Morphological characteristics of the early stages of the reparative process during the replacement of skull bone defects by the method of dosed distraction (communication II)
- Authors: Shevtsov V.I.1, Chirkova A.M.1, Dyachkov A.N.1
-
Affiliations:
- Russian Research Center "Restorative Traumatology and Orthopedics" acad. G.A. Ilizarov
- Issue: Vol 7, No 1 (2000)
- Pages: 61-66
- Section: Original study articles
- Submitted: 23.02.2022
- Published: 25.02.2000
- URL: https://journals.eco-vector.com/0869-8678/article/view/101535
- DOI: https://doi.org/10.17816/vto101535
- ID: 101535
Cite item
Full Text
Abstract
Substitution of skull defect by transfer of vascularized or free bone grafts within the defect was investigated in 131 dogs. It was shown that distraction regenerate formed in the diastasis from both the side of fragment and the defect margin from which the fragment was transferred. On the day 7 of distraction the bone trabeculae oriented along the fragment transfer were formed. Distraction bone regenerate acquired zone structure in which two bones areas and connective tissue layer -«growth zone»- were distinguished. During 3 weeks observation period the areas of active osteogenesis were noted on the border of the connective layer and bone segment, and structural remodelling of the newly formed bone took place. Similar time-dependent process as well as the regenerate structure were described during distraction osteosynthesis of long bones. Regenerate process was more marked when vascularized bone fragment was transferred within skull defect.
Keywords
Full Text
Ранее нами были представлены итоги морфологического исследования костей черепа собак, выведенных из опытов по замещению дефектов черепа методом дозированной дистракции в преддистракционном периоде1. В настоящей работе вниманию читателей предлагаются результаты изучения процесса формирования дистракционного регенерата костей свода черепа в первые 3 нед дистракции.
Материал и методы
В опытах на 131 взрослой беспородной собаке моделировали, а затем методом дозированной дистракции замещали дефект костей свода черепа.
В I серии опытов дефект замещали путем дозированного перемещения в нем полнослойного костного фрагмента на питающей ножке (несвободный фрагмент). Во II серии замещение дефекта костей черепа производили аналогичным образом с помощью свободного (лишенного связей с окружающими мягкими тканями) костного фрагмента.
Оперативные вмешательства выполняли под наркозом, эвтаназию животных осуществляли внутривенным введением гипердозы тиопентал- натрия или 10% раствора новокаина под наркозом до дистракции, в разные сроки периодов дистракции и фиксации, а также после снятия аппарата. В ходе экспериментов проводили рентгенологические и морфологические исследования.
При удлинении голени большинство авторов [2, 5, 7, 8 и др.] рекомендуют начинать дистракцию через 5-7 дней после операции. Выполненные нами предварительные эксперименты, в которых перемещение полнослойного несвободного фрагмента в дефекте костей черепа начинали через 5, 7 и 10 дней после операции, также показали, что лучшие результаты могут быть достигнуты при продолжительности преддистракционного периода 5 и 7 дней. В эти сроки мы не выявили существенных различий в репаративном процессе. Через 10 дней после операции фрагмент прирастал к краям дефекта и для замещения его была необходима повторная операция мобилизации фрагмента. В связи с этим в обеих сериях опытов — с перемещением как несвободного, так и свободного фрагмента — мы изучали динамику формирования регенерата в условиях дистракции, начатой через 5 или 7 дней после операции и осуществляемой в темпе 1 и 0,5 мм в сутки.
Результаты и обсуждение
I серия опытов — перемещение в дефекте несвободного костного фрагмента
При темпе дистракции в 1 мм в сутки макроскопически после 7 дней дистракции обнаружено утолщение твердой мозговой оболочки и образование нежных спаек между нею — с одной стороны и краями дефекта, перемещаемым фрагментом и мышцей — с другой. Прилежащие мягкие ткани головы соединялись между собой рыхлыми спайками.
На гистотопограммах в диастазе между фрагментом и каудальным краем дефекта, равном 5- 7 мм, определялась в основном скелетогенная ткань. Со стороны фрагмента и от края дефекта в диастаз на 0,5-1,1 мм врастали костные трабекулы (рис. 1, а), ориентированные по направлению перемещения фрагмента. В последнем значительная часть остеоцитов была лишена ядер, костный мозг по ходу спицевого канала некротизирован. Вокруг фрагмента обнаруживались рассасывающиеся костные опилки и мелкие осколки. Между передним краем дефекта и перемещаемым фрагментом содержались соединительная ткань и атрофичные мышечные волокна.
