Surgical treatment of post-traumatic instability of the shoulder joint in athletes
- Authors: Orletskiy A.K.1, Timchenko D.O.1, Gordeev N.A.1, Zharikov V.A.1, Kozlova E.S.1, Krylov S.V.1
-
Affiliations:
- N.N. Priorov National Medical Research Center
- Issue: Vol 29, No 1 (2022)
- Pages: 5-18
- Section: Clinical case reports
- Submitted: 22.03.2022
- Accepted: 28.06.2022
- Published: 15.03.2022
- URL: https://journals.eco-vector.com/0869-8678/article/view/105227
- DOI: https://doi.org/10.17816/vto105227
- ID: 105227
Cite item
Abstract
BACKGROUND: Surgical treatment of post-traumatic instability of the shoulder jointinvolves the use of various surgical techniques: open Latarjet procedure, Bristow–Latarjet operation, which was first performed in Russia at CITO named after N.N. Priorov, the founder of the clinic for sports and ballet trauma, Professor Zoya S. Mironova, also use soft tissue stabilization with anchors, etc. However, in recent years, the Latarjet arthroscopic operation has become a priority choice in the treatment of post-traumatic instability of the shoulder joint.
AIM: To improve the results and reduce the frequency of postoperative complications, reduce the time of surgical intervention, as well as evaluate the technical difficulties, nuances and improve the surgical technique when performing the arthroscopic Latarjet procedure in professional athletes and amateurs with post-traumatic defects of the shoulder joint.
MATERIALS AND METHODS: During the period from 2015 to 2021, 50 Latarjet arthroscopic procedure were performed in athletes with post-traumatic defects of the glenoid cavity of the scapula.
RESULTS: To improve postoperative results, during the Latarjet arthroscopic operation, when positioning the bone autograft, we focused on the 5 o’clock in the anterior inferior section of the glenoid cavity of the scapula, which allowed us to maintain the range of motion, namely abduction, flexion and external rotation and bring it almost to the previous level in 96% of patients, the pain syndrome also regressed to 0.8±0.21 points. Fixation of the capsular-ligamentary apparatus exarticularly allowed to reduce the likelihood of relapse, fracture of the bone autograft, and the development of deforming osteoarthritis of the shoulder joint in the near future.
CONCLUSIONS: The arthroscopic Latarjet procedure in the treatment of post-traumatic injuries of the shoulder joint is gaining popularity due to the fact that, using low-traumatic approaches, it is possible to correctly position the bone autograft on the anterior-inferior region of the articular surface of the scapula, without subsequent restrictions on the functional component of the shoulder joint.
Full Text
The treatment of post-traumatic dislocation of the shoulder joint with damage to the glenoid cavity of the scapula is relevant nowadays, as it usually involves representatives of high performance sport and active physical activity at the amateur level. The shoulder joint is important to athletes in contact sports (wrestling, combat sambo, boxing, and mixed martial arts) as they experience heavy loads during training and sparring. Athletes of team sports (basketball, volleyball, gymnastics, and athletics) associated with throwing elements (hammer, javelin, discus throwing, and shot-put) are also at risk. In this category, the position of the hands is overhead, thereby increasing the risk of shoulder joint injury. In the mechanism of post-traumatic injuries among professional athletes, those with Bankart injuries (even those with a bone defect) represent about 78%. Moreover, those leading an active lifestyle (fitness, dancing, skating, and skiing) and are prone to injuries in the shoulder joint represent about 42%; in the course of examination, a deficiency of bone mass is detected in 22% of cases, due to a fracture of the articular surface of the scapula [32]. Workers (those below 30 years old) tend to have the greatest injuries in the area of the shoulder joint. The most common (96%–98% of cases) of them is an anterior dislocation of the humeral head, leading to chronic instability in 45%–50% of cases, pain, and decreased range of motion [1–4].
Damage in the antero-inferior portion of glenoid cavity often leads to a post-traumatic instability of the shoulder joint, affecting over 25% of the articular surface, causing it to possess an inverted pear-shaped. This causes the joint to be unstable, manifested by a dislocation of the humeral head during abduction and external rotation. Thus, surgery is required to resolve this post-traumatic pathology [3, 15, 17].
