Total hip arthroplasty with own design endoprosthesis
- Authors: Rutsky A.V.1
- 
							Affiliations: 
							- Belarusian State Institute for Postgraduate Medical Education
 
- Issue: Vol 7, No 4 (2000)
- Pages: 34-38
- Section: Original study articles
- Submitted: 03.03.2022
- Accepted: 03.03.2022
- Published: 17.03.2022
- URL: https://journals.eco-vector.com/0869-8678/article/view/104421
- DOI: https://doi.org/10.17816/vto104421
- ID: 104421
Cite item
Full Text
Abstract
The basis of hip joint implant elaboration is the principle of primary stable fixation of its components. This is achieved owing to the peculiarities of the implants design, its shape, proportions, surface structure. The stem of the implant is wedge-shaped in three dimensions («triwedge»). The cup has a shape of truncated cone with a spherical segment as an apex. In the proximal stem and spherical segment of the polymeric cup there are porous inserts with pores of 150-350 mkm. This provides the bone ingrowth into implant without disturbance of its nutrition as proved out by the experimental data. The implant is made of high-quality materials by modern production process. Since 1999 more than 600 operations using new implant were performed in Belarus. 173 patients were operated on at the Trauma and Orthopaedic Clinic of the Belarus Institute for Advanced Medical Studies during 1997-1999. Preliminary results are favorable.
Keywords
Full Text
Тотальное эндопротезирование в настоящее время стало безальтернативным методом лечения дегенеративно-дистрофических заболеваний тазобедренного сустава. Ежегодно в мире выполняются сотни тысяч таких операций, сегодня это наиболее активно развивающаяся область ортопедической хирургии. Эндопротезирование тазобедренного сустава широко применяется для медицинской реабилитации пожилых людей со свежими медиальными переломами шейки бедренной кости, а также при других заболеваниях и повреждениях, при которых восстановить функцию естественного сустава практически невозможно [1, 3].
Отличные и хорошие результаты в ближайшие годы после эндопротезирования отмечаются у 80-90% больных [5]. Однако с увеличением срока после операции процент благоприятных исходов снижается и возникает необходимость замены эндопротеза или одного из его компонентов. По данным В.В. Кузьменко и В.А. Фокина [4],30- 40% бедренных компонентов и 10-20% ацетабулярных стабильны не более 10 лет. И.И. Жаденов и И.Д. Ковалева [2] уже через 1,5-2 года отмечали нестабильность в 12% случаев, а через 7 лет и более — в 26%.
Проблемой номер один после тотального эндопротезирования тазобедренного сустава является асептическое расшатывание компонентов протеза. С целью предупреждения этого осложнения и создания длительной стабильности протеза многие авторы применяют различные способы напекания на поверхность протеза переплетенных решетчатых структур, шариков, проволоки, покрытие протезов биоактивными материалами и т.п. Недостаток таких имплантатов заключается в том, что всякого рода покрытия на их металлической поверхности, с одной стороны, не достигают оптимальной глубины, обеспечивающей адекватное питание проросшей костной ткани, с другой стороны — к приваренным решетчатым структурам, шарикам, проволоке и т.д. кость прилегает, а не врастает. Об этом свидетельствуют ревизионные операции, произведенные по поводу асептического расшатывания компонентов эндопротеза.
Современные бесцементные эндопротезы подразделяются на конструкции с дистальной и с проксимальной фиксацией бедренного компонента. Оба способа фиксации имеют свои недостатки. По данным отдаленных клинических наблюдений, почти у 20% больных, которым имплантированы протезы с дистальной фиксацией, имеются зоны резорбции в проксимальном отделе бедра (остеопороз межвертельной области). Повышение стабильности ножки протеза за счет «воротника», упирающегося в опил шейки бедра, приводит к резорбции последнего — в результате протез оседает, создается опрокидывающий момент и происходит выраженное давление дистального конца ножки на медиальную стенку бедренной кости, что проявляется болевым синдромом.
