Achillotalar syndrome
- Authors: Mironov S.P.1, Vasiliev D.O.1
-
Affiliations:
- Priorov Central Institute of Traumatology and Orthopedics
- Issue: Vol 1, No 3 (1994)
- Pages: 25-26
- Section: Articles
- Submitted: 17.03.2022
- Accepted: 17.03.2022
- Published: 15.09.1994
- URL: https://journals.eco-vector.com/0869-8678/article/view/105070
- DOI: https://doi.org/10.17816/vto105070
- ID: 105070
Cite item
Full Text
Abstract
The authors have detected and described a syndrome that consisted of pathological functional changes in the posterior segment of the talus coupled with the pathology of the Achilles tendon. That symptomocomplex named as Achillotalar syndrome was diagnosed in 9 patients. All patients were thorouglily examined and treated suigically. As a result, they all reverted to their initial level of professional and physical activity.
Keywords
Full Text
Актуальность проблемы лечения заболеваний ахиллова сухожилия определяется значительной распространенностью их среди спортсменов и артистов балета. Эти заболевания являются полиэтиологичными, в возникновении их играет роль целый ряд факторов. Прежде всего это факторы, приводящие к биомеханическим нарушениям при физических нагрузках [3]. В некоторых исследованиях указывается па наличие анатомических предпосылок, связанных с особенностями кровообращения в этой области [2]. Определенное значение в возникновении заболеваний ахиллова сухожилия имеют сопутствующие деформации костных структур, особенно в месте прикрепления сухожилия к пяточной кости [6].
По нашему мнению, воспалительные и дегенеративные изменения в ахилловом сухожилии могут возникать вторично, как следствие патологической функциональной перестройки заднего отростка таранной кости. Наиболее часто эти изменения развиваются у артистов балета, имеющих увеличенный задний отросток таранной кости (отросток Stieda) или треугольную кость (ostrigonum), являющуюся неслившимся вторичным ядром окостенения [4, 5]. В процессе профессиональной деятельности происходит травматизацию этих образований и развивается патологическая функциональная перестройка заднего отростка таранной кости или талярный компрессионный синдром [1]. Нередко при этом в патологический процесс вовлекается расположенное в непосредственной близости сухожилие длинного сгибателя I пальца. Однако ни в одном из доступных нам литературных источников не представлено данных, указывающих на возможность последующего развития заболеваний ахиллова сухожилия.
Нами выделен и описан синдром, заключающийся в сочетании патологической функциональной перестройки заднего отдела таранной кости с патологией ахиллова сухожилия, который мы назвали ахиллоталярным синдромом (АТС). Его развитие связано с особенностями профессиональной деятельности артистов балета и игроков в футбол. У артистов балета это прежде всего длительное пребывание стоп в положении вынужденной подошвенной флексии (на пуантах) во время занятий классическим тайцем. Для игроков в футбол характерна сходная позиция стоп при выполнении ударов по мячу. Наличие этих предрасполагающих факторов, а также, что не менее важно, увеличенного заднего отростка таранной кости (отростка Stieda) приводит к тому, что в момент плантарной флексии стопы задний отросток таранной кости входит в соприкосновение с задним краем большеберцовой кости и верхней поверхностью пяточной кости. Повторяющаяся в течение длительного времени травматизацию приводит к патологической функциональной перестройке заднего отростка таранной косой. В случае продолжения занятий в патологический процесс вовлекаются окружающие ткани: задняя таранно-пяточная связка, задний отдел капсулы голеностопного сустава, а в дальнейшем и ахиллово сухожилие. Возникает симптомокомплекс, характеризующийся сочетанием патологической функциональной перестройки заднего отростка таранной кости с воспалительной и дегенеративной патологией ахиллова сухожилия, — ахиллоталярный синдром.
В клинике спортивной и балетной травмы ІДИТО в период с 1989 по 1993 г. находились на лечении 9 пациентов со сходной клинической картиной (8 мужчин и 1 женщина). Из них 6 были артистами балета и 3 — игроками в футбол. Средний возраст пациентов составил 27,6 года. Большинство из них обратились в клинику с жалобами на боль и припухлость в области ахиллова сухожилия. Четверо танцовщиков и один футболист отмечали дефицит активной тыльной флексии стопы. Длительность заболевания составляла от 0,5 до 3 лет. Все пациенты были детально обследованы. Проводились рентгенологическое, ультразвуковое, радионуклидное исследование, компьютерная томография, а также гистологические исследования.
