Периферическая примитивная нейроэктодермальная опухоль (Аскина)
- Авторы: Махсон А.Н.1, Бурлаков A.С.1, Кузьмин И.В.1, Пугачев К.К.1, Попов М.И.1
-
Учреждения:
- Московская городская клиническая онкологическая больница № 62
- Выпуск: Том 6, № 2 (1999)
- Страницы: 54-62
- Раздел: Оригинальные исследования
- Статья получена: 13.03.2022
- Статья одобрена: 13.03.2022
- Статья опубликована: 17.03.2022
- URL: https://journals.eco-vector.com/0869-8678/article/view/104822
- DOI: https://doi.org/10.17816/vto104822
- ID: 104822
Цитировать
Полный текст
Аннотация
Впервые в отечественной литературе описан случай дооперационной диагностики периферической примитивной нейроэктодермальной опухоли (ПНЭО) грудной стенки с поражением тела грудины у больного 21 года. Представлены данные КТ, эхографии, исследования уровня сывороточных онкомаркеров. Наиболее убедительными для подтверждения диагноза ПНЭО являются результаты определения тканевых маркеров и электронной микроскопии, однако существенную роль в диагностике играют также клиническое обследование и стандартные морфологические исследования. Больному успешно проведена неоадъювантная химиотерапия и затем резекция грудной стенки с пластикой кожно-мышечо-костным лоскутом на сосудистой ножке. При контроле патоморфоза доказана эффективность полихимиотерапии винкристином, циклофосфаном, фарморубицином и платидиамом. Несмотря на относительно малую чувствительность ПНЭО к цитостатикам, комбинированное лечение с использованием неоадъювантной химиотерапии представляется наиболее оправданным. Оригинальный метод пластики дефекта грудной стенки кожно-мышечно-костным лоскутом без применения искусственных материалов создает благоприятные условия для заживления раны с хорошим функциональным и косметическим результатом. Через 9 мес после операции рецидива опухоли и метастазов не обнаружено.
Ключевые слова
Полный текст
Периферическая примитивная[*] нейроэктодермальная опухоль — ПНЭО (primitive neuroectodermal tumor—PNET) — недифференцированная высокозлокачественная саркома развивается из мигрирующих эмбриональных клеток неврального гребешка. Описана в различных органах и системах под разными названиями.
Злокачественные новообразования из мелких круглых клеток включают нейробластому, рабдомиосаркому, лимфомы и саркому Юинга. Сравнительно недавно из этой группы выделены опухоли, развивающиеся из нейроэктодермы головного и спинного мозга, автономной нервной системы и в отдельных случаях из нейроэндокринных образований. Соответственно различают центральные и периферические примитивные нейроэктодермальные опухоли (cPNET и pPNET). По определению периферические ПНЭО никогда не возникают из симпатической нервной системы и локализуются вне головного и спинного мозга [13, 15, 16, 18, 25, 36].
Наиболее часто первичный очаг локализуется в костях и мягких тканях грудной клетки, в брюшной полости, в тазу и нижних конечностях, однако описаны и изолированные поражения легкого и других органов [11]. Встречается у больных 3-38 лет (в основном у подростков и молодых людей), преимущественно у лиц женского пола. Некоторые авторы отмечают преобладание правостороннего расположения опухоли. Описаны ПНЭО, возникшие из периферических нервов. Подобное наблюдение, по-видимому, первым описал А.Р. Stout еще в 1918 г. Злокачественную «мелкокруглоклеточную» опухоль торакопульмональной зоны как особую клинико-морфологическую нозологическую форму впервые выделил в 1979 г. крупный американский морфолог F.B. Askin [10]. Он считал, что опухоль может исходить только из грудной стенки. В отличие от других форм ПНЭО она чаще встречалась у девочек и вызывала системные симптомы: лихорадку, потерю аппетита и массы тела, кашель, одышку. В настоящее время в основном пользуются термином «ПНЭО грудной стенки». Другими словами, «опухоль Аскина» — это особая форма саркомы Юинга с признаками нейродифференцировки. Иммуногистохимически и при ультраструктурных исследованиях обычно удается доказать нейроэктодермальную принадлежность опухоли, а цитогенетически — связь с саркомой Юинга (табл. 1). Впрочем, некоторые исследователи не видят существенных морфологических различий между этими двумя нозологическими формами или, во всяком случае, подчеркивают размытость границ между ними [9, 14].
