Surgical treatmant of scoliosis using frame design
- Authors: Shevchenko S.D.1, Mezentsev A.A.1, Demchenko A.V.1
-
Affiliations:
- Kharkiv Institute of Orthopedics and Traumatology. M.I. Sitenko
- Issue: Vol 4, No 3 (1997)
- Pages: 40-45
- Section: Original study articles
- Submitted: 04.06.2022
- Accepted: 04.06.2022
- Published: 29.07.1997
- URL: https://journals.eco-vector.com/0869-8678/article/view/108547
- DOI: https://doi.org/10.17816/vto108547
- ID: 108547
Cite item
Full Text
Abstract
Surgical treatment results of 56 patients with dysplastic scoliosis of IV degree were analysed. Follow up period ranged from 1 to 6.5 years (mean 4.3 years). In all cases the posterior approach was used. In 22 patients (1st group) two distraction rods, similar to Harrington’s ones, were placed along both sides of the curvature, fixed to the posterior vertebral elements using end hooks and tightened between each other by wires. Posterior spondylodesis was performed using cortical allografts. In 24 patients (2nd group) and 10 patients (3rd group) the distraction rods were connected to each other by stiff transverse stays. In the 2nd group the posterior spondylodesis was performed with allografts, in the 3rd group - iliac bone autografts. No principal difference in the volume of surgical correction was noted in those groups but in the 3rd group the surgical correction was slightly higher. Operative correction loss was the highest in the 1st group (main curvature - 71%, pathologic rotation - 100%) and in the 3rd group the operative correction loss was the lowest one (25% and 80%, respectively). Authors explained those results by the advantages of stiff implanted design and the more fast reconstruction of the autografts. Authors consider that the indication to use this method is scoliosis with the 50 -70° deformity and mobile main curvature arch.
Full Text
Для получения оптимального анатомо-физиологического результата при хирургическом лечении сколиотических деформаций необходимо выполнение следующих условий:
- достижение максимально возможной коррекции всех компонентов искривления позвоночника во время оперативного вмешательства;
- обеспечение формирования надежного спондилодезного блока;
- обеспечение максимального сохранения достигнутой операционной коррекции в отдаленном послеоперационном периоде;
- точная центрация туловища над тазом во время операции;
- сохранение физиологических кривизн позвоночника.
Для выполнения этих условий разработано большое число оперативных вмешательств с использованием разнообразных имплантируемых устройств. Одни хирурги [2—4] отдают предпочтение операциям на переднем отделе позвоночника с применением конструкций, позволяющих обеспечить коррекцию бокового искривления и деротацию позвоночника, формирование межтелового спондилодеза. В зависимости от локализации вершины искривления выполнение этих операций требует трансторакального, забрюшинного или комбинированного доступа к телам позвонков. Фиксация имплантируемой конструкции к телам позвонков осуществляется при помощи спонгиозных винтов, проводимых во фронтальной плоскости каждого позвонка с учетом ротационного компонента, что требует значительного обнажения передних элементов позвонков. Применение таких методик позволяет получить хорошие результаты [5, 6]. К их недостаткам можно отнести тяжесть операции для пациента, возможность сосудистых осложнений и спаечного процесса в забрюшинном пространстве, формирование вторичного кифоза, сглаживание физиологических кривизн позвоночника, тяжесть повторных оперативных вмешательств для замены или удаления имплантированных конструкций.
Другие авторы [1, 7—9] используют методики оперативного лечения сколиоза из заднего доступа, предусматривающие коррекцию искривления позвоночника и формирование заднего спондилодеза с применением рамочных полисегментарных деротационных конструкций. Эти конструкции состоят из двух корригирующих стержней, соединяющихся между собой двумя поперечными стяжками, и опорных элементов в виде крюков, используемых преимущественно в грудном отделе позвоночника, а также транспедикулярных винтов, используемых в поясничном отделе. Конструктивные особенности имплантируемого устройства позволяют производить компрессию или дистракцию в любом отделе «инструментируемого» участка в зависимости от типа сколиоза, деротацию позвоночника на вершине искривления. Моделирование корригирующих стержней дает возможность сохранить физиологические кривизны позвоночника, что благоприятно сказывается на внешнем виде пациента. Задний доступ к позвоночнику менее сложен и легче переносится больными, число осложнений при данном виде операций невелико и они сводятся в основном к переломам опорных элементов позвонков во время коррекции искривления и транзиторным нарушениям функции спинного мозга. Жесткость конструкции позволяет отказаться от внешней фиксации гипсовыми или жесткими съемными корсетами в послеоперационном периоде, что значительно облегчает физическую и социальную реабилитацию больных.