In the treatment of chronic post-traumatic instability of the shoulder joint, the Latarjet surgery is increasingly used. It consists of transferring bone autograft into the antero–inferior portion of glenoid cavity to reduce the bone defect and increase the articular circumference of the scapula [7, 14].
For the past 5 years, the arthroscopic technique of the Latarjet surgery has gained preeminence, and more surgeons are getting acquainted with the technique. According to various sources, the prevalence of redislocations after this technique is 4.1%. Moreover, an insignificant decrease in the amplitude of motion (abduction, external rotation, and flexion) to 168º (with a norm of 180º), and an early course of functional and restorative treatment prompts the choice of this technique. However, it can cause postoperative complications such as neurogenic deficiency, infection, and osteoarthritis [5, 27].
Arthroscopic Latarjet surgery is indicated in the treatment of post-traumatic injuries of the shoulder joint in the following cases:
- deficiency of bone tissue in the antero-inferior section of the scapular glenoid cavity;
- unsatisfactory condition of the ligamentous apparatus (hypermobility of the joints, dysplasia, and other hereditary disorders of the ligamentous apparatus);
- with revision stabilization (recurrent instability during soft tissue stabilization);
- practicing extreme sports (mountaineering, rafting, and kitesurfing) involving huge loads on the shoulder joint.
The Latarjet surgery solves several key tasks described by D. Patte and J. Debeyre [13, 20]:
- the articular surface of the scapula increases;
- a dynamic muscle-tendon “loop” effect is created due to the active tension of the tendons of the short head of the biceps, coracohumeral muscle, and lower third of the subscapular muscle, leading to stabilization of the shoulder joint during external rotation with abduction.
Thus, we aimed at performing a comprehensive assessment of postoperative outcomes, the time of surgical intervention, technical difficulties and peculiarities in performing the arthroscopic Latarjet surgery in athletes with post-traumatic defects of the shoulder joint.
MATERIALS AND METHODS
We enrolled patients according to the following criteria:
- deficiency of bone mass of the articular surface of the scapula of 25% or more (degree 3);
- deficiency of bone mass from 15% to 25% (degree 2) in adolescents and children practicing sports involving huge loads on the shoulder joint (contact, extreme sports, and sports involving arms overhead);
- damage to the articular surface of the scapula and humeral head (Hill–Sachs injury) with a decrease in bone mass of more than 3 cm × 3 cm.
From 2015 to 2021, 50 Latarjet arthroscopic surgeries were performed, including 38 (76%) men. The mean age of the patients was 32.2±4.3 years. The average duration of the surgery was 144.1±12.2 min from surgery 1 to surgery 28; a reduction in duration was noted from surgery 29, with a time interval of 118.5±11.6 min. Time was noted from the installation of the posterior diagnostic port till application of the last suture; data was recorded in the surgery protocol and the anesthetic management sheet.
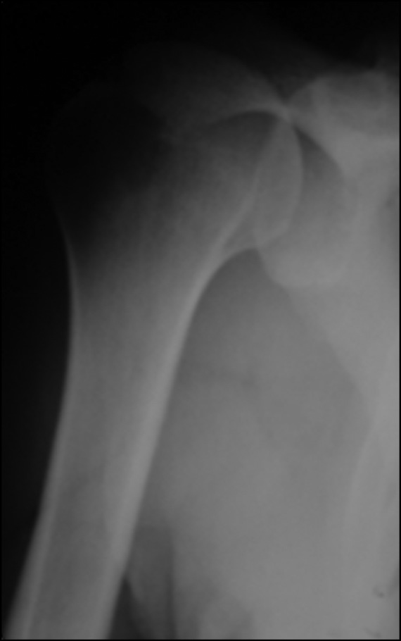
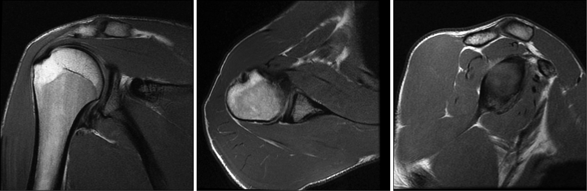
All patients underwent a thorough preoperative clinical examination, magnetic resonance imaging (Fig. 1), computed tomography (Fig. 2), and radiography of the shoulder joint in the antero-posterior, West Point and Stryker views (Fig. 3) [17, 24].