Таблица 1
Критерии дифференциальной диагностики сарком грудной стенки из мелких круглых клеток
Диагностический критерий | Саркома Юинга | ПНЭО | Нейробластома |
Возраст больного | Подростковый | Подростковый | До 4 лет |
Локализация опухоли | Туловище, конечности | Грудная полость, конечности | Брюшная полость |
Гистология | |||
Фиброзные перегородки | Редко | Мало | Часто |
Обызвествление | Редко | Редко | Часто |
Псевдорозетки | Редко | Иногда | Более 50% |
Ядра | Круглые матовые | Круглые | Полиморфные |
|
| (тонкий хроматин) | (гиперхромные) |
Ядрышки | Мелкие | Мелкие | Едва видны |
ШИК-реакция | Чаще + |
| Чаще - |
Маркеры | |||
НСЕ | — |
| + |
НВА71 | — | Иногда + | + |
S-100 | - |
| — |
Виментин | + | ± | - |
Синаптофизин | — | + | + |
GFAP | — |
| — |
Улътраструктура | |||
Ретикулярные фибриллы | Нет | Очень мало | Мало |
Нейрофиламенты | — |
| Чаще + |
Нейросекреторные гранулы | — | Мало |
|
Цитогенетика | |||
Транслокация | Т(11; 22) (q24; q11—12) | Т(11; 22) (q24; q11-12) | - |
Амплификация | — | - | - |
Онкогены | |||
Мус2 | + | + | - |
MycN | — | — | +
|
Клинически ПНЭО проявляется быстро увеличивающимся в размерах болезненным объемным образованием с локальным инфильтрирующим ростом. Довольно долго считали, что незрелая опухоль малочувствительна к хи-миотерапии и облучению. Иногда первичный очаг проявляется множественными узлами, поражающими плевру.
До 1999 г. описано около 280 наблюдений периферической ПНЭО [22, 31, 38]. Отечественные авторы этой опухолью заинтересовались сравнительно недавно. До начала лечения никто из них ПНЭО не диагностировал, хотя давно опубликованы прекрасные обзоры зарубежной литературы по этому вопросу [5, 7].
Наше наблюдение представляет интерес как с диагностической точки зрения, так и в плане выбора метода лечения, а также его результата. Подробный анализ возникающих при этом проблем поможет выработать в онкологических клиниках оптимальную схему диагностических и лечебных мероприятий в каждом конкретном случае.
Больной Б., 21 года, поступил в нашу больницу 5.02.98 с жалобами на боли в области грудины и увеличивающуюся опухоль в области тела грудины.
В ноябре 1997 г., через 4 мес после ушиба, заметил небольшое опухолевидное образование в области грудины, которое стало быстро увеличиваться. Периодически появлялись боли в зоне ІѴ-Ѵ ребер справа и слева, отмечалось повышение температуры до 37,5°С. По словам больного, опухоль «временами уменьшалась в размерах без лечения». Обратился к врачу в декабре 1997 г. Через месяц (предварительное обследование) направлен к онкологу, затем в Московскую городскую больницу № 62.
При осмотре: в нижней трети грудины на уровне ІѴ-Ѵ ребер справа и V ребра слева опухоль размером 6 × 4 см плотно-эластической консистенции с флюктуацией в центре.
Рентгенологически в средней трети переднего средостения выявляется узловое образование, прилегающее к передней грудной стенке, размером 9 × 4 см. На этом же уровне по передней поверхности грудной стенки определяется опухоль размером 2 × 7 см полуовальной формы без четких границ.
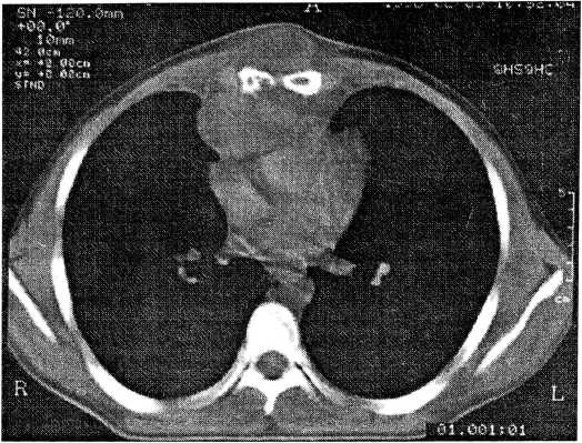
При КТ в легких очаговых теней не обнаружено. Начиная с уровня бифуркации трахеи выявляется объемное многоузловое образование размером 9 × 7,5 × 6,6 см неоднородной структуры плотностью +50 ед., инфильтрирующее грудину (деструкция нижней трети тела на уровне VIII грудного позвонка). Частично разрушены нижняя треть грудины, прилежащие реберные хрящи, инфильтрированы подкожная клетчатка и переднее средостение (рис. 1). Образование интимно прилежит к передним отделам сердца и, скорее всего, прорастает перикард. Клетчатка верхнего отдела средостения неравномерно уплотнена, на этом фоне определяются увеличенные лимфатические узлы. Заключение: злокачественная опухоль грудной стенки, прорастающая в переднее средостение и перикард.
