Diagnosis of Asymptomatic Pelvic Ring Injuries
- 作者: Cherkes-Zade D.I.1, Nechvolodova O.L.1, Lazarev A.F.1, Morozov A.K.1, Urazgildeev R.Z.1
-
隶属关系:
- Priorov Central Institute of Traumatology and Orthopedics
- 期: 卷 5, 编号 2 (1998)
- 页面: 15-18
- 栏目: Articles
- ##submission.dateSubmitted##: 05.03.2022
- ##submission.dateAccepted##: 05.03.2022
- ##submission.datePublished##: 15.06.1998
- URL: https://journals.eco-vector.com/0869-8678/article/view/104482
- DOI: https://doi.org/10.17816/vto104482
- ID: 104482
如何引用文章
全文:
详细
The aim of the study was to increase the accuracy of clinical diagnosis and detection of asymptomatic pelvic ring injuries. The method of multiprojection radiologic examination of pelvis was elaborated to avoid the necessity of traumatic rotation of the trunk in severe condition of victims. The necessity to perform multiprojection radiography at admission independently of the patient’s condition severity and subsequent CT after stabilization was shown. That tactics gave the possibility not only to make more precise injury pattern and to exclude the diagnosis mistakes but also to determine the treatment tactics immediately after patient’s admission.
全文:
Диагностика повреждений тазового кольца достаточно сложна, особенно при полифокальных поражениях таза и сочетанной травме. У пострадавших с угрожающими жизни повреждениями или множественными переломами костей скелета довольно часто не проводится полноценное обследование таза [4]. Имеющиеся в клинике средства диагностики не всегда отвечают современным требованиям, и нередко какие-то повреждения тазового кольца остаются нераспознанными [7]. Переломы вертлужной впадины не диагностируются своевременно примерно в 20% случаев [1], а при разрывах сочленений расхождение диагнозов достигает 56,5% [3].
В абсолютном большинстве случаев окончательный диагноз при повреждениях тазового кольца ставится на основании данных рентгенографии. Мы не разделяем мнения некоторых рентгенологов и клиницистов, что для установления типа повреждения тазового кольца, выявления смещения во фронтальной плоскости и поворотов фрагментов таза, как правило, достаточно снимка в прямой переднезадней проекции [5]. Кости таза, образуя замкнутое кольцо, располагаются в разных плоскостях, поэтому снимок в одной проекции далеко не всегда позволяет определить повреждение костных структур, характер и величину смещения из-за суперпозиции изображений разных отделов тазового кольца.
При рентгенодиагностике повреждений таза нередко ввиду тяжелого состояния пострадавшего недопустимы травматичные повороты туловища и таза и потому неприемлемы специальные укладки [1, 2].
Для повышения качества диагностики и выполнения скрытых повреждений тазового кольца в нашей клинике разработан принцип многопроекционного рентгенологического исследования таза. Благодаря подвижности рентгеновского луча, возможности его отклонения в заданном направлении и под заданным углом можно получать необходимое количество проекций тазового кольца и его отделов во взаимопересекающихся плоскостях, не изменяя положения тела и таза на столе.
Вначале мы проводим стандартную обзорную рентгенографию таза в прямой переднезадней, а также в разработанной в нашей клинике косой каудальной [6] проекциях. Обзорную рентгенографию таза в косой каудальной проекции осуществляем следующим образом. Положение больного лежа на спине. Кассету размером 30×40 см, располагаемую вдоль стола, подкладываем так, чтобы верхний край пленки находился на уровне верхнего отдела гребней подвздошных костей, а нижний — дистальнее ягодичных складок. Нижние конечности фиксируем в области коленных и голеностопных суставов. Фронтальная плоскость туловища параллельна плоскости стола, сагиттальная перпендикулярна ей. Центральный рентгеновский луч направляем в сагиттальной плоскости косо спереди назад и каудально — так, чтобы он проходил параллельно передневерхней поверхности крестца и перпендикулярно плоскости входа в малый таз, с центрацией на ее середину. Это достигается отклонением рентгеновской трубки от вертикали на заданный угол — в зависимости от физиологического угла отклонения таза. Основываясь на анализе клинико-рентгенологического материала, мы для получения правильной проекции устанавливаем отклонение рентгеновского луча от вертикали в пределах 30-45° (рис. 1).