Материал и методы исследования.
Нами изучены результаты оперативного лечения 56 больных диспластическим сколиозом IV степени, находившихся в клинике детской ортопедии ХНИИОТ в период с 1991 по 1997 г. Средний срок наблюдения за пациентами в послеоперационном периоде составил 4,3 года (от 1 года до 6,5 лет). Все больные в зависимости от вида примененной имплантируемой конструкции и способа выполнения заднего спондилодеза разделены на три группы:
- - я группа — два дистракционных стержня типа Харрингтона располагались с обеих сторон искривления позвоночника и фиксировались к задним элементам позвонков при помощи крюков на концах, а между собой соединялись проволочными стяжками; задний спондилодез выполнялся с использованием консервированных кортикальных аллотрансплантатов;
- - я группа — в отличие от 1-й группы, дистракционные стержни соединялись между собой жесткими поперечными стяжками; задний спондилодез выполнялся с использованием аллотрансплантатов;
- - я группа — имплантируемая конструкция была идентична таковой во 2-й группе; задний спондилодез выполнялся с применением аутотрансплантатов из крыла подвздошной кости.
Некоторые клинические данные, характеризующие анализируемый контингент больных, представлены в табл. 1.
Таблица 1. Характеристика клинического материала
Показатель | Группа больных | ||
1-я | 2-я | 3-я | |
Число больных | 22 | 24 | 10 |
Средний возраст, лет | 13,4 | 13,6 | 14,3 |
Пол (Ж/М) | 21/1 | 23/1 | 10/0 |
Вид (локализация) сколиоза: | |||
грудной | 14 | 17 | 8 |
поясничный | 3 | 4 | 1 |
комбинированный | 5 | 3 | 1 |
Направление основного искривления: | |||
вправо | 21 | 23 | 10 |
влево | 1 | 1 | 0 |
Тип искривления по King: | |||
1 | 2 | 3 | 0 |
2 | 4 | 1 | 1 |
3 | 7 | 12 | 5 |
4 | 8 | 8 | 4 |
5 | 1 | 0 | 0 |
Тест Риссера* | 2,3 | 2,7 | 4 |
Величина основного искривления, град.* | 82 | 76,5 | 68,5 |
Величина патологической ротации, град.* | 35 | 34 | 27 |
Степень декомпенсации пр/лев, см* | пр 4,2 | пр 3,8 | пр 2,9 |
* Приведены средние величины.
Оперативные вмешательства выполнялись следующим образом. Из заднего доступа выделяли остистые отростки, дути и поперечные отростки позвонков, участвующих в искривлении позвоночника. С вогнутой стороны искривления верхний крюк устанавливали под суставной отросток позвонка, расположенного на один сегмент выше нейтрального, с выпуклой — под суставной отросток нейтрального позвонка. При установке крюков в поясничном отделе придерживались следующего правила: если имелся позвонок, расположенный в горизонтальной плоскости, то оба крюка устанавливали на его дуги с обеих сторон; если позвонок L5 имел наклон в сторону выпуклости основного искривления, то с вогнутой стороны крюк устанавливали на дугу L4, а с выпуклой — на дугу L5 или крестец. Крюки соединяли между собой временными дистракторами, при помощи которых осуществляли коррекцию деформации.
Таблица 2. Результаты оперативного лечения
Показатель* | Группа больных | ||
1-я | 2-я | 3-я | |
Параметры искривления после оперативного вмешательства: | |||
основное искривление, град. | 40 | 32 | 28 |
патологическая ротация, град. | 28 | 27 | 23 |
декомпенсация, см | пр 1,2 | пр 1 | пр 0,5 |
Величина операционной коррекции: | |||
основного искривления, | 42 | 44,5 | 40,5 |
град. | (51%) | (58%) | (59%) |
патологической ротации, | 7 | 7 | 5 |
град. | (20%) | (21%) | (19%) |
декомпенсации, см | 3 | 2,8 | 1,0 |
| (71%) | (74%) | (55%) |
Величина потери операционной коррекции: | |||
основного искривлеления, | 30 | 21 | 10 |
град. | (71%) | (47%) | (25%) |
патологической ротации, | 7 | 6 | 4 |
град. | (100%) | (86%) | (80%) |
декомпенсации, см | 1,5 | 1,0 | 0,7 |
| (50%) | (36%) | (43%) |
* Приведены средние величины показателей.