Fig. 1. Magnetic resonance imaging of the shoulder joint with glenoid deficiency.
Fig. 2. 3D reconstruction of a Bankart bone lesion with a defect on the articular surface of the scapula in the antero-inferior section.
Fig. 3. Radiography of the shoulder joint before arthroscopic Latarjet surgery.
To assess the state of the shoulder joint, the Shoulder Assessment form of the American Shoulder and Elbow Surgeons (SSI-ASES), the University of California – LosAngeles (UCLA) Shoulder Scale, and the Constant Shoulder Score (CS) were used. Moreover, a visual analog scale (VAS) was used to assess the intensity of pain, the DASH questionnaire to further examine the extent of disability according to the International Classification of Functioning, Disabilities and Health (ICF), and a scale for assessing disorders of the upper limb according to the ICF and isokinetic muscle testing [5, 6, 9].
In the preoperative period, the VAS was 1.4±0.53 points, the SSI-ASES scale dysfunction was 3.6 points (excellent joint function was estimated at 10 points), the CS scale revealed a difference of 38.7 points between the affected and intact joints, considered as an unsatisfactory indicator by C. Constant [18, 22, 23].
When implementing the diagnostic technique, they considered defects in the articular surface of the scapula, options for its compensation, and the shape of the coracoid process. This was done to determine the level of osteotomy and fixation in the anterior–inferior part of the scapular cavity (Fig. 1) [21, 24].
According to the aforementioned findings (as evidenced by E. Hohmann et al.), the arthroscopic technique of the Latarjet surgery is the technique of choice as the recurrence rate with arthroscopy is 2.6% lower. According to A. Hardy et al., a decrease in pain by 1.2±1.7 points during a 3-year follow-up was noted for arthroscopy as opposed to 1.8±2.3 points using open Latarjet surgery, contributing to an earlier start of rehabilitation therapy [18, 19, 25, 26].
The arthroscopic technique involves technical difficulties such as a smaller viewing angle (thereby increasing the risk of damage to the neurovascular formations), and difficulty in the bone autograft and its fixation in the antero-inferior articular surface of the scapula. However, in P. Boileau revealed that correct positioning of the bone block was achieved in 91% of cases; medial and lateral displacement was noted in 6% and 2% of cases, respectively. Besides, in most patients, it is possible to retain the bone graft in the antero-inferior zone the articular cavity of the scapula using the Latarjet technique [5, 18, 19].
Ethical committee: The protocol was approved by the LEC of the N.N. Priorov National Medical Research Center of Traumatology and Orthopedics of the Ministry of Health of Russia No. 2 dated 03/10/2022.
Execution technique
The complexity of arthroscopic Latarjet surgery consists of the peculiarities of the technique, as well as the rationale and effective anesthetic support required during surgery. Most shoulder joint surgeries are performed under general and regional anesthesia of the brachial plexus. This provides an adequate level of analgesia in the perioperative period, thereby permitting a comfortable working condition for the surgeon, and achieving a psychological and physical comfort for the patient throughout the surgery [1, 28, 29].
Most shoulder joint surgeries are performed in the beach chair position. Thus, the anesthesiologist must conduct modern perioperative monitoring, including cerebral oximetry (an objective indicator of brain perfusion) [3]. In many countries, this method is included in the standard for arthroscopic surgery. The use of cerebral oximetry improves the safety of anesthetic support and prevents neurological complications [30, 31].
Providing favorable conditions for imaging during shoulder arthroscopy is possible if hemodynamic parameters are normally maintained. This reduces local tissue bleeding during intraarticular manipulations, improves the quality of the surgery, and reduces the duration of surgery. Certainly, low blood pressure causes a decrease in oxygen delivery to the brain, leading to hypoperfusion and an increased risk of neurological deficit in patients with atherosclerotic changes. Thus, cerebral oximetry is the “gold standard” for preventing acute cerebrovascular accident during surgery of the shoulder joint in the beach chair position [32].