Следует отметить, что в опыте с темпом дистракции 0,75 мм в сутки со стороны заднего края дефекта костный отдел регенерата имел протяженность 3,5-4 мм. На каудальном конце фрагмента образовывался тонкий слой костного вещества. Во фрагменте наряду с некробиотическими изменениями выявлялась пролиферация скелетогенной ткани в костномозговых полостях, расположенных вблизи от линии опила. На дорсальной поверхности фрагмента, в области прохождения спиц, определялись периостальные наслоения толщиной 0,5 мм.
К 14-му дню дистракции костный фрагмент смещался кпереди на 12-14 мм. Макроскопически отмечалось утолщение твердой мозговой оболочки, уплотнение спаек между тканями в области оперативного вмешательства.
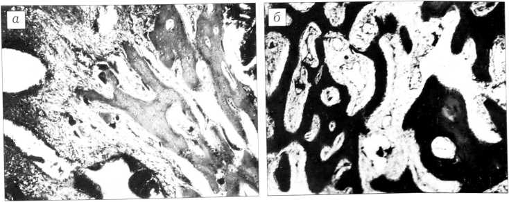
Рис. 1. Замещение дефекта костей свода черепа путем перемещения в нем фрагмента на питающей ножке. Темп дистракции 1 мм в сутки. а — 7-й день дистракции: костные трабекулы, растущие от края дефекта. Окраска гематоксилином и эозином. Об. 6,3, ок. 10; б — 14-й день дистракции. Окраска пикрофуксином по Ван-Гизону. Увеличение лупное; в — 14-й день дистракции: формирование костных трабекул на поверхности опила материнской кости. Окраска гематоксилином и эозином. Об. 6,3, ок. 10; г — 14-й день дистракции: формирование костных трабекул на основе коллагеновых волокон в апикальном отделе регенерата. Импрегнирование серебром. Об. 6,3, ок. 10; д — 21-й день дистракции. Импрегнирование серебром. Увеличение лупное.
При микроскопическом исследовании выявлено заполнение диастаза костной и соединительной тканью (рис. 1, б—г). При этом протяженность костного отдела регенерата от заднего края дефекта и от перемещаемого фрагмента составляла 3-9 мм. В соединительной ткани, расположенной между костными отделами регенерата, коллагеновые волокна и сосуды микро- циркуляторного русла имели направление, совпадающее с вектором перемещения фрагмента. Вокруг капилляров отмечалось скопление малодифференцированных соединительнотканных клеток, в некоторых из них были видны фигуры митоза. Эта соединительнотканная прослойка («зона роста» регенерата) сливалась с соединительной тканью, заполнившей пространство между твердой мозговой оболочкой и фрагментом. Во фрагменте определялись инъецированные тушью капилляры, часть остеоцитов была лишена ядер, на дорсальной и вентральной поверхностях образовывался слой костного вещества толщиной 0,2— 0,4 мм. Краниальный конец фрагмента подвергался резорбции, по ходу спицевых каналов отмечалась эндостальная реакция. В толще соединительной ткани, образовавшейся за счет пролиферации клеток наружного слоя твердой мозговой оболочки и заполнившей область дефекта, наблюдались островки остеогенеза. Пространство между передним краем дефекта и краниальным концом перемещаемого фрагмента было заполнено богато васкуляризированной соединительной тканью.
После 3 нед дистракции макроскопическая картина мало отличалась от описанной для предыдущего срока наблюдения.
При микроскопическом исследовании (рис. 1, д) отмечено заполнение диастаза костной и соединительной тканью. При этом костный отдел регенерата со стороны перемещаемого фрагмента по протяженности (6-7 мм) превышал регенерат, отходящий от материнского ложа (2,2-5,5 мм). Между костными отделами располагалась зона соединительной ткани, состоящая из продольно ориентированных коллагеновых волокон, капилляров и клеток фибробластического ряда. Соединительная ткань прослойки сливалась с твердой мозговой оболочкой, толщина которой в зоне дефекта достигала 0,2 мм.
Перемещаемый фрагмент постепенно замещался новообразованной костной тканью. Особенно активно этот процесс протекал по ходу спицевых каналов и с вентральной поверхности. В пароссальных тканях сохранялись мелкие кровоизлияния и очаги лимфоидной инфильтрации. В промежутке между фрагментом и передним краем дефекта располагалась соединительная ткань с пучками мышечных волокон.
При перемещении фрагмента в темпе 0,5 мм в сутки макроскопическая картина на протяжении всего эксперимента практически не отличалась от описанной для темпа 1 мм в сутки.
