Lumbosacral pain in athletes and ballet dancers: spondylolysis and spondylolisthesis. Conservative treatment
- Authors: Mironov S.P.1, Cykunov M.B.1, Burmakova G.M.1, Andreev S.V.1
- 
							Affiliations: 
							- National Medical Research Center of Traumatology and Orthopedics N.N. Priorov
 
- Issue: Vol 27, No 1 (2020)
- Pages: 11-18
- Section: Articles
- Submitted: 01.04.2020
- Accepted: 01.04.2020
- Published: 01.04.2020
- URL: https://journals.eco-vector.com/0869-8678/article/view/25880
- DOI: https://doi.org/10.17816/vto202027111-18
- ID: 25880
Cite item
Full Text
Abstract
The aim of the study was to develop an algorithm for conservative treatment of lumbosacral pain syndrome (PCBS) caused by spondylolysis in athletes and ballet dancers.
Materials and methods. The study included 212 patients — athletes and ballet dancers with PCBS caused by spondylolysis (171 people) and grade I–II spondylolisthesis (41 people) of the lumbar vertebrae. Clinical, neurological, and X-ray studies, ultrasonography, computed tomography, scintigraphy, functional testing, as well as markers of bone resorption (calcium in urine) and bone formation (alkaline phosphatase) were performed.
Results. All patients underwent conservative treatment: functional therapy, physiotherapy, ozone and drug therapy. Functional rehabilitation treatment included three stages: 1 — relief of pain; 2 — restoration of support ability and stability of the spine; 3 — restoration of special motor skills. As a result of treatment, the functional parameters of the muscles stabilizing the spine improved (tone, contractile activity, bioelectric parameters), and the muscle imbalance was eliminated. After treatment, in radiographs, in most cases, a defect was observed in the arch of the vertebra, but it was much smaller in width and did not affect professional performance. Complete restoration of the bone structure in the area of the arc defect was observed only with acute pathology, complete cessation of sports load and a long (1 year or more) sparing regimen (9 people). Excellent and good results were obtained in 171 (80.7%) patients, satisfactory — in 36 (16.9%) patients. Five (2.4%) patients with spondylolisthesis were not able to continue their professional activities, the result of conservative treatment was regarded as unsatisfactory. Three of them were subsequently underwent surgical treatment.
Conclusion. The development of an individual program of conservative rehabilitation treatment for athletes and ballet dancers with spondylolysis and grade I and II spondylolisthesis, adequate and timely use of rehabilitation features lead to eliminating muscle imbalance and strengthening muscle corset. This, in turn, will contribute to the relief of pain, restoration of professional performance, prevention of progression of the area of bone reconstruction of the vertebral arches and spondylolisthesis
Keywords
Full Text
При выявлении у спортсмена или артиста балета спондилолиза и спондилолистеза I—II степени в поясничном отделе позвоночника, лечение, согласно данным литературы, должно быть консервативным [1—6]. Все авторы являются сторонниками длительного ношения специальных ортезов, другие же аспекты консервативного лечения спортсменов и артистов балета, как правило, остаются без должного внимания
Цель настоящего исследования — разработка алгоритма консервативного лечения пояснично-крестцового болевого синдрома (ПКБС), обусловленного спондилолизом и спондилолистезом I—II степени, у спортсменов и артистов балета.
Материал и методы исследования и результаты исследований пациентов со спондилолизом и спондилолистезом представлены в предыдущих публикациях [7, 8].
РЕЗУЛЬТАТЫ
В основе программы восстановительного лечения спортсменов и артистов балета с болевым синдромом на фоне спондилолиза и спондилолистеза лежит индивидуальный подход. Учитывается многообразие факторов: возраст и пол пациента, продолжительность болевого синдрома, степень нестабильности, выраженность отраженных болей, а также вид профессиональной деятельности [9].
Всем пациентам проводилось консервативное лечение, которое включало в себя комплекс мероприятий: методы функциональной терапии, физиопроцедуры, озоно и лекарственную терапию.
Функциональное восстановительное лечение включало три этапа:
- купирование болевого синдрома;
- восстановление опороспособности и стабильности позвоночника;
- восстановление специальных двигательных навыков.