Мы попытались устранить указанные недостатки бесцементной фиксации при создании новой системы эндопротеза тазобедренного сустава. Разработанный нами бесцементный эндопротез (пат. 2137442 РФ) основан на известном в эндопротезировании принципе первично-стабильной фиксации компонентов (ножки и чашки), которая обеспечивается особенностями конструкции протеза, его формой, пропорциями, структурой поверхности.
Клинообразная форма ножки в трех плоскостях — «триклин» (рис. 1) обеспечивает практически полную стабильную press-фиксацию в проксимальном отделе бедренной кости. Замыкаясь в костномозговом канале, ножка протеза плотно опирается на его стенки во фронтальной плоскости. Данная форма ножки более значима и в плане обеспечения ротационной стабильности, чем предлагаемые другими авторами продольные ребра, пазы, крылья, внедряемые в массив большого вертела, и другие конструктивные элементы, выполняющие функцию стабилизаторов. Немаловажно и то, что клиновидная форма ножки позволяет сохранить интрамедуллярное кровоснабжение.
Рис. 1. Общий вид ножки протеза.
Проблема stress shilding-эффекта (болезненная атрофия метафиза и гипертрофия диафиза в области дистального конца ножки протеза), вызываемого «изгибом» нагрузки, передаваемой с протеза на диафиз, минуя метафиз, обусловила необходимость совершенствования проксимальной фиксации ножки. С этой целью в проксимальной части ножки нами применены (запрессованы) две пористые вставки с размерами пор от 150 до 350 мкм, что обеспечивает врастание спонгиозной кости на необходимую глубину без нарушения ее питания и надежную фиксацию протеза. Форма ножки «триклин» с пористой вставкой гарантирует уменьшение напряжений в межвертельной зоне и способствует рациональному распределению нагрузок на бедренную кость. Ограниченное по размеру прочное соединение протеза с костью в проксимальной части ножки не препятствует естественным процессам движения при динамической нагрузке на уровне дистальной части ножки протеза, где она имеет микрошероховатость порядка 15-40 мкм (что создает условия для прирастания плотной костной ткани). При прочной стабильности проксимальной части ножки протеза, обеспеченной пористыми вставками, в которые врастает костная ткань, и относительно гладкой (частично структурированной) дистальной части срезывающие усилия переносятся в дистальную область. Наличие не слишком массивного и не на всем протяжении ножки прочного соединения между костью и протезом создает покой в костномозговом канале и избавляет пациентов от болей в бедре.
Чашка эндопротеза выполнена в виде усеченного конуса, вершина которого — сферический сегмент, и состоит из двух деталей: собственно чашки и полимерного вкладыша (рис. 2). Сфероконическая форма чашки с самонарезающейся резьбой, профиль витков резьбы, специальный угол их подъема позволяют получать надежную первичную фиксацию чашки, в том числе и при выраженном остеопорозе.
Рис. 2. Чашка протеза и полимерный вкладыш.
В сферическом сегменте полимерного вкладыша имеется пористая вставка (выполненная из материала, аналогичного материалу вставки в ножке), которая обеспечивает срастание полимерного вкладыша с костной тканью вертлужной впадины.
Врастание костной ткани в пористую структуру было изучено в эксперименте на животных.
В метафизарную область костей конечностей собак вводились пористые вставки из титана с размером пор от 89 до 380 мкм. Пористость вставок составляла от 39 до 48%. Операции выполняли в стерильных условиях, собак выводили из опыта через 1,2 и 3 мес. Из костных макропрепаратов готовили шлифы, отмывали шлифовочную пыль и изучали микродетали тканевых структур.
Уже через 1 мес после имплантации пористой вставки в кость прослеживалось заполнение пор имплантата по всей его площади рыхлой волокнистой тканью, формирование в крупных порах островков соединительной ткани, проникающих в соседние мелкие поры. В волокнистой ткани практически всех пор имплантата выявлялись процессы остеогенеза — формирование полиморфных тканей и островков остеоидной ткани, которая занимала примерно 1/3-1/2 часть площади пор. В непосредственном контакте с остеоидной тканью непостоянно встречались мелкие сформировавшиеся сосуды. В пограничной зоне (зоне контакта «матричной» кости и имплантата) реактивные костные изменения отсутствовали (не обнаруживалось дистрофических, некротических изменений, рассасывания или формирования костных балок, выраженной фиброплазии и др.).