Клинические проявления у 5 пациентов соответствовали хроническому паратенониту, у 2 они сочетались с ахиллобурситом и еще у 2 — с тендинитом ахиллова сухожилия. При этом патологических изменений сухожилия длинного сгибателя I пальца не было выявлено ни в одном случае.
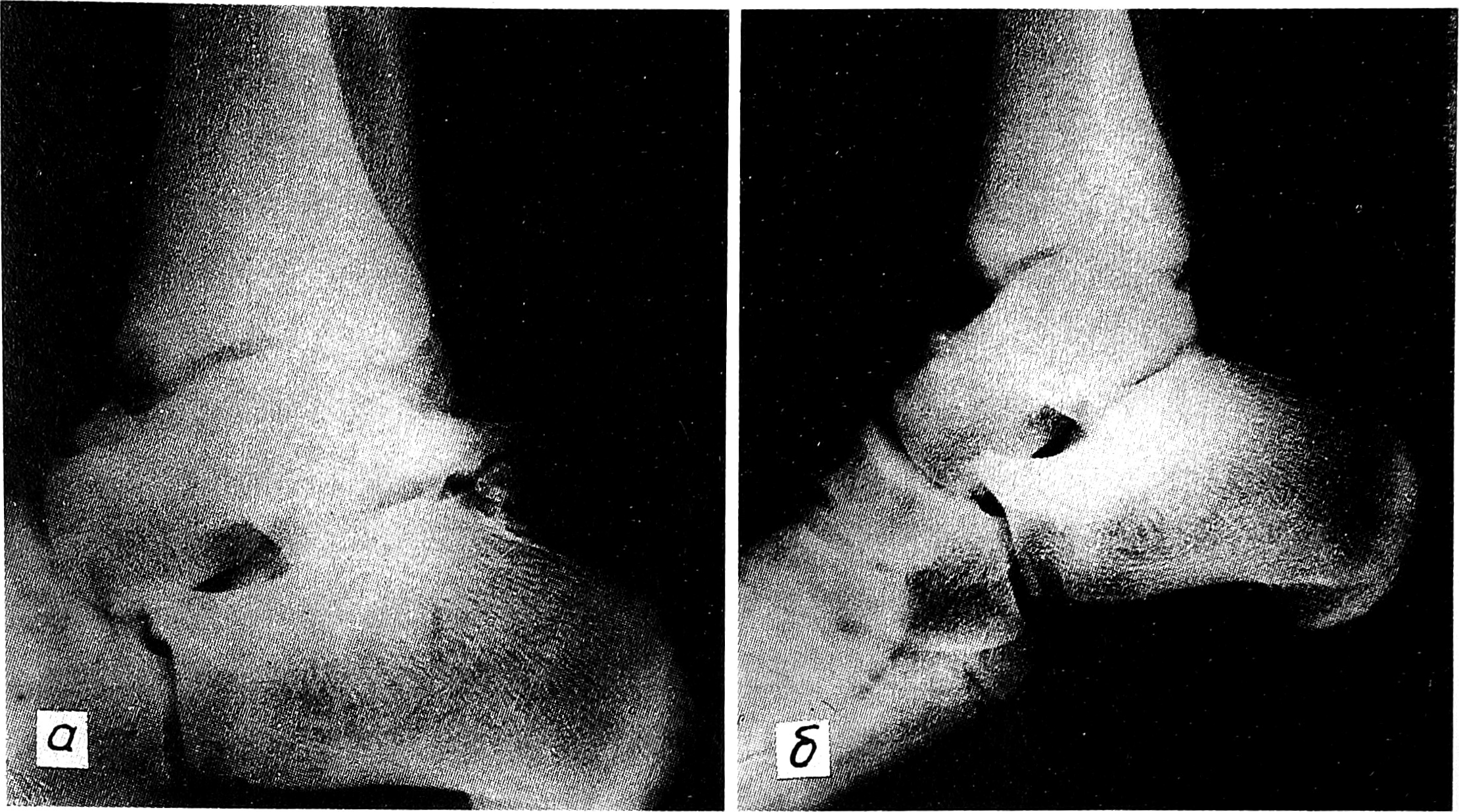
Рентгенография проводилась в боковой проекции, в положении максимального подошвенного сгибания стоп и внутренней их ротации на 30°, что позволяло наилучшим образом вывести на рентгенограммах задний отдел таранной кости. Во всех 9 случаях были выявлены признаки функциональной патологической перестройки заднего отростка таранной кости, выражавшиеся в неравномерности его контуров и наличии линейного разрежения костной структуры в области основания. Вместе с тем мы не исключаем и возможности развитая ахиллоталярного синдрома как следствия наличия треугольной кости. В 3 наших наблюдениях изменения в заднем отделе таранной кости сочетались с оссификацией заднего отдела капсулы голеностопного сустава (см. рисунок на вклейке, а).