In this study, we divided the arthroscopic Latarjet surgery into 5 stages:
In Stage 1, the standard posterior port was installed. Moreover, the defect of the glenoid cavity and the humeral head were assessed for the presence of Hill-Sachs damage. To mobilize the joint capsule and expand the safe rotator interval, an anterior port was placed between the tendons of the long head of the biceps and the subscapular muscle using a guide needle (Fig. 4).
Fig. 4. Determining the access point to install an anterior port with a needle.
Then, the joint capsule was mobilized, the rotator interval was widened using a shaver and a coblator, degenerative areas of the articular lip and the acromioclavicular ligament were resected in the anterior–inferior section through the 5 o’clock position (Fig. 5).
Fig. 5. Treatment of a safe rotatory interval with a shaver and coblator: a — access implementation; b — mobilization of the capsule and expansion of the rotator interval.
In Stage 2, the arthroscope was transferred to the anterior port, and the main nerves (n. axillaris and n. musculocutaneus) were visualized (Fig. 6). The area of damage to the articular surface of the scapula and the lower edge of the coracoid process were decorticated until pinpoint bleeding appeared (Fig. 7), thereby reducing the risk of bone autograft splitting during its collection, and increasing the contact area, congruence between the cavity of the scapula and the coracoid process (Fig. 8).
Fig. 6. Isolation of the axillary nerve (n. axillaris).
Fig. 7. Treatment of the coracoid process using a drill.
Fig. 8. Treatment of the articular surface of the scapula: a — treatment of the anterior-lower section using a coblator; b — use of a rasp in the antero-inferior glenoid region.
At the Stage 3, under arthroscopic control of the musculocutaneous nerve, a split was formed in the tendon of the subscapularis muscle strictly parallel to the course of the fibers at the border of the middle and lower thirds using a coblator. Next, the Wilmington port was installed and the wires were passed using a double-barrel guide marked α and β, strictly parallel to the vertical axis along the midline of the coracoid process (Fig. 9).
Fig. 9. Conducting the wires in the coracoid process: a — installation of the guide pin; b — conduction of the guidewires.
Using the installed guide pins, channels for the sleeves were formed with a three-level drill, thereby reducing the probability of splitting the coracoid process during osteotomy (Fig. 10). Two cannulated sleeves were placed into these channels using a guide (Fig. 11).
Fig. 10. Preparation of channels for guide sleeves in the coracoid process: a — formation of channel No. 1 using a guide pin; b — drilling channel No. 2 for the guide sleeve.
Fig. 11. Installation of sleeves in the coracoid process.
Stage 4 included osteotomy of the autograft using a curved chisel, followed by chipping with a drill (Fig. 12).
Fig. 12. Osteotomy using a curved gouge.
Considering the fact that the resection of the coracoid process in 50% of cases is accompanied by profuse bleeding, a De Puy Mitek HEALIX 5.5 Awl/Tap 222224 tap (De Puy Synthes, USA) was installed in the remaining part of the coracoid process to ensure hemostasis at the surgery sites by means of compression of the spongy bone. Moreover, it was possible to maneuver the coracoid process using a lever during the surgery for accurate positioning of the coracoid autograft toward the scapula surface.
Stage 5 included installation of a low posterolateral port. Moreover, an anterior port was formed through a split in the subscapular muscle using a retractor in a 5 o’clock position in the area of the pectoral muscle, followed by fixation with 2 Latarjet Experience screws (Medos International SARL, Switzerland) (Fig. 13).
Fig. 13. Transposition of a bone autograft: a — positioning moment; b — final fixation of the bone block.
The capsular-ligamentary apparatus was fixed anterior to the bone autograft in an extra-articular manner. This reduces the amount of friction between it and the humeral head, and the probability of a redislocation and fracture of the bone autograft.
The postoperative management included antibacterial, analgesic, and anti-inflammatory therapy. The operated limb was fixed in a Deso type bandage for a period of four weeks.
RESULTS
Correct placement of an autograft is the key to a successful treatment in post-traumatic instability of the shoulder joint; it prevents recurrent dislocations and the development of osteoarthritis. There are different opinions about the bone block position; Nourissat et al. concluded that when positioning the graft, it is necessary to focus at the 4 o’clock position, while Lafosse et al. deduced that the 3 to 5 o’clock position also prevents anterior displacement of the humeral head and minimizes the probability of redislocation [8, 10].