Через 2 мес после имплантации пористых вставок в их периферических отделах отмечалось полное или почти полное замещение волокнистой ткани пор и ее отростков остеоидной тканью, в толще которой выявлялись мелкие кровеносные сосуды. В центральных отделах имплантата в порах преобладала рыхлая волокнистая ткань, наряду с которой обнаруживались полиморфные структуры и островки остеоидной ткани по краям пор либо в толще волокнистой ткани. Пластинчатая «матричная» кость по большей части плотно примыкала к поверхностям имплантата и врастала в виде шипов в краевые поры, заполняя их.
Через 3 мес после имплантации пористых вставок отмечено замещение волокнистой ткани пор гомогенной остеогенной тканью с началом формирования пластинчатости в периферических отделах имплантата. Пластинчатая кость плотно прилегала к поверхности имплантата, врастала в виде шипов в краевые поры и плотно заполняла их. Реактивных костных изменений в пограничной зоне не обнаружено.
Таким образом, микроскопические изменения во все сроки исследования и во всех образцах были сходными по сути и направленности процесса. Различия касались «объема» врастающей в поры имплантата волокнистой ткани и ее трансформации в остеоидную и остеогенную, что зависело от времени, прошедшего после имплантации, и размеров пор имплантата.
Через 2 и 3 мес после имплантации в проросшей в поры костной ткани четко прослеживались сформированные мелкие сосуды. Чем больше времени проходило после имплантации, тем лучше определялась зрелая ткань пластинчатого вида в порах имплантата (рис. 3). Наличие сосудов в костной ткани, проросшей в пористую структуру, обеспечивает адекватное питание проросшей кости и остеоинтеграцию имплантата.
Рис. 3. Островки костной ткани, проросшей в пористую вставку протеза. Окраска гематоксилином и эозином. Ув. 90.
Немаловажное значение для остеоинтеграции и стабильности эндопротеза имеет его биосовместимость, которая определяется не только состоянием поверхности металла, из которого изготовлен протез, но и многими другими факторами. Поскольку чистый титан не обладает биосовместимостью, его покрывают оксидной пленкой ТіО2, которая, будучи инертной, стимулирует остеоинтеграцию. Технология электрохимического оксидирования титана не обеспечивает необходимую биосовместимость, так как при этом создается неплотная пленка толщиной до 1 мкм. Примененное нами специальное многослойное плотное и тонкое (толщиной от 3 до 7 мкм) покрытие оксидной пленкой титана, наносимое «холодным» способом в условиях вакуума на всю поверхность ножки и чашки, обеспечивает идеальную биосовместимость с костной тканью, инертность и отсутствие миграции в организм легирующих элементов и микропримесей.
Двенадцать размеров ножки протеза, выбранных по результатам длительных рентгеноскопических и анатомических исследований, гарантируют индивидуальный подход при имплантации с учетом формы и состояния бедренного канала и вертлужной впадины. Ножка изготавливается из титан-алюминий-ванадиевого (ТІ-6А1-4Ѵ) сплава, пористые вставки — из титанового порошка.
Форма ножки универсальна, стандартный евроконус 12/14 на шейке ножки позволяет установить на нее модульные металлические, керамические и биполярные головки любых производителей (рис. 4). В комплект эндопротеза входят как металлические головки из кобальт-хром-молибденового сплава (endocast SL), так и головки из керамики (biolox forte). Головки выпускаются диаметром 28 мм трех типов: S (smoll), М (medium), L (large).
Рис. 4. Модульные варианты головок бедренной кости.
Конструкцией предусматривается шесть размеров чашки. Кольцо чашки изготавливается из чистого титана, а вкладыш — из сверхвысокомолекулярного полиэтилена (chirulen или tivar).
