone. Strengthening of the transverse ligament was performed by passing the lavsan band around the first and fifth metatarsal bone and between metatarsal bones and soft tissues on the plantar side in figure-of-eight. In 337 operations long term results were evaluated in terms from 1 to 23 years. Good results were achieved on 1094 feet (81,8%), satisfactory results - on 211 feet (15,8%) and unsatisfactory results - on 32 feet (2,4%).
Keywords
Full Text
Поперечное плоскостопие и его следствие hallux valgus, относящиеся к статическим деформациям стоп, встречаются очень часто, преимущественно у женщин. Причины развития поперечного плоскостопия кроются в наследственно-конституциональной предрасположенности к слабости мышечно-связочного аппарата на почве дисплазии и воздействии неблагоприятных внешних факторов, связанных с перегрузками стоп.
Основным в патогенезе поперечного плоскостопия является распластывание переднего отдела стопы. Чаще всего оно происходит за счет медиального (варусного) отклонения I плюсневой кости, иногда в сочетании с латеральным отклонением V плюсневой кости. Встречается веерообразное расхождение всех плюсневых костей. Редкий вариант — изолированное латеральное отклонение V или IV и V плюсневых костей. Прогрессирование медиального отклонения I плюсневой кости приводит к подвывиху и вывиху в плюснесесамовидном сочленении. Происходит смещение латеральной сесамовидной кости в первый межплюсневой промежуток. Медиальная сесамовидная кость смещается в область наружного отдела головки I плюсневой кости. В результате действия силы тяжести тела на I плюсневую кость и реакции опоры возникает момент силы, способствующий развитию пронационной ротации I плюсневой кости. Подвывих и вывих в плюснесесамовидном сочленении, а также внутренняя ротация I плюсневой кости влекут за собой снижение опорной функции головки I плюсневой кости, что приводит к увеличению нагрузки на головки остальных плюсневых костей, причем максимально увеличивается нагрузка на II и III плюсневые кости. В результате под их головками на подошвенной поверхности образуются болезненные омозолелости — так называемые «натоптыши». Рентгенологически определяется утолщение кортикального слоя диафизов II и III плюсневых костей. Выступающая кнутри головка I плюсневой кости при поперечном плоскостопии подвергается давлению обувью, из-за чего по ее медиальному краю появляются и постепенно увеличиваются костно-хрящевые разрастания, а над ними — часто воспаляющаяся слизистая сумка.
Отклонение I плюсневой кости медиально, ее внутренняя ротация и изменение соотношений в I плюснесесамовидном суставе нарушают мышечное равновесие в I плюснефаланговом суставе. Сгибатели и разгибатели I пальца, смещаясь кнаружи, начинают действовать как аддукторы и вызывают вальгусное отклонение пальца, которому не может препятствовать отводящая мышца большого пальца, смещенная при этом к подошве и действующая больше как сгибатель I пальца.
Увеличение нагрузки на головки средних плюсневых костей при поперечном плоскостопии создает постоянное чрезмерное давление на сухожилия сгибателей II и III пальцев. Это вызывает рефлекторное сокращение соответствующих мышц. В результате наступившего мышечного дисбаланса происходит сгибание пальца в проксимальном межфаланговом суставе, а затем разгибание его в плюснефаланговом суставе — так называемая молоткообразная деформация пальцев. В дальнейшем может произойти подвывих или вывих пальца в плюснефаланговом суставе к тылу. При прогрессировании деформации развиваются стойкие артрогенные контрактуры молоткообразных пальцев.
Мы различаем три степени поперечного плоскостопия, hallux valgus: слабо выраженное (I степень), угол отклонения I пальца 20-29°; умеренно выраженное (II степень), угол отклонения I пальца 30-39°; резко выраженное (III степень), угол отклонения I пальца 40° и более.
Поперечное плоскостопие бывает фиксированным и нефиксированным. Это можно определить сжатием переднего отдела стопы рукой в поперечном направлении для сближения плюсневых костей. При нефиксированной деформации плюсневые кости легко сближаются. Степень фиксированности не зависит от степени плоскостопия.