Целью 1 этапа лечения являлось уменьшение болевого синдрома за счет расслабления мышц спины и, тем самым, улучшения микроциркуляции в пораженном сегменте. При этом использовались средства, способствующие расслаблению паравертебральных мышц: термотерапия, сегментарный массаж, поверхностный ручной массаж, способствующий расслаблению, постизометрическая релаксация. Ортопедический режим разгрузки позвоночника осуществлялся с помощью корсета типа «Ленинградский» или пояснично-крестцового ортопедического пояса. Иммобилизацию поясничного отдела позвоночника продолжали не больше 7 дней во избежание прогрессирования мышечной гипотрофии. Для получения болеутоляющего, противоотечного противовоспалительного эффекта применялась магнитотерапия, импульсные токи. Добавлялись анальгетики, сосудистые препараты (трентал). Нестероидные противовоспалительные препараты применялись не более 5 дней во избежание их нежелательного влияния на костеобразование. При нарушениях кальций-фосфорного обмена у больных со спондилолизом назначались препараты, содержащие активную форму витамина D (D3) — оксидевит, аквдетрим или альфа-ГХ-тева, препараты кальция. Дозировка препаратов определялась индивидуально в зависимости от результатов биохимического исследования. В среднем, суточная доза витамина D составила 750 мг, препаратов кальция — 1—1,5 г. На фоне медикаментозной коррекции у части пациентов минеральный обмен нормализовался через 2—3 мес. Лечение нарушений обмена кальция и фосфора проводилось длительно, включая и период возвращения к активным занятиям с периодическим лабораторным контролем и коррекцией лекарственных препаратов и их дозировки.
Целью 2 этапа являлось повышение стабильности позвоночника и его выносливости к физическим нагрузкам. На этом этапе использовались специальные упражнения активного характера, выполняемых в изометрическом режиме для укрепления мышц спины и брюшного пресса в исходных положениях лежа на спине на наклонной плоскости, в положении полуприседания, лежа на животе, в положении седа на пятках, упражнения на растяжение и расслабление задней группы мышц бедра, электростимуляция мышцстабилизаторов позвоночника, массаж мышц спины и брюшной стенки.
На завершающем этапе лечение направлено на стабилизацию позвоночника за счет улучшения функционального состояния мышц, участвующих в его движениях. Это необходимо для создания условий меньшей статической и динамической нагрузки на позвоночник, поскольку лишь синергизм мышц спины и брюшного пресса обеспечивает устойчивость и равновесие позвоночного столба, нормальное положение центра тяжести тела, уменьшение нагрузки на позвоночник при подъеме тяжестей и естественных движениях. На этом этапе использовались специальные упражнения в изометрическом режиме, способствующие укреплению мышц спины и брюшного пресса, укрепляющий массаж, электростимуляция мышц.
Помимо этого, для поддержания профессиональной формы назначались специальные двигательные задания, идентичные профессиональным движениям без осевой нагрузки на позвоночник. Например, для артистов балета разработан комплекс специальных упражнений, выполняемых лежа на полу. Со временем они начинали выполнять партерный экзерсис, включающий движения, выполняемые обычно у балетного станка.
Наличие болевого синдрома является показанием для локальной озонотерапии. При этом осуществляются паравертебральные внутримышечные инъекции озоно-кислородной смеси. Обычно вводится по 20,0 (концентрация озона 5 мкг/мл) по обе стороны от позвоночника на уровне пораженного позвонка. После этих инъекций рекомендуется в течение часа умеренная двигательная активность, например, ходьба. В зависимости от выраженности болевого синдрома инъекции газовой смеси производились через день в количестве 3—5. Согласно нашим наблюдениям проведение их возможно на всех этапах лечения болевого синдрома вне зависимости от фазы процесса — обострение или стихающее обострение. Осложнений во время проведения локальной озонотерапии и после нее мы не наблюдали.
Анальгетический эффект локальной озонотерапии обусловлен непосредственным окислением альгопептидов, повышением порога возбудимости мембран болевых рецепторов, блокированием синтеза простагландинов как медиаторов воспаления. Благодаря увеличению тканевой оксигенации усиливается метаболизм и элиминация продуктов, вызывающих активацию болевых рецепторов. Кроме того, в связи с тем, что озоно-кислородная смесь уменьшает спазм паравертебральных мышц, улучшается микроциркуляция.
При обращении в клинику пациента с обострением болевого синдрома, обусловленного спондилолизом, ему предлагалось стационарное лечение на 2—4 нед. Фиксация поясничного отдела позвоночника в пояснично-крестцовом ортопедическом поясе продолжалась в течение 7—10 дней до уменьшения болевого синдрома. В последующем особый акцент был направлен на укрепление мышечного корсета и ликвидацию мышечного дисбаланса.
На всех этапах восстановительного лечения проводится контрольное функциональное исследование (миотонусометрия, мануальное мышечное тестирование, электромиографии).
До лечения отмечен высокий показатель тонуса паравертебральных мышц в покое и резкое падение его при максимальном напряжении. В связи с выраженным болевым синдромом сократительная способность мышц оказалась меньше показателя контрольной группы в 1,53 раза (65,4%). После лечения отмечено уменьшение тонуса в покое и увеличение его при максимальном напряжении. Сократительная способность мышц увеличилась до 94%.