При гистологическом исследовании на 7-й день дистракции выявлена следующая картина: в медиальной части диастаза протяженностью 3-3,5 мм располагались молодая соединительная ткань и костный регенерат длиной 0,5— 0,7 мм, растущий со стороны края дефекта (рис. 2, а). Латеральная часть диастаза, область «дна» дефекта, а также пространство между перемещаемым фрагментом и твердой мозговой оболочкой были заполнены незрелой соединительной тканью. В наружной пластинке и в костных трабекулах диплоэ фрагмента наблюдались поля, лишенные остеоцитов. В участках материнской кости, прилегающих к краю дефекта, и по ходу спицевых каналов отмечалась эндостальная реакция в виде анастомозирующих костных трабекул (рис. 2, б).
Рис. 2. Замещение дефекта костей свода черепа путем перемещения в нем фрагмента на питающей ножке. Темп дистракции 0,5 мм в сутки. а - 7-й день дистракции: участок костного регенерата, растущего от заднего края дефекта. Окраска гематоксилином и эозином. Об. 6,3, ок. 10; б - 7-й день дистракции: эндостальная реакция в материнской кости. Окраска гематоксилином и эозином. Об. 6,3, ок. 10; в - 14-й день дистракции: костный отдел регенерата. Окраска гематоксилином и эозином. Об. 6,3, ок. 10; г — 21-й день дистракции. Окраска гематоксилином и эозином. Увеличение лупное.
На 14-й день дистракции перемещаемый фрагмент отстоял от заднего края дефекта на 6-8 мм. Микроскопическими исследованиями установлено, что диастаз был заполнен соединительной тканью с большим числом фибробластов и малодифференцированных клеток. Пучки коллагеновых волокон были ориентированы по направлению перемещения фрагмента. Костный регенерат, образовавшийся от края дефекта, занимал около 2/5 диастаза (рис. 2, в). В перемещаемом фрагменте отмечались дегенеративно-некробиотические изменения. По ходу спицевых каналов располагались новообразованные костные трабекулы. Пространство между фрагментом и краниальным краем дефекта заполнялось соединительной и мышечной тканью.
В одном наблюдении в диастазе протяженностью 7,5 мм содержалась костная и соединительная ткань. При этом длина костного регенерата на каудальном конце фрагмента равнялась 1,5 мм, а от затылочного края дефекта — 3 мм. Ширина соединительнотканной прослойки достигала 2,5 мм в вентральной части диастаза и 5 мм в дорсальной. Более активный остеогенез отмечался в медиальной части дефекта. Перемещаемый фрагмент состоял из компактной кости, подвергался перестройке с замещением участков некротизированной кости новообразованной. На дорсальной и вентральной поверхностях фрагмента располагался слой новообразованного костного вещества толщиной 0,2-0,3 мм. Особенно активный остеогенез наблюдался в участках кости, прилежащих к спицевым каналам. Незамещенная часть дефекта была заполнена мышечной и богато васкуляризированной соединительной тканью, спаянной с твердой мозговой оболочкой.
После 21 дня перемещения фрагмента диастаз между ним и каудальным краем дефекта соответствовал заданному темпу дистракции. Гистологически дистракционный регенерат представлял собой костную ткань незрелого типа. Длина его костного отдела, отходящего от каудального края дефекта, превышала длину костного регенерата со стороны фрагмента (рис. 2, г). Между костными отделами определялась зона обильно васкуляризированной капиллярами, богатой малодифференцированными клетками молодой соединительной ткани, на основе волокон которой происходил рост апикальных участков регенератов. Эта зона сливалась с надкостницей и соединительной тканью, заполнившей пространство между фрагментом и твердой мозговой оболочкой. Во фрагменте шел процесс замещения некротизированных участков новообразованной костной тканью в области диплоэ. Формирование костных трабекул происходило более активно на уровне диплоэ и в меньшей степени на вентральной и дорсальной его поверхностях. Пространство между передним краем дефекта и перемещаемым фрагментом заполнялось соединительной и мышечной тканью.
В одном наблюдении, где в материнской кости было почти не выражено диплоэ и кость имела компактное строение, диастаз заполнялся преимущественно зрелой соединительной тканью с небольшими очажками старых кровоизлияний. Длина костного отдела регенерата со стороны заднего края материнской кости равнялась 2,5- 3,5 мм, на конце перемещаемого фрагмента — 1,4 мм. На вентральной поверхности затылочного края дефекта образовались периостальные напластования толщиной до 0,5 мм. В толще соединительнотканной прослойки, расположенной между костными отделами регенерата, были видны единичные новообразованные костные трабекулы. Твердая мозговая оболочка, утолщенная в области диастаза, сливалась с соединительной тканью, заполнившей дно дефекта.