Рис. 1. Возможности рентгенографии таза скошенным лучом.
a — повреждение заднего, б — переднего полукольца.
При необходимости, помимо прямой и косой каудальной, используем запирательную (луч скошен кнутри под углом 45°) и подвздошную (луч скошен кнаружи под углом 45°) проекции.
Значительный объем получаемой при рентгенологическом исследовании информации позволяет избежать диагностических ошибок и выявить скрытые повреждения тазового кольца.
Достоверную картину структурно-функциональных нарушений тазового кольца дает компьютерная томография таза, которую мы относим к наиболее перспективным методам диагностики нарушений тазового кольца. Аксиальная компьютерная томография имеет неоспоримые преимущества перед прямой обзорной рентгенографией таза, так как позволяет исследовать крестец, крестцово-подвздошные сочленения, вертлужные впадины, симфиз, не прибегая к специальным укладкам. Дополнительное контрастирование мочевого пузыря дает возможность проверить его целость.
Аксиальная компьютерная томография нами выполнена на аппарате «Toshiba Xpeed» (Япония) 25 больным с травматическими повреждениями тазового кольца. Использовались программы исследования таза, крестца, тазобедренных суставов; толщина срезов 5 и 10 мм, наклон Гентри до 25°. Дополнительно были проведены мультиплинарная реконструкция изображения для уточнения взаимоотношения отломков в трех плоскостях и трехмернопространственная реконструкция с целью определения пространственных взаимоотношений тазовых костей и выявления деформаций тазового кольца.
Анализ полученных данных показал, что применение аксиальной компьютерной томографии в ранние сроки после травмы позволяет получить исчерпывающую информацию о характере повреждений и в соответствии с этим планировать лечебные мероприятия. У всех 25 больных были уточнены данные обзорной рентгенографии, а в 9 наблюдениях при томографии впервые выявлены такие повреждения, как вертикальный перелом боковой массы крестца (3 больных), разрыв крестцово-подвздошного сочленения (2), вертикальный перелом тела S1 позвонка (1), оскольчатый перелом заднего края вертлужной впадины с подвывихом головки бедра (1), внутрисуставной перелом головки бедренной кости (2).
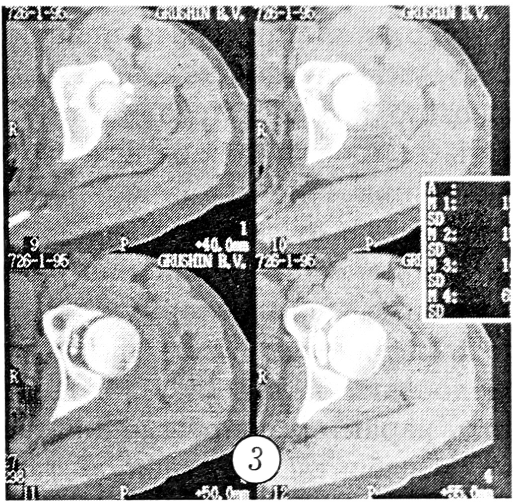
Больной Г., 36 лет, 27.02.95, находясь за рулем автомобиля, попал в автоаварию. Доставлен в больницу по месту получения травмы. При поступлении поставлен диагноз: закрытый вывих левого бедра, перелом вертлужной впадины. Предпринята попытка вправления бедра. После улучшения состояния больного он 1.03 переведен в клинику травматологии ЦИТО. При поступлении проведена рентгенография таза в стандартной переднезадней и запирательной проекциях (рис. 2). Выявлен оскольчатый перелом задневерхнего отдела вертлужной впадины, заподозрено наличие внутрисуставных отломков. С целью уточнения диагноза проведена компьютерная томография тазобедренного сустава. Подтвержден оскольчатый перелом задневерхнего отдела левой вертлужной впадины и, главное, в полости левого тазобедренного сустава выявлены свободный костный фрагмент кортикальной плотности, расположенный в центральном отделе впадины, и несколько более мелких свободных внутрисуставных тел (рис. 3). С учетом характера перелома и внутрисуставной интерпозиции отломков больному 15.03 произведена операция. При ревизии левого тазобедренного сустава в области крыши вертлужной впадины обнаружен фрагмент размером 4,5×5,0×1,5 см с участками хрящевого покрытия и фиброзной губы, смещенный краниально и ротированный кнаружи. После выведения головки бедра из впадины в суставе обнаружены костный фрагмент размером 2,5×1,0×0,8 см из губчатой и компактной ткани и два кортикальных чешуеобразных фрагмента размером 0,7 и 0,5 см. Все костные фрагменты удалены из полости сустава. Сустав промыт. Головка бедра вправлена. Произведена репозиция заднего края вертлужной впадины, фрагмент фиксирован двумя винтами с шайбами. Движения в суставе в полном объеме. Остеосинтез стабильный. Заживление раны первичное. Отдаленный результат хороший.