Затем производили декортикацию задних элементов позвонков, артродезирование дугоотростчатых суставов в поясничном отделе позвоночника, резекцию поперечных отростков по вогнутой стороне искривления и остеотомию их по выпуклой, тенолигаментокапсулотомию по Шулутко. По мере выполнения мобилизирующих манипуляций производили дополнительную коррекцию искривления. Затем устанавливали стержни постоянных дистракторов, причем при установке стержня с выпуклой стороны искривления давлением стержня на вершину искривления достигалась дополнительная коррекция во фронтальной плоскости. После того как стержни приводили в напряженное состояние путем вращения гаек, их фиксировали между собой проволочными швами или жесткими резьбовыми поперечными стяжками. Временные дистракторы демонтировали. В 1-й и 2-й группах больных использовали кортикальные аллотрансплантаты в виде полос по 2—3 мм, которые укладывали после подготовки ложа в паравертебральные зоны вокруг конструкции. В 3-й группе из отдельного разреза обнажали заднюю поверхность крыла подвздошной кости и с помощью долота брали кортикально-губчатые трансплантаты, которые укладывали в паравертебральные зоны, перекрывая задние элементы позвонков. Устанавливали трубчатые дренажи и рану послойно ушивали. Средняя величина кровопотери составляла 500 мл. После заживления раны больных постепенно поднимали на ноги и разрешали ходить. Для внешней иммобилизации использовали полу- жесткий корсет типа Цукермана в течение 1,5 лет после операции.
Результаты и обсуждение.
При изучении результатов лечения учитывали степень операционной коррекции деформации позвоночника, степень ее сохранения в течение всего послеоперационного периода, а также влияние различных факторов на величину потери операционной коррекции. В первых двух группах больных отдаленными считали результаты в сроки более 2 лет после оперативного вмешательства, в 3-й группе — более 1 года.
При сопоставлении результатов оперативного лечения в выделенных группах больных (табл. 2) можно отметить, что величина достигнутой операционной коррекции искривления позвоночника была наибольшей в 3-й группе (хотя различия между всеми группами не носят кардинальный характер). С нашей точки зрения, это связано с большей жесткостью конструкции за счет применения резьбовых поперечных стяжек и с меньшей величиной искривления позвоночника в данной группе больных.
Потеря операционной коррекции оказалась самой значительной в 1-й группе и наименьшей — в 3-й. Мы объясняем это действием различных факторов на течение послеоперационного процесса. Если принять во внимание возраст пациентов, степень их полового созревания и показатель теста Риссера, по которым можно с определенной вероятностью судить о созревании скелета, то выявляется следующая закономерность. При выполнении операции у пациентов с незаконченным ростом позвоночника наблюдается наибольшая потеря операционной коррекции. Это объясняется, с одной стороны, снижением корригирующих усилий имплантированной конструкции, а с другой — тем, что после спондилодезирования задних структур позвоночника появляется разница в росте его передних и задних структур. Это приводит к тому, что растущие с прежней скоростью тела позвонков ротируются вокруг спондилодезированных задних структур позвоночника в выпуклую сторону.
Клинический пример.