При ультразвуковом обследовании патологии почек, печени, селезенки, поджелудочной железы не выявлено. ЭКГ: синусовая тахикардия, вертикальное положение электрической оси сердца, повышенная нагрузка на правые отделы сердца.
Рис. 1. Компьютерная томограмма. Объемное образование размером 9 × 7,5 × 6,6 см с неоднородной структурой, плотностью +50 ед., инфильтрирующее грудину (деструкция нижней трети ее тела на уровне VIII грудного позвонка). Опухоль прорастает подкожную клетчатку и переднее средостение, интимно прилежит к передним отделам сердца.
Белковые фракции в анализе крови от 6.02.98: слабо выраженная альбуминемия и умеренная гаммаглобулинемия. Коэффициент А/Г 1,29. Сывороточные онкомаркеры: РЭА, СА 125, Cyfra 21-1, β2-MG, СА 19-9 и NSE — в пределах нормы.
Произведена аспирационная биопсия тонкой иглой. Цитограмма представлена большим количеством мелких лимфоцитоподобных бластных клеток, принадлежащих, скорее всего, злокачественной опухоли (рис. 2).
Рис. 2. Аспирационная биопсия опухоли грудины тонкой иглой. Цитограмма представлена мелкими округлыми злокачественными клетами на фоне эритроцитов. Окраска по Романовскому—Гимзе. Ув. 630.
Для уточнения типа новообразования 12.02.98 выполнена открытая биопсия: удалены фрагменты опухоли грудины. Создавалось впечатление об инфильтрации всех тканей до кожи. Гистологически обнаружены кусочки мышечной и жировой ткани с признаками воспаления. Элементов опухоли не найдено.
23.02.98 предпринята повторная инцизионная биопсия первичного очага в сочетании с прескаленной биопсией. Сделан вертикальный разрез кожи над опухолью: грудина разрушена, в нижней ее трети — опухоль типа «рыбьего мяса». Вырезаны небольшие фрагменты опухоли спереди и в области загрудинного пространства. В опухолевой массе имеются полости распада, содержащие детрит.
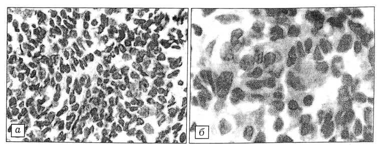
При микроскопическом исследовании (препараты консультированы проф. И.Г. Ольховской и Ю.Н. Соловьевым) обнаружена злокачественная опухоль, состоящая из мелких округлых клеток — «опухоль Аскина» (рис. 3); метастазов в шейных лимфатических узлах не выявлено.
Рис. 3. Открытая биопсия опухоли грудины. Мелкие округлые клетки местами сгруппированы в розеткообразные структуры. Окраска гематоксилином и эозином. Ув. 100 (а) и 400 (б).
Для уточнения гистогенеза опухоли проведено иммуногистохимическое исследование препаратов с использованием реагентов фирмы «ВАКО». Мелкие лимфоцитоподобные злокачественные клетки экспрессировали маркеры нейроэндокринной дифференцировки — синаптофизин (около 60% клеточных элементов) и S-100 (около 30%). Признаков эпителиальной (АЕ1/АЕ3) и лейкоцитарной дифференцировки (α СА) в мелких круглых клетках не обнаружено.
Клинический диагноз: периферическая примитивная нейроэктодермальная опухоль грудной стенки с поражением тела грудины (опухоль Аскина).
С 6 марта по май 1998 г. проведено три курса полихимиотерапии: суммарно винкристин 6 мг, циклофосфан 2,4 г, фарморубицин 340 мг, платидиам 150 мг. Переливались жидкости, кровь, плазма. Клинически отмечена положительная динамика. После первого курса химиотерапии опухоль уменьшилась на 1 см. На КТ размеры, форма и структура основной массы опухоли остались прежними, но экстраторакальный компонент образования существенно уменьшился.