The average duration of in-hospital admission was 7±1 days, and at the time of discharge, postoperative sutures in all patients had no signs of inflammation. The operated limb was fixed with a Deso type bandage.
For postoperative assessment, we used the aforementioned scales (Table 1).
Table 1. Comparative assessment of the shoulder jointint
Estimation scale (points) | Dynamic assessment of scale indicators before and after arthroscopic Latarjet surgery | ||
Before surgery | 1 month after surgery | 6 months after surgery | |
SSE-ASES | 76,9±3,7 | 81,2±3,1 | 93,4±2,1 |
UCLA | – | 18,3±2,9 | 29,3±1,32 |
CS | 38,7±4,1 | 20,6±2,8 | 11,2±1,4 |
ВАШ | 1,4±0,53 | 1,04±0,3 | 0,8±0,21 |
Note: SSE-ASES — Shoulder Assessment form American Shoulder and Elbow Surgeons; UCLA — the University of California – Los Angeles Shoulder Scale; CS — Constant Shoulder Score; VAS — visual analog scale.
In the course of treatment, an ICF evaluation scale (from 0 to 5 points) was also used (Table 2).
Table 2. Rating scale of the International Classification of Functioning, Disability, and Health
Sign characteristics | Before surgery | After 1 month | 6 months after surgery |
Assessment of the current general health | 2±0,37 | – | – |
Assessment of general health after treatment | – | 2±0,24 | 0 |
The need to use means of additional fixation | 2±0,47 | 3±0,39 | 0 |
Passive range of motion testing (goniometry) | 2±0,5 | 3±0,51 | 1±0,44 |
Active range of motion testing | 2±0,58 | 3±0,53 | 1±0,41 |
Manual muscle testing | 2±0,34 | 3±0,49 | 0±0,48 |
Testing spatial coordination of movements (accuracy of movement in space) | 1±0,51 | 3±0,51 | 0±0,46 |
Muscle strength testing (dynamometry) | 2±0,31 | 3±0,52 | 1±0,54 |
Testing the functional setting of a limb segment | 2±0,27 | 3±0,57 | 1±0,44 |
Limb edema testing | 1±0,32 | 2±0,54 | 0 |
Muscle elasticity testing | 2±0,44 | 3±0,52 | 1±0,39 |
Testing the circumference of a limb segment (gradient of the circumference of both limbs) | 2±0,51 | 3±0,57 | 1±0,53 |
Joint stability testing | 3±0,52 | 0 | 0 |
Testing the ability to correct actively the limb deformity | 1±0,47 | – | – |
In instrumental studies, the optimal position of the bone block according to imaging was noted in 48 (96%) patients (Fig. 14), the medialized position of the bone autograft was registered in 1 (2%) patient, and the lateral position in 1 (2%) patient. No recurrent dislocations were observed following the correct location of the bone block in the lower third, at the 5 o’clock position,. In a patient with a medial position of the bone block, 1 dislocation of the shoulder joint was noted during the year, without a fracture of the bone autograft.
Fig. 14. X-ray images 4 weeks after arthroscopic Latarjet surgery.
A five-year follow-up revealed an osteoarthritis in 1 patient with lateralized fixation of the autograft, while the opposite joint experienced degenerative changes. Therefore, the development of arthrosis is seldom associated with the bone block position.
We noted a traction damage to the axillary nerve in 1 patient (2%). The management was tackled in a multidisciplinary manner (neurologists, specialists in functional diagnostics, and doctors in exercise therapy (ET)). As a result, the intensity of pain decreased after a three-week therapy. Re-dislocation occurred in 1 patient injury during the training process, 1.4 years after surgery. This was a poor postoperative outcome. No bone lysis or graft fracture was noted during the 5-year follow-up.
At 3, 6 and 12 months post-surgery, a functional assessment of the shoulder joint was performed on an outpatient basis to determine the range of motion. We observed that the range of motion was restored almost to the initial level; abduction was 169.8±3.1°, external rotation was 162.9±2.4°, and flexion in the frontal plane was 171.1±1.7° (Fig. 15).
Fig. 15. Functional state of the shoulder joint after arthroscopic Latarjet surgery.