По данным ММТ выявлен дисбаланс мышц сгибателей и разгибателей в сторону преобладания силы мышц-разгибателей. Согласно нашим наблюдениям именно мышечный дисбаланс является одной из главных причин ПКБС у этого контингента больных. После лечения отмечено достоверное увеличение силы сгибателей позвоночника у всех пациентов и приближения коэффициента соотношения сгибатели/ разгибатели к 1 (показателю контрольной группы). По данным электромиографии биоэлектрическая активность паравертебральных мышц достоверно увеличилась у всех пациентов.
Пациенты освобождались от тренировок и репетиций сроком на 3 мес. По истечении этого срока производился контрольный осмотр и контрольные рентгенограммы с функциональными пробами. При отсутствии болевого синдрома и клинико-рентгенологических признаков нестабильности пациент допускался к профессиональным занятиям. В противном случае курс восстановительного лечения продолжался еще в течение 3—6 мес. На рентгенограммах в большинстве случаев прослеживался дефект в дужке позвонка, но уже значительно меньшей ширины и не влиявший на профессиональную работоспособность. Полное восстановление костной структуры в зоне дефекта дуги, то есть полное выздоровление, наблюдалось только при остро возникшей патологии, полном прекращении спортивной нагрузки и длительном (1 год и более) щадящем режиме (9 чел).
Отличный и хороший результат (возобновление профессиональной деятельности при полном отсутствии боли или незначительных болевых ощущениях при выраженных нагрузках), получен у 171 (80,7%) пациентов, удовлетворительный (возникновение болевого синдрома при значительных нагрузках, возобновление профессиональной деятельности, зачастую на более низком уровне) у 36 (16,9%) пациентов. 5 (2,4%) пациентов со спондилолистезом не смогли продолжить профессиональную деятельность, результат консервативного лечения у них расценен как неудовлетворительный. Трое из них в последующем были прооперированы.
Количество пациентов с отличным и хорошим результатом было бы больше, если бы лечение доводилось до конца. При спондилолизе требуется длительный период ограничения от профессиональной нагрузки для регенерации дефекта дужки. Однако эти сроки очень редко соблюдаются самим пациентом или его руководством. Заживление перелома при продолжающейся нагрузке проблематично. Более частым исходом перестроечного процесса дуги позвонка, как показало наше исследование, является образование замыкающей пластины по краям дефекта.
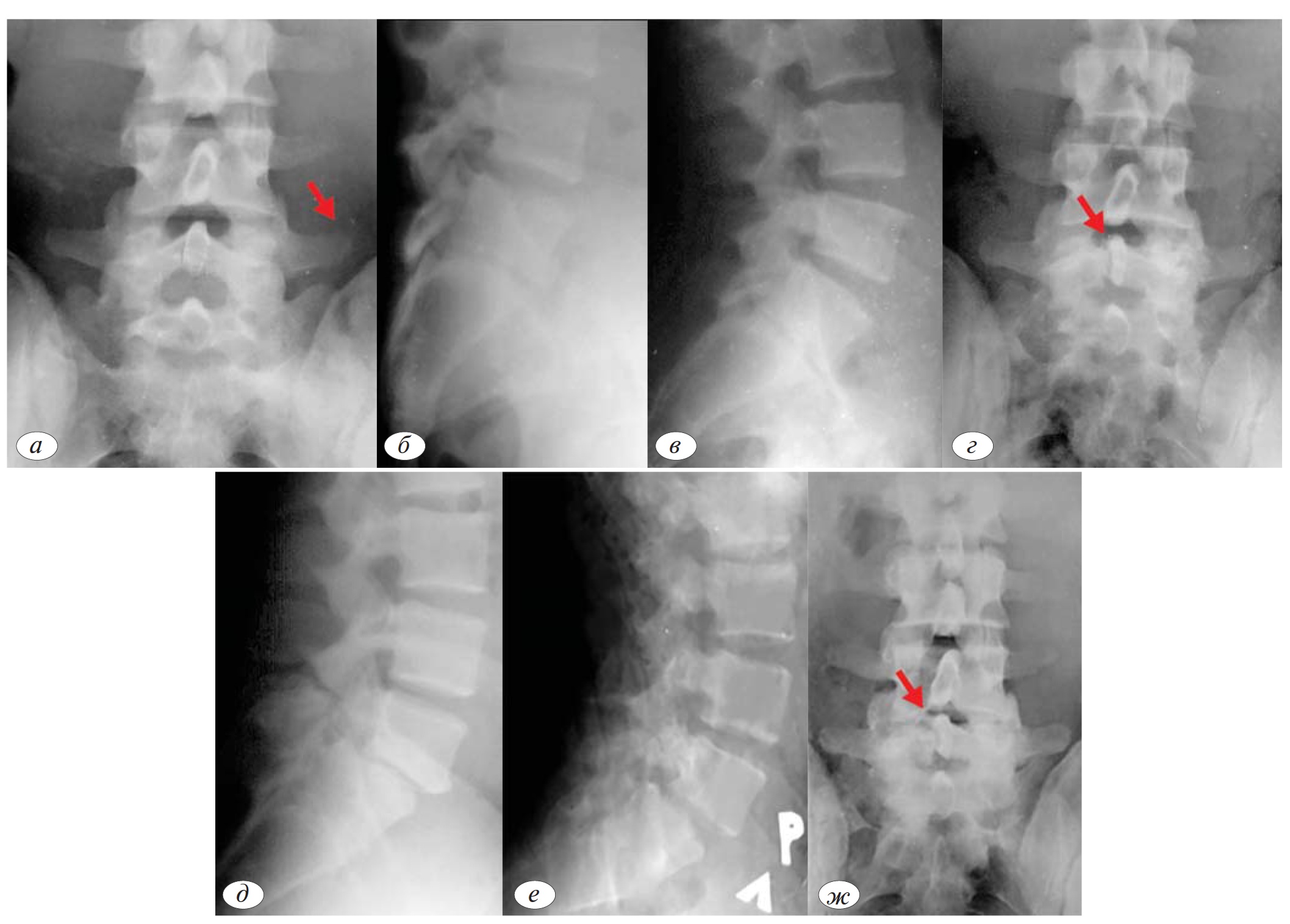