24.06.98 произведена операция. S-образным разрезом кожи от III ребра слева до реберной дуги справа, окаймляющим опухоль, рассечены кожа, подкожная клетчатка и мышцы. Резецированы хрящевые концы ІІІ-ѴІ ребер с обеих сторон. В области второго межреберья перевязаны внутригрудные сосуды. Внутригрудной компонент опухоли справа оказался спаянным с медиастинальной плеврой. Этот участок плевры резецирован. Средостенный компонент опухоли (без признаков инфильтрирующего роста) острым путем выделен с клетчаткой средостения. Произведена резекция межреберных мышц II-ѴІ ребер с перевязкой межреберных сосудов. Дефект правой плевры ушит непрерывным швом. Плевральная полость дренирована двумя трубками.
Больной повернут на левый бок. На правой боковой поверхности грудной стенки выкроен кожно-мышечно-костный лоскут из широчайшей мышцы спины с кожей и фрагментами ІХ-ХІ ребер. Кожная часть лоскута соответствовала по размерам образовавшемуся после удаления опухоли дефекту, ребра были включены в лоскут следующим образом: срединный фрагмент взят полностью, а два соседних расщеплены вдоль и использованы только их наружные половины. Лоскут развернут на сосудистой ножке и проведен через подкожный тоннель в зону дефекта на передней поверхности грудной стенки. Три фрагмента ребер фиксированы толстой синтетической нитью к оставшимся концам ІII-ІѴ ребер для восстановления каркасной функции грудной клетки. Мышечной частью укрыты перемещенные костные фрагменты и места соединения ребер. Кожным лоскутом полностью закрыт дефект мягких тканей (рис. 4. 5).
Рис. 4. Мобилизованный мышечный лоскут на ножке с расщепленными фрагментами ребер у края дефекта грудной стенки.
Рис. 5. Трехмерная компьютерная реконструкция послеоперационного дефекта грудины и ребер. Видно верхнее перемещенное ребро, перекрывающее дефект грудины.
При гистологическом исследовании операционного препарата отмечен выраженный лекарственный патоморфоз с наличием обширных очагов некроза и склеротических участков в ткани опухоли (рис. 6, 7).
Рис. 6. Операционный препарат. Видны пересеченные отрезки ребер и листок париетальной плевры.
Рис. 7. Микропрепарат удаленной опухоли. Опухолевая ткань с признаками лекарственного патоморфоза: очаги некроза, уродливые формы злокачественных клеток с признаками резко выраженной дистрофии.Окраска гематоксилином и эозином. Ув. 400.
Через 9 мес после операции рецидива и метастазов опухоли не обнаружено. Пациент продолжает учебу в институте. Легочной недостаточности не отмечается. Косметический эффект хороший (рис. 8).
Рис. 8. Больной Б. после резекции грудной стенки с пластикой дефекта расщепленными фрагментами ребер в блоке с перемещенными лоскутами лестничных и широчайшей мышц.
Обсуждение. В России саркому грудной стенки из мелких круглых клеток впервые успешно удалил в 1896 г. Б.С. Козловский. Больной умер через год при повторной операции по поводу локального рецидива [7].
В 1907 г. В.П. Дедов [3] собрал в мировой литературе 125 случаев резекции грудины по поводу различных заболеваний, в том числе по поводу «мелкокруглоклеточных сарком». Летальность составила в среднем 24,8%. В отечественных публикациях до 1930 г. К.П. Гесс- де-Кальве [2] обнаружил описание 24 случаев первичных новообразований грудной стенки (18 больных оперированы). Поражение грудины отмечено только в 9 случаях.
Первую обобщающую онкологическую работу, включающую анализ 213 случаев новообразований грудной стенки (20% — первичное поражение грудины), представил в 1921 г. С.А. Hedblom [20]. Он подробно описал болезненную опухоль рукоятки из мелких круглых клеток у молодой женщины, привел макро- и микрофотограммы. Опухоль, удивительно похожа на наблюдавшуюся нами, была названа им «немеланотической меланоэпителиомой». Больная умерла через 1,5 года после резекции грудины и прилежащих ребер от метастазов.
Успех лечения в значительной мере зависит от точной информации о характере роста и распространенности опухоли. Диагностика ПНЭО трудна даже при использовании современных методов обследования. Уже при первичном обращении к врачу у 14-50% больных имеются отдаленные метастазы.
Рентгенологически обычно обнаруживается объемное образование грудной стенки, разрушающее ребра. Иногда ПНЭО поражает средостение или область позвоночника. В редких случаях первичный очаг содержит обызвествления [10, 17, 33].