Рис. 2. Рентгенограммы больного Г. в стандартной переднезадней (а) и запирательной (б) проекциях.
Рис. 3. Аксиальные компьютерные томограммы таза больного Г.
Роль компьютерной томографии в выявлении скрытых повреждений костей таза иллюстрирует и другой пример.
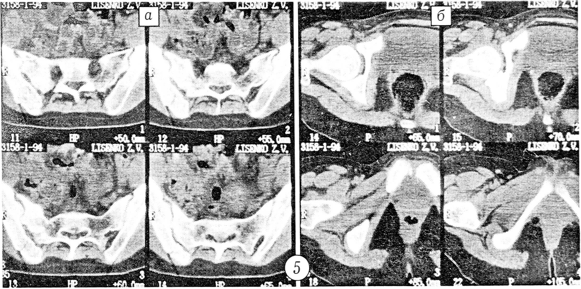
Больная Л., 23 лет, на рентгенограмме в стандартной переднезадней проекции выявлен перелом лонной и седалищной костей справа (рис. 4). При компьютерной томографии, помимо этого, обнаружены оскольчатый перелом боковой массы крестца справа (рис. 5, а) и отрыв костного фрагмента в области лонного сочленения (рис. 5, б).
Рис. 4. Рентгенограмма больной Л. в стандартной переднезадней проекции.
Рис. 5. Компьютерные томограммы больной Л.
a — оскольчатый перелом боковой массы крестца и лонной кости справа; б — отрыв костного фрагмента в области лонного сочленения.
Таким образом, для повышения качества рентгенодиагностики и выявления скрытых повреждений тазового кольца мы считаем обязательным проведение рентгенологического исследования таза минимум в двух проекциях — прямой переднезадней и косой каудальной, при необходимости дополняя их запирательной и подвздошной. Выполнение исследования в этих проекциях позволяет избежать травматичных поворотов туловища и таза.
Наиболее перспективной в диагностике таких повреждений является компьютерная томография, которая дает ценную информацию о структурно-функциональных нарушениях тазового кольца. Исследование нужно начинать с многопроекционной рентгенографии сразу при поступлении больного в клинику независимо от тяжести его состояния, а после стабилизации жизненно важных функций проводить компьютерную томографию. Использование такой схемы диагностических исследований дает возможность не только уточнить характер повреждений тазового кольца, но и выбрать правильную тактику лечения уже в момент поступления пострадавшего в клинику.
作者简介
D. Cherkes-Zade
Priorov Central Institute of Traumatology and Orthopedics
编辑信件的主要联系方式.
Email: info@eco-vector.com
俄罗斯联邦, Moscow
O. Nechvolodova
Priorov Central Institute of Traumatology and Orthopedics
Email: info@eco-vector.com
俄罗斯联邦, Moscow
A. Lazarev
Priorov Central Institute of Traumatology and Orthopedics
Email: info@eco-vector.com
俄罗斯联邦, Moscow
A. Morozov
Priorov Central Institute of Traumatology and Orthopedics
Email: info@eco-vector.com
俄罗斯联邦, Moscow
R. Urazgildeev
Priorov Central Institute of Traumatology and Orthopedics
Email: info@eco-vector.com
俄罗斯联邦, Moscow
参考