В качестве примера может служить развитие заболевания у больного М., 22 г., солиста балета. Боли в поясничном отделе позвоночника возникли в момент приземления при выполнении прыжков с максимальным разгибанием позвоночника и нижней конечности. После кратковременного консервативного лечения вновь приступил к работе. Через 6 мес в связи с выраженным болевым синдромом обратился в клинику спортивной и балетной травмы ЦИТО, где при рентгенологическом обследовании выявлен спондилолиз позвонка L4 с явлениями нестабильности. При биохимическом исследовании — кальций крови — 2,1 ммоль/л, ЩФ 92 Е/л; кальций мочи 8,2 ммоль/сут. Интенсивность болевого синдрома — 15 баллов. Лечение: ортопедический пояс на 7 дней, НПВП на 5 дней. В остром периоде выполнены 3 инъекции озоно-кислородной смеси в паравертебральные мышцы с двухдневным интервалом. лечебная гимна
стика, направленная на ликвидацию мышечного дисбаланса, 3 курса укрепляющего массажа мышц спины и брюшной стенки по 20 процедур, электростимуляция мышц до 15 процедур, получал Альфа-Г),Тева 0,75 мг ежедневно в течение 12 мес и препараты кальция в суточной дозе 500 мг, сосудистые препараты, витамина группы В. На контрольной рентгенографии, выполненной через 6 мес, отмечено почти полное восстановление дефекта. Интенсивность болевого синдрома к этому времени снизилась до 3 баллов. Больному разрешена профессиональная деятельность (рис. 1 а—ж).
Следующий клинический пример иллюстрирует прогрессирование и, в конечном итоге, стабилизацию патологического процесса.
Рис. 1. Больной М., 22 г, солист балета. а — подобный прыжок — «пусковой механизм» спондилолиза; б, в — через 6 мес после возникновения болевого синдрома — спондилолиз L4 позвонка, нестабильность; г, д — рентгенограммы в 3/4 — двусторонний спондилолиз L4 позвонка; е, ж — ФРИ через 6 мес после начала лечения, частичная регенерация дуги позвонка L4, возобновление профессиональной деятельности.
Пациент Н., ЗМС, многократный чемпион мира и Олимпийских Игр по спортивной гимнастике, член Сборной России. В возрасте 16 лет впервые обратился в клинику спортивной и балетной травмы ЦИТО по поводу пояснично-крестцового болевого
синдрома. Тогда был диагностирован острый спондилолиз L5 позвонка (рис. 2, а—в), проведен курс консервативного лечения. К тренировкам был допущен через 3 мес. В последующем отмечал иногда незначительные боли в поясничном отделе позвоночника при выполнении акробатических элементов. Через 4 года повторная госпитализация в ЦИТО в связи со значительным обострением болевого синдрома. Рентгенологически определялось формирование ложного сустава в области дужки L5 позвонка, спондилолистез L5 с явлениями нестабильности (рис. 2, г—е). Облегчение после курса консервативного лечения. При последнем обследовании через 10 лет со дня первичного обращения. на рентгенограммах отмечается прежняя степень смещения L5 позвонка, но без явлений нестабильности (рис. 2, ж—и). В настоящее время оставил соревновательную деятельность в связи с возрастом.
ОБСУЖДЕНИЕ
Наиболее благоприятным является полное восстановление костной структуры в зоне перестройки, то есть полное выздоровление, которое иногда наблюдается при полном прекращении спортивной нагрузки и длительном щадящем режиме [6, 10, 11].