Магнитно-резонансное исследование дает возможность получить на Т1-взвешенном изображении ПНЭО сигнал той же интенсивности, что и от мышц, на Т2-взвешенном — сигнал средней и высокой интенсивности. Иногда видны участки кровоизлияний и некрозов. Большие опухоли выглядят как гетерогенные образования. ПНЭО небольших размеров обычно гомогенны. При контрастировании в первичном очаге отмечается быстрое усиление изображения [32, 34].
При эхографии иногда обнаруживается кистозный компонент опухоли, причем он может появиться после химиотерапии как признак лекарственного патоморфоза. Редко удается выявить участки обызвествления. При значительном распространении опухоли часто отмечается выпот в плевре [34].
При сцинтиграфии в очагах ПНЭО накапливаются 67Ga и 201Т1. Для прослеживания эффекта лучевой и химиотерапии рациональнее использовать в качестве маркера 201Т1 [21].
Как правило, пункционную биопсию тонкой иглой приходится повторять в связи с недостаточным количеством материала или малой его информативностью. То же можно сказать и о трепанобиопсии. Даже открытая биопсия опухоли далеко не всегда позволяет уточнить диагноз. Во многих случаях гистологические препараты приходится посылать в крупные онкологические центры. Чаще всего ставят предположительный диагноз «нейроэктодермальная опухоль карциноидного типа».
Тем не менее, некоторые авторы имеют опыт цитологической диагностики ПНЭО. Цитологическая картина опухоли описана довольно подробно. Она мало отличается от микроструктуры саркомы Юинга, а иногда и нейробластомы. Только иммуноцитохимический анализ и электронная микроскопия пунктата, полученного тонкой иглой, дают возможность точно установить гистогенез опухоли [9, 24, 30, 39].
Макроскопическая картина ПНЭО не имеет специфических особенностей. Обычно выявляют мягкую беловато-серую опухоль 9-15 см в диаметре с очагами некроза. Как и для нейробластомы и саркомы Юинга, для ПНЭО характерна высокая клеточность с относительно мономорфным рисунком из незрелых мелких круглых клеток, в основном без явных признаков нейродифференцировки, со скудной цитоплазмой и пузырьковидным гиперхромным ядром. Клетки образуют дольчатый рисунок, располагаясь в виде перегородок среди фиброзно-сосудистой стромы. Нередко клеточные скопления образуют плотные листки с альвеолярным рисунком и полями некроза. Каждая из описанных структур встречается в отдельных новообразованиях с разной частотой в зависимости от индивидуальных особенностей ПНЭО. Частота митозов также различна. В отдельных участках препарата мелкие овальные злокачественные клетки располагаются радиально вокруг узких пространств, образуя розеткоподобные структуры.
Диагностика строится на методе исключения (табл. 1). Классические псевдорозетки (Хомер—Райта) на гистологических срезах удается выявить с трудом, однако при тщательном просмотре всего препарата эти образования можно обнаружить. Иногда встречаются и истинные розетки Флекснера [5].
Уточняющее иммуногистохимическое исследование обычно включает окрашивание на нейроэндокринные маркеры — нейронспецифическую енолазу (фосфопируватгидратазу), хромогранин и синаптофизин. При этом следует учитывать возможность метастазирования карциноидной опухоли. Иногда отмечается слабоположительная реакция на специфический маркер саркомы Юинга НВА71. Характерно отсутствие кератина и других признаков эпителиального происхождения опухоли. Большинство клеток полигональной формы с равномерным распределением хроматина. Ядра имеют 1-4 ядрышка. В нашем наблюдении не отмечено существенного повышения уровня нейронспецифической енолазы, а клетки опухоли содержали синаптофизин (этот маркер может содержать также карциноид). Аналогичные данные приводят и другие исследователи [35, 40].
На ультраструктурном уровне обычно удается выявить анастомозирующие отростки цитоплазмы, плотные нейросекреторные гранулы, нейротубулы и нейрофиламенты в хорошо выраженном пластинчатом комплексе. Обнаруживается значительное количество рибосом и полирибосом. Митохондрии разного размера собраны у одного полюса клетки, грубый эндоплазматический ретикулум определяется в небольшом количестве. Плотные гранулы достигают 300—500 нм в диаметре [5, 9].
При дифференциальной диагностике в первую очередь следует исключить рабдомиосаркому, опухоль Юинга, метастазы недифференцированной нейробластомы, злокачественную лимфому. Известно, что эктопическая нейробластома может локализоваться в грудной стенке. Особое внимание следует уделять исключению этой патологии при паравертебральном и медиастинальном расположении ПНЭО. С другой стороны, описана изолированная первичная ПНЭО легкого [11, 12, ].