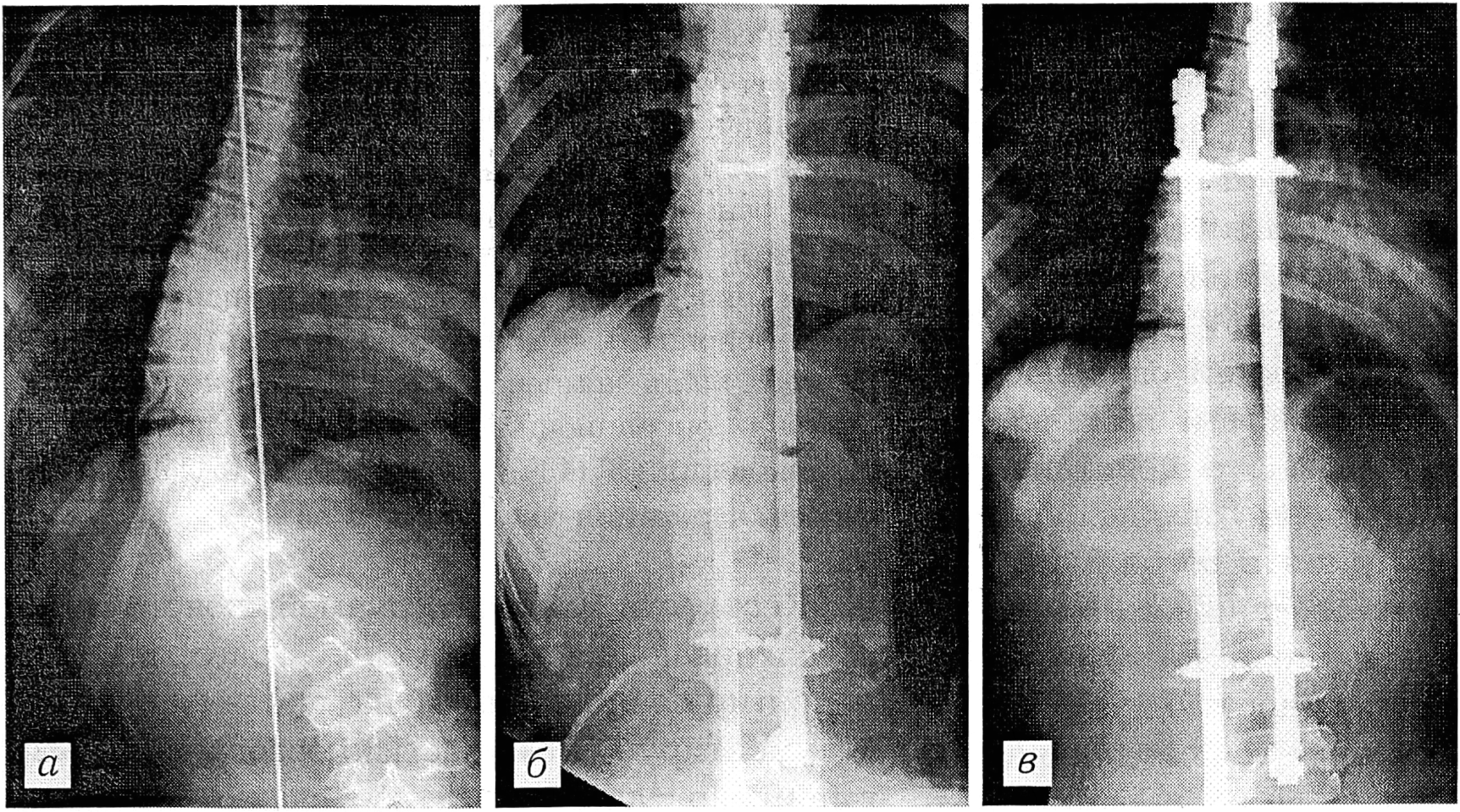
Больная С.,12 лет, диагноз: правосторонний грудной диспластический сколиоз IV степени,3 тип по King. Вторичные половые признаки выражены слабо, месячные отсутствуют, тест Риссера 0. Величина основного искривления 110°, патологическая ротация 50°, декомпенсация туловища вправо 33 мм (рис. 1, а). Произведена операция: коррекция искривления позвоночника рамочной конструкцией, задний спондилодез аллотрансплантатами. После операции величина основного искривления 62°, патологическая ротация 50°, декомпенсация туловища влево 20 мм (рис. 1, б). Через 2 года после операции величина основного искривления 88°, патологическая ротация 60°, декомпенсации туловища нет (рис. 1, в). Степень операционной коррекции основной дуги искривления 48° (48%), потеря ее 26° (54%). Патологическая ротация увеличилась на 10°.
Рис. 1. Рентгенограммы больной С. до операции (а), непосредственно после операции (б) и спустя 2 года (в).
Жесткость имплантируемой конструкции, обеспечивающая равномерное распределение корригирующих усилий на протяжении «инструментируемого» участка позвоночника, благоприятно сказывается на течении послеоперационного процесса и снижает степень потери операционной коррекции.