Используемые для изготовления эндопротезов материалы по химическому составу соответствуют ISO, EN, DIN, ASTM, BS.
Пористые вставки изготавливаются из технически чистого титана по ISO 5832/2, ножка протеза — из кованого и термообработанного сплава ТІ-6АІ-4Ѵ, соответствующего стандарту ISO 5832/3. В процессе обработки указанного титанового сплава не только не нарушается соответствие стандарту, но и улучшаются следующие параметры: прочность на растяжение — 960-1100 МПа; предел текучести — 860-880 МПа; удлинение площади сечения — 13-15%. Полимерный вкладыш изготавливается из сверхвысокомолекулярного полиэтилена по ISO 5834/2, головка протеза — из кобальт-хром-молибденового сплава по ISO 5832/4.
Применяемые для изготовления эндопротеза материалы обеспечивают его длительное функционирование. Так, основной узел эндопротеза, состоящий из головки и лунки в полимерной чашке, т.е. пара трения металл—полимер, имеет низкий износ (до 0,2 мм в год) за счет корректировки состава кобальт-хром-молибденового сплава. Для сравнения: стандартный сплав дает годовой износ 0,5 мм [6, 8, 9].
Возможность использования готовых элементов пар трения (керамика—керамика, дающая годовой износ 0,001-0,002 мм [7], металл—металл — 0,0025-0,005 мм [9]), производимых специализированными фирмами мира, позволяет применять разработанный нами протез у больных молодого возраста.
Для проведения операций эндопротезирования изготавливается комплект постановочных инструментов, которые можно использовать при имплантации протеза как в «ручном» режиме, так и с помощью пневматических и электрических систем.
Производство протезов и инструментария осуществляется ЗАО «Алтимед» с использованием современных технологий.
Механическая обработка деталей протеза выполняется на обрабатывающих станках ведущих станкостроительных фирм Германии и Швейцарии. Проверка геометрических и механических свойств изготавливаемых деталей осуществляется в лабораториях, оснащенных необходимым измерительным и стендовым оборудованием (контрольная измерительная машина, кругломер, разрывная машина и др.). Нанесение керамического покрытия (оксидной пленки титана) производится на установке вакуумного «холодного» напыления собственной конструкции. Финальные операции по нанесению покрытия, лазерной маркировке, мойке и упаковке деталей эндопротеза осуществляются в помещениях типа «чистая комната» класса 10000 и 1000 (в соответствии с требованиями GMP). Окончательная мойка деталей эндопротезов проводится на роботизированной линии с использованием ультразвуковой установки.
Детали эндопротеза поставляются стерильными в двойной герметичной упаковке в соответствии с международными нормами.
Данный эндопротез применяется нами в клинике с 1996 г. В настоящее время имплантация его производится во всех специализированных отделениях областных больниц Республики Беларусь врачами, прошедшими подготовку на базе клиники травматологии и ортопедии Белорусского государственного института усовершенствования врачей.
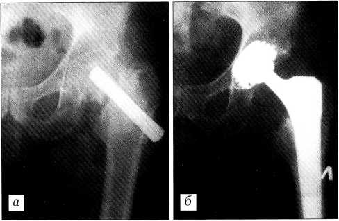
Эндопротез используется при деформирующем коксартрозе, асептическом некрозе головки бедренной кости, диспластическом коксартрозе, ревматоидном артрите, ложных суставах шейки бедренной кости, медиальных переломах шейки бедра у пожилых людей, болезни Гаше, красной волчанке и других заболеваниях тазобедренного сустава (рис. 5). Операции выполняются из наружного доступа по общепринятой методике и включают следующие этапы: разрез кожи и подкожной клетчатки, рассечение мышц, капсулы, резекцию головки, подготовку вертлужной впадины, установку чашки эндопротеза, подготовку бедренного канала с помощью рашпилей, установку ножки и головки эндопротеза, вправление их в вертлужный компонент протеза, дренирование сустава, при необходимости дренирование подкожной клетчатки и мышц, шов мягких тканей. Необходимо применение антибиотиков накануне операции, во время ее проведения и в послеоперационном периоде.