During this period, rehabilitation measures such as exercise therapy, position treatment, hydrokinesitherapy, magnetotherapy (in the early postoperative period), electrical stimulation of the deltoid muscle and short rotators after removal of sutures, and manual massage.
In professional athletes, a return to initial physical state was noted 25±1.3 weeks after completing rehabilitation therapy. Patients leading an active lifestyle (fitness, dancing, and running) could sustain a full load on the shoulder joint with no pain and limitation of movements 28.3±1.4 weeks after surgery.
DISCUSSION
The arthroscopic Latarjet is becoming a choice technique in the treatment of post-traumatic defects of the glenoid cavity of the scapula in athletes, since postoperative outcomes are significantly better than those of open Latarjet surgery. In several studies, the outcome on the UCLA scale after 6 months was 32.5±1.6 points, considered as excellent, and the indicator obtained in our case (29.3±1.3 points) was better than that in the literature.
The versatile assessment of the amplitude of motion in the shoulder joint is noteworthy. After 3, 6, and 12 months, we obtained in 97% of athletes without a history of shoulder joint injuries. Return to the previous level of physical activity after surgery was noted 4–6 months after.
According to Kim et al., postoperative relapses occurred in 5.1% of athletes with post-traumatic pathology. When we used the Latarjet arthroscopic technique, the frequency of re-dislocations within 5 years was 2%, revealing its advantage.
We revealed the location of the bone autograft in 98% of cases using X-ray imaging (radiography, MRI, CT), indicating that Latarjet arthroscopic surgery technique has an edge over others.
Thus, from our postoperative outcomes, we can deduce that this technique should be more developed and its benefits explored by more sophisticated study designs.
CONCLUSION
The arthroscopic Latarjet surgery is gaining preeminence in the treatment of post-traumatic injuries of the shoulder joint over the soft tissue Bankart surgery. This is because it offers the possibility to accurately position the bone autograft on the antero-inferior region of the scapula articular surface without subsequent restrictions of the range of motion of the shoulder joint.
An analysis of patients after arthroscopic Latarjet surgery showed that the range of motion, namely abduction, flexion, and external rotation, was returned almost previous levels in 96% of patients. Pain regressed by 2.8±0.7 points, while residual pain persisted for 6 months in 2 (4%) patients, and decreased after conservative therapy.
A comprehensive assessment of patients showed that Latarjet arthroscopic surgery has a high level of efficiency, especially in athletes performing contact sports, gymnastics, volleyball, basketball, water polo. Moreover, they confer a lower risk of postoperative complications, early functional recovery after surgery and return to previous physical activity. All this reveals this surgical technique is more beneficial over others in the management of shoulder joint injuries.
ADDITIONAL INFO
Authors contribution. Thereby, all authors made a substantial contribution to the conception of the work, acquisition, analysis, interpretation of data for the work, drafting and revising the work, final approval of the version to be published and agree to be accountable for all aspects of the work.
Funding source. Not specified.
Competing interests. The authors declare that they have no competing interests.
About the authors
Anatoliy K. Orletskiy
N.N. Priorov National Medical Research Center
Email: nova495@mail.ru
MD, Dr. Sci. (Med.), traumatologist-orthopedist
Russian Federation, MoscowDmitriy O. Timchenko
N.N. Priorov National Medical Research Center
Author for correspondence.
Email: d.o.Timchenko@mail.ru
SPIN-code: 6626-2823
MD, Cand. Sci. (Med.), traumatologist-orthopedist
Russian Federation, MoscowNikolay A. Gordeev
N.N. Priorov National Medical Research Center
Email: nikolas095@mail.ru
traumatologist-orthopedist
Russian Federation, MoscowVladislav A. Zharikov
N.N. Priorov National Medical Research Center
Email: vladislav.zharikov1996@yandex.ru
resident
Russian Federation, MoscowElena S. Kozlova
N.N. Priorov National Medical Research Center
Email: elenako352@gmail.com
physiotherapist
Russian Federation, MoscowSergey V. Krylov
N.N. Priorov National Medical Research Center
Email: doc087@inbox.ru
MD, Cand. Sci. (Med.), anesthesiologist
Russian Federation, MoscowReferences
- Mironova ZS, Merkulova RI, Bogutskaya EV, Badnin IA. Perenapryazhenie oporno-dvigatel’nogo apparata u sportsmenov. Moscow: Fizkul’turai sport; 1982. P. 96–114. (In Russ).