Поперечное плоскостопие I, II и III степени может сочетаться с любой степенью продольного плоскостопия, плосковальгусной и другими деформациями стоп.
Таким образом, поперечное плоскостопие является многокомпонентной и весьма вариабельной деформацией, склонной к прогрессированию.
Мы считаем, что при I степени поперечного плоскостопия оперативное лечение не показано. Показанием к хирургическому лечению является деформация II и III степени со стойким болевым синдромом, нарушением функции стоп и склонностью к прогрессированию.
Применяемая нами реконструктивная операция направлена на устранение максимального количества компонентов поперечного плоскостопия.
Материал и методы
Мы располагаем опытом хирургического лечения поперечного плоскостопия, hallux valgus у 766 больных на 1454 стопах (у 78 пациентов деформация была односторонней). Возраст больных колебался от 20 до 70 лет. Женщин было 724, мужчин — 42. На 512 стопах отмечалась деформация II степени, на 942 — III степени.
Техника операции
Операция (рис. 1) выполняется под внутрикостной анестезией или общим обезболиванием. Делают разрез кожи и подкожной клетчатки полуовальной формы, выпуклостью книзу, по тыльномедиальной поверхности I плюснефалангового сустава до I плюснеклиновидного сустава. Отступив на 1 см от сухожилия длинного разгибателя
Рис. 1. Схема реконструктивной операции на переднем отделе стопы.
I пальца, рассекают капсулу сустава. По медиальному краю головки I плюсневой кости долотом удаляют костно-хрящевые разрастания. При согнутом положении I пальца проксимальный конец основной фаланги освобождают от мягких тканей, захватывают костодержателем и удерживают в положении вывиха к тылу. С помощью пилы Джильи резецируют от 1/4 до 1/3 проксимального конца основной фаланги I пальца. Распатором отслаивают надкостницу над проксимальным отделом I плюсневой кости. Отступя дистально на 15 мм от I плюснеклиновидного сочленения, долотом производят поперечную остеотомию I плюсневой кости с сохранением наружной кортикальной пластинки. Дистальный фрагмент I плюсневой кости отводят латерально, при этом наружная кортикальная пластинка надламывается и в образовавшуюся на месте остеотомии щель внедряют выкроенный из резецированной части фаланги I пальца костный клин, основанием направленный медиально. Рану над местом остеотомии послойно ушивают.
Второй разрез кожи и подкожной клетчатки длиной около 4 см делают по тыльнонаружному краю стопы вдоль V плюсневой кости, начиная от ее головки. Надкостницу рассекают и отслаивают. При наличии костно-хрящевых разрастаний по латеральному краю головки V плюсневой кости их удаляют.
С помощью иглы Дешана вокруг диафиза V плюсневой кости, проксимальнее головки, обводят лавсановую сетчатую ленту. Концы ленты натягивают и располагают так, чтобы верхний конец оказался длиннее нижнего приблизительно на 6 см. Из разреза в области I плюснефалангового сочленения между мягкими тканями подошвы и плюсневыми костями со стороны подошвы проводят зажим Кохера. Бранши зажима выводят во второй разрез под V плюсневой костью. Концы ленты захватывают зажимом и выводят под I плюсневой костью.
Длинный конец ленты с помощью иглы Дешана обводят вокруг I плюсневой кости проксимальнее ее головки. Концы ленты обтягивают, завязывают тройным узлом, отсекают на расстоянии 1 см от узла и вместе с ним погружают в мягкие ткани со стороны подошвы за сесамовидными костями. При таком способе проведения лента располагается на подошве в виде восьмерки. Ее роль — укрепить связочный аппарат переднего отдела стопы и удержать I плюсневую кость в положении достигнутой коррекции. Ни в коем случае нельзя с помощью ленты стягивать передний отдел стопы. После образования связки стопа при сжатии переднего отдела должна пружинить в поперечном направлении. У больных пожилого возраста и при ригидной деформации операция заканчивается на остеотомии I плюсневой кости без фиксации лавсановой лентой. На раны накладываются послойные швы.