II серия опытов — перемещение в дефекте свободного костного фрагмента
При темпе дистракции 1 мм в сутки динамика макроскопических изменений в области дефекта не отличалась от таковой в I серии экспериментов.
Микроскопические исследования показали, что на 7-й день дистракции диастаз между фрагментом и задним краем материнской кости протяженностью около 7 мм был заполнен преимущественно молодой соединительной тканью. У каудального конца фрагмента располагались мелкие кровоизлияния. На вентральной поверхности материнской кости образовался слой активных остеобластов. Фрагмент состоял в основном из компактной кости, в части остеоцитов ядра не окрашивались. В костномозговых полостях содержался жировой мозг, а на поверхности костных трабекул — слой пролиферирующей скелетогенной ткани. В дефекте определялись мышечная и соединительная ткани, спаянные с твердой мозговой оболочкой.
На 19-22-й день дистракции диастаз протяженностью 13—14 мм был заполнен нежно-волокнистой соединительной тканью с очагами хронической инфильтрации. По краю дефекта образовывался костный регенерат длиной 2,7 — 4 мм. Остеогенез во фрагменте был слабо выражен: на его дорсальной и вентральной поверхностях имелись небольшие участки новообразованной губчатой кости. В большинстве остеоцитов отсутствовали ядра, в костномозговых пространствах выявлялась соединительная ткань с большим количеством микрокист. В дефекте определялись атрофичные мышечные волокна и соединительная ткань, спаянная с твердой мозговой оболочкой. В области спицевых каналов располагалась грануляционная ткань с лимфоидно-плазмоцитарной инфильтрацией.
При темпе дистракции 0,5 мм в сутки происходило постепенное увеличение диастаза между задним краем перемещаемого фрагмента и соответствующим краем дефекта.
После 7 дней дистракции в диастазе содержалась скелетогенная ткань с формирующимися костными балочками. Длина костного регенерата, отходящего от края дефекта, составляла 2—3 мм. В медиальном отделе длина регенерата от края дефекта была больше — около 4 мм. В вентральной части диастаза отмечалось спаяние костного регенерата с фрагментом на протяжении 2 мм. В самом фрагменте ядра остеоцитов были пикнотичны. В межтрабекулярных пространствах у края фрагмента определялась скелетогенная ткань с одиночными новообразованными трабекулами. Соединительная ткань, вросшая из твердой мозговой оболочки, заполняла костномозговые полости фрагмента. В незамещенной костью части дефекта обнаруживалась мышечная и соединительная ткань с очажками кровоизлияний. Венозные сосуды твердой мозговой оболочки были резко расширены, полнокровны. Пространство между перемещаемым фрагментом и твердой мозговой оболочкой заполнялось соединительной тканью.
В одном из наблюдений диастаз протяженностью 2,5-3,5 мм был заполнен губчатой костной тканью (рис. 3, а). В дорсальной части диастаза (латеральная часть препарата) содержалась соединительная ткань, врастающая из перикраниальных мягких тканей. Во фрагменте отмечались очаги некроза жировой ткани, частичная гибель остеоцитов. Каудальная часть фрагмента (на протяжении 3 мм) подвергалась активной перестройке с замещением новой костной тканью (рис. 3, б). В дефекте (между передним краем ложа и фрагментом) содержалась соединительная ткань с очагами диапедезных кровоизлияний, а по ходу спицевого канала — грануляционная ткань, инфильтрированная лимфоидными клетками.
Рис. 3. Замещение дефекта костей свода черепа путем перемещения в нем свободного фрагмента в темпе 0,5 мм в сутки. 7-й день дистракции. а — губчатая кость в диастазе. Окраска гематоксилином и эозином. Об. 6,3, ок. 10; б — новообразованные костные трабекулы в перемещаемом фрагменте. Окраска гематоксилином и эозином. Об. 6,3, ок. 10.
Через 2 нед дистракции длина костного регенерата, отходящего от края дефекта, достигала 3-4 мм. На каудальном конце фрагмента протяженность регенерата составляла 1,5 мм. Более активный остеогенез отмечался в медиальной части дефекта. В перемещаемом фрагменте ядра остеоцитов были пикнотичны. В межтрабекулярных пространствах у края фрагмента определялась скелетогенная ткань с новообразованными трабекулами. Особенно активный остеогенез наблюдался в участках, прилежащих к спицевым каналам. В не замещенной костью части дефекта обнаруживалась мышечная и соединительная ткань с очажками кровоизлиянии. Венозные сосуды твердой мозговой оболочки были расширены, полнокровны. Пространство между нею и перемещаемым фрагментом заполняла соединительная ткань.