- Krylov SV, Pasechnik IN, Orletskiy AK, Timchenko DO. Safety of patients in the beach chair position during arthroscopic surgeries on the shoulder joint: current state of the problem. Kremlevskaya meditsina. Klinicheskii vestnik. 2021;(2):43–49. (In Russ). doi: 10.26269/zv03-0r16
- Dokolin SYu, Kislitsyn MA, Bazarov IS. Arthroscopic technique of bone autografting of glenoid cavity defects in patients with recurrent anterior instability of the shoulder. Travmatologiya i ortopediya Rossii. 2012;(3):77–82. (In Russ).
- Belyak EA, Kubashev AA, Lazko FL, et al. Opyt primeneniya ope-ratsii Latarzhe dlya lecheniya patsientov s peredneinestabil’nost’yu plechevogo sustava. Travmatologiya i ortopediya Rossii. 2014;(3):115–121. (InRuss).
- Vetoshkin AA, Goncharov EN, Aghamalyan HH, Diachkov DV. Arthroscopic Latarjet procedure: optimized surgical technique. Kafedra travmatologii I ortopedii. 2021;(2):22–29. (In Russ). doi: 10.17238/issn2226-2016.2021.2.22-29
- Boileau P, Mercier M, Old J. Arthroscopic Bankart Bristow-Latarjet procedure: how to do it and tricks to make it easier and safe. Orthop Clin North Am. 2010;41(3):381–392. doi: 10.1016/j.ocl.2010.03.005
- Allain J, Goutallier D, Glorion C. Long-term results of the Latarjet procedure for the treatment of anterior instability of the shoulder. J Bone Joint Surg Am. 1998;80(6):841–852. doi: 10.2106/00004623-199806000-00008
- Kany J, Flamand O, Grimberg J, et al. Arthroscopic Latarjet procedure: is optimal positioning of the bone block and screws possible? A prospective computed tomography scan analysis. J Shoulder Elbow Surg. 2016;25(1):69–77. doi: 10.1016/j.jse.2015.06.010
- Lafosse L, Boyle S. Arthroscopic Latarjet procedure. J Shoulder Elbow Surg. 2010;19(2 Suppl):2–12. doi: 10.1016/j.jse.2009.12.010
- Mizuno N, Patrick J, Denard PJ, et al. Long-term results of the Latarjet procedure for anterior instability of the shoulder. J Shoulder Elbow Surg. 2014;23(11):1691–1699. doi: 10.1016/j.jse.2014.02.015
- Nourissat G, Delaroche C, Bouillet B, et al. Optimization of bone-block positioning in the Bristow-Latarjet procedure: a biomechanical study. Orthop Traumatol Surg Res. 2014;100(5):509–513. doi: 10.1016/j.otsr.2014.03.023
- Amstutz HC, Sew Hoy AL, Clarke IC. UCLA anatomic total shoulder arthroplasty. Clin Orthop Relat Res. 1981;(155):7–20.
- Feleus A, Bierma-Zeinstra SM, Miedema HS, et al. Incidence of non-traumatic complaints of arm, neck and shoulder in general practice. Man Ther. 2008;13(5):426–433. doi: 10.1016/j.math.2007.05.010
- Ebrahimzadeh MH, Birjandinejad A, Razi S, et al. Oxford shoulder score: a cross-cultural adaptation and validation study of the Persian version in Iran. Iran J Med Sci. 2015;40(5):404–410.
- Patte D, Bernageau J, Bancel P. The anteroinferior vulnerable point of the glenoid rim. In: Surgery of the shoulder. New York: Marcel Dekker; 1985. P. 94–99.