При наличии молоткообразной деформации пальцев производится резекция головки основной фаланги, а при вывихе молоткообразного пальца в плюснефаланговом суставе — частичная резекция головки соответствующей плюсневой кости по длине из кожного разреза со стороны подошвы.
При двусторонней деформации хирургическое вмешательство выполняется последовательно на обеих стопах.
После операции накладывают гипсовую повязку до середины голени, разрезанную спереди. На 3-5-й день, не снимая гипсовую повязку, начинают разрабатывать движения в I плюснефаланговом суставе в сторону тыльного сгибания. Занятия проводятся по 4-5 раз в день. Через 2 нед разрешаются занятия без гипсовой повязки, активные и пассивные движения разрабатываются как в тыльную, так и в подошвенную сторону. Целью этих занятий является формирование нового сустава и восстановление его функции. Через 3 нед после операции гипсовую повязку снимают и больному разрешают нагружать оперированные стопы, не пользуясь дополнительными средствами опоры. Для ходьбы в первые полгода после операции используются манжеты из корсажной резины на передний отдел стоп с подошвенным валиком на уровне диафизов ІІ-ІѴ плюсневых костей для разгрузки их головок. Длительность ходьбы увеличивают постепенно.
Результаты
Отдаленные исходы в сроки от 1 года до 23 лет изучены после 1337 реконструктивных oпeраций, выполненных по методике ЦИТО. Оценка результатов проводилась по трехбалльной системе:
хороший результат — жалобы на функцию стоп отсутствуют; исправленная форма стопы сохранена; движения в I плюснефаланговом суставе в нормальном объеме и безболезненные; пациент пользуется обычной обувью; угол отклонения I пальца не превышает 15°;
удовлетворительный результат — имеются периодические боли в стопах, омозолелость кожи под головками средних плюсневых костей, ограничение движений в I плюснефаланговых суставах;
неудовлетворительный результат — рецидив деформации, отсутствие движений в I плюснефаланговых суставах и стойкий болевой синдром.
Хороший результат получен после 1094 (81,8%) операций, удовлетворительный — после 211 (15,8%), неудовлетворительный — после 32 (2,4%). Значительные трудности в оценке исходов были связаны с тем, что у многих больных, помимо поперечного плоскостопия, hallux valgus, имелись другие деформации стоп: продольное плоскостопие, вальгусная установка стоп, последствия болезни Келлера II и т.д. Кроме того, с возрастом у некоторых больных развивались инволютивные изменения в тканях стоп, деформирующий артроз суставов, присоединялись артриты, чаще всего обменные.
Наибольший процент хороших результатов получен у больных со II степенью поперечного плоскостопия, hallux valgus (табл. 1). Это объясняется тем, что деформации II степени отмечались преимущественно у больных более молодого возраста, у них были меньше выражены вторичные проявления в виде молоткообразных пальцев, особенно их тяжелых форм с вывихами в плюснефаланговых суставах.
В сроки от 1 года до 15 лет исходы операций в основном стабильны, в более поздние сроки процент хороших результатов несколько снижается, что можно объяснить наступившими возрастными изменениями.
Таблица 1
Результаты оперативного лечения в зависимости от степени выраженности деформации
Результаты операции | Всего | |||||||
Степень деформации | хорошие | удовлетворительные | неудовлетворительные | абс. | % | |||
абс. | % | абс. | % | абс. | % | |||
II | 412 | 88,8 | 46 | 9,9 | 6 | 1,3 | 464 | 100 |
III | 682 | 78,1 | 165 | 18,9 | 26 | 3,0 | 873 | 100 |
Итого . . . | 1094 | 81,8 | 211 | 15,8 | 32 | 2,4 | 1337 | 100 |
Анализ исходов оперативного лечения в зависимости от возраста больных, в котором им производилась операция, выявил, что с возрастом уменьшается процент хороших результатов и соответственно увеличивается процент плохих (табл. 2).