Рис. 2. Больной Н., ЗМС, спортивная гимнастика, сборная России.Рентгенограммы при первичном обращении в возрасте 16 лет — острый спондилолиз L5 позвонка (а), незначительная нестабильность L5-S1 при ФРИ (б, в); г — формирование ложного сустава в области дужки L5 позвонка через 4 года после первичного обращения; д, е — ФРИ — нестабильность L5-S1, антелистез L5; з, и — рентгенограммы через 10 лет после первичного обращения в возрасте 26 лет — ложный сустав дужки L5 позвонка (ж, стабилизация сегмента L5-S1.
Однако в связи с тем, что спондилолиз возникает в зоне костной перестройки, в большинстве случаев на фоне дисплазии, с возможным смещением фрагментов заживление при продолжающейся нагрузке достаточно проблематично. Кроме того, в зоне спондилолиза зачастую формируется центральная синовиальная полость, окруженная фиброзной или фиброхрящевой тканью различной плотности, соединяющаяся с верхним фасеточным суставом (чаще) этого же позвонка. Это было обнаружено при рентгеноконтрастном исследовании [12, 13] и при оперативных вмешательствах, выполненных по поводу спондилолизного спондилолистеза [14, 15]. Авторы полагают, что именно этим объясняется отсутствие признаков регенерации в зоне спондилолиза, и возникает необходимость в некоторых случаях оперативного вмешательства. И.Л. Тагер, И.С. Мазо [16] в своих наблюдениях также не отметили обратного развития зоны дефекта. Авторы считают, что заживления спондилолиза так же трудно ожидать, как поверить в возможность воссоединения смежных концов дужки в зоне
Spina bifida. На это указывают и L. Wiltse, E. Widell, D. Jackson [17]: спондилолиз имеет тенденцию персистировать, тогда как усталостные переломы других локализаций обычно срастаются путем образования костной мозоли. Однако по данным P. Brukner, K. Bennel, G. Matheson [18] в большинстве случаев при 1 стадии все-таки достигается полное сращение, при 2 стадии — только в половине случаев, В терминальной стадии восстановление дефекта практически невозможно. Вероятность заживления выше при одностороннем дефекте, при дефекте в дуге позвонка L4 по сравнению с дугой позвонка L5 и при расположении дефекта ближе к телу позвонка.
Более частым исходом перестроечного процесса дуги позвонка является стабилизация процесса, выражающаяся в образовании замыкающей пластины по краям дефекта. Согласно данным гистологического исследования ткани из области длительно существующего спондилолиза [10] установлено, что дефект дуги заполнен соединительной тканью, сходной по строению с нормальной связкой. Очевидно, что рубцовая ткань в области перелома дужки под влиянием механической нагрузки матапластически превращается в связку. Обнаруживаемые в ее толще мелкие костные фрагменты также являются свидетельством приобретенного характера спондилолиза как перелома с переходом в ложный сустав. Иммунохимическое исследование выявило наличие невральных элементов в связке и вокруг, что подтверждает предположение, что эта соединительнотканная перемычка может быть источником боли. Были обнаружены тельца Паччини, Гольджи, Руффини, а также тонкие безмиелиновые волокна, отвечающие за ноцицепцию. Степень иннервации была различной у разных пациентов в зависимости от давности дефекта и степени организации этой соединительнотканной перемычки [20].
При хорошей компенсации мышечно-связочного аппарата и отсутствии дегенеративных изменений межпозвонковых дисков, эта фаза довольно долго может обеспечить устойчивое функциональное благополучие. При нагрузках, превышающих компенсаторные возможности, происходит развитие дегенеративно-дистрофического процесса в соответствующем межпозвонковом диске. Основываясь на изучении отдаленных результатов наблюдения больных со спондилолизом в сроки до 45 лет W. Beutler и соавт. [21], обнаружили, что односторонний спондилолиз не приводит к спондилолистезу, смещение позвонка кпереди характерно для юных спортсменов 9—13 лет с двусторонним спондилолизом, активно занимающихся спортом. Исходя из этих данных, становится важным своевременное и адекватное лечение одностороннего спондилолиза. В противном случае при продолжающихся нагрузках может возникнуть стрессовый перелом контралатеральной дуги, что значительно повышает риск развития спондилолистеза. По окончании роста позвонка скорость смещения уменьшается, что обусловлено дегенерацией межпозвонкового диска и фасеточных суставов [18, 22, 23].
При выявлении у спортсмена или артиста балета спондилолиза и спондилолистеза I—II степени в поясничном отделе позвоночника, лечение, согласно данным многих авторов, должно быть консервативным [1—6].