Рис. 5. Рентгенограммы больного с ложным суставом шейки бедра: а — до, б — после эндопротезирования.
С 1996 по 2000 г. в специализированных ортопедо-травматологических отделениях Республики Беларусь имплантировано более 600 эндопротезов нашей конструкции. В клинике травматологии и ортопедии Белорусского института усовершенствования врачей за 1997-1999 гг. произведено 173 операции эндопротезирования. Во время операции и ближайшем послеоперационном периоде имели место следующие осложнения: вывих головки протеза (5 случаев), парез седалищного (2) и бедренного (2) нервов, повреждение сосудов (2), глубокое нагноение раны (3).
Вывих головки протеза, возникший из-за технических погрешностей в послеоперационном ведении, у всех 5 больных устранен закрыто, повторных вывихов после снятия гипсовой повязки через 1 мес после операции не наблюдалось. При парезе бедренного нерва восстановление наступило у обоих больных, при парезе седалищного нерва — у одного пациента, у второго больного при контрольном осмотре через 7 мес после операции восстановления не отмечено.
Повреждение бедренной артерии у одного больного ликвидировано наложением сосудистого шва во время операции. У второго больного кровотечение возникло после удаления из дна вертлужной впадины сломанного трехлопастного гвоздя, которым ранее производился остеосинтез шейки бедра. Перелом не сросся, наступил усталостный перелом гвоздя, центральный конец его пролабировал в дно вертлужной впадины и вызвал декубитус внутренней подвздошной артерии, из которой и возникло кровотечение после удаления гвоздя во время эндопротезирования. Кровотечение остановлено, произведена перевязка внутренней подвздошной артерии.
Нагноение у одного больного произошло через 7 мес, у второго — через год после операции. После проведенной противовоспалительной терапии у обоих пациентов сохранились свищи со скудным отделяемым, больные находятся под наблюдением. У третьего больного глубокое нагноение возникло через 4 мес после эндопротезирования, протекало тяжело и эндопротез пришлось удалить.
Предварительные результаты лечения у остальных больных положительные. Продолжающееся динамическое наблюдение позволит оценить отдаленные результаты операции и качество эндопротеза. Наш первый опыт имплантации отечественного эндопротеза, изготовленного по современным технологиям из качественных материалов, свидетельствует о перспективности дальнейшей работы в этом направлении.
About the authors
A. V. Rutsky
Belarusian State Institute for Postgraduate Medical Education
							Author for correspondence.
							Email: info@eco-vector.com
				                					                																			                												                	Belarus, 							Minsk						
References
- Демьянов В.М., Машков В.М. //Актуальные вопросы ортопедии. — Л.,1987. — С. 13-19.
- Жаденов И.И., Ковалева И.Д. //Ортопед. травматол.- 1991. — N 8. — С. 71-77.
- Корнилов Н.В. //Травматол. ортопед. России. — 1994. — N 5. — С. 7-11.
- Кузьменко В.В., Фокин В.А. //Ортопед. травматол. - 1991.— N 10. — С. 74-78.
- Неверов В.А., Закари С.М. Ревизионное эндопротезирование тазобедренного сустава. — СПб,1977.
- Bensmann G. //Tech. Mitt. Krupp. — 1992. — N 1. — S. 45-69.
- Biolox-forte. Technical information. — Cerasiv GmbH, Plochingen,1996.
- Semlitsch M. //10 Jahre Zweymueller- Hueftendoprothese. — Huber, Bern etc.,1990. — S. 14-22.
- Streicher R.M. //Techn. Rundschan Sulzer. — 1991. — N 1. — S. 13-17.
Supplementary files
 
				
			 
					 
						 
						 
									
 
  
  
  Email this article
			Email this article 






 СМИ зарегистрировано Федеральной службой по надзору в сфере связи, информационных технологий и массовых коммуникаций (Роскомнадзор).
 СМИ зарегистрировано Федеральной службой по надзору в сфере связи, информационных технологий и массовых коммуникаций (Роскомнадзор).