Н. Jurgens и соавт. [23] пересмотрели препараты всех новообразований из мелких круглых клеток из 23 учреждений: ПНЭО подтверждена в 42 случаях, в 24 из них диагноз пришлось изменить (прежнее заключение у 16 больных —- опухоль Юинга, у 5 — нейробластома, у 2 — рабдомиосаркома, у 1 — лимфома). Приблизительно в 2/3 наблюдений в клетках ПНЭО определяется нейронспецифическая енолаза и отмечается положительная ШИК-реакция. D. Schmidt и соавт. [36] считают нейроэпителиальное происхождение опухоли доказанным, если получена положительная реакция на два разных маркера или обнаружены розетки Хомер—Райта. В случае затруднений могут помочь диагностические параметры, представленные в табл. 1.
Саркому Юинга отличают присутствие отложений гликогена, особенности соединения клеток опухоли, а также транслокации хромосом. При нейробластоме более выражены нейроэндокринная зернистость, микротрубчатые структуры, определяются отростки клеток, а транслокации хромосом отсутствуют. В этих случаях помогает ШИК-окрашивание. Злокачественная лимфома обычно проявляется в первую очередь увеличением лимфатических узлов и характерными клиническими симптомами.
Иммуногистохимические исследования и электронная микроскопия существенно повышают достоверность диагноза ПНЭО, однако опухоль можно распознать, и основываясь на данных клиники, компьютерной томографии, морфологического исследования, лабораторных тестов с учетом возраста, пола больного, локализации опухоли, характера поражения скелета, уровня катехоламинов в моче и онкомаркеров в сыворотке крови.
В 10% случаев ПНЭО отдаленные метастазы обнаруживаются уже при первичном обращении больного. Они имеют в основном гематогенный характер, но встречается и поражение регионарных лимфатических узлов. Результаты лечения в значительной мере зависят от распространенности опухоли. Большинство исследователей выделяют только локализованные (резектабельные) формы ПНЭО и распространенные, обозначая их соответственно как МО и Ml. Группировка по стадиям после операции предложена Национальным онкологическим институтом США: I стадия — первичный очаг менее 5 см в диаметре, без метастазов (полностью удален); II стадия — то же, но оставлены микроскопические элементы опухоли по краю резекции; III стадия — опухоль более 5 см (нерезектабельная); IV стадия — имеются отдаленные метастазы.
Рецидивы после удаления опухоли довольно характерны и чаще локализуются в зоне операции или в легких. Реже обнаруживаются метастатические очаги в скелете, головном мозге, печени. Описаны метастазы остеобластического характера. В связи с этим необходимо до начала радикального лечения исключить генерализацию ПНЭО с использованием сцинтиграфии и компьютерной томографии [34].
В табл. 2 представлены результаты лечения ПНЭО по данным публикаций с наибольшим числом клинических наблюдений.
Таблица 2
Результаты лечения ПНЭО по данным литературы
Автор | Год публикации | Число больных | Ж:М | Средний возраст, годы | Оперированы | Жили, % | ||
паллиативно | радикально | 1 год | 5 лет | |||||
Askin Р. [10] | 1979 | 20 | 4:1 | 14,5 | 17 | 3 | — | 23,3 |
Jurgens Н. [23] | 1988 | 42 | 2:1 | 16 | 16 | 15 | 87 (МО) | 62,5 (МО) |
63 (Ml) | 10 (Ml) | |||||||
Contesso G. [14] | 1992 | 30 | — | — | 7 | — | 38 | 14 |
Inada К. [22] (сборная статистика японских авторов) | 1994 | 36 | 9:1 | — | 9 | — | 44 | — |
Радикально удалить опухоль удается у 10_ 20% больных ПНЭО. Остальным обычно проводится химиолучевое лечение. Описаны случаи полной ремиссии после облучения в дозе 69 Гр в сочетании с полихимиотерапией. Наиболее часто используют винкристин, адриамицин, ифосфамид, дактиномицин. Средняя продолжительность жизни неоперабельных больных не превышает 8 мес. Хотя многие авторы указывают на малую чувствительность ПНЭО к цитостатикам, у некоторых больных удается добиться частичной ремиссии или по крайней мере стабилизации, как это было в нашем наблюдении. Создается впечатление, что курсы неоадъювантной терапии способствовали стабилизации опухолевого процесса и снятию его воспалительного компонента [23, 28, 34, 37, 41].