При определении лечебной тактики при спондилолизе J. Dubousset [24] считает необходимым учитывать величину люмбосакрального угла и степень переднего смещения. Люмбосакральный угол между L5 позвонком и задней стенкой крестца измеряется в градусах кифоза. Для измерения выбирается верхний край L5 позвонка в связи с тем, что при явлениях дисплазии у пациентов нижняя пластинка закруглена. В норме этот угол равен 90—110°. Если он меньше 90° крестец считается вертикальным, если более 100° — горизонтальным. При вертикальном крестце деформация всегда прогрессирует и люмбосакральный угол увеличивается со временем. При горизонтальном крестце деформация зачастую не прогрессирует. В этих случаях рекомендуется консервативное лечение: разгрузка, отдых, ортезы, гимнастика. После купирования болевого синдрома ортез снимается и возобновляется нормальная двигательная активность. Рентгенологическое обследование показано ежегодно для выявления признаков прогрессирования. При отсутствии эффекта от консервативного лечения рекомендуется хирургическое вмешательство.
Для прогнозирования исхода весьма полезны данные сцинтиграфии [25]. При отрицательной сцинтиграмме рентгенологически определяемый дефект дуги позвонка является старым, затянувшимся фиброзной тканью. При наличии дефекта и положительной сцинтиграфии речь идет о недавнем повреждении и достаточно активном метаболизме, следовательно, о благоприятных условиях для регенерации.
По мнению И.М. Митбрейта [26] целью консервативного лечения при спондилолизе и спондилолистезе является:
- устранение поясничных и иррадиирующих болей, а также явлений вторичного пояснично-крестцового радикулярного синдрома;
- стабилизация или возможно реституция дефекта в межсуставной части дужки, создание условий, предупреждающих развитие или прогрессирование спондилолистеза;
- восстановление профессиональной работоспособности.
При обнаружении спондилолиза у спортсмена или артиста балета в подростковом возрасте ограничение значительной активности в большинстве случаев могут способствовать заживлению стрессового перелома [14, 27—29]. Фиксация поясничного отдела позвоночника осуществляется корсетом или антилордотическим брейсом сроком на 3—6 мес [6, 29]. M. Steiner, I. Micheli [30] сообщили о рентгенологических признаках сращения у 18% из 67 пациентовартистов балета с симптоматическим спондилолизом и спондилолистезом I степени путем применения Бостонского ортеза. Он устанавливается на 0° лордоза для разгрузки задних элементов и уменьшения режущих сил. Ортез смоделирован таким образом, что боковые отделы туловища свободны для большей подвижности и занятий лечебной гимнастикой. Пребывание в ортезе — до 23 ч в сутки. Во время его ношения осуществляется укрепление мышц живота, и производятся растягивающие упражнения для задней группы мышц бедра.
M. Sinaki и соавт. [31] в результате консервативного лечения пациентов с симптоматическим спондилолизом и применения различных методик тренировок — укрепление сгибателей или разгибателей, пришли к выводу, что при данной патологии предпочтительны упражнения на усиление сгибателей. В связи с этим T. Morita и соавт. [4] предложили вариант фиксирующего ортеза, ограничивающего разгибание и позволяющего производить сгибание позвоночника. S. Paris [32] же, наоборот, рекомендует для восстановления мышечного баланса при спондилолизе выполнение упражнений для укрепления мышц спины и осторожное растягивание m.iliopsoas.
После уменьшения боли разрешаются упражнения на поясничное сгибание и укрепление мышц живота без ортеза [33, 34]. Нагрузки постепенно увеличиваются, пределом являются болевые ощущения. При отсутствии боли и наличии положительной рентгенологической динамики возможно постепенное освобождение от ортеза, но не раньше, чем через 4 мес после начала лечения. Продолжительность пребывания в ортезе уменьшается постепенно на 1 ч в неделю. Возвращение к активным спортивным занятиям разрешается через 6—9 мес. При этом подавляющее большинство авторов считают, что в фиксирующем ортезе возможно продолжение спортивных и профессиональных занятий [6, 24, 34], но без болевых ощущений.
При установлении спондилолиза после периода полового созревания маловероятно, что произойдет костное сращение. У этих спортсменов возможно безболезненное возвращение в спорт при образовании фиброзной спайки, но при постоянном ношении ортеза. Если не происходит сращение через 6 мес, сомнительно, что это вообще случится [35].
Как указывалось ранее в клинике спортивной и балетной травмы мы придерживаемся более активной тактики. Ортез рекомендуется носить только в период обострения болевого синдрома (5—10 дней). Основное внимание уделяется формированию мышечного корсета и ликвидации мышечного дисбаланса. Относительно сроков восстановления профессиональной работоспособности они совпадают с нашими данными. Активные тренировки или репетиции становятся возможными в большинстве случаев через 6—9 мес.
В определении показаний к хирургическому лечению спондилолиза и спондилолистеза все авторы единодушны: появление неврологической симптоматики, отсутствие положительного эффекта консервативного лечения, спондилолиз на фоне дисплазии пояснично-крестцового отдела позвоночника, опасность прогрессирования деформации.