Таблица 2
Исходы оперативного лечения в зависимости от возраста больных
Возраст, годы | Исходы операции | Всего | ||||||
хорошие | удовлетворительные | неудовлетворительные | абс. | % | ||||
абс. | % | абс. | % | абс. % | ||||
20-30 | 177 | 80,0 | 41 | 18,6 | 3 | 1,4 | 221 | 16,5 |
31-40 | 333 | 87,6 | 44 | 11,5 | 3 | 0,9 | 380 | 28,4 |
41-50 | 370 | 81,5 | 74 | 16,3 | 10 | 2,3 | 454 | 34 |
51-60 | 205 | 78,2 | 44 | 16,8 | 3 | 15 | 20 | 1,5 |
61-70 | 9 | 45 | 8 | 40 | 3 | 15 | 20 | 1,5 |
Итого ... | 1094 | 81,8 | 211 | 15,8 | 32 | 2,4 | 1337 | 100 |
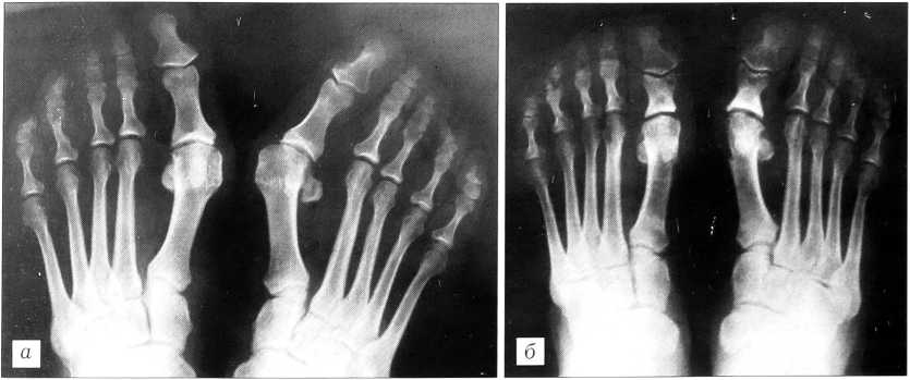
Пример. Больная К., 39 лет, находилась в клинике ЦИТО с диагнозом: двустороннее поперечное плоскостопие, hallux valgus III степени. 27.01.71 произведена реконструктивная операция по методике ЦИТО на обеих стопах. Отдаленный исход через 12 лет расценен как хороший: исправленная форма переднего отдела стоп сохраняется, движения в I плюснефаланговом суставе в полном объеме, безболезненные; ходит в обычной обуви (рис. 2).
Осложнения, встречающиеся после реконструктивной операции по методу ЦИТО, делятся на влияющие и не влияющие на исход лечения.
К первым относятся рецидивы hallux valgus, которые наблюдались на 12 стопах, в основном в начале нашей работы, когда мы с осторожностью относились к резекции основания основной фаланги I пальца и не всегда производили ее. Это осложнение мы связываем с неустраненной порочной тягой мышц в I плюснефаланговом суставе у больных с тяжелой формой деформации. Отрицательно повлияли на исход тугоподвижность и анкилозы в I плюснефаланговых суставах, отмеченные на 15 стопах. Причина этого осложнения — недостаточно активная ранняя разработка движений в этом суставе после резекции основания основной фаланги I пальца. Отсутствие движений в I плюснефаланговом суставе значительно нарушает функцию стоп, затрудняет перекат при ходьбе, вызывает перегрузку передних отделов стоп.
Из осложнений, не повлиявших на окончательный исход оперативного лечения, следует назвать краевой некроз послеоперационных ран и послеоперационные нагноения. Нагноение после операции развилось на 5 стопах. В 4 случаях его удалось купировать консервативно и лишь на одной стопе пришлось прибегнуть к хирургической санации с удалением лавсановой ленты.
Особую группу осложнений составили переломы V плюсневой кости, наблюдавшиеся на 41 стопе. В основном они происходили в срок до 1 года после операции, большинство больных связывали их с травмой или чрезмерной нагрузкой. Лавсановая лента оказывает давление на тонкую V плюсневую кость и вызывает перестройку костной ткани. Этот участок кости становится уязвимым. При ригидной деформации перестроечный процесс может даже привести к образованию ложного сустава, что мы наблюдали на 2 стопах. И хотя на окончательный исход оперативного лечения переломы V плюсневой кости не влияли, мы пришли к выводу, что лавсановая лента должна выполнять лишь роль внутреннего фиксатора, а не стяжки и применять ее при фиксированной деформации не следует. При поперечном плоскостопии за счет преимущественного отклонения V плюсневой кости возможна остеотомия ее основания.