Чем больше была величина основного искривления до операции, тем значительнее оказывалась потеря операционной коррекции. Наилучшие результаты получены при оперативной коррекции сколиотических деформаций, составлявших 50—70°, с мобильной основной дугой искривления.
Вид заднего спондилодеза также влияет на течение послеоперационного периода. В 1-й и 2-й группах больных, где спондилодез производился с использованием аллотрансплантатов, отмечалась более значительная потеря операционной коррекции, причем пик этого процесса приходился на период от 1 до 2 лет после операции. С нашей точки зрения, это объясняется тем, что перестройка консервированных трансплантатов происходит на протяжении 2—2,5 лет, а значит, созревание спондилодезного блока растягивается на такой же период. Это приводит к тому, что к концу 1-го года после операции спондилодезный блок остается незрелым и не может в полной мере выполнять свою роль в опорной функции позвоночника. Поскольку система «конструкция-позвоночник» находится в условиях гравитации, вокруг крюков имплантированной конструкции наступает резорбция костной ткани, что приводит к пенетрации последних сквозь опорные структуры позвонков и к потере операционной коррекции. Таким образом, скорость созревания спондилодезного блока значительно влияет на результат оперативного лечения.
В 3-й группе для заднего спондилодеза использовались аутотрансплантаты. Потеря операционной коррекции здесь была существенно меньше и происходила преимущественно в течение 1-го года после оперативного вмешательства. Это объясняется тем, что аутотрансплантаты перестраиваются за 6—12 мес. Созревание спондилодезного блока в течение года и способность его принять на себя осевую нагрузку влечет за собой снижение усилий в области крюков и приводит к уменьшению резорбции костной ткани вокруг них, что в свою очередь уменьшает потерю операционной коррекции.
Клинический пример. Больная О.,14 лет, вторичные половые признаки выражены достаточно, месячные регулярные, тест Риссера 4. Диагноз: правосторонний грудопоясничный диспластический сколиоз II степени, тип 4 по King. До операции величина основного искривления 58°, патологическая ротация 35°, декомпенсация туловища 40 мм вправо (рис. 2, а). Произведена операция: коррекция искривления позвоночника рамочной конструкцией, задний спондилодез аутотрансплантатами по Геле- Уитмену. После операции величина основного искривления 20°, патологическая ротация 25°, декомпенсации туловища нет (рис. 2, б). Через 1 год после операции величина основного искривления 26°, патологическая ротация 26°, декомпенсации туловища нет (рис. 2, в). Операционная коррекция основного искривления 38° (65,5%), патологической ротации 10° (27%), декомпенсации туловища 40 мм (100%). Потеря операционной коррекции основного искривления 6° (15,7%), патологической ротации 1° (3,4%), декомпенсации туловища 0.
Рис. 2. Рентгенограммы больной О. до операции (а), непосредственно после операции (б) и спустя 1 год после операции (в).
Заключение
Использование представленной рамочной конструкции при оперативном лечении сколиотических деформаций позволяет получить лучшие анатомо-функциональные результаты. Выполнение оперативного вмешательства предпочтительно в условиях законченного или заканчивающегося роста позвоночника. Увеличение жесткости имплантируемого устройства и равномерное распределение корригирующих усилий вдоль «инструментируемого» участка позвоночника уменьшает потерю операционной коррекции. Показаниями к применению описанной методики являются сколиотические деформации в 50— 70° с мобильной основной дутой искривления. Предпочтителен задний спондилодез с использованием кортикально-губчатых аутотрансплантатов. Относительная дешевизна представленной конструкции по сравнению с зарубежными образцами позволяет рекомендовать ее для широкого применения.
About the authors
S. D. Shevchenko
Kharkiv Institute of Orthopedics and Traumatology. M.I. Sitenko
Author for correspondence.
Email: info@eco-vector.com
Russian Federation, Kharkiv
A. A. Mezentsev
Kharkiv Institute of Orthopedics and Traumatology. M.I. Sitenko
Email: info@eco-vector.com
Russian Federation, Kharkiv
A. V. Demchenko
Kharkiv Institute of Orthopedics and Traumatology. M.I. Sitenko
Email: info@eco-vector.com
Russian Federation, Kharkiv
References
Supplementary files