Некоторые авторы подчеркивают высокую эффективность лучевой терапии в дозе 60 Гр (иногда даже 20 Гр), однако использовать этот метод у молодых людей следует с осторожностью в связи с опасностью появления в отдаленном периоде индуцированных новообразований [23, 26].
Особой проблемой хирургического лечения является реконструкция грудной стенки при больших сквозных дефектах ее (более 4 см). Для стабилизации грудного каркаса и профилактики деформаций предложено бесчисленное множество методов. Одним из первых российских хирургов, разрабатывавших эндопротезирование грудины и ребер (с 1967 г.) у онкологических больных, является С.Т. Зацепин [4]. Большинство онкологов использовали многослойные синтетические материалы с дополнительным укрытием фасцией или мышечными лоскутами на ножке. Однако все признают, что идеальным материалом для пластики являются собственные кости больного [1, 6, 19, 27].
М. Pers и S. Medgyesi [29] предложили реконструкцию бокового отдела грудной стенки фрагментами расщепленных нижних ребер на перемещенной лестничной мышце. Мы впервые использовали для стабилизации передней грудной стенки расщепленные ребра на сосудистой ножке в блоке с лестничными и широчайшей мышцами спины, получив хороший функциональный и косметический результат.
Итак, описанное нами наблюдение может представлять интерес с нескольких точек зрения. Данные КТ указывали на разрушение грудины и отсутствие отдаленных метастазов. Содержание сывороточной нейронспецифической енолазы находилось на верхней границе нормы. Опухоль была удалена радикально после трех курсов неоадъювантной химиотерапии. Через 9 мес после операции рецидива и метастазов не выявлено. Наш опыт диагностики и лечения может пригодиться специалистам различного (не только онкологического) профиля. Важно подчеркнуть, что диагноз ПНЭО можно поставить до операции и провести полноценное комбинированное лечение с надеждой на успех. Вопрос о том, можно ли уверенно диагностировать заболевание по данным аспирационной биопсии, не имеет однозначного решения. При определенном опыте морфологов и наличии хорошей цито- и гистохимической лаборатории это представляется перспективным. Неоадъювантая химиотерапия дает возможность оценить чувствительность опухоли к современным цитостатикам и существенно повысить радикальность лечения. Выраженный патоморфоз опухоли указывает на достаточно высокую эффективность препаратов, но роль химиотерапии у радикально оперированных больных еще предстоит уточнить.
[*] Термин «primitive», по нашему мнению, лучше было бы переводить как «незрелая», пока он окончательно не стал нормативным.
Об авторах
А. Н. Махсон
Московская городская клиническая онкологическая больница № 62
Автор, ответственный за переписку.
Email: info@eco-vector.com
Россия, Москва
A. С. Бурлаков
Московская городская клиническая онкологическая больница № 62
Email: info@eco-vector.com
Россия, Москва
И. В. Кузьмин
Московская городская клиническая онкологическая больница № 62
Email: info@eco-vector.com
Россия, Москва
К. К. Пугачев
Московская городская клиническая онкологическая больница № 62
Email: info@eco-vector.com
Россия, Москва
М. И. Попов
Московская городская клиническая онкологическая больница № 62
Email: info@eco-vector.com
Россия, Москва
Список литературы
- Адамян А.А., Романов Ю.В. //Анн. пласт. реконстр. хир. — 1997. — N 1. — С. 32-41.
- Гесс-де-Кальве К.П. //Новый хир. арх. — 1931. — Т. 23, N 1-2. — С. 112-117.
- Дедов В.П. //Врачебная газета. — 1907. — N 5-6. — С. 124-126.
- Зацепин С.Т. //Вестн. хир. — 1981. — Т. 131, N 7. — С. 115—119.
- Смирнов А.В., Соловьев Ю.Н. //Арх. пат. — 1995. — Т. 57, N 1. — С. 16-22.
- Черемушкин Е.А. Опухоли и опухолеподобные заболевания ребер и грудины: Дис. ... канд. мед. наук. — М., 1991.
- Юргелюнас А.А. //Русск. хир. арх. — 1906. — Т. 32, кн. 1-2. — С. 32-38.
- Юрин А.Г., Иванова А.Ю. //Арх. пат. — 1996. — Т. 58, N 4. — С. 69-70.
- Abe S., Park Р., Higaki Sh. et al. //Int. J. Clin. Oncol. — 1998. — Vol.3, N 5. — P. 291-298.
- Askin F.B., Rosai J., Sibley R.K., Dehner L.P., McAllister W.H. //Cancer. — 1979. — Vol. 43. — P. 2438-2443.