К. Frennered [36] указывает на необходимость строгого отбора пациентов со спондилолизным спондилолистезом для оперативного лечения. Согласно его клиническим наблюдениям после хирургического вмешательства — заднелатерального спондилодеза по поводу I—II степени спондилолистеза удовлетворительный результат был отмечен в 67%, тогда как после консервативного лечения — в 79% случаев. I. Wiltse, E. Widel, D. Jackson [17] считают, что смещение позвонка менее 25% не должно ограничивать спортивную активность, запрещаются лишь поднятие тяжестей. При смещении более 25% необходимо исключить контактные виды спорта и деятельность с высокой степенью риска травмирования позвоночника.
Согласно немногочисленным данным относительно хирургического лечения спортсменов и артистов балета со спондилолизом и спондилолистезом I и II степени им разрешалось приступить к профессиональным занятиям через 12 мес после полной консолидации, восстановления движений в позвоночнике и мышечной силы [L. Micheli, 1985; S. Nozawa и соавт., 2003]. Однако данные о степени восстановления профессиональной работоспособности отсутствуют.
ЗАКЛЮЧЕНИЕ
Разработка индивидуальной программы консервативного восстановительного лечения спортсменов и артистов балета со спондилолизом и спондилолистезом I и II степени, адекватное и своевременное применение реабилитационных мероприятий направлены на ликвидацию мышечного дисбаланса и укрепление мышечного корсета. Это, в свою очередь, будет способствовать купированию болевого синдрома, восстановлению профессиональной работоспособности, профилактике прогрессирования зоны костной перестройки дуг позвонков и спондилолистеза
About the authors
S. P. Mironov
National Medical Research Center of Traumatology and Orthopedics N.N. Priorov
							Author for correspondence.
							Email: cito@cito-priorov.ru
				                					                																			                												                	Russian Federation, 							10, Priorov street, Moscow, 125299						
M. B. Cykunov
National Medical Research Center of Traumatology and Orthopedics N.N. Priorov
														Email: cito@cito-priorov.ru
				                					                																			                												                	Russian Federation, 							10, Priorov street, Moscow, 125299						
G. M. Burmakova
National Medical Research Center of Traumatology and Orthopedics N.N. Priorov
														Email: cito@cito-priorov.ru
				                					                																			                												                	Russian Federation, 							10, Priorov street, Moscow, 125299						
S. V. Andreev
National Medical Research Center of Traumatology and Orthopedics N.N. Priorov
														Email: cito@cito-priorov.ru
				                					                																			                												                	Russian Federation, 							10, Priorov street, Moscow, 125299						
References
- Magora A. Conservative treatment in spondylolisthesis. Clin Orthop. 1976;117:74-79.
- Blanda J, Bethem D, Moats W, Lew M. Defects of the pars interarticularis in athletes: a protocol for non-operative treatment. J Spinal Disord. 1993;6:406-411.
- Johnson R. Low back pain in sports. Managing spondylolysis in young patients. Phys Sports Med. 1993;21:53-59.
- Morita T, Ikata T, Miyake R. Lumbar spondylolysis in children and adolescents. J Bone Joint Surg. 1995;77B:4:620-625.
- Standdaert CJ, Herring SA. Spondylolysis. A critical review. Br J Sports Med. 2000;34:415-422.
- Miller S, Congeni J, Swanson K. Long-term functional and anatomical follоw-up of early detected spondylolysis in young athletes. Am J Sports Med. 2004;32:4:928-933.
- Миронов С.П., Бурмакова Г.М., Орлецкий А.К., Цыкунов М.Б., Андреев С.В. Пояснично-крестцовые боли у спортсменов и артистов балета: спондилолиз и спондилолистез. Вестник травматологии и ортопедии им. Н.Н. Приорова. 2019;2:5-13.
- Mironov S.P., Цыкунов М.Б., Бурмакова Г.М. Оценка функционального состояния позвоночника у спортсменов и артистов балета с пояснично-крестцовым болевым синдромом. Вестник травматологии и ортопедии им. Н.Н. Приорова. 2019;3:21-30.
- Миронов С.П., Бурмакова Г.М., Цыкунов М.Б. Пояснично-крестцовый болевой синдром у спортсменов и артистов балета. М.: Типография «Новости»; 2006.
- Fujii K, Katoh S, Sairyo K, Ikata T, Yasui N. Union of defects in the pars interarticularis of the lumbar spine in children and adolescents. J Bone Jt Surg. 2004;86B:225-231.
- Pascal-Moussellard H, Broizat M, Cursolles J-C, Rouvillain J-L, Catonne Y. Association of unilateral isthmic spondylosis with lamina fracture in an athlete. Am J Sports Med. 2005;33:4:591-595.