Рис. 1. Рентгенограммы голеностопного сустава (боковая проекция) больного с ахиллоталярным синдромом.
а — до операции: патологическая функциональная перестройка заднего отростка таранной кости в сочетании с оссификацией заднего отдела капсулы голеностопного сустава; б — после оперативного лечения (резекции патологически измененного заднего отростка таранной кости и иссечения оссификатов).
Компьютерная томография и ультразвуковое исследование выявили патологические изменения как в ахилловом сухожилии (гипертрофия паратенона, очаги дегенерации и оссификации, неоднородность структуры сухожилия), гак и в области заднего отдела капсулы голеностопного сустава.
При проведении радионуклидного исследования с 99mТс наблюдалась гиперфиксация радиофармпрепарата в области заднего отдела таранной кости. В 5 случаях, когда длительность заболевания составляла менее 1 года, радионуклидное исследование позволяло выявить усиление кровотока в области ахиллова сухожилия по сравнению со здоровой конечностью. У 4 пациентов с продолжительностью заболевания более 1 года отмечалось снижение кровотока в этой области.
Всем пациентам проводилось оперативное лечение, заключавшееся в резекции измененного заднего отростка таранной кости, иссечении оссификатов заднего отдача капсулы голеностопного сустава, измененных участков паратенона и синовиальной сумки ахиллова сухожилия (см. рисунок, б). Кроме того, у 2 больных, у которых на операции были выявлены большие участки дегенерации ткани сухожилия, произведено их иссечение с замещением дефектов лоскутами из апоневроза икроножной мышцы.
При гистологическом исследовании резецированных фрагментов задних отростков обнаружено разрастание волокнистой соединительной ткани, рассасывание костных балок, замещение компактной кости жировой тканью. Морфологические изменения паратенона были представлены соединительнотканной пролиферацией, очагами некроза и облитерацией сосудов. В 2 случаях в иссеченных участках ахиллова сухожилия определялись признаки фибриноидной дегенерации.
При оценке результатов лечения мы учитывали клинические данные (наличие или отсутствие боли и отека в области ахиллова сухожилия, объем движений в голеностопном суставе), а также показатели ультразвукового исследования в динамике. У 7 пациентов результат был расценен как хороший — все они восстановили прежний уровень физической и профессиональной активности в течение 2—3 мес после операции. У 2 больных отмечен удовлетворительный результат — у них сохранялись ограничение активного тыльного сгибания стопы, припухлость мягких тканей в области операции, а также, по данным ультразвукового исследования, неоднородность сухожильной ткани и парасухожильный отек. Однако и эти 2 больных к концу 6-го месяца после операции приступили к занятиям балетом и спортом. Отдаленные результаты были прослежены на протяжении 2 лет с момента операции: констатировано полное восстановление функции и отсутствие жалоб.
Итак, выявлено 9 случаев, в которых имело место сочетание патологической функциональной перестройки заднего отростка таранной кости с воспалительными и дегенеративными изменениями ахиллова сухожилия. Наличие во всех этих случаях единых этиологических предпосылок, а также сходство патогенетических факторов и клинических проявлений позволило нам выделить данный симптомокомплекс и назвать его ахиллоталярным синдромом.
About the authors
S. P. Mironov
Priorov Central Institute of Traumatology and Orthopedics
Author for correspondence.
Email: info@eco-vector.com
Russian Federation, Moscow
D. O. Vasiliev
Priorov Central Institute of Traumatology and Orthopedics
Email: info@eco-vector.com
Russian Federation, Moscow
References
Supplementary files