- Catalan R.L., Murphy T. //AJR. — 1997. — Vol. 169, N 4. — P. 1201-1202.
- Cavallaro S., Pineschi A., Bardini T. //Med. Pediat. Oncol. — 1993. —Vol. 21, N 9. — P. 629-633.
- Coffin C.M., Dehner L.P. //Pediat. Pathol. — 1989. — Vol. 9, N 4. —P. 387-407.
- Contesso G., Llombart-Bosch A., Terrier Ph. et al. //Cancer. — 1992. —Vol. 62, N 2. —P. 1012-1020.
- Dehner L.P. //Arch. Pathol. Lab. Med. — 1986. — Vol. 110. — P. 997-1005.
- Dehner L.P. //Am. J. Surg. Pathol. — 1993. — Vol.N 1. — P. 1-13.
- Fink I.J., Kurtz D.W., Cazenave L. et al. //AJR. — 1985. — Vol. 145. — P. 517.
- Friemann J., Roessner., Muller K.-M. //Langenbecks Arch. Chir. (Kongressber.). — 1987. — Bd 372. — S. 757.
- Grosfeld J. L., Rescoria F.., West K. W. et al. //J. Pediat. Surg. — 1988. — Vol. 23. — P. 667-669.
- Hedblom C.A. //Arch. Surg. —1921. — Vol. 3. — P. 56-61.
- Howman-Giles R., Uren R.F., Kellie S.J. //J. Nucl. Med. — 1995. — Vol. 36, N 5. — P. 814-816.
- Inada K., Nakahara K., Fujii Y. et al. //J. Jap. Ass. Thorac. Surg. —1994. — Vol. 42. — P. 416-422.
- Jurgens H., Bier V., Harms D. et al. //Cancer. — 1988.— Vol. 6. — P. 349-357.
- Kumar A.P.M., Green A., Smith G.V., Pratt C.B. //5. Pediat. Surg. — 1977. — Vol. 12. — P. 991—999.
- Linnoila R. I., Tsokos M., Triche T.J. et al. //Am. J. Surg. Pathol. — 1986. — Vol. 10. — P. 124-133.
- Neglia J. P., Meadows A. T., Robison L. L. //New Engl. J. Med. — 1991. — Vol. 25. — P. 1330-1334.
- Pairolero P.C., Arnold P.G. //J. Thorac. Cardiovasc. Surg. — 1985. — Vol. 90. — P. 367-372.
- Parikh P.M., Charak B.S., Banavali S.D. et al. //J. Surg. Oncol. —1988. — Vol. 39. — P. 126-130.
- Pers M., Medgyesi S. //Br. J. Plast. Surg. — 1973. — Vol. 26. — P. 313-317.
- Ravinsky E., Safneck J.R., Quinones Q., Yazdi H.M. //Acta Cytol. — 1997. — Vol. 41, Suppl., N4. — P. 1320-1324.
- Sabanathan S., Shah R., Mearns A.J. //EUR. J. Cardiothorac. Surg. — 1997. — Vol. 11, N 6. — P. 1011-1016.
- Sabate J.M., Franquet T., Parellada J.A. et al. //Clin. Radiol. — 1994. — Vol. 49, N 9. — P. 634-638.
- Saifuddin A., Robertson R.J.H., Smith S.E.W. //Clin. Radiol. — 1991. — Vol. 43, N 1. — P. 19-23.
- Sallustio G., Pirronti T., Lasorella A. //Pediat. Radiol.— 1998. — Vol. 28, N 9. — P. 697-702.
- Sarkar M.R., Bahr R. //Chirurg. — 1992. — Bd 63. — S. 973-976.
- Schmidt D., Hernmann C., Jurgens H., Harms D. //Cancer. — 1991. — Vol. 68. — P. 2251-2259.
- Schuck A., Hofmann J., Rube C. et al. //Int. J. Radiol. Oncol. Biol. Phys. — 1998. —Vol. 42, N 5. — P. 1001 - 1006.
- Shamberger R.C., Grier H.E., Weinstein H.J. et al. //Cancer. — 1989. — Vol. 63. — P. 774.
- Silverman J.F., Dabbs D.J., Ganick D.J. et al. //Acta Cytol. — 1988. — Vol. 32. — P. 367-376.
- Wick M.R. //Appl. Pathol. — 1988. — Vol. 6. — P. 169-196.
- Young M.M., Kinsella T.J., Miser J.S. et al. //Int. J. Radiol. Oncol. Biol. Phys. — 1989. — Vol. 16. — P. 49-52.
Дополнительные файлы