Рис. 2. Рентгенограммы стоп больной К.а — до операции; б — после оперативного лечения.
Обсуждение
Недостаточная эффективность консервативного лечения поперечного плоскостопия, hallux valgus нередко заставляет прибегать к хирургическому вмешательству. Предложено более 300 способов оперативного лечения этой патологии.
Удаление костно-хрящевых разрастаний по медиальному краю головки I плюсневой кости является обязательным в комплексе хирургического лечения hallux valgus, но как самостоятельная операция себя не оправдало [23]. То же относится и к резекции основания основной фаланги I пальца [14, 19]. Эти вмешательства не влияют на главную причину деформации — поперечную распластанность стопы и вальгусное искривление I пальца.
Сравнительно недавно наиболее распространенной была операция резекции головки I плюсневой кости [3, 17, 20]. Однако в последнее время ортопеды отказались от нее в связи с тем, что укорочение I плюсневой кости в результате резекции ее головки лишает стопу передневнутренней точки опоры и вся нагрузка переносится на головки других плюсневых костей. При этом резко увеличивается поперечное плоскостопие, развиваются вторичные деформации стоп, значительно нарушается их функция [7].
Нефизиологична и операция артродеза I плюснефалангового сустава, так как впоследствии нарушается функция переката стопы при ходьбе и остается неустраненным приведение I плюсневой кости [16].
Многочисленные корригирующие остеотомии I плюсневой кости направлены на устранение ее медиального отклонения [2, 12, 18], а в некоторых случаях и на ее деротацию [22]. Однако вмешательства на дистальном конце I плюсневой кости достигают цели лишь при небольшом ее приведении, а многие из них влекут за собой укорочение кости.
Остеотомии на уровне диафиза I плюсневой кости часто требуют дополнительной внутренней фиксации [13] и длительной иммобилизации для сращения отломков. Наиболее эффективны для отведения I плюсневой кости остеотомии ее проксимального отдела с сохранением длины кости [18] или I плюснеклиновидного сустава [1]. Других компонентов деформации остеотомии I плюсневой кости не устраняют.
Для устранения поперечной распластанности довольно широко применяется операция Mc Bride [9, 11, 21] в различных модификациях: удаление костно-хрящевых разрастаний по медиальному краю головки I плюсневой кости, отсечение или пересадка приводящей мышцы I пальца на головку I плюсневой кости с удалением латеральной сесамовидной кости, ушивание отводящей мышцы вместе с медиальной частью капсулы I плюснефалангового сустава. Однако сами авторы, применявшие эту операцию, отмечали, что она показана лишь у лиц молодого возраста при нефиксированной деформации, удаление латеральной сесамовидной кости нежелательно, а при гиперкоррекции I пальца частым осложнением является его варусная деформация [15]. В связи с этим высок процент неудовлетворительных исходов.
Предложения по устранению поперечной распластанности и укреплению связочного аппарата переднего отдела стопы также разнообразны как по характеру связывающего материала, так и по способу его проведения. Использовались ауто- и аллосухожилия и фасции, шелковые и лавсановые нити, сосудистые протезы, металлические штифты и костные трансплантаты. Связывающий материал проводили вокруг плюсневых костей, только со стороны подошвы с прикреплением к I и V плюсневым костям, трансоссально и т.д. [4-6, 8, 10]. Однако сами авторы и их последователи отмечали, что одна стяжка без хирургической коррекции I плюсневой кости малоэффективна и при фиксированной деформации приводит к прорезыванию костей стягивающим материалом.
Таким образом, становится ясно, что поперечное плоскостопие, hallux valgus, являясь многокомпонентной деформацией, требует комплексного подхода к хирургической коррекции. Оперативное лечение должно быть направлено прежде всего на устранение поперечной распластанности как причины деформации, а также на ее следствие — латеральное отклонение I пальца.