В наблюдении, где кости черепа имели более компактное строение с невыраженным диплоэ, в диастазе, а также под фрагментом располагалась богатая капиллярами соединительная ткань. На торцевой и вентральной поверхностях материнской кости образовался слой костного вещества толщиной 0,5-0,7 мм. В компактной кости фрагмента часть остеоцитов не имела ядер, в некоторых ядра были пикнотичны. Вблизи от линий остеотомии в костномозговых полостях содержалась пролиферирующая скелетогенная ткань с одиночными новообразованными костными трабекулами. Твердая мозговая оболочка была утолщена за счет пролиферации внутреннего слоя.
Через 3 нед дистракции отмечено постепенное заполнение увеличивающегося диастаза костной и соединительной тканью. Рост костных регенератов происходил как от материнского ложа, так и от каудального края перемещаемого фрагмента.
Таким образом, наши исследования показали, что при замещении дефекта костей свода черепа путем перемещения в нем кровоснабжаемого или свободного костного фрагмента в диастазе формируется дистракционный регенерат, костные отделы которого растут как со стороны фрагмента, так и от края дефекта, от которого осуществлялось смещение фрагмента. Уже на 7-е сутки дистракции образуются костные трабекулы, направленные по ходу движения фрагмента. В дальнейшем дистракционный костный регенерат приобретает зональное строение, т.е. в нем различаются два костных отдела, отходящие от края дефекта и от фрагмента, и соединительнотканная прослойка — «зона роста». На протяжении всего периода на границе прослойки с костными отделами выявляются зоны активного остеогенеза, а у краев дефекта и перемещаемого фрагмента происходит структурная перестройка новообразованной костной ткани. Такая же периодичность и аналогичная структура регенерата описаны и при дистракционном остеосинтезе длинных костей [1, 3, 4, 6]. Процесс регенерации более выражен при перемещении в дефекте костей черепа кровоснабжаемого костного фрагмента.
1 «Вестник травматологии и ортопедии им. Н.Н. Приорова», 1999, N 4, с. 56-61.
About the authors
V. I. Shevtsov
Russian Research Center "Restorative Traumatology and Orthopedics" acad. G.A. Ilizarov
Author for correspondence.
Email: info@eco-vector.com
Russian Federation, Kurgan
A. M. Chirkova
Russian Research Center "Restorative Traumatology and Orthopedics" acad. G.A. Ilizarov
Email: info@eco-vector.com
Russian Federation, Kurgan
A. N. Dyachkov
Russian Research Center "Restorative Traumatology and Orthopedics" acad. G.A. Ilizarov
Email: info@eco-vector.com
Russian Federation, Kurgan
References
- Барабаш А.П. Удлиняющий артродез коленного сустава методом последовательного монолокального компрессионно-дистракционного остеосинтеза по Г.А. Илизарову: Дис. ... канд. мед. наук. — Курган, 1974.
- Имерлишвили И.А., Бахлыков Ю.Н., Дьячкова Г.В. //Чрескостный компрессионный и дистракционный остеосинтез в ортопедии и травматологии: Тематический сб. науч. трудов. — Курган, 1980. — Вып. 6. — С. 90-96.
- Лаврищева Г.И., Штин В.П. //Всесоюз. съезд травматологов-ортопедов, 3-й: Тезисы докладов. — М., 1975. — С. 203-205.
- Ларионов А.А. Дистракционный остеосинтез и эволюция костных трансплантатов (экспериментальное исследование): Дис. ... д-ра мед. наук. — Пермь, 1995.
- Штин В.П. Особенности костеобразования в зоне диастаза большеберцовой кости при удлинении голени аппаратом Г.А. Илизарова (экспериментальноморфологическое исследование: Автореф. дис. ... д-ра мед. наук. — Новосибирск, 1978.
- Штин В.П., Никитенко Е.Г. //Ортопед. травматол. — 1974. — N 5. — С. 48-51.
- Шрейнер А.А., Чиркова А.М., Ерофеев С.А. //Чрескостный компрессионно-дистракционный остеосинтез по Илизарову в травматологии и ортопедии: Сб. науч. трудов КНИИЭКОТ. — Курган, 1985. — Вып. 10. — С. 148-154.
- Шрейнер А.А. //Значение открытых Г.А. Илизаровым общебиологических закономерностей в регенерации тканей: Сб. науч. трудов. — Курган, 1988. — Вып. 13. — С. 89-102.
Supplementary files