- Lee G, Busfield T, Carrillo M, et al. The supraspinatus distension sign: an indicator of supraspinatus integrity. Arthroscopy. 2009;25(6):617–619. doi: 10.1016/j.arthro.2008.11.009
- Auffarth A, Schauer J, Matis N, et al. The J-bone graft for anatomical glenoid reconstruction in recurrent posttraumatic anterior shoulder dislocation. Am J Sports Med. 2008;36(4):638–647. doi: 10.1177/0363546507309672
- Yamamoto N, Muraki T, Sperling JW, et al. Stabilizing mechanism in bone-grafting of a large glenoid defect. J Bone Joint Surg Am. 2010;92(11):2059–2066. doi: 10.2106/JBJS.I.00261
- Burrus C, Deriaz O, Luthi F, Konzelmann M. Role of pain in measuring shoulder strength abduction and flexion with the Constant-Murley score. Ann Phys Rehabil Med. 2017;60(4):258–262. doi: 10.1016/j.rehab.2016.09.005
- Bliven KCH, Parr GP. Outcomes of the Latarjet procedure compared with Bankart repair for recurrent traumatic anterior shoulder instability. J AthlTrain. 2018;53(2):181–183. doi: 10.4085/1062-6050-232-16
- Boileau P, Thelu CE, Mercier N, et al. Arthroscopic Bristow-Latarjet combined with Bankart repair restores shoulder stability in patients with glenoid bone loss. Clin Orthop Relat Res. 2014;472(8):2413–2424. doi: 10.1007/s11999-014-3691-x
- Patte D, Bernageau J, Rodineau J, Gardes JC. Unstable painful shoulders. Rev Chir Orthop Reparatrice Appar Mot. 1980;66(3):157–165. (In French).
- Thamyongkit S, Wanitchanont T, Chulsomlee K, et al. The University of California-Los Angeles (UCLA) shoulder scale: translation, reliability and validation of a Thai version of UCLA shoulder scale in rotator cuff tear patients. BMC Musculoskelet Disord. 2022;23(1):65. doi: 10.1186/s12891-022-05018-0
- Tie TA, Hong CK, Chua I, et al. The Chinese version of the American shoulder and elbow surgeons standardized shoulder assessment form questionnaire, patient self-report section: a cross-cultural adaptation and validation study. BMC Musculoskelet Disord. 2021;22(1):382. doi: 10.1186/s12891-021-04255-z
- Coyner KJ, Arciero RA. Shoulder instability: anterior, posterior, multidirectional, arthroscopic versus open, bone block procedures. Sports Med Arthrosc Rev. 2018;26(4):168–170. doi: 10.1097/JSA.0000000000000211
- Hohmann E, Tetsworth K, Glatt V. Open versus arthroscopic surgical treatment for anterior shoulder dislocation:a comparative systematic review and meta-analysis over the past 20 years. J Shoulder Elbow Surg. 2017;26(10):1873–1880. doi: 10.1016/j.jse.2017.04.009
- Hardy A, Sabatier V, Laboudie P, et al. Outcomes after Latarjet procedure: patients with first-time versus recurrent dislocations. Am J Sports Med. 2020;48(1):21–26. doi: 10.1177/0363546519879929
- Bishop JY, Sprague M, Gelber J, et al. Interscalene regional anesthesia for shoulder surgery. J Bone Joint Surg Am. 2005;87(5):974–979. doi: 10.2106/JBJS.D.02003
- Chahal J, Marks PH, Macdonald PB, et al. Anatomic Bankart repair compared with nonoperative treatment and/or arthroscopic lavage for first-time traumatic shoulder dislocation. Arthroscopy. 2012;28(4):565–575. doi: 10.1016/j.arthro.2011.11.012
- Moerman AT, De Hert SG, Jacobs TF, et al. Cerebral oxygen desaturation during beach chair position. Eur J Anaesthesiol. 2012;29(2):82–87. doi: 10.1097/EJA.0b013e328348ca18
- Songy CE, Siegel ER, Stevens M, et al. The effect of the beach-chair position angle on cerebral oxygenation during shoulder surgery. J Shoulder Elbow Surg. 2017;26(9):1670–1675. doi: 10.1016/j.jse.2017.03.018
- Khiami F, Gérometta A, Loriaut P. Management of recent first-time anterior shoulder dislocations. Orthop Traumatol Surg Res. 2015;101(1 Suppl):S51–57. doi: 10.1016/j.otsr.2014.06.027
Supplementary files

