Этим требованиям, с нашей точки зрения, отвечает реконструктивная операция по методике ЦИТО.
About the authors
I. S. Istomina
Central Institute of Traumatology and Orthopedics. N.N. Priorov; Medical Center of the Central Bank of the Russian Federation
Author for correspondence.
Email: info@eco-vector.com
Russian Federation, Moscow; Moscow
V. I. Kuzmin
Central Institute of Traumatology and Orthopedics. N.N. Priorov; Medical Center of the Central Bank of the Russian Federation
Email: info@eco-vector.com
Russian Federation, Moscow; Moscow
A. N. Levin
Central Institute of Traumatology and Orthopedics. N.N. Priorov; Medical Center of the Central Bank of the Russian Federation
Email: info@eco-vector.com
Russian Federation, Moscow; Moscow
References
- Альбрехт Г.А. К патологии и лечению hallux valgus. — 1911. N 1. — С. 14-19.
- Буали Н.М. Хирургическое лечение вальгусной деформации первых пальцев стоп: Автореф. дис. ... канд. мед. наук. — М., 1998.
- Вреден Р.Р. //Вестн. хирургии. — 1925. — Т. 5, кн. 14. — С. 3-5.
- Девятов А.А., Руденко И.А., Ткачев В.А. //Вестн. хирургии им. И.И. Грекова. — 1991. — N 2. — С. 110-111.
- Имамалиев А.С., Зоря В.И., Паршиков В.М., Попов А.В. Хирургическое лечение поперечно-распластанной стопы и вальгусного отклонения первого пальца: Метод. рекомендации. — М., 1990.
- Крамаренко Г.Н., Истомина И.С. //Актуальные вопросы травматологии и ортопедии: Сб. трудов ЦИТО. — 1978. — Вып. 18. — С. 107-113.
- Крамаренко Г.Н., Истомина И.С. Ошибки и осложнения при оперативном лечении поперечного плоскостопия, hallux valgus. //Актуальные вопросы травматологии и ортопедии: Сб. трудов ЦИТО. — 1979. — Вып. 19. — С. 79-87.
- Куслик М.И. //Многотомное руководство по хирургии. — М., 1960. — Т. 12. — С. 563-574.
- Левченко В.В. Миотенопластическая коррекция поперечной распластанности стопы: Автореф. дис. ... канд. мед. наук. — Киев, 1988.
- Плоткин Г.Л., Корнев О.А., Данилов А.Н. и др. //Современная многопрофильная больница: проблемы и перспективы. — СПб, 1995. — С. 70-71.
- Церлюк Б.М., Хоботов С.А. //Ортопед. травматол. — 1991. — N 11. — С. 31-34.
- Шкловский Д.Е. //Труды II Ленинградского мед. ин-та. — 1937. — Вып. 7. — С. 83.
- Boggs S.I., Seiner A.I., Roth J.T., Berngtein A.Z. //J. Foot Surg. — 1989. — Vol. 28, N 3. — P. 185-190.
- Brandes M. //Zbl. Chir. — 1929. — N 56. — P. 2434- 2440.
- Hansen C.E. //Acta Orthop. Scand. — 1974. — Vol.45, N 5. — P. 778-792.
- Harrison M.H.M. //J. Bone Jt Surg. — 1963. Vol. 45. — P. 471-480.
- Huter K. Klinik der Gelenkkrankenten. Zeipzig, 1971.— P. 339-351.
- Kelikian H. Hallux valgus, allied deformieties of the forefoot and metatarsalgia. — London, 1965.P. 163-204.
- Keller M.Z. //New Jork Med. J. — 1904. — Vol. 80. — P. 741-742.
- Mayo C.H. //Arm. Surg. — 1908. — Vol. 48. — P. 300-302.
- Mc Bride E.D. //J. Bone Jt Surg. — 1928. — Vol. 10.— P. 735-739.
- Qojmann V. //Orthop. Prax. — 1989. — Bd 25, N 5.— S. 259-262.
- Schede F. //Z. Orthop. Chir. — 1927. — Vol. 48. - P. 564-571.
Supplementary files