- McCormick CC, Taylor JR, Twomey II. Facet joint arthrography in lumbar spondylolysis: anatomic basis for spread of contrast medium. Radiology. 1989;171:193-196.
- Sakamaki T, Sairyo R, Katoh S, Endo H, Komatsubara S, Sano T, Yasui N. The pathogenesis of slippage and deformity in the pediatric lumbar spine — A radiographic and histologic study using a new rat in vivo model. Spine. 2003;28:645-651.
- Shipley JA, Beukes CA. The nature of the spondylolytic defect. J Bone Jt Surg. 1998;80B:4:662-664.
- Tillich M, Trummer M, Lindbichler F, Flaschka G. Symptomatic intraspinal synovial cysts of the lumbar spine: correlation of MR and surgical fidings. Neuroradiology. 2001;43:1070-1075.
- Тагер И.Л., Мазо И.С. Рентгенодиагностика смещений поясничных позвонков. М.: Медицина; 1979.
- Wiltse LL, Widell EH, Jackson DW. Fatigue fracture: the basic lesion in isthmic spondylolisthesis. J Bone Jt Surg. 1975;57A:1:17-22.
- Brukner PD, Bennel KL, Matheson GO. Stress fractures. Melbourne.1999.
- Eisenstein SM, Ashton IK, Roberts S, Darby AJ, Kanse P, Menage J, Evans H. Innervation of the spondylolysis «ligament». Spine. 1994;19(8):912-916.
- Hasegawa S, Yamamoto H, Morisawa Y, Michinaka G. A study of mechanoreceptors in fibrocartilage masses in the defect of pars interarticularis. J Orthop Sci. 1999;4:413-420.
- Beutler WJ, Fredrickson BE, Murtland A, Sweeney CA, Grant WD, Baker D. The natural history of spondylolysis and spondylolisthesis 45-year follow-up evaluation. Spine. 2003;28:1027-1035.
- Seitsalo S, Schlenzka D, Osterman K. Intervertebral disc changes in spondylolisthesis: segmental fusion or direct repair? J Bone Jt Surg. 1995;77B:Supp. II:130.
- Ishida Y, Ohmori K, Inoue H, Suzuki K. Delayed vertebral slip and adjacent disc degeneration with an isthmic defect of the fifth lumbar vertebra. J Bone Jt Surg. 1999;81B:2:240-244.
- Dubousset J. Treatment of spondylolysis and spondylolisthesis in children and adolescents. Clin Orthop. 1997;337:77-86.
- Kanstrup IL. Bone scintigraphy in sports medicine: a review. Scand J Med Sci Sport. 1997;7:322-330.
- Митбрейт И.М. Спондилолистез. М.: Медицина; 1978.
- Hensinger RN, Arbor A. Current concepts review sponylolysis and spondylolisthesis in children and adolescents. J Bone Jt Surg. 1989;71A(7):1098-1106.
- Omey ML, Micheli LJ. Gerbino PG. Idiopathic scoliosis and spondylolysis in the female athlete. Tips for treatment. Clin Orthop. 2000;372:72-84.
- Sys J, Michielsen J, Bracke P, Martens M,Verstreken J. Nonoperative treatment of active spondylolysis in elite athletes with normal x-ray findings: literature review and results of conservative treatment. Eur Spine J. 2001;10:498-504.
- Steiner ME, Micheli IJ. Treatment of symptomatic spondylolysis and spondylolisthesis with the modified Boston brace. Spine. 1985;10:937-943.
- Sinaki M, Lutness MP, Ilstrup DM, Chu CP, Gramse RR. Lumbar spondylolisthesis: retrospective comparison and threeyear follow-up of two conservative treatment programs. Arch Phys Med Rehabil. 1989;70:594-598.
- Paris SV. Differential diagnosis of lumbar and pelvic pain. Movement, stability and low back pain. New York etc. 1997;319-330.
- Micheli LJ. Back injuries in dancers. Clin Sports Med. 1983;2:473-484.
- Micheli LJ. Back injuries in gymnastics. Clin Sports Med. 1985;4:85-93.
- Letts M, Smallman T, Afanasiev R, Gouw G. Fracture of the pars interarticularis in adolescent athletes: a clinical biomechanical analysis. J Pediatr Orthop. 1986;6:40-46.
- Frennered K. Low-grade spondylolisthesis: natural history and results of operative treatment. J Bone Jt Surg. 1995;77B;Supp. II:130.
Supplementary files
 
				
			 
					 
						 
						 
									
 
  
  
  Email this article
			Email this article 



 СМИ зарегистрировано Федеральной службой по надзору в сфере связи, информационных технологий и массовых коммуникаций (Роскомнадзор).
 СМИ зарегистрировано Федеральной службой по надзору в сфере связи, информационных технологий и массовых коммуникаций (Роскомнадзор